Maintenance of Alveolar Ridge Dimensions Utilizing an Extracted Tooth Dentin Particulate Autograft and Platelet-Rich fibrin: A Retrospective Radiographic Cone-Beam Computed Tomography Study
Abstract
1. Introduction
2. Materials and Methods
2.1. Study Design
2.2. Participants and Treatment Protocol
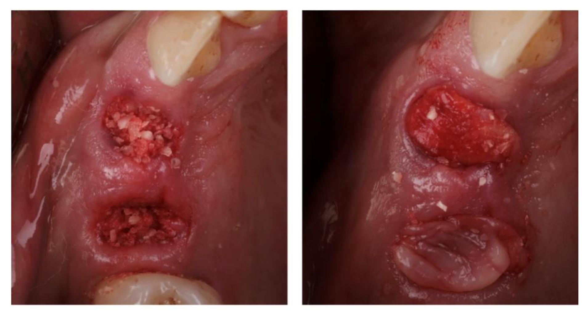
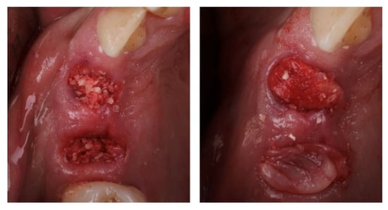
2.3. Surgical Procedure
2.4. Radiographic Examination
2.4.1. Buccal Bone Plate Thickness
2.4.2. Ridge Width and Height Changes
2.4.3. Buccal Bone Plate Reduction
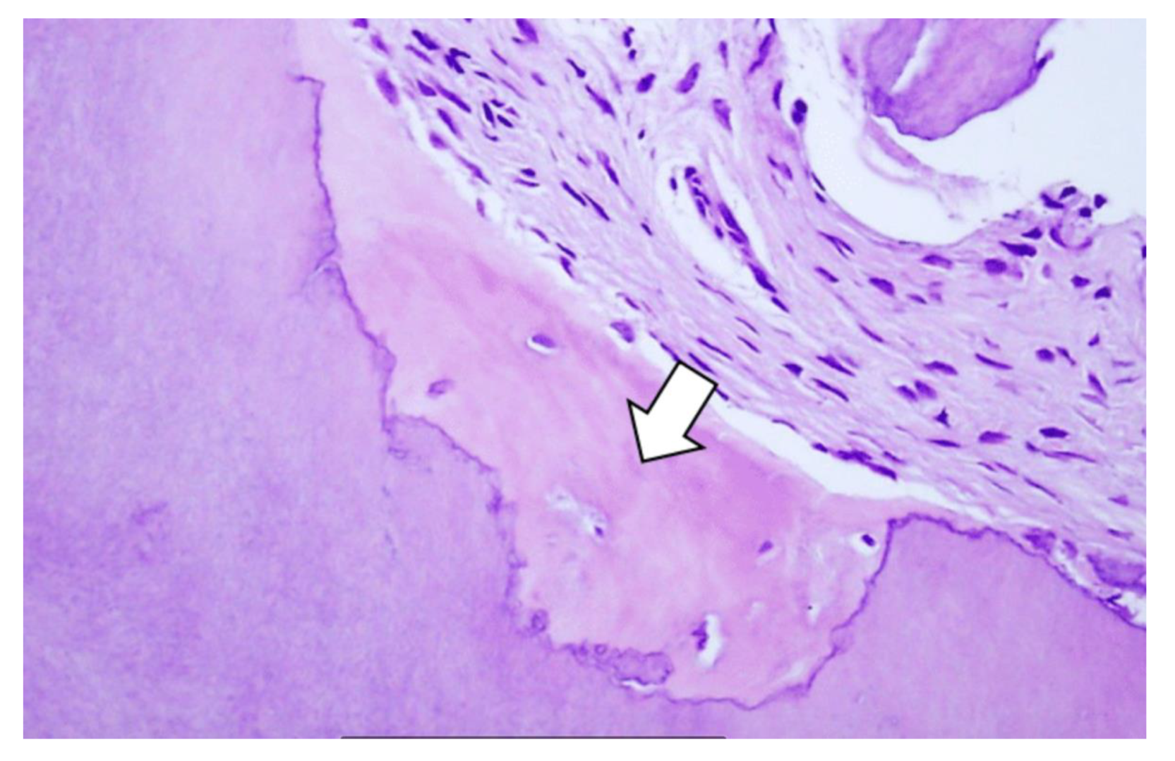
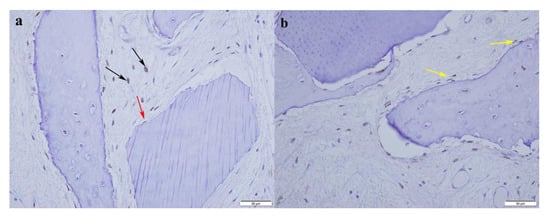
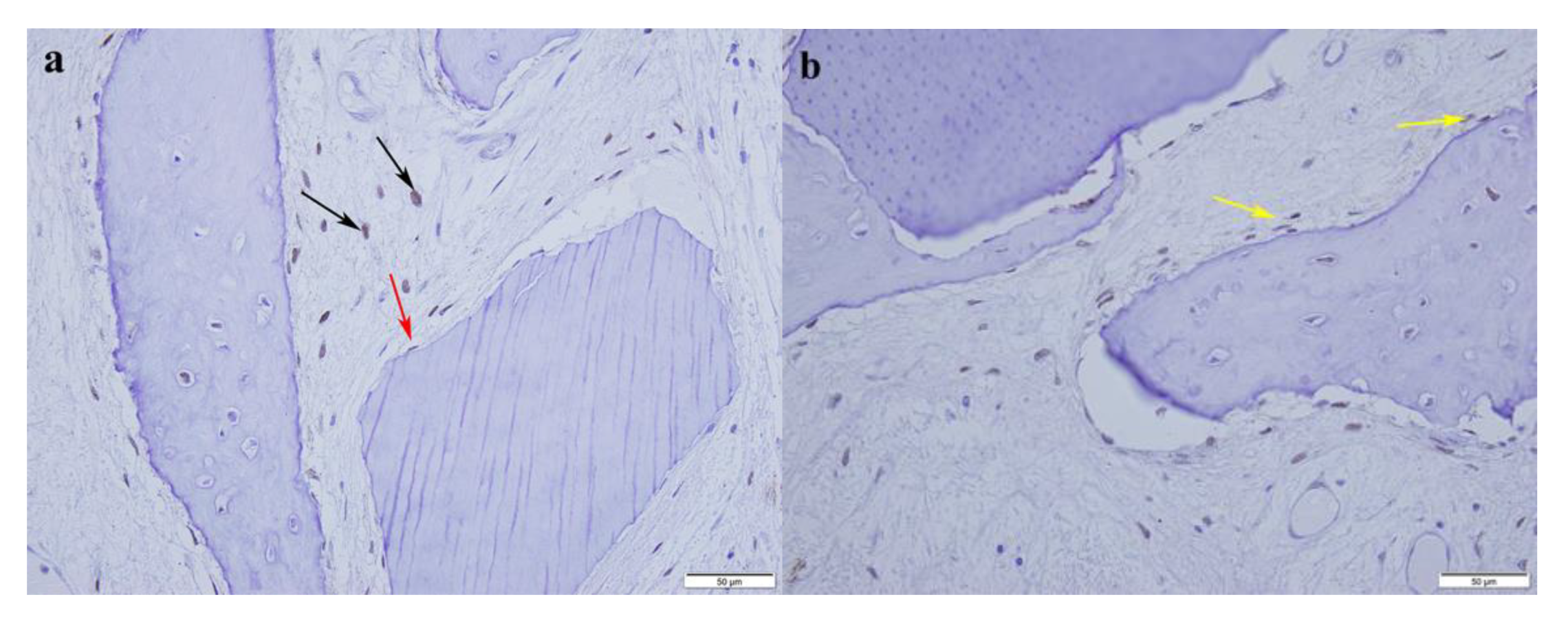
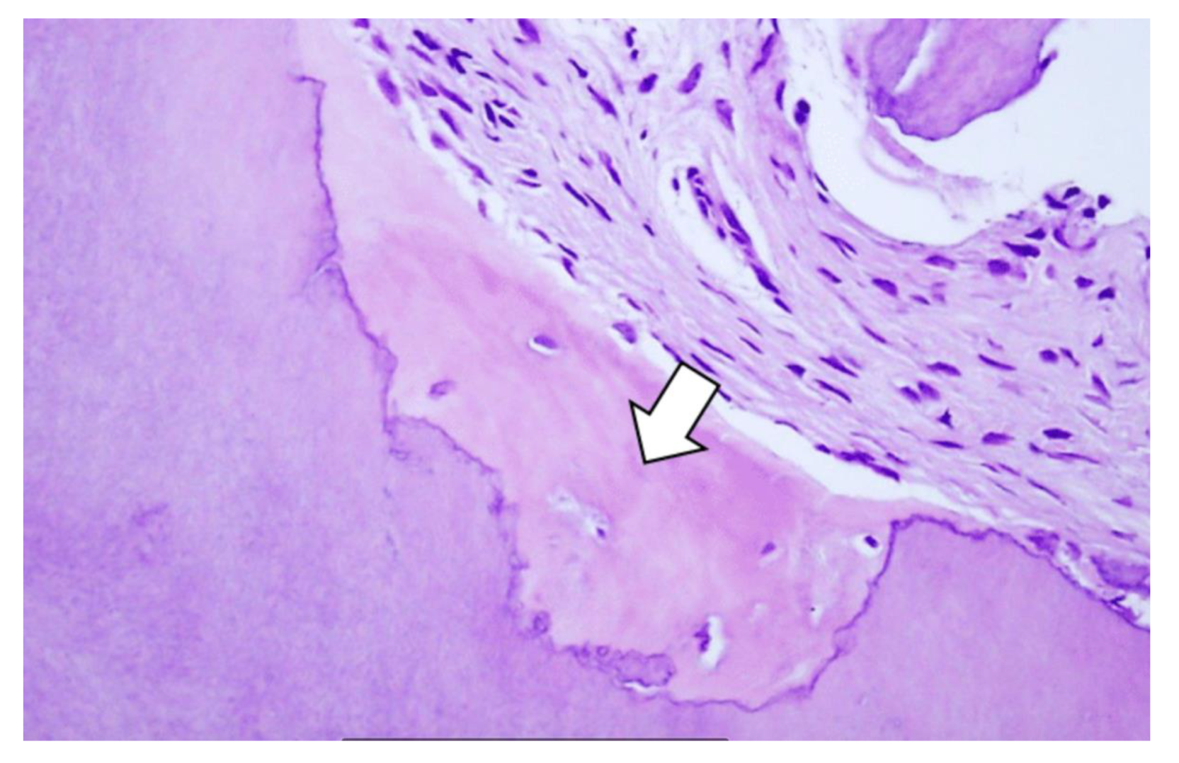
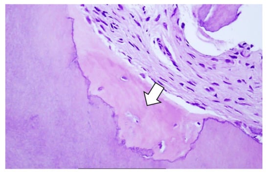
2.5. Histologic Examination
2.6. Statistical Analysis
3. Results
4. Discussion
5. Conclusions
Author Contributions
Funding
Acknowledgments
Conflicts of Interest
References
- Schropp, L.; Wenzel, A.; Kostopoulos, L.; Karring, T. Bone healing and soft tissue contour changes following single-tooth extraction: A clinical and radiographic 12-month prospective study. J. Prosthet. Dent. 2004, 23, 313–323. [Google Scholar]
- Tan, W.L.; Wong, T.L.T.; Wong, M.C.M.; Lang, N.P. A systematic review of post-extractional alveolar hard and soft tissue dimensional changes in humans. Clin. Oral Implant. Res. 2011, 23, 1–21. [Google Scholar] [CrossRef] [PubMed]
- Van Der Weijden, G.A.; Dell’Acqua, F.; Slot, D.E. Alveolar bone dimensional changes of post-extraction sockets in humans: A systematic review. J. Clin. Periodontol. 2009, 36, 1048–1058. [Google Scholar] [CrossRef] [PubMed]
- Araújo, M.G.; Lindhe, J. Dimensional ridge alterations following tooth extraction. An experimental study in the dog. J. Clin. Periodontol. 2005, 32, 212–218. [Google Scholar] [CrossRef] [PubMed]
- Chappuis, V.; Engel, O.; Reyes, M.; Shahim, K.; Nolte, L.-P.; Buser, D. Ridge Alterations Post-extraction in the Esthetic Zone. J. Dent. Res. 2013, 92, 195S–201S. [Google Scholar] [CrossRef]
- Avila-Ortiz, G.; Chambrone, L.; Vignoletti, F. Effect of alveolar ridge preservation interventions following tooth extraction: A systematic review and meta-analysis. J. Clin. Periodontol. 2019, 46, 195–223. [Google Scholar] [CrossRef]
- Bäumer, D.; Zuhr, O.; Rebele, S.; Hürzeler, M. Socket Shield Technique for immediate implant placement–clinical, radiographic and volumetric data after 5 years. Clin. Oral. Implant. Res. 2017, 28, 1450–1458. [Google Scholar] [CrossRef]
- Binderman, I.; Hallel, G.; Nardy, C.; Yaffe, A.; Sapoznikov, L. A Novel Procedure to Process Extracted Teeth for Immediate Grafting of Autogenous Dentin. JBR J. Interdiscip. Med. Dent. Sci. 2014, 2, 1000154. [Google Scholar]
- Hinze, M.; Janousch, R.; Goldhahn, S.; Schlee, M. Volumetric alterations around single-tooth implants using the socket-shield technique: Preliminary results of a prospective case series. Int. J. Esthet. Dent. 2018, 13, 146–170. [Google Scholar]
- Andersson, L. Dentin xenografts to experimental bone defects in rabbit tibia are ankylosed and undergo osseous replacement. Dent. Traumatol. 2010, 26, 398–402. [Google Scholar] [CrossRef]
- Andersson, L.; Blomlöf, L.; Lindskog, S.; Feiglin, B.; Hammarström, L. Tooth ankylosis: Clinical, radiographic and histological assessments. Int. J. Oral. Surg. 1984, 13, 423–431. [Google Scholar] [CrossRef]
- Bernardi, S.; Mummolo, S.; Varvara, G.; Marchetti, E.; Continenza, M.; Marzo, G.; Macchiarelli, G. Bio-morphological evaluation of periodontal ligament fibroblasts on mineralized dentin graft: An in vitro study. J. Biol. Regul. Homeost. Agents 2019, 33, 275–280. [Google Scholar] [PubMed]
- Kim, Y.-K.; Lee, J.; Um, I.-W.; Kim, K.-W.; Murata, M.; Akazawa, T.; Mitsugi, M. Tooth-derived bone graft material. J. Korean Assoc. Oral Maxillofac. Surg. 2013, 39, 103–111. [Google Scholar] [CrossRef] [PubMed]
- Bernardi, S.; Mummolo, S.; Tecco, S.; Continenza, M.A.; Marzo, G. Histological characterization of Sacco’s concentrated growth factors membrane. Int. J. Morphol. 2017, 35, 114–119. [Google Scholar] [CrossRef]
- De Andrade, L.S.; Leite, L.P.; Silva, F.B.D.M.; Resende, R.F.D.B.; De Uzeda, M.J.P.G. The use of platelet-rich fibrin concentrate in tissue healing and regeneration in dentistry. Int. J. Growth Factors Stem Cells Dent. 2018, 1, 23–26. [Google Scholar]
- Kobayashi, E.; Flückiger, L.; Fujioka-Kobayashi, M.; Sawada, K.; Sculean, A.; Schaller, B.; Miron, R.J. Comparative release of growth factors from PRP, PRF, and advanced-PRF. Clin. Oral Investig. 2016, 20, 2353–2360. [Google Scholar] [CrossRef]
- Choukroun, J.; Adda, F.; Schoeffer, C.; Vervelle, A. PRF: An opportunity in perio-implantology. Implantodontie 2000, 42, 55–62. [Google Scholar]
- Canto-Díaz, A.D.; Elío-Oliveros, J.D.; Canto-Díaz, M.D.; Alobera-Gracia, M.-A.; Canto-Pingarrón, M.D.; Martínez-González, J.-M. Use of autologous tooth-derived graft material in the post-extraction dental socket. Pilot study. Med. Oral Patol. Oral y Cir. Bucal 2018, 24, e53–e60. [Google Scholar]
- Fujioka-Kobayashi, M.; Miron, R.J.; Hernandez, M.; Kandalam, U.; Zhang, Y.; Choukroun, J. Optimized platelet-rich fibrin with the low-speed concept: Growth factor release, biocompatibility, and cellular response. J. Periodontol. 2017, 88, 112–121. [Google Scholar] [CrossRef]
- Jung, R.E.; Philipp, A.; Annen, B.M.; Signorelli, L.; Thoma, D.S.; Hämmerle, C.H.; Attin, T.; Schmidlin, P. Radiographic evaluation of different techniques for ridge preservation after tooth extraction: A randomized controlled clinical trial. J. Clin. Periodontol. 2013, 40, 90–98. [Google Scholar] [CrossRef]
- Sanz, M.; Dahlin, C.; Apatzidou, D.; Artzi, Z.; Bozic, D.; Calciolari, E.; De Bruyn, H.; Dommisch, H.; Donos, N.; Eickholz, P.; et al. Biomaterials and regenerative technologies used in bone regeneration in the craniomaxillofacial region: Consensus report of group 2 of the 15th European Workshop on Periodontology on Bone Regeneration. J. Clin. Periodontol. 2019, 46, 82–91. [Google Scholar] [CrossRef] [PubMed]
- Binderman, I.; Bahar, H.; Yaffe, A. Strain Relaxation of Fibroblasts in the Marginal Periodontium Is the Common Trigger for Alveolar Bone Resorption: A Novel Hypothesis. J. Periodontol. 2002, 73, 1210–1215. [Google Scholar] [CrossRef] [PubMed]
- Grado, G.F.D.; Keller, L.; Idoux-Gillet, Y.; Wagner, Q.; Musset, A.-M.; Benkirane-Jessel, N.; Bornert, F.; Offner, D. Bone substitutes: A review of their characteristics, clinical use, and perspectives for large bone defects management. J. Tissue Eng. 2018, 9, 1–18. [Google Scholar]
- Andrade, C.; Camino, J.; Nally, M.; Quirynen, M.; Martínez, B.; Pinto, N. Combining autologous particulate dentin, L-PRF, and fibrinogen to create a matrix for predictable ridge preservation: A pilot clinical study. Clin. Oral. Investig. 2019, 24, 1151–1160. [Google Scholar] [CrossRef]
- Mazor, Z.; Horowitz, R.A.; Prasad, H.; Kotsakis, G.A. Healing Dynamics Following Alveolar Ridge Preservation with Autologous Tooth Structure. Int. J. Periodontics Restor. Dent. 2019, 39, 697–702. [Google Scholar] [CrossRef]
- Jung, G.-U.; Jeon, T.-H.; Kang, M.-H.; Um, I.-W.; Song, I.-S.; Ryu, J.J.; Jun, S.H. Volumetric, Radiographic, and Histologic Analyses of Demineralized Dentin Matrix Combined with Recombinant Human Bone Morphogenetic Protein-2 for Ridge Preservation: A Prospective Randomized Controlled Trial in Comparison with Xenograft. Appl. Sci. 2018, 8, 1288. [Google Scholar] [CrossRef]
- Calvo-Guirado, J.L.; Ballester-Montilla, A.; Aza, P.D.; Domínguez, M.F.; Gehrke, S.A.; Pino, P.C.-D.; Mahesh, L.; Pelegrine, A.; Aragoneses, J.M.; Val, J.M.-S.D.; et al. Particulated, Extracted Human Teeth Characterization by SEM-EDX Evaluation as a Biomaterial for Socket Preservation: An In Vitro Study. Material 2019, 12, 380. [Google Scholar]
- Cardaropoli, D.; Tamagnone, L.; Roffredo, A.; Gaveglio, L.; Cardaropoli, G. Socket preservation using bovine bone mineral and collagen membrane: A randomized controlled clinical trial with histologic analysis. Int. J. Periodontics Restor. Dent. 2012, 32, 420–430. [Google Scholar]
- Engler-Hamm, D.; Cheung, W.S.; Yen, A.; Stark, P.C.; Griffin, T. Ridge Preservation Using a Composite Bone Graft and a Bioabsorbable Membrane with and without Primary Wound Closure: A Comparative Clinical Trial. J. Periodontol. 2011, 82, 377–387. [Google Scholar] [CrossRef]
- Fickl, S.; Zuhr, O.; Wachtel, H.; Bolz, W.; Huerzeler, M. Tissue alterations after tooth extraction with and without surgical trauma: A volumetric study in the beagle dog. J. Clin. Periodontol. 2008, 35, 356–363. [Google Scholar] [CrossRef]
- Miron, R.J.; Zucchelli, G.; Pikos, M.A.; Salama, M.; Lee, S.; Guillemette, V.; Fujioka-Kobayashi, M.; Bishara, M.; Zhang, Y.; Wang, H.-L.; et al. Use of platelet-rich fibrin in regenerative dentistry: A systematic review. Clin. Oral. Investig. 2017, 21, 1913–1927. [Google Scholar] [CrossRef] [PubMed]






| Measurements of Buccal Bone | ||
|---|---|---|
| Mean (mm) | SD (mm) | |
| Initial thickness at 1 mm below the crest (buccal bone plate thickness (BBT) 1) | 0.88 | 0.49 |
| Initial thickness at 3 mm below the crest (BBT2) | 1.11 | 0.75 |
| Initial thickness at 5 mm below the crest (BBT3) | 1.38 | 1.07 |
| Buccal plate horizontal reduction 1 mm from the highest ridge point (BPR-1) after 4 months | −0.87 | 0.84 |
| Buccal plate horizontal reduction 3 mm from the highest ridge point (BPR-2) after 4 months | −0.60 | 0.70 |
| Buccal plate horizontal reduction 5 mm from the highest ridge point (BPR-3) after 4 months | −0.41 | 0.55 |
| Ridge Width | Initial | After 4 Months | Difference | |||
|---|---|---|---|---|---|---|
| Mean | SD | Mean | SD | Mean | SD | |
| (mm) | (mm) | (mm) | (mm) | (mm) | (mm) | |
| Ridge width 1 mm from the highest ridge point | 8.45 | 1.33 | 7.02 | 1.42 | −1.38 | 1.24 |
| Ridge width 3 mm from the highest ridge point | 8.73 | 1.35 | 7.86 | 1.37 | −0.82 | 1.13 |
| Ridge width 5 mm from the highest ridge point | 9.01 | 1.49 | 8.55 | 1.47 | −0.43 | 0.89 |
| Ridge Height. | Initial | After 4 Months | Difference | |||
|---|---|---|---|---|---|---|
| Mean | SD | Mean | SD | Mean | SD | |
| (mm) | (mm) | (mm) | (mm) | (mm) | (mm) | |
| Buccal bone height (BH1, BH2, ΔBH) | 8.79 | 2.27 | 8.96 | 2.76 | +0.16 | 2.34 |
| Lingual bone height (LH1, LH2, ΔLH) | 8.54 | 2.22 | 8.79 | 2.73 | +0.4 | 1.68 |
| Measurement † | Hypothetical Mean Basis | Hypothetical Mean ‡ | Sample Mean | Sample SD | t-test | Significance |
|---|---|---|---|---|---|---|
| Ridge width reduction | Tan et al. [2]; 30% | −2.53 | −1.38 | 1.24 | 7.063 | p < 0.0001 |
| Van der Weijden et al. [3] | −3.87 | −1.38 | 1.24 | 15.293 | p < 0.0001 | |
| Height loss | Tan et al. [2]; 16% | −1.40 | 0.16 | 2.34 | 4.0357 | p < 0.0001 |
| Van der Weijden et al. [3] | −1.67 | 0.16 | 2.34 | 4.9145 | p < 0.0001 |
© 2020 by the authors. Licensee MDPI, Basel, Switzerland. This article is an open access article distributed under the terms and conditions of the Creative Commons Attribution (CC BY) license (http://creativecommons.org/licenses/by/4.0/).
Share and Cite
Pohl, S.; Binderman, I.; Tomac, J. Maintenance of Alveolar Ridge Dimensions Utilizing an Extracted Tooth Dentin Particulate Autograft and Platelet-Rich fibrin: A Retrospective Radiographic Cone-Beam Computed Tomography Study. Materials 2020, 13, 1083. https://doi.org/10.3390/ma13051083
Pohl S, Binderman I, Tomac J. Maintenance of Alveolar Ridge Dimensions Utilizing an Extracted Tooth Dentin Particulate Autograft and Platelet-Rich fibrin: A Retrospective Radiographic Cone-Beam Computed Tomography Study. Materials. 2020; 13(5):1083. https://doi.org/10.3390/ma13051083
Chicago/Turabian StylePohl, Snjezana, Itzhak Binderman, and Jelena Tomac. 2020. "Maintenance of Alveolar Ridge Dimensions Utilizing an Extracted Tooth Dentin Particulate Autograft and Platelet-Rich fibrin: A Retrospective Radiographic Cone-Beam Computed Tomography Study" Materials 13, no. 5: 1083. https://doi.org/10.3390/ma13051083
APA StylePohl, S., Binderman, I., & Tomac, J. (2020). Maintenance of Alveolar Ridge Dimensions Utilizing an Extracted Tooth Dentin Particulate Autograft and Platelet-Rich fibrin: A Retrospective Radiographic Cone-Beam Computed Tomography Study. Materials, 13(5), 1083. https://doi.org/10.3390/ma13051083
