Structure and Sequence Determinants Governing the Interactions of RNAs with Influenza A Virus Non-Structural Protein NS1
Abstract
1. Introduction
2. Materials and Methods
2.1. Rescue of Recombinant Influenza Viruses
2.2. Cells, Infections, Virus Titration, and Multicycle Growth Kinetics
2.3. Immunodetection of NS1 and NP
2.4. Minigenome Assay
2.5. RNA Probes and Proteins
2.6. Electrophoretic Mobility Shift Assays (EMSA)
2.7. X-ray 3D Structure Determination
3. Results
3.1. Biological Relevance of the UGAUUGAAG Motif
3.2. Functional and/or Structural Insights into the NS1-RNA Interactions
3.2.1. Minimal Structure of Selected Aptamers for Efficient Recognition by NS1
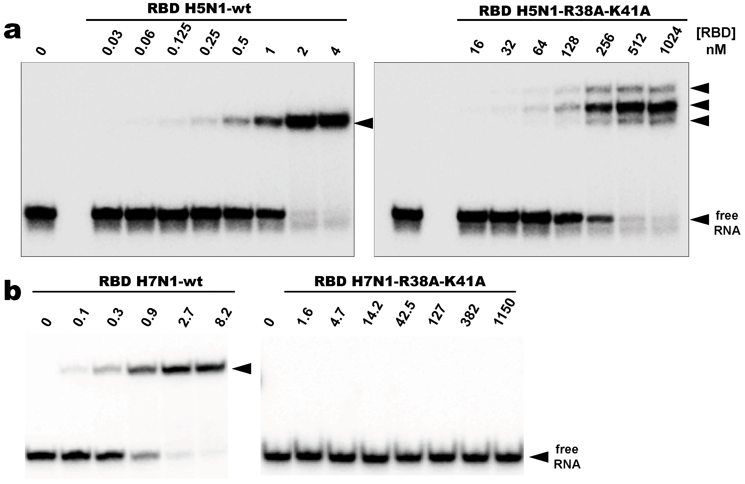
3.2.2. Major Contribution of the RBD in the Recognition of DM01-Midi and DM03-Midi
3.2.3. Contribution of the AGCAAAAG and GUAAC Motifs to the Interaction
3.2.4. AWFC01, a High-Affinity dsRNA Containing Two GUAAC Motifs
3.3. Structural Basis of NS1′s Interaction with Model dsRNA AWFC01
4. Discussion
Supplementary Materials
Author Contributions
Funding
Acknowledgments
Conflicts of Interest
References
- Iuliano, A.D.; Roguski, K.M.; Chang, H.H.; Muscatello, D.J.; Palekar, R.; Tempia, S.; Cohen, C.; Gran, J.M.; Schanzer, D.; Cowling, B.J.; et al. Estimates of global seasonal influenza-associated respiratory mortality: A modelling study. Lancet 2017, 391, 1285–1300. [Google Scholar] [CrossRef]
- World Health Organization. Global Influenza Strategy 2019–2030; World Health Organization: Geneva, Switzerland, 2019; p. 31. ISBN 978-92-4-151532-0. [Google Scholar]
- Duwe, S. Influenza viruses–Antiviral therapy and resistance. GMS Infect. Dis. 2017, 5. [Google Scholar] [CrossRef]
- Hussain, M.; Galvin, H.D.; Haw, T.Y.; Nutsford, A.N.; Husain, M. Drug resistance in influenza a virus: The epidemiology and management. Infect. Drug Resist. 2017, 10, 121–134. [Google Scholar] [CrossRef] [PubMed]
- O’Hanlon, R.; Shaw, M.L. Baloxavir marboxil: The new influenza drug on the market. Curr. Opin. Virol. 2019, 35, 14–18. [Google Scholar] [CrossRef] [PubMed]
- Abed, Y.; Boivin, G. A review of clinical influenza A and B infections with reduced susceptibility to both Oseltamivir and Zanamivir. Open Forum Infect. Dis. 2017, 4, 105. [Google Scholar] [CrossRef]
- Engel, D.A. The influenza virus NS1 protein as a therapeutic target. Antivir. Res. 2013, 99, 409–416. [Google Scholar] [CrossRef]
- Newby, C.M.; Sabin, L.; Pekosz, A. The RNA Binding Domain of Influenza A Virus NS1 Protein Affects Secretion of Tumor Necrosis Factor Alpha, Interleukin-6, and Interferon in Primary Murine Tracheal Epithelial Cells. J. Virol. 2007, 81, 9469–9480. [Google Scholar] [CrossRef]
- Hale, B.G.; Randall, R.E.; Ortín, J.; Jackson, D. The multifunctional NS1 protein of influenza a viruses. J. Gen. Virol. 2008, 89, 2359–2376. [Google Scholar] [CrossRef]
- Marc, D. Influenza virus non-structural protein NS1: Interferon antagonism and beyond. J. Gen. Virol. 2014, 95, 2594–2611. [Google Scholar] [CrossRef]
- Hatada, E.; Saito, S.; Okishio, N.; Fukuda, R. Binding of the influenza virus NS1 protein to model genome RNAs. J. Gen. Virol. 1997, 78, 1059–1063. [Google Scholar] [CrossRef]
- Lu, Y.; Qian, X.Y.; Krug, R.M. The influenza virus NS1 protein: A novel inhibitor of pre-mRNA splicing. Genes Dev. 1994, 8, 1817–1828. [Google Scholar] [CrossRef]
- Marc, D.; Barbachou, S.; Soubieux, D. The RNA-binding domain of influenzavirus non-structural protein-1 cooperatively binds to virus-specific RNA sequences in a structure-dependent manner. Nucleic Acids Res. 2012, 41, 434–449. [Google Scholar] [CrossRef] [PubMed]
- Marión, R.M.; Aragón, T.; Beloso, A.; Nieto, A.; Ortín, J. The N-terminal half of the influenza virus NS1 protein is sufficient for nuclear retention of mRNA and enhancement of viral mRNA translation. Nucleic Acids Res. 1997, 25, 4271–4277. [Google Scholar] [CrossRef] [PubMed]
- Qiu, Y.; Krug, R.M. The influenza virus NS1 protein is a poly(A)-binding protein that inhibits nuclear export of mRNAs containing poly(A). J. Virol. 1994, 68, 2425–2432. [Google Scholar] [CrossRef]
- Carrillo, B.; Choi, J.-M.; Bornholdt, Z.A.; Sankaran, B.; Rice, A.P.; Prasad, B.V.V. The Influenza A Virus Protein NS1 Displays Structural Polymorphism. J. Virol. 2014, 88, 4113–4122. [Google Scholar] [CrossRef] [PubMed]
- Hale, B.G. Conformational plasticity of the influenza a virus NS1 protein. J. Gen. Virol. 2014, 95, 2099–2105. [Google Scholar] [CrossRef] [PubMed]
- Zhou, B.; Ma, J.; Liu, Q.; Bawa, B.; Wang, W.; Shabman, R.S.; Duff, M.; Lee, J.; Lang, Y.; Cao, N.; et al. Characterization of Uncultivable Bat Influenza Virus Using a Replicative Synthetic Virus. PLoS Pathog. 2014, 10, e1004420. [Google Scholar] [CrossRef] [PubMed]
- Trapp, S.; Soubieux, D.; Lidove, A.; Esnault, E.; Lion, A.; Guillory, V.; Wacquiez, A.; Kut, E.; Quere, P.; Larcher, T.; et al. Major contribution of the RNA-binding domain of NS1 in the pathogenicity and replication potential of an avian H7N1 influenza virus in chickens. Virol. J. 2018, 15, 55. [Google Scholar] [CrossRef]
- De Chassey, B.; Aublin-Gex, A.; Ruggieri, A.; Meyniel-Schicklin, L.; Pradezynski, F.; Davoust, N.; Chantier, T.; Tafforeau, L.; E Mangeot, P.; Ciancia, C.; et al. The interactomes of influenza virus NS1 and NS2 proteins identify new host factors and provide insights for ADAR1 playing a supportive role in virus replication. PLoS Pathog. 2013, 9, e1003440. [Google Scholar] [CrossRef]
- Satterly, N.; Tsai, P.-L.; Van Deursen, J.; Nussenzveig, D.R.; Wang, Y.; Faria, P.A.; Levay, A.; Levy, D.E.; Fontoura, B.M.A. Influenza virus targets the mRNA export machinery and the nuclear pore complex. Proc. Natl. Acad. Sci. USA 2007, 104, 1853–1858. [Google Scholar] [CrossRef]
- Shapira, S.D.; Gat-Viks, I.; Shum, B.O.; Dricot, A.; De Grace, M.M.; Wu, L.; Gupta, P.B.; Hao, T.; Silver, S.J.; Root, D.E.; et al. A Physical and Regulatory Map of Host-Influenza Interactions Reveals Pathways in H1N1 Infection. Cell 2009, 139, 1255–1267. [Google Scholar] [CrossRef]
- Watanabe, T.; Kawakami, E.; Shoemaker, J.E.; Lopes, T.J.S.; Matsuoka, Y.; Tomita, Y.; Kozuka-Hata, H.; Gorai, T.; Kuwahara, T.; Takeda, E.; et al. Influenza virus-host interactome screen as a platform for antiviral drug development. Cell Host Microbe 2014, 16, 795–805. [Google Scholar] [CrossRef] [PubMed]
- Ayllon, J.; García-Sastre, A. The NS1 Protein: A Multitasking Virulence Factor. Inducible Lymphoid Organs 2014, 386, 73–107. [Google Scholar] [CrossRef]
- Zhang, K.; Xie, Y.; Muñoz-Moreno, R.; Wang, J.; Zhang, L.; Esparza, M.; García-Sastre, A.; Fontoura, B.M.A.; Ren, Y. Structural basis for influenza virus NS1 protein block of mRNA nuclear export. Nat. Microbiol. 2019, 4, 1671–1679. [Google Scholar] [CrossRef] [PubMed]
- Zhang, L.; Wang, J.; Muñoz-Moreno, R.; Kim, M.; Sakthivel, R.; Mo, W.; Shao, D.; Anantharaman, A.; García-Sastre, A.; Conrad, N.K.; et al. Influenza Virus NS1 Protein-RNA Interactome Reveals Intron Targeting. J. Virol. 2018, 92, 92. [Google Scholar] [CrossRef] [PubMed]
- Chen, G.; Ma, L.-C.; Wang, S.; Woltz, R.L.; Grasso, E.M.; Montelione, G.T.; Krug, R.M. A double-stranded RNA platform is required for the interaction between a host restriction factor and the NS1 protein of influenza a virus. Nucleic Acids Res. 2020, 48, 304–315. [Google Scholar] [CrossRef]
- Cheng, A.; Wong, S.M.; Yuan, Y.A. Structural basis for dsRNA recognition by NS1 protein of influenza a virus. Cell Res. 2008, 19, 187–195. [Google Scholar] [CrossRef]
- Yin, C.; Khan, J.A.; Swapna, G.V.T.; Ertekin, A.; Krug, R.M.; Tong, L.; Montelione, G.T. Conserved Surface Features Form the Double-stranded RNA Binding Site of Non-structural Protein 1 (NS1) from Influenza A and B Viruses. J. Boil. Chem. 2007, 282, 20584–20592. [Google Scholar] [CrossRef]
- Fodor, E.; Devenish, L.; Engelhardt, O.G.; Palese, P.; Brownlee, G.G.; García-Sastre, A. Rescue of Influenza A Virus from Recombinant DNA. J. Virol. 1999, 73, 9679–9682. [Google Scholar] [CrossRef]
- Da Costa, B.; Sausset, A.; Munier, S.; Ghounaris, A.; Naffakh, N.; Le Goffic, R.; Delmas, B. Temperature-Sensitive Mutants in the Influenza A Virus RNA Polymerase: Alterations in the PA Linker Reduce Nuclear Targeting of the PB1-PA Dimer and Result in Viral Attenuation. J. Virol. 2015, 89, 6376–6390. [Google Scholar] [CrossRef]
- Matrosovich, M.; Matrosovich, T.; Garten, W.; Klenk, H.-D. New low-viscosity overlay medium for viral plaque assays. Virol. J. 2006, 3, 63. [Google Scholar] [CrossRef] [PubMed]
- Talon, J.; Horvath, C.M.; Polley, R.; Basler, C.F.; Muster, T.; Palese, P.; García-Sastre, A. Activation of Interferon Regulatory Factor 3 Is Inhibited by the Influenza A Virus NS1 Protein. J. Virol. 2000, 74, 7989–7996. [Google Scholar] [CrossRef] [PubMed]
- Studier, F.W. Protein production by auto-induction in high-density shaking cultures. Protein Expr. Purif. 2005, 41, 207–234. [Google Scholar] [CrossRef] [PubMed]
- Ryder, S.P.; Recht, M.I.; Williamson, J.R. Quantitative Analysis of Protein-RNA Interactions by Gel Mobility Shift. Methods Mol. Biol. 2008, 488, 99–115. [Google Scholar] [CrossRef]
- Kabsch, W. Xds. Acta Crystallogr. Sect. D Biol. Crystallogr. 2010, 66, 125–132. [Google Scholar] [CrossRef]
- vans, P.R.; Murshudov, G.N. How good are my data and what is the resolution? Acta Crystallogr. Sect. D Biol. Crystallogr. 2013, 69, 1204–1214. [Google Scholar] [CrossRef]
- McCoy, A.J. Solving structures of protein complexes by molecular replacement with Phaser. Acta Crystallogr. Sect. D Boil. Crystallogr. 2006, 63, 32–41. [Google Scholar] [CrossRef]
- Adams, P.D.; Afonine, P.V.; Bunkóczi, G.; Chen, V.B.; Davis, I.W.; Echols, N.; Headd, J.J.; Hung, L.-W.; Kapral, G.J.; Grosse-Kunstleve, R.W.; et al. PHENIX: A comprehensive Python-based system for macromolecular structure solution. Acta Crystallogr. Sect. D Boil. Crystallogr. 2010, 66, 213–221. [Google Scholar] [CrossRef]
- Emsley, P.; Cowtan, K. Coot: Model-building tools for molecular graphics. Acta Crystallogr. Sect. D Boil. Crystallogr. 2004, 60, 2126–2132. [Google Scholar] [CrossRef]
- Pettersen, E.F.; Goddard, T.D.; Huang, C.C.; Couch, G.S.; Greenblatt, D.M.; Meng, E.C.; Ferrin, T.E. UCSF Chimera–a visualization system for exploratory research and analysis. J. Comput. Chem 2004, 25, 1605–1612. [Google Scholar] [CrossRef]
- Blanchet, C.; Pasi, M.; Zakrzewska, K.; Lavery, R. CURVES+ web server for analyzing and visualizing the helical, backbone and groove parameters of nucleic acid structures. Nucleic Acids Res. 2011, 39, W68–W73. [Google Scholar] [CrossRef] [PubMed]
- Lu, X.-J.; Olson, W.K. 3DNA: A versatile, integrated software system for the analysis, rebuilding and visualization of three-dimensional nucleic-acid structures. Nat. Protoc. 2008, 3, 1213–1227. [Google Scholar] [CrossRef] [PubMed]
- Akarsu, H.; Burmeister, W.P.; Petosa, C.; Petit, I.; Müller, C.W.; Ruigrok, R.W.; Baudin, F. Crystal structure of the M1 protein-binding domain of the influenza A virus nuclear export protein (NEP/NS2). EMBO J. 2003, 22, 4646–4655. [Google Scholar] [CrossRef] [PubMed]
- Fabrini, R.; De Luca, A.; Stella, L.; Mei, G.; Orioni, B.; Ciccone, S.; Federici, G.; Bello, M.L.; Ricci, G. Monomer−dimer equilibrium in glutathione transferases: A critical re-examination. Biochemistry 2009, 48, 10473–10482. [Google Scholar] [CrossRef]
- Orita, M.; Nishikawa, F.; Shimayama, T.; Taira, K.; Endo, Y.; Nishikawa, S. High-resolution NMR study of a synthetic oligoribonucleotide with a tetranucleotide GAGA loop that is a substrate for the cytotoxic protein, ricin. Nucleic Acids Res. 1993, 21, 5670–5678. [Google Scholar] [CrossRef] [PubMed][Green Version]
- Sheng, J.; Gan, J.; Soares, A.S.; Salon, J.; Huang, Z. Structural insights of non-canonical U•U pair and Hoogsteen interaction probed with Se atom. Nucleic Acids Res. 2013, 41, 10476–10487. [Google Scholar] [CrossRef]
- Bornholdt, Z.A.; Prasad, B.V.V. X-ray structure of NS1 from a highly pathogenic H5N1 influenza virus. Nature 2008, 456, 985–988. [Google Scholar] [CrossRef]
- Hussein, H.A.; Geneix, C.; Cauvin, C.; Marc, D.; Flatters, D.; Camproux, A.-C. Molecular Dynamics Simulations of Influenza A Virus NS1 Reveal a Remarkably Stable RNA-Binding Domain Harboring Promising Druggable Pockets. Viruses 2020, 12, 537. [Google Scholar] [CrossRef]
- Mari, R.M.; Ort, J.; de la Luna, S. Influenza virus NS1 protein interacts with viral transcription-replication complexes in vivo. J. Gen. Virol. 1997, 78, 2447–2451. [Google Scholar] [CrossRef]
- Robb, N.C.; Chase, G.; Bier, K.; Vreede, F.T.; Shaw, P.-C.; Naffakh, N.; Schwemmle, M.; Fodor, E. The Influenza a Virus NS1 Protein Interacts with the Nucleoprotein of Viral Ribonucleoprotein Complexes. J. Virol. 2011, 85, 5228–5231. [Google Scholar] [CrossRef]
- De La Luna, S.; Fortes, P.; Beloso, A.; Ortín, J. Influenza virus NS1 protein enhances the rate of translation initiation of viral mRNAs. J. Virol. 1995, 69, 2427–2433. [Google Scholar] [CrossRef]
- Panthu, B.; Terrier, O.; Carron, C.; Traversier, A.; Corbin, A.; Balvay, L.; Lina, B.; Rosa-Calatrava, M.; Ohlmann, T. The NS1 Protein from Influenza Virus Stimulates Translation Initiation by Enhancing Ribosome Recruitment to mRNAs. J. Mol. Boil. 2017, 429, 3334–3352. [Google Scholar] [CrossRef] [PubMed]
- Monsion, B.; Incarbone, M.; Hleibieh, K.; Poignavent, V.; Ghannam, A.; Dunoyer, P.; Daeffler, L.; Tilsner, J.; Ritzenthaler, C. Efficient Detection of Long dsRNA in Vitro and in Vivo Using the dsRNA Binding Domain from FHV B2 Protein. Front. Plant Sci. 2018, 9. [Google Scholar] [CrossRef] [PubMed]
- Corley, M.; Burns, M.C.; Yeo, G.W. How RNA-Binding Proteins Interact with RNA: Molecules and Mechanisms. Mol. Cell 2020, 78, 9–29. [Google Scholar] [CrossRef] [PubMed]
- Masliah, G.; Barraud, P.; Allain, F.H.-T. RNA recognition by double-stranded RNA binding domains: A matter of shape and sequence. Cell. Mol. Life Sci. 2012, 70, 1875–1895. [Google Scholar] [CrossRef]
- Stefl, R.; Skrisovska, L.; Allain, F.H.-T. RNA sequence- and shape-dependent recognition by proteins in the ribonucleoprotein particle. EMBO Rep. 2005, 6, 33–38. [Google Scholar] [CrossRef]
- Hsiang, T.-Y.; Zhou, L.; Krug, R.M. Roles of the Phosphorylation of Specific Serines and Threonines in the NS1 Protein of Human Influenza A Viruses. J. Virol. 2012, 86, 10370–10376. [Google Scholar] [CrossRef]
- Hutchinson, E.C.; Denham, E.M.; Thomas, B.; Trudgian, D.C.; Hester, S.S.; Ridlova, G.; York, A.; Turrell, L.; Fodor, E. Mapping the Phosphoproteome of Influenza A and B Viruses by Mass Spectrometry. PLoS Pathog. 2012, 8, e1002993. [Google Scholar] [CrossRef]
- Kathum, O.A.; Schrader, T.; Anhlan, D.; Nordhoff, C.; Liedmann, S.; Pande, A.; Mellmann, A.; Ehrhardt, C.; Wixler, V.; Ludwig, S. Phosphorylation of influenza A virus NS1 protein at threonine 49 suppresses its interferon antagonistic activity. Cell. Microbiol. 2016, 18, 784–791. [Google Scholar] [CrossRef]
- Santos, A.; Pal, S.; Chacón, J.; Meraz, K.; Gonzalez, J.; Prieto, K.; Rosas-Acosta, G. SUMOylation Affects the Interferon Blocking Activity of the Influenza A Nonstructural Protein NS1 without Affecting Its Stability or Cellular Localization. J. Virol. 2013, 87, 5602–5620. [Google Scholar] [CrossRef][Green Version]
- Shultzaberger, R.K.; Schneider, T.D. Using sequence logos and information analysis of Lrp DNA binding sites to investigate discrepancies between natural selection and SELEX. Nucleic Acids Res. 1999, 27, 882–887. [Google Scholar] [CrossRef] [PubMed][Green Version]
- Kondo, Y.; Oubridge, C.; Van Roon, A.-M.M.; Nagai, K. Crystal structure of human U1 snRNP, a small nuclear ribonucleoprotein particle, reveals the mechanism of 5′ splice site recognition. eLife 2015, 4, 4. [Google Scholar] [CrossRef] [PubMed]
- Krummel, D.A.P.; Oubridge, C.; Leung, A.; Li, J.; Nagai, K. Crystal structure of human spliceosomal U1 snRNP at 5.5 Å resolution. Acta Crystallogr. Sect. A Found. Crystallogr. 2009, 65, 475–480. [Google Scholar] [CrossRef]










| Name | nt Sequence / 2D Structure | Length (nt) | RBD Binding | Reference |
|---|---|---|---|---|
| DM01 | ![]() | 81 | ++++ | [13] |
| DM01-midi | ![]() | 50 | ++++ | this work |
| DM01-short | ![]() | 30 | + / - - - | this work |
| DM01-mot A | ![]() | 8 | - | this work |
| DM03 | ![]() | 81 | ++++ | [13] |
| DM03-midi | ![]() | 50 | ++++ | this work |
| DM03-short | ![]() | 32 | + / - - - | this work |
| DM03-mot B | ![]() | 9 | - | this work |
| RBD. | KD (nM) |
|---|---|
| H7N1 | 0.83 ± 0.03 |
| H7N1 R38A-K41A | NA (>50 µM) |
| H5N1 | 0.98 ± 0.04 |
| H5N1 R38A-K41A | NA (>100) |
| H7N9 | 3.1 ± 0.1 |
| H3N2 | 3.7 ± 0.1 |
| H17N10 | 1.5 ± 0.1 |
| pdmH1N1 | 2.05 ± 0.02 |
| RNA Competitor | EC50app (nM) | ||
|---|---|---|---|
| 2D-structure | Name | H5N1 | H7N1 |
![]() | AWFC01 | 1.0 ± 0.1 | 1.7 ± 0.1 |
![]() | DM01-midi | 2.2 ± 0.2 | 2.7 ± 0.1 |
![]() | DM03-midi | 1.8 ± 0.1 | 2.8 ± 0.1 |
![]() | shDM02-GAGA | 0.41 ± 0.02 | 0.24 ± 0.01 |
![]() | shDM03-GAGA | 1.2 ± 0.1 | 0.64 ± 0.06 |
![]() | shDM05-GAGA | 100 ± 11 | ND |
![]() | shDM06-GAGA | 1.1 ± 0.1 | 0.85 ± 0.05 |
![]() | ZKO-RNA | 90 ± 4 | 96 ± 3 |
| wt-RBD / AWFC01 | aa-RBD / AWFC01 | wt-RBD / ZKO * | 2ZKO | |||||||||||||
|---|---|---|---|---|---|---|---|---|---|---|---|---|---|---|---|---|
| RBD chain A | RBD chain B | RBD chain A | RBD chain B | RBD chain A | RBD chain B | RBD chain A | RBD chain B | |||||||||
| Atom 1 | dist. | Atom 2 | dist. | Atom 2 | dist. | Atom 2 | dist. | Atom 2 | dist. | Atom 2 | dist. | Atom 2 | dist. | Atom 2 | dist. | Atom 2 |
| Amino-acid / phosphate H-bonds | ||||||||||||||||
| H(-1) N | 3.37 | U19(C)OP1 | ||||||||||||||
| R38 N(ε) | 2.92 (b) | C6(D)OP1 | 2.76 | C6(C)OP1 | 3.18 | G6(D)OP1 | 2.98 | G6(C)OP1 | 3.47 | G6(D)OP1 | 3.42 | G6(C)OP1 | ||||
| R38 N(η1) | 3.23 (b) | C6(D)OP1 | ||||||||||||||
| R38 N(η1) | 2.99 (b) | U7(D)OP2 | 2.88 | U7(D)OP1 | 2.59 | C7(C)OP1 | 2.77 | C7(D)OP1 | 2.76 | C7(C)OP1 | 2.76 | C7(D)OP1 | ||||
| R38 N(η2) | 3.26 | C6(C)OP1 | 3.18 | G6(D)OP1 | 3.16 | G6(C)OP1 | 3.43 | G6(D)OP1 | 3.35 | G6(C)OP1 | ||||||
| R38 N(η2) | 2.32 (a) 2.27 (b) | U7(C)OP1 | 3.06 | U7(C)OP2 | 2.96 | C7(D)OP2 | 2.77 | C7(C)OP2 | 2.83 | C7(D)OP2 | 2.87 | C7(C)OP2 | ||||
| S42 O(γ) | 2.87 | A5(D)O3’ | 2.91 | A5(C)O3’ | ||||||||||||
| Amino-acid / ribose H-bonds | ||||||||||||||||
| S1 O(γ) | 2.49 | U17(C)O2’ | ||||||||||||||
| P31 O | 3.71 | C6(C)O2’ | 3.61 | C6(D)O2’ | 3.59 | C6(C)O2’ | 3.54 | C6(D)O2’ | 3.63 | G6(C)O2’ | 3.69 | G6(D)O2’ | 3.67 | G6(D)O2’ | ||
| R35 N(η1) | 3.54 | C6(C)O2’ | 3.66 | C6(D)O2’ | 3.55 | C6(C)O2’ | 3.51 | C6(D)O2’ | 3.44 | G6(C)O2’ | 3.38 | G6(D)O2’ | 3.14 | G6(C)O2’ | 3.22 | G6(D)O2’ |
| R37 N(η) | 3.43 (a) | U7(D)O2’ | ||||||||||||||
| T49 O(γ) | 3.19 | A4(D)O2’ | 3.17 | A4(C)O2’ | 3.00 | A4(D)O2’ | 3.11 | A4(C)O2’ | 2.81 | C4(D)O2’ | 3.10 | C4(C)O2’ | 2.82 | C4(D)O2’ | 2.80 | C4(C)O2’ |
| T49 O(γ) | 3.01 | A4(D)O4’ | 3.06 | A4(C)O4’ | 3.08 | A4(D)O4’ | 2.96 | A4(C)O4’ | 2.99 | C4(D)O4’ | 2.94 | C4(C)O4’ | 3.03 | C4(D)O4’ | 3.03 | C4(C)O4’ |
© 2020 by the authors. Licensee MDPI, Basel, Switzerland. This article is an open access article distributed under the terms and conditions of the Creative Commons Attribution (CC BY) license (http://creativecommons.org/licenses/by/4.0/).
Share and Cite
Wacquiez, A.; Coste, F.; Kut, E.; Gaudon, V.; Trapp, S.; Castaing, B.; Marc, D. Structure and Sequence Determinants Governing the Interactions of RNAs with Influenza A Virus Non-Structural Protein NS1. Viruses 2020, 12, 947. https://doi.org/10.3390/v12090947
Wacquiez A, Coste F, Kut E, Gaudon V, Trapp S, Castaing B, Marc D. Structure and Sequence Determinants Governing the Interactions of RNAs with Influenza A Virus Non-Structural Protein NS1. Viruses. 2020; 12(9):947. https://doi.org/10.3390/v12090947
Chicago/Turabian StyleWacquiez, Alan, Franck Coste, Emmanuel Kut, Virginie Gaudon, Sascha Trapp, Bertrand Castaing, and Daniel Marc. 2020. "Structure and Sequence Determinants Governing the Interactions of RNAs with Influenza A Virus Non-Structural Protein NS1" Viruses 12, no. 9: 947. https://doi.org/10.3390/v12090947
APA StyleWacquiez, A., Coste, F., Kut, E., Gaudon, V., Trapp, S., Castaing, B., & Marc, D. (2020). Structure and Sequence Determinants Governing the Interactions of RNAs with Influenza A Virus Non-Structural Protein NS1. Viruses, 12(9), 947. https://doi.org/10.3390/v12090947

















