Postoperative Complications Following Open Reduction and Internal Fixation of Mandibular Condylar Fractures Using the High Perimandibular Approach: A Multicenter Retrospective Study
Abstract
1. Introduction
2. Patients and Methods
2.1. Patient Eligibility
2.2. Collected Data
2.2.1. Patient Background
2.2.2. Data on Fracture and Open Reduction and Internal Fixation
2.2.3. Data on Complications
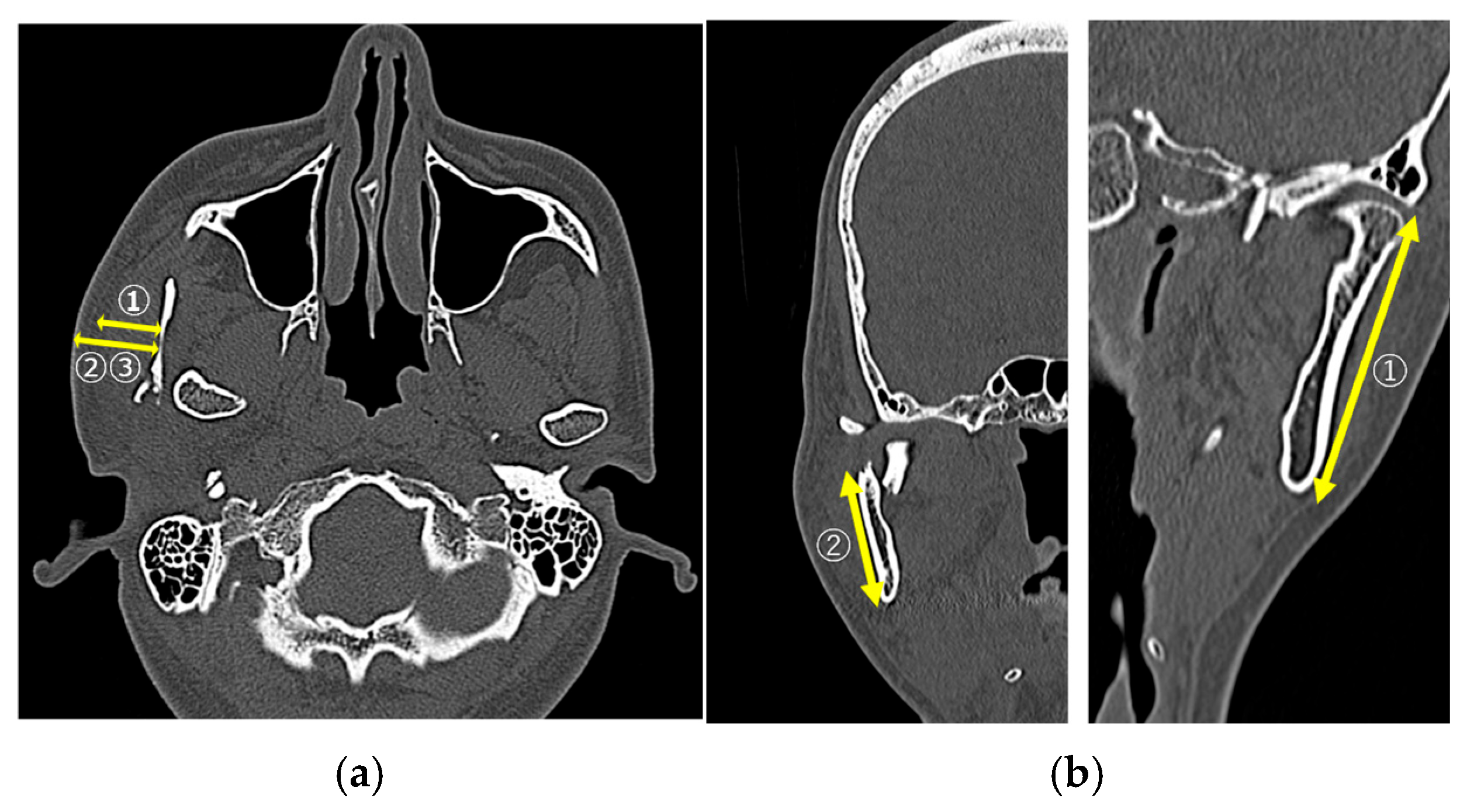
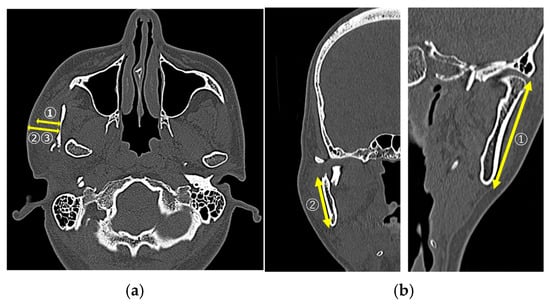
2.2.4. Data Obtained via Computed Tomography Evaluation
2.3. Statistical Analysis
2.4. Surgical Procedure (High Perimandibular Approach)
3. Results
3.1. Patient Background
3.2. Data on Fractures and Treatment
3.3. Data on Complications
3.4. Exploratory Analysis of Risk Factors for Complications
3.5. Sub-Analysis of Dislocation
4. Discussion
5. Conclusions
Author Contributions
Funding
Institutional Review Board Statement
Informed Consent Statement
Data Availability Statement
Acknowledgments
Conflicts of Interest
Abbreviations
| HPA | High Perimandibular Approach |
| IMF | Intermaxillary Fixation |
| OR-IF | Open Reduction and Internal Fixation |
| TMAP | TransMasseteric AnteroParotid approach |
References
- Tatsumi, H.; Nakatani, E.; Kanno, T.; Nariai, Y.; Kagimura, T.; Sekine, J. Clinical Features and Treatment Modes of Mandibular Fracture at the Department of Oral and Maxillofacial Surgery, Shimane University Hospital, Japan. PLoS ONE 2015, 10, e0136278. [Google Scholar] [CrossRef]
- Nogami, S.; Ezoe, Y.; Takeda, Y.; Otake, Y.; Morishima, H.; Yamauchi, K. Clinical course of masticatory function recovery following endoscopic-assisted open reduction and internal fixation in patients with unilateral mandibular condyle fracture. J. Craniomaxillofac. Surg. 2025, 53, 245–249. [Google Scholar] [CrossRef]
- Kozakiewicz, M.; Walczyk, A. Current Frequency of Mandibular Condylar Process Fractures. J. Clin. Med. 2023, 12, 1394. [Google Scholar] [CrossRef] [PubMed]
- Reddy, N.V.; Reddy, P.B.; Rajan, R.; Ganti, S.; Jhawar, D.K.; Potturi, A.; Pradeep. Analysis of patterns and treatment strategies for mandibular condyle fractures: Review of 175 condyle fractures with review of literature. J. Maxillofac. Oral. Surg. 2013, 12, 315–320. [Google Scholar] [CrossRef] [PubMed]
- Sawazaki, R.; Lima Junior, S.M.; Asprino, L.; Moreira, R.W.; de Moraes, M. Incidence and patterns of mandibular condyle fractures. J. Oral. Maxillofac. Surg. 2010, 68, 1252–1259. [Google Scholar] [CrossRef] [PubMed]
- Villarreal, P.M.; Monje, F.; Junquera, L.M.; Mateo, J.; Morillo, A.J.; Gonzalez, C. Mandibular condyle fractures: Determinants of treatment and outcome. J. Oral. Maxillofac. Surg. 2004, 62, 155–163. [Google Scholar] [CrossRef]
- Garcia-Guerrero, I.; Ramirez, J.M.; Gomez de Diego, R.; Martinez-Gonzalez, J.M.; Poblador, M.S.; Lancho, J.L. Complications in the treatment of mandibular condylar fractures: Surgical versus conservative treatment. Ann. Anat. 2018, 216, 60–68. [Google Scholar] [CrossRef]
- Al-Moraissi, E.A.; Neff, A.; Kaur, A.; Falci, S.G.M.; Maria de Souza, G.; Ellis, E. Treatment for Adult Mandibular Condylar Process Fractures: A Network Meta-Analysis of Randomized Clinical Trials. J. Oral. Maxillofac. Surg. 2023, 81, 1252–1269. [Google Scholar] [CrossRef]
- Hwang, N.H.; Lee, Y.H.; You, H.J.; Yoon, E.S.; Kim, D.W. Endoscope-Assisted Transoral Fixation of Mandibular Condyle Fractures: Submandibular Versus Transoral Endoscopic Approach. J. Craniofac Surg. 2016, 27, 1170–1174. [Google Scholar] [CrossRef]
- Machon, V.; Desai, A.; Levorova, J.; Hirjak, D.; Brizman, E.; Foltan, R. Evaluation of Complications Following a Trans-masseteric Antero-parotid Approach for Patients with Sub-condylar Fractures of Their Temporomandibular Joint. A Retrospective Study. Prague Med. Rep. 2019, 120, 64–73. [Google Scholar] [CrossRef]
- Parhiz, A.; Parvin, M.; Pirayvatlou, S.S. Clinical Assessment of Retromandibular Antero-Parotid Approach for Reduction of Mandibular Subcondylar Fractures: Report of 60 Cases and Review of the Literature. Front. Dent. 2020, 17, 1–9. [Google Scholar] [CrossRef]
- Nam, S.M.; Lee, J.H.; Kim, J.H. The application of the Risdon approach for mandibular condyle fractures. BMC Surg. 2013, 13, 25. [Google Scholar] [CrossRef]
- Al-Moraissi, E.A.; Louvrier, A.; Colletti, G.; Wolford, L.M.; Biglioli, F.; Ragaey, M.; Meyer, C.; Ellis, E., 3rd. Does the surgical approach for treating mandibular condylar fractures affect the rate of seventh cranial nerve injuries? A systematic review and meta-analysis based on a new classification for surgical approaches. J. Craniomaxillofac. Surg. 2018, 46, 398–412. [Google Scholar] [CrossRef]
- He, D.; Yang, C.; Chen, M.; Bin, J.; Zhang, X.; Qiu, Y. Modified preauricular approach and rigid internal fixation for intracapsular condyle fracture of the mandible. J. Oral. Maxillofac. Surg. 2010, 68, 1578–1584. [Google Scholar] [CrossRef] [PubMed]
- Mohan, A.P.; Jeevan Kumar, K.A.; Venkatesh, V.; Pavan Kumar, B.; Patil, K. Comparison of preauricular approach versus retromandibular approach in management of condylar fractures. J. Maxillofac. Oral. Surg. 2012, 11, 435–441. [Google Scholar] [CrossRef] [PubMed]
- Li, H.; Zhang, G.; Cui, J.; Liu, W.; Dilxat, D.; Liu, L. A Modified Preauricular Approach for Treating Intracapsular Condylar Fractures to Prevent Facial Nerve Injury: The Supratemporalis Approach. J. Oral. Maxillofac. Surg. 2016, 74, 1013–1022. [Google Scholar] [CrossRef] [PubMed]
- Bouchard, C.; Perreault, M.H. Postoperative complications associated with the retromandibular approach: A retrospective analysis of 118 subcondylar fractures. J. Oral. Maxillofac. Surg. 2014, 72, 370–375. [Google Scholar] [CrossRef]
- Nam, S.M.; Kim, Y.B.; Lee, S.J.; Park, E.S.; Lee, J.H. A comparative study of intraoral versus retromandibular approach in the management of subcondylar fracture. BMC Surg. 2019, 19, 28. [Google Scholar] [CrossRef]
- Ellis, E., 3rd; McFadden, D.; Simon, P.; Throckmorton, G. Surgical complications with open treatment of mandibular condylar process fractures. J. Oral. Maxillofac. Surg. 2000, 58, 950–958. [Google Scholar] [CrossRef]
- Imai, T.; Fujita, Y.; Takaoka, H.; Motoki, A.; Kanesaki, T.; Ota, Y.; Chisoku, H.; Ohmae, M.; Sumi, T.; Nakazawa, M.; et al. Longitudinal study of risk for facial nerve injury in mandibular condyle fracture surgery: Marginal mandibular branch-traversing classification of percutaneous approaches. Clin. Oral. Investig. 2020, 24, 1445–1454. [Google Scholar] [CrossRef]
- Biglioli, F.; Colletti, G. Transmasseter approach to condylar fractures by mini-retromandibular access. J. Oral. Maxillofac. Surg. 2009, 67, 2418–2424. [Google Scholar] [CrossRef]
- Wilk, A.; Biotchane, I.; Rosenstiel, M.; Charles, X.; Meyer, C. [Osteosynthesis of subcondylar fractures using a rectangular 3-dimensional stabilization plate]. Rev. Stomatol. Chir. Maxillofac. 1997, 98 (Suppl. 1), 40–44. [Google Scholar]
- Lee, S.J.; Chun, Y.J.; Lee, S.J.; Jun, S.H.; Song, I.S. Modified high-submandibular appraoch for open reduction and internal fixation of condylar fracture: Case series report. J. Korean Assoc. Oral. Maxillofac. Surg. 2022, 48, 267–276. [Google Scholar] [CrossRef]
- Tatsumi, H.; Matsuda, Y.; Toda, E.; Okui, T.; Okuma, S.; Kanno, T. Postoperative Complications following Open Reduction and Rigid Internal Fixation of Mandibular Condylar Fracture Using the High Perimandibular Approach. Healthcare 2023, 11, 1294. [Google Scholar] [CrossRef]
- Neff, A.; Cornelius, C.P.; Rasse, M.; Torre, D.D.; Audige, L. The Comprehensive AOCMF Classification System: Condylar Process Fractures—Level 3 Tutorial. Craniomaxillofac. Trauma. Reconstr. 2014, 7, S044–S058. [Google Scholar] [CrossRef]
- Nardi, C.; Vignoli, C.; Pietragalla, M.; Tonelli, P.; Calistri, L.; Franchi, L.; Preda, L.; Colagrande, S. Imaging of mandibular fractures: A pictorial review. Insights Imaging 2020, 11, 30. [Google Scholar] [CrossRef] [PubMed]
- Ehdam, V.; Daud, M.K.M. Traumatic Bilateral Facial Nerve Palsy: A 10-Year Retrospective Study. J. Audiol. Otol. 2025, 29, 214–218. [Google Scholar] [CrossRef] [PubMed]
- Society, J.P. Japanese clinical practice guidelines for Temporomandibular Disorder. Ann. Jpn. Prosthodont. Soc. 2002, 46, 597–615. [Google Scholar]
- Kanno, T.; Sukegawa, S.; Tatsumi, H.; Karino, M.; Nariai, Y.; Nakatani, E.; Furuki, Y.; Sekine, J. Does a Retromandibular Transparotid Approach for the Open Treatment of Condylar Fractures Result in Facial Nerve Injury? J. Oral. Maxillofac. Surg. 2016, 74, 2019–2032. [Google Scholar] [CrossRef]
- Mansuri, Z.; Dhuvad, J.; Anchlia, S.; Bhatt, U.; Rajpoot, D.; Patel, H. Comparison of three different approaches in treatment of mandibular condylar fractures—Our experience. Natl. J. Maxillofac. Surg. 2023, 14, 256–263. [Google Scholar] [CrossRef]
- Heijnen, B.J.; Speyer, R.; Kertscher, B.; Cordier, R.; Koetsenruijter, K.W.; Swan, K.; Bogaardt, H. Dysphagia, Speech, Voice, and Trismus following Radiotherapy and/or Chemotherapy in Patients with Head and Neck Carcinoma: Review of the Literature. Biomed. Res. Int. 2016, 2016, 6086894. [Google Scholar] [CrossRef]
- Santiago-Rosado, L.M.; Lewison, C.S. Trismus. In StatPearls; StatPearls: Treasure Island, FL, USA, 2025. [Google Scholar]
- Dhanrajani, P.J.; Jonaidel, O. Trismus: Aetiology, differential diagnosis and treatment. Dent. Update 2002, 29, 88–92, 94. [Google Scholar] [CrossRef]
- Lin, X.; Takaoka, R.; Moriguchi, D.; Morioka, S.; Ueda, Y.; Yamamoto, R.; Ono, E.; Ishigaki, S. Electromyographic evaluation of masseteric activity during maximum opening in patients with temporomandibular disorders and limited mouth opening. Sci. Rep. 2025, 15, 12743. [Google Scholar] [CrossRef]
- Scott, B.; D’Souza, J.; Perinparajah, N.; Lowe, D.; Rogers, S.N. Longitudinal evaluation of restricted mouth opening (trismus) in patients following primary surgery for oral and oropharyngeal squamous cell carcinoma. Br. J. Oral. Maxillofac. Surg. 2011, 49, 106–111. [Google Scholar] [CrossRef]
- Kim, J.H.; Lim, S.U.; Jin, K.S.; Lee, H.; Han, Y.S. The postoperative trismus, nerve injury and secondary angle formation after partial masseter muscle resection combined with mandibular angle reduction: A case report. J. Korean Assoc. Oral. Maxillofac. Surg. 2017, 43, 46–48. [Google Scholar] [CrossRef]
- Wetzels, J.W.; Merkx, M.A.; de Haan, A.F.; Koole, R.; Speksnijder, C.M. Maximum mouth opening and trismus in 143 patients treated for oral cancer: A 1-year prospective study. Head. Neck 2014, 36, 1754–1762. [Google Scholar] [CrossRef] [PubMed]
- Chopra, S.; Kaur, R.; Bharthuar, A. Strategies for obviation and management of trismus in oral cancer. Curr. Opin. Otolaryngol. Head. Neck Surg. 2025, 33, 211–215. [Google Scholar] [CrossRef] [PubMed]
- Louvrier, A.; Barrabe, A.; Weber, E.; Chatelain, B.; Sigaux, N.; Meyer, C. The high sub-mandibular approach: Our experience about 496 procedures. J. Stomatol. Oral. Maxillofac. Surg. 2020, 121, 626–633. [Google Scholar] [CrossRef] [PubMed]
- Trost, O.; Trouilloud, P.; Malka, G. Open reduction and internal fixation of low subcondylar fractures of mandible through high cervical transmasseteric anteroparotid approach. J. Oral. Maxillofac. Surg. 2009, 67, 2446–2451. [Google Scholar] [CrossRef]
- Pau, M.; Navisany, K.; Reinbacher, K.E.; Zrnc, T.; Wallner, J.; Schwenzer-Zimmerer, K. Use of a modified high submandibular approach to treat condylar base fractures: Experience with 44 consecutive cases treated in a single institution. J. Craniomaxillofac. Surg. 2016, 44, 1641–1645. [Google Scholar] [CrossRef]
- Louvrier, A.; Bertin, E.; Boulahdour, Z.; Meyer, C. Wound of the Parotid Duct Following a Subcondylar Fracture. J. Oral. Maxillofac. Surg. 2022, 80, 137.e1–137.e6. [Google Scholar] [CrossRef]
- Nowair, I.M.; Essa, E.F.; Eid, M.K. A comparative evaluation of retromandibular versus Modified Risdon approach in surgical treatment of condylar fracture. J. Craniomaxillofac. Surg. 2022, 50, 237–245. [Google Scholar] [CrossRef]
- Zrounba, H.; Lutz, J.C.; Zink, S.; Wilk, A. Epidemiology and treatment outcome of surgically treated mandibular condyle fractures. A five years retrospective study. J. Craniomaxillofac. Surg. 2014, 42, 879–884. [Google Scholar] [CrossRef]
- Shi, D.; Patil, P.M.; Gupta, R. Facial nerve injuries associated with the retromandibular transparotid approach for reduction and fixation of mandibular condyle fractures. J. Craniomaxillofac. Surg. 2015, 43, 402–407. [Google Scholar] [CrossRef]
Disclaimer/Publisher’s Note: The statements, opinions, and data contained in all publications are solely those of the individual author(s) and contributor(s) and not of the MDPI and/or the editor(s). MDPI and/or the editor(s) disclaim responsibility for any injury to people or property resulting from any ideas, methods, instructions, or products referred to in the content. |


| Variables | Categories | n (%), Median [25–75%] |
|---|---|---|
| Sex | Male | 18 (42.9) |
| Female | 24 (57.1) | |
| Age (years) | 63.0 [35.0–79.3] | |
| Body Mass Index (kg/m2) | 20.7 [17.9–24.3] |
| Variables | Categories | n (%), Median [25–75%] | |
|---|---|---|---|
| Cause of injury | Slip | 26 (61.9) | |
| Traffic accident | 6 (14.7) | ||
| Sports | 2 (4.8) | ||
| Violence | 2 (4.8) | ||
| Work | 2 (4.8) | ||
| Fall | 4 (9.5) | ||
| Site of fracture | High neck | 6 (14.3) | |
| Low neck | 15 (35.7) | ||
| Subcondylar | 21 (50.0) | ||
| Type of fracture | Deviation | 20 (47.6) | |
| Displacement | 4 (9.5) | ||
| Dislocation | Deviated dislocation | 9 (21.4) | |
| Displaced dislocation | 9 (21.4) | ||
| Maxillofacial fractures other than mandibular condylar fractures | Mandible | 19 (45.2) | |
| Midface | 1 (2.4) | ||
| Mandible and midface | 3 (7.1) | ||
| High-energy trauma | Yes | 7 (16.7) | |
| Operation time (min) | 75.0 [50.5–89.0] | ||
| Postgraduate year of the surgeon | 5.0 [5.0–5.0] | ||
| Variables | Categories | n (%), Median [25–75%] |
|---|---|---|
| Amount of mouth opening at 6 months postoperatively | 40.0 [36.5–45.0] | |
| The number of complications of fractures | 1.0 [0.0–1.0] | |
| Complications | Facial nerve palsy (temporary) | 0 (0) |
| Facial nerve palsy (permanent) | 0 (0) | |
| Poor state of reduction | 0 (0) | |
| Surgical site infection | 0 (0) | |
| Postoperative malocclusion | 0 (0) | |
| Salivary fistula (parotid fistula) | 1 (2.4) | |
| Plate breakage or screw loosening | 2 (4.8) | |
| Surgical scar perceptibility | 0 (0) | |
| Temporomandibular joint pain | 0 (0) | |
| Trismus at 6 months postoperatively | 16 (38.1) |
| Variables | Categories | n (%), Median [25–75%] | p-Value | |
|---|---|---|---|---|
| Trismus Group (n = 16) | Non-Trismus Group (n = 26) | |||
| Sex | Male | 5 (31.3) | 13 (50.0) | 0.12 a |
| Female | 11 (68.8) | 13 (50.0) | ||
| Age (years) | 64.0 [35.8–83.0] | 62.5 [33.5–79.3] | 0.77 b | |
| Body Mass Index (kg/m2) | 20.1 [16.5–25.2] | 20.7 [18.4–23.3] | 0.46 b | |
| Cause of injury | Slip | 10 (62.5) | 16 (61.5) | 0.87 a |
| Traffic accident | 3 (18.8) | 3 (11.5) | ||
| Sports | 1 (6.3) | 1 (3.8) | ||
| Violence | 0 (0) | 2 (7.7) | ||
| Work | 1 (6.3) | 1 (3.8) | ||
| Fall | 1 (6.3) | 3 (11.5) | ||
| Site of fracture | High neck | 7 (43.8) | 4 (15.4) | 0.60 a |
| Low neck | 7 (43.8) | 8 (30.8) | ||
| Subcondylar | 2 (12.5) | 14 (53.8) | ||
| Condylar neck | 14 (87.5) | 12 (46.2) | 0.75 a | |
| Condylar base | 2 (12.5) | 14 (53.8) | ||
| Type of fracture | Deviation | 4 (25.0) | 16 (61.5) | 0.06 a |
| Displacement | 1 (6.3) | 3 (11.5) | ||
| Deviated dislocation | 6 (37.5) | 3 (11.5) | ||
| Displaced dislocation | 5 (31.3) | 4 (15.4) | ||
| Dislocation (yes) | 11 (68.8) | 7 (26.9) | 0.02 a* | |
| Maxillofacial fractures other than mandibular condylar fractures | Mandible | 5 (31.3) | 13 (50.0) | 0.35 a |
| Midface | 1 (6.3) | 1 (3.8) | ||
| Mandible and midface | 1 (6.3) | 2 (7.7) | ||
| High-energy trauma | Yes | 4 (25.0) | 3 (11.5) | 0.49 a |
| Operation time (min) | 85.0 [65.0–97.8] | 58.0 [49.0–78.8] | 0.02 b* | |
| Postgraduate year of the surgeon | 9.0 [4.0–16.0] | 8.0 [3.8–15.3] | 0.25 b | |
| Presence of associated maxillofacial fractures | Yes | 7 (43.8) | 16 (61.5) | 0.14 a |
| The number of complications of the fracture | 0.0 [0.0–1.0] | 1.0 [0.0–1.0] | 0.22 b | |
| Thickness of the masseter muscle | 13.6 [11.2–15.1] | 14.1 [11.7–17.0] | 0.51 b | |
| Skin thickness at the level of mandibular notch | 24.0 [19.6–27.5] | 24.4 [21.3–26.8] | 0.57 b | |
| Skin thickness at the level of the mandibular foramen | 23.0 [20.5–27.0] | 22.5 [17.2–24.9] | 0.88 b | |
| Length from the inferior border of the mandible to the fracture line | 39.9 [35.2–44.4] | 40.2 [35.5–46.1] | 0.87 a | |
| Mandibular ramus height | 60.0 [57.3–67.6] | 62.0 [55.8–68.9] | 0.50 b | |
| Variables | n (%), Median [25–75%] | p-Value | |
|---|---|---|---|
| Dislocation Group (n = 23) | Non-Dislocation Group (n = 19) | ||
| Operation time (min) | 81.0 [76.0–96.0] | 51.0 [47.0–79.0] | 0.01 a* |
| Range of mouth opening at 6 months postoperatively | 38.0 [35.0–42.0] | 42.0 [40.0–45.0] | 0.04 a* |
Disclaimer/Publisher’s Note: The statements, opinions and data contained in all publications are solely those of the individual author(s) and contributor(s) and not of MDPI and/or the editor(s). MDPI and/or the editor(s) disclaim responsibility for any injury to people or property resulting from any ideas, methods, instructions or products referred to in the content. |
© 2025 by the authors. Published by MDPI on behalf of the AO Foundation. Licensee MDPI, Basel, Switzerland. This article is an open access article distributed under the terms and conditions of the Creative Commons Attribution (CC BY) license (https://creativecommons.org/licenses/by/4.0/).
Share and Cite
Sakata, N.; Fujioka-Kobayashi, M.; Matsuda, Y.; Morioka, R.; Toda, E.; Ishizuka, S.; Somoto, M.; Sonoyama-Osako, R.; Tatsumi, H.; Kanno, T. Postoperative Complications Following Open Reduction and Internal Fixation of Mandibular Condylar Fractures Using the High Perimandibular Approach: A Multicenter Retrospective Study. Craniomaxillofac. Trauma Reconstr. 2025, 18, 47. https://doi.org/10.3390/cmtr18040047
Sakata N, Fujioka-Kobayashi M, Matsuda Y, Morioka R, Toda E, Ishizuka S, Somoto M, Sonoyama-Osako R, Tatsumi H, Kanno T. Postoperative Complications Following Open Reduction and Internal Fixation of Mandibular Condylar Fractures Using the High Perimandibular Approach: A Multicenter Retrospective Study. Craniomaxillofacial Trauma & Reconstruction. 2025; 18(4):47. https://doi.org/10.3390/cmtr18040047
Chicago/Turabian StyleSakata, Noriko, Masako Fujioka-Kobayashi, Yuhei Matsuda, Reon Morioka, Erina Toda, Shinji Ishizuka, Michitaka Somoto, Rie Sonoyama-Osako, Hiroto Tatsumi, and Takahiro Kanno. 2025. "Postoperative Complications Following Open Reduction and Internal Fixation of Mandibular Condylar Fractures Using the High Perimandibular Approach: A Multicenter Retrospective Study" Craniomaxillofacial Trauma & Reconstruction 18, no. 4: 47. https://doi.org/10.3390/cmtr18040047
APA StyleSakata, N., Fujioka-Kobayashi, M., Matsuda, Y., Morioka, R., Toda, E., Ishizuka, S., Somoto, M., Sonoyama-Osako, R., Tatsumi, H., & Kanno, T. (2025). Postoperative Complications Following Open Reduction and Internal Fixation of Mandibular Condylar Fractures Using the High Perimandibular Approach: A Multicenter Retrospective Study. Craniomaxillofacial Trauma & Reconstruction, 18(4), 47. https://doi.org/10.3390/cmtr18040047

