First Clinical Case of Equine Parvovirus-Hepatitis-Related Theiler’s Disease in Asia
Abstract
:1. Introduction
2. Materials and Methods
2.1. Sample Collection
2.2. Virus Detection and Blood Analysis
2.3. Phylogenetic Tree Analysis
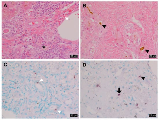
2.4. Histopathology
2.5. In Situ Hybridization
3. Results
3.1. Clinical Data and Physical Examination
3.2. Detection of EqPV-H DNA and Phylogenetic Tree Analysis
3.3. Histopathology and In Situ Hybridization
4. Discussion
5. Conclusions
Supplementary Materials
Author Contributions
Funding
Institutional Review Board Statement
Informed Consent Statement
Data Availability Statement
Conflicts of Interest
References
- Theiler, A. Acute Liver Atrophy and Parenchymatous Hepatitis in Horses; Union of South Africa, 5th and 6th Reports of the Director of Veterinary Research; Cab Direct: Glasgow, Scotland, 1919; pp. 7–165. [Google Scholar]
- Ramsauer, A.S.; Badenhorst, M.; Cavalleri, J.M. Equine Parvovirus Hepatitis. Equine Vet. J. 2021. [Google Scholar] [CrossRef]
- Tomlinson, J.E.; Jager, M.; Struzyna, A.; Laverack, M.; Fortier, L.A.; Dubovi, E.; Foil, L.D.; Burbelo, P.D.; Divers, T.J.; Van de Walle, G.R. Tropism, pathology, and transmission of equine parvovirus-hepatitis. Emerg. Microbes Infect. 2020, 9, 651–663. [Google Scholar] [CrossRef] [Green Version]
- Tomlinson, J.E.; Van de Walle, G.R.; Divers, T.J. What do we know about hepatitis viruses in horses? Vet. Clin. Equine Pract. 2019, 35, 351–362. [Google Scholar] [CrossRef]
- Tomlinson, J.E.; Tennant, B.C.; Struzyna, A.; Mrad, D.; Browne, N.; Whelchel, D.; Johnson, P.J.; Jamieson, C.; Löhr, C.V.; Bildfell, R. Viral testing of 10 cases of Theiler’s disease and 37 in-contact horses in the absence of equine biologic product administration: A prospective study (2014–2018). J. Vet. Intern. Med. 2019, 33, 258–265. [Google Scholar] [CrossRef]
- Tomlinson, J.E.; Kapoor, A.; Kumar, A.; Tennant, B.C.; Laverack, M.A.; Beard, L.; Delph, K.; Davis, E.; Schott II, H.; Lascola, K. Viral testing of 18 consecutive cases of equine serum hepatitis: A prospective study (2014–2018). J. Vet. Intern. Med. 2019, 33, 251–257. [Google Scholar] [CrossRef] [PubMed] [Green Version]
- Panciera, R.J. Serum hepatitis in the horse. J. Am. Vet. Med Assoc. 1969, 155, 408–410. [Google Scholar] [PubMed]
- Chandriani, S.; Skewes-Cox, P.; Zhong, W.; Ganem, D.E.; Divers, T.J.; Van Blaricum, A.J.; Tennant, B.C.; Kistler, A.L. Identification of a previously undescribed divergent virus from the Flaviviridae family in an outbreak of equine serum hepatitis. Proc. Natl. Acad. Sci. USA 2013, 110, E1407–E1415. [Google Scholar] [CrossRef] [PubMed] [Green Version]
- Burbelo, P.D.; Dubovi, E.J.; Simmonds, P.; Medina, J.L.; Henriquez, J.A.; Mishra, N.; Wagner, J.; Tokarz, R.; Cullen, J.M.; Iadarola, M.J. Serology-enabled discovery of genetically diverse hepaciviruses in a new host. J. Virol. 2012, 86, 6171–6178. [Google Scholar] [CrossRef] [Green Version]
- Kapoor, A.; Simmonds, P.; Cullen, J.M.; Scheel, T.K.; Medina, J.L.; Giannitti, F.; Nishiuchi, E.; Brock, K.V.; Burbelo, P.D.; Rice, C.M. Identification of a pegivirus (GB virus-like virus) that infects horses. J. Virol. 2013, 87, 7185–7190. [Google Scholar] [CrossRef] [Green Version]
- Divers, T.J.; Tennant, B.C.; Kumar, A.; McDonough, S.; Cullen, J.; Bhuva, N.; Jain, K.; Chauhan, L.S.; Scheel, T.K.H.; Lipkin, W.I. New parvovirus associated with serum hepatitis in horses after inoculation of common biological product. Emerg. Infect. Dis. 2018, 24, 303. [Google Scholar] [CrossRef]
- Tomlinson, J.E.; Wolfisberg, R.; Fahnøe, U.; Sharma, H.; Renshaw, R.; Nielsen, L.; Nishiuchi, E.; Holm, C.; Dubovi, E.; Rosenberg, B.R. Equine pegiviruses cause persistent infection of bone marrow and are not associated with hepatitis. PLoS Pathog. 2020, 16, e1008677. [Google Scholar] [CrossRef] [PubMed]
- Tegtmeyer, B.; Echelmeyer, J.; Pfankuche, V.M.; Puff, C.; Todt, D.; Fischer, N.; Durham, A.; Feige, K.; Baumgärtner, W.; Steinmann, E. Chronic equine hepacivirus infection in an adult gelding with severe hepatopathy. Vet. Med. Sci. 2019, 5, 372–378. [Google Scholar] [CrossRef] [Green Version]
- Reinecke, B.; Klöhn, M.; Brüggemann, Y.; Kinast, V.; Todt, D.; Stang, A.; Badenhorst, M.; Koeppel, K.; Guthrie, A.; Groner, U. Clinical Course of Infection and Cross-Species Detection of Equine Parvovirus-Hepatitis. Viruses 2021, 13, 1454. [Google Scholar] [CrossRef] [PubMed]
- Badenhorst, M.; de Heus, P.; Auer, A.; Tegtmeyer, B.; Stang, A.; Dimmel, K.; Tichy, A.; Kubacki, J.; Bachofen, C.; Steinmann, E. Active equine parvovirus-hepatitis infection is most frequently detected in Austrian horses of advanced age. Equine Vet. J. 2021. [Google Scholar] [CrossRef] [PubMed]
- Lu, G.; Wu, L.; Ou, J.; Li, S. Equine Parvovirus-Hepatitis in China: Characterization of Its Genetic Diversity and Evidence for Natural Recombination Events Between the Chinese and American Strains. Front. Vet. Sci. 2020, 7, 121. [Google Scholar] [CrossRef]
- Meister, T.L.; Tegtmeyer, B.; Brüggemann, Y.; Sieme, H.; Feige, K.; Todt, D.; Stang, A.; Cavalleri, J.; Steinmann, E. Characterization of equine parvovirus in thoroughbred breeding horses from Germany. Viruses 2019, 11, 965. [Google Scholar] [CrossRef] [Green Version]
- Altan, E.; Li, Y.; Sabino-Santos, G., Jr.; Sawaswong, V.; Barnum, S.; Pusterla, N.; Deng, X.; Delwart, E. Viruses in horses with neurologic and respiratory diseases. Viruses 2019, 11, 942. [Google Scholar] [CrossRef] [Green Version]
- Lu, G.; Sun, L.; Ou, J.; Xu, H.; Wu, L.; Li, S. Identification and genetic characterization of a novel parvovirus associated with serum hepatitis in horses in China. Emerg. Microbes Infect. 2018, 7, 1–7. [Google Scholar] [CrossRef] [Green Version]
- de Moraes, M.V.D.S.; Salgado, C.R.S.; Godoi, T.L.O.S.; de Almeida, F.Q.; Chalhoub, F.L.L.; de Filippis, A.M.B.; de Souza, A.M.; de Oliveira, J.M.; Figueiredo, A.S. Equine parvovirus-hepatitis is detected in South America, Brazil. Transbound. Emerg. Dis. 2021. [Google Scholar] [CrossRef]
- García-Bocanegra, I.; Rivero, A.; Caballero-Gómez, J.; López-López, P.; Cano-Terriza, D.; Frías, M.; Jiménez-Ruiz, S.; Risalde, M.A.; Gómez-Villamandos, J.C.; Rivero-Juarez, A. Hepatitis E virus infection in equines in Spain. Transbound. Emerg. Dis. 2019, 66, 66–71. [Google Scholar] [CrossRef] [PubMed] [Green Version]
- Kim, H.-S.; Moon, H.-W.; Sung, H.W.; Kwon, H.M. First identification and phylogenetic analysis of equine hepacivirus in Korea. Infect. Genet. Evol. 2017, 49, 268–272. [Google Scholar] [CrossRef] [PubMed]
- Kapoor, A.; Simmonds, P.; Gerold, G.; Qaisar, N.; Jain, K.; Henriquez, J.A.; Firth, C.; Hirschberg, D.L.; Rice, C.M.; Shields, S. Characterization of a canine homolog of hepatitis C virus. Proc. Natl. Acad. Sci. USA 2011, 108, 11608–11613. [Google Scholar] [CrossRef] [PubMed] [Green Version]
- Mizuo, H.; Suzuki, K.; Takikawa, Y.; Sugai, Y.; Tokita, H.; Akahane, Y.; Itoh, K.; Gotanda, Y.; Takahashi, M.; Nishizawa, T. Polyphyletic strains of hepatitis E virus are responsible for sporadic cases of acute hepatitis in Japan. J. Clin. Microbiol. 2002, 40, 3209–3218. [Google Scholar] [CrossRef] [Green Version]
- Park, H.; Jung, S.; Shin, H.; Ha, S.-D.; Park, T.J.; Park, J.P.; Seo, D.J.; Choi, C. Localization and persistence of hepatitis A virus in artificially contaminated oysters. Int. J. Food Microbiol. 2019, 299, 58–63. [Google Scholar] [CrossRef]
- Seo, D.J.; Jung, D.; Jung, S.; Ha, S.K.; Ha, S.D.; Choi, I.S.; Myoung, J.; Choi, C. Experimental miniature piglet model for the infection of human norovirus GII. J. Med. Virol. 2018, 90, 655–662. [Google Scholar] [CrossRef] [PubMed]
- Kopper, J.; Schott, H.; Divers, T.; Mullaney, T.; Huang, L.; Noland, E.; Smedley, R. Theiler’s disease associated with administration of tetanus antitoxin contaminated with nonprimate (equine) hepacivirus and equine parvovirus-hepatitis virus. Equine Vet. Educ. 2020, 32, e5–e9. [Google Scholar] [CrossRef]
- Vengust, M.; Jager, M.C.; Zalig, V.; Cociancich, V.; Laverack, M.; Renshaw, R.W.; Dubovi, E.; Tomlinson, J.E.; Van de Walle, G.R.; Divers, T.J. First report of equine parvovirus-hepatitis-associated Theiler’s disease in Europe. Equine Vet. J. 2020, 52, 841–847. [Google Scholar] [CrossRef]
- Underwood, C.; Southwood, L.L.; Walton, R.M.; Johnson, A.L. Hepatic and metabolic changes in surgical colic patients: A pilot study. J. Vet. Emerg. Crit. Care 2010, 20, 578–586. [Google Scholar] [CrossRef]
- Sharkey, L.C.; DeWitt, S.; Stockman, C. Neurologic signs and hyperammonemia in a horse with colic. Vet. Clin. Pathol. 2006, 35, 254–258. [Google Scholar] [CrossRef]



| Parameters. | Day 1 | Day 2 | Reference Range |
|---|---|---|---|
| AST | 2366 U/L | NA | 175–340 U/L |
| GGT | 181 U/L | NA | 5–24 U/L |
| TBIL | 24.8 mg/dL | NA | 0.5–2.3 mg/dL |
| Lactate | 5.4 mmol/L | 3.3 mmol/L | 1–1.5 mM/L |
| Hematocrit | 66.29% | 77.25% | 32–53% |
| Red blood cell count | 12.9 × 1012/L | 15.02 × 1012/L | 6.8–12.9 × 1012/L |
| Neutrophil | 10.67 × 109/L | 16.87 × 109/L | 2.3–9.5 × 109/L |
| Lymphocyte | 2.36 × 109/L | 0.91 × 109/L | 1.5–7.7 × 109/L |
Publisher’s Note: MDPI stays neutral with regard to jurisdictional claims in published maps and institutional affiliations. |
© 2021 by the authors. Licensee MDPI, Basel, Switzerland. This article is an open access article distributed under the terms and conditions of the Creative Commons Attribution (CC BY) license (https://creativecommons.org/licenses/by/4.0/).
Share and Cite
Yoon, J.; Park, T.; Kim, A.; Park, J.; Park, B.-J.; Ahn, H.-S.; Go, H.-J.; Kim, D.-H.; Jung, S.; Seo, Y.; et al. First Clinical Case of Equine Parvovirus-Hepatitis-Related Theiler’s Disease in Asia. Viruses 2021, 13, 1917. https://doi.org/10.3390/v13101917
Yoon J, Park T, Kim A, Park J, Park B-J, Ahn H-S, Go H-J, Kim D-H, Jung S, Seo Y, et al. First Clinical Case of Equine Parvovirus-Hepatitis-Related Theiler’s Disease in Asia. Viruses. 2021; 13(10):1917. https://doi.org/10.3390/v13101917
Chicago/Turabian StyleYoon, Jungho, Taemook Park, Ahram Kim, Jongyoung Park, Byung-Joo Park, Hee-Seop Ahn, Hyeon-Jeong Go, Dong-Hwi Kim, Soontag Jung, Yeeun Seo, and et al. 2021. "First Clinical Case of Equine Parvovirus-Hepatitis-Related Theiler’s Disease in Asia" Viruses 13, no. 10: 1917. https://doi.org/10.3390/v13101917
APA StyleYoon, J., Park, T., Kim, A., Park, J., Park, B.-J., Ahn, H.-S., Go, H.-J., Kim, D.-H., Jung, S., Seo, Y., Lee, J.-B., Park, S.-Y., Song, C.-S., Lee, S.-W., & Choi, I.-S. (2021). First Clinical Case of Equine Parvovirus-Hepatitis-Related Theiler’s Disease in Asia. Viruses, 13(10), 1917. https://doi.org/10.3390/v13101917

