Next Article in Journal
COPD Exacerbation and Prevention
Previous Article in Journal
Right Ventricular Function Before LVAD Implantation
 
 
Cardiovascular Medicine is published by MDPI from Volume 28 Issue 1 (2025). Previous articles were published by another publisher in Open Access under a CC-BY (or CC-BY-NC-ND) licence, and they are hosted by MDPI on mdpi.com as a courtesy and upon agreement with Editores Medicorum Helveticorum (EMH).
Font Type:
Arial Georgia Verdana
Font Size:
Aa Aa Aa
Line Spacing:
Column Width:
Background:
Review

Extracorporeal Membrane Oxygenation in Neonates and Children

by
Martin Schmiady
1,
Carsten Döll
2,
Anna Cavigelli-Brunner
3,
Alexander Konetzka
1,
Sebastian Bründler
2,
Yvonne Kröger
2,
Hitendu Dave
1,
Michael Hübler
1 and
Martin Schweiger
1,*
1
University Children’s Hospital Zurich, Division of Congenital Cardiovascular Surgery, Steinwiesenstrasse 75, CH-8032 Zurich, Switzerland
2
University Children’s Hospital Zurich, Department of Paediatric Intensive Care and Neonatology, Zurich, Switzerland
3
University Children’s Hospital Zurich, Division of Paediatric Cardiology, Zurich, Switzerland
*
Author to whom correspondence should be addressed.
Cardiovasc. Med. 2017, 20(3), 57; https://doi.org/10.4414/cvm.2017.00462
Submission received: 15 December 2016 / Revised: 15 January 2017 / Accepted: 15 February 2017 / Published: 15 March 2017

Abstract

Extracorporeal membrane oxygenation (ECMO) is a general term that describes the short- or long-term support of the heart and/or lungs in neonates, children and adults. It offers a treatment option for severe cardiac and/or respiratory failure from neonate to adult. Used as venoarterial extracorporeal membrane oxygenation (VA-ECMO), it remains the most commonly used modality for short- to mid-term mechanical support of the failing circulation in children. The aim of this article is to review the clinical indications, different circuits, technical options, patient management, and potential risks and benefits of this therapy for children. As ECMO therapy is an overwhelming event for the whole family we also highlight the role of psychosocial counselling and support for the parents.

Introduction

Extracorporeal membrane oxygenation (ECMO) is a modified form of cardiopulmonary bypass (CPB) used to provide adequate organ oxygenation in patients with cardiac and/or respiratory failure. The scope of this article is to give general practitioners and specialists not involved in ECMO management a brief overview of indications, surgical implantation and patient/parental management for children treated with ECMO

Indications and types of ECMO

ECMO is a partial or complete support of ventilation and oxygenation, as well as uni- or biventricular support of myocardial function. It operates by removing blood from the patient’s venous circulation, pumping it through an oxygenator to remove carbon dioxide and oxygenate haemoglobin, and subsequently returning it to either the arterial (VA-ECMO) or venous (VV-ECMO) circulation. In VA-ECMO the artificial lung is in parallel with the native lungs. This allows sufficient oxygenation, as well as cardiac output. The ability to provide support for both lung and heart function is the major di erence of VA-ECMO from VV-ECMO. In VV-ECMO the artificial lung is situated in series with the native lungs; cardiac function must be adequate to maintain pulmonary and systemic perfusion.
Pulmonary or/and myocardial failure are the main indications for the clinical application of ECMO (Table 1). Despite growing experience, some clinical features remain contraindications for ECMO therapy (Table 2).
Although patient retrieval on ECMO is feasible, patients with a high probability of requiring ECMO therapy are ideally transferredin good time to ECMO centres with significant expertise in paediatrics [2,3]. Patient are preferably referred before ongoing deterioration of the underlying medical condition occurs, patient transport is precluded by their condition or secondary additional organ damage is observed [4].

The ECMO circuit

We use a Thoratec Centrimag® or PediVas® (Levitronix, Zurich, Switzerland) console with a back-up unit, a heater unit and a Sechrist Air-Oxygen-Mixer (Sechrist Industries, Anaheim, USA) (Figure 1). For neonates and infants weighing up to 15 kg the whole circuit contains approximately 250 ml priming solution with flow ranges up to 1.7 l/min; for children above 15 kg the volume of priming solution is about 750 ml and flow rates up to 7.0 l/min can be achieved.

Implantation techniques and cannulation sites

Weight limits for di erent cannulation sites and various cannulation algorithms have been published [5,6]. Cannulation for neonates, infants and small children focuses on either neck vessels or large central vessels via median sternotomy. Cannulation of the femoral vessels in small children is not possible because the small size of the vessels does not allow implantation of cannulae large enough to achieve full ECMO flow.
Table 1. Extracorporeal membrane oxygenation indications.
Table 1. Extracorporeal membrane oxygenation indications.
Heart failureFailure to wean from CPB
Myocarditis
Cardiomyopathy (bridge to recovery, transplant or long term MCS)
Refractory sepsis with profound cardiac depression*
Refractory cardiac arrhythmias
Coronary ischaemia (if surgically amendable/treatable)
Pulmonary failureBridge to transplantation
Neonatal respiratory distress syndrome
Adult respiratory distress syndrome
Persistent pulmonary hypertension of the newborn /
persistent fetal circulation
Meconium aspiration syndrome
Pneumonia (viral/bacterial/aspiration)
Air leak syndrome
Cardiac arrest from any causeBridge to decision, underlying treatable disease
TransplantationPre-transplantation as bridge to Tx
Primary graft dysfunction after heart or lung Tx
Elective periprocedural supportDuring lung transplantation or tracheal surgery
Congenital diaphragmatic herniaIn special circumstances; centre specific
(CPB = cardiopulmonary bypass; MCS = mechanical circulatory support; Tx = transplantation). * In patients with impaired cardiac output who cannot sufficiently increase cardiac output in sepsis; the team has to be aware that further invasive treatment (surgery, e.g., thoracotomy or laparotomy) on ECMO therapy is associated with higher complication rates (bleeding) than normal [8]. † In children and adolescents. ‡ Depending on clinical situation; not suitable if outcome is unpromising.
Table 2. Contraindications for extracorporeal membrane oxygenation therapy.
Table 2. Contraindications for extracorporeal membrane oxygenation therapy.
End-stage disease
Untreatable underlying disease and congenital malformations
Significant neurological impairment, genetic abnormalities (e.g., trisomy 13 and 18)
Severe, irreversible organ dysfunction
Extreme prematurity (gestational age <35 weeks)
Severe coagulopathy or contraindication for anticoagulation
Neck cannulation has the advantage of allowing an expeditious procedure in an emergency situation, even during mechanical cardiopulmonary resuscitation without interrupting chest compression. A transverse skin incision is made over the lower third of the sternocleidomastoid on the right side. The internal jugular vein, the common carotid artery and the vagal nerve are identified. Oval purse-string sutures are placed in vein (VV-ECMO) and artery (VA-ECMO). Selected cannulas, according to the weight of the patient and desired achievable flow rate, are inserted through a vertical incision within the purse-string suture, tightened over tourniquets and connected to the ECMO circuit.
A heparin bolus of 50–100 IU/kg is administered independently of the cannulation site prior to inserting the cannulas. Subsequently, continuous heparin infusion is titrated using a goal activated clotting time in the range of 160–180 seconds. The platelet count is maintained at or above 100 000/mm3. One perioperative injection of prophylactic antibiotic (cefazolin) is administered at each ECMO implantation.

The role of echocardiography for paediatric patients supported with ECMO

Echocardiography should be used preoperatively for patient selection, perioperatively for cannula placement and filling of the left ventricle and postoperatively for surveillance, optimisation, troubleshooting and evaluation of myocardial recovery. Whenever possible, echocardiography is performed before ECMO cannulation to confirm significant systolic ventricular dysfunction as indication for implantation and to eliminate residual haemodynamic lesions that could be resolved other than by ECMO installation. Furthermore, echocardiography is used to rule out cardiac anomalies, and assure that there are competent valves and normal systemic veins.
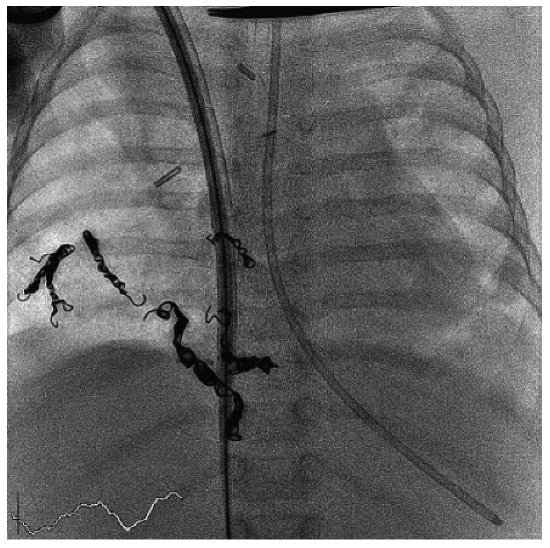
During ECMO implantation, echocardiography can guide the insertion and correct placement of the cannulas and document the volume state of the left ventricle. If VV-ECMO with a dual-lumen cannula (AVALON®, Avalon Laboratories, LLC, California, USA) is inserted via a single site (internal jugular vein), we use echocardiographic or x-ray guidance in the cardiac catheter laboratory to ensure adequate orientation of the ports of the cannula (Figure 2). Their proper position must be confirmed with echocardiography, especially the location of the outflow lumen, which must be positioned in the centre of the right atrium with flow directed towards the tricuspid valve. The hepatic veins and the distal inferior vena cava should not be congested.
The first echocardiogram after ECMO implantation on the intensive care unit (ICU) verifies again the localisation of the cannulas. Complications arising from the cannulas include displacement, malposition or obstruction [7].
Repeated echcardiographic monitoring in a child on ECMO is mandatory and includes the course of left ventricular size and contractility, aortic valve opening and mitral valve regurgitation. If the aortic valve is not opening and there is no shunt, the left ventricle of a patient on VA-ECMO will not unload. If the left ventricule than dilates, recovery is not possible. In this case an additional cannula (vent) has to be implanted in the left ventricle or atrium, or an atrioseptostomy is needed, to ensure sufficient unloading.
Complications must be anticipated and specifically screened for, and are often associated with either the cannula itself or the anticoagulation regimen. Anticoagulation can lead to bleeding, resulting in pericardial eusion and subsequently tamponade, or formation of a thrombus either in the heart, the vessels or the cannulas.

Patient management on the ICU

In order to achieve the desired goal of optimal pulmonary and/or myocardial support and with optimal balance of blood flow, oxygen delivery and oxygen consumption, the following aims are crucial:
  • Provision of adequate oxygenation and CO2 removal in pulmonary dysfunction.
  • Provision of adequate blood flow to match metabolic needs in patients with insufficient cardiac output.
  • Prevention of complications from other therapies as well as from the ECMO therapy itself.
Numerous considerations need to be addressed when caring for ECMO patients, as they will influence course and outcome (e.g., anticoagulation, nutrition, infection, renal function, psychosocial family support and ethical considerations). Nevertheless, it is important at the beginning of an ECMO run to have a clear view of the likely length of support required and the ultimate destination. This may be complete recovery, bridge to decision, bridge to transplant or bridge to longstanding cardiac support such as a ventricular assist device.
ECMO support might only be necessary for as little as 3 to 6 days (e.g., myocardial recovery after intraoperative stun, persistent pulmonary hypertension of the newborn or vasoplegic shock in sepsis) [8], up to 10 to 14 days, or even significantly longer (e.g., adult respiratory distress syndrome, pneumonia, meconium aspiration syndrome, myocarditis) [9,10,11]. Time on ECMO support should be used wisely if uncertainties about the underlying disease process remain. If echocardiography leaves questions unanswered, a cardiac catheter study can usually safely be undertaken and should meticulously investigate the patient’s haemodynamic state or search for residual lesions, as this will probably have direct implications for the ongoing ECMO support and for immediate decisions [12]. The patient on ECMO needs precise and fastidious anticoagulation management, because bleeding, haemolysis and thrombosis should be prevented as far as possible, as they are primarily responsible for neurological sequelae and dismal outcome [13]. Near-infrared spectroscopy (NIRS) has evolved as a reliable tool to guide therapy in order to improve neurological outcomes after ECMO therapy [14]. NIRS provides indirect monitoring of venous drainage and arterial perfusion. In contrast to echocardiography, NIRS allows permanent monitoring [15].

Nursing care

The monitoring and care of children with ECMO therapy is a special nursing challenge and requires close multidisciplinary cooperation. The ICU nurses are specifically trained for ECMO therapy and are therefore able to respond to acute changes at any given time [17,18]. During ECMO support children are rest-ventilated, sometimes with an open sternum due to a delayed sternal closure after central cannulation. Any manipulation of the positioning of the patient (e.g., wound care, pressure ulcer care or changing endotracheal tube straps) may change the position of the ECMO cannulas, which can negatively affect the ECMO flow and may even lead to failure of the ECMO circuit. Therefore, ECMO specialist nurses need to be extremely vigilant and respond to these changes. The risks of infections, cerebral haemorrhage and renal failure (e.g., due to decreased renal perfusion during non-pulsatile ECMO flow) are increased and will rise with increasing duration of ECMO therapy. Therefore, careful clinical monitoring of the patient, as well as meticulous antiseptic precautions at the cannulation site, are vitally necessary. ECMO patients are exposed to an increased risk of bleeding [19]. Because of bleeding and blood trauma, some patients will need to have blood products several times daily [2O]. The nurses continuously monitor every organ system and have to be able to independently and competently respond to emergencies at any time. Ideally, there are always two nurses responsible for one child on ECMO, sharing the complex supervision and care of the patient.
Our patients (children and adolescents) are always part of their personal environment—their parents and other family members. Initially, the parents and families of the children experience a tremendous shock. Especially with neonalal patients, building a relationship with their newborn child is a big challenge for parents. They are not able to hold and care for their child [21], and the uncertainty of the outcome aggravates the situation. It is part of the nursing care to support relatives during this time, as well as during grieving if the outcome is not favourable. The regular presence of parents and family at the bedside is very important for a critically ill child. To support and to build a solid relationship, as well individual contact with their child, it is important to integrate the parents in nursing interventions such as oral care, skin care, changing nappies or massages. A soothing touch, the parents’ and siblings’ voices, personal toys, music and rituals can be very helpful for the ill child, and also for the family. Parents and family members often need detailed information while their child is on ECMO support and, depending on their personalities, are also often themselves in need of encouragement and personal support, a task the ECMO specialist nurse should provide. Nurses are in a particular situation to care for these highly complex patients, and to support the whole family (Table 3).

Conclusion

Over the last decades ECMO has become the most frequently used form of extracoporeal life support in children. Depending the underlying disease, it can be modified for venovenous blood flow, to provide sufficient oxygenation of the blood in isolated respiratory failure, or for venoarterial support in the case of cardiac and/or respiratory failure. Echocardiography plays an important role at every step of ECMO, starting with the diagnosis, and including documentation of cannula position, and guidance during surgical cannulation and during troubleshooting. In contrast to adult patients, neck cannulation or central cannulation via median sternotomy are the preferred sites in children. Special circuits are available for the paediatric population in order to keep priming volume low, guarantee optimal flow and oxygenation, and reduce complication rates. Special management on the ICU is crucial to prevent or recognise complications. Interaction between the various disciplines involved is indispensable to identifing the ideal timeframe for successful weaning. Involvement of the parents throughout all stages of therapy is important and may have a positive impact.

Disclosure statement

No financial support and no other potential conflict of interest relevant to this article was reported.

References

  1. Guerguerian, A.M.; Ogino, M.T.; Dalton, H.J.; Shekerdemian, L.S. Setup and maintenance of extracorporeal life support programs. Pediatr Crit Care Med. 2013, 14 (Suppl 1), S84–S93. [Google Scholar] [CrossRef] [PubMed]
  2. Barbaro, R.P.; Odetola, F.O.; Kidwell, K.M.; Paden, M.L.; Bartlett, R.H.; Davis, M.M.; et al.; Analysis of the Extracorporeal Life Support Organization Registry Association of hospital-level volume of extracorporeal membrane oxygenation cases and mortality. Analysis of the extracorporeal life support organization registry. Am J Respir Crit Care Med. 2015, 191, 894–901. [Google Scholar] [CrossRef] [PubMed]
  3. Freeman, C.L.; Bennett, T.D.; Casper, T.C.; Larsen, G.Y.; Hubbard, A.; Wilkes, J.; et al. Pediatric and neonatal extracorporeal membrane oxygenation: does center volume impact mortality?*. Crit Care Med. 2014, 42, 512–519. [Google Scholar] [CrossRef] [PubMed]
  4. Domico, M.B.; Ridout, D.A.; Bronicki, R.; Anas, N.G.; Cleary, J.P.; Cappon, J.; et al. The impact of mechanical ventilation time before initiation of extracorporeal life support on survival in pediatric respiratory failure: a review of the Extracorporeal Life Support Registry. Pediatr Crit Care Med. 2012, 13, 16–21. [Google Scholar] [CrossRef] [PubMed]
  5. Kurkluoglu, M.; Hynes, C.F.; Alfares, F.A.; El-Sayed Ahmed, M.M.; Peer, S.M.; Zurakowski, D.; et al. Choice of Peripheral Venoarterial Extra-Corporeal Membrane Oxygenation Cannulation Site in Patients Above 15 kilograms. J Card Surg. 2015, 30, 461–465. [Google Scholar] [CrossRef] [PubMed]
  6. Field, M.L.; Al-Alao, B.; Mediratta, N.; Sosnowski, A. Open and closed chest extrathoracic cannulation for cardiopulmonary bypass and extracorporeal life support: methods, indications, and outcomes. Postgrad Med J. 2006, 82, 323–331. [Google Scholar] [CrossRef] [PubMed]
  7. Catena, E.; Tasca, G. Role of echocardiography in the perioperative management of mechanical circulatory assistance. Best Pract Res Clin Anaesthesiol. 2012, 26, 199–216. [Google Scholar] [CrossRef] [PubMed]
  8. MacLaren, G.; Butt, W.; Best, D.; Donath, S. Central extracorporeal membrane oxygenation for refractory pediatric septic shock. Pediatr Crit Care Med. 2011, 12, 133–136. [Google Scholar] [CrossRef] [PubMed]
  9. Rajagopal, S.K.; Almond, C.S.; Laussen, P.C.; Rycus, P.T.; Wypij, D.; Thiagarajan, R.R. Extracorporeal membrane oxygenation for the support of infants, children, and young adults with acute myocarditis: a review of the Extracorporeal Life Support Organization registry. Crit Care Med. 2010, 38, 382–387. [Google Scholar] [CrossRef] [PubMed]
  10. Prodhan, P.; Stroud, M.; El-Hassan, N.; Peeples, S.; Rycus, P.; Brogan, T.V.; et al. Prolonged extracorporeal membrane oxygenator support among neonates with acute respiratory failure: a review of the Extracorporeal Life Support Organization registry. ASAIO J. 2014, 60, 63–69. [Google Scholar] [CrossRef] [PubMed]
  11. Smalley, N.; MacLaren, G.; Best, D.; Paul, E.; Butt, W. Outcomes in children with refractory pneumonia supported with extracorporeal membrane oxygenation. Intensive Care Med. 2012, 38, 1001–1007. [Google Scholar] [CrossRef] [PubMed]
  12. Panda, B.R.; Alphonso, N.; Govindasamy, M.; Anderson, B.; Stocker, C.; Karl, T.R. Cardiac catheter procedures during extracorporeal life support: a risk-benefit analysis. World J Pediatr Congenit Heart Surg. 2014, 5, 31–37. [Google Scholar] [CrossRef] [PubMed]
  13. Dalton, H.J.; Garcia-Filion, P.; Holubkov, R.; Moler, F.W.; Shanley, T.; Heidemann, S.; et al.; Eunice Kennedy Shriver National Institute of Child Health and Human Development Collaborative Pediatric Critical Care Research Network Association of bleeding and thrombosis with outcome in extracorporeal life support. Pediatr Crit Care Med. 2015, 16, 167–174. [Google Scholar] [CrossRef] [PubMed]
  14. de Mol, A.C.; Liem, K.D.; van Heijst, A.F. Cerebral aspects of neonatal extracorporeal membrane oxygenation: a review. Neonatology 2013, 104, 95–103. [Google Scholar] [CrossRef] [PubMed]
  15. Ho man, G.M.; Brosig, C.L.; Mussatto, K.A.; Tweddell, J.S.; Ghanayem, N.S. Perioperative cerebral oxygen saturation in neonates with hypoplastic left heart syndrome and childhood neurodevelopmental outcome. J Thorac Cardiovasc Surg. 2013, 146, 1153–64. [Google Scholar]
  16. Butt, W.; Heard, M.; Peek, G.J. Clinical management of the extracorporeal membrane oxygenation circuit. Pediatr Crit Care Med. 2013, 14 (Suppl 1), S13–S19. [Google Scholar] [CrossRef] [PubMed]
  17. Kotani, Y.; Honjo, O.; Davey, L.; Chetan, D.; Guerguerian, A.M.; Gruenwald, C. Evolution of technology, establishment of program, and clinical outcomes in pediatric extracorporeal membrane oxygenation: the “sickkids” experience. Artif Organs. 2013, 37, 21–28. [Google Scholar] [CrossRef] [PubMed]
  18. Anderson, J.M.; Boyle, K.B.; Murphy, A.A.; Yaeger, K.A.; LeFlore, J.; Halamek, L.P. Simulating extracorporeal membrane oxygenation emergencies to improve human performance. Part I: methodologic and technologic innovations. Simul Healthc. 2006, 1, 220–227. [Google Scholar] [CrossRef] [PubMed]
  19. Larsen, R. Anästhesie und Intensivmedizin in Herz-, Thoraxund Gefässchirurgie, 9th ed.; Springer Verlag: Heidelberg, 2005; p. 2. [Google Scholar]
  20. Jöhling, B.; et al. Pflege bei Kindern an ECMO oder Kunstherz. Z Geburtshilfe Neonatol. 2006.
  21. Lewis, A.R.; Wray, J.; O’Callaghan, M.; Wroe, A.L. Parental symptoms of posttraumatic stress after pediatric extracorporeal membrane oxygenation*. Pediatr Crit Care Med. 2014, 15, e80–e88. [Google Scholar] [CrossRef] [PubMed]
Figure 1. The ECMO circuit used at the Children’s hospital Zurich including a Thoratec Centrimag® pump, a heater unit, a Sechrist Air-Oxygen-Mixer and a Polymethylpentene hollow-fibre oxygenator.
Figure 1. The ECMO circuit used at the Children’s hospital Zurich including a Thoratec Centrimag® pump, a heater unit, a Sechrist Air-Oxygen-Mixer and a Polymethylpentene hollow-fibre oxygenator.
Cardiovascmed 20 00057 g001
Figure 2. Implanted VV-ECMO using a single-lumen cannula (AVALON) showing proper placement in the catheter laboratory.
Figure 2. Implanted VV-ECMO using a single-lumen cannula (AVALON) showing proper placement in the catheter laboratory.
Cardiovascmed 20 00057 g002
Table 3. Responsibilities of the nursing team caring for children on ECMO.
Table 3. Responsibilities of the nursing team caring for children on ECMO.
Responsibilities of the ECMO nurse
 Psychological family support
 Visual inspection of the ECMO circuit
 Regulation of ECMO flow, sweep gas and oxygenation
 Anticoagulation management
 Management of the heparin infusion and administration of blood products
 Haemofiltration
 Emergency measures and troubleshooting of the ECMO circuit until perfusionists take over
Responsibilities of the bedside nurse
 Basic care
 Intravenous fluid administration and medical therapy
 Feeding and administration of parenteral nutrition
 Vital signs monitoring
 Monitoring of fluid intake and output
 Nursing documentation
 Nursing assessment, nursing process, nursing diagnoses

Share and Cite

MDPI and ACS Style

Schmiady, M.; Döll, C.; Cavigelli-Brunner, A.; Konetzka, A.; Bründler, S.; Kröger, Y.; Dave, H.; Hübler, M.; Schweiger, M. Extracorporeal Membrane Oxygenation in Neonates and Children. Cardiovasc. Med. 2017, 20, 57. https://doi.org/10.4414/cvm.2017.00462

AMA Style

Schmiady M, Döll C, Cavigelli-Brunner A, Konetzka A, Bründler S, Kröger Y, Dave H, Hübler M, Schweiger M. Extracorporeal Membrane Oxygenation in Neonates and Children. Cardiovascular Medicine. 2017; 20(3):57. https://doi.org/10.4414/cvm.2017.00462

Chicago/Turabian Style

Schmiady, Martin, Carsten Döll, Anna Cavigelli-Brunner, Alexander Konetzka, Sebastian Bründler, Yvonne Kröger, Hitendu Dave, Michael Hübler, and Martin Schweiger. 2017. "Extracorporeal Membrane Oxygenation in Neonates and Children" Cardiovascular Medicine 20, no. 3: 57. https://doi.org/10.4414/cvm.2017.00462

APA Style

Schmiady, M., Döll, C., Cavigelli-Brunner, A., Konetzka, A., Bründler, S., Kröger, Y., Dave, H., Hübler, M., & Schweiger, M. (2017). Extracorporeal Membrane Oxygenation in Neonates and Children. Cardiovascular Medicine, 20(3), 57. https://doi.org/10.4414/cvm.2017.00462

Article Metrics

Back to TopTop