Development and Evaluation of Polyvinyl Alcohol-Hydrogels as an Artificial Atrticular Cartilage for Orthopedic Implants
Abstract
:1. Introduction
2. The Development of PVA-H

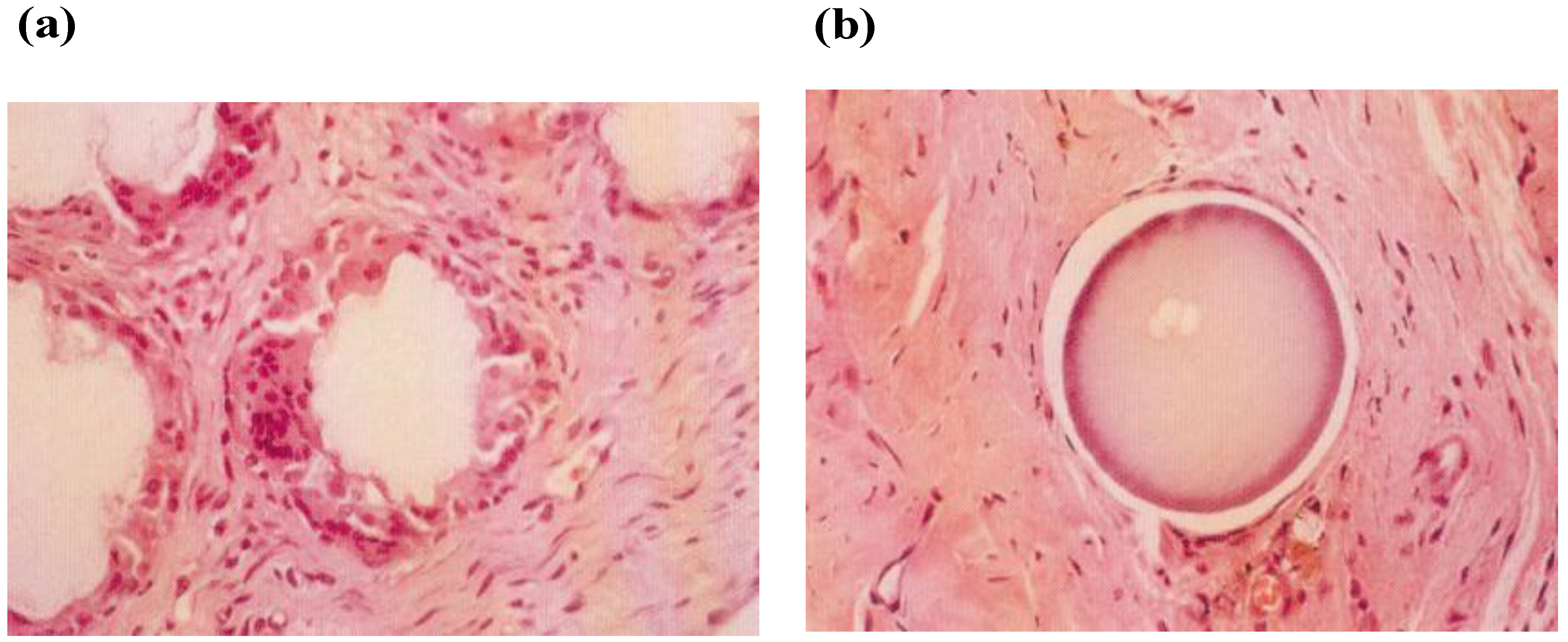
3. Biocompatibility of PVA-H

4. Bio-Mechanical Properties of PVA-H
4.1. Mechanical properties of PVA-H


4.2. Tribology of PVA-H







5. Application for Arthroplasty Implant
5.1. Development of artificial articular cartilage of PVA-H
5.2. Development of artificial articular cartilage as a hemi-arthroplasty




6. Current Problems and Clinical Potential of PVA-H Cartilage
6.1. Current problems of PVA-H
6.2. Clinical potential of PVA-H cartilage

References and Notes
- Hyon, S.H.; Cha, W.I.; Ikada, Y. Preparation of transparent poly(vinyl alcohol) hydrogel. Polym. Bull. 1989, 22, 119–122. [Google Scholar] [CrossRef]
- Cha, W.I.; Hyon, S.H.; Oka, M; Ikada, Y. Mechanical and wear properties of poly (vinyl alcohol ) hydrogels. Macromolec. Symp. 1996, 109, 115–126. [Google Scholar] [CrossRef]
- Delecrin, J.; Oka, M; Kumar, P.; Kotoura, T.; Yamamuro, T.; Noguchi, T. Joint reactions against polymer particles: PVA-H versus UHMEPE. J. Jpn. Ortho. Assoc. 1990, 64, 1395. [Google Scholar]
- Noguchi, T.; Yamamuro, T.; Oka, M. Poly (vinyl alcohol) hydrogel as an artificial articular cartilage: evaluation of biocompatibility. J. Appl. Biomater. 1991, 2, 101–107. [Google Scholar] [CrossRef] [PubMed]
- Peppas, N.A.; Merrill, E.W. Development of semicrystalline polyvinyl alcohol hydrogels for biomedical application. J. Biomed. Mater Res. 1997, 11, 423–434. [Google Scholar] [CrossRef]
- Young, T.H.; Yao, N.K.; Chang, R.F.; Chen, L.W. Evaluation of asymmetric poly vunyl alcohol membranes for use in artificial islets. Biomaterials 1996, 17, 2139–2145. [Google Scholar] [CrossRef] [PubMed]
- Kobayashi, M.; Toguchida, J.; Oka, M. Development of PVA-H shields with a high water content for tendon injuryrepair. J. Hand. Surg. 2001, 26, 436–440. [Google Scholar] [CrossRef]
- Nishiura, J.; Oka, M.; Sakaguchi, K. Mechanical properties of PVA-H using Injection molding method (in Japanese). J. Japan. Clin. Biomech. 2001, 22, 129–133. [Google Scholar]
- Kobayashi, M.; Oka, M. Characterization of a polyvinyl alcohol-hydrogel artificial articular cartilage prepared by injection molding. J. Biomater. Sci. Polym. Edn. 2004, 15, 741–751. [Google Scholar] [CrossRef]
- Kobayashi, M; Toguchida, J.; Oka, M. Development of an artificial meniscus using polyvinyl alcohol-hydrogel for early return to, and continuance of, athletic life in sportspersons with severe meniscus injury. I: Mechanical evaluation. The Knee 2003, 10, 47–51. [Google Scholar] [CrossRef] [PubMed]
- Hayashi, R.; Oka, M.; Ikeuchi, K. Friction of artificial cartilage sliding against articular cartilage (in Japanese). J. Japan. Clin. Biomech. 1999, 20, 307–313. [Google Scholar]
- Kobayashi, M.; Toguchida, J.; Oka, M. Study on the lubrication mechanism of natural joint by confocal laser scanning microscopy. J. Biomed. Mater. Res. 2001, 55, 645–651. [Google Scholar] [CrossRef] [PubMed]
- Kobayashi, M; Toguchida, J.; Oka, M. The lubricative function of artificial joint material surfaces by confocal laser scanning microscopy. Comparison with natural synovial joint surface. Bio-Med. Mater. Eng. 2003, 12, 429–437. [Google Scholar]
- Swan, D.A.; Silver, F.H.; Slayter, H.S. The molecular structure and lubricating activity of lubricin isolated from bovine and human synovial fluids. Biochemistry 1985, 225, 195–201. [Google Scholar]
- Pickard, J.E; Fisher, E.; Ingham, E.; Egan, J. Investigation into the effect of proteins and lipids on the frictional properties of articular cartilage. Biomaterials 1998, 19, 1807–1812. [Google Scholar]
- Murakami, T. The Adaptive Multimode Lubrication in Biotribological Systems. In Proceedings of International Tribology Conference, Yokohama, Japan, 1995; volume 3, pp. 1981–1986.
- Matsuda, Y.; Yamamuro, T.; Kasai, R.; Matsusue, Y.; Okumura, H. Severe metallosis due to abnormal abrasion of the femoral head in a dual bearing hip prosthesis. A case report. J. Arthroplasty 1992, 7, 439–445. [Google Scholar] [CrossRef] [PubMed]
- Salvati, E.A.; Coornell, C.N. Long-term follow up of total hip replacement in patient with avascular necrosis. Instr. Course. Lect. 1988, 37, 67–73. [Google Scholar] [PubMed]
- Oka, M.; Chang, Y.S.; Nakamura, T.; Ushio, K.; Toguchida, J. Synthetic osteochondral replacement of the femoral articular surface. J. Bone. Joint. Surg. B 1997, 79-B, 1003–1007. [Google Scholar] [CrossRef]
- Corkhill, P.; Trevent, A.; Tighe, B. The potential of hydrogels as synthetic articular cartilage. Proc. Inst. Mech. Eng. 1990, 204, 147–155. [Google Scholar] [CrossRef]
- Murakami, T.; Sawae, Y.; Nakajima, K. Evaluation of friction and wear characteristics of artificial cartilage materials (in Japanese). J. Jpn. Clin. Biomech. 1999, 20, 319–323. [Google Scholar]
- Arict, J. Nontraumatic avascular necrosis of tha femoral head: Past, present, and future. Clin. Orthoped. 1992, 277, 12–21. [Google Scholar]
- Hugerford, M.W.; Mont, M.A.; Scott, R.; Fiore, C.; Hungerford, D.S.; Krackow, K.A. Surface replacement hemiarthroplasty for the treatment of osteonecrosis of the femoral head. J. Bone Joint Surg. A 1998, 80-A, 1656–1664. [Google Scholar]
- Siguier, M.; Judet, T.; Siguier, T.; Charnley, G.; Brumpt, B.; Yugue, I. Preliminary results of partial surface replacement of the femoral head in osteonecrosis. J. Arthroplasty 1999, 14, 45–51. [Google Scholar] [CrossRef] [PubMed]
- Ushio, K.; Oka, M.; Hyon, S.H.; Yura, S.; Toguchida, J.; Nakamura, T. Partial hemiarthroplasty for the treatment of osteonecrosis of the femoral head. J. Bone Joint Surg. B 2003, 85-B, 922–930. [Google Scholar]
- Mankin, H.J.; Dorfman, H.; Lippiello, L.; Zarins, A. Biochemical and metabolic abnormalities in articular cartilage from osteo-arthritic human hips. J. Bone Joint Surg. A 1971, 53-A, 523–537. [Google Scholar]
- Chang, Y.S.; Oka, M.; Kobayashi, M. Significance of interstitial bone ingrowth under load-bearing conditions: A comparison between solid and porous implant materials. Biomaterials 1996, 17, 1141–1148. [Google Scholar] [CrossRef] [PubMed]
- Chang, Y.S.; Oka, M.; Kobayashi, M. Cmparison of the bony ingrowth into an osetochndral defect and an artificial osteochondral composite device in load-bearing joints. The Knee 1998, 5, 205–213. [Google Scholar] [CrossRef]
- Chang, Y.S.; Gu, H.O.; Kobayashi, M.; Oka, M. Influence of various structure treatment on histological fixation of titanium implants. J. Arthroplasty 1998, 13, 816–825. [Google Scholar]
- Kobayashi, M.; Oka, M. Composite device for attachment of polyvinyl alcohol-hydrogel to underlying bone. Artif. Organ. 2004, 28, 734–738. [Google Scholar]
- Roberts, C.; Chen, C.S.; Mrksich, M.; Martichonok, V.; Ingber, D.E.; Whitesides, G.M. Using mixed self-assembled monolayers preseting RGD and (EG)3OH groups to characterize long-term attachment of bovine capillary endthilial cells to surfaces. J. Am. Chem. Soc. 1998, 120, 6548–6555. [Google Scholar] [CrossRef]
- Arnold, M.; Cavalcanti-Adam, E.A; Glass, R.; Blümmel, J.; Eck, W.; Kantlehner, M.; Kessler, H.; Spatz, J.P. Activation of integrin function by nanopatterned adhesive interfaces. ChemPhys. Chem. 2004, 5, 383–388. [Google Scholar]
- Hayami, T.; Matsumura, K.; Hyon, Y.S.; Motodzu, S.; Nakamura, T.; Yamamoto, M. The effect of ultra-thin coating of hydroxyapatite on artificial articular cartilage(PVA-H) for cell contracture (in Japanese). In Proceedings of 35th Annual meeting of Japanese Society for Clinical Biomechanics, Osaka, Japan, 2008; p. 142.
- Yura, S.; Oka, M.; Ushio, K.; Fujita, H.; Nakamura, T. Development of artificial intervertabral disc using polyvinyl alcohol hydrogels. In SIROT 99; Freund Publishing House Ltd.: London, UK, 1999; pp. 371–376. [Google Scholar]
- Kobayashi, M.; Toguchida, J.; Oka, M. Preliminary study of polyvinyl alcohol-hydrogel (PVA-H) artificial meniscus. Biomaterials 2003, 24, 639–647. [Google Scholar]
- Kobayashi, M.; Chang, Y.S.; Oka, M. A two year in vivo study of polyvinyl alcohol-hydrogel (PVA-H) artificial meniscus. Biomaterials 2005, 26, 3243–3248. [Google Scholar] [CrossRef] [PubMed]
© 2010 by the authors; licensee Molecular Diversity Preservation International, Basel, Switzerland. This article is an open-access article distributed under the terms and conditions of the Creative Commons Attribution license (http://creativecommons.org/licenses/by/3.0/).
Share and Cite
Kobayashi, M.; Hyu, H.S. Development and Evaluation of Polyvinyl Alcohol-Hydrogels as an Artificial Atrticular Cartilage for Orthopedic Implants. Materials 2010, 3, 2753-2771. https://doi.org/10.3390/ma3042753
Kobayashi M, Hyu HS. Development and Evaluation of Polyvinyl Alcohol-Hydrogels as an Artificial Atrticular Cartilage for Orthopedic Implants. Materials. 2010; 3(4):2753-2771. https://doi.org/10.3390/ma3042753
Chicago/Turabian StyleKobayashi, Masanori, and Hyon Suong Hyu. 2010. "Development and Evaluation of Polyvinyl Alcohol-Hydrogels as an Artificial Atrticular Cartilage for Orthopedic Implants" Materials 3, no. 4: 2753-2771. https://doi.org/10.3390/ma3042753
APA StyleKobayashi, M., & Hyu, H. S. (2010). Development and Evaluation of Polyvinyl Alcohol-Hydrogels as an Artificial Atrticular Cartilage for Orthopedic Implants. Materials, 3(4), 2753-2771. https://doi.org/10.3390/ma3042753
