Next Article in Journal
Qualitätssicherung in der Behandlung von Patienten Mit Akutem Koronarem Syndrom und Herzinfarkt
Previous Article in Journal
Hypereosinophilia and Brightness, not just a Failing Heart
 
 
Cardiovascular Medicine is published by MDPI from Volume 28 Issue 1 (2025). Previous articles were published by another publisher in Open Access under a CC-BY (or CC-BY-NC-ND) licence, and they are hosted by MDPI on mdpi.com as a courtesy and upon agreement with Editores Medicorum Helveticorum (EMH).
Font Type:
Arial Georgia Verdana
Font Size:
Aa Aa Aa
Line Spacing:
Column Width:
Background:
Interesting Images

Migration of Fractured Sternal Wires After CABG in a Smoker

by
Pia K. Schuler
1,
Christian M. Matter
1,
Andreas Künzli
2 and
Thomas F. Lüscher
1,*
1
Cardiovascular Research, Institute of Physiology, Zurich University and Cardiology, CardioVascular Center, UniversityHospital Zurich, CH-8091 Zurich, Switzerland
2
Cardiac Surgery, UniversityHospital Zurich, Zürich, Switzerland
*
Author to whom correspondence should be addressed.
Cardiovasc. Med. 2004, 7(3), 140; https://doi.org/10.4414/cvm.2004.01019
Submission received: 31 December 2003 / Revised: 31 January 2004 / Accepted: 29 February 2004 / Published: 31 March 2004

Case Report

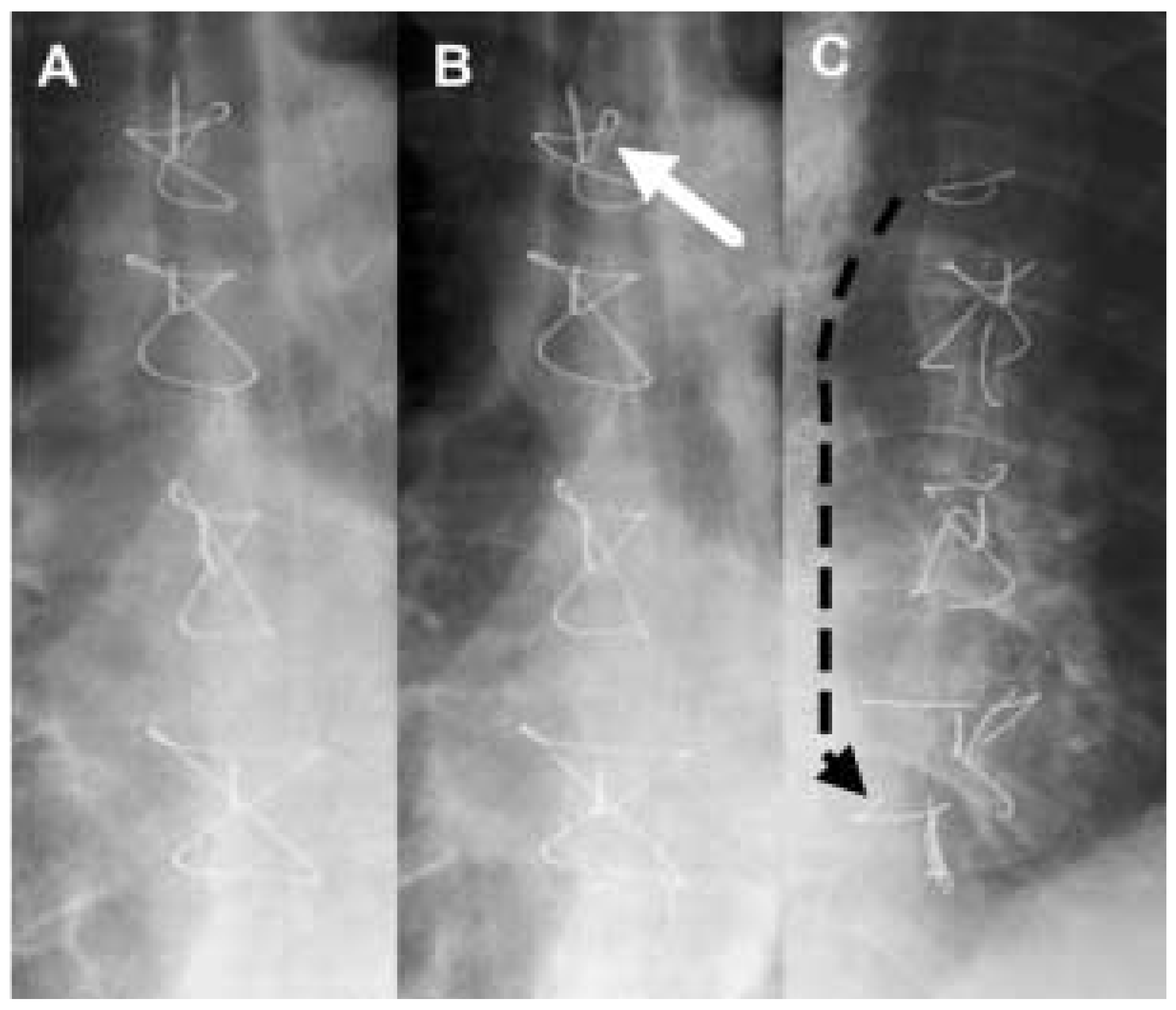
A 74-year-old white male smoker with chronic obstructive pulmonary disease and marked coughing experienced a transmural, anterior myocardial infarction two years prior to the current visit. Because of postinfarction angina, he underwent elective coronary artery bypass grafting including the use of the left internal mammary artery at our institution (Figure 1a). His postoperative course was complicated by persistent smoking and coughing. Three months after operation, he presented to our outpatient clinic with cough-induced pain at the proximal end of the sternum. The thoracic X-ray showed fracture of the proximal sternal wire (Figure 1b). One and a half year later, the patient presented again with pain on coughing and moving, now expanding all over his sternum. He experienced no pain with normal breathing. His physical examination revealed a median thoracic scar without signs of inflammation nor palpable wires, but abnormal sternal mobility with cracking. The thoracic X-ray showed fracture of all sternal wires (Figure 1c). In addition, fractured parts of the proximal wire have migrated at the dorsal side of the sternum from its proximal to its distal end. Aconservative management with regular controls was chosen given the minor complaints of the patient. The decision against reoperation based on the increased risk of injuring the bypasses (in particular the mammary graft to the left anterior descending coronary artery), the likelihood of postoperative infection as well as recurrence of postoperative pseudoarthrosis given the patients ongoing smoking and coughing.
Figure 1. Series of conventional X-rays of sternum: (A). Shortly after coronary artery bypass operation; note the intact sternal wires. (B). Three months post surgery; breaking of the proximal sternal wire (white arrow) caused by coughing. (C). 112 years later; complete breaking of all sternal wires and distal migration of wire particles (black arrow) causing pain on coughing and movements of the patient.
Figure 1. Series of conventional X-rays of sternum: (A). Shortly after coronary artery bypass operation; note the intact sternal wires. (B). Three months post surgery; breaking of the proximal sternal wire (white arrow) caused by coughing. (C). 112 years later; complete breaking of all sternal wires and distal migration of wire particles (black arrow) causing pain on coughing and movements of the patient.
Cardiovascmed 07 00140 g001

Share and Cite

MDPI and ACS Style

Schuler, P.K.; Matter, C.M.; Künzli, A.; Lüscher, T.F. Migration of Fractured Sternal Wires After CABG in a Smoker. Cardiovasc. Med. 2004, 7, 140. https://doi.org/10.4414/cvm.2004.01019

AMA Style

Schuler PK, Matter CM, Künzli A, Lüscher TF. Migration of Fractured Sternal Wires After CABG in a Smoker. Cardiovascular Medicine. 2004; 7(3):140. https://doi.org/10.4414/cvm.2004.01019

Chicago/Turabian Style

Schuler, Pia K., Christian M. Matter, Andreas Künzli, and Thomas F. Lüscher. 2004. "Migration of Fractured Sternal Wires After CABG in a Smoker" Cardiovascular Medicine 7, no. 3: 140. https://doi.org/10.4414/cvm.2004.01019

APA Style

Schuler, P. K., Matter, C. M., Künzli, A., & Lüscher, T. F. (2004). Migration of Fractured Sternal Wires After CABG in a Smoker. Cardiovascular Medicine, 7(3), 140. https://doi.org/10.4414/cvm.2004.01019

Article Metrics

Back to TopTop