The Impact of Nandrolone Decanoate in the Osseointegration of Dental Implants in a Rabbit Model: Histological and Micro-Radiographic Results
Abstract
1. Introduction
2. Materials and Methods
2.1. Surgical Procedure
2.2. Experimental Procedure
2.3. Histomorphometric Analysis
3. Results
4. Discussion
5. Conclusions
Author Contributions
Funding
Institutional Review Board Statement
Conflicts of Interest
References
- Brånemark, P.-I.; Breine, U.; Adell, R.; Hansson, B.O.; Lindström, J.; Ohlsson, Å. Intra-Osseous Anchorage of Dental Prostheses:I. Experimental Studies. J. Plast. Reconstr. Surg. Hand Surg. 1969, 3, 81–100. [Google Scholar] [CrossRef]
- Baena, R.R.Y.; Rizzo, S.; Manzo, L.; Lupi, S.M. Nanofeatured Titanium Surfaces for Dental Implantology: Biological Effects, Biocompatibility, and Safety. J. Nanomater. 2017, 2017, 6092895. [Google Scholar] [CrossRef]
- Lupi, S.M.; Albini, B.; Baena, A.R.Y.; Lanfrè, G.; Galinetto, P. Anatase Forming Treatment without Surface Morphological Alteration of Dental Implant. Materials 2020, 13, 5280. [Google Scholar] [CrossRef] [PubMed]
- Lupi, S.M.; Galinetto, P.; Albini, B.; Di Ronza, E.; Rizzo, S.; Baena, R.R.Y. Micro-Raman Spectroscopy of Dental Implants Subjected to Different Surface Treatments. Appl. Sci. 2020, 10, 2417. [Google Scholar] [CrossRef]
- Lupi, S.M.; Baena, A.R.Y.; Cassinelli, C.; Iviglia, G.; Tallarico, M.; Morra, M.; Baena, R.R.Y. Covalently-Linked Hyaluronan versus Acid Etched Titanium Dental Implants: A Crossover RCT in Humans. Int. J. Mol. Sci. 2019, 20, 763. [Google Scholar] [CrossRef]
- Rizzo, S.; Zampetti, P.; Baena, R.R.Y.; Svanosio, D.; Lupi, S.M. Retrospective analysis of 521 endosseous implants placed under antibiotic prophylaxis and review of literature. Minerva Stomatol. 2010, 59, 75–88. [Google Scholar]
- Halpern, L.R.; Adams, D.R. Medically Complex Dental Implant Patients: Controversies About Systemic Disease and Dental Implant Success/Survival. Dent. Clin. N. Am. 2021, 65, 1–19. [Google Scholar] [CrossRef]
- Yang, X.; Ricciardi, B.F.; Dvorzhinskiy, A.; Brial, C.; Lane, Z.; Bhimani, S.; Burket, J.C.; Hu, B.; Sarkisian, A.M.; Ross, F.P.; et al. Intermittent Parathyroid Hormone Enhances Cancellous Osseointegration of a Novel Murine Tibial Implant. J. Bone Jt. Surg. Am. Vol. 2015, 97, 1074–1083. [Google Scholar] [CrossRef]
- Dayer, R.; Badoud, I.; Rizzoli, R.; Ammann, P. Defective Implant Osseointegration under Protein Undernutrition: Prevention by PTH or Pamidronate. J. Bone Miner. Res. 2007, 22, 1526–1533. [Google Scholar] [CrossRef] [PubMed]
- Jiang, L.; Zhang, W.; Wei, L.; Zhou, Q.; Yang, G.; Qian, N.; Tang, Y.; Gao, Y.; Jiang, X. Early effects of parathyroid hormone on vascularized bone regeneration and implant osseointegration in aged rats. Biomaterials 2018, 179, 15–28. [Google Scholar] [CrossRef]
- Almagro, M.I.; Roman-Blas, J.A.; Bellido, M.; Castañeda, S.; Cortez, R.; Herrero-Beaumont, G. PTH [1-34] enhances bone response around titanium implants in a rabbit model of osteoporosis. Clin. Oral Implant. Res. 2012, 24, 1027–1034. [Google Scholar] [CrossRef] [PubMed]
- Tao, Z.-S.; Zhou, W.-S.; Tu, K.-K.; Huang, Z.-L.; Zhou, Q.; Sun, T.; Lv, Y.-X.; Cui, W.; Yang, L. The effects of combined human parathyroid hormone (1–34) and simvastatin treatment on osseous integration of hydroxyapatite-coated titanium implants in the femur of ovariectomized rats. Injury 2015, 46, 2164–2169. [Google Scholar] [CrossRef] [PubMed]
- Rybaczek, T.; Tangl, S.; Dobsak, T.; Gruber, R.; Kuchler, U. The Effect of Parathyroid Hormone on Osseointegration in Insulin-Treated Diabetic Rats. Implant. Dent. 2015, 24, 392–396. [Google Scholar] [CrossRef] [PubMed]
- Nakamura, Y.; Hayashi, K.; Abu-Ali, S.; Naito, M.; Fotovati, A. Effect of Preoperative Combined Treatment with Alendronate and Calcitriol on Fixation of Hydroxyapatite-Coated Implants in Ovariectomized Rats. J. Bone Jt. Surg. Am. Vol. 2008, 90, 824–832. [Google Scholar] [CrossRef] [PubMed]
- Li, J.-P.; Li, P.; Hu, J.; Dong, W.; Liao, N.-N.; Qi, M.-C.; Li, J.-Y. Early Healing of Hydroxyapatite-Coated Implants in Grafted Bone of Zoledronic Acid–Treated Osteoporotic Rabbits. J. Periodontol. 2014, 85, 308–316. [Google Scholar] [CrossRef]
- Zhou, C.; Li, Y.; Wang, X.; Shui, X.; Hu, J. 1,25Dihydroxy vitamin D3 improves titanium implant osseointegration in osteoporotic rats. Oral Surg. Oral Med. Oral Pathol. Oral Radiol. 2012, 114, S174–S178. [Google Scholar] [CrossRef]
- Virdi, A.S.; Liu, M.; Sena, K.; Maletich, J.; McNulty, M.; Ke, H.Z.; Sumner, D.R. Sclerostin Antibody Increases Bone Volume and Enhances Implant Fixation in a Rat Model. J. Bone Jt. Surg. Am. Vol. 2012, 94, 1670–1680. [Google Scholar] [CrossRef]
- Agholme, F.; Isaksson, H.; Kuhstoss, S.; Aspenberg, P. The effects of Dickkopf-1 antibody on metaphyseal bone and implant fixation under different loading conditions. Bone 2011, 48, 988–996. [Google Scholar] [CrossRef]
- Ayukawa, Y.; Ogino, Y.; Moriyama, Y.; Atsuta, I.; Jinno, Y.; Kihara, M.; Tsukiyama, Y.; Koyano, K. Simvastatin enhances bone formation around titanium implants in rat tibiae. J. Oral Rehabil. 2010, 37, 123–130. [Google Scholar] [CrossRef]
- Du, Z.; Chen, J.; Yan, F.; Xiao, Y. Effects of Simvastatin on bone healing around titanium implants in osteoporotic rats. Clin. Oral Implant. Res. 2009, 20, 145–150. [Google Scholar] [CrossRef]
- Gao, Y.; Luo, E.; Hu, J.; Xue, J.; Zhu, S.; Li, J. Effect of combined local treatment with zoledronic acid and basic fibroblast growth factor on implant fixation in ovariectomized rats. Bone 2009, 44, 225–232. [Google Scholar] [CrossRef]
- Jensen, T.B.; Bechtold, J.E.; Chen, X.; Søballe, K. Systemic alendronate treatment improves fixation of press-fit implants: A canine study using nonloaded implants. J. Orthop. Res. Off. Publ. Orthop. Res. Soc. 2007, 25, 772–778. [Google Scholar] [CrossRef]
- Chacon, G.E.; Stine, E.A.; Larsen, P.E.; Beck, F.M.; McGlumphy, E.A. Effect of Alendronate on Endosseous Implant Integration: An In Vivo Study in Rabbits. J. Oral Maxillofac. Surg. Off. J. Am. Assoc. Oral Maxillofac. Surg. 2006, 64, 1005–1009. [Google Scholar] [CrossRef]
- Hayashi, K.; Fotovati, A.; Ali, S.A.; Oda, K.; Oida, H.; Naito, M. Prostaglandin EP4 receptor agonist augments fixation of hydroxyapatite-coated implants in a rat model of osteoporosis. J. Bone Jt. Surg. Br. Vol. 2005, 87, 1150–1156. [Google Scholar] [CrossRef]
- Kurth, A.; Eberhardt, C.; Muller, S.; Steinacker, M.; Schwarz, M.; Bauss, F. The bisphosphonate ibandronate improves implant integration in osteopenic ovariectomized rats. Bone 2005, 37, 204–210. [Google Scholar] [CrossRef] [PubMed]
- Masuzawa, M.; Beppu, M.; Ishii, S.; Oyake, Y.; Aoki, H.; Takagi, M. Experimental study of bone formation around a titanium rod with β- tricalcium phosphate and prostaglandin E2 receptor agonists. J. Orthop. Sci. 2005, 10, 308–314. [Google Scholar] [CrossRef]
- Duarte, P.M.; Gurgel, B.C.D.V.; Sallum, A.W.; Filho, G.R.N.; Sallum, E.A.; Nociti, F.H. Alendronate Therapy May Be Effective in the Prevention of Bone Loss Around Titanium Implants Inserted in Estrogen-Deficient Rats. J. Periodontol. 2005, 76, 107–114. [Google Scholar] [CrossRef] [PubMed]
- Ayukawa, Y.; Okamura, A.; Koyano, K. Simvastatin promotes osteogenesis around titanium implants. A histological and histometrical study in rats. Clin. Oral Implant. Res. 2004, 15, 346–350. [Google Scholar] [CrossRef] [PubMed]
- Nociti, F.H.; Sallum, A.W.; Sallum, E.A.; Duarte, P.M. Effect of estrogen replacement and calcitonin therapies on bone around titanium implants placed in ovariectomized rats: A histometric study. Int. J. Oral Maxillofac. Implant. 2003, 17, 786–792. [Google Scholar]
- Hausmann, D.; Nutz, V.; Rommelsheim, K.; Caspari, R.; Mosebach, K. Anabolic steroids in polytrauma patients. Influence on renal nitrogen and amino acid losses: A double-blind study. J. Parenter. Enter. Nutr. 1990, 14, 111–114. [Google Scholar] [CrossRef] [PubMed]
- Geusens, P. Nandrolone decanoate: Pharmacological properties and therapeutic use in osteoporosis. Clin. Rheumatol. 1995, 14, 32–39. [Google Scholar] [CrossRef]
- Hemmersbach, P.; Große, J. Nandrolone: A multi-faceted doping agent. Handb. Exp. Pharmacol. 2010, 195, 127–154. [Google Scholar]
- Crandall, C. Combination Treatment of Osteoporosis: A Clinical Review. J. Women’s Health Gender-Based Med. 2002, 11, 211–224. [Google Scholar] [CrossRef] [PubMed]
- Basaria, S.; Wahlstrom, J.T.; Dobs, A.S. Clinical review 138: Anabolic-Androgenic Steroid Therapy in the Treatment of Chronic Diseases. J. Clin. Endocrinol. Metab. 2001, 86, 5108–5117. [Google Scholar] [CrossRef]
- Li, Z.; Bishop, A.C.; Alyamani, M.; Garcia, J.A.; Dreicer, R.; Bunch, D.; Liu, J.; Upadhyay, S.K.; Auchus, R.J.; Sharifi, N. Conversion of abiraterone to D4A drives anti-tumour activity in prostate cancer. Nat. Cell Biol. 2015, 523, 347–351. [Google Scholar] [CrossRef] [PubMed]
- Cops, E.J.; Bianco-Miotto, T.; Moore, N.L.; Clarke, C.L.; Birrell, S.N.; Butler, L.M.; Tilley, W.D. Antiproliferative actions of the synthetic androgen, mibolerone, in breast cancer cells are mediated by both androgen and progesterone receptors. J. Steroid Biochem. Mol. Biol. 2008, 110, 236–243. [Google Scholar] [CrossRef]
- Deicher, R.; Hörl, W.H. Hormonal adjuvants for the treatment of renal anaemia. Eur. J. Clin. Investig. 2005, 35 (Suppl. 3), 75–84. [Google Scholar] [CrossRef]
- Aerssens, J.; Van Audekercke, R.; Geusens, P.; Schot, L.P.C.; Osman, A.A.-H.; Dequeker, J. Mechanical properties, bone mineral content, and bone composition (collagen, osteocalcin, IGF-I) of the rat femur: Influence of ovariectomy and nandrolone decanoate (anabolic steroid) treatment. Calcif. Tissue Int. 1993, 53, 269–277. [Google Scholar] [CrossRef]
- Tengstrand, B.; Cederholm, T.; Söderqvist, A.; Tidermark, J. Effects of protein-rich supplementation and nandrolone on bone tissue after a hip fracture. Clin. Nutr. 2007, 26, 460–465. [Google Scholar] [CrossRef]
- Senos, R.; Roberto-Rodrigues, M.; Fernandes, R.M.P.; Santos, T.M.P.; Viana, L.P.; Lima, I.; Guzman-Silva, M.A.; Gomes, M.S.; Rici, R.E.G.; Júnior, J.R.K. Nandrolone decanoate in induced fracture nonunion with vascular deficit in rat model: Morphological aspects. Musculoskelet. Surg. 2020, 104, 303–311. [Google Scholar] [CrossRef] [PubMed]
- Ahmad, F.; Yunus, S.M.; Asghar, A.; Faruqi, N. Influence of Anabolic Steroid on Tibial Fracture Healing in Rabbits–A Study on Experimental Model. J. Clin. Diagn. Res. 2013, 7, 93–96. [Google Scholar] [CrossRef]
- Benghuzzi, H.; Tucci, M.; Tsao, A.; Russell, G.; England, B.; Ragab, A. Stimulation of osteogenesis by means of sus-tained delivery of various natural androgenic hormones. Biomed. Sci. Instrum. 2004, 40, 99–104. [Google Scholar]
- Dbem, A.; Ars-Piret, N.; Waterschoot, M.P. The effects of nandrolone decanoate on rarefying bone tissue. Curr. Med. Res. Opin. 1980, 6, 606–613. [Google Scholar] [CrossRef]
- Vanderschueren, D.; Boonen, S. Androgen exposure and the maintenance of skeletal integrity in aging men. Aging Male 1998, 1, 180–187. [Google Scholar] [CrossRef]
- Eastell, R.; Boyle, I.T.; Compston, J.; Cooper, C.; Fogelman, I.; Francis, R.M.; Hosking, D.J.; Purdie, D.W.; Ralston, S.; Reeve, J.; et al. Management of male osteoporosis: Report of the UK Consensus Group. QJM Int. J. Med. 1998, 91, 71–92. [Google Scholar] [CrossRef]
- Li, X.; Takahashi, M.; Kushida, K.; Shimizu, S.; Hoshino, H.; Suzuki, M.; Inoue, T. The effects of nandrolone decanoate on bone mass and metabolism in ovariectomized rats with osteopenia. J. Bone Miner. Metab. 2000, 18, 258–263. [Google Scholar] [CrossRef]
- Gebhardt, A.; Pancherz, H. The effect of anabolic steroids on mandibular growth. Am. J. Orthod. Dentofac. Orthop. 2003, 123, 435–440. [Google Scholar] [CrossRef] [PubMed]
- Giannitrapani, L.; Soresi, M.; La Spada, E.; Cervello, M.; D’Alessandro, N.; Montalto, G. Sex Hormones and Risk of Liver Tumor. Ann. N. Y. Acad. Sci. 2006, 1089, 228–236. [Google Scholar] [CrossRef] [PubMed]
- Socas, L.; Zumbado, M.; Pérez-Luzardo, O.; Ramos, A.; Pérez, C.; Hernández, J.R.; Boada, L.D. Hepatocellular adenomas associated with anabolic androgenic steroid abuse in bodybuilders: A report of two cases and a review of the literature. Br. J. Sports Med. 2005, 39, e27. [Google Scholar] [CrossRef]
- Solbach, P.; Potthoff, A.; Raatschen, H.-J.; Soudah, B.; Lehmann, U.; Schneider, A.; Gebel, M.J.; Manns, M.P.; Vogel, A. Testosterone-receptor positive hepatocellular carcinoma in a 29-year old bodybuilder with a history of anabolic androgenic steroid abuse: A case report. BMC Gastroenterol. 2015, 15, 1–7. [Google Scholar] [CrossRef] [PubMed]
- Solimini, R.; Rotolo, M.C.; Mastrobattista, L.; Mortali, C.; Minutillo, A.; Pichini, S.; Pacifici, R.; Palmi, I. Hepatotoxicity associ-ated with illicit use of anabolic androgenic steroids in doping. Eur. Rev. Med. Pharmacol. Sci. 2017, 21, 7–16. [Google Scholar] [PubMed]
- Yeh, S.-H.; Chen, P.-J. Gender Disparity of Hepatocellular Carcinoma: The Roles of Sex Hormones. Oncology 2010, 78 (Suppl. 1), 172–179. [Google Scholar] [CrossRef] [PubMed]
- Agriesti, F.; Tataranni, T.; Pacelli, C.; Scrima, R.; Laurenzana, I.; Ruggieri, V.; Cela, O.; Mazzoccoli, C.; Salerno, M.; Sessa, F.; et al. Nandrolone induces a stem cell-like phenotype in human hepatocarcinoma-derived cell line inhibiting mitochondrial respiratory activity. Sci. Rep. 2020, 10, 1–17. [Google Scholar] [CrossRef] [PubMed]
- Taylor, D.C.; Brooks, D.E.; Ryan, J.B. Anabolic-Androgenic Steroid Administration Causes Hypertrophy of Immobilized and Nonimmobilized Skeletal Muscle in a Sedentary Rabbit Model. Am. J. Sports Med. 1999, 27, 718–727. [Google Scholar] [CrossRef] [PubMed]
- Karpakka, J.A.; Pesola, M.K.; Takala, T.E. The effects of anabolic steroids on collagen synthesis in rat skeletal muscle and tendon: A preliminary report. Am. J. Sports Med. 1992, 20, 262–266. [Google Scholar] [CrossRef] [PubMed]
- Kim, I.; Ki, H.; Lee, W.; Kim, H.; Park, J.-B. The Effect of Systemically Administered Bisphosphonates on Bony Healing After Tooth Extraction and Osseointegration of Dental Implants in the Rabbit Maxilla. Int. J. Oral Maxillofac. Implant. 2013, 28, 1194–1200. [Google Scholar] [CrossRef]





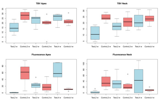
| TBV NECK | TBV APEX | |||||
|---|---|---|---|---|---|---|
| WEEK | TEST | CONTROL | p | TEST | CONTROL | p |
| 2 | 11.35 ± 5.50 | 24.47 ± 2.90 | **** | 15.17 ± 6.04 | 27.82 ± 4.731 | *** |
| 3 | 16.93 ± 4.53 | 20.96 ± 5.04 | 23.67 ± 6.20 | 18.82 ± 9.012 | ||
| 4 | 21.53 ± 5.93 | 23.66 ± 4.41 | 25.29 ± 5.09 | 22.2 ± 4.387 | ||
| FLUORECENCE NECK | FLUORECENCE APEX | |||||
| WEEK | TEST | CONTROL | p | TEST | CONTROL | p |
| 2 | 2.786 ± 5.395 | 38.6 ± 22.54 | *** | 0.647 ± 0.895 | 57.74 ± 28.93 | **** |
| 3 | 33.76 ± 22.96 | 25.36 ± 19.09 | 22.51 ± 13.18 | 20.84 ± 14.85 | ||
| 4 | 44.76 ± 44.41 | 10.25 ± 5.386 | 57.06 ± 33.86 | 10.04 ± 3.11 | ** | |
Publisher’s Note: MDPI stays neutral with regard to jurisdictional claims in published maps and institutional affiliations. |
© 2021 by the authors. Licensee MDPI, Basel, Switzerland. This article is an open access article distributed under the terms and conditions of the Creative Commons Attribution (CC BY) license (https://creativecommons.org/licenses/by/4.0/).
Share and Cite
Lupi, S.M.; Sassi, A.N.; Addis, A.; Rodriguez y Baena, R. The Impact of Nandrolone Decanoate in the Osseointegration of Dental Implants in a Rabbit Model: Histological and Micro-Radiographic Results. Materials 2021, 14, 2258. https://doi.org/10.3390/ma14092258
Lupi SM, Sassi AN, Addis A, Rodriguez y Baena R. The Impact of Nandrolone Decanoate in the Osseointegration of Dental Implants in a Rabbit Model: Histological and Micro-Radiographic Results. Materials. 2021; 14(9):2258. https://doi.org/10.3390/ma14092258
Chicago/Turabian StyleLupi, Saturnino Marco, Alessandra Nicole Sassi, Alessandro Addis, and Ruggero Rodriguez y Baena. 2021. "The Impact of Nandrolone Decanoate in the Osseointegration of Dental Implants in a Rabbit Model: Histological and Micro-Radiographic Results" Materials 14, no. 9: 2258. https://doi.org/10.3390/ma14092258
APA StyleLupi, S. M., Sassi, A. N., Addis, A., & Rodriguez y Baena, R. (2021). The Impact of Nandrolone Decanoate in the Osseointegration of Dental Implants in a Rabbit Model: Histological and Micro-Radiographic Results. Materials, 14(9), 2258. https://doi.org/10.3390/ma14092258

