Submental Perforator Flap for Soft-Tissue Reconstruction in Bisphosphonate-Related Osteonecrosis of the Jaws
Abstract
:- Step 0: No clinical evidence of necrotic bone, but nonspecific clinical findings and symptoms
- Step 1: Exposed and necrotic bone in asymptomatic patients without evidence of infection
- Step 2: Exposed and necrotic bone associated with infection as evidenced by pain and erythema in region of exposed bone with or without purulent drainage
- Step 3: Exposed and necrotic bone in patients with pain, infection, and one or more of the following: exposed and necrotic bone extending beyond the region of the alveolar bone (i.e., inferior border and ramus in the mandible, maxillary sinus, and zygoma in the maxilla) resulting in pathologic fracture, extraoral fistula, oral antral/oral nasal communication, or osteolysis extending to the inferior border of the mandible or the sinus floor.[4]
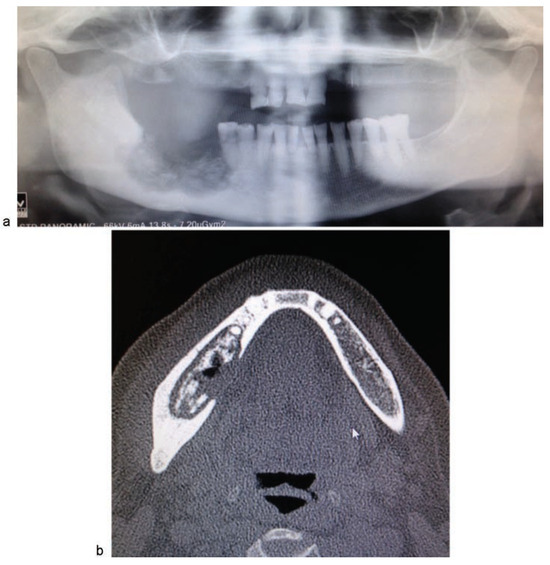
Clinical Cases







Discussion

Acknowledgments
References
- Barba-Recreo, P.; Del Castillo Pardo de Vera, J.L.; García-Arranz, M.; Yébenes, L.; Burgueño, M. Zoledronic acid - related osteonecrosis of the jaws. Experimental model with dental extractions in rats. J Craniomaxillofac Surg 2014, 42, 744–750. [Google Scholar]
- Barba-Recreo, P.; Del Castillo Pardo de Vera, J.L.; Georgiev-Hristov, T.; et al. Adipose-derived stem cells and platelet-rich plasma for preventive treatment of bisphosphonate-related osteonecrosis of the jaw in a murine model. J Craniomaxillofac Surg 2015, 43, 1161–1168. [Google Scholar] [CrossRef] [PubMed]
- Lemound, J.; Eckardt, A.; Kokemüller, H.; et al. Bisphosphonate-associated osteonecrosis of the mandible: reliable soft tissue reconstruction using a local myofascial flap. Clin Oral Investig 2012, 16, 1143–1152. [Google Scholar] [PubMed]
- Ruggiero, S.L.; Dodson, T.B.; Assael, L.A.; Landesberg, R.; Marx, R.E.; Mehrotra, B.; American Association of Oral and Maxillofacial Surgeons. American Association of Oral and Maxillofacial Surgeons position paper on bisphosphonate-related osteonecrosis of the jaws—2009 update. J Oral Maxillofac Surg 2009, 67 (Suppl 5), 2–12. [Google Scholar] [PubMed]
- Fliefel, R.; Tröltzsch, M.; Kühnisch, J.; Ehrenfeld, M.; Otto, S. Treatment strategies and outcomes of bisphosphonate-related osteonecrosis of the jaw (BRONJ) with characterization of patients: a systematic review. Int J Oral Maxillofac Surg 2015, 44, 568–585. [Google Scholar]
- Jabbour, Z.; El-Hakim, M.; Mesbah-Ardakani, P.; Henderson, J.E.; Albuquerque, R., Jr. The outcomes of conservative and surgical treatment of stage 2 bisphosphonate-related osteonecrosis of the jaws: a case series. Int J Oral Maxillofac Surg 2012, 41, 1404–1409. [Google Scholar] [CrossRef]
- Marx, R.E. Pamidronate (Aredia) and zoledronate (Zometa) induced avascular necrosis of the jaws: a growing epidemic. J Oral Maxillofac Surg 2003, 61, 1115–1117. [Google Scholar]
- Lee, L.W.; Hsiao, S.H.; Chen, L.K. Clinical treatment outcomes for 40 patients with bisphosphonates-related osteonecrosis of the jaws. J Formos Med Assoc 2014, 113, 166–172. [Google Scholar] [CrossRef]
- Ikeda, T.; Kuraguchi, J.; Kogashiwa, Y.; Yokoi, H.; Satomi, T.; Kohno, N. Successful treatment of bisphosphonate-related osteonecrosis of the jaw (BRONJ) patients with sitafloxacin: new strategies for the treatment of BRONJ. Bone 2015, 73, 217–222. [Google Scholar] [CrossRef]
- Stanton, D.C.; Balasanian, E. Outcome of surgical management of bisphosphonate-related osteonecrosis of the jaws: review of 33 surgical cases. J Oral Maxillofac Surg 2009, 67, 943–950. [Google Scholar]
- Reich, W.; Bilkenroth, U.; Schubert, J.; Wickenhauser, C.; Eckert, A.W. Surgical treatment of bisphosphonate-associated osteonecrosis: Prognostic score and long-term results. J Craniomaxillofac Surg 2015, 43, 1809–1822. [Google Scholar]
- Rotaru, H.; Kim, M.K.; Kim, S.G.; Park, Y.W. Pedicled buccal fat pad flap as a reliable surgical strategy for the treatment of medication-related osteonecrosis of the jaw. J Oral Maxillofac Surg 2015, 73, 437–442. [Google Scholar] [PubMed]
- Voss, P.J.; Joshi Oshero, J.; Kovalova-Müller, A.; et al. Surgical treatment of bisphosphonate-associated osteonecrosis of the jaw: technical report and follow up of 21 patients. J Craniomaxillofac Surg 2012, 40, 719–725. [Google Scholar] [PubMed]
- Kim, J.T. Morris, S.F., Hallock, G.G., Neligan, P.C., Eds.; Submental artery perforator flap. In Perforator Flaps: Anatomy, Technique, and Clinical Applications; Quality Medical Publishing, Inc.: St. Louis, MO, USA, 2006; Volume 1, pp. 161–180. [Google Scholar]
- Martin, D.; Pascal, J.F.; Baudet, J.; et al. The submenta island flap: a new donor site. Anatomy and clinical applications as a free or pedicled flap. Plast Reconstr Surg 1993, 92, 867–873. [Google Scholar] [PubMed]
- Chen, W.L.; Ye, J.T.; Yang, Z.H.; Huang, Z.Q.; Zhang, D.M.; Wang, K. Reverse facial artery-submental artery mandibular osteo muscular flap for the reconstruction of maxillary defects following the removal of benign tumors. Head Neck 2009, 31, 725–731. [Google Scholar]
- You, Y.H.; Chen, W.L.; Wang, Y.P.; Liang, J.; Zhang, D.M. Reverse facial-submental artery island flap for the reconstruction of maxillary defects after cancer ablation. J Craniofac Surg 2009, 20, 2217–2220. [Google Scholar]
- You, Y.H.; Chen, W.L.; Wang, Y.P.; Liang, J. The feasibility of facial-submental artery island myocutaneous flaps for reconstructing defects of the oral floor following cancer ablation. Oral Surg Oral Med Oral Pathol Oral Radiol Endod 2010, 109, e12–e16. [Google Scholar]
- Jeong, S.H.; Lee, B.I. Versatile use of submental tissue for reconstruction of perioral soft tissue defects. J Craniofac Surg 2012, 23, 934–938. [Google Scholar]
- Amin, A.A.; Sakkary, M.A.; Khalil, A.A.; Rifaat, M.A.; Zayed, S.B. The submental flap for oral cavity reconstruction: extended indications and technical refinements. Head Neck Oncol 2011, 3, 51. [Google Scholar]
- Rupel, K.; Ottaviani, G.; Gobbo, M.; et al. A systematic review of therapeutical approaches in bisphosphonates-related osteonecrosis of the jaw (BRONJ). Oral Oncol 2014, 50, 1049–1057. [Google Scholar]
- Otto, S.; Schreyer, C.; Hafner, S.; et al. Bisphosphonate-related osteonecrosis of the jaws characteristics, risk factors, clinical features, localization and impact on oncological treatment. J Cranio maxillofac Surg 2012, 40, 303–309. [Google Scholar]
- Arranz Caso, J.A.; Flores Ballester, E.; Ngo Pombe, S.; López Pizarro, V.; Dominguez-Mompello, J.L.; Restoy Lozano, A. Bisphosphonate related osteonecrosis of the jaw and infection with Actinomyces [in Spanish]. Med Clin (Barc) 2012, 139, 676–680. [Google Scholar] [PubMed]
© 2016 by the author. The Author(s) 2016.
Share and Cite
García-de Marcos, J.-A.; Rey-Biel, J. Submental Perforator Flap for Soft-Tissue Reconstruction in Bisphosphonate-Related Osteonecrosis of the Jaws. Craniomaxillofac. Trauma Reconstr. 2017, 10, 299-305. https://doi.org/10.1055/s-0036-1593472
García-de Marcos J-A, Rey-Biel J. Submental Perforator Flap for Soft-Tissue Reconstruction in Bisphosphonate-Related Osteonecrosis of the Jaws. Craniomaxillofacial Trauma & Reconstruction. 2017; 10(4):299-305. https://doi.org/10.1055/s-0036-1593472
Chicago/Turabian StyleGarcía-de Marcos, Jose-Antonio, and Juan Rey-Biel. 2017. "Submental Perforator Flap for Soft-Tissue Reconstruction in Bisphosphonate-Related Osteonecrosis of the Jaws" Craniomaxillofacial Trauma & Reconstruction 10, no. 4: 299-305. https://doi.org/10.1055/s-0036-1593472
APA StyleGarcía-de Marcos, J.-A., & Rey-Biel, J. (2017). Submental Perforator Flap for Soft-Tissue Reconstruction in Bisphosphonate-Related Osteonecrosis of the Jaws. Craniomaxillofacial Trauma & Reconstruction, 10(4), 299-305. https://doi.org/10.1055/s-0036-1593472