Minimally Invasive Interventional Procedures for Metastatic Bone Disease: A Comprehensive Review
Abstract
1. Introduction
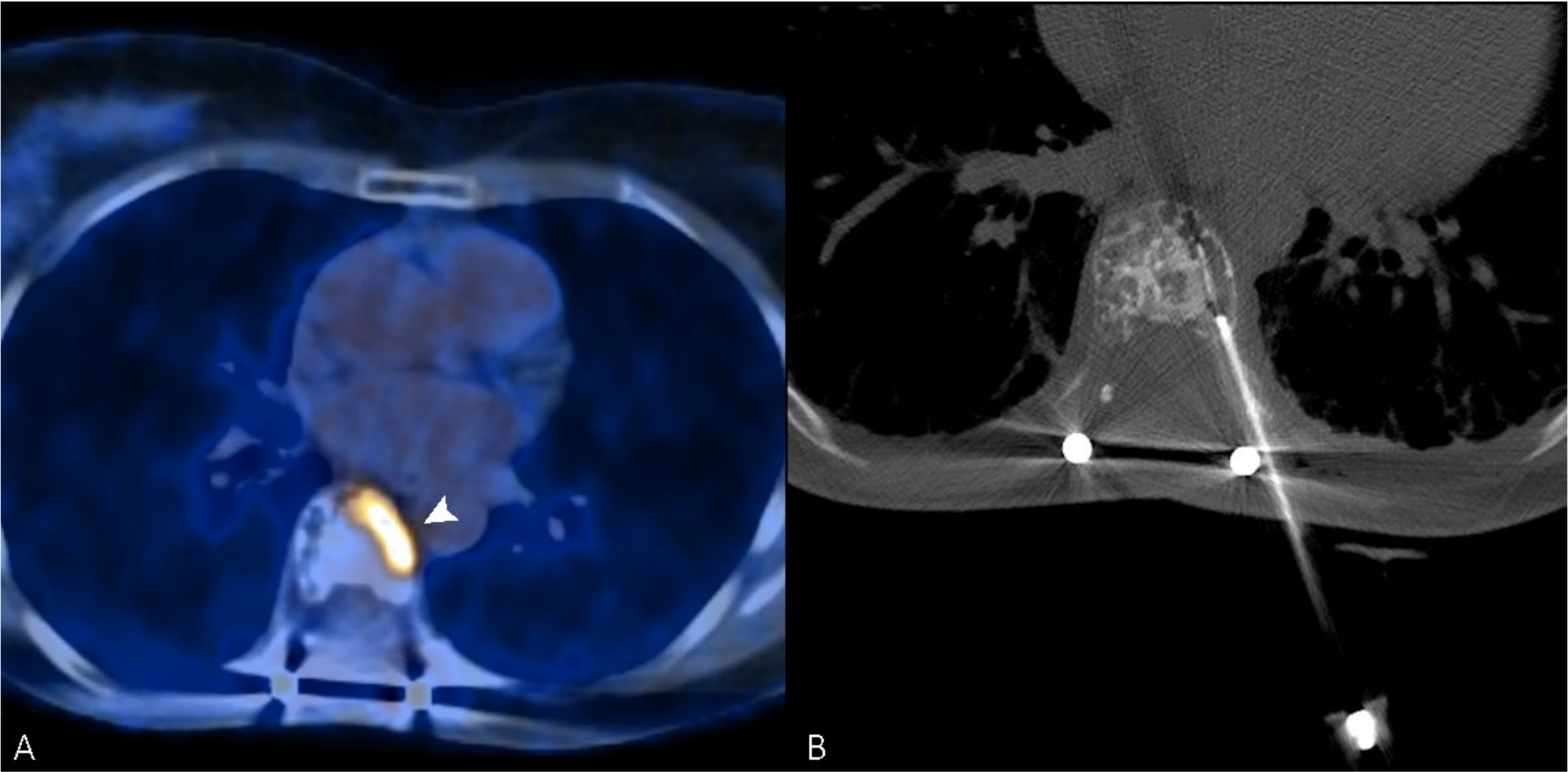
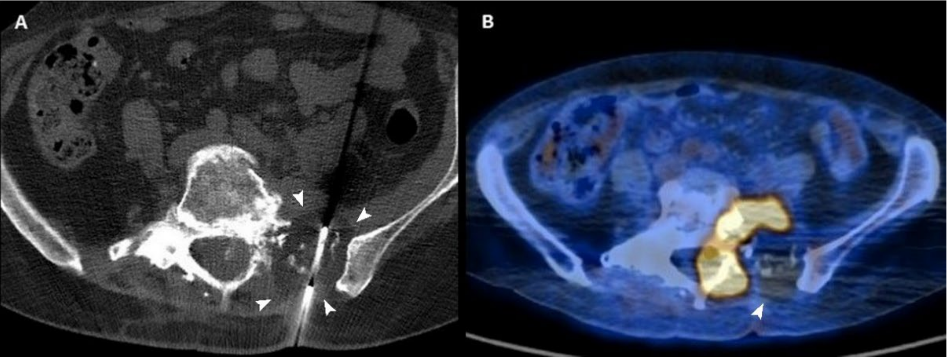
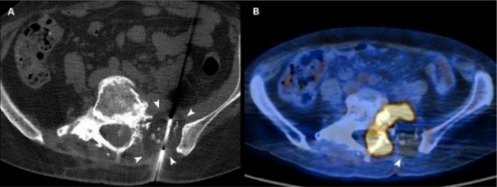
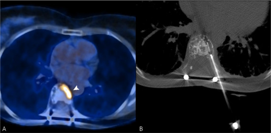
2. Embolization
| Main Author, Year | Reference | Study Design | PrO/Pa | Primary Tumor | Location of Metastasis | Included | Embolization | Control | Primary Outcome | Complications | Results |
|---|---|---|---|---|---|---|---|---|---|---|---|
| Wirbel, 2005 | [17] | RET | PrO | Renal 45, other 17 | Spine 41, pelvis 21 | 62 | 32 | TAE vs. No TAE | Blood loss, blood replacement, operating time | 2 m | Embolization reduces blood loss and need for blood replacement |
| Forauer, 2007 | [25] | RET | Pa | Renal cell carcinoma | Pelvic 18, spine 5, other 16 | 21 | 39 | 0 | Pain palliation | 1 m, 2 M | Effective pain palliation was achieved in 36/39 sites, avg duration 5.5 months |
| Rossi, 2011 | [27] | RET | Pa | Renal 84, lung 22, breast 20, other 117 | Pelvis 154, spine 83, other 72 | 243 | 309 | 0 | Pain palliation | 86 m, 1 M | Effective pain palliation was achieved in 97% of procedures, avg duration 8.1 months |
| Robial, 2012 | [34] | RET | PrO | Breast 28, lung 19, renal 16, other 30 | Spine | 93 | 35 | TAE vs No TAE | Blood loss | ND | Embolization reduces blood loss and need for blood replacement |
| Kato, 2013 | [35] | RET | PrO | Thyroid 39, renal 27 | Spine | 58 | 66 | Optimal timing between embolization and surgery | Blood loss | 0 | Embolization reduces blood loss |
| Rossi, 2013 | [40] | RET | Pa | Renal cell carcinoma | Pelvis 67, spine 32, other 8 | 107 | 163 | 0 | Pain palliation | 40 m, 1 M | Effective pain palliation was achieved in 96% of procedures, avg duration 10 months |
| Pazionis, 2014 | [32] | RET | PrO | Renal cell carcinoma, thyroid carcinoma | 118 | 53 | TAE vs. No TAE | Blood loss, operating time, renal function impairment | 2 m | Embolization reduces blood loss and need for blood replacement | |
| Clausen, 2015 | [37] | RET | PrO | Lung 17, Breast 8, Other 20 | Spine | 45 | 23 | TAE vs. No TAE | Blood loss, blood replacement, surgery time | 4 m, 1 M | Embolization reduces operative time; blood loss is reduced only in hypervascular metastases |
| Kim, 2015 | [33] | RET | PrO | HCC | Femur 36, humerus 22, other 17 | 75 | 22 | TAE vs. No TAE | Blood loss | ND | Embolization reduces blood loss |
| Facchini, 2016 | [26] | RET | Pa | Renal 54, breast 22, other | Spine | 164 | 178 | 0 | Pain palliation | 100 m, 1 M | Effective pain palliation achieved in 97% of procedures, avg duration 9.2 months |
| Jernigan, 2018 | [19] | RET | PrO | Renal cell carcinoma | Femur | 1285 | 135 | TAE vs. No TAE | Transfusion requirements | ND | No effect on transfusion requirements |
| Çelebioğlu, 2021 | [36] | RET | PrO | Renal cell carcinoma | Pelvis 12, spine 7, other 27 | 41 | 46 | Optimal timing between embolization and surgery | Blood loss | 15 m | Surgery should preferably be performed < 1 day after embolization |
3. Electrochemotherapy
4. Radiofrequency Ablation
5. Cryoablation
6. Microwave Ablation
7. Magnetic Resonance-Guided Focused Ultrasound Surgery (MRgFUS)
8. Cementoplasty
9. Technical Consideration
10. Conclusions
Author Contributions
Funding
Conflicts of Interest
References
- Fornetti, J.; Welm, A.L.; Stewart, S.A. Understanding the Bone in Cancer Metastasis. J. Bone Miner. Res. 2018, 33, 2099–2113. [Google Scholar] [CrossRef] [PubMed]
- Sowder, M.E.; Johnson, R.W. Bone as a Preferential Site for Metastasis. JBMR Plus 2019, 3, e10126. [Google Scholar] [CrossRef]
- Yang, M.; Liu, C.; Yu, X. Skeletal-Related Adverse Events during Bone Metastasis of Breast Cancer: Current Status. Discov. Med. 2019, 27, 211–220. [Google Scholar]
- Hong, S.; Youk, T.; Lee, S.J.; Kim, K.M.; Vajdic, C.M. Bone Metastasis and Skeletal-Related Events in Patients with Solid Cancer: A Korean Nationwide Health Insurance Database Study. PLoS ONE 2020, 15, e0234927. [Google Scholar] [CrossRef]
- Wallace, A.N.; Greenwood, T.J.; Jennings, J.W. Use of Imaging in the Management of Metastatic Spine Disease With Percutaneous Ablation and Vertebral Augmentation. AJR Am. J. Roentgenol. 2015, 205, 434–441. [Google Scholar] [CrossRef]
- Saravana-Bawan, S.; David, E.; Sahgal, A.; Chow, E. Palliation of Bone Metastases-Exploring Options beyond Radiotherapy. Ann. Palliat. Med. 2019, 8, 168–177. [Google Scholar] [CrossRef] [PubMed]
- Hayek, G.; Kastler, B. Interventional Radiology for Treatment of Bone Metastases. Cancer Radiother. 2020, 24, 374–378. [Google Scholar] [CrossRef] [PubMed]
- Ma, Y.; Wallace, A.N.; Waqar, S.N.; Morgensztern, D.; Madaelil, T.P.; Tomasian, A.; Jennings, J.W. Percutaneous Image-Guided Ablation in the Treatment of Osseous Metastases from Non-Small Cell Lung Cancer. Cardiovasc. Intervent. Radiol. 2018, 41, 726–733. [Google Scholar] [CrossRef]
- Filippiadis, D.; Mazioti, A.; Kelekis, A. Percutaneous, Imaging-Guided Biopsy of Bone Metastases. Diagnostics 2018, 8, 25. [Google Scholar] [CrossRef]
- Shibata, H.; Kato, S.; Sekine, I.; Abe, K.; Araki, N.; Iguchi, H.; Izumi, T.; Inaba, Y.; Osaka, I.; Kato, S.; et al. Diagnosis and Treatment of Bone Metastasis: Comprehensive Guideline of the Japanese Society of Medical Oncology, Japanese Orthopedic Association, Japanese Urological Association, and Japanese Society for Radiation Oncology. ESMO Open 2016, 1, e000037. [Google Scholar] [CrossRef]
- Zhang, L.; Wang, Y.; Gu, Y.; Hou, Y.; Chen, Z. The Need for Bone Biopsies in the Diagnosis of New Bone Lesions in Patients with a Known Primary Malignancy: A Comparative Review of 117 Biopsy Cases. J Bone Oncol. 2019, 14, 100213. [Google Scholar] [CrossRef]
- Suh, C.H.; Yun, S.J. Diagnostic Outcome of Image-Guided Percutaneous Core Needle Biopsy of Sclerotic Bone Lesions: A Meta-Analysis. AJR Am. J. Roentgenol. 2019, 212, 625–631. [Google Scholar] [CrossRef] [PubMed]
- Coleman, R.E.; Croucher, P.I.; Padhani, A.R.; Clézardin, P.; Chow, E.; Fallon, M.; Guise, T.; Colangeli, S.; Capanna, R.; Costa, L. Bone Metastases. Nat. Rev. Dis. Primers 2020, 6, 83. [Google Scholar] [CrossRef]
- Nguyen, T.K.; Sahgal, A.; Dagan, R.; Eppinga, W.; Guckenberger, M.; Kim, J.H.; Lo, S.S.; Redmond, K.J.; Siva, S.; Stish, B.J.; et al. Stereotactic Body Radiation Therapy for Nonspine Bone Metastases: International Practice Patterns to Guide Treatment Planning. Pract. Radiat. Oncol. 2020, 10, e452–e460. [Google Scholar] [CrossRef] [PubMed]
- Kougioumtzopoulou, A.; Zygogianni, A.; Liakouli, Z.; Kypraiou, E.; Kouloulias, V. The Role of Radiotherapy in Bone Metastases: A Critical Review of Current Literature. Eur. J. Cancer Care 2017, 26, e12724. [Google Scholar] [CrossRef]
- Errani, C.; Bazzocchi, A.; Spinnato, P.; Facchini, G.; Campanacci, L.; Rossi, G.; Mavrogenis, A.F. What’s New in Management of Bone Metastases? Eur. J. Orthop. Surg. Traumatol. 2019, 29, 1367–1375. [Google Scholar] [CrossRef]
- Wirbel, R.J.; Roth, R.; Schulte, M.; Kramann, B.; Mutschler, W. Preoperative Embolization in Spinal and Pelvic Metastases. J. Orthop. Sci. 2005, 10, 253–257. [Google Scholar] [CrossRef] [PubMed]
- Owen, R.J.T. Embolization of Musculoskeletal Bone Tumors. Semin. Intervent. Radiol. 2010, 27, 111–123. [Google Scholar] [CrossRef]
- Jernigan, E.W.; Tennant, J.N.; Esther, R.J. Not All Patients Undergoing Stabilization of Impending Pathologic Fractures for Renal Cell Carcinoma Metastases to the Femur Need Preoperative Embolization. Clin. Orthop. Relat. Res. 2018, 476, 529–534. [Google Scholar] [CrossRef]
- Lv, L.-S.; Gu, J.-T. Super-Selective Arterial Embolization in the Control of Acute Lower Gastrointestinal Hemorrhage. World J. Clin. Cases 2019, 7, 3728–3733. [Google Scholar] [CrossRef]
- Tsitskari, M.; Spiliopoulos, S.; Konstantos, C.; Palialexis, K.; Reppas, L.; Brountzos, E. Long-Term Results of Super-Selective Trans-Catheter Embolization of the Vesical Arteries for the Treatment of Intractable Bladder Haematuria. CVIR Endovasc. 2020, 3, 97. [Google Scholar] [CrossRef]
- Hur, S.; Jae, H.J.; Lee, M.; Kim, H.-C.; Chung, J.W. Safety and Efficacy of Transcatheter Arterial Embolization for Lower Gastrointestinal Bleeding: A Single-Center Experience with 112 Patients. J. Vasc. Interv. Radiol. 2014, 25, 10–19. [Google Scholar] [CrossRef]
- Marciel, A.M.; Van Zandt, B.L.; Baxter, A.J. Transcatheter Arterial Embolization for the Palliation of Painful Bone Lesions. Tech. Vasc. Interv. Radiol. 2011, 14, 141–149. [Google Scholar] [CrossRef]
- Mavrogenis, A.F.; Angelini, A.; Vottis, C.; Pala, E.; Calabrò, T.; Papagelopoulos, P.J.; Ruggieri, P. Modern Palliative Treatments for Metastatic Bone Disease: Awareness of Advantages, Disadvantages, and Guidance. Clin. J. Pain 2016, 32, 337–350. [Google Scholar] [CrossRef]
- Forauer, A.R.; Kent, E.; Cwikiel, W.; Esper, P.; Redman, B. Selective Palliative Transcatheter Embolization of Bony Metastases from Renal Cell Carcinoma. Acta Oncol. 2007, 46, 1012–1018. [Google Scholar] [CrossRef]
- Facchini, G.; Di Tullio, P.; Battaglia, M.; Bartalena, T.; Tetta, C.; Errani, C.; Mavrogenis, A.F.; Rossi, G. Palliative Embolization for Metastases of the Spine. Eur. J. Orthop. Surg. Traumatol. 2016, 26, 247–252. [Google Scholar] [CrossRef]
- Rossi, G.; Mavrogenis, A.F.; Rimondi, E.; Braccaioli, L.; Calabrò, T.; Ruggieri, P. Selective Embolization with N-Butyl Cyanoacrylate for Metastatic Bone Disease. J. Vasc. Interv. Radiol. 2011, 22, 462–470. [Google Scholar] [CrossRef]
- Koike, Y.; Takizawa, K.; Ogawa, Y.; Muto, A.; Yoshimatsu, M.; Yagihashi, K.; Nakajima, Y. Transcatheter Arterial Chemoembolization (TACE) or Embolization (TAE) for Symptomatic Bone Metastases as a Palliative Treatment. Cardiovasc. Intervent. Radiol. 2011, 34, 793–801. [Google Scholar] [CrossRef]
- Jiang, C.; Wang, J.; Wang, Y.; Zhao, J.; Zhu, Y.; Ma, X.; Zhou, J.; Yan, X. Treatment Outcome Following Transarterial Chemoembolization in Advanced Bone and Soft Tissue Sarcomas. Cardiovasc. Intervent. Radiol. 2016, 39, 1420–1428. [Google Scholar] [CrossRef]
- Kato, S.; Murakami, H.; Minami, T.; Demura, S.; Yoshioka, K.; Matsui, O.; Tsuchiya, H. Preoperative Embolization Significantly Decreases Intraoperative Blood Loss during Palliative Surgery for Spinal Metastasis. Orthopedics 2012, 35, e1389–e1395. [Google Scholar] [CrossRef]
- Ozkan, E.; Gupta, S. Embolization of Spinal Tumors: Vascular Anatomy, Indications, and Technique. Tech. Vasc. Interv. Radiol. 2011, 14, 129–140. [Google Scholar] [CrossRef]
- Pazionis, T.J.C.; Papanastassiou, I.D.; Maybody, M.; Healey, J.H. Embolization of Hypervascular Bone Metastases Reduces Intraoperative Blood Loss: A Case-Control Study. Clin. Orthop. Relat. Res. 2014, 472, 3179–3187. [Google Scholar] [CrossRef] [PubMed]
- Kim, W.; Han, I.; Jae, H.J.; Kang, S.; Lee, S.A.; Kim, J.S.; Kim, H.-S. Preoperative Embolization for Bone Metastasis from Hepatocellular Carcinoma. Orthopedics 2015, 38, e99–e105. [Google Scholar] [CrossRef] [PubMed]
- Robial, N.; Charles, Y.-P.; Bogorin, I.; Godet, J.; Beaujeux, R.; Boujan, F.; Steib, J.-P. Is Preoperative Embolization a Prerequisite for Spinal Metastases Surgical Management? Orthop. Traumatol. Surg. Res. 2012, 98, 536–542. [Google Scholar] [CrossRef] [PubMed]
- Kato, S.; Hozumi, T.; Takaki, Y.; Yamakawa, K.; Goto, T.; Kondo, T. Optimal Schedule of Preoperative Embolization for Spinal Metastasis Surgery. Spine 2013, 38, 1964–1969. [Google Scholar] [CrossRef]
- Çelebioğlu, E.C.; Bilgiç, S.; Merter, A.; Karaca, M.O.; Başarır, K.; Yıldız, H.Y. Scheduling Surgery after Transarterial Embolization: Does Timing Make Any Difference to Intraoperative Blood Loss for Renal Cell Carcinoma Bone Metastases? Diagn. Interv. Radiol. 2021, 27, 740–745. [Google Scholar] [CrossRef]
- Clausen, C.; Dahl, B.; Frevert, S.C.; Hansen, L.V.; Nielsen, M.B.; Lönn, L. Preoperative Embolization in Surgical Treatment of Spinal Metastases: Single-Blind, Randomized Controlled Clinical Trial of Efficacy in Decreasing Intraoperative Blood Loss. J. Vasc. Interv. Radiol. 2015, 26, 402–412.e1. [Google Scholar] [CrossRef]
- Geraets, S.E.W.; Bos, P.K.; van der Stok, J. Preoperative Embolization in Surgical Treatment of Long Bone Metastasis: A Systematic Literature Review. EFORT Open Rev. 2020, 5, 17–25. [Google Scholar] [CrossRef] [PubMed]
- Zhang, L.; Wang, B.; Cao, P.; Zhang, Q.; Liu, X.; Li, M. Combination Therapy with Percutaneous Osteoplasty and Transcatheter Arterial Chemoembolization for the Treatment of Pelvic Bone Metastases: Preliminary Report. Support. Care Cancer 2021, 29, 2529–2536. [Google Scholar] [CrossRef] [PubMed]
- Rossi, G.; Mavrogenis, A.F.; Casadei, R.; Bianchi, G.; Romagnoli, C.; Rimondi, E.; Ruggieri, P. Embolisation of Bone Metastases from Renal Cancer. Radiol. Med. 2013, 118, 291–302. [Google Scholar] [CrossRef]
- Tieleman, D.P. The Molecular Basis of Electroporation. BMC Biochem. 2004, 5, 10. [Google Scholar] [CrossRef] [PubMed]
- Tarek, M. Membrane Electroporation: A Molecular Dynamics Simulation. Biophys. J. 2005, 88, 4045–4053. [Google Scholar] [CrossRef] [PubMed]
- Miklavčič, D.; Serša, G.; Brecelj, E.; Gehl, J.; Soden, D.; Bianchi, G.; Ruggieri, P.; Rossi, C.R.; Campana, L.G.; Jarm, T. Electrochemotherapy: Technological Advancements for Efficient Electroporation-Based Treatment of Internal Tumors. Med. Biol. Eng. Comput. 2012, 50, 1213–1225. [Google Scholar] [CrossRef] [PubMed]
- Mir, L.M.; Belehradek, M.; Domenge, C.; Orlowski, S.; Poddevin, B.; Belehradek, J., Jr.; Schwaab, G.; Luboinski, B.; Paoletti, C. Electrochemotherapy, a new antitumor treatment: First clinical trial. Comptes Rendus Acad. Sci. III 1991, 313, 613–618. [Google Scholar]
- Mir, L.M.; Gehl, J.; Sersa, G.; Collins, C.G.; Garbay, J.-R.; Billard, V.; Geertsen, P.F.; Rudolf, Z.; O’Sullivan, G.C.; Marty, M. Standard Operating Procedures of the Electrochemotherapy: Instructions for the Use of Bleomycin or Cisplatin Administered Either Systemically or Locally and Electric Pulses Delivered by the CliniporatorTM by Means of Invasive or Non-Invasive Electrodes. EJC Suppl. 2006, 4, 14–25. [Google Scholar] [CrossRef]
- Gehl, J.; Sersa, G.; Matthiessen, L.W.; Muir, T.; Soden, D.; Occhini, A.; Quaglino, P.; Curatolo, P.; Campana, L.G.; Kunte, C.; et al. Updated Standard Operating Procedures for Electrochemotherapy of Cutaneous Tumours and Skin Metastases. Acta Oncol. 2018, 57, 874–882. [Google Scholar] [CrossRef]
- Horiuchi, A.; Nikaido, T.; Mitsushita, J.; Toki, T.; Konishi, I.; Fujii, S. Enhancement of Antitumor Effect of Bleomycin by Low-Voltage in Vivo Electroporation: A Study of Human Uterine Leiomyosarcomas in Nude Mice. Int. J. Cancer 2000, 88, 640–644. [Google Scholar] [CrossRef]
- Gothelf, A.; Mir, L.M.; Gehl, J. Electrochemotherapy: Results of Cancer Treatment Using Enhanced Delivery of Bleomycin by Electroporation. Cancer Treat. Rev. 2003, 29, 371–387. [Google Scholar] [CrossRef]
- Fini, M.; Tschon, M.; Ronchetti, M.; Cavani, F.; Bianchi, G.; Mercuri, M.; Alberghini, M.; Cadossi, R. Ablation of Bone Cells by Electroporation. J. Bone Joint Surg. Br. 2010, 92, 1614–1620. [Google Scholar] [CrossRef]
- Bianchi, G.; Campanacci, L.; Ronchetti, M.; Donati, D. Electrochemotherapy in the Treatment of Bone Metastases: A Phase II Trial. World J. Surg. 2016, 40, 3088–3094. [Google Scholar] [CrossRef]
- Campanacci, L.; Bianchi, G.; Cevolani, L.; Errani, C.; Ciani, G.; Facchini, G.; Spinnato, P.; Tognù, A.; Massari, L.; Cornelis, F.H.; et al. Operating Procedures for Electrochemotherapy in Bone Metastases: Results from a Multicenter Prospective Study on 102 Patients. Eur. J. Surg. Oncol. 2021, 47, 2609–2617. [Google Scholar] [CrossRef] [PubMed]
- Gasbarrini, A.; Campos, W.K.; Campanacci, L.; Boriani, S. Electrochemotherapy to Metastatic Spinal Melanoma: A Novel Treatment of Spinal Metastasis? Spine 2015, 40, E1340–E1346. [Google Scholar] [CrossRef]
- Kurup, A.N.; Callstrom, M.R. Image-Guided Percutaneous Ablation of Bone and Soft Tissue Tumors. Semin. Intervent. Radiol. 2010, 27, 276–284. [Google Scholar] [CrossRef] [PubMed]
- Filippiadis, D.K.; Tutton, S.; Mazioti, A.; Kelekis, A. Percutaneous Image-Guided Ablation of Bone and Soft Tissue Tumours: A Review of Available Techniques and Protective Measures. Insights Imaging 2014, 5, 339–346. [Google Scholar] [CrossRef]
- Kurup, A.N.; Callstrom, M.R. Ablation of Musculoskeletal Metastases: Pain Palliation, Fracture Risk Reduction, and Oligometastatic Disease. Tech. Vasc. Interv. Radiol. 2013, 16, 253–261. [Google Scholar] [CrossRef]
- Callstrom, M.R.; Charboneau, J.W.; Goetz, M.P.; Rubin, J.; Wong, G.Y.; Sloan, J.A.; Novotny, P.J.; Lewis, B.D.; Welch, T.J.; Farrell, M.A.; et al. Painful Metastases Involving Bone: Feasibility of Percutaneous CT- and US-Guided Radio-Frequency Ablation. Radiology 2002, 224, 87–97. [Google Scholar] [CrossRef] [PubMed]
- Grönemeyer, D.H.W.; Schirp, S.; Gevargez, A. Image-Guided Radiofrequency Ablation of Spinal Tumors: Preliminary Experience with an Expandable Array Electrode. Cancer J. 2002, 8, 33–39. [Google Scholar] [CrossRef]
- Schaefer, O.; Lohrmann, C.; Herling, M.; Uhrmeister, P.; Langer, M. Combined Radiofrequency Thermal Ablation and Percutaneous Cementoplasty Treatment of a Pathologic Fracture. J. Vasc. Interv. Radiol. 2002, 13, 1047–1050. [Google Scholar] [CrossRef]
- Dupuy, D.E.; Liu, D.; Hartfeil, D.; Hanna, L.; Blume, J.D.; Ahrar, K.; Lopez, R.; Safran, H.; DiPetrillo, T. Percutaneous Radiofrequency Ablation of Painful Osseous Metastases: A Multicenter American College of Radiology Imaging Network Trial. Cancer 2010, 116, 989–997. [Google Scholar] [CrossRef]
- Zhao, W.; Wang, H.; Hu, J.-H.; Peng, Z.-H.; Chen, J.-Z.; Huang, J.-Q.; Jiang, Y.-N.; Luo, G.; Yi, G.-F.; Shen, J.; et al. Palliative Pain Relief and Safety of Percutaneous Radiofrequency Ablation Combined with Cement Injection for Bone Metastasis. Jpn. J. Clin. Oncol. 2018, 48, 753–759. [Google Scholar] [CrossRef]
- Levy, J.; Hopkins, T.; Morris, J.; Tran, N.D.; David, E.; Massari, F.; Farid, H.; Vogel, A.; O’Connell, W.G.; Sunenshine, P.; et al. Radiofrequency Ablation for the Palliative Treatment of Bone Metastases: Outcomes from the Multicenter OsteoCool Tumor Ablation Post-Market Study (OPuS One Study) in 100 Patients. J. Vasc. Interv. Radiol. 2020, 31, 1745–1752. [Google Scholar] [CrossRef] [PubMed]
- Ringe, K.I.; Panzica, M.; von Falck, C. Thermoablation of Bone Tumors. Rofo 2016, 188, 539–550. [Google Scholar] [CrossRef]
- Tomasian, A.; Jennings, J.W. Percutaneous Minimally Invasive Thermal Ablation for Management of Osseous Metastases: Recent Advances. Int. J. Hyperther. 2019, 36, 3–12. [Google Scholar] [CrossRef]
- Colak, C.; Forney, M.C.; Simpfendorfer, C.S.; Mesko, N.W.; Ilaslan, H. Preoperative Cryoablation of a Hypervascular Bone Metastasis: A Case of Effective Devascularization before Preoperative Embolization. Clin. Imaging 2021, 79, 148–153. [Google Scholar] [CrossRef]
- Arrigoni, F.; Bianchi, G.; Formiconi, F.; Palumbo, P.; Zugaro, L.; Gravina, G.L.; Barile, A.; Masciocchi, C. CT-Guided Cryoablation for Management of Bone Metastases: A Single Center Experience and Review of the Literature. Radiol. Med. 2022, 127, 199–205. [Google Scholar] [CrossRef]
- Cazzato, R.L.; Garnon, J.; Ramamurthy, N.; Koch, G.; Tsoumakidou, G.; Caudrelier, J.; Arrigoni, F.; Zugaro, L.; Barile, A.; Masciocchi, C.; et al. Percutaneous Image-Guided Cryoablation: Current Applications and Results in the Oncologic Field. Med. Oncol. 2016, 33, 140. [Google Scholar] [CrossRef]
- Soule, E.; Matteo, J. Finally, a Minimally Invasive Option for Intrahepatic Inferior Vena Cava Invasion by Hepatocellular Carcinoma. Gastrointest. Tumors 2018, 5, 54–61. [Google Scholar] [CrossRef]
- Park, S.Y.; Won, J.Y.; Oh, Y.T.; Jung, D.C.; Kim, G.M.; Kim, M.D. Assessment of Cold Sink Effect in Postulated Renal Cryoablation by Analyzing Radiographic Ice Ball on Computed Tomography. Br. J. Radiol. 2018, 92, 20170951. [Google Scholar] [CrossRef]
- Cazzato, R.L.; De Marini, P.; Leonard-Lorant, I.; Dalili, D.; Koch, G.; Autrusseau, P.A.; Mayer, T.; Weiss, J.; Auloge, P.; Garnon, J.; et al. Percutaneous Thermal Ablation of Sacral Metastases: Assessment of Pain Relief and Local Tumor Control. Diagn. Interv. Imaging 2021, 102, 355–361. [Google Scholar] [CrossRef] [PubMed]
- Masala, S.; Guglielmi, G.; Petrella, M.C.; Mastrangeli, R.; Meschini, A.; Anselmetti, G.C.; Bartolucci, D.A.; Mammucari, M.; Manenti, G.; Simonetti, G. Percutaneous Ablative Treatment of Metastatic Bone Tumours: Visual Analogue Scale Scores in a Short-Term Series. Singapore Med. J. 2011, 52, 182–189. [Google Scholar] [PubMed]
- Choi, J.; Raghavan, M. Diagnostic Imaging and Image-Guided Therapy of Skeletal Metastases. Cancer Control 2012, 19, 102–112. [Google Scholar] [CrossRef] [PubMed]
- Callstrom, M.R.; Dupuy, D.E.; Solomon, S.B.; Beres, R.A.; Littrup, P.J.; Davis, K.W.; Paz-Fumagalli, R.; Hoffman, C.; Atwell, T.D.; Charboneau, J.W.; et al. Percutaneous Image-Guided Cryoablation of Painful Metastases Involving Bone: Multicenter Trial. Cancer 2013, 119, 1033–1041. [Google Scholar] [CrossRef] [PubMed]
- Callstrom, M.R.; Kurup, A.N. Percutaneous Ablation for Bone and Soft Tissue Metastases—Why Cryoablation? Skeletal Radiol. 2009, 38, 835–839. [Google Scholar] [CrossRef]
- Mahnken, A.H.; König, A.M.; Figiel, J.H. Current Technique and Application of Percutaneous Cryotherapy. Rofo 2018, 190, 836–846. [Google Scholar] [CrossRef]
- Rose, P.S.; Morris, J.M. Cryosurgery/cryoablation in Musculoskeletal Neoplasms: History and State of the Art. Curr. Rev. Musculoskelet. Med. 2015, 8, 353–360. [Google Scholar] [CrossRef] [PubMed]
- Chen-Xu, S.; Martel-Villagrán, J.; Bueno-Horcajadas, Á. Percutaneous Management of Bone Metastases: State of the Art. Radiologia 2021, 63, 345–357. [Google Scholar] [CrossRef] [PubMed]
- Chang, E.M.; Shaverdian, N.; Capiro, N.; Steinberg, M.L.; Raldow, A.C. Cost Effectiveness of External Beam Radiation Therapy versus Percutaneous Image-Guided Cryoablation for Palliation of Uncomplicated Bone Metastases. J. Vasc. Interv. Radiol. 2020, 31, 1221–1232. [Google Scholar] [CrossRef] [PubMed]
- Ferrer-Mileo, L.; Luque Blanco, A.I.; González-Barboteo, J. Efficacy of Cryoablation to Control Cancer Pain: A Systematic Review. Pain Pract. 2018, 18, 1083–1098. [Google Scholar] [CrossRef]
- Jennings, J.W.; Prologo, J.D.; Garnon, J.; Gangi, A.; Buy, X.; Palussière, J.; Kurup, A.N.; Callstrom, M.; Genshaft, S.; Abtin, F.; et al. Cryoablation for Palliation of Painful Bone Metastases: The MOTION Multicenter Study. Radiol. Imaging Cancer 2021, 3, e200101. [Google Scholar] [CrossRef]
- Susa, M.; Kikuta, K.; Nakayama, R.; Nishimoto, K.; Horiuchi, K.; Oguro, S.; Inoue, M.; Yashiro, H.; Nakatsuka, S.; Nakamura, M.; et al. CT Guided Cryoablation for Locally Recurrent or Metastatic Bone and Soft Tissue Tumor: Initial Experience. BMC Cancer 2016, 16, 798. [Google Scholar] [CrossRef][Green Version]
- Hegg, R.M.; Kurup, A.N.; Schmit, G.D.; Weisbrod, A.J.; Atwell, T.D.; Olivier, K.R.; Moynihan, T.J.; Callstrom, M.R. Cryoablation of Sternal Metastases for Pain Palliation and Local Tumor Control. J. Vasc. Interv. Radiol. 2014, 25, 1665–1670. [Google Scholar] [CrossRef]
- Nazario, J.; Hernandez, J.; Tam, A.L. Thermal Ablation of Painful Bone Metastases. Tech. Vasc. Interv. Radiol. 2011, 14, 150–159. [Google Scholar] [CrossRef]
- Deschamps, F.; Farouil, G.; Ternes, N.; Gaudin, A.; Hakime, A.; Tselikas, L.; Teriitehau, C.; Baudin, E.; Auperin, A.; de Baere, T. Thermal Ablation Techniques: A Curative Treatment of Bone Metastases in Selected Patients? Eur. Radiol. 2014, 24, 1971–1980. [Google Scholar] [CrossRef] [PubMed]
- Lievens, Y.; Guckenberger, M.; Gomez, D.; Hoyer, M.; Iyengar, P.; Kindts, I.; Méndez Romero, A.; Nevens, D.; Palma, D.; Park, C.; et al. Defining Oligometastatic Disease from a Radiation Oncology Perspective: An ESTRO-ASTRO Consensus Document. Radiother. Oncol. 2020, 148, 157–166. [Google Scholar] [CrossRef] [PubMed]
- Luigi Cazzato, R.; Auloge, P.; De Marini, P.; Rousseau, C.; Chiang, J.B.; Koch, G.; Caudrelier, J.; Rao, P.; Garnon, J.; Gangi, A. Percutaneous Image-Guided Ablation of Bone Metastases: Local Tumor Control in Oligometastatic Patients. Int. J. Hyperther. 2018, 35, 493–499. [Google Scholar] [CrossRef]
- Wallace, A.N.; McWilliams, S.R.; Connolly, S.E.; Symanski, J.S.; Vaswani, D.; Tomasian, A.; Vyhmeister, R.; Lee, A.M.; Madaelil, T.P.; Hillen, T.J.; et al. Percutaneous Image-Guided Cryoablation of Musculoskeletal Metastases: Pain Palliation and Local Tumor Control. J. Vasc. Interv. Radiol. 2016, 27, 1788–1796. [Google Scholar] [CrossRef]
- Tomasian, A.; Wallace, A.; Northrup, B.; Hillen, T.J.; Jennings, J.W. Spine Cryoablation: Pain Palliation and Local Tumor Control for Vertebral Metastases. AJNR Am. J. Neuroradiol. 2016, 37, 189–195. [Google Scholar] [CrossRef]
- Gallusser, N.; Goetti, P.; Becce, F.; Vauclair, F.; Rüdiger, H.A.; Bize, P.E.; Cherix, S. Percutaneous Image-Guided Cryoablation of Painful Bone Metastases: A Single Institution Experience. Orthop. Traumatol. Surg. Res. 2019, 105, 369–374. [Google Scholar] [CrossRef] [PubMed]
- Coupal, T.M.; Pennycooke, K.; Mallinson, P.I.; Ouellette, H.A.; Clarkson, P.W.; Hawley, P.; Munk, P.L. The Hopeless Case? Palliative Cryoablation and Cementoplasty Procedures for Palliation of Large Pelvic Bone Metastases. Pain Physician 2017, 20, E1053–E1061. [Google Scholar] [CrossRef]
- Castañeda Rodriguez, W.R.; Callstrom, M.R. Effective Pain Palliation and Prevention of Fracture for Axial-Loading Skeletal Metastases Using Combined Cryoablation and Cementoplasty. Tech. Vasc. Interv. Radiol. 2011, 14, 160–169. [Google Scholar] [CrossRef] [PubMed]
- Callstrom, M.R.; Charboneau, J.W. Image-Guided Palliation of Painful Metastases Using Percutaneous Ablation. Tech. Vasc. Interv. Radiol. 2007, 10, 120–131. [Google Scholar] [CrossRef]
- Kurup, A.N.; Schmit, G.D.; Atwell, T.D.; Sviggum, E.B.; Castaneda, W.R.; Rose, P.S.; Callstrom, M.R. Palliative Percutaneous Cryoablation and Cementoplasty of Acetabular Metastases: Factors Affecting Pain Control and Fracture Risk. Cardiovasc. Intervent. Radiol. 2018, 41, 1735–1742. [Google Scholar] [CrossRef] [PubMed]
- Fintelmann, F.J.; Braun, P.; Mirzan, S.H.; Huang, A.J.; Best, T.D.; Keyes, C.M.; Choy, E.; Leppelmann, K.S.; Muniappan, A.; Soto, D.E.; et al. Percutaneous Cryoablation: Safety and Efficacy for Pain Palliation of Metastases to Pleura and Chest Wall. J. Vasc. Interv. Radiol. 2020, 31, 294–300. [Google Scholar] [CrossRef]
- Gardner, C.S.; Ensor, J.E.; Ahrar, K.; Huang, S.Y.; Sabir, S.H.; Tannir, N.M.; Lewis, V.O.; Tam, A.L. Cryoablation of Bone Metastases from Renal Cell Carcinoma for Local Tumor Control. J. Bone Joint Surg. Am. 2017, 99, 1916–1926. [Google Scholar] [CrossRef]
- Autrusseau, P.A.; Schneegans, O.; Koch, G.; Weiss, J.; Caudrelier, J.; Dalili, D.; Perolat, R.; Auloge, P.; Luigi Cazzato, R.; Gangi, A.; et al. Technique Efficacy and Safety Following Percutaneous Cryoablation of Extra-Spinal Thyroid Cancer Bone Metastases with Curative Intent: Single-Center Experience with a Median Follow-up of More than 5 Years. J. Vasc. Interv. Radiol. 2022. [Google Scholar] [CrossRef]
- McArthur, T.A.; Narducci, C.A.; Lander, P.H.; Lopez-Ben, R. Percutane Image-Guided Cryoablation of Painful Osseous Metastases: A Retrospective Single-Center Review. Curr. Probl. Diagn. Radiol. 2017, 46, 282–287. [Google Scholar] [CrossRef] [PubMed]
- McMenomy, B.P.; Kurup, A.N.; Johnson, G.B.; Carter, R.E.; McWilliams, R.R.; Markovic, S.N.; Atwell, T.D.; Schmit, G.D.; Morris, J.M.; Woodrum, D.A.; et al. Percutaneous Cryoablation of Musculoskeletal Oligometastatic Disease for Complete Remission. J. Vasc. Interv. Radiol. 2013, 24, 207–213. [Google Scholar] [CrossRef]
- Li, F.; Wang, W.; Li, L.; Chang, Y.; Su, D.; Guo, G.; He, X.; Li, M. An Effective Therapy to Painful Bone Metastases: Cryoablation Combined with Zoledronic Acid. Pathol. Oncol. Res. 2014, 20, 885–891. [Google Scholar] [CrossRef]
- Li, F.; Wang, W.; Li, L.; Su, D.; Chang, Y.; Guo, G.; He, X.; Li, B. Cryoablation Combined with Zoledronic Acid in Comparison with Cryoablation and Zoledronic Acid Alone in the Treatment of Painful Bone Metastases. Exp. Ther. Med. 2014, 8, 539–544. [Google Scholar] [CrossRef]
- Di Staso, M.; Gravina, G.L.; Zugaro, L.; Bonfili, P.; Gregori, L.; Franzese, P.; Marampon, F.; Vittorini, F.; Moro, R.; Tombolini, V.; et al. Treatment of Solitary Painful Osseous Metastases with Radiotherapy, Cryoablation or Combined Therapy: Propensity Matching Analysis in 175 Patients. PLoS ONE 2015, 10, e0129021. [Google Scholar] [CrossRef] [PubMed]
- Vaswani, D.; Wallace, A.N.; Eiswirth, P.S.; Madaelil, T.P.; Chang, R.O.; Tomasian, A.; Jennings, J.W. Radiographic Local Tumor Control and Pain Palliation of Sarcoma Metastases within the Musculoskeletal System with Percutaneous Thermal Ablation. Cardiovasc. Intervent. Radiol. 2018, 41, 1223–1232. [Google Scholar] [CrossRef]
- Zugaro, L.; DI Staso, M.; Gravina, G.L.; Bonfili, P.; Gregori, L.; Franzese, P.; Marampon, F.; Tombolini, V.; DI Cesare, E.; Masciocchi, C. Treatment of Osteolytic Solitary Painful Osseous Metastases with Radiofrequency Ablation or Cryoablation: A Retrospective Study by Propensity Analysis. Oncol. Lett. 2016, 11, 1948–1954. [Google Scholar] [CrossRef]
- Auloge, P.; Cazzato, R.L.; Rousseau, C.; Caudrelier, J.; Koch, G.; Rao, P.; Chiang, J.B.; Garnon, J.; Gangi, A. Complications of Percutaneous Bone Tumor Cryoablation: A 10-Year Experience. Radiology 2019, 291, 521–528. [Google Scholar] [CrossRef] [PubMed]
- De Marini, P.; Cazzato, R.L.; Auloge, P.; Koch, G.; Dalili, D.; Garnon, J.; Gangi, A. Percutaneous Image-Guided Thermal Ablation of Bone Metastases: A Retrospective Propensity Study Comparing the Safety Profile of Radio-Frequency Ablation and Cryo-Ablation. Int. J. Hyperther. 2020, 37, 1386–1394. [Google Scholar] [CrossRef] [PubMed]
- Barile, A.; Arrigoni, F.; Zugaro, L.; Zappia, M.; Cazzato, R.L.; Garnon, J.; Ramamurthy, N.; Brunese, L.; Gangi, A.; Masciocchi, C. Minimally Invasive Treatments of Painful Bone Lesions: State of the Art. Med. Oncol. 2017, 34, 53. [Google Scholar] [CrossRef]
- Chiang, J.; Hynes, K.; Brace, C.L. Flow-Dependent Vascular Heat Transfer during Microwave Thermal Ablation. Conf. Proc. IEEE Eng. Med. Biol. Soc. 2012, 2012, 5582–5585. [Google Scholar] [CrossRef]
- Kinczewski, L. Microwave Ablation for Palliation of Bone Metastases. Clin. J. Oncol. Nurs. 2016, 20, 249–252. [Google Scholar] [CrossRef] [PubMed]
- Sagoo, N.S.; Haider, A.S.; Rowe, S.E.; Haider, M.; Sharma, R.; Neeley, O.J.; Dahdaleh, N.S.; Adogwa, O.; Bagley, C.A.; El Ahmadieh, T.Y.; et al. Microwave Ablation as a Treatment for Spinal Metastatic Tumors: A Systematic Review. World Neurosurg. 2021, 148, 15–23. [Google Scholar] [CrossRef]
- Cazzato, R.L.; de Rubeis, G.; de Marini, P.; Dalili, D.; Koch, G.; Auloge, P.; Garnon, J.; Gangi, A. Percutaneous Microwave Ablation of Bone Tumors: A Systematic Review. Eur. Radiol. 2021, 31, 3530–3541. [Google Scholar] [CrossRef]
- Wu, M.-H.; Xiao, L.-F.; Yan, F.-F.; Chen, S.-L.; Zhang, C.; Lei, J.; Deng, Z.-M. Use of Percutaneous Microwave Ablation for the Treatment of Bone Tumors: A Retrospective Study of Clinical Outcomes in 47 Patients. Cancer Imaging 2019, 19, 87. [Google Scholar] [CrossRef] [PubMed]
- Pusceddu, C.; Sotgia, B.; Fele, R.M.; Ballicu, N.; Melis, L. Combined Microwave Ablation and Cementoplasty in Patients with Painful Bone Metastases at High Risk of Fracture. Cardiovasc. Intervent. Radiol. 2016, 39, 74–80. [Google Scholar] [CrossRef]
- Deib, G.; Deldar, B.; Hui, F.; Barr, J.S.; Khan, M.A. Percutaneous Microwave Ablation and Cementoplasty: Clinical Utility in the Treatment of Painful Extraspinal Osseous Metastatic Disease and Myeloma. AJR Am. J. Roentgenol. 2019, 1377–1384. [Google Scholar] [CrossRef] [PubMed]
- Cornman-Homonoff, J.; Miller, Z.A.; Smirniotopoulos, J.; May, B.J.; Winokur, R.S.; Pua, B.B.; Schiffman, M.H. Preoperative Percutaneous Microwave Ablation of Long Bone Metastases Using a Parallel Medullary Approach for Reduction of Operative Blood Loss. J. Vasc. Interv. Radiol. 2017, 28, 1069–1071. [Google Scholar] [CrossRef]
- Aubry, S.; Dubut, J.; Nueffer, J.-P.; Chaigneau, L.; Vidal, C.; Kastler, B. Prospective 1-Year Follow-up Pilot Study of CT-Guided Microwave Ablation in the Treatment of Bone and Soft-Tissue Malignant Tumours. Eur. Radiol. 2017, 27, 1477–1485. [Google Scholar] [CrossRef]
- Yang, Y.; Ren, B.; Bian, X.; Li, D.; Xu, C.; Shi, F.; Zhao, J.; Tao, M.; Liang, R. Effect of Palliative Microwave Ablation on Metastatic Osseous Pain: A Single-Center Retrospective Study. Ann. Palliat. Med. 2021, 10, 9725–9731. [Google Scholar] [CrossRef]
- Qiu, Y.-Y.; Zhang, K.-X.; Ye, X.; Zhang, X.-S.; Xing, C.; Wu, Q.-S.; Hu, M.-M.; Li, P.-X.; Wang, J.-J. Combination of Microwave Ablation and Percutaneous Osteoplasty for Treatment of Painful Extraspinal Bone Metastasis. J. Vasc. Interv. Radiol. 2019, 30, 1934–1940. [Google Scholar] [CrossRef] [PubMed]
- Zhang, X.; Ye, X.; Zhang, K.; Qiu, Y.; Fan, W.; Yuan, Q.; Fan, J.; Wu, L.; Yang, S.; Hu, M.; et al. Computed Tomography-Guided Microwave Ablation Combined with Osteoplasty for the Treatment of Bone Metastases: A Multicenter Clinical Study. J. Vasc. Interv. Radiol. 2021, 32, 861–868. [Google Scholar] [CrossRef]
- Kastler, A.; Krainik, A.; Sakhri, L.; Mousseau, M.; Kastler, B. Feasibility of Real-Time Intraprocedural Temperature Control during Bone Metastasis Thermal Microwave Ablation: A Bicentric Retrospective Study. J. Vasc. Interv. Radiol. 2017, 28, 366–371. [Google Scholar] [CrossRef]
- Nakatsuka, A.; Yamakado, K.; Takaki, H.; Uraki, J.; Makita, M.; Oshima, F.; Takeda, K. Percutaneous Radiofrequency Ablation of Painful Spinal Tumors Adjacent to the Spinal Cord with Real-Time Monitoring of Spinal Canal Temperature: A Prospective Study. Cardiovasc. Intervent. Radiol. 2009, 32, 70–75. [Google Scholar] [CrossRef]
- Kobus, T.; McDannold, N. Update on Clinical Magnetic Resonance-Guided Focused Ultrasound Applications. Magn. Reson. Imaging Clin. N. Am. 2015, 23, 657–667. [Google Scholar] [CrossRef] [PubMed]
- Izadifar, Z.; Izadifar, Z.; Chapman, D.; Babyn, P. An Introduction to High Intensity Focused Ultrasound: Systematic Review on Principles, Devices, and Clinical Applications. J. Clin. Med. Res. 2020, 9, 460. [Google Scholar] [CrossRef] [PubMed]
- Abdullah, B.; Subramaniam, R.; Omar, S.; Wragg, P.; Ramli, N.; Wui, A.; Lee, C.; Yusof, Y. Magnetic Resonance-Guided Focused Ultrasound Surgery (MRgFUS) Treatment for Uterine Fibroids. Biomed. Imaging Interv. J. 2010, 6, e15. [Google Scholar] [CrossRef]
- Wang, W.-J.; Lee, H.-L.; Jeng, S.-C.; Chiou, J.-F.; Huang, Y. Real-Time Magnetic Resonance Guided Focused Ultrasound for Painful Bone Metastases. J. Vis. Exp. 2021, 169, e60615. [Google Scholar] [CrossRef]
- Namba, H.; Kawasaki, M.; Izumi, M.; Ushida, T.; Takemasa, R.; Ikeuchi, M. Effects of MRgFUS Treatment on Musculoskeletal Pain: Comparison between Bone Metastasis and Chronic Knee/Lumbar Osteoarthritis. Pain Res. Manag. 2019, 2019, 4867904. [Google Scholar] [CrossRef]
- De Souza, N.; Ward, N. Magnetic Resonance-Guided High-Intensity-Focused Ultrasound for the Treatment of Cancer-Related Pain. Pain Manag. 2015, 5, 221–224. [Google Scholar] [CrossRef] [PubMed]
- Yeo, S.Y.; Elevelt, A.; Donato, K.; van Rietbergen, B.; Ter Hoeve, N.D.; van Diest, P.J.; Grüll, H. Bone Metastasis Treatment Using Magnetic Resonance-Guided High Intensity Focused Ultrasound. Bone 2015, 81, 513–523. [Google Scholar] [CrossRef]
- Di Biase, L.; Falato, E.; Caminiti, M.L.; Pecoraro, P.M.; Narducci, F.; Di Lazzaro, V. Focused Ultrasound (FUS) for Chronic Pain Management: Approved and Potential Applications. Neurol. Res. Int. 2021, 2021, 8438498. [Google Scholar] [CrossRef] [PubMed]
- Huisman, M.; ter Haar, G.; Napoli, A.; Hananel, A.; Ghanouni, P.; Lövey, G.; Nijenhuis, R.J.; van den Bosch, M.A.A.J.; Rieke, V.; Majumdar, S.; et al. International Consensus on Use of Focused Ultrasound for Painful Bone Metastases: Current Status and Future Directions. Int. J. Hyperther. 2015, 31, 251–259. [Google Scholar] [CrossRef] [PubMed]
- Han, X.; Huang, R.; Meng, T.; Yin, H.; Song, D. The Roles of Magnetic Resonance-Guided Focused Ultrasound in Pain Relief in Patients With Bone Metastases: A Systemic Review and Meta-Analysis. Front. Oncol. 2021, 11, 617295. [Google Scholar] [CrossRef]
- Bucknor, M.D.; Baal, J.D.; McGill, K.C.; Infosino, A.; Link, T.M. Musculoskeletal Applications of Magnetic Resonance-Guided Focused Ultrasound. Semin. Musculoskelet. Radiol. 2021, 25, 725–734. [Google Scholar] [CrossRef] [PubMed]
- Baal, J.D.; Chen, W.C.; Baal, U.; Wagle, S.; Baal, J.H.; Link, T.M.; Bucknor, M.D. Efficacy and Safety of Magnetic Resonance-Guided Focused Ultrasound for the Treatment of Painful Bone Metastases: A Systematic Review and Meta-Analysis. Skeletal Radiol. 2021, 50, 2459–2469. [Google Scholar] [CrossRef]
- Bongiovanni, A.; Foca, F.; Oboldi, D.; Diano, D.; Bazzocchi, A.; Fabbri, L.; Mercatali, L.; Vanni, S.; Maltoni, M.; Bianchini, D.; et al. 3-T Magnetic Resonance-Guided High-Intensity Focused Ultrasound (3 T-MR-HIFU) for the Treatment of Pain from Bone Metastases of Solid Tumors. Support. Care Cancer 2022, 30, 5737–5745. [Google Scholar] [CrossRef]
- Napoli, A.; Anzidei, M.; Marincola, B.C.; Brachetti, G.; Noce, V.; Boni, F.; Bertaccini, L.; Passariello, R.; Catalano, C. MR Imaging-Guided Focused Ultrasound for Treatment of Bone Metastasis. Radiographics 2013, 33, 1555–1568. [Google Scholar] [CrossRef] [PubMed]
- Napoli, A.; Anzidei, M.; Marincola, B.C.; Brachetti, G.; Ciolina, F.; Cartocci, G.; Marsecano, C.; Zaccagna, F.; Marchetti, L.; Cortesi, E.; et al. Primary Pain Palliation and Local Tumor Control in Bone Metastases Treated with Magnetic Resonance-Guided Focused Ultrasound. Investig. Radiol. 2013, 48, 351–358. [Google Scholar] [CrossRef]
- Eisenberg, E.; Shay, L.; Keidar, Z.; Amit, A.; Militianu, D. Magnetic Resonance-Guided Focused Ultrasound Surgery for Bone Metastasis: From Pain Palliation to Biological Ablation? J. Pain Symptom Manag. 2018, 56, 158–162. [Google Scholar] [CrossRef]
- Bucknor, M.D.; Chan, F.P.; Matuoka, J.Y.; Curl, P.K.; Kahn, J.G. Cost-Effectiveness Analysis of Magnetic Resonance-Guided Focused Ultrasound Ablation for Palliation of Refractory Painful Bone Metastases. Int. J. Technol. Assess. Health Care 2020, 37, e30. [Google Scholar] [CrossRef] [PubMed]
- Lee, H.-L.; Kuo, C.-C.; Tsai, J.-T.; Chen, C.-Y.; Wu, M.-H.; Chiou, J.-F. Magnetic Resonance-Guided Focused Ultrasound Versus Conventional Radiation Therapy for Painful Bone Metastasis: A Matched-Pair Study. J. Bone Joint Surg. Am. 2017, 99, 1572–1578. [Google Scholar] [CrossRef]
- Mastier, C.; Gjorgjievska, A.; Thivolet, A.; Bouhamama, A.; Cuinet, M.; Pilleul, F.; Tselikas, L.; de Baère, T.; Deschamps, F. Musculoskeletal Metastases Management: The Interventional Radiologist’s Toolbox. Semin. Intervent. Radiol. 2018, 35, 281–289. [Google Scholar] [CrossRef]
- Ahmed, O.; Feinberg, N.; Lea, W.B. Interventional Techniques for the Ablation and Augmentation of Extraspinal Lytic Bone Metastases. Semin. Intervent. Radiol. 2019, 36, 221–228. [Google Scholar] [CrossRef]
- Cazzato, R.L.; Buy, X.; Grasso, R.F.; Luppi, G.; Faiella, E.; Quattrocchi, C.C.; Pantano, F.; Beomonte Zobel, B.; Tonini, G.; Santini, D.; et al. Interventional Radiologist’s Perspective on the Management of Bone Metastatic Disease. Eur. J. Surg. Oncol. 2015, 41, 967–974. [Google Scholar] [CrossRef] [PubMed]
- Deschamps, F.; de Baere, T. Cementoplasty of Bone Metastases. Diagn. Interv. Imaging 2012, 93, 685–689. [Google Scholar] [CrossRef]
- Key, B.M.; Scheidt, M.J.; Tutton, S.M. Advanced Interventional Pain Management Approach to Neoplastic Disease Outside the Spine. Tech. Vasc. Interv. Radiol. 2020, 23, 100705. [Google Scholar] [CrossRef]
- Kassamali, R.H.; Ganeshan, A.; Hoey, E.T.D.; Crowe, P.M.; Douis, H.; Henderson, J. Pain Management in Spinal Metastases: The Role of Percutaneous Vertebral Augmentation. Ann. Oncol. 2011, 22, 782–786. [Google Scholar] [CrossRef]
- Barral, F.-G.; Russias, B.; Tanji, P.; Billiard, J.-S.; Kastler, B. Vertebroplasty and Cementoplasty. In Interventional Radiology in Pain Treatment; Kastler, B., Barral, F.-G., Fergane, B., Pereira, P., Eds.; Springer: Berlin/Heidelberg, Germany, 2007; pp. 127–143. ISBN 9783540471998. [Google Scholar]
- N’dri Oka, D.; Tokpa, A.; Derou, L. Surgical Vertebral Body Cementoplasty as Spinal Cancer Metastasis Management. Br. J. Neurosurg. 2015, 29, 374–379. [Google Scholar] [CrossRef] [PubMed]
- Chiras, J.; Shotar, E.; Cormier, E.; Clarençon, F. Interventional Radiology in Bone Metastases. Eur. J. Cancer Care 2017, 26, e12741. [Google Scholar] [CrossRef] [PubMed]
- Wilhelm, K. Vertebroplasty--state of the art. Radiologe 2015, 55, 847–852. [Google Scholar] [CrossRef]
- Markmiller, M. Percutaneous Balloon Kyphoplasty of Malignant Lesions of the Spine: A Prospective Consecutive Study in 115 Patients. Eur. Spine J. 2015, 24, 2165–2172. [Google Scholar] [CrossRef] [PubMed]
- Astur, N.; Avanzi, O. Balloon Kyphoplasty in the Treatment of Neoplastic Spine Lesions: A Systematic Review. Global Spine J. 2019, 9, 348–356. [Google Scholar] [CrossRef] [PubMed]
- Kırcelli, A.; Çöven, İ. Percutaneous Balloon Kyphoplasty Vertebral Augmentation for Compression Fracture Due to Vertebral Metastasis: A 12-Month Retrospective Clinical Study in 72 Patients. Med. Sci. Monit. 2018, 24, 2142–2148. [Google Scholar] [CrossRef]
- Health Quality Ontario Vertebral Augmentation Involving Vertebroplasty or Kyphoplasty for Cancer-Related Vertebral Compression Fractures: A Systematic Review. Ont. Health Technol. Assess. Ser. 2016, 16, 1–202.
- Sadeghi-Naini, M.; Aarabi, S.; Shokraneh, F.; Janani, L.; Vaccaro, A.R.; Rahimi-Movaghar, V. Vertebroplasty and Kyphoplasty for Metastatic Spinal Lesions: A Systematic Review. Clin. Spine Surg. 2018, 31, 203–210. [Google Scholar] [CrossRef] [PubMed]
- Bae, J.W.; Gwak, H.-S.; Kim, S.; Joo, J.; Shin, S.H.; Yoo, H.; Lee, S.H. Percutaneous Vertebroplasty for Patients with Metastatic Compression Fractures of the Thoracolumbar Spine: Clinical and Radiological Factors Affecting Functional Outcomes. Spine J. 2016, 16, 355–364. [Google Scholar] [CrossRef]
- Aghayev, K.; Papanastassiou, I.D.; Vrionis, F. Role of Vertebral Augmentation Procedures in the Management of Vertebral Compression Fractures in Cancer Patients. Curr. Opin. Support. Palliat. Care 2011, 5, 222–226. [Google Scholar] [CrossRef] [PubMed]
- Gofeld, M.; Bhatia, A.; Burton, A.W. Vertebroplasty in the Management of Painful Bony Metastases. Curr. Pain Headache Rep. 2009, 13, 288–294. [Google Scholar] [CrossRef]
- Zhang, H.-R.; Xu, M.-Y.; Yang, X.-G.; Qiao, R.-Q.; Li, J.-K.; Hu, Y.-C. Percutaneous Vertebral Augmentation Procedures in the Management of Spinal Metastases. Cancer Lett. 2020, 475, 136–142. [Google Scholar] [CrossRef]
- Gumusay, O.; Huppert, L.A.; Behr, S.C.; Rugo, H.S. The Role of Percutaneous Vertebral Augmentation in Patients with Metastatic Breast Cancer: Literature Review Including Report of Two Cases. Breast 2022, 63, 149–156. [Google Scholar] [CrossRef] [PubMed]
- Shi, X.; Cui, Y.; Pan, Y.; Wang, B.; Lei, M. Epidemiology and Detection of Cement Leakage in Patients with Spine Metastases Treated with Percutaneous Vertebroplasty: A 10-Year Observational Study. J. Bone Oncol. 2021, 28, 100365. [Google Scholar] [CrossRef] [PubMed]
- Laredo, J.-D.; Chiras, J.; Kemel, S.; Taihi, L.; Hamze, B. Vertebroplasty and Interventional Radiology Procedures for Bone Metastases. Joint Bone Spine 2018, 85, 191–199. [Google Scholar] [CrossRef] [PubMed]
- Yevich, S.; Tselikas, L.; Gravel, G.; de Baère, T.; Deschamps, F. Percutaneous Cement Injection for the Palliative Treatment of Osseous Metastases: A Technical Review. Semin. Intervent. Radiol. 2018, 35, 268–280. [Google Scholar] [CrossRef]
- Moser, T.P.; Onate, M.; Achour, K.; Freire, V. Cementoplasty of Pelvic Bone Metastases: Systematic Assessment of Lesion Filling and Other Factors That Could Affect the Clinical Outcomes. Skeletal Radiol. 2019, 48, 1345–1355. [Google Scholar] [CrossRef]
- Liu, H.-F.; Wu, C.-G.; Tian, Q.-H.; Wang, T.; Yi, F. Application of Percutaneous Osteoplasty in Treating Pelvic Bone Metastases: Efficacy and Safety. Cardiovasc. Intervent. Radiol. 2019, 42, 1738–1744. [Google Scholar] [CrossRef]
- Park, J.W.; Lim, H.-J.; Kang, H.G.; Kim, J.H.; Kim, H.-S. Percutaneous Cementoplasty for the Pelvis in Bone Metastasis: 12-Year Experience. Ann. Surg. Oncol. 2022, 29, 1413–1422. [Google Scholar] [CrossRef] [PubMed]
- Cazzato, R.L.; Palussière, J.; Buy, X.; Denaro, V.; Santini, D.; Tonini, G.; Grasso, R.F.; Zobel, B.B.; Poretti, D.; Pedicini, V.; et al. Percutaneous Long Bone Cementoplasty for Palliation of Malignant Lesions of the Limbs: A Systematic Review. Cardiovasc. Intervent. Radiol. 2015, 38, 1563–1572. [Google Scholar] [CrossRef]
- Kim, W.-S.; Kim, K.-H. Percutaneous Osteoplasty for Painful Bony Lesions: A Technical Survey. Korean J. Pain 2021, 34, 375–393. [Google Scholar] [CrossRef] [PubMed]
- Deschamps, F.; Farouil, G.; Hakime, A.; Barah, A.; Guiu, B.; Teriitehau, C.; Auperin, A.; de Baere, T. Cementoplasty of Metastases of the Proximal Femur: Is It a Safe Palliative Option? J. Vasc. Interv. Radiol. 2012, 23, 1311–1316. [Google Scholar] [CrossRef]
- Kitridis, D.; Saccomanno, M.F.; Maccauro, G.; Givissis, P.; Chalidis, B. Augmented versus Non-Augmented Percutaneous Cementoplasty for the Treatment of Metastatic Impending Fractures of Proximal Femur: A Systematic Review. Injury 2020, 51 (Suppl. S3), S66–S72. [Google Scholar] [CrossRef]
- Taslakian, B.; Georges Sebaaly, M.; Al-Kutoubi, A. Patient Evaluation and Preparation in Vascular and Interventional Radiology: What Every Interventional Radiologist Should Know (Part 1: Patient Assessment and Laboratory Tests). Cardiovasc. Intervent. Radiol. 2016, 39, 325–333. [Google Scholar] [CrossRef]
- Gennaro, N.; Sconfienza, L.M.; Ambrogi, F.; Boveri, S.; Lanza, E. Thermal Ablation to Relieve Pain from Metastatic Bone Disease: A Systematic Review. Skeletal Radiol. 2019, 48, 1161–1169. [Google Scholar] [CrossRef] [PubMed]
- Cazzato, R.L.; Arrigoni, F.; Boatta, E.; Bruno, F.; Chiang, J.B.; Garnon, J.; Zugaro, L.; Giordano, A.V.; Carducci, S.; Varrassi, M.; et al. Percutaneous Management of Bone Metastases: State of the Art, Interventional Strategies and Joint Position Statement of the Italian College of MSK Radiology (ICoMSKR) and the Italian College of Interventional Radiology (ICIR). Radiol. Med. 2019, 124, 34–49. [Google Scholar] [CrossRef] [PubMed]
- Pillai, K.; Akhter, J.; Chua, T.C.; Shehata, M.; Alzahrani, N.; Al-Alem, I.; Morris, D.L. Heat Sink Effect on Tumor Ablation Characteristics as Observed in Monopolar Radiofrequency, Bipolar Radiofrequency, and Microwave, Using Ex Vivo Calf Liver Model. Medicine 2015, 94, e580. [Google Scholar] [CrossRef]
- Graham, K.; Unger, E. Overcoming Tumor Hypoxia as a Barrier to Radiotherapy, Chemotherapy and Immunotherapy in Cancer Treatment. Int. J. Nanomedicine 2018, 13, 6049–6058. [Google Scholar] [CrossRef] [PubMed]
- Chu, K.F.; Dupuy, D.E. Thermal Ablation of Tumours: Biological Mechanisms and Advances in Therapy. Nat. Rev. Cancer 2014, 14, 199–208. [Google Scholar] [CrossRef] [PubMed]



| Author,Year | Reference | Study Design | Pa/LTC | Primary Tumor | Treatment Number | Follow-Up Duration | Complications | Results |
|---|---|---|---|---|---|---|---|---|
| Jennings, 2021 | [79] | PRO | Pa | Various | 66 | 6 months | 3 | Mean pain score improved from 22.61 points (95% CI: 23.45, 21.78) by 2 points at week 1 and reached clinically meaningful levels (more than a 2-point decrease) after week 8 |
| Gallusser, 2019 | [88] | RET | Pa, LTC | Various | 18 | 12 months | 1 delayed fracture | NRS score decreased significantly from 3.3 to 1.2 (p = 0.0024); LTC 63% (10/16) |
| Gardner, 2017 | [94] | RET | LTC | Renal cell carcinoma | 50 | 21.4 months | 3 grade-3 and 1 grade-4, 5 delayed fractures | LTC 82% (41/50) |
| Arrigoni, 2022 | [65] | RET | Pa, LTC | Various | 28 | 3 months | 1 grade-3 | Mean VAS values dropped from 6.9 (SD: ± 1.3) to 3.5 (SD ± 2.6) (p < 0.0001); LTC 91% (10/11) |
| Coupal, 2017 | [89] | RET | Pa | Various | 48 | 2.25 months | none | Mean pain score decreased from 7.9 (range: 5–10) to 1.2 (range: 0–7) 24 h postintervention (p < 0.001) |
| Callstrom, 2013 | [72] | PRO | Pa | Various | 69 | 44 months | 1 grade-3 | Mean pain score decreased at 1, 4, 8, and 24 weeks from 7.1/10 to 5.1/10, 4.0/10, 3.6/10, and 1.4/10, respectively (p < 0.0001 for all) |
| Autrusseau, 2022 | [95] | RET | LTC | Thyroid cancer | 18 | 68 months | 1 delayed fracture | Local tumor progression-free survivals at 1-, 2-, 3-, 4-, and 5-year was 93.3%, 84.6%, 76.9%, 75%, and 72.7%, respectively |
| McArthur, 2017 | [96] | RET | Pa, LTC | Various | 16 | 3 months | 1 grade-1 | Mean pain score improved for all patients (16/16), LTC 93.8% (15/16), |
| Hegg, 2014 | [81] | RET | Pa, LTC | Various | 12 | 5.7 months (Pa), 8.4 (LTC) | 1 grade-2 | Mean pain scores decreased from 7.0 ± 1.9 at baseline to 1.8 ± 1.2 (p = 0.00049), LTC 80% |
| Susa, 2016 | [80] | PRO | LTC | Various | 11 | 36 months | 1 grade-1, 2 grade-2 | 2 patients developed local recurrence |
| Wallace, 2016 | [86] | RET | Pa, LTC | Various | 92 (10 in soft tissues) | 6 months | 2 grade-1, 2 grade-3 | Decreased median pain scores were reported 1 day (6.0; p < 0.001, n = 62), 1 week (5.0; p < 0.001, n = 70), 1 month (5.0; p < 0.001, n = 63), and 3 months (4.5; p = 0.01, n = 28). LTC 90% (37/41) at 3 months, 86% (32/37) at 6 months, and 79% (26/33) at 12 months. |
| Tomasian, 2015 | [87] | RET | Pa, LTC | Various | 31 | 10 months | 2 grade-1 | NRS statistically significant decreased at 1 week, 1 month, and 3 months (p < 0.001 for all); LTC 96.7% (30/31) |
| McMenomy, 2013 | [97] | RET | LTC | Various | 52 | 21 months | 2 grade-3 | LTC 87% (45/52) |
| Technique | Highlight | Advantage | Disadvantage | Anesthesia | Main Indication | Main Complications |
|---|---|---|---|---|---|---|
| Embolization | Endovascular occlusion of the arteries feeding the lesion | Fine visualization of the vascular supply of the lesion, capable of treating areas otherwise challenging to reach | Less effective if angiography shows poor vascularization of the lesion | Local | Highly vascular metastases in difficult to reach areas as pelvis or spine | Skin discoloration/necrosis, neural damage |
| Electrochemotherapy | Reversible electroporation with increased chemotherapeutic drug permeability | Safe near vascular and neural structures | Exposure to chemotherapeutic drugs | General | Large lesions in delicate locations | Local necrosis, pathological fractures |
| RFA | Application of high-frequency electric current to the lesion through needle-probes | Cost-effective, predictable areas of ablation | Small size of ablation area, risk of “heat sink” effect, not very effective in thick sclerotic lesions | Regional/sedation | Small lesions <3 cm | Damage to adjacent structures, more often neural |
| Cryoablation | Tumor tissue is cooled to extremely low temperatures by cryoprobes filled by a compressed gas | Very large ablation areas with complex geometries, real-time visualization of the ice ball | Costly, risk of “cool sink” effect | General | Large lesions, near vascular or neural structures | Post-procedural pain, neuropathy, fracture, skin burn |
| Microwave | Electromagnetic waves produced by an antenna that generates heat | Allows for large areas of ablation, do not suffer too much from heat sink effect | Less predictable ablation areas | Regional/sedation | Medium/large lesions not too close to neural or vascular structures | Transient neural damage, skin burn, fracture |
| MRgFUS | A focused ultrasound beam passes through the overlying tissues and reaches the target lesion | Non-invasive, radiation-free, real-time visualization of the ablation area | Costly, effective for lesions with the proper acoustic window and distant from vital structures | General | Deeply located lesions challenging to access, must have a good acoustic window | Skin burn, fractures |
| Cementoplasty | Cement polymer injection into a bone lesion | Bone stabilization, complementary to other ablation techniques | No effect on tumor growth control | Regional/sedation | Load-bearing bone asvertebral bodies and the acetabulum | Post-procedural pain, infection, neuropathy and leakage of bone cement |
Publisher’s Note: MDPI stays neutral with regard to jurisdictional claims in published maps and institutional affiliations. |
© 2022 by the authors. Licensee MDPI, Basel, Switzerland. This article is an open access article distributed under the terms and conditions of the Creative Commons Attribution (CC BY) license (https://creativecommons.org/licenses/by/4.0/).
Share and Cite
Papalexis, N.; Parmeggiani, A.; Peta, G.; Spinnato, P.; Miceli, M.; Facchini, G. Minimally Invasive Interventional Procedures for Metastatic Bone Disease: A Comprehensive Review. Curr. Oncol. 2022, 29, 4155-4177. https://doi.org/10.3390/curroncol29060332
Papalexis N, Parmeggiani A, Peta G, Spinnato P, Miceli M, Facchini G. Minimally Invasive Interventional Procedures for Metastatic Bone Disease: A Comprehensive Review. Current Oncology. 2022; 29(6):4155-4177. https://doi.org/10.3390/curroncol29060332
Chicago/Turabian StylePapalexis, Nicolas, Anna Parmeggiani, Giuliano Peta, Paolo Spinnato, Marco Miceli, and Giancarlo Facchini. 2022. "Minimally Invasive Interventional Procedures for Metastatic Bone Disease: A Comprehensive Review" Current Oncology 29, no. 6: 4155-4177. https://doi.org/10.3390/curroncol29060332
APA StylePapalexis, N., Parmeggiani, A., Peta, G., Spinnato, P., Miceli, M., & Facchini, G. (2022). Minimally Invasive Interventional Procedures for Metastatic Bone Disease: A Comprehensive Review. Current Oncology, 29(6), 4155-4177. https://doi.org/10.3390/curroncol29060332

