CaO–SiO2–P2O5–B2O3-Based Bioactive Glass (BGS-7) Macrobeads Incorporated in Hydrogels Aid Bone Regeneration: Evaluation in Rabbit Calvarial and Femoral Defect Models
Abstract
1. Introduction
2. Materials and Methods
2.1. Preparation of Materials
2.1.1. Fabrication of Macrobeads and Microbeads
2.1.2. Fabrication of Hydrogel
2.1.3. Microstructures of BGS-7 Macrobeads and Microbeads
2.2. Animal Preparations and Experimental Design
2.2.1. Calvarial Defect Model
2.2.2. Femoral Condyle Defect Model
2.2.3. Evaluation of Animal Study
3. Results
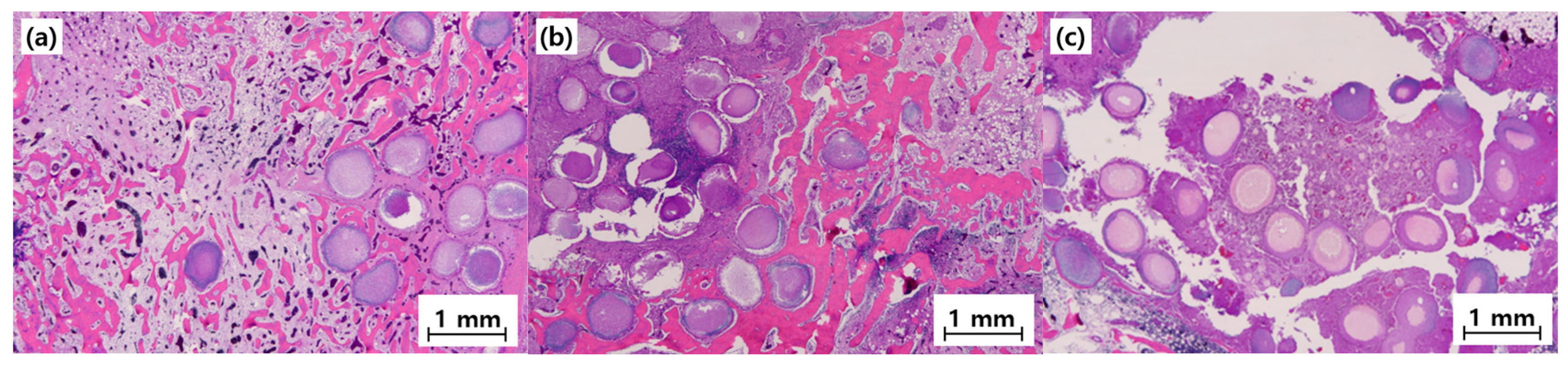
3.1. Microstructure of BGS-7 Macrobeads and Microbeads
3.2. In Vivo Bone Formation Assessment in Rabbit Calvarial Defect Model
3.2.1. Micro-CT Analysis
3.2.2. Histological Analysis
3.3. In Vivo Bone Formation Evaluation in the Rabbit Distal Femur Condyle Defect Model
3.3.1. Radiographic Analysis of Bone Formation
3.3.2. Micro-CT Analysis at 8 Weeks Post-Implantation
3.3.3. Histological Analysis
3.3.4. Comparative Analysis
4. Discussion
5. Conclusions
Supplementary Materials
Author Contributions
Funding
Institutional Review Board Statement
Informed Consent Statement
Data Availability Statement
Conflicts of Interest
Abbreviations
| BGS-7 | CaO–SiO2–P2O5–B2O3-based bioactive glass |
| β-TCP | β-tricalcium phosphate |
| PMMA | Polymethyl methacrylate |
| PVA | Poly (vinyl alcohol) |
| PEG | Polyethylene glycol |
| DI | Deionized |
| HPMC | Hydroxypropyl methylcellulose |
| CMC | Carboxymethyl cellulose |
| SEM | Scanning electron microscopy |
| XRD | X-ray diffraction |
| IACUC | Institutional Animal Care and Use Committee |
| H&E | Hematoxylin and eosin |
| SD | Standard deviation |
| TV | Total bone volume |
| BV | Substitute volume |
| NV | Newly formed bone volume |
References
- Nandi, S.K.; Mukherjee, P.; Roy, S.; Kundu, B.; De, D.K.; Basu, D. Local antibiotic delivery systems for the treatment of osteomyelitis—A review. Mater. Sci. Eng. C 2009, 29, 2478–2485. [Google Scholar] [CrossRef]
- Shi, M.; Kretlow, J.D.; Nguyen, A.; Young, S.; Baggett, L.S.; Wong, M.E.; Kasper, F.K.; Mikos, A.G. Antibiotic-releasing porous polymethylmethacrylate constructs for osseous space maintenance and infection control. Biomaterials 2010, 31, 4146–4156. [Google Scholar] [CrossRef] [PubMed]
- Van Vugt, T.A.; Arts, J.J.; Geurts, J.A. Antibiotic-loaded polymethylmethacrylate beads and spacers in treatment of orthopedic infections and the role of biofilm formation. Front. Microbiol. 2019, 10, 1626. [Google Scholar] [CrossRef] [PubMed]
- McKee, M.D.; Li-Bland, E.A.; Wild, L.M.; Schemitsch, E.H. A prospective, randomized clinical trial comparing an antibiotic-impregnated bioabsorbable bone substitute with standard antibiotic-impregnated cement beads in the treatment of chronic osteomyelitis and infected nonunion. J. Orthop. Trauma 2010, 24, 483–490. [Google Scholar] [CrossRef]
- Hasandoost, L.; Rodriguez, O.; Alhalawani, A.; Zalzal, P.; Schemitsch, E.H.; Waldman, S.D.; Papini, M.; Towler, M.R. The role of poly(methyl methacrylate) in management of bone loss and infection in revision total knee arthroplasty: A review. J. Funct. Biomater. 2020, 11, 25. [Google Scholar] [CrossRef]
- Jiamton, C.; Apivatgaroon, A.; Aunaramwat, S.; Chawalitrujiwong, B.; Chuaychoosakoon, C.; Suwannaphisit, S.; Jirawison, C.; Iamsumang, C.; Kongmalai, P.; Sukvanich, P.; et al. Efficacy and safety of antibiotic impregnated microporous nanohydroxyapatite beads for chronic osteomyelitis treatment: A multicenter, open-label, prospective cohort study. Antibiotics 2023, 12, 1049. [Google Scholar] [CrossRef]
- Parsons, B.; Strauss, E. Surgical management of chronic osteomyelitis. Am. J. Surg. 2004, 188, 57–66. [Google Scholar] [CrossRef]
- Subramanyam, K.N.; Mundargi, A.V.; Prabhu, M.V.; Gopakumar, K.U.; Gowda, D.A.; Reddy, D.R. Surgical management of chronic osteomyelitis: Organisms, recurrence and treatment outcome. Chin. J. Traumatol. 2023, 26, 228–235. [Google Scholar] [CrossRef]
- Wassif, R.K.; Elkayal, M.; Shamma, R.N.; Elkheshen, S.A. Recent advances in the local antibiotics delivery systems for management of osteomyelitis. Drug Deliv. 2021, 28, 2392–2414. [Google Scholar] [CrossRef]
- Cobb, L.H.; McCabe, E.M.; Priddy, L.B. Therapeutics and delivery vehicles for local treatment of osteomyelitis. J. Orthop. Res. 2020, 38, 2091–2103. [Google Scholar] [CrossRef]
- Stravinskas, M.; Horstmann, P.; Ferguson, J.; Hettwer, W.; Nilsson, M.; Tarasevicius, S.; Petersen, M.M.; McNally, M.A.; Lidgren, L. Pharmacokinetics of gentamicin eluted from a regenerating bone graft substitute. Bone Jt. Res. 2016, 5, 427–435. [Google Scholar] [CrossRef] [PubMed]
- Johnson, C.T.; García, A.J. Scaffold-based anti-infection strategies in bone repair. Ann. Biomed. Eng. 2015, 43, 515–528. [Google Scholar] [CrossRef] [PubMed]
- Hench, L.L.; Splinter, R.J.; Allen, W.C.; Greenlee, T.K. Bonding mechanisms at the interface of ceramic prosthetic materials. J. Biomed. Mater. Res. 1971, 5, 117–141. [Google Scholar] [CrossRef]
- Hench, L.L.; Polak, J.M. Third-generation biomedical materials. Science 2002, 295, 1014–1017. [Google Scholar] [CrossRef]
- Jones, J.R. Review of bioactive glass: From Hench to hybrids. Acta Biomater. 2013, 9, 4457–4486. [Google Scholar] [CrossRef]
- Xynos, I.D.; Edgar, A.J.; Buttery, L.D.; Hench, L.L.; Polak, J.M. Gene-expression profiling of human osteoblasts following treatment with the ionic products of Bioglass® 45S5 dissolution. J. Biomed. Mater. Res. 2001, 55, 151–157. [Google Scholar] [CrossRef]
- Lindfors, N.C.; Hyvönen, P.; Nyyssönen, M.; Kirjavainen, M.; Kankare, J.; Gullichsen, E.; Salo, J. Bioactive glass S53P4 as bone graft substitute in treatment of osteomyelitis. Bone 2010, 47, 212–218. [Google Scholar] [CrossRef]
- Ryu, H.S.; Lee, J.K.; Seo, J.H.; Kim, H.; Hong, K.S.; Kim, D.J.; Lee, J.H.; Lee, D.H.; Chang, B.S.; Lee, C.K.; et al. Novel bioactive and biodegradable glass ceramics with high mechanical strength in the CaO–SiO2–B2O3 system. J. Biomed. Mater. Res. A 2004, 68, 79–89. [Google Scholar] [CrossRef]
- Plewinski, M.; Schickle, K.; Lindner, M.; Kirsten, A.; Weber, M.; Fischer, H. The effect of crystallization of bioactive bioglass 45S5 on apatite formation and degradation. Dent. Mater. 2013, 29, 1256–1264. [Google Scholar] [CrossRef]
- Zhou, Y.; Li, H.; Lin, K.; Zhai, W.; Gu, W.; Chang, J. Effect of heat treatment on the properties of SiO2–CaO–MgO–P2O5 bioactive glasses. J. Mater. Sci. Mater. Med. 2012, 23, 2101–2108. [Google Scholar] [CrossRef]
- Chen, Q.Z.; Thompson, I.D.; Boccaccini, A.R. 45S5 Bioglass®-derived glass–ceramic scaffolds for bone tissue engineering. Biomaterials 2006, 27, 2414–2425. [Google Scholar] [CrossRef] [PubMed]
- Lee, J.H.; Ryu, H.S.; Seo, J.H.; Chang, B.S.; Lee, C.K. A 90-day intravenous administration toxicity study of CaO-SiO2-P2O5-B2O3 glass-ceramics (BGS-7) in rat. Drug Chem. Toxicol. 2010, 33, 38–47. [Google Scholar] [CrossRef] [PubMed]
- Liu, X.; Rahaman, M.N.; Fu, Q. Bone regeneration in strong porous bioactive glass (13–93) scaffolds with an oriented microstructure implanted in rat calvarial defects. Acta Biomater. 2013, 9, 4889–4898. [Google Scholar] [CrossRef] [PubMed]
- Wheeler, D.L.; Stokes, K.E.; Park, H.M.; Hollinger, J.O. Evaluation of particulate Bioglass® in a rabbit radius ostectomy model. J. Biomed. Mater. Res. 1997, 35, 249–254. [Google Scholar] [CrossRef]
- Felipe, M.E.M.; Andrade, P.F.; Novaes, A.B., Jr.; Grisi, M.F.; Souza, S.L.; Taba, M., Jr.; Palioto, D.B. Potential of bioactive glass particles of different size ranges to affect bone formation in interproximal periodontal defects in dogs. J. Periodontol. 2009, 80, 808–815. [Google Scholar] [CrossRef]
- Camargo, A.F.F.; Baptista, A.M.; Natalino, R.; Camargo, O.P.D. Bioactive glass in cavitary bone defects: A comparative experimental study in rabbits. Acta Ortop. Bras. 2015, 23, 202–207. [Google Scholar] [CrossRef]
- Nandi, S.K.; Kundu, B.; Datta, S.; De, D.K.; Basu, D. The repair of segmental bone defects with porous bioglass: An experimental study in goat. Res. Vet. Sci. 2009, 86, 162–173. [Google Scholar] [CrossRef]
- Schmitt, J.M.; Buck, D.C.; Joh, S.P.; Lynch, S.E.; Hollinger, J.O. Comparison of porous bone mineral and biologically active glass in critical-sized defects. J. Periodontol. 1997, 68, 1043–1053. [Google Scholar] [CrossRef]
- Yamada, S.; Heymann, D.; Bouler, J.M.; Daculsi, G. Osteoclastic resorption of calcium phosphate ceramics with different hydroxyapatite/β-tricalcium phosphate ratios. Biomaterials 1997, 18, 1037–1041. [Google Scholar] [CrossRef]
- Nandi, S.K.; Fielding, G.; Banerjee, D.; Bandyopadhyay, A.; Bose, S. 3D-printed β-TCP bone tissue engineering scaffolds: Effects of chemistry on in vivo biological properties in a rabbit tibia model. J. Mater. Res. 2018, 33, 1939–1947. [Google Scholar] [CrossRef]
- Bordbar-Khiabani, A.; Kovrlija, I.; Locs, J.; Loca, D.; Gasik, M. Octacalcium phosphate-laden hydrogels on 3D-printed titanium biomaterials improve corrosion resistance in simulated biological media. Int. J. Mol. Sci. 2023, 24, 13135. [Google Scholar] [CrossRef]
- Cummins, H.Z. Liquid, glass, gel: The phases of colloidal Laponite. J. Non-Cryst. Solids 2007, 353, 3891–3905. [Google Scholar] [CrossRef]
- Dávila, J.L.; d’Ávila, M.A. Rheological evaluation of Laponite/alginate inks for 3D extrusion-based printing. Int. J. Adv. Manuf. Technol. 2019, 101, 675–686. [Google Scholar] [CrossRef]
- Dawson, J.I.; Oreffo, R.O. Clay: New opportunities for tissue regeneration and biomaterial design. Adv. Mater. 2013, 25, 4069–4086. [Google Scholar] [CrossRef]











| Sample | Material | Spherical- Forming Agent | Cross-Linking Agent | Binder | Heat-Treatment (°C) | Bead Size (μm) |
|---|---|---|---|---|---|---|
| TCP | β-TCP | Sodium alginate | CaCl2 Solution | PVA | 1350 | 650–800 |
| BV6 | BGS-7 | PVA | 600 | 650–800 | ||
| BE6 | BGS-7 | PEG | 600 | 650–800 | ||
| BV8 | BGS-7 | PVA | 800 | 650–800 |
| Sample | HPMC | CMC | Carbopol | BGS-7 Microbead | Laponite |
|---|---|---|---|---|---|
| MC-G | ✓ | ✓ | ✓ | - | - |
| MCB-G | ✓ | ✓ | ✓ | ✓ | - |
| MCBL-G | ✓ | ✓ | ✓ | ✓ | ✓ |
| BV6 | BE6 | BV8 | |
|---|---|---|---|
| Specific Surface Area (m2/g) | 1.79 | 2.78 | 1.46 |
| Group | TV 1 | BV 2 | NV 3 |
|---|---|---|---|
| MC | 27.3 ± 6.3% | 8.7 ± 2.2% | 18.6 ± 6.5% |
| MCB | 51.2 ± 3.1% | 23.1 ± 4.3% | 28.1 ± 4.6% |
| MCBL | 57.7 ± 13.0% | 23.5 ± 9.4% | 34.1 ± 4.0% |
| Control | 15.9 ± 4.2% | - | 15.9 ± 4.2% |
| p | <0.001 | <0.001 | <0.001 |
Disclaimer/Publisher’s Note: The statements, opinions and data contained in all publications are solely those of the individual author(s) and contributor(s) and not of MDPI and/or the editor(s). MDPI and/or the editor(s) disclaim responsibility for any injury to people or property resulting from any ideas, methods, instructions or products referred to in the content. |
© 2026 by the authors. Licensee MDPI, Basel, Switzerland. This article is an open access article distributed under the terms and conditions of the Creative Commons Attribution (CC BY) license.
Share and Cite
Choi, W.; Kang, S.; Nham, E.; Go, S.-h.; Lee, D.-y.; Kim, B.-H.; Oh, J.-K. CaO–SiO2–P2O5–B2O3-Based Bioactive Glass (BGS-7) Macrobeads Incorporated in Hydrogels Aid Bone Regeneration: Evaluation in Rabbit Calvarial and Femoral Defect Models. Materials 2026, 19, 309. https://doi.org/10.3390/ma19020309
Choi W, Kang S, Nham E, Go S-h, Lee D-y, Kim B-H, Oh J-K. CaO–SiO2–P2O5–B2O3-Based Bioactive Glass (BGS-7) Macrobeads Incorporated in Hydrogels Aid Bone Regeneration: Evaluation in Rabbit Calvarial and Femoral Defect Models. Materials. 2026; 19(2):309. https://doi.org/10.3390/ma19020309
Chicago/Turabian StyleChoi, Wonseok, Seonghyun Kang, Eliel Nham, Seung-hyo Go, Do-yeon Lee, Baek-Hyun Kim, and Jong-Keon Oh. 2026. "CaO–SiO2–P2O5–B2O3-Based Bioactive Glass (BGS-7) Macrobeads Incorporated in Hydrogels Aid Bone Regeneration: Evaluation in Rabbit Calvarial and Femoral Defect Models" Materials 19, no. 2: 309. https://doi.org/10.3390/ma19020309
APA StyleChoi, W., Kang, S., Nham, E., Go, S.-h., Lee, D.-y., Kim, B.-H., & Oh, J.-K. (2026). CaO–SiO2–P2O5–B2O3-Based Bioactive Glass (BGS-7) Macrobeads Incorporated in Hydrogels Aid Bone Regeneration: Evaluation in Rabbit Calvarial and Femoral Defect Models. Materials, 19(2), 309. https://doi.org/10.3390/ma19020309

