Posttraumatic Delayed Enophthalmos: Analogies with Silent Sinus Syndrome? Case Report and Literature Review
Abstract
:
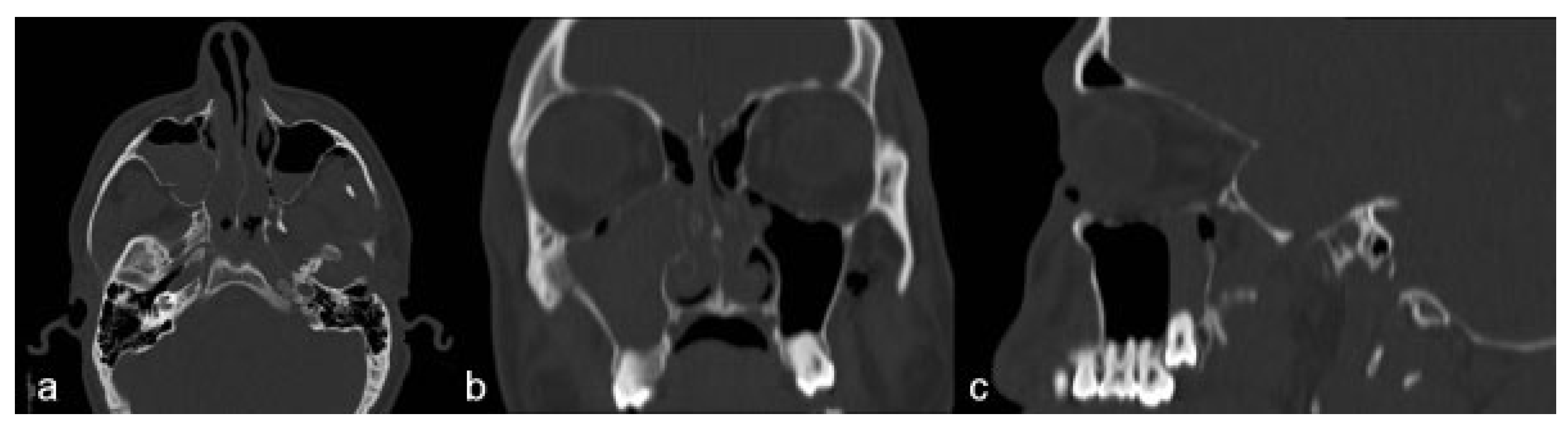
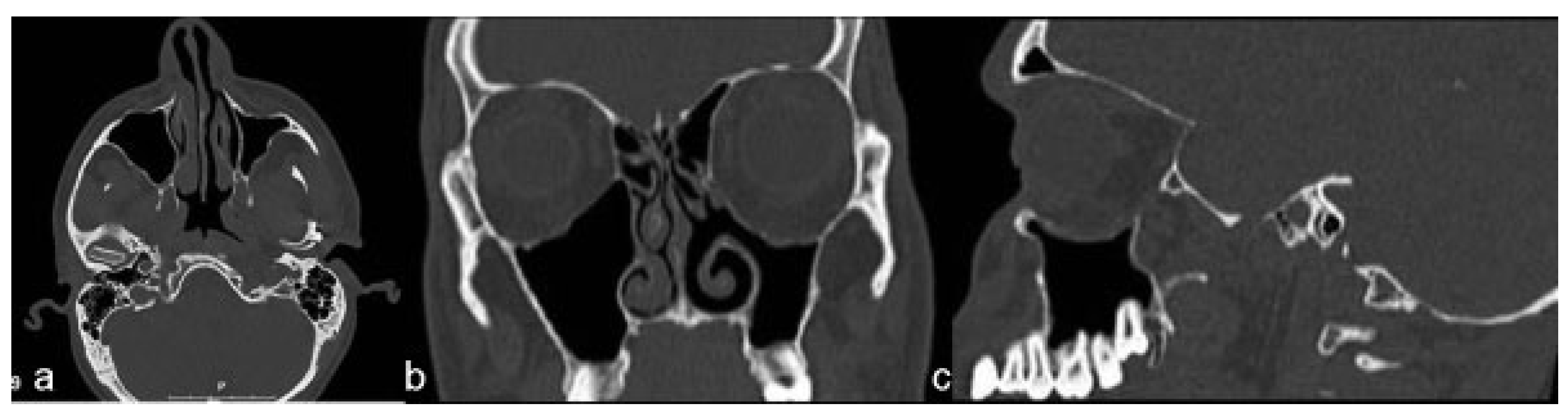
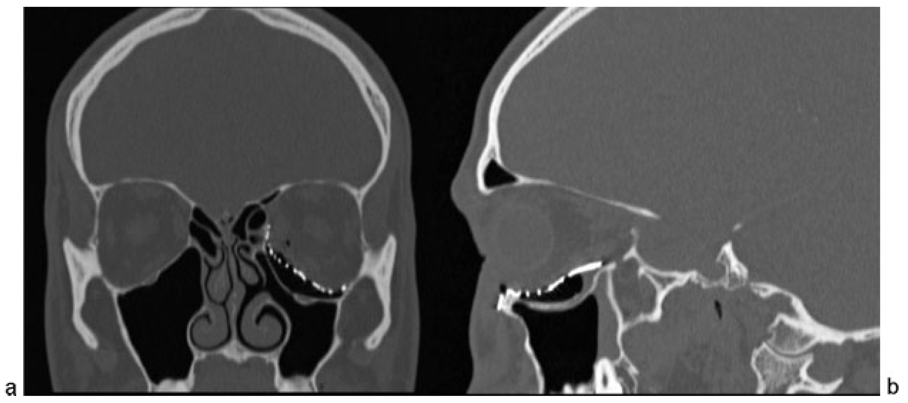
Case Report




Discussion



- Absence of chronic or acute rhinosinusitis in the 6 months before the appearance of clinical signs (enophthalmos, hypoglobus, and deepening of left superior palpebral sulcus).
- Remodeling and depression of the orbital floor in coronal CT scans.
- Absence of facial trauma, surgical procedures, and enophthalmos by another cause.
- Absence of paranasal sinuses and congenital malformations of the nasal cavities.
Conclusion
Conflicts of Interest
References
- Hamedani, M.; Pournaras, J.A.; Goldblum, D. Diagnosis and management of enophthalmos. Surv Ophthalmol 2007, 52, 457–473. [Google Scholar] [CrossRef]
- Whitehouse, R.W.; Batterbury, M.; Jackson, A.; Noble, J.L. Prediction of enophthalmos by computed tomography after ’blow out’ orbital fracture. Br J Ophthalmol 1994, 78, 618–620. [Google Scholar] [CrossRef] [PubMed]
- Gagnon, M.R.; Yeatts, R.P.; Williams, Z.; Matthews, B. Delayed enophthalmos following a minimally displaced orbital floor fracture. Ophthal Plast Reconstr Surg 2004, 20, 241–243. [Google Scholar] [CrossRef]
- Montgomery, W.W. Mucocele of the maxillary sinus causing enophthalmos. Eye Ear Nose Throat Mon 1964, 43, 41–44. [Google Scholar] [PubMed]
- Soparkar, C.N.S.; Patrinely, J.R.; Cuaycong, M.J.; et al. The silent sinus syndrome. A cause of spontaneous enophthalmos. Ophthalmology 1994, 101, 772–778. [Google Scholar] [CrossRef]
- Hunt, S.M.; Tami, T.A. Sinusitis-induced enophthalmos: The silent sinus syndrome. Ear Nose Throat J 2000, 79, 576, 579–581, 584. [Google Scholar] [CrossRef] [PubMed]
- Davidson, J.K.; Soparkar, C.N.S.; Williams, J.B.; Patrinely, J.R. Negative sinus pressure and normal predisease imaging in silent sinus syndrome. Arch Ophthalmol 1999, 117, 1653–1654. [Google Scholar]
- Vander Meer, J.B.; Harris, G.; Toohill, R.J.; Smith, T.L. The silent sinus syndrome: A case series and literature review. Laryngoscope 2001, 111, 975–978. [Google Scholar] [CrossRef]
- Cobb, A.R.; Murthy, R.; Cousin, G.C.; et al. Silent sinus syndrome. Br J Oral Maxillofac Surg 2012, 50, e81–e85. [Google Scholar] [CrossRef]
- Ross, J.J.; Kersten, R.C. Late enophthalmos mimicking silent sinus syndrome secondary to orbital trauma. J Craniofac Surg 2005, 16, 840–843. [Google Scholar] [CrossRef]
- Rose, G.E.; Lund, V.J. Clinical features and treatment of late enophthalmos after orbital decompression. Ophthalmology 2003, 110, 819–826. [Google Scholar] [CrossRef] [PubMed]
- Montezuma, S.R.; Gopal, H.; Savar, A.; Turalba, A.; Cestari, D.M.; Torun, N. Silent sinus syndrome presenting as enophthalmos long after orbital trauma. J Neuroophthalmol 2008, 28, 107–110. [Google Scholar] [CrossRef] [PubMed]
- Pawar, S.S.; Hong, S.; Poetker, D.M. Delayed presentation of silent sinus syndrome after orbital trauma. Am J Otolaryngol 2010, 31, 61–63. [Google Scholar] [CrossRef]
- Hobbs, C.G.L.; Saunders, M.W.; Potts, M.J. “Imploding antrum” or silent sinus syndrome following naso-tracheal intubation. Br J Ophthalmol 2004, 88, 974–975. [Google Scholar] [CrossRef]
- Wilkins, R.B.; Kulwin, D.R. Spontaneous enophthalmos associated with chronic maxillary sinusitis. Ophthalmology 1981, 88, 981–985. [Google Scholar] [CrossRef] [PubMed]
- Boyd, J.H.; Yaffee, K.; Holds, J. Maxillary sinus atelectasis with enophthalmos. Ann Otol Rhinol Laryngol 1998, 107, 34–39. [Google Scholar] [CrossRef]
- Thomas, R.D.; Graham, S.M.; Carter, K.D.; Nerad, J.A. Management of the orbital floor in silent sinus syndrome. Am J Rhinol 2003, 17, 97–100. [Google Scholar] [CrossRef]
- Babin, E.; Bertrand, M.; Retout, A.; Gardea, E.; Choussy, O. Silent sinus syndrome with spontaneous orbital floor reconstruction. B-ENT 2009, 5, 125–128. [Google Scholar]
- Nkenke, E.; Alexiou, C.; Iro, H.; et al. Management of spontaneous enophthalmos due to silent sinus syndrome: A case report. Int J Oral Maxillofac Surg 2005, 34, 809–811. [Google Scholar] [CrossRef]
- Braganza, A.; Khooshabeh, R. Ethmoidal involvement in “imploding” (silent) sinus syndrome. Ophthal Plast Reconstr Surg 2005, 21, 305–307. [Google Scholar] [CrossRef]
- Babiński, D.; Skorek, A.; Stankiewicz, C. Chronic maxillary atelectasis (silent sinus syndrome) [in Polish]. Otolaryngol Pol 2006, 60, 929–933. [Google Scholar] [PubMed]
- Sciarretta, V.; Pasquini, E.; Tesei, F.; Modugno, G.C.; Farneti, G. Endoscopic sinus surgery for the treatment of maxillary sinus atelectasis and silent sinus syndrome. J Otolaryngol 2006, 35, 60–64. [Google Scholar] [CrossRef]
- Facon, F.; Eloy, P.; Brasseur, P.; Collet, S.; Bertrand, B. The silent sinus syndrome. Eur Arch Otorhinolaryngol 2006, 263, 567–571. [Google Scholar] [CrossRef] [PubMed]
- Sivasubramaniam, R.; Sacks, R.; Thornton, M. Silent sinus syndrome: Dynamic changes in the position of the orbital floor after restoration of normal sinus pressure. J Laryngol Otol 2011, 125, 1239–1243. [Google Scholar] [CrossRef]
- Beasley, N.J.; Jones, N.S.; Downes, R.N. Enophthalmos secondary to maxillary sinus disease: Single-stage operative management. J Laryngol Otol 1995, 109, 868–870. [Google Scholar] [CrossRef]
- Blackwell, K.E.; Goldberg, R.A.; Calcaterra, T.C. Atelectasis of the maxillary sinus with enophthalmos and midface depression. Ann Otol Rhinol Laryngol 1993, 102, 429–432. [Google Scholar] [CrossRef]
- Ando, A.; Cruz, A.A. Management of enophthalmos and superior sulcus deformity induced by the silent sinus syndrome. Aesthetic Plast Surg 2005, 29, 74–77. [Google Scholar] [CrossRef] [PubMed]
- Dinis, P.B.; Branco, C.; Subtil, J. Endonasal endoscopic repair of the orbital floor defect in the silent sinus syndrome. Otolaryngol Head Neck Surg 2006, 135, 800–802. [Google Scholar] [CrossRef]
- Sesenna, E.; Oretti, G.; Anghinoni, M.L.; Ferri, A. Simultaneous management of the enophthalmos and sinus pathology in silent sinus syndrome: A report of three cases. J Craniomaxillofac Surg 2010, 38, 469–472. [Google Scholar] [CrossRef]
© 2015 by the author. The Author(s) 2015.
Share and Cite
Canzi, G.; Morganti, V.; Novelli, G.; Bozzetti, A.; Sozzi, D. Posttraumatic Delayed Enophthalmos: Analogies with Silent Sinus Syndrome? Case Report and Literature Review. Craniomaxillofac. Trauma Reconstr. 2015, 8, 251-256. https://doi.org/10.1055/s-0034-1399799
Canzi G, Morganti V, Novelli G, Bozzetti A, Sozzi D. Posttraumatic Delayed Enophthalmos: Analogies with Silent Sinus Syndrome? Case Report and Literature Review. Craniomaxillofacial Trauma & Reconstruction. 2015; 8(3):251-256. https://doi.org/10.1055/s-0034-1399799
Chicago/Turabian StyleCanzi, Gabriele, Valeria Morganti, Giorgio Novelli, Alberto Bozzetti, and Davide Sozzi. 2015. "Posttraumatic Delayed Enophthalmos: Analogies with Silent Sinus Syndrome? Case Report and Literature Review" Craniomaxillofacial Trauma & Reconstruction 8, no. 3: 251-256. https://doi.org/10.1055/s-0034-1399799
APA StyleCanzi, G., Morganti, V., Novelli, G., Bozzetti, A., & Sozzi, D. (2015). Posttraumatic Delayed Enophthalmos: Analogies with Silent Sinus Syndrome? Case Report and Literature Review. Craniomaxillofacial Trauma & Reconstruction, 8(3), 251-256. https://doi.org/10.1055/s-0034-1399799