Abstract
We present a retrospective review of a new technique for the transportation of alveolar bone using a Hyrax device modified by the principal author (O.A.V.). There were seven patients (five males and two females), including five patients with cleft palate and lip diagnosis, one patient with a high-speed gunshot wound, and one patient with facial trauma sequel due to mandibular fracture. They were all treated with an alveolar bone transportation technique (ABT) through the use of the modified Hyrax device (VEGAX). Before surgery, distraction osteogenesis of the bifocal type was performed on four patients, and the trifocal type was performed on the other three patients. However, in one case, direct dental anchorage was not used, only orthodontic appliances. In all the cases, new bone formation and gingival tissue around the defect were obtained, posterior to the alveolar distraction process; no complications were observed in any patient. In one case, two teeth involved in the disk of the ABT were extracted, due to a previous condition of periodontal disease. The alveolar bone transport with the VEGAX device is an accessible technique for almost every patient with alveolar defects due to diverse causes. In all the presented cases, predictability and success were demonstrated.
Distraction osteogenesis is a technique that has gained ground in the past few years and has become involved in various areas of maxillofacial surgery. The fact that it can generate not only bone support but also surrounding soft tissues makes it an ideal technique for tissue regeneration. One of its applications is the closing of oronasal communications, where bone formation is required with precise quality and quantity allowing the final rehabilitation with a prosthetic device and/or dental implants. Throughout history, these defects have been handled with diverse types of grafts and flaps, which require several surgical phases, increasing the amount of time in the hospital and prolonging the rehabilitation. The main advantage of alveolar bone transportation technique (ABT) over grafts is that it excludes the need of a donor site and eliminates any inherent risks.
The placement of grafts on patients with cleft palate and lip with fistulas or traumatic bone loss has proven to be useful and is possibly the most used technique to treat these alterations. But in some cases, especially when the surrounding soft tissues are insufficient to obtain a proper closure or when the communication is very broad, there have been reports of disadvantages, including reabsorption of the graft, exposure of the graft, or contamination with the oral cavity and/or nasal cavity. This means that the procedure has to be redone, compromising the surgical site more each time. The challenge of these procedures is to achieve a complete closure using adhered gingiva and a great volume of bone. In 1990, Constantino and collaborators [1] were the first to perform bone transport with bifocal distraction osteogenesis in the jaw of a dog and years later in humans to reconstruct a mandibular defect. In the maxilla, Liou and collaborators [2] achieved the closure of an alveolar fissure in a patient with cleft palate. In 2003, Yen and Yamashita [3] proved that the shape of the alveolar ridge can be redefined through orthodontic movements assisted by oral corticotomies. Most of these reports used apparatus with anchorage to the bone, which is very expensive and often is not accessible for many patients.
The primary and secondary bone grafts have been an established method for the treatment of alveolar fissures and oronasal fistulas. [4] However, broad defects are hard to graft and are frequently associated with big palatal fistulas that can persist after orthodontic expansions and bone grafts. The segmented osteotomies have been used successfully for the repositioning of minor segments. However, in major segmented movements, the closing of the flap and the blood supply of the osteotomized segment may be compromised.
Using the ABT technique, big bone grafts, facial scars, and complicated treatments are avoided. [5] Height in the alveolar ridge is obtained [6] by a formation of the alveolar edentulous ridge (where fast orthodontic movements can be performed), and new adhered gingiva is obtained without the need of a free gingival graft. This way, new bone and gingival tissue is formed and is suitable for the placement of dental implants.
Patients and Methods
Seven patients (five males, two females), with an average age of 20.4 years (range of 13 to 36), were treated in the Central Hospital of the Police and the El Tunal Hospital (Bogota’, Colombia) between 2004 and 2006 with follow-up until 2009. Presented were cleft lip and palate diagnosis (five cases), gunshot wound (one case), and mandibular fracture (one case). Also presented were maxillary alveolar defects (six cases) and mandibulary defect (one case), treated with distraction osteogenesis and alveolar bone transport type, with the use of the modified Hyrax device (VEGAX) by the main author (O.A.V.; Table 1).
Table 1.
Patient’s Characteristics.
The Hyrax device is used in orthodontics to perform expansion through the palatal midsuture in growing patients. Its first use in maxillofacial surgery was to perform maxillary transverse distraction and later, expansion of the mandibular symphysis. At this time, there is no publication that proposes its use for alveolar bone transport, generally performed with specifically fabricated distracters, but its cost is a major disadvantage. Besides presenting major volume, there is difficulty with adjusting it and with big attachments for its activation. This impedes the management and thereby diminishes the tolerance on the part of the patients. The VEGAX device is a modification of the Hyrax, in which two of the dental bands are replaced with attachments that allow the placement of monocortical screws on the alveolar ridge: on the disk of transport and in the fixed segment. Both remaining bands anchor to the dental pieces: one in the fixed segment and the other one on the disk (Figure 1).
Figure 1.
(A–C) Modified Hyrax device (VEGAX) design. Hyrax screw modified with two upper loops for bone fixation (one for transport disk and the other in the nonmobile area) and dental bands welded (one in a tooth at the transport disk and the other in the firm dental arch).
Segmental osteotomy is performed, which includes the transport disk with teeth, if any, or the alveolar bone only if there are no teeth. You must respect the teeth adjacent to osteotomy and also ~5 mm above the apex of the teeth of the transport disk. For this fissure, bur using slow speed No. 701 and/or reciprocating saw under profuse irrigation with saline solution, ending with fine chisels.
All patients signed a consent form to perform the surgical procedure and the use of the photographic material for academic purposes. Simple radiographic facial images were obtained for all the cases, as well as computed tomography scans with the three-dimensional reconstruction to visualize the size and degree of the alveolar defect and to plan the placement of devices. Three of the patients with cleft palate and lip aftermath presented an active oronasal fistula at the time of entry. In all cases, dental impressions were obtained and the device was adapted to them in the laboratory, specifically on the teeth with the use of bands. The bone anchorage was adapted on loops prior to the surgical procedure (Figure 2). In only one case (case 2), an adaptation of the device was set up on the orthodontic devices, introducing one part of the device into the orthodontic tubes, fixed on the present teeth in the disk and the fixed segment. In one case (case 6), trifocal bone transport was done with different latency times and activation for every disk.
Figure 2.
(A–D) Modified Hyrax device (VEGAX) device adapted for alveolar bone transportation technique. (E) Osteotomy design. Parallel to the edge of the future docking site and the edge of the disk transport, taking at least two teeth within the disk. Before the distractor is placed without fixation for the design of the osteotomy (broken lines). (F) Distractor activation leading the transport disk to the docking site, showing newly formed bone and nonmobile area. Note the key activation screw bent at the tip for comfort.
The surgical procedure was performed by the main author (O.A.V.) in all cases: bifocal alveolar bone transport (four cases) and trifocal (three cases), using the VEGAX device and adapting it to the needs of every patient. The latency time was an average of 6.8 days (range 6 to 9); the activation was of 9.3 mm (range 6.3 to 10.8) at a rate of 0.8 to 1 mm per day, with a follow-up time of 133.2 weeks (range between 10 and 291; Table 2).
Table 2.
Alveolar Bone Transport.
Patients
- Case 1 was a 17-year-old male patient with cleft lip and palate, right-unilateral, treated with ABT bifocal (Figure 3).

Figure 3. Initial aspect (A–E). Design of the device (F). End bifocal alveolar bone transportation technique (G). Closing of alveolar fistula at 57 weeks of follow-up (H–J). Regenerated new bone behind of the used transport disk (K). - Case 2 was a 16-year-old female patient with sequel of cleft lip and palate and active oronasal fistula, treated with bifocal ABT (Figure 4).

Figure 4. Initial aspect (A–D). There is no anchoring of dental bands, but orthodontic tubes (E). End trifocal alveolar bone transportation technique (F). Aspect at 90 weeks of follow-up (G,H), and radiographics with evidence of closure fissure and osseointegrated implant in the regenerated new bone (I–K). - Case 3 was a 19-year-old male patient with sequel of cleft lip and palate and active oronasal fistula, treated with bifocal ABT (Figure 5).

Figure 5. Initial aspect of the patient; fistula between 9–11 (A–E); alveolar bone transportation technique. Modified Hyrax device (VEGAX) (F–H); at 205 weeks of follow-up (I–K). - Case 4 was a 16-year-old male patient with cleft lip and palate sequel, treated with bifocal ABT (Figure 6).

Figure 6. Initial aspect (A–E); closing of alveolar fistula at 37 weeks of follow-up (F–I). - Case 5 was a 13-year-old female patient with dysmorphic syndrome, cleft lip and palate sequel, and active oronasal fistula, treated with trifocal ABT (Figure 7).
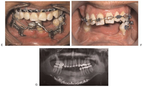
Figure 7. Initial aspect (A,B), active oronasal communication. Note the congenital edentulism (C,D). End alveolar bone transportation technique, with bone and dental anchorage used (E); at 228 weeks of follow-up without evidence of communication (F,G). - Case 6 was a 26-year-old male patient with facial gunshot sequel, treated with trifocal ABT (Figure 8).

Figure 8. Initial aspect with alveolar defect (A–C). End trifocal alveolar bone transportation technique (ABT) (D,E). Radiographic image of end ABT with right transport disk (F), the common docking site (G), and the left transport disk (H). - Case 7 was a 30-year-old male patient with mandibular fracture sequel, treated with trifocal mandibular ABT (Figure 9).

Figure 9. Initial aspect (A); mandibular alveolar defect (B). Note the periodontal disease 28, 24, 23 (C); distractors in position (D); end trifocal alveolar bone transportation technique (E). Extractions of 24, 23, and 21; appropriate bone height at 220 weeks of follow-up (F,G).
Results
In all cases, reconstruction of the alveolar ridge was achieved vertically and transversally, recreating the entire anatomy of the zone, leaving it suitable for its later rehabilitation. In the cases where there was a previous oronasal communication (cases 2, 3, and 6), a complete closure of the fistula was achieved with no evidence of recurrence at the end of the follow-up period, with no need of bone grafts or elevation of additional flaps. In one of the cases (mandibular ABT, case 7), it was necessary to perform extractions of the adjacent teeth to the alveolar defect, after the end of the bone transport, due to preexisting periodontal disease.
Discussion
The use of distraction osteogenesis in the craniofacial skeleton has been expanding over the last decade, becoming an important step in reconstructive surgery and the correction of maxillofacial deformities. An additional benefit in patients with cleft lip and palate includes better support of the upper lip provided by the transported bone and the possibility for the rehabilitation of dental implants. It diminishes the surgical times and forms bone and soft tissues where they are deficient. It honestly is the new era of the inductive and reconstructive surgery.
In cases of defects that are too broad after the maxilla expansion with recurrent fistulas and tissues with fibrous characteristics, where the placement of alveolar grafts are not very predictable or in some cases they were failed procedures, this is an indication of the use of the principles of alveolar bone transport.
In the dentoalveolar region, distraction osteogenesis allows elongation not only of the bone but of soft tissues as well. Its low rate of recurrence after the formation of the distracted segment suggests that this procedure is ideal when talking about diminishing the alveolar cleft. [3] However, one has to keep in mind that some devices used for the performance of ABT offered insufficient support in a transversal direction, with the potential risk of the segment orienting itself toward the palatal direction. This makes it harder to control the vector movement. In the cases handled with the VEGAX device, proper stability was obtained from the disks without altering the final position of the transported segments. Additionally, some of the distractors that were used for the ABT presented an insufficient bone support. Once the activation is started, defects in the form of a fan are created due to the force that is applied directly on to the bone anchorage zone, producing a collapse in the alveolar ridge. The VEGAX device avoids such defects by anchoring itself on the bone surface and on the teeth in the fixed segment and disk, thus allowing an adequate and full closure of the defect.
This article presents an innovative and versatile technique for the reduction of clefts and posttraumatic defects, through the use of an inexpensive and effective modified Hyrax that uses bone–dental anchorage, customized according to the defect that has to be modified. It also shows a series of cases with satisfactory results at 228 weeks of postoperative follow-up, even in patients with implant-supported restorations in the regenerated defects. The use of alveolar bone transport showed predictable results; thus this instrument is recommended, according to the experience obtained during the treatment of patients with palatal alveolar defects.
References
- Constantino, P.D.; Shybut, G.; Friedman, C.D.; et al. Segmental mandibular regeneration by distraction osteogenesis. An experimental study. Arch Otolaryngol Head Neck Surg 1990, 116, 535–545. [Google Scholar] [CrossRef] [PubMed]
- Liou, E.J.; Chen, P.K.; Huang, C.S.; Chen, Y.R. Interdental distraction osteogenesis and rapid orthodontic tooth movement: a novel approach to approximate a wide alveolar cleft or bony defect. Plast Reconstr Surg 2000, 105, 1262–1272. [Google Scholar] [PubMed]
- Yen, S.L.; Yamashita, D.D.; Kim, T.H.; Baek, H.S.; Gross, J. Closure of an unusually large palatal fistula in a cleft patient by bony transport and corticotomy-assisted expansion. J Oral Maxillofac Surg 2003, 61, 1346–1350. [Google Scholar] [CrossRef] [PubMed]
- Guerrero, C.A. Intraoral bone transport in clefting. Oral Maxillofac Surg Clin North Am 2002, 14, 509–523. [Google Scholar] [PubMed]
- Cheung, L.K.; Zhang, Q.; Zhang, Z.G.; Wong, M.C. Reconstruction of maxillectomy defect by transport distraction osteogenesis. Int J Oral Maxillofac Surg 2003, 32, 515–522. [Google Scholar] [CrossRef] [PubMed]
- Taub, P.J.; Bradley, J.P.; Kawamoto, H.K. Closure of an oronasal fistula in an irradiated palate by tissue and bone distraction osteogenesis. J Craniofac Surg 2001, 12, 495–499; discussion 500. [Google Scholar] [CrossRef] [PubMed][Green Version]
© 2011 by the author. The Author(s) 2011.

