Microsporogenesis and Induction of Unreduced Pollen with High Temperatures in Rubber Tree Clone RRIM 600
Abstract
:1. Introduction
2. Materials and Methods
2.1. Plant Materials
2.2. Morphological and Cytological Observations of MFBs
2.3. High-Temperature Treatment
2.4. Statistics and Data Analysis
3. Results
3.1. Asynchronism of Microsporogenesis in Different Microsporangiums from the MFB
3.2. Relationship between Microsporogenesis and Morphological Characteristics of MFBs
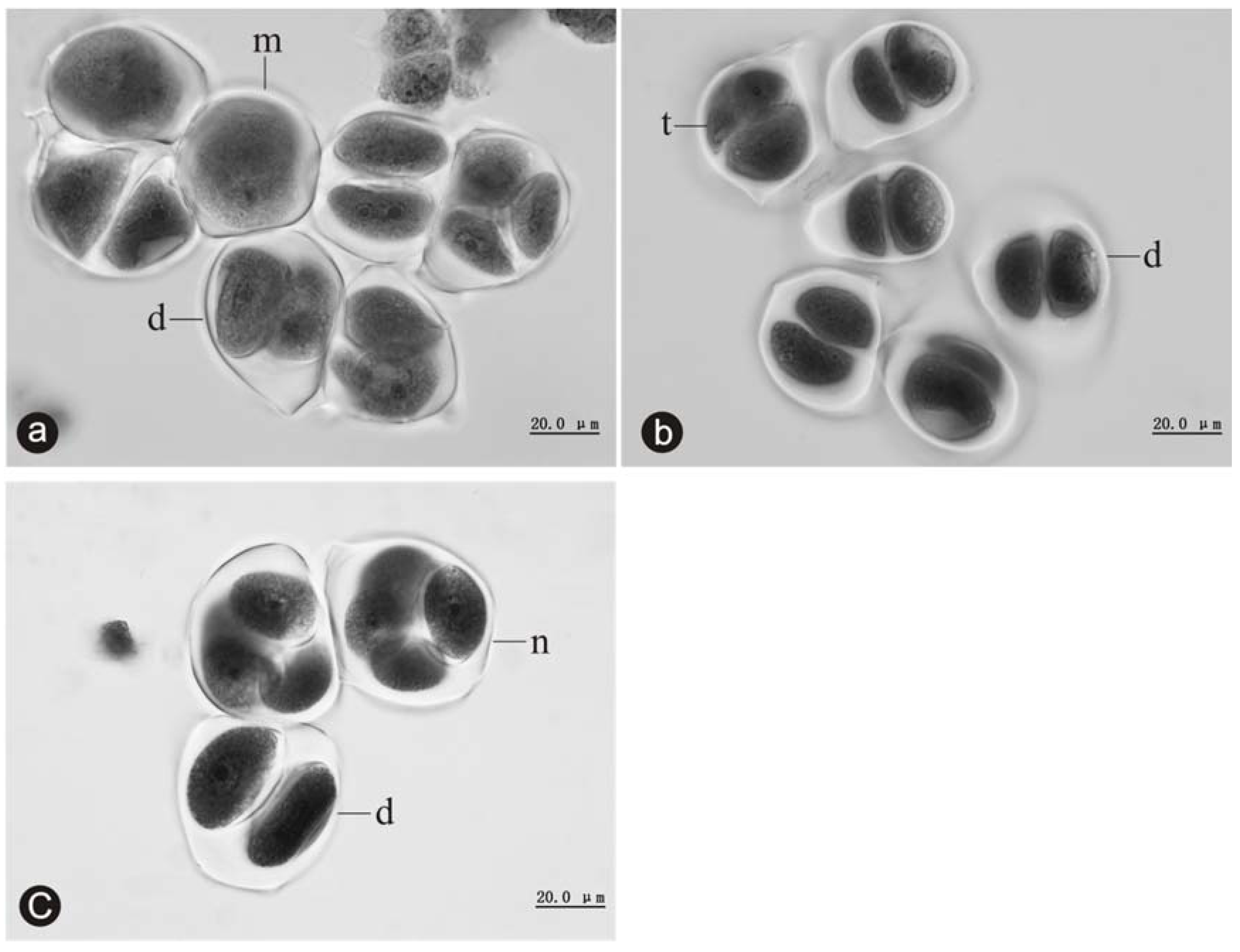
3.3. Production of Unreduced Pollen
4. Discussion
5. Conclusions
Acknowledgments
Author Contributions
Conflicts of Interest
References
- Mooibroek, H.; Cornish, K. Alternative sources of natural rubber. Appl. Microbiol. Biotechnol. 2000, 53, 355–365. [Google Scholar] [CrossRef] [PubMed]
- Dewitte, A.; Van Huylenbroeck, J.; Van Laere, K. Use of 2n Gametes in Plant Breeding; InTech Open Access Publisher: Rijeka, Croatia, 2012; Available online: http://cdn.intechopen.com/pdfs/25553/InTech-Use_of_2n_gametes_in_plant_breeding.pdf (accessed on 10 June 2012).
- Kang, X.Y.; Wang, J. Technology Study on Polyploidy Induction in Populus; Science Press: Beijing, China, 2010; pp. 7–56. [Google Scholar]
- Li, H.B.; Zhou, T.Y.; Ning, L.Y.; Li, G.H. Cytological identification and breeding course of Hevea ‘Yunyan 77-2’ and ‘Yunyan 77-4’. J. Trop. Subtrop. Bot. 2009, 17, 602–605. [Google Scholar]
- Ao, S.C.; He, L.G.; Xiao, G.X.; Chen, J.B.; He, C.G. High yield and cold resistance Hevea of Yunyan 77-2 and Yunyan 77-4 selection and breeding. J. Yunnan Trop. Crop. Sci. Technol. 1998, 21, 3–8. [Google Scholar]
- Li, M.Q. Physiological identification of cold resistance of Hevea Yunyan 77-2 and Yunyan 77-4. Trop. Agric. Sci. Technol. 2005, 28, 3–6. [Google Scholar]
- Carputo, D.; Barone, A.; Frusciante, L. 2n gametes in the potato: Essential ingredients for breeding and germplasm transfer. Theor. Appl. Genet. 2000, 101, 805–813. [Google Scholar] [CrossRef]
- Przybyla, A.; Behrend, A.; Bornhake, C.; Hohe, A. Breeding of polyploid heather (Calluna vulgaris). Euphytica 2014, 199, 273–282. [Google Scholar] [CrossRef]
- Yang, L.Q. Forepart study on new varieties Yunyan 77-2 and Yunyan 77-4 of Hevea brasiliensis. J. Yunnan Trop. Crop. Sci. Technol. 2002, 25, 1–4. [Google Scholar]
- Feng, S.P.; Li, W.G.; Huang, H.S.; Wang, J.Y.; Wu, C.T. Development, characterization and cross-species/genera transferability of EST-SSR markers for rubber tree (Hevea brasiliensis). Mol. Breed. 2009, 23, 87–97. [Google Scholar] [CrossRef]
- Yao, P.Q.; Li, G.H.; Long, Q.Y.; He, L.G.; Kang, X.Y. Male parent identification of triploid rubber trees (Hevea brasiliensis) and the mechanism of 2n gametes formation. Forests 2016, 7, 301. [Google Scholar] [CrossRef]
- Zhang, J.F.; Wei, Z.Z.; Li, D.; Li, B.L. Using SSR markers to study the mechanism of 2n pollen formation in Populus × euramericana (Dode) Guinier and P. × popularis. Ann. For. Sci. 2009, 66, 1–10. [Google Scholar] [CrossRef]
- Kürschner, W.M.; Batenburg, S.J.; Mander, L. Aberrant Classopollis pollen reveals evidence for unreduced (2n) pollen in the conifer family Cheirolepidiaceae during the Triassic–Jurassic transition. Proc. Biol. Sci. 2013, 280, 20131708. [Google Scholar] [CrossRef] [PubMed]
- Xue., Z.; Liu, P.; Liu, M. Cytological mechanism of 2n pollen formation in Chinese jujube (Ziziphus jujuba Mill.’Linglingzao’). Euphytica 2011, 182, 231–238. [Google Scholar] [CrossRef]
- Sugiura, A.; Ohkuma, T.; Choi, Y.A.; Tao, R. Production of nonaploid (2n = 9x) Japanese persimmons (Diospyros kaki) by pollination with unreduced (2n = 6x) pollen and embryo rescue culture. J. Am. Soc. Hortic. Sci. 2000, 125, 609–614. [Google Scholar]
- Yang, J.; Yao, P.; Li, Y.; Mo, J.; Wang, J.; Kang, X. Induction of 2n pollen with colchicine during microsporogenesis in Eucalyptus. Euphytica 2016, 210, 69–78. [Google Scholar] [CrossRef]
- Mao, Y.K.; Zhang, P.D.; Shi, L.; Dong, C.B.; Suo, Y.J.; Kang, X.Y. The optimum conditions for inducing 2n pollen chromosome doubling by high temperature in Eucommia ulmoides. J. Beijing For. Univ. 2013, 35, 53–58. [Google Scholar]
- Cheng, J.; Li, Y.; Wang, Y.; Jiang, J.; Wang, Q.; Feng, D.; Hu, J. Pollen chromosome doubling of Ginkgo biloba induced by colchicines. J. Beijing For. Univ. 2006, 28, 15. [Google Scholar]
- Kang, X.; Zhu, Z.; Zhang, Z. Suitable period of high temperature treatment of 2n pollen of Populus tomentosa × P. bolleana. J. Beijing For. Univ. 1999, 22, 1–4. [Google Scholar]
- Yang, J.; Kang, X.Y. Microsporogenesis and flower development in Eucalyptus urophylla × E. tereticornis. Breed. Sci. 2015, 65, 138–144. [Google Scholar] [CrossRef] [PubMed]
- Yu, F.; Wang, B.H.; Feng, S.P.; Wang, J.Y.; Li, W.G.; Wu, Y.T. Development, characterization, and cross-species/genera transferability of SSR markers for rubber tree (Hevea brasiliensis). Plant Cell Rep. 2011, 30, 335–344. [Google Scholar] [CrossRef] [PubMed]
- Li, D.J.; Xia, Z.; Deng, Z.; Liu, X.; Dong, J.; Feng, F. Development, characterization, genetic diversity and cross-species/genera transferability of ILP markers in rubber tree (Hevea brasiliensis). Genes Genom. 2013, 35, 719–731. [Google Scholar] [CrossRef]
- Lau, N.-S.; Makita, Y.; Kawashima, M.; Taylor, T.D.; Kondo, S.; Othman, A.S.; Shu-Chien, A.C.; Matsui, M. The rubber tree genome shows expansion of gene family associated with rubber biosynthesis. Sci. Rep. 2016, 6, 28594. [Google Scholar] [CrossRef] [PubMed]
- Wang, J.; Li, D.L.; Kang, X.Y. Induction of unreduced megaspores with high temperature during megasporogenesis in Populus. Ann. For. Sci. 2012, 69, 59–67. [Google Scholar] [CrossRef]
- Lu, M.; Zhang, P.D.; Kang, X.Y. Induction of 2n female gametes in Populus adenopoda Maxim by high temperature exposure during female gametophyte development. Breed. Sci. 2013, 63, 96–103. [Google Scholar] [CrossRef] [PubMed]
- Li, Y.; Wang, Y.; Wang, P.; Yang, J.; Kang, X. Induction of unreduced megaspores in Eucommia ulmoides by high temperature treatment during megasporogenesis. Euphytica 2016, 212, 515–524. [Google Scholar] [CrossRef]
- Zhang, X.Z.; Liu, G.J.; Yan, L.Y.; Zhao, Y.B.; Chang, R.F.; Wu, L.P. Creating triploid germplasm via induced 2n pollen in Capsicum annuum L. J. Hortic. Sci. Biotechnol. 2002, 78, 84–88. [Google Scholar] [CrossRef]
- Zhang, L.; Wang, J.; Suo, Y.J.; Kang, X.Y. Pollen chromosome doubling under high temperature in Populusalba. L. J. Nucl. Agric. Sci. 2010, 24, 1158–1165. [Google Scholar]
- Wang, C.; Lentini, Z.; Tabares, E.; Quintero, M.; Ceballos, H.; Dedicova, B.; Sautter, C.; Olaya, C.; Zhang, P. Microsporogenesis and pollen formation in cassava. Biol. Plant. 2011, 55, 469–478. [Google Scholar] [CrossRef]
- Wyatt, R. Inflorescence architecture: How flower number, arrangement, and phenology affect pollination and fruit-set. Am. J. Bot. 1982, 69, 585–594. [Google Scholar] [CrossRef]
- Orjeda, G.; Freyre, R.; Iwanaga, M. Production of 2n pollen in diploid Ipomoea trifida, a putative wild ancestor of sweet potato. J. Hered. 1990, 81, 462–467. [Google Scholar] [CrossRef]
- Lopez-Lavalle, L.A.B.; Orjeda, G. Occurrence and cytological mechanism of 2n pollen formation in a tetraploid accession of Ipomoea batatas (sweet potato). J. Hered. 2002, 93, 185–192. [Google Scholar] [CrossRef]
- Okazaki, K.; Kurimoto, K.; Miyajima, I.; Enami, A.; Mizuochi, H.; Matsumoto, Y.; Ohya, H. Induction of 2n pollen in tulips by arresting meiotic process with nitrous oxide gas. Euphytica 2005, 143, 101–114. [Google Scholar] [CrossRef]
- Akutsu, M.; Kitamura, S.; Toda, R.; Miyajima, I.; Okazaki, K. Production of 2n pollen of Asiatic hybrid lilies by nitrous oxide treatment. Euphytica 2007, 155, 143–152. [Google Scholar] [CrossRef]
- Ramsey, J. Unreduced gametes and neopolyploids in natural populations of Achillea borealis (Asteraceae). Heredity 2007, 98, 143–150. [Google Scholar] [CrossRef] [PubMed]
- Priyadarshan, P.M.; Gonçalves, P.S.; Omokhafe, K.O. Breeding Hevea Rubber. Breeding Plantation Tree Crops: Tropical Species; Springer: New York, NY, USA, 2009; pp. 469–522. [Google Scholar]
- Wu, C.T.; Li, W.G.; Gao, X.S.; Zhang, X.F.; Zhang, W.S. Problems in rubber tree breeding in China and their counter measures. Acta Agric. Jiangxi 2009, 21, 74–77. [Google Scholar]
- Nayanakantha, N.M.C.; Tian, L. Hevea’s tissue culture outlook: Past, now and future. World Trop. Agric. Inf. 2010, 10, 1–5. [Google Scholar]
- Peng, S.Q.; Chen, S.C. Advances in molecular biology of rubber tree (Hevea brasiliensis). Lett. Biotechnol. 2001, 12, 314–317. [Google Scholar]
- Zheng, X.; Zeng, X.; Chen, X.; Yang, G. A further report on induction and cytological studies on polyploid mutants of Hevea (I). Chin. J. Trop. Crops 1980, 1, 27–31. [Google Scholar]
- Zheng, X.; Zeng, X.; Chen, X.; Yang, G. A further report on induction and cytological studies on polyploid mutants of Hevea (II). Chin. J. Trop. Crops 1981, 2, 1–9. [Google Scholar]
- Tan, D.; Zhuang, N.; Huang, H. Advances in ploidy breeding of Hevea brasiliensis. Chin. J. Trop. Agric. 2004, 24, 58–64. [Google Scholar]
- Harihar, G.; Yeang, H.Y. The low fruit set that follows conventional hand pollination in Hevea brasiliensis: Insufficiency of pollen as a cause. J. Rubber Res. Inst. Malaya 1984, 32, 20–29. [Google Scholar]
- Olapade, E.O.; Omkhafe, K.O. Hand pollination of Hevea brasiliensis in Nigeria (1984–1990). Comparison with open pollinated field data. J. Rubber Res. Inst. Sri Lanka 1990, 70, 27–34. [Google Scholar]
- Kang, X.Y.; Zhu, Z.T. A study on the 2n pollen vitality and germinant characteristics of white poplars. Acta Bot. Yunnanica 1997, 19, 402–406. [Google Scholar]
- Li, Y.H.; Kang, X.Y.; Wang, S.D.; Zhang, Z.H.; Chen, H.W. Triploid induction in Populus alba × P. glandulosa by chromosome doubling of female gametes. Silvae Genet. 2008, 57, 37–40. [Google Scholar]







| Microsporogenesis Stages | Average ± SE of MFBs (mm) | Number of MFBs Examined | |
|---|---|---|---|
| Length | Width | ||
| Archesporial cell | ≤1.162 ± 0.040 | ≤0.916 ± 0.016 | 96 |
| Early leptotene | 1.346 ± 0.011 | 1.001 ± 0.006 | 192 |
| Late leptotene | 1.497 ± 0.008 | 1.068 ± 0.004 | 248 |
| Pachytene | 1.632 ± 0.009 | 1.123 ± 0.005 | 208 |
| Diplotene | 1.708 ± 0.018 | 1.154 ± 0.007 | 132 |
| Diakinesis | 1.678 ± 0.023 | 1.167 ± 0.010 | 108 |
| Metaphase I | 1.695 ± 0.026 | 1.145 ± 0.015 | 86 |
| Anaphase I | 1.723 ± 0.024 | 1.144 ± 0.006 | 92 |
| Telophase I | 1.783 ± 0.043 | 1.150 ± 0.032 | 48 |
| Prophase II | 1.723 ± 0.029 | 1.142 ± 0.027 | 30 |
| Metaphase II | 1.704 ± 0.043 | 1.173 ± 0.017 | 52 |
| Anaphase II | 1.736 ± 0.038 | 1.149 ± 0.012 | 90 |
| Telophase II | 1.763 ± 0.021 | 1.180 ± 0.010 | 106 |
| Tetrad | 1.830 ± 0.009 | 1.211 ± 0.004 | 290 |
| Microspore | ≥1.957 ± 0.011 | ≥1.266 ± 0.005 | 228 |
| Microsporogenesis Stages | MFBs Stage (%) | |||
|---|---|---|---|---|
| Morphology 1 | Morphology 2 | Morphology 3 | Morphology 4 | |
| Archesporial cell—early leptotene | - | - | 0.53 | 42.16 |
| Late leptotene | - | - | 8.53 | 32.11 |
| pachytene | - | - | 11.90 | 16.42 |
| Diplotene—metaphase I | - | 6.14 | 37.12 | 9.31 |
| Anaphase—telophase II | - | 20.40 | 29.84 | - |
| Tetrad | 8.20 | 41.39 | 12.08 | - |
| Microspore | 91.80 | 32.08 | - | - |
| Total statistical number of flower buds | 427 | 505 | 563 | 408 |
| Treatment Temperature (°C) | Unreduced Pollen Ratio of Different MFBs (%) | Total Number of MFBs Examined | |||
|---|---|---|---|---|---|
| Morphology 1 | Morphology 2 | Morphology 3 | Morphology 4 | ||
| 40 | 0.25 ± 0.10 | 8.53 ± 1.13 | 12.21 ± 2.52 | 2.73 ± 0.12 | 124 |
| 42 | 1.36 ± 0.18 | 11.48 ± 2.39 | 18.63 ± 3.36 | 4.15 ± 0.21 | 137 |
| 44 | 0.57 ± 0.26 | 10.45 ± 2.21 | 20.17 ± 2.90 | 3.73 ± 0.45 | 120 |
| 46 | 1.32 ± 0.20 | 7.52 ± 2.23 | 11.87 ± 2.03 | 2.56 ± 0.22 | 108 |
| control | 0 | 0 | 0 | 0 | 182 |
| Temperature (°C) | Subset (α = 0.01) | |
|---|---|---|
| 1 | 2 | |
| 40 | 5.0231 | - |
| 46 | 5.4403 | - |
| 42 | - | 8.5431 |
| 44 | - | 8.0657 |
| Sig. | 0.272 | 0.281 |
| Different MFBs | Subset (α = 0.01) | |||
|---|---|---|---|---|
| 1 | 2 | 3 | 4 | |
| Morphology 1 | 0.8201 | - | - | - |
| Morphology 2 | - | 8.4233 | - | - |
| Morphology 3 | - | - | 15.8203 | - |
| Morphology 4 | - | - | - | 3.1025 |
| Sig. | 1.000 | 1.000 | 1.000 | 1.000 |
© 2017 by the authors. Licensee MDPI, Basel, Switzerland. This article is an open access article distributed under the terms and conditions of the Creative Commons Attribution (CC BY) license (http://creativecommons.org/licenses/by/4.0/).
Share and Cite
Yao, P.-Q.; Li, G.-H.; Long, Q.-Y.; He, L.-G.; Kang, X.-Y. Microsporogenesis and Induction of Unreduced Pollen with High Temperatures in Rubber Tree Clone RRIM 600. Forests 2017, 8, 152. https://doi.org/10.3390/f8050152
Yao P-Q, Li G-H, Long Q-Y, He L-G, Kang X-Y. Microsporogenesis and Induction of Unreduced Pollen with High Temperatures in Rubber Tree Clone RRIM 600. Forests. 2017; 8(5):152. https://doi.org/10.3390/f8050152
Chicago/Turabian StyleYao, Peng-Qiang, Guo-Hua Li, Qing-Yi Long, Li-Gang He, and Xiang-Yang Kang. 2017. "Microsporogenesis and Induction of Unreduced Pollen with High Temperatures in Rubber Tree Clone RRIM 600" Forests 8, no. 5: 152. https://doi.org/10.3390/f8050152
APA StyleYao, P.-Q., Li, G.-H., Long, Q.-Y., He, L.-G., & Kang, X.-Y. (2017). Microsporogenesis and Induction of Unreduced Pollen with High Temperatures in Rubber Tree Clone RRIM 600. Forests, 8(5), 152. https://doi.org/10.3390/f8050152
