Retained Broken Implants in the Craniomaxillofacial Skeleton
Abstract
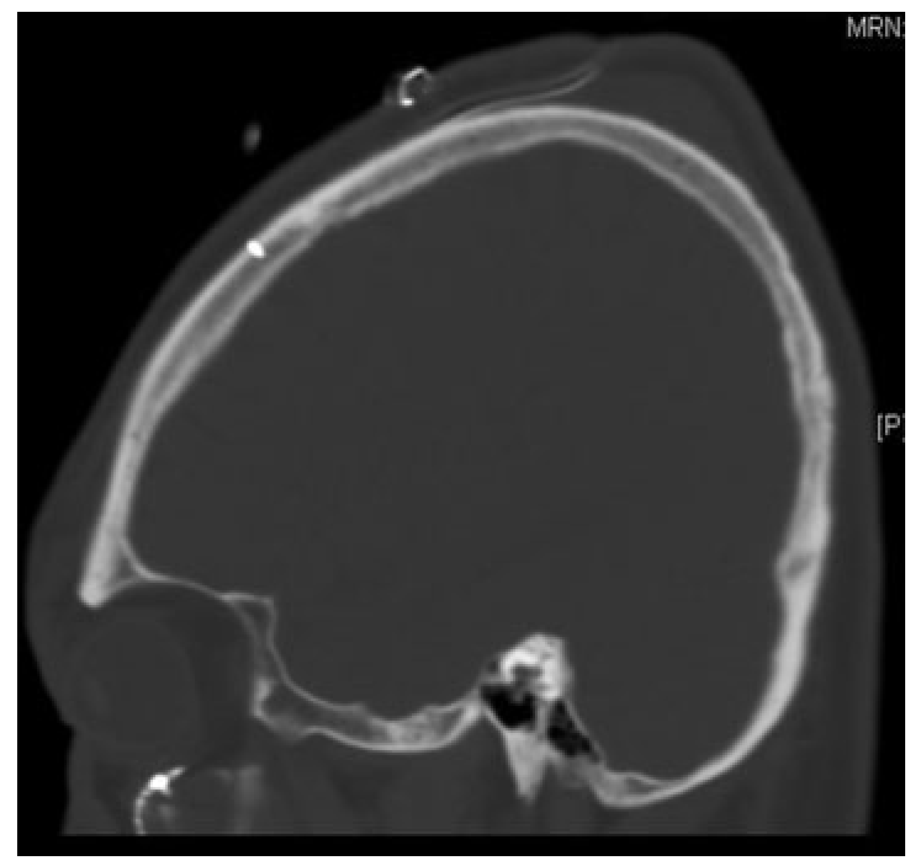
:Case Report
Discussion
References
- Klotch, D.W.; Gilliland, R. Internal fixation vs. conventional therapy in midface fractures. J Trauma 1987, 27, 1136–1145. [Google Scholar] [PubMed]
- Gilardino, M.S.; Chen, E.; Bartlett, S.P. Choice of internal rigid fixation materials in the treatment of facial fractures. Craniomaxillofac Trauma Reconstr 2009, 2, 49–60. [Google Scholar] [PubMed]
- Knight, J.S.; North, J.F. The classification of malar fractures: an analysis of displacement as a guide to treatment. Br J Plast Surg 1961, 13, 325–339. [Google Scholar] [CrossRef] [PubMed]
- Fothi, U.; Perren, S.M.; Auer, J.A. Drill bit failure with implant involvement—an intraoperative complication in orthopaedic surgery. Injury 1992, 23 (Suppl 2), S17–S29. [Google Scholar] [CrossRef] [PubMed]
- Price, M.V.; Molloy, S.; Solan, M.C.; Sutton, A.; Ricketts, D.M. The rate of instrument breakage during orthopaedic procedures. Int Orthop 2002, 26, 185–187. [Google Scholar] [PubMed]
- Bertollo, N.; Walsh, W.R. Drilling of bone: practicality, limitations and complications associated with surgical drill-bits. In Biomechanics in Applications; Klika, V., Ed.; 2011; Chapter 3; pp. 53–82. Available online: http://www.intechopen.com/books/biomechanics-in-applications/drilling-of-bone-practicality-limitations-and-complications-associated-with-surgical-drill-bits (accessed on 26 February 2014).
- Navarro, M.; Michiardi, A.; Castaño, O.; Planell, J.A. Biomaterials in orthopaedics. J R Soc Interface 2008, 5, 1137–1158. [Google Scholar] [PubMed]
- Steinemann, S. Metal for craniomaxillofacial internal fixation implants and its physiologic implications. In Craniomaxillofacial Reconstructive and Corrective Bone Surgery; Greenberg, A., Prein, J., Eds.; Springer: New York, NY, USA, 2006; pp. 107–12. [Google Scholar]
- Jochum, R.M.; Reichart, P.A. Influence of multiple use of Timedur-titanium cannon drills: thermal response and scanning electron microscopic findings. Clin Oral Implants Res 2000, 11, 139–143. [Google Scholar] [PubMed]
- Available online: http://www.fda.gov/MedicalDevices/DeviceRegulationandGuidance/GuidanceDocuments/ucm073758.htm (accessed on 26 February 2014).
- Steinmann, S.G.; Eulenberger, J.; Mausli, P.A.; Schroeder, A. Biological and Biomechanical Performance of Biomaterials; Elsevier Science: Amsterdam, 1986. [Google Scholar]
- Plecko, M.; Sievert, C.; Andermatt, D.; et al. Osseointegration and biocompatibility of different metal implants—a comparative experimental investigation in sheep. BMC Musculoskelet Disord 2012, 13, 32. [Google Scholar]
- Available online: http://sites.synthes.com/intl/vet/support_contact/faq/Pages/faq.aspx (accessed on 26 February 2014).
- Olmedo, D.; Fernández, M.M.; Guglielmotti, M.B.; Cabrini, R.L. Macrophages related to dental implant failure. Implant Dent 2003, 12, 75–80. [Google Scholar] [PubMed]
- Adya, N.; Alam, M.; Ravindranath, T.; Mubeen, A.; Saluja, B. Corrosion in titanium dental implants: literature review. J Indian Prosthodont Soc 2005, 5, 126–131. [Google Scholar]
- Orringer, J.S.; Barcelona, V.; Buchman, S.R. Reasons for removal of rigid internal fixation devices in craniofacial surgery. J Craniofac Surg 1998, 9, 40–44. [Google Scholar] [PubMed]
- Hirt, U.; Auer, J.A.; Perren, S.M. Drill bit failure without implant involvement—an intraoperative complication in orthopaedic surgery. Injury 1992, 23 (Suppl 2), S5–S16. [Google Scholar] [CrossRef] [PubMed]


| Patient | Age/sex | Other injuries | Operative changes | Fractured implant | Point of fracture | 
|---|---|---|---|---|---|
| 1 | 42 M | NIL | NIL | Screw 1.5 mm | Neck of screw | 
| 2 | 25 M | Subdural hemorrhage, cervical spine spinal process fractures, left scapula fracture, rib fractures | Plate moved slightly medial | Drill bit 1.1 mm | Shaft | 
| 3 | 28 M | Rib fractures, sternal fracture, multiple vertebral body, and spinal process fractures | NIL Titanium mesh—different hole used | Drill bit 1.1 mm | Shaft | 
| 4 | 58 M | Left femur fracture, left radius ulnar fracture, intracerebral hemorrhage | NIL Titanium mesh—different hole used | Drill bit 1.1 mm | Shaft | 
| 5 | 32 M | Right femoral fracture | NIL Titanium mesh—different hole used | Drill bit 1.1 mm | Shaft | 
© 2014 by the author. The Author(s) 2014.
Share and Cite
Nallathamby, V.; Lee, H.; Lin, Y.Y.; Lim, J.; Ong, W.C.; Lim, T.-C. Retained Broken Implants in the Craniomaxillofacial Skeleton. Craniomaxillofac. Trauma Reconstr. 2014, 7, 154-157. https://doi.org/10.1055/s-0034-1371551
Nallathamby V, Lee H, Lin YY, Lim J, Ong WC, Lim T-C. Retained Broken Implants in the Craniomaxillofacial Skeleton. Craniomaxillofacial Trauma & Reconstruction. 2014; 7(2):154-157. https://doi.org/10.1055/s-0034-1371551
Chicago/Turabian StyleNallathamby, Vigneswaran, Hanjing Lee, Yap Yan Lin, Jane Lim, Wei Chen Ong, and Thiam-Chye Lim. 2014. "Retained Broken Implants in the Craniomaxillofacial Skeleton" Craniomaxillofacial Trauma & Reconstruction 7, no. 2: 154-157. https://doi.org/10.1055/s-0034-1371551
APA StyleNallathamby, V., Lee, H., Lin, Y. Y., Lim, J., Ong, W. C., & Lim, T.-C. (2014). Retained Broken Implants in the Craniomaxillofacial Skeleton. Craniomaxillofacial Trauma & Reconstruction, 7(2), 154-157. https://doi.org/10.1055/s-0034-1371551
 
         
       