Co-Occurrence of EBV-Positive Mucocutaneous Ulcer (EBV-MCU) and CLL/SLL in the Head and Neck Region
Abstract
1. Introduction
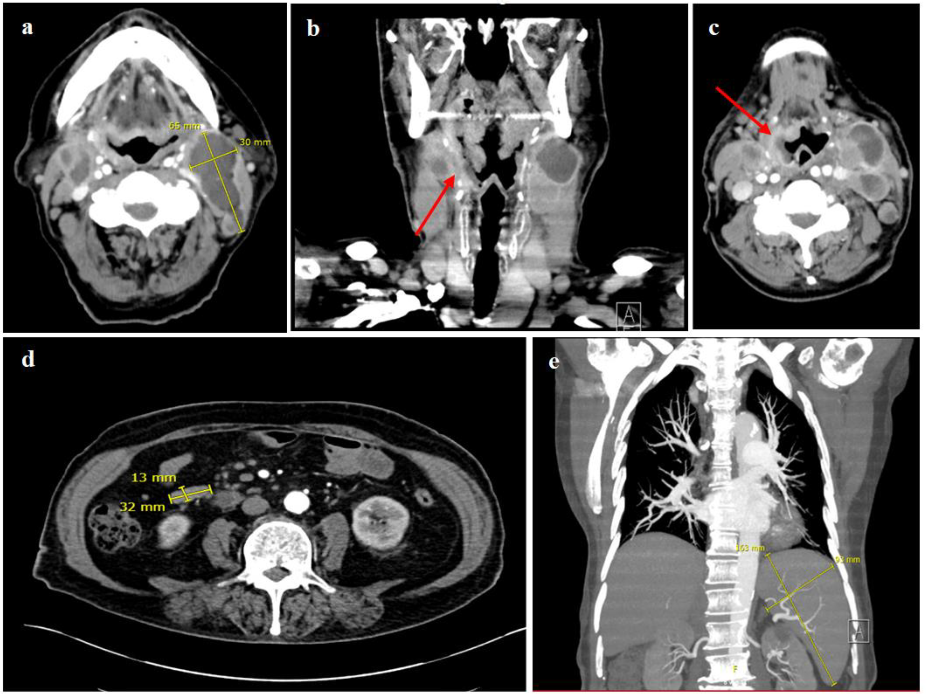
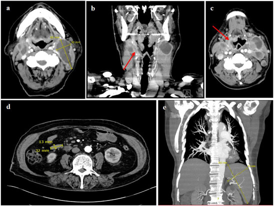
2. Case Report
3. Material and Methods
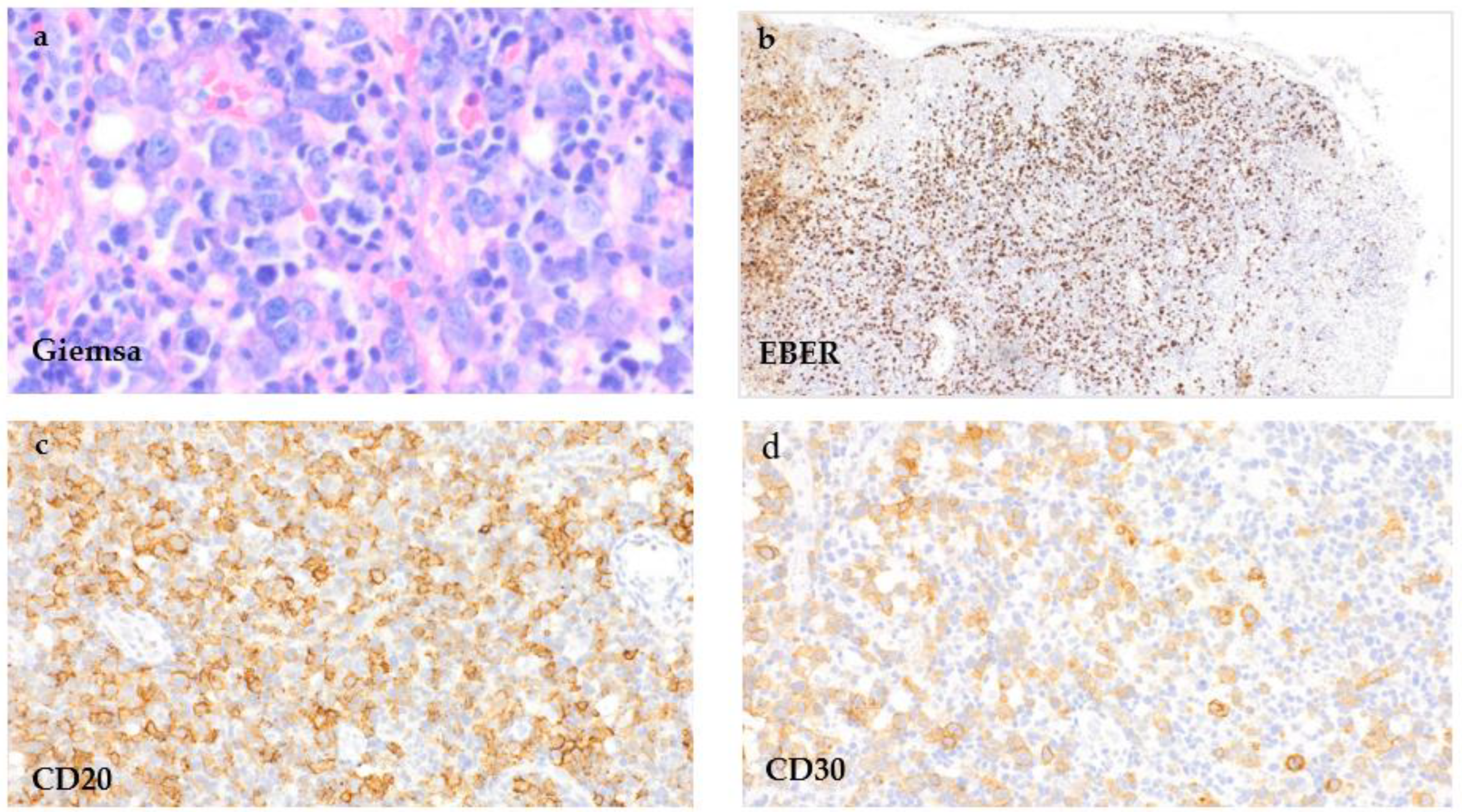
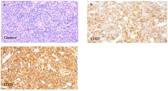
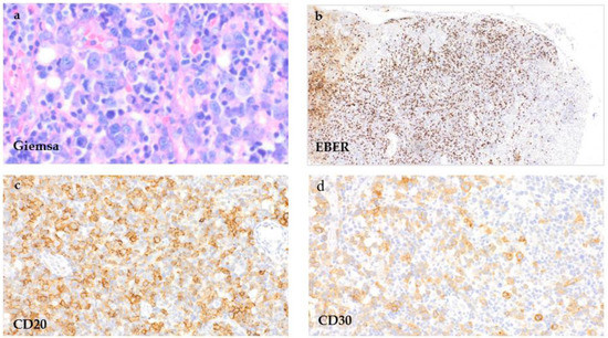
4. Results
| Author/Reference | Number of Cases | Source of Immunosuppression | Localisation | Treatment and Response |
|---|---|---|---|---|
| Alamoudi et al., 2022 [34] | 1 | primary immunodeficiency + EBV-negative follicular lymphoma | oral cavity | unknown |
| Aldridge et al., 2017 [44] | 1 | RA (MTX, prednisolone) | oral cavity | reduced IS; CR |
| Attard et al., 2012 [23] | 1 | RA (MTX) | oral cavity/tongue | reduced IS; CR |
| Au et al., 2011 [27] | 1 | primary immunodeficiency | oral cavity/gingiva | RTX; CR |
| Au et al., 2016 [4] | 1 | Crohn’s disease (AZA) | oropharynx/base of the tongue | RTX, acyclovir; CR |
| Bunn et al., 2015 [28] | 2 | HIV | oral cavity | unknown |
| Chen et al., 2017 [31] | 1 | RA (MTX) | oral cavity/gingiva | SR |
| Chen et al., 2019 [12] | 1 | RA (MTX, prednisolone) | oral cavity | reduced IS; CR |
| Daroontum et al., 2019 [13] | 1 | senescence | oral cavity/gingiva | SR |
| Dojcinov et al., 2010 [1] | 20 | senescence (15) RA (MTX) (3) SLE (CYA) (1) sarcoidosis, myasthenia gravis (AZA) (1) | oral cavity (11) oropharynx/tonsils (5) skin/lip (3) oesophagus (1) | unknown (4) SR (4), RD (3), SD (1) reduced IS; CR (3) radiotherapy; CR (3) chemotherapy (R-CHOP) ± radiotherapy; CR (2) |
| Donzel et al., 2021 [46] | 1 | RA (MTX) | skin/scalp | reduced IS, PR |
| Eleftheriadis et al., 2021 [47] | 1 | solid organ transplantation (methylprednisolone, mycophenolate) | oral cavity | RTX + haemodialysis + surgery + antibiotics, CR |
| Forster et al., 2022 [48] | 1 | multiple myeloma (stem cell transplant, lenalidomide) | oropharynx/tonsil | reduced IS, CR |
| Fujimoto et al., 2021 [49] | 1 | RA (MTX) | oral cavity | SR |
| Hart et al., 2014 [7] | 5 | solid organ transplantation | lip, oral cavity (4) oesophagus (1) | reduced IS; CR (3) reduced IS + surgery; CR (1) reduced IS + RTX; CR (1) |
| Hashizume et al., 2012 [24] | 1 | polymyositis (MTX) | skin/lip, nose, eyelid | reduced IS; CR |
| Hujoel et al., 2018 [57] | 1 | Crohn’s disease (AZA) | oral cavity/palate | topical triamcinolone; PD, reduced IS; CR |
| Ikeda et al., 2020 [8] | 32 | RA (MTX ± tacrolimus) (28) senescence (3) polycythaemia (hydroxycarbamide) (1) | oral cavity (19) oropharynx/tonsils (7) pharynx (3) nasal cavity (2) skin/angle of mouth (1) | reduced IS; CR (16), PR (7) chemotherapy (R-THPCOP/R-CHOP) ± reduced IS; CR (3) unknown (6) |
| Kanemitsu et al., 2015 [15] | 1 | SLE nephritis (mycophenolate) | oral cavity/gingiva | unknown |
| Kawamura et al., 2022 [50] | 2 | unknown (2) | oral cavity/gingiva (1) oropharynx/tonsil (1) | unknown (2) |
| Khazal et al., 2020 [37] | 1 | CLL and Merkel cell carcinoma (chemotherapy, radiotherapy, pembrolizumab) | oral cavity/gingiva | RTX; allogenic EBV-CTL infusions; CR |
| Kleinmann et al., 2014 [29] | 1 | hypogammaglobulinemia | oesophagus | RTX + immunoglobulin infusion; SD, brentuximab; PR |
| Kunmongkolwut et al., 2022 [51] | 1 | RA (MTX + leflunomide) | oral cavity/palate + gingiva | reduced IS, CR |
| Li et al., 2020 [5] | 1 | pemphigus vulgaris (mycophenolate, prednisolone) | oral cavity/gingiva | reduced IS + surgery (bone sequestrectomy); CR |
| Magalhaes et al., 2015 [32] | 1 | senescence | oral cavity/palate | SR |
| Masuoka et al., 2022 [53] | 1 | RA (MTX) | hypopharynx | unknown |
| McCormack et al., 2018 [58] | 1 | senescence | oral cavity/gingiva | unknown |
| McGinness et al., 2012 [25] | 1 | pemphigoid (AZA, prednisolone) | oral cavity/buccal mucosa | reduced IS; CR |
| Moriya et al., 2020 [16] | 1 | RA (MTX, prednisolone), DLBCL | pharynx | chemotherapy (R-CHOP); CR |
| Nakauyaca et al., 2016 [38] | 1 | RA (MTX) | pharynx | death (bleeding, heart failure) |
| Natkunam et al., 2017 [17] | 9 | immunosuppression, not further specified (5) unknown (3) CHARGE syndrome (1) | oral cavity (6) nasopharynx (1) nasal mucosa (1) skin/lip (1) | unknown (3) surgery ± reduced IS; CR (2) RTX; RD (1) reduced IS; CR (1) RTX + chemotherapy (R-CHOP) + reduced IS; CR (1) chemotherapy + HCT; CR, RD and death (1) |
| Nelson et al., 2016 [21] | 1 | myelodysplastic syndrome, HCT (fludarabine, busulfan, MTX, tacrolimus) | oral cavity/buccal mucosa | reduced IS; CR |
| Obata et al., 2021 [54] | 10 | RA (MTX ± prednisolone/tacrolimus/bucillamine) (10) | oral cavity/gingiva (10) | reduced IS, CR (10) |
| Ohata et al., 2017 [55] | 14 | senescence (5) RA (MTX) (9) | oral cavity/gingiva, tongue, buccal mucosa | reduced IS; CR (7) chemotherapy (R-CHOP/R-COEP); CR (4) unknown (3) |
| Pina-Oviedo et al., 2018 [56] | 1 | CLL (fludarabine, cyclophosphamide, RTX, bendamustine) | oropharynx/base of the tongue | unknown/death (EBV + DLBCL) |
| Prieto-Torres et al., 2019 [9] | 5 | HIV (1) RA (MTX, prednisolone) (2) senescence (2) | oral cavity (3) pharynx (1) skin/forehead (1) | reduced IS; CR (2) chemotherapy (R-CHOP); CR (1) radiotherapy; CR (1) SR (1) |
| Ravi et al., 2018 [59] | 1 | RA (MTX) | oral cavity/buccal mucosa | reduced IS, metronidazole; CR |
| Ritter et al., 2020 [30] | 1 | SLE (MTX, AZA, hydroxychloroquine, prednisone) | skin/forehead | reduced IS; PR |
| Roberts et al., 2016 [3] | 1 | unknown | oral cavity | RTX; PR/PD, subsequent radiotherapy; CR |
| Sadasivam et al., 2014 [26] | 1 | RA (MTX) | oral cavity/palate | reduced IS; CR |
| Sadiku et al., 2012 [35] | 1 | senescence | skin/neck | chemotherapy (R-CHOP); CR |
| Satou et al., 2017 [22] | 1 | DLBCL, chemotherapy + HCT | oral cavity/tongue | SR; death (EBV + PTLD) |
| Satou et al., 2019 [18] | 9 | RA (MTX ± infliximab/etanercept/tacrolimus/adalimumab) | oropharynx (7) oral cavity/gingiva, tongue (2) | reduced IS; CR (7) chemotherapy (R-CHOP, ABVD); CR (2) |
| Shiraiwa et al., 2020 [19] | 15 | RA/Sjögren’s disease (MTX) | oral cavity (5) pharynx (3) oropharynx/tonsils (3) skin (3) nasal septum (1) | reduced IS; CR (11) unknown (4) |
| Sinit et al., 2019 [60] | 1 | recurrent sinopulmonary infections (prednisolone) | nasopharynx | radiotherapy; CR; DLBCL |
| Takada et al., 2021 [61] | 15 | RA (MTX) (15) | unknown (15) | reduced IS, CR (13) unknown (2) |
| Teixeira et al., 2018 [42] | 1 | Crohn’s disease (AZA, infliximab), WM/LPL | oropharynx/tonsil | surgery; CR |
| Tsusumi et al., 2020 [40] | 1 | senescence | oropharynx | RTX; CR |
| Uygun et al., 2022 [62] | 1 | severe aplastic anaemia (stem cell transplantation, CYA) | oropharynx | methylprednisolone + sirolimus, CR |
| Vatsayan et al., 2017 [36] | 1 | T-ALL (nelarabine/Capizzi, mercaptopurine, MTX) | oropharynx/tonsil | reduced IS + RTX; CR |
| Wanderlei et al., 2019 [41] | 1 | Sjögren’s diesease (MTX) | oral cavity | SR |
| Xu et al., 2021 [43] | 1 | unknown | oral cavity/buccal mucosa | interferon alpha-1b, CR |
| Yamakawa et al., 2014 [20] | 3 | RA (MTX) | skin/eyelid (2) oral cavity/buccal mucosa (1) | reduced IS; CR (2); CR and death (myelitis, sepsis) (1) |
| In Total | 181 | iatrogenic/immunosuppressive therapy: 137 cases age-associated immunosenescence: 30 cases unknown: 7 cases primary immunodeficiency: 4 cases HIV: 3 cases | oral cavity: 102 cases oropharynx: 30 cases skin: 15 cases pharynx: 12 cases nasal mucosa: 4 cases oesophagus: 3 cases | complete remission: 123 cases partial remission: 10 cases spontaneous remission: 11 cases recurrent disease: 4 cases stable disease, no treatment: 1 case unknown: 32 cases |
5. Discussion
5.1. EBV-MCU and Haematologic Malignancies
5.2. EBV-MCU and Other LPDs, a Challenge of Differentiation
5.3. EBV-Positive Diffuse Large B-Cell Lymphoma (DLBCL)
5.4. Classic Hodgkin Lymphoma (cHL)
5.5. Plasmablastic Lymphoma (PBL)
5.6. Post-Transplant Lymphoproliferative Disorder (PTLD)
5.7. Anaplastic Large Cell Lymphoma (ALCL)
5.8. Lymphomatoid Granulomatosis (LyG)
5.9. Head and Neck EBV-MCU Management
6. Conclusions
Author Contributions
Funding
Institutional Review Board Statement
Informed Consent Statement
Data Availability Statement
Conflicts of Interest
References
- Dojcinov, S.D.; Venkataraman, G.; Raffeld, M.; Pittaluga, S.; Jaffe, E. EBV positive mucocutaneous ulcer–a study of 26 cases associated with various sources of immunosuppression. Am. J. Surg. Pathol 2010, 34, 405–417. [Google Scholar] [CrossRef] [PubMed]
- Willemze, R.; Cerroni, L.; Kempf, W.; Berti, E.; Facchetti, F.; Swerdlow, S.H.; Jaffe, E.S. The 2018 update of the WHO-EORTC classification for primary cutaneous lymphomas. Blood 2019, 133, 1703–1714. [Google Scholar] [CrossRef] [PubMed]
- Roberts, T.K.; Chen, X.; Liao, J.J. Diagnostic and therapeutic challenges of EBV-positive mucocutaneous ulcer: A case report and systematic review of the literature. Exp. Hematol. Oncol. 2016, 5, 13. [Google Scholar] [CrossRef] [PubMed]
- Au, J.K.; Said, J.W.; Sepahdari, A.R.; St John, M.A. Head and Neck Epstein-Barr Virus Mucocutaneous Ulcer: Case Report and Literature Review. Laryngoscope 2016, 126, 2500–2504. [Google Scholar] [CrossRef] [PubMed]
- Li, D.T.S.; Lo, A.W.I.; Su, Y.X. Oral Epstein-Barr virus-positive mucocutaneous ulcer: Gingival presentation of a benign lymphoproliferative lesion. Int. J. Oral Maxillofac. Surg. 2020, 49, 1351–1354. [Google Scholar] [CrossRef] [PubMed]
- Pugh, M.R.; Leopold, G.D.; Morgan, M.; Christian, A.D.; Hewett, R.; Durai, D.; Wagstaff, J.; Harris, D.; Dojcinov, S.D. Epstein-Barr Virus-Positive Mucocutaneous Ulcers Complicate Colitis Caused by Immune Checkpoint Regulator Therapy and Associate with Colon Perforation. Clin. Gastroenterol. Hepatol. 2020, 18, 1785–1795.e3. [Google Scholar] [CrossRef] [PubMed]
- Hart, M.; Thakral, B.; Yohe, S.; Balfour, H.H., Jr.; Singh, C.; Spears, M.; McKenna, R.W. EBV-positive mucocutaneous ulcer in organ transplant recipients: A localized indolent posttransplant lymphoproliferative disorder. Am. J. Surg. Pathol. 2014, 38, 1522–1529. [Google Scholar] [CrossRef]
- Ikeda, T.; Gion, Y.; Sakamoto, M.; Tachibana, T.; Nishikori, A.; Nishimura, M.F.; Yoshino, T.; Sato, Y. Clinicopathological analysis of 34 Japanese patients with EBV-positive mucocutaneous ulcer. Mod. Pathol. 2020, 33, 2437–2448. [Google Scholar] [CrossRef]
- Prieto-Torres, L.; Eraña, I.; Gil-Redondo, R.; de la Riva, I.G.; Manso, R.; Pajares, R.; Córdoba, R.; Machan, S.; Ara, M.; Requena, L.; et al. The Spectrum of EBV-Positive Mucocutaneous Ulcer: A Study of 9 Cases. Am. J. Surg. Pathol. 2019, 43, 201–210. [Google Scholar] [CrossRef]
- Stuhlmann-Laeisz, C.; Oschlies, I.; Klapper, W. Detection of EBV in reactive and neoplastic lymphoproliferations in adults-when and how? J. Hematop. 2014, 7, 165–170. [Google Scholar] [CrossRef][Green Version]
- Küppers, R. B cells under influence: Transformation of B cells by Epstein-Barr virus. Nat. Rev. Immunol. 2003, 3, 801–812. [Google Scholar] [CrossRef] [PubMed]
- Chen, B.J.; Chiang, W.F.; Chen, T.S.; Kao, H.J.; Chuang, S.S. EBV positive mucocutaneous ulcer with plasmacytic/plasmablastic differentiation and MYC rearrangement: A diagnostic challenge and a mimic of plasmablastic lymphoma. Pathology 2019, 51, 648–650. [Google Scholar] [CrossRef] [PubMed]
- Daroontum, T.; Kohno, K.; Inaguma, Y.; Okamoto, A.; Okamoto, M.; Kimura, Y.; Nagahama, M.; Sakakibara, A.; Satou, A.; Nakamura, S. Epstein-Barr virus (EBV)-positive diffuse large B-cell lymphoma arising in patient with a history of EBV-positive mucocutaneous ulcer and EBV-positive nodal polymorphous B-lymphoproliferative disorder. Pathol. Int. 2019, 69, 37–41. [Google Scholar] [CrossRef] [PubMed]
- Dojcinov, S.D.; Fend, F.; Quintanilla-Martinez, L. EBV-Positive Lymphoproliferations of B- T- and NK-Cell Derivation in Non-Immunocompromised Hosts. Pathogens 2018, 7, 28. [Google Scholar] [CrossRef] [PubMed]
- Kanemitsu, M.; John, D.; Lim, A.; Jaffe, E.S.; Aoki, J. Clonal Epstein-Barr virus-positive mucocutaneous ulcer mimicking a mature B-cell lymphoma in a patient with mycophenolate-induced immune suppression. Leuk. Lymphoma 2015, 56, 1908–1910. [Google Scholar] [CrossRef]
- Moriya, K.; Kikuti, Y.Y.; Carreras, J.; Kondo, Y.; Shiraiwa, S.; Nakamura, N. Methotrexate-associated lymphoproliferative disorder demonstrating composite lymphoma of EBV-negative diffuse large B-cell lymphoma and EBV-positive mucocutaneous ulcer. J. Clin. Exp. Hematop. 2020, 60, 11–16. [Google Scholar] [CrossRef]
- Natkunam, Y.; Goodlad, J.R.; Chadburn, A.; de Jong, D.; Gratzinger, D.; Chan, J.K.; Said, J.; Jaffe, E.S. EBV-Positive B-Cell Proliferations of Varied Malignant Potential: 2015 SH/EAHP Workshop Report-Part 1. Am. J. Clin. Pathol. 2017, 147, 129–152. [Google Scholar] [CrossRef]
- Satou, A.; Banno, S.; Hanamura, I.; Takahashi, E.; Takahara, T.; Nobata, H.; Katsuno, T.; Takami, A.; Ito, Y.; Ueda, R.; et al. EBV-positive mucocutaneous ulcer arising in rheumatoid arthritis patients treated with methotrexate: Single center series of nine cases. Pathol. Int. 2019, 69, 21–28. [Google Scholar] [CrossRef]
- Shiraiwa, S.; Kikuti, Y.Y.; Carreras, J.; Hara, R.; Aoyama, Y.; Ogiya, D.; Suzuki, R.; Toyosaki, M.; Ohmachi, K.; Ogawa, Y.; et al. Clinicopathological evaluation of methotrexate-associated lymphoproliferative disorders with special focus on Epstein-Barr virus-positive mucocutaneous lesions. J. Clin. Exp. Hematop. 2020, 60, 159–168. [Google Scholar] [CrossRef]
- Yamakawa, N.; Fujimoto, M.; Kawabata, D.; Terao, C.; Nishikori, M.; Nakashima, R.; Imura, Y.; Yukawa, N.; Yoshifuji, H.; Ohmura, K.; et al. A clinical, pathological, and genetic characterization of methotrexate-associated lymphoproliferative disorders. J. Rheumatol. 2013, 41, 293–299. [Google Scholar] [CrossRef]
- Nelson, A.A.; Harrington, A.M.; Kroft, S.; Dahar, M.A.; Hamadani, M.; Dhakal, B. Presentation and management of post-allogeneic transplantation EBV-positive mucocutaneous ulcer. Bone Marrow Transplant. 2016, 51, 300–302. [Google Scholar] [CrossRef] [PubMed][Green Version]
- Satou, A.; Kohno, A.; Fukuyama, R.; Elsayed, A.A.; Nakamura, S. Epstein-Barr virus-positive mucocutaneous ulcer arising in a post-hematopoietic cell transplant patient followed by polymorphic posttransplant lymphoproliferative disorder and cytomegalovirus colitis. Hum. Pathol. 2017, 59, 147–151. [Google Scholar] [CrossRef] [PubMed]
- Attard, A.; Praveen, P.; Dunn, P.; James, G. Epstein-Barr virus-positive mucocutaneous ulcer of the oral cavity: The importance of having a detailed clinical history to reach a correct diagnosis. Oral Surg. Oral Med. Oral Pathol. Oral Radiol. 2012, 114, e37–e39. [Google Scholar] [CrossRef] [PubMed]
- Hashizume, H.; Uchiyama, I.; Kawamura, T.; Suda, T.; Takigawa, M.; Tokura, Y. Epstein-Barr virus-positive mucocutaneous ulcers as a manifestation of methotrexate-associated B-cell lymphoproliferative disorders. Acta Derm. Venereol. 2012, 92, 276–277. [Google Scholar] [CrossRef] [PubMed]
- McGinness, J.; Spicknall, K.; Mutasim, D. Azathioprine-induced EBV-positive mucocutaneous ulcer. J. Cutan. Pathol. 2012, 39, 377–381. [Google Scholar] [CrossRef]
- Sadasivam, N.; Johnson, R.J.; Owen, R.G. Resolution of methotrexate-induced Epstein-Barr virus-associated mucocutaneous ulcer. Br. J. Haematol. 2014, 165, 584. [Google Scholar] [CrossRef]
- Au, W.Y.; Loong, F.; Wan, T.S.; Tong, A.C. Multi-focal EBV-mucocutaneous ulcer heralding late-onset T-cell immunodeficiency in a woman with lupus erythematosus. Int. J. Hematol. 2011, 94, 501–502. [Google Scholar] [CrossRef]
- Bunn, B.; van Heerden, W. EBV-positive mucocutaneous ulcer of the oral cavity associated with HIV/AIDS. Oral Surg. Oral Med. Oral Pathol. Oral Radiol. 2015, 120, 725–732. [Google Scholar] [CrossRef]
- Kleinman, S.; Jhaveri, D.; Caimi, P.; Cameron, R.; Lemonovich, T.; Meyerson, H.; Hostoffer, R.; Tcheurekdjian, H. A rare presentation of EBV⁺ mucocutaneous ulcer that led to a diagnosis of hypogammaglobulinemia. J. Allergy Clin. Immunol. Pract. 2014, 2, 810–812. [Google Scholar] [CrossRef]
- Ritter, C.G.; de David Cruz, C.; Zamboni, S.; Busato, V.B.; da Silveira, R.G.; Provenzi, V.O.; Bredemeier, M. EBV-positive mucocutaneous ulcer in a patient with systemic lupus erythematosus. Rheumatology 2020, 59, 916. [Google Scholar] [CrossRef]
- Chen, B.J.; Fang, C.L.; Chuang, S.S. Epstein-Barr virus-positive mucocutaneous ulcer. Kaohsiung J. Med. Sci. 2017, 33, 50–51. [Google Scholar] [CrossRef] [PubMed]
- Magalhaes, M.; Ghorab, Z.; Morneault, J.; Akinfolarin, J.; Bradley, G. Age-related Epstein-Barr virus-positive mucocutaneous ulcer: A case report. Clin. Case Rep. 2015, 3, 531–534. [Google Scholar] [CrossRef] [PubMed]
- Wanderlei, K.C.; Quintella, D.C.; Cuzzi, T.; Ramos, D.D.; Morais, J.C.; Romañach, M.; Milito, C.B. EBV-positive mucocutaneous ulcers: A presentation of two cases and a brief literature review. Surg. Exp. Pathol. 2019, 2, 13. [Google Scholar] [CrossRef]
- Alamoudi, W.A.; Azar, A.; Barta, S.K.; Alawi, F.; Tanaka, T.I.; Stoopler, E.T.; Sollecito, T.P. EBV-positive B-cell ulcerative proliferation in the oral cavity associated with EBV-negative follicular lymphoma in a patient with common variable immunodeficiency: A case report and review of the literature. Oral Surg. Oral Med. Oral Pathol. Oral Radiol. 2022, 133, e10–e19. [Google Scholar] [CrossRef] [PubMed]
- Sadiku, S.; Kurshumliu, F.; Krasniqi, X.; Brovina, A.; Kryeziu, E.; Rrudhani, I.; Meqa, K.; Gashi-Luci, L.; Merz, H. Age-related Epstein-Barr virus-positive cutaneous ulcer arising after a self-limited subcutaneous abscess: A case report. J. Med. Case Rep. 2012, 6, 288. [Google Scholar] [CrossRef] [PubMed][Green Version]
- van Dongen, J.J.M.; Langerak, A.W.; Brüggemann, M.; Evans, P.A.S.; Hummel, M.; Lavender, F.L.; Delabesse, E.; Davi, F.; Schuuring, E.; García-Sanz, R.; et al. Design and standardization of PCR primers and protocols for detection of clonal immunoglobulin and T-cell receptor gene recombinations in suspect lymphoproliferations: Report of the BIOMED-2 Concerted Action BMH4-CT98-3936. Leukemia 2003, 17, 2257–2317. [Google Scholar] [CrossRef]
- Khazal, S.; Ragoonanan, D.; Hosing, C.; Williams, L.; Medeiros, L.J.; Mahadeo, K.M.; Thompson, P.A. Epstein—Barr virus specific cytotoxic T lymphocytes for the treatment of severe epstein-barr virus mucocutaneous ulcer. Br. J. Haematol. 2020, 189, e33–e36. [Google Scholar] [CrossRef]
- Nakauyaca, A.; Kalro, A.; Donaldson, E.; Patel, H. Fatal outcome of an Epstein-Barr virus positive mucocutaneous ulcer secondary to methotrexate. Intern. Med. J. 2016, 46, 1226–1228. [Google Scholar] [CrossRef]
- Liang, J.H.; Lu, T.X.; Tian, T.; Wang, L.; Fan, L.; Xu, J.; Zhang, R.; Gong, Q.X.; Zhang, Z.H.; Li, J.Y.; et al. Epstein-Barr virus (EBV) DNA in whole blood as a superior prognostic and monitoring factor than EBV-encoded small RNA in situ hybridization in diffuse large B-cell lymphoma. Clin. Microbiol. Infect. 2015, 21, 596–602. [Google Scholar] [CrossRef]
- Tsutsumi, M.; Yoshimura, T.; Tatsumi, N.; Nakaya, Y.; Fuseya, H.; Horiuchi, M.; Yoshida, M.; Hayashi, Y.; Nakao, T.; Inoue, T.; et al. Aggressive Tongue Root Epstein-Barr Virus-Positive Mucocutaneous Ulcer Treated With Rituximab Alone. Clin. Lymphoma Myeloma Leuk. 2020, 20, e291–e294. [Google Scholar] [CrossRef]
- Vatsayan, A.; Gupta, A.; Ahuja, S.; Egler, R.; Beck, R.C.; Matloub, Y. Epstein-Barr Virus-associated Mucocutaneous Ulcer in a Patient With T-Cell Acute Lymphoblastic Leukemia: Importance of Accurate Diagnosis and Conservative Management. J. Pediatr. Hematol. Oncol. 2017, 39, e338–e341. [Google Scholar] [CrossRef] [PubMed]
- Teixeira Mendes, L.S.; McCaul, J.; Wotherspoon, A.; Attygalle, A.D. Epstein-Barr virus-positive mucocutaneous ulcer with a background of Crohn’s disease and Waldenström macroglobulinaemia: A case report highlighting diagnostic pitfalls. Histopathology 2018, 72, 874–877. [Google Scholar] [CrossRef] [PubMed]
- Xu, K.; Zhao, S.; Wang, T.; Tang, X.; Hua, S.; Chen, S.; Wang, L. Successful therapy with interferon alpha-1b for a relapsing Epstein-Barr virus-positive mucocutaneous ulcer. J. Dermatol. 2021, 48, e3–e4. [Google Scholar] [CrossRef] [PubMed]
- Aldridge, T.; Paraneetharan Brennan, P.A.; Ilankovan, V. Epstein-Barr-virus-related mucocutaneous ulceration that mimics oral squamous cell carcinoma: The importance of recognising this new condition. Br. J. Oral Maxillofac. Surg. 2017, 55, 418–419. [Google Scholar] [CrossRef]
- Cho, Y.U.; Chi, H.S.; Jang, S.; Park, S.H.; Park, C.J. Pattern analysis of Epstein-Barr virus viremia and its significance in the evaluation of organ transplant patients suspected of having posttransplant lymphoproliferative disorders. Am. J. Clin. Pathol. 2014, 141, 268–274. [Google Scholar] [CrossRef]
- Donzel, M.; Neyrand, S.; Skowron, F.; Balme, B.; Traverse-Glehen, A. An EBV-positive mucocutaneous ulcer in an unusual location with a surprising evolution. Eur. J. Dermatol. 2021, 31, 121–125. [Google Scholar] [CrossRef]
- Eleftheriadis, T.; Rountas, C.; Golfinopoulos, S.; Liakopoulos, V.; Stefanidis, I. A Kidney Transplant Recipient With a Perforated Cheek: Oral Epstein-Barr Virus-Positive Mucocutaneous Ulcer Complicated With an Opportunistic Bacterial Infection. Exp. Clin. Transplant. 2021, 19, 868–870. [Google Scholar] [CrossRef]
- Forster, M.; Fedoriw, Y.; Tuchman, S.; Grover, N. Epstein-Barr virus mucocutaneous ulcer followed by Hodgkin lymphoma in multiple myeloma patient. Clin. Case Rep. 2022, 10, e05528. [Google Scholar] [CrossRef]
- Fujimoto, M.; Kaku, Y.; Hirata, M.; Usui, S.; Yamada, Y.; Haga, H. EBV-positive Mucocutaneous Ulcer With Small Lymphocytic Infiltration Mimicking Nonspecific Ulceration. Am. J. Surg. Pathol. 2021, 45, 694–700. [Google Scholar] [CrossRef]
- Kawamura, H.; Koyasu, S.; Sugimoto, A.; Nakamoto, Y. Two Cases of Epstein-Barr Virus-Positive Mucocutaneous Ulcer Mimicking Head and Neck Cancers in 18F-FDG PET/CT. Clin. Nucl. Med. 2022, 47, e105–e107. [Google Scholar] [CrossRef]
- Kunmongkolwut, S.; Amornkarnjanawat, C.; Phattarataratip, E. Multifocal Oral Epstein-Barr Virus-Positive Mucocutaneous Ulcers Associated with Dual Methotrexate and Leflunomide Therapy: A Case Report. Eur. J. Dent. 2022. Online ahead of print. [Google Scholar] [CrossRef] [PubMed]
- Kuramoto, N.; Saito, S.; Fujii, T.; Kaneko, Y.; Saito, R.; Tanaka, M.; Takada, H.; Nakano, K.; Saito, K.; Sugimoto, N.; et al. Characteristics of rheumatoid arthritis with immunodeficiency-associated lymphoproliferative disorders to regress spontaneously by the withdrawal of methotrexate and their clinical course: A retrospective, multicenter, case-control study. Mod. Rheumatol. 2021, 1–16, Online ahead of print. [Google Scholar] [CrossRef] [PubMed]
- Masuoka, S.; Hiyama, T.; Kuno, H.; Morishita, Y.; Sakashita, S.; Kobayashi, T. A case of Epstein-Barr virus-positive mucocutaneous ulcer of the hypopharynx: A mimicker of hypopharyngeal squamous cell carcinoma. Int. Cancer Conf. J. 2021, 11, 71–74. [Google Scholar] [CrossRef] [PubMed]
- Obata, K.; Okui, T.; Ono, S.; Umemori, K.; Ryumon, S.; Ono, K.; Yao, M.; Yoshioka, N.; Ibaragi, S.; Sasaki, A. Comparative Study on Epstein-Barr Virus-Positive Mucocutaneous Ulcer and Methotrexate-Associated Lymphoproliferative Disorders Developed in the Oral Mucosa: A Case Series of 10 Patients and Literature Review. Diagnostics 2021, 11, 1375. [Google Scholar] [CrossRef] [PubMed]
- Ohata, Y.; Tatsuzawa, A.; Ohyama, Y.; Ichikawa, A.; Mochizuki, Y.; Ishibashi, S.; Itakura, Y.; Sakurai, U.; Sakamoto, K.; Ikeda, T.; et al. A distinctive subgroup of oral EBV+ B-cell neoplasm with polymorphous features is potentially identical to EBV+ mucocutaneous ulcer. Hum. Pathol. 2017, 69, 129–139. [Google Scholar] [CrossRef] [PubMed]
- Pina-Oviedo, S.; Miranda, R.N.; Medeiros, L.J. Cancer Therapy-associated Lymphoproliferative Disorders: An Under-recognized Type of Immunodeficiency-associated Lymphoproliferative Disorder. Am. J. Surg. Pathol. 2018, 42, 116–129. [Google Scholar] [CrossRef]
- Hujoel, I.A.; Rubio-Tapia, A.; Dao, L.N.; Porrata, L.F.; Kane, S.V. Epstein-Barr Virus-Positive Mucocutaneous Ulcer in an Immunosuppressed Patient. ACG Case Rep. J. 2018, 5, e32. [Google Scholar] [CrossRef]
- McCormack, C.; Huang, Q. EBV+ mucocutaneous ulcer: A new entity of WHO 2017. Blood 2018, 131, 1993. [Google Scholar] [CrossRef]
- Ravi, P.Y.; Sigamani, E.; Jeelani, Y.; Manipadam, M.T. Methotrexate-associated Epstein-Barr virus mucocutaneous ulcer: A case report and review of literature. Indian J. Pathol. Microbiol. 2018, 61, 255–257. [Google Scholar] [CrossRef]
- Sinit, R.B.; Horan, K.L.; Dorer, R.K.; Aboulafia, D.M. Epstein-Barr Virus-Positive Mucocutaneous Ulcer: Case Report and Review of the First 100 Published Cases. Clin. Lymphoma Myeloma Leuk. 2019, 19, e81–e92. [Google Scholar] [CrossRef]
- Takada, H.; Kaneko, Y.; Nakano, K.; Tanaka, M.; Fujii, T.; Saito, K.; Sugimoto, N.; Sasaki, S.; Saito, S.; Saito, R.; et al. Clinicopathological characteristics of lymphoproliferative disorders in 232 patients with rheumatoid arthritis in Japan: A retrospective, multicenter, descriptive study. Mod. Rheumatol. 2021, 32, 32–40. [Google Scholar] [CrossRef] [PubMed]
- Uygun, V.; Özsan, N.; Daloğlu, H.; Öztürkmen, S.; Yalçın, K.; Karasu, G.; Yeşilipek, A. Epstein-Barr virus-related lymphoproliferative disorders in T-cell repleted haploidentical transplantation with post-transplant cyclophosphamide. Int. J. Hematol. 2022, 115, 600–604. [Google Scholar] [CrossRef] [PubMed]
- Shustov, A.; Soma, L. Anaplastic Large Cell Lymphoma: Contemporary Concepts and Optimal Management. Cancer Treat. Res. 2019, 176, 127–144. [Google Scholar] [CrossRef] [PubMed]





Publisher’s Note: MDPI stays neutral with regard to jurisdictional claims in published maps and institutional affiliations. |
© 2022 by the authors. Licensee MDPI, Basel, Switzerland. This article is an open access article distributed under the terms and conditions of the Creative Commons Attribution (CC BY) license (https://creativecommons.org/licenses/by/4.0/).
Share and Cite
Bott, P.; Oschlies, I.; Radeloff, A.; Loewenthal, M. Co-Occurrence of EBV-Positive Mucocutaneous Ulcer (EBV-MCU) and CLL/SLL in the Head and Neck Region. Curr. Oncol. 2022, 29, 2749-2767. https://doi.org/10.3390/curroncol29040224
Bott P, Oschlies I, Radeloff A, Loewenthal M. Co-Occurrence of EBV-Positive Mucocutaneous Ulcer (EBV-MCU) and CLL/SLL in the Head and Neck Region. Current Oncology. 2022; 29(4):2749-2767. https://doi.org/10.3390/curroncol29040224
Chicago/Turabian StyleBott, Patricia, Ilske Oschlies, Andreas Radeloff, and Maureen Loewenthal. 2022. "Co-Occurrence of EBV-Positive Mucocutaneous Ulcer (EBV-MCU) and CLL/SLL in the Head and Neck Region" Current Oncology 29, no. 4: 2749-2767. https://doi.org/10.3390/curroncol29040224
APA StyleBott, P., Oschlies, I., Radeloff, A., & Loewenthal, M. (2022). Co-Occurrence of EBV-Positive Mucocutaneous Ulcer (EBV-MCU) and CLL/SLL in the Head and Neck Region. Current Oncology, 29(4), 2749-2767. https://doi.org/10.3390/curroncol29040224

