Broadening the H5N3 Vaccine Immunogenicity against H5N1 Virus by Modification of Neutralizing Epitopes
Abstract
1. Introduction
2. Materials and Methods
2.1. Ethics Statement
2.2. Viruses
2.3. Vaccine Construction
2.4. Confirmation of Antigenic Relatedness
2.5. Mice Immunization and Challenge
2.6. Statistical Analysis
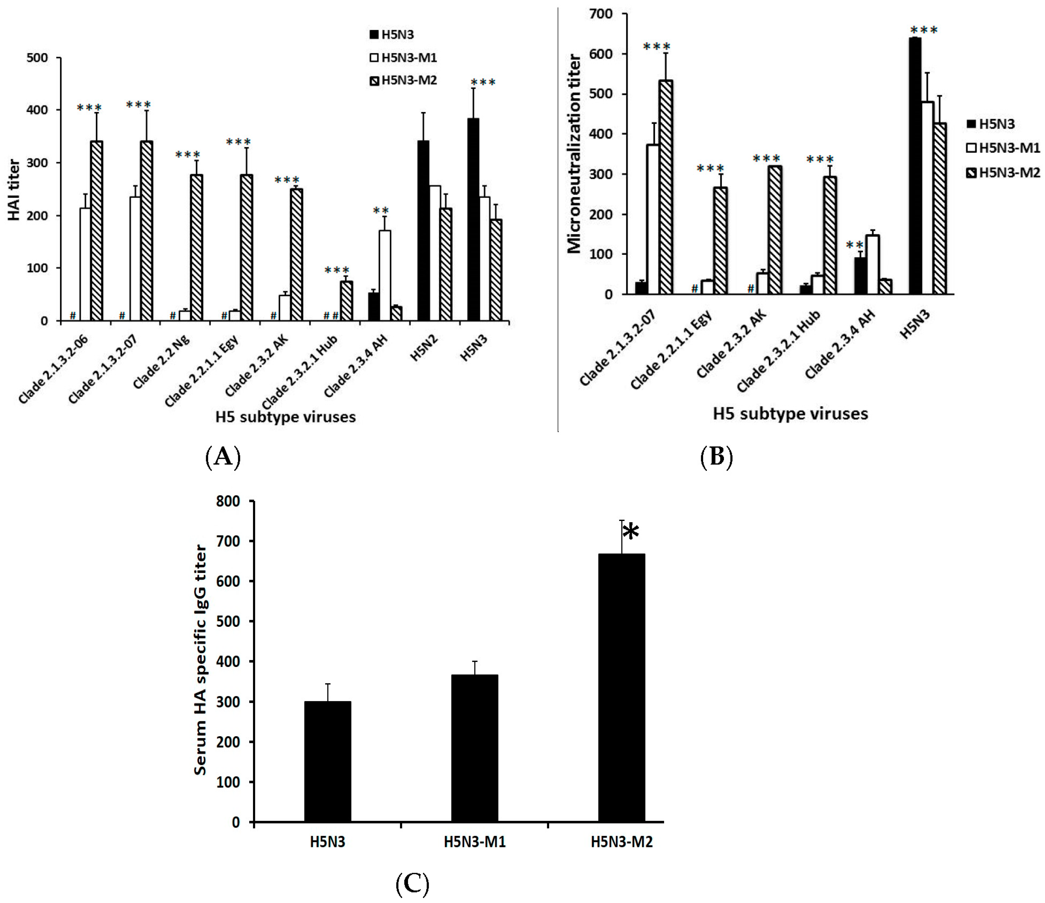
3. Results and Discussion
Acknowledgments
Author Contributions
Conflicts of Interest
References
- De Vries, E.; Guo, H.; Dai, M.; Rottier, P.J.; van Kuppeveld, F.J.; de Haan, C.A. Rapid Emergence of Highly Pathogenic Avian Influenza Subtypes from a Subtype H5N1 Hemagglutinin Variant. Emerg. Infect. Dis. 2015, 21, 842–846. [Google Scholar] [CrossRef] [PubMed]
- Wong, S.S.; Webby, R.J. Traditional and new influenza vaccines. Clin. Microbiol. Rev. 2013, 26, 476–492. [Google Scholar] [CrossRef] [PubMed]
- Prabakaran, M.; Leyrer, S.; He, F.; Auer, S.; Kumar, S.R.; Kindsmueller, K.; Mytle, N.; Schneider, J.; Lockhart, S.; Kwang, J. Progress toward a Universal H5N1 Vaccine: A Recombinant Modified Vaccinia Virus Ankara-Expressing Trivalent Hemagglutinin Vaccine. PLoS ONE 2014, 9, e107316. [Google Scholar] [CrossRef] [PubMed][Green Version]
- Yang, P.; Duan, Y.; Zhang, P.; Li, Z.; Wang, C.; Dong, M.; Tang, C.; Xing, L.; Gu, H.; Zhao, Z.; et al. Multiple-Clade H5N1 Influenza Split Vaccine Elicits Broad Cross Protection against Lethal Influenza Virus Challenge in Mice by Intranasal Vaccination. PLoS ONE 2012, 7, e30252. [Google Scholar] [CrossRef] [PubMed]
- Ducatez, M.F.; Bahl, J.; Griffin, Y.; Stigger-Rosser, E.; Franks, J.; Barman, S.; Vijaykrishna, D.; Webb, A.; Guan, Y.; Webster, R.G.; et al. Feasibility of reconstructed ancestral H5N1 influenza viruses for cross-clade protective vaccine development. Proc. Natl. Acad. Sci. USA 2011, 108, 349–354. [Google Scholar] [CrossRef] [PubMed]
- Chen, M.W.; Cheng, T.J.; Huang, Y.; Jan, J.T.; Ma, S.H.; Yu, A.L.; Wong, C.H.; Ho, D.D. A consensus hemagglutinin-based DNA vaccine that protects mice against divergent H5N1 influenza viruses. Proc. Natl. Acad. Sci. USA 2008, 105, 13538–13543. [Google Scholar] [CrossRef] [PubMed]
- Prabakaran, M.; He, F.; Meng, T.; Madhan, S.; Yunrui, T.; Jia, Q.; Kwang, J. Neutralizing epitopes of influenza virus hemagglutinin: Target for the development of a universal vaccine against H5N1 lineages. J. Virol. 2010, 84, 11822–11830. [Google Scholar] [CrossRef] [PubMed]
- Stephenson, I.; Bugarini, R.; Nicholson, K.G.; Podda, A.; Wood, J.M.; Zambon, M.C.; Katz, J.M. Cross-reactivity to highly pathogenic avian influenza H5N1 viruses after vaccination with nonadjuvanted and MF59-adjuvanted influenza A/duck/Singapore/97 (H5N3) vaccine: A potential priming strategy. J. Infect. Dis. 2005, 191, 1210–1215. [Google Scholar] [CrossRef] [PubMed]
- WHO. Antigenic and genetic characteristics of zoonotic influenza viruses and development of candidate vaccine viruses for pandemic preparedness. Wkly. Epidemiol. Rec. 2012, 87, 97–108. [Google Scholar]
- Winarski, K.L.; Thornburg, N.J.; Yu, Y.; Sapparapu, G.; Crowe, J.E., Jr.; Spiller, B.W. Vaccine-elicited antibody that neutralizes H5N1 influenza and variants binds the receptor site and polymorphic sites. Proc. Natl. Acad. Sci. USA 2015, 112, 9346–9351. [Google Scholar] [CrossRef] [PubMed]
- Prabakaran, M.; Ho, H.T.; Prabhu, N.; Velumani, S.; Szyporta, M.; He, F.; Chan, K.P.; Chen, L.M.; Matsuoka, Y.; Donis, R.O.; et al. Development of Epitope-Blocking ELISA for Universal Detection of Antibodies to Human H5N1 Influenza Viruses. PLoS ONE 2009, 4, e4566. [Google Scholar] [CrossRef] [PubMed]
- King, D.J. Evaluation of different methods of inactivation of Newcastle disease virus and avian influenza virus in egg fluids and serum. Avian Dis. 1991, 35, 505–514. [Google Scholar] [CrossRef] [PubMed]
- Kaverin, N.V.; Rudneva, I.A.; Ilyushina, N.A.; Varich, N.L.; Lipatov, Y.A.; Smirnov, E.A.; Gitelman, A.K.; Lvov, D.K.; Webster, R.G. Structure of antigenic sites on the hemagglutinin molecule of H5 influenza virus and phenotypic variation of escape mutants. J. Gen. Virol. 2002, 83, 2497–2505. [Google Scholar] [CrossRef] [PubMed]
- Prabakaran, M.; Madhan, S.; Prabhu, N.; Qiang, J.; Kwang, J. Gastrointestinal delivery of baculovirus displaying influenza virus hemagglutinin protects mice against heterologous H5N1 infection. J. Virol. 2010, 84, 3201–3209. [Google Scholar] [CrossRef] [PubMed]
- Zhongying, C.; Helen, Z.; Hong, J. The impact of key amino acid substitutions in the hemagglutinin of influenza A (H3N2) viruses on vaccine production and antibody response. Vaccine 2010, 28, 4079–4085. [Google Scholar]
- Suguitan, A.L., Jr.; McAuliffe, J.; Milis, K.L.; Jin, H.; Duke, G.; Lu, B.; Luke, C.J.; Murphy, B.; Swayne, D.E.; Kemble, G.; et al. Live, attenuated influenza A H5N1 candidate vaccines provide broad cross protection in mice and ferrets. PLoS Med. 2006, 3, e360. [Google Scholar] [CrossRef] [PubMed]
- Webster, R.G.; Kawaoka, Y.; Taylor, J.; Weinberg, R.; Paoletti, E. Efficacy of nucleoprotein and hemagglutinin antigens expressed in fowl pox virus as vaccine for influenza in chickens. Vaccine 1991, 9, 303–308. [Google Scholar] [CrossRef]
- Beato, M.S.; Mancin, M.; Yang, J.; Buratin, A.; Ruffa, M.; Maniero, S.; Fusaro, A.; Terregino, C.; Wan, X.F.; Capua, L. Antigenic characterization of recent H5N1 highly pathogenic avian influenza viruses circulating in Egyptian poultry. Virology 2013, 435, 350–356. [Google Scholar] [CrossRef] [PubMed]
- Shore, D.A.; Yang, H.; Balish, A.L.; Shepard, S.S.; Carney, P.J.; Chang, J.C.; Davis, C.T.; Donis, R.O.; Villanueva, J.M.; Klimov, A.I.; et al. Structural and Antigenic Variation among Diverse Clade 2 H5N1 Viruses. PLoS ONE 2013, 8, e75209. [Google Scholar] [CrossRef] [PubMed]
- Skehel, J.J.; Wiley, D.C. Receptor binding and membrane fusion in virus entry: The influenza hemagglutinin. Annu. Rev. Biochem. 2000, 69, 531–569. [Google Scholar] [CrossRef] [PubMed]
- Lee, M.S.; Yang, C.F. Cross-reactive H1N1 antibody responses to a live attenuated influenza vaccine in children: Implication for selection of vaccine strains. J. Infect. Dis. 2003, 188, 1362–1366. [Google Scholar] [CrossRef] [PubMed]
- Koel, B.F.; Vliet, V.S.; Burke, D.F.; Bestebroer, T.M.; Bharoto, E.E.; Yasa, I.W.W.; Herliana, I.; Laksono, B.M.; Xu, K.; Skepner, E.; et al. Antigenic variation of clade 2.1 H5N1 virus is determined by a few amino acid substitutions immediately adjacent to the receptor binding site. mBio 2014, 5, e01070-14. [Google Scholar] [CrossRef] [PubMed]
- Stevens, J.; Blixt, O.; Chen, L.M.; Donis, R.O.; Paulson, J.C.; Wilson, I.A. Recent avian H5N1 viruses exhibit increased propensity for acquiring human receptor specificity. J. Mol. Biol. 2008, 381, 1382–1394. [Google Scholar] [CrossRef] [PubMed]



| Reference Chicken Sera against RG-H5N1 Viruses | Clade | Viral Microneutralization Titer # 100 TCID50 of Virus | |||
|---|---|---|---|---|---|
| RG-H5N3 | RG-H5N3HAM0 | RG-H5N3HAM1 | RG-H5N3HAM2 | ||
| A/Hong Kong/213/03 (H5N1) | 1 | <10 | NT | <10 | 53.3 |
| A/Vietnam/1203/04 | 1 | 16.6 | <10 | 40 | <10 |
| A/duck/Thailand/CV-328/2007 | 1 | <10 | <10 | 33.3 | <10 |
| A/Indonesia/CDC669/2006 | 2.1.3.2 | <10 | 30.3 | 320 | 403.2 |
| A/Indonesia/CDC1031/2007 | 2.1.3.2 | <10 | 34.8 | 253.9 | 507.9 |
| A/Nigeria/6e/2007 | 2.2 | <10 | 52.8 | 100.8 | 320 |
| A/chicken/Egypt/12186F/2012 | 2.2.2.1 | <10 | 69.6 | 25.2 | 253.9 |
| A/Whooper Swan/Akita/1/2008 | 2.3.2.1 | <10 | 60.6 | 50.4 | 253.9 |
| A/Hubei/1/2010 | 2.3.2.1 | <10 | 34.8 | 40 | 201.6 |
| A/Anhui/01/2005 | 2.3.4 | 50.4 | <10 | 126.9 | 25.2 |
| A/goose/Guiyang/337/2006 | 4 | <10 | <10 | 26.6 | <10 |
| H5N3 A/duck/Singapore /3/1997 | - | 640 | 367.6 | 403.2 | 320 |
| H5N2 A/Common Iora/Indonesia/F89/11/95 | - | 507.9 | NT | 403.2 | 253.9 |
© 2017 by the authors. Licensee MDPI, Basel, Switzerland. This article is an open access article distributed under the terms and conditions of the Creative Commons Attribution (CC BY) license (http://creativecommons.org/licenses/by/4.0/).
Share and Cite
Rajesh Kumar, S.; Chelvaretnam, S.; Tan, Y.; Prabakaran, M. Broadening the H5N3 Vaccine Immunogenicity against H5N1 Virus by Modification of Neutralizing Epitopes. Viruses 2018, 10, 2. https://doi.org/10.3390/v10010002
Rajesh Kumar S, Chelvaretnam S, Tan Y, Prabakaran M. Broadening the H5N3 Vaccine Immunogenicity against H5N1 Virus by Modification of Neutralizing Epitopes. Viruses. 2018; 10(1):2. https://doi.org/10.3390/v10010002
Chicago/Turabian StyleRajesh Kumar, Subaschandrabose, Sharenya Chelvaretnam, Yunrui Tan, and Mookkan Prabakaran. 2018. "Broadening the H5N3 Vaccine Immunogenicity against H5N1 Virus by Modification of Neutralizing Epitopes" Viruses 10, no. 1: 2. https://doi.org/10.3390/v10010002
APA StyleRajesh Kumar, S., Chelvaretnam, S., Tan, Y., & Prabakaran, M. (2018). Broadening the H5N3 Vaccine Immunogenicity against H5N1 Virus by Modification of Neutralizing Epitopes. Viruses, 10(1), 2. https://doi.org/10.3390/v10010002
