Detection and Phylogenetic Analyses of Taura Syndrome Virus from Archived Davidson’s-Fixed Paraffin-Embedded Shrimp Tissue
Abstract
1. Introduction
2. Materials and Methods
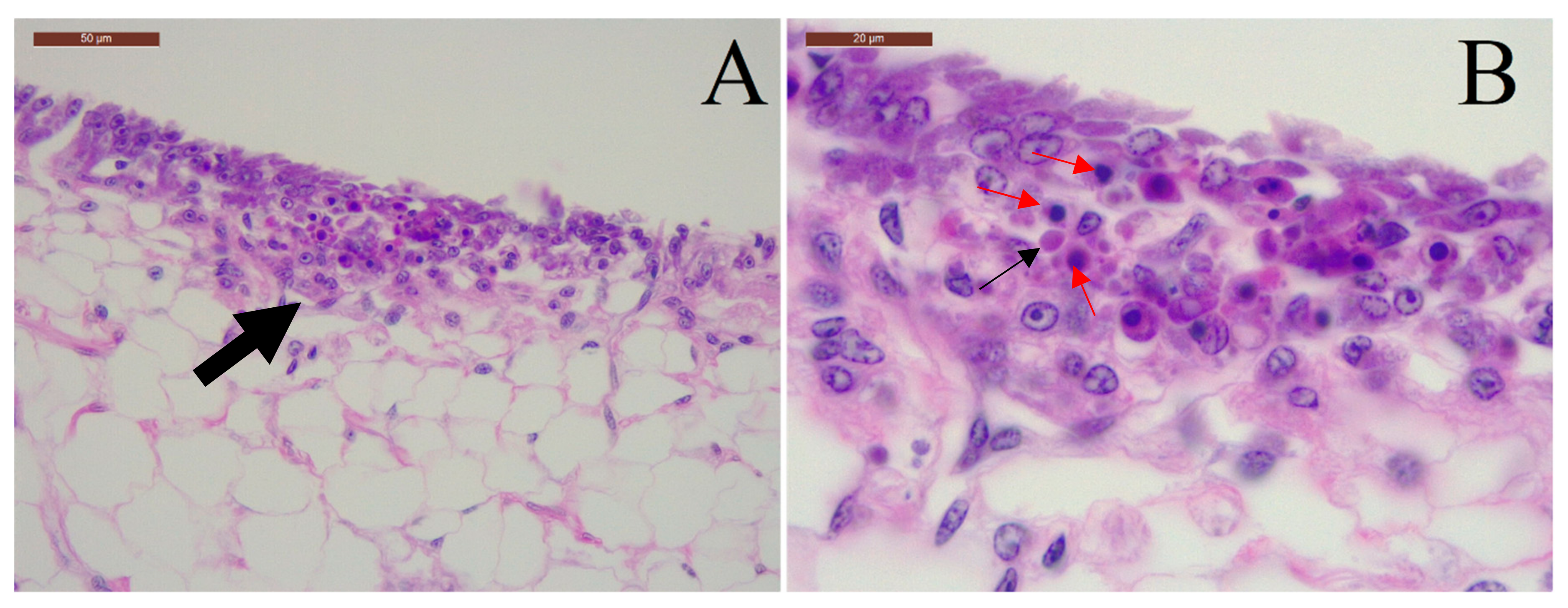
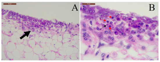
2.1. Sample Selection
2.2. RNA Extraction and Quality Assessment
2.3. Detection of TSV through Real-Time RT-PCR (RT-qPCR)
2.4. Statistical Analysis
2.5. Detection of Eukaryotic Translation Elongation Factor 1 Alpha (EF-1α) through Real-Time RT-PCR
2.6. TSV Primer Design
2.7. Amplification of TSV by RT-PCR and Amplicon Sequencing
2.8. Phylogenetic Analysis
3. Results
3.1. RNA Quantity and Quality Assessment
3.2. Detection of TSV Using RT-qPCR
3.3. Detection of TSV Capsid Protein Genes (VP1 and VP2), RdRp and Internal Control Gene EF-1α by Conventional RT-PCR
3.4. Phylogenetic Analysis
4. Discussion
Supplementary Materials
Author Contributions
Funding
Acknowledgments
Conflicts of Interest
Data Availability
References
- Hasson, K.W.; Lightner, D.V.; Poulos, B.T.; Redman, R.M.; White, B.L.; Brock, J.A.; Bonami, J.R. Taura syndrome in Penaeus vannamei: Demonstration of a viral etiology. Dis. Aquat. Organ. 1995, 23, 115–126. [Google Scholar] [CrossRef]
- Lightner, D.V.; Redman, R.M.; Pantoja, C.R.; Tang, K.F.J.; Noble, B.L.; Schofield, P.; Mohney, L.L.; Nunan, L.M.; Navarro, S.A. Historic emergence, impact and current status of shrimp pathogens in the Americas. J. Invertebr. Pathol. 2012, 110, 174–183. [Google Scholar] [CrossRef] [PubMed]
- Dhar, A.K.; Cowley, J.A.; Hasson, K.W.; Walker, P.J. Genomic Organization, Biology, and Diagnosis of Taura Syndrome Virus and Yellowhead Virus of Penaeid Shrimp. Adv. Virus Res. 2004, 63, 353–421. [Google Scholar] [PubMed]
- Wertheim, J.O.; Tang, K.F.J.; Navarro, S.A.; Lightner, D.V. A quick fuse and the emergence of Taura syndrome virus. Virology 2009, 390, 324–329. [Google Scholar] [CrossRef] [PubMed]
- Valles, S.M.; Chen, Y.; Firth, A.E.; Guérin, D.M.A.; Hashimoto, Y.; Herrero, S.; de Miranda, J.R.; Ryabov, E. ICTV virus taxonomy profile: Dicistroviridae. J. Gen. Virol. 2017, 98, 355–356. [Google Scholar] [CrossRef] [PubMed]
- Bodewes, R.; van Run, P.R.W.A.; Schürch, A.C.; Koopmans, M.P.G.; Osterhaus, A.D.M.E.; Baumgärtner, W.; Kuiken, T.; Smits, S.L. Virus characterization and discovery in formalin-fixed paraffin-embedded tissues. J. Virol. Methods 2015, 214, 54–59. [Google Scholar] [CrossRef] [PubMed]
- Kenneth, W.; Hasson, J.; Aubert, H.; Redman, R.M.; Lightner, D.V. A new RNA-friendly fixative for the preservation of penaeid shrimp samples for virological detection using cDNA genomic probes. J. Virol. Methods1997 1997, 66, 227–236. [Google Scholar]
- Andrade, T.P.D.; Redman, R.M.; Lightner, D.V. Evaluation of the preservation of shrimp samples with Davidson’s AFA fixative for infectious myonecrosis virus (IMNV) in situ hybridization. Aquaculture 2008, 278, 179–183. [Google Scholar] [CrossRef]
- Tumpey, T.M. Characterization of the Reconstructed 1918 Spanish Influenza Pandemic Virus. Science 2005, 310, 77–80. [Google Scholar] [CrossRef] [PubMed]
- Wilkins, A.; Chauhan, R.; Rust, A.; Pearson, A.; Daley, F.; Manodoro, F.; Fenwick, K.; Bliss, J.; Yarnold, J.; Somaiah, N. FFPE breast tumour blocks provide reliable sources of both germline and malignant DNA for investigation of genetic determinants of individual tumour responses to treatment. Breast Cancer Res. Treat. 2018, 170, 573–581. [Google Scholar] [CrossRef] [PubMed]
- Cruz-Flores, R.; Mai, H.N.; Kanrar, S.; Aranguren Caro, L.F.; Dhar, A.K. Genome reconstruction of white spot syndrome virus (WSSV) from archival Davidson’s-fixed paraffin embedded shrimp (Penaeus vannamei) tissue. Sci. Rep. 2020, 10, 13425. [Google Scholar] [CrossRef] [PubMed]
- Lightner, D.V. A Handbook of Shrimp Pathology and Diagnostic Procedures for Diseases of Cultured Penaeid Shrimp; World Aquaculture Society: Baton Rouge, LA, USA, 1996. [Google Scholar]
- Tang, K.F.J.; Wang, J.; Lightner, D.V. Quantitation of Taura syndrome virus by real-time RT-PCR with a TaqMan assay. J. Virol. Methods 2004, 115, 109–114. [Google Scholar] [CrossRef] [PubMed]
- Dhar, A.K.; Kaizer, K.N.; Lakshman, D.K. Transcriptional analysis of Penaeus stylirostris densovirus genes. Virology 2010, 402, 112–120. [Google Scholar] [CrossRef] [PubMed][Green Version]
- Tamura, K.; Nei, M. Estimation of the Number of Nucleotide Substitutions in the Control Region of Mitochondrial DNA in Humans and chimpanzees. Mol. Biol. Evol. 1993, 10, 512–526. [Google Scholar] [PubMed]
- Thermo Scientific. NanoDrop Lite: Interpretation of Nucleic Acid 260/280 Ratios; Thermo Scientific: Wilmington, DC, USA, 2012. [Google Scholar]
- Oie Infection with Taura Syndrome Virus. In Manual of Diagnostic Tests for Aquatic Animals; OFFICE International des Epizooties: Paris, France, 2018; pp. 1–18.
- Tang, K.F.J.; Lightner, D.V. Phylogenetic analysis of Taura syndrome virus isolates collected between 1993 and 2004 and virulence comparison between two isolates representing different genetic variants. Virus Res. 2005, 112, 69–76. [Google Scholar] [CrossRef] [PubMed]
- Aranguren, L.F.; Salazar, M.; Tang, K.; Caraballo, X.; Lightner, D. Characterization of a new strain of Taura syndrome virus (TSV) from Colombian shrimp farms and the implication in the selection of TSV resistant lines. J. Invertebr. Pathol. 2013, 112, 68–73. [Google Scholar] [CrossRef] [PubMed]
- Dhar, A.K.; Lakshman, D.K.; Amundsen, K.; Robles-Sikisaka, R.; Kaizer, K.N.; Roy, S.; Hasson, K.W.; Thomas-Allnutt, F.C. Characterization of a Taura syndrome virus isolate originating from the 2004 Texas epizootic in cultured shrimp. Arch. Virol. 2010, 155, 315–327. [Google Scholar] [CrossRef] [PubMed]
- Tang, K.F.J.; Navarro, S.A.; Pantoja, C.R.; Aranguren, F.L.; Lightner, D.V. New genotypes of white spot syndrome virus (WSSV) and Taura syndrome virus (TSV) from the Kingdom of Saudi Arabia. Dis. Aquat. Organ. 2012, 99, 179–185. [Google Scholar] [CrossRef] [PubMed]
- Dwivedi, B.; Gadagkar, S.R. The impact of sequence parameter values on phylogenetic accuracy. Biol. Med. 2009, 1, 50–62. [Google Scholar]







| Case No. | Norgen KitSample # | Qiagen KitSample # | Invitrogen KitSample # | Year | Origin | Species | Grade of Infection |
|---|---|---|---|---|---|---|---|
| 1 | 1 | 58 | 73 | 2005 | Belize | L. vannamei | G3 |
| 2 | 2 | 59 | 74 | 2005 | Venezuela | L. vannamei | G3, G4 |
| 3 | 3 | 60 | 75 | 2005 | Thailand | P. monodon | G3, G4 |
| 4 | 4 | 61 | 76 | 2005 | Hawaii | L. vannamei | G2–4 |
| 5 | 5 | 62 | 77 | 2005 | Hawaii | L. vannamei | G3, G4 |
| 6 | 6 | 63 | 78 | 2005 | Venezuela | L. vannamei | G3 |
| 7 | 7 | 64 | 79 | 2005 | Thailand | P. monodon | G3 |
| 8 | 8 | 65 | 80 | 2005 | Belize | L. vannamei | G3 |
| 9 | 9 | 66 | 81 | 2005 | Hawaii | L. vannamei | G3, G4 |
| 10 | 10 | 67 | 82 | 2005 | Venezuela | L. vannamei | G3, G4 |
| 11 | 11 | 68 | 83 | 2005 | Belize | L. vannamei | G4 |
| 12 | 12 | 69 | 84 | 2005 | Thailand | L. vannamei | G4 |
| 13 | 13 | 70 | 85 | 2005 | Belize | L. vannamei | G4 |
| 14 | 14 | 71 | 86 | 2005 | Belize | L. vannamei | G3, G4 |
| 15 | 15 | 72 | 87 | 2005 | Venezuela | L. vannamei | G3, G4 |
| 16 | 44 | 30 | 16 | 2005 | Belize | L. vannamei | G4 |
| 17 | 45 | 31 | 17 | 2005 | Thailand | L. vannamei | G4 |
| 18 | 46 | 32 | 18 | 2005 | Venezuela | L. vannamei | G3, G4 |
| 19 | 47 | 33 | 19 | 2005 | Belize | L. vannamei | G4 |
| 20 | 48 | 34 | 20 | 2005 | Thailand | L. vannamei | G4 |
| 21 | 49 | 35 | 21 | 2005 | Venezuela | L. vannamei | G3 |
| 22 | 50 | 36 | 22 | 2005 | Hawaii | L. vannamei | G3, G4 |
| 23 | 51 | 37 | 23 | 2005 | Hawaii | L. vannamei | G3, G4 |
| 24 | 52 | 38 | 24 | 2005 | Venezuela | L. vannamei | G2–4 |
| 25 | 53 | 39 | 25 | 2005 | Hawaii | L. vannamei | G3 |
| 26 | 54 | 43 | 26 | 2005 | Thailand | L. vannamei | G3 |
| 27 | 55 | 42 | 27 | 2005 | Hawaii | L. vannamei | G3 |
| 28 | 56 | 40 | 28 | 2005 | Thailand | P. monodon | G3, G4 |
| 29 | 57 | 41 | 29 | 2005 | Thailand | P. monodon | G3, G4 |
| Primer Name | Location in TSV Genome | Nucleotide Position in the Genome of TSV Reference Strain | Sequence (5′–3′) | Amplicon Size (bp) |
|---|---|---|---|---|
| TSV 1-F | VP1 | 7901 | GGCGTAGTGAGTAATGTAGCT | 137 |
| TSV 1-R | VP1 | AGAGACAGGGGTACGCCATA | ||
| TSV 2-F | VP1 | 7955 | ACGAAAGTCAACGCATATGAGA | 123 |
| TSV 2-R | VP1 | AGGCACTGCAATTGTGGGAT | ||
| TSV 3-F | VP1 | 8057 | GATCCCACAATTGCAGTGCC | 125 |
| TSV 3-R | VP1 | AGAGACAGGGGTACGCCATA | ||
| TSV 4-F | VP1 | 8155 | TGACACTCCTGATGCGCATG | 122 |
| TSV 4-R | VP1 | CTAGACTAACTGGGGCAGCG | ||
| TSV 5-F | VP1 | 8257 | CGCTGCCCCAGTTAGTCTAG | 122 |
| TSV 5-R | VP1 | AGGGGAGATATTGCACCAGC | ||
| TSV 6-F | VP1 | 8359 | GCTGGTGCAATATCTCCCCT | 150 |
| TSV 6-R | VP1 | GGATCGTACACTCGCATCCA | ||
| TSV 7-F | VP1 | 8414 | TCACAGATCATCGACATCTCACA | 124 |
| TSV 7-R | VP1 | CACAATCTGCCGTGTACCCA | ||
| TSV 8-F | VP1 | 8518 | TGGGTACACGGCAGATTGTG | 145 |
| TSV 8-R | VP1 | AAGCGTACCTGGTTCAGCAA | ||
| TSV 9-F | VP1 | 8643 | TTGCTGAACCAGGTACGCTT | 149 |
| TSV 9-R | VP1 | TTCCCCCAAAGACACCTTCG | ||
| TSV 10-F | VP1 | 8721 | CAGTAACGCGTGCTCCAGTA | 147 |
| TSV 10-R | VP1 | GCAGTCCGGCATAAGCTAGT | ||
| TSV 11-F | VP1 | 8834 | GGTGGAAGGCACAGACTAGC | 121 |
| TSV 11-R | VP1 | CAAGAGTTGGAGCGCTGGTA | ||
| TSV 12-F | VP1 | 8935 | TACCAGCGCTCCAACTCTTG | 150 |
| TSV 12-R | VP1 | TCACCAATCGCTGCCATACT | ||
| TSV 13-F | VP1 | 9031 | TGGTATTTCCGAGGAGACGT | 137 |
| TSV 13-R | VP1 | TCACTGGAGCTTTGGACTCA | ||
| TSV 14-F | VP1 | 9071 | GCAGCGATTGGTGAAGCTAC | 127 |
| TSV 14-R | VP1 | TGACCACGGTATAGTTACCTGG | ||
| TSV 15-F | VP2 | 6948 | TGCCTGCTAACCCAGTTGAA | 55 |
| TSV 15-R | VP2 | AGTCCTCCACTGGTTGTTGT | ||
| TSV 16-F | VP2 | 7117 | AGTCCAGGACCAAGCTCTCA | 119 |
| TSV 16-R | VP2 | CTGTTGCAAGCTGTTCCTGC | ||
| TSV 17-F | VP2 | 7233 | CAGAATTCAATCAGCCACAC | 131 |
| TSV 17-R | VP2 | TACTCGTACAGTAACCTCGT | ||
| TSV 18-F | RdRp | 5194 | CAATGGCCATTGGTTCCGTT | 111 |
| TSV 18-R | RdRp | TATACAAGGTAGCGGGGGCT | ||
| TSV 19-F | RdRp | 5576 | GTGGTTGGGCTCTGAGGAAT | 117 |
| TSV 19-R | RdRp | GCCGCAAAAATACCCAAGCT | ||
| TSV 20-F | RdRp | 6099 | AACCATTCTCAGCCTTCCGG | 105 |
| TSV 20-R | RdRp | CCCGTTTTCTCGCTGAGCTA | ||
| TSV 21-F | RdRp | 6529 | AAACAACGCGCATTGCTTCT | 101 |
| TSV 21-R | RdRp | GTACCCTGCGTTCCTACACG | ||
| TSV 9195F * | Intergenic region/Open Reading Frame (ORF) 2 | 9195 | TCAATGAGAGCTTGGTCC | 231 |
| TSV 9992R * | Intergenic region/ORF 2 | AAGTAGACAGCCGCGCTT | ||
| TSV 1004F ** | ORF1 | 1004 | TTGGGCACCCGACATT | 72 |
| TSV 1075R ** | ORF1 | GGGAGCTTAAACTGGACACACTGT |
| GenBank Accession Number | Geographical Origin | Year | Species |
|---|---|---|---|
| FJ876481 | Belize | 2009 | P. vannamei |
| FJ876490 | Belize | 2009 | P. vannamei |
| FJ876507 | Nicaragua | 2009 | P. vannamei |
| FJ876516 | Nicaragua | 2009 | P. vannamei |
| FJ876520 | Taiwan | 2009 | P. vannamei |
| FJ876487 | Indonesia | 2009 | P. vannamei |
| FJ876509 | China | 2009 | P. vannamei |
| AY997025 | Thailand | 2005 | P. vannamei |
| GQ359322 | Texas, USA | 2010 | P. vannamei |
| GQ502201 | Texas, USA | 2010 | P. vannamei |
| FJ876492 | Texas, USA | 2009 | P. vannamei |
| FJ876469 | Hawaii | 2009 | P. vannamei |
| AF277675 | Hawaii | 1994 | P. vannamei |
| FJ876468 | Hawaii | 2009 | P. vannamei |
| FJ876466 | Ecuador | 2009 | P. vannamei |
| FJ876461 | Ecuador | 2009 | P. vannamei |
| FJ876513 | Ecuador | 2009 | P. vannamei |
| FJ876512 | Ecuador | 2009 | P. vannamei |
| FJ7876493 | Mexico | 2009 | P. vannamei |
| DQ000302 | Eritrea | 2006 | P. monodon |
| FJ876495 | Eritrea | 2009 | P. vannamei |
| FJ876508 | Aruba | 2009 | P. vannamei |
| FJ876511 | Aruba | 2009 | P. vannamei |
| FJ876503 | Venezuela | 2009 | P. vannamei |
| DQ212790 | Venezuela | 2005 | P. vannamei |
| FJ876502 | Venezuela | 2009 | P. vannamei |
| JQ356858 | Saudi Arabia | 2012 | P. indicus |
| JX094350 | Saudi Arabia | 2012 | P. indicus |
| Extraction Kit | Mean RNA Concentration (ng/µL) | Mean 260/280 Ratio | Mean 260/230 Ratio | Mean Ct Value (TSV) | Mean Ct Value (EF-1α) |
|---|---|---|---|---|---|
| Norgen Biotek FFPE RNA Purification Kit | 254.90 ± 109.5 | 1.87 ± 0.05 | 1.49 ± 0.34 | 24.12 ± 3.4 * | 28.25 ± 2.3 |
| Qiagen RNeasy FFPE Kit | 249.20 ± 179.5 | 1.91 ± 0.06 | 2.00 ± 0.14 | 22.90 ± 3.3 * | 28.49 ± 1.6 |
| Invitrogen PureLink FFPE RNA Isolation Kit | 355.30 ± 207.8 | 1.86 ± 0.05 | 1.49 ± 0.27 | 27.18 ± 3.9 | 28.68 ± 1.7 |
| Sample No. | Total Number of Amplicons Amplified from VP1 Gene (out of 14 Amplicons) | Total Number of Amplicons Amplified fromVP2 Gene (out of 3 Amplicons) | Total Number of Amplicons Amplified from RdRp Gene (out of 4 Amplicons) | Total Number Amplified (of 21 Amplicons) |
|---|---|---|---|---|
| 1 | 8 | 3 | 3 | 14 |
| 2 | 6 | 3 | 3 | 12 |
| 3 | 0 | 2 | 1 | 3 |
| 4 | 14 | 3 | 4 | 21 |
| 5 | 11 | 3 | 3 | 17 |
| 6 | 12 | 3 | 3 | 18 |
| 7 | 0 | 2 | 0 | 2 |
| 8 | 9 | 3 | 3 | 15 |
| 9 | 3 | 3 | 1 | 7 |
| 10 | 14 | 3 | 4 | 21 |
| 11 | 6 | 3 | 3 | 12 |
| 12 | 7 | 3 | 2 | 12 |
| 13 | 3 | 3 | 3 | 8 |
| 14 | 14 | 3 | 4 | 21 |
| 15 | 13 | 3 | 3 | 19 |
| 16 | 10 | 3 | 4 | 17 |
| 17 | 8 | 3 | 0 | 11 |
| 18 | 12 | 3 | 3 | 18 |
| 19 | 3 | 3 | 3 | 9 |
| 20 | 6 | 3 | 4 | 13 |
| 21 | 12 | 3 | 3 | 18 |
| 22 | 7 | 3 | 3 | 13 |
| 23 | 4 | 3 | 0 | 7 |
| 24 | 4 | 3 | 1 | 8 |
| 26 | 5 | 3 | 2 | 10 |
| 27 | 14 | 3 | 4 | 21 |
| 28 | 0 | 2 | 0 | 2 |
| 29 | 3 | 3 | 1 | 7 |
© 2020 by the authors. Licensee MDPI, Basel, Switzerland. This article is an open access article distributed under the terms and conditions of the Creative Commons Attribution (CC BY) license (http://creativecommons.org/licenses/by/4.0/).
Share and Cite
Ochoa, L.M.; Cruz-Flores, R.; Dhar, A.K. Detection and Phylogenetic Analyses of Taura Syndrome Virus from Archived Davidson’s-Fixed Paraffin-Embedded Shrimp Tissue. Viruses 2020, 12, 1030. https://doi.org/10.3390/v12091030
Ochoa LM, Cruz-Flores R, Dhar AK. Detection and Phylogenetic Analyses of Taura Syndrome Virus from Archived Davidson’s-Fixed Paraffin-Embedded Shrimp Tissue. Viruses. 2020; 12(9):1030. https://doi.org/10.3390/v12091030
Chicago/Turabian StyleOchoa, Lauren Marie, Roberto Cruz-Flores, and Arun K. Dhar. 2020. "Detection and Phylogenetic Analyses of Taura Syndrome Virus from Archived Davidson’s-Fixed Paraffin-Embedded Shrimp Tissue" Viruses 12, no. 9: 1030. https://doi.org/10.3390/v12091030
APA StyleOchoa, L. M., Cruz-Flores, R., & Dhar, A. K. (2020). Detection and Phylogenetic Analyses of Taura Syndrome Virus from Archived Davidson’s-Fixed Paraffin-Embedded Shrimp Tissue. Viruses, 12(9), 1030. https://doi.org/10.3390/v12091030

