Effect of Heat-Input on Microstructure and Toughness of CGHAZ in a High-Nb-Content Microalloyed HSLA Steel
Abstract
:1. Introduction
2. Experimental Procedures
2.1. Material
2.2. Simulation of CGHAZ
2.3. Microstructural Features and Toughness Measurements
3. Results
3.1. Microstructure
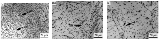
3.1.1. Optical Microstructure and Austenite Coarsening
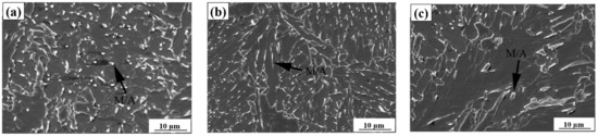
3.1.2. MA Constituent
3.1.3. Crystallographic Features
3.1.4. Impact Toughness
4. Discussion
4.1. Influence of Heat Input on Microstructural Change
4.2. Influence of Heat Input on MA Formation
4.3. Influence of Heat Input on Acicular Ferrite Formation
4.4. Influence of Heat Input on Grain Boundary Misorientation
5. Conclusions
- (1)
- The influence of heat inputs on the microstructure and impact toughness of the simulated CGHAZ of a high Nb-content (0.14%), high-strength steel was investigated. When the steel was simulated with a low-heat input of 20 kJ/cm, many acicular ferrite laths/plates formed in the CGHAZ. The lath/plate-like acicular ferrite sectioned the large austenite grains into many small and separate regions, thus resulting in smaller-sized crystallographic grains and high-angle grain boundaries, such that the toughness was high.
- (2)
- When the steel was simulated with higher heat inputs (100, 200 kJ/cm), the microstructure of the CGHAZ was predominantly composed of coarse granular bainite and massive MA constituents. The deleterious toughness in CGHAZ with higher heat inputs was mainly caused by the coarser microstructure of the granular bainite and massive MA constituents.
Author Contributions
Funding
Institutional Review Board Statement
Informed Consent Statement
Data Availability Statement
Acknowledgments
Conflicts of Interest
References
- Lee, S.G.; Lee, D.H.; Sohn, S.S.; Kim, W.G.; Um, K.-K.; Kim, K.-S.; Lee, S. Effects of Ni and Mn addition on critical crack tip opening displacement (CTOD) of weld-simulated heat-affected zones of three high-strength low-alloy (HSLA) steels. Mater. Sci. Eng. A 2017, 697, 55–65. [Google Scholar] [CrossRef]
- Lee, S.G.; Sohn, S.S.; Kim, B.; Kim, W.G.; Um, K.K.; Lee, S. Effects of martensite-austenite constituent on crack initiation and propagation in inter-critical heat-affected zone of high-strength low-alloy (HSLA) steel. Mater. Sci. Eng. A 2018, 715, 332–339. [Google Scholar] [CrossRef]
- Li, Y.; Wan, X.; Lu, W.; Shirzadi, A.A.; Isayev, O.; Hress, O.; Wu, K. Effect of Zr-Ti combined deoxidation on the microstructure and mechanical properties of high-strength low-alloy steels. Mater. Sci. Eng. A 2016, 659, 179–187. [Google Scholar] [CrossRef]
- Honeycombe, R.; Bhadeshia, H. Steel Microstructure and Properties; Edward Arnold: London, UK, 1995. [Google Scholar]
- Ohkita, S.; Horii, Y. Recent Development in Controlling the Microstructure and Properties of Low Alloy Steel Weld Metals. ISIJ Int. 1995, 35, 1170–1182. [Google Scholar] [CrossRef] [Green Version]
- Hidesjö, C.; Svensson, L.E. Consumables for welding of high strength steels. Exploit. Adv. Arc Weld. Technol. 1999, 54, 29–33. [Google Scholar]
- Moon, J.; Kim, S.; Jeong, H.; Lee, J.; Lee, C. Influence of Nb addition on the particle coarsening and microstructure evolution in a Ti-containing steel weld HAZ. Mater. Sci. Eng. A 2007, 454, 648–653. [Google Scholar]
- Moon, J.; Lee, J.; Lee, C. Prediction for the austenite grain size in the presence of growing particles in the weld HAZ of Ti-microalloyed steel. Mater. Sci. Eng. A 2007, 459, 40–46. [Google Scholar] [CrossRef]
- Miao, C.; Zhang, L.M.S. Microstructure and toughness of HAZ in X80 pipeline steel with high Nb content. Acta Metall. Sin. 2010, 46, 541–546. [Google Scholar] [CrossRef]
- Asselin, E.; Ahmed, T.M.; Alfantazi, A. Corrosion of niobium in sulphuric and hydrochloric acid solutions at 75 and 95 °C. Corros. Sci. 2007, 49, 694–710. [Google Scholar] [CrossRef]
- Nam, N.D.; Kim, J.G. Effect of niobium on the corrosion behaviour of low alloy steel in sulfuric acid solution. Corros. Sci. 2010, 52, 3377–3384. [Google Scholar] [CrossRef]
- Wu, W.; Wang, Q.; Yang, L.; Liu, Z.; Li, X.; Li, Y. Corrosion and SCC initiation behavior of low-alloy high-strength steels microalloyed with Nb and Sb in a simulated polluted marine atmosphere. J. Mater. Res. Technol. 2020, 9, 12976–12995. [Google Scholar] [CrossRef]
- Zhang, X.; Wei, W.; Cheng, L.; Liu, J.; Wu, K.; Liu, M. Effects of niobium and rare earth elements on microstructure and initial marine corrosion behavior of low-alloy steels. Appl. Surf. Sci. 2019, 475, 83–93. [Google Scholar] [CrossRef]
- Wu, W.; Liu, Z.; Wang, Q.; Li, X. Improving the resistance of high-strength steel to SCC in a SO2-polluted marine atmosphere through Nb and Sb microalloying. Corros. Sci. 2020, 170, 108693. [Google Scholar] [CrossRef]
- Yan, L.; Shao, M.R.; Zhao, Z.W. Corrosion resistance of weathering steel containing niobium in marine atmospheric conditions. Corros. Prot. 2019, 40, 627–632. [Google Scholar]
- Tian, D. Microstructure, Cleavage Fracture and Toughness of Granular Bainite in Simulated Coarse-Grained Heat-Affected Zones of Low-Carbon High-Strength Steels. Ph.D. Thesis, Department of Mechanical Engineering, University of Oulu, Oulu, Finland, 1998. [Google Scholar]
- Verrier, P.; Maurickx, T. Effect of the HAZ microstructure on the fracture toughness of offshore microalloyed structural steels. In Proceedings of the 8th International Conference on Offshore Mechanics and Arctic Engineering, Hague, The Netherlands, 19–23 March 1989. [Google Scholar]
- Haze, T. Influence of toughness and size of local brittle zone on HAZ toughness of HSLA Steels. In Proceedings of the 7th International Conference on Offshore Mechanics and Arctic Engineering, New York, NY, USA, 7 February 1988; p. 515. [Google Scholar]
- Mohseni, P. Brittle and Ductile Fracture of X80 Arctic Steel. Ph.D. Thesis, Norwegian University of Science and Technology, Trondheim, Norway, 2012. [Google Scholar]
- Chijiiwa, R.; Haze, T.; Matsuda, S.; Mimura, H.; Yamamoto, K. A newly developed Ti-oxide bearing steel having high HAZ toughness. ASTM STP 1989, 1042, 266–284. [Google Scholar] [CrossRef]
- Kryzhanivskyy, Y.; Poberezhny, L.; Maruschak, P.; Lyakh, M.; Slobodyan, V.; Zapukhliak, V. Influence of test temperature on impact toughness of X70 pipe steel welds. Procedia Struct. Integr. 2019, 16, 237–244. [Google Scholar] [CrossRef]
- Vuherer, T.; Maruschak, P.; Samardžić, I. Behaviour of coarse grain heat affected zone (HAZ) during cycle loading. Metalurgija 2012, 51, 301–304. [Google Scholar]
- Zhang, Y.Q.; Zhang, H.Q.; Li, J.F.; Liu, W.M. Effect of heat-input on microstructure and toughness of coarse grain heat affected zone in Nb microalloyed HSLA Steels. J. Iron Steel Res. Int. 2009, 16, 73–80. [Google Scholar] [CrossRef]
- Zhao, M.C.; Yang, K.; Shan, Y.Y. The effects of thermo-mechanical control process on microstructures and mechanical properties of a commercial pipeline steel. Mater. Sci. Eng. A 2002, 335, 14–20. [Google Scholar] [CrossRef]
- Zhong, Y.; Xiao, F.; Zhang, J.; Shan, Y.; Wang, W.; Yang, K. In situ TEM study of the effect of M-A films at grain boundaries on crack propagation in an ultra-fine acicular ferrite pipeline steel. Acta Mater. 2006, 54, 435–443. [Google Scholar] [CrossRef]
- Kumar, S.; Nath, S.K.; Kumar, V. Continuous cooling transformation behavior in the weld coarse grained heat affected zone and mechanical properties of Nb-microalloyed and HY85 steels. Mater. Des. 2016, 90, 177–184. [Google Scholar] [CrossRef]
- Wang, H.H.; Qin, Z.P.; Wan, X.L.; Wei, R.; Wu, K.M.; Misra, D. Continuous cooling transformation behavior and impact toughness in heat-affected zone of Nb-containing fire-resistant steel. Met. Mater. Int. 2017, 23, 848–854. [Google Scholar] [CrossRef]
- Zhang, W.Y. Welding Metallurgy (Basic Principle); China Machine Press: Beijing, China, 1999; p. 168. [Google Scholar]
- Matsuda, F.; Ikeuchi, K.; Okada, H.; Hrivnak, I.; Park, H.S. Effect of MA constituent on fracture behavior of 780 and 980 MPa class HSLA steels subjected to weld HAZ thermal cycles. Trans. JWRI 1994, 23, 231–238. [Google Scholar]
- Lee, J.L.; Pan, Y.T. The formation of intragranular acicular ferrite in simulated heat-affected zone. ISIJ Int. 1995, 35, 1027–1033. [Google Scholar] [CrossRef] [Green Version]





| C | Mn | Si | Nb | V | Al | Ti | Fe |
|---|---|---|---|---|---|---|---|
| 0.049 | 1.61 | 0.22 | 0.14 | 0.023 | 0.026 | 0.013 | Balance |
| E | Rh | Tp | th | t8/5 |
|---|---|---|---|---|
| 20 kJ/cm | 300 °C/s | 1350 °C | 3 s | 10.6 s |
| 100 kJ/cm | 52.8 s | |||
| 200 kJ/cm | 105.6 s |
| E, kJ/cm | Size of Austenite Grains (μm) | Size of Crystallographic Grains (µm) |
|---|---|---|
| 20 | 57.3 ± 5.68 | 7.5 ± 0.25 |
| 100 | 86.7 ± 4.28 | 10.0 ± 0.42 |
| 200 | 98.9 ± 4.36 | 11.0 ± 0.23 |
| E, kJ/cm | Distribution of A Constituents | ||
|---|---|---|---|
| Fine MA | Elongated MA | Massive MA | |
| 20 | 82% | 12% | 6% |
| 100 | 65% | 21% | 14% |
| 200 | 28% | 31% | 41% |
| E, kJ/cm | <3° (%) | >5° (%) | >10° (%) | >15° (%) | >30° (%) | >40° (%) |
|---|---|---|---|---|---|---|
| 20 | 50.92 | 42.71 | 30.71 | 26.3 | 24.03 | 23.42 |
| 100 | 59.82 | 32.18 | 16.21 | 12.9 | 11.8 | 11.6 |
| 200 | 61.67 | 31.15 | 12.34 | 10.71 | 9.9 | 9.7 |
| E, kJ/cm | Absorbed Energy for Charpy V-Notch Impact Test, J | ||
|---|---|---|---|
| Max | Mean | Min | |
| 20 | 190 | 166 | 144 |
| 100 | 102 | 82 | 60 |
| 200 | 11 | 10 | 8 |
Publisher’s Note: MDPI stays neutral with regard to jurisdictional claims in published maps and institutional affiliations. |
© 2022 by the authors. Licensee MDPI, Basel, Switzerland. This article is an open access article distributed under the terms and conditions of the Creative Commons Attribution (CC BY) license (https://creativecommons.org/licenses/by/4.0/).
Share and Cite
Yu, H.; Wu, K.; Dong, B.; Liu, J.; Liu, Z.; Xiao, D.; Jin, X.; Liu, H.; Tai, M. Effect of Heat-Input on Microstructure and Toughness of CGHAZ in a High-Nb-Content Microalloyed HSLA Steel. Materials 2022, 15, 3588. https://doi.org/10.3390/ma15103588
Yu H, Wu K, Dong B, Liu J, Liu Z, Xiao D, Jin X, Liu H, Tai M. Effect of Heat-Input on Microstructure and Toughness of CGHAZ in a High-Nb-Content Microalloyed HSLA Steel. Materials. 2022; 15(10):3588. https://doi.org/10.3390/ma15103588
Chicago/Turabian StyleYu, Hongwei, Kaiming Wu, Baoqi Dong, Jingxi Liu, Zicheng Liu, Daheng Xiao, Xing Jin, Hankun Liu, and Minmin Tai. 2022. "Effect of Heat-Input on Microstructure and Toughness of CGHAZ in a High-Nb-Content Microalloyed HSLA Steel" Materials 15, no. 10: 3588. https://doi.org/10.3390/ma15103588
APA StyleYu, H., Wu, K., Dong, B., Liu, J., Liu, Z., Xiao, D., Jin, X., Liu, H., & Tai, M. (2022). Effect of Heat-Input on Microstructure and Toughness of CGHAZ in a High-Nb-Content Microalloyed HSLA Steel. Materials, 15(10), 3588. https://doi.org/10.3390/ma15103588
