Next Article in Journal
Coronary Vein Visualisation During Primary Percutaneous Coronary Intervention
Previous Article in Journal
Current Trends in Dual Antiplatelet Therapy: A 2017 Update
 
 
Cardiovascular Medicine is published by MDPI from Volume 28 Issue 1 (2025). Previous articles were published by another publisher in Open Access under a CC-BY (or CC-BY-NC-ND) licence, and they are hosted by MDPI on mdpi.com as a courtesy and upon agreement with Editores Medicorum Helveticorum (EMH).
Font Type:
Arial Georgia Verdana
Font Size:
Aa Aa Aa
Line Spacing:
Column Width:
Background:
Case Report

Atrial Standstill

by
Mattia Duchini
,
Marcello Di Valentino
* and
Andrea Menafoglio
Department of Cardiology, Ospedale San Giovanni, Bellinzona, Switzerland
*
Author to whom correspondence should be addressed.
Cardiovasc. Med. 2017, 20(7-8), 0498; https://doi.org/10.4414/cvm.2017.00498 (registering DOI)
Submission received: 9 May 2017 / Revised: 9 June 2017 / Accepted: 9 July 2017 / Published: 9 August 2017

Abstract

Atrial standstill is a rare but serious condition, characterised by the absence of atrial electrical and mechanical activity. It potentially leads to syncope, congestive heart failure, stroke and sudden death. It can affect the atria partially or totally and in a transient or permanent way. There are three forms: idiopathic, inherited or secondary. It should be suspected if the ECG shows absence of P waves and a regular supraventricular bradycardic rhythm. The diagnosis can be confirmed through an echocardiogram revealing the absence of atrial contraction. The treatment of this condition is focused on its consequences and potential complications, and includes pacemaker implantation, heart failure management and anticoagulation therapy. We report a case of total atrial standstill, possibly idiopathic, in a young patient with a longstanding history of dizziness and reduced effort tolerance, and we review the literature about the subject.

Case report

A 37-year-old male patient was referred to our cardiology division with a longstanding and worsening history of short episodes of dizziness and reduced effort tolerance. He denied any syncope, palpitations or chest pain. His medical history was unremarkable and he took no medication. Family history was negative for cardiac diseases at a young age or premature sudden death. On clinical examination, the patient appeared in good general condition. He was bradycardic at 40 bpm and normotensive; heart and lung auscultation was normal, the jugular veins distended. The resting ECG displayed a junctional rhythm at 35 bpm with complete right bundle-branch block and no atrial electrical activity (Figure 1). A chest X-ray showed cardiomegaly without pulmonary congestion. During a 24-hour Holter ECG, no atrial activity was discernible and a constant bradycardic junctional rhythm was noted, with a mean heart rate of 36 bpm. Moreover, 83 episodes of asystole lasting more than 3 seconds were recorded, of which 11 lasted more than 6 seconds, with the longest episode in the night being of 10.5 seconds duration (Figure 2). There were no serious ventricular arrhythmias and only 62 isolated premature ventricular beats were registered. An exercise stress test confirmed the reduced effort tolerance and absent atrial electrical activity, and revealed a severe chronotropic incompetence with maximum junctional heart rate of 88 bpm (Figure 3). The echocardiogram showed a moderate dilatation of all cardiac chambers (Figure 4) with normal biventricular systolic function, absent mechanical activity of both atria, and systemic congestion (as shown in Figure 5 for the left atrium). Brain natriuretic peptide was moderately elevated (563 ng/l, reference range <100 ng/l), as were cholestatic enzymes (gammaglutamyltransferase [GGT] 210 U/l, reference range <71 U/l). Cardiac magnetic resonance imaging confirmed the moderate dilatation of the heart chambers with normal biventricular systolic function and did not reveal ventricular myocardial fibrosis or evident atrial parietal thickening or fibrosis. An intracavitary thrombus, particularly in the left atrial appendage, was also excluded. An electrophysiological study and genetic analysis were refused by the patient. Nevertheless, all clinical and paraclinical findings were consistent with a total atrial standstill, possibly idiopathic. Because of the severe symptomatic bradycardia, a pacemaker was implanted. During the procedure, no electrical activity was recorded in the whole right atrium and no atrial capture was obtained even at maximal output (10 volts, 1.5 msec.). Therefore, a single-chamber ventricular pacemaker was implanted. Oral anticoagulation therapy was considered, but we decided against it in the face of a CHA2DS2-VASc score of 0 and the absence of left atrial appendage thrombus.
After the pacemaker implantation the patient felt better, effort capacity improved and no recurrence of dizziness was reported. At 18-month follow-up, he was well and asymptomatic with near normalisation of the brain natriuretic peptide concentration (135 ng/l) and of the cholestatic enzymes (GGT 113 U/l), proving that their increases were caused by hepatic congestion. Ventricular function remained normal without further dilatation of the heart chambers. No significant ventricular arrhythmia was recorded on the pacemaker ECGs. Family screening revealed that his parents, two sisters and 10-year-old son were all asymptomatic, with normal clinical examination and normal resting ECG.

Discussion

Atrial standstill, first described by Chavez et al. in 1946 [1], is characterised by the absence of electrical and mechanical activity of the atria. The ECG usually displays no discernible P waves and a regular bradycardic junctional rhythm [2,3]. Effort-related chronotropic incompetence and transient asystole are common, as in our patient [4,5]. The atrial mechanical dysfunction can be readily detected on an echocardiogram by the absence of an A-wave in transmitral or transtricuspid flow, by the lack of telediastolic opening of the mitral (or tricuspid) valve, as our case nicely showed, and by the absence of active atrial contraction in tissue Doppler imaging [2,3]. Atrial standstill is a rare but serious condition, since the longstanding profound bradycardia and the loss of atrial function can have severe haemodynamic consequences, potentially leading to syncope, heart failure and, very rarely, sudden cardiac death. Cardiac arrest can be caused by extreme bradycardia or pause-related malignant ventricular arrhythmias, particularly when atrial standstill is associated with an underlying cardiopathy [6,7,8,9]. Moreover, the dysfunctional and dilated atria with consequent blood stasis can cause thromboembolic events, as in atrial fibrillation [5,6]. Our patient complained of dizziness, effort intolerance and systemic congestion.
It can sometimes be difficult to distinguish atrial standstill from atrial fibrillation with a slow ventricular rate, especially in patients with permanent atrial fibrillation, dilated atria and low amplitude fibrillatory waves treated with atrioventricular nodal blocking agents or with an associated atrioventricular block.
Atrial standstill can be transient or permanent [4]. When transient, it is usually related to antiarrhythmic intoxication (especially with digoxin or quinidine), hyperkalaemia, hypoxia or acute myocardial infarction, situations which were excluded in our patient [10]. The rarer form of permanent atrial standstill has been reported in association with Emery-Dreifuss muscular dystrophy, Kugelberg-Welander syndrome, limb-girdle muscular dystrophy, various types of cardiomyopathies, valvular or congenital heart disease, Ebstein’s anomaly, Brugada syndrome, amyloidosis, acute myocarditis, diabetes mellitus, following open cardiac surgery or after longstanding atrial fibrillation [3,4,11,12]. None of these conditions was evident in our case. Rare cases of familial atrial standstill have been reported and they are usually diagnosed between the third and the fifth decade of life, as in our patient. The genetic background of atrial standstill is not yet fully understood, mostly because of the extremely low prevalence of this condition. Nevertheless, the disease seems to be associated with mutations of the sodium channel SCN5A gene, which are also related to sinus node dysfunction, conduction disease, long QT syndrome type 3 and Brugada syndrome [13]. Moreover, atrial standstill seems to show complete penetrance only when atrial-specific gap junction connexin 40 (Cx40) polymorphisms are also present (around 7% of the population) [3,11,14]. Unfortunately, our patient refused genetic testing. However, screening of first-degree relatives through history, clinical examination and resting ECG turned out to be negative, making the genetic basis less likely. Therefore, our patient was possibly affected by an idiopathic form.
Previous studies suggest that atrial standstill is a progressive disease, starting from the high lateral right atrium and later descending toward the lower right atrium and near to the tricuspid valve annulus. The left atrium seems to be the last to be affected [6]. This is why atrial standstill can also be classified into partial or total forms. Our patient had a total form, as demonstrated by the absence of mechanical activity of both atria (on the echocardiogram) and the absence of electrical activity of the right atrium (during pacemaker implantation). Pathophysiological hypotheses of atrial standstill, based on post-mortem examinations, include fibroelastosis and fatty infiltration of the atrial wall [10]. It is not surprising that magnetic resonance imaging did not clearly show the presence of atrial fibrosis or fatty infiltration, since it is very hard to detect these changes in the thin atrial wall. In biopsy samples, mostly from the right atrium, fibrofatty replacement is generally present in a severe and widespread state, especially in case of permanent atrial standstill [3,5,7].
Electrophysiological studies, and particularly electroanatomical mapping, are employed to confirm the diagnosis and to assess the extent and the severity of the disease of the atrial wall [4,15]. Unfortunately, our patient did not consent to these examinations.
The electrical and mechanical silence of the atrium characteristic of persistent atrial standstill can also be accompanied by an endocrinological silence, with a low plasma concentration of atrial natriuretic peptide, or, in patients with congestive heart failure, a lower increase in plasma atrial natriuretic peptide compared with the increase in brain natriuretic peptide, which secreted by the ventricular myocardium [16,17].
The treatment of atrial standstill is focused on the consequences and potential complications of this disorder, and can include pacemaker implantation, treatment of heart failure with diuretics and vasodilators, and prevention of thromboembolism with oral anticoagulation therapy [3,18]. The indication for pacemaker implantation can be assumed to be similar to that for sick sinus syndrome [19]. In our case, symptomatic bradycardia with dizziness and heart failure clearly required pacemaker implantation. In atrial standstill, the electrical silence of the atria is accompanied by difficulty or impossibility of electrically stimulation, making it hard to find a suitable site for atrial lead placement. Therefore, in most of the cases reported in the literature, a single chamber ventricular pacemaker was finally implanted [4,5,7]. Our case was no exception, since it was not possible to detect atrial potentials or stimulate atrial tissue in the right atrium. As previously mentioned, through electro-anatomical mapping it would have been possible to localise atrial tissue with preserved electrical activity, where an atrial lead could have been placed, allowing haemodynamically better synchronous atrioventricular stimulation, as has been done in a few cases reported in the literature [4,15]. Despite a single chamber ventricular pacemaker, the clinical improvement in our patient was remarkably good and he was asymptomatic with preserved ventricular function at a mid-term follow-up. Concerning thromboembolic prophylaxis, the pathophysiological basis seems to be similar to that for atrial fibrillation, with blood stasis due to the dysfunctional and dilated atria. Unfortunately, no study is available specifically for atrial standstill patients. Nevertheless, it seems logical to adopt the same risk stratification score as in atrial fibrillation [20]. In our case, the CHA2DS2-VASc score was 0, and no anticoagulation therapy was prescribed; no embolic event has occurred in 18 months of follow-up. Diuretics are indicated in cases of heart failure with fluid overload. In our patient, after pacemaker implantation the congestion signs rapidly resolved so that no diuretic therapy was needed. Vasodilators can be useful in cases of important remodelling of the heart with mitral regurgitation.
In conclusion, physicians should raise awareness of this rare but serious condition in order to provide the best therapeutic approach after the appropriate investigations.

Disclosure Statement

No financial support and no other potential conflict of interest relevant to this article was reported.

References

  1. Chavez, I.; Brumlik, J.; Sodi Pallares, D. On a extroardinario case of paralysis with permanent atrial degeneration of nudulo of Keith and Flack. Arch Inst Cardiol Mex. 1946, 16, 159–181. [Google Scholar] [PubMed]
  2. Baldwin, B.J.; Talley, R.C.; Johnson, C.; Nutter, D.O. Permanent paralysis of the atrium in a patient with facioscapulohumeral muscular dystrophy. Am J Cardiol. 1973, 31, 649–653. [Google Scholar] [CrossRef] [PubMed]
  3. Wooliscroft, J.; Tuna, N. Permanent atrial standstill: The clinical spectrum. Am J Cardiol 1982, 49, 2037–2041. [Google Scholar] [CrossRef] [PubMed]
  4. Bellmann, B.; Roser, M.; Muntean, B.; Tscholl, V.; Nagel, P.; Schmid, M.; Schauerte, P. Atrial standstill in sinus node disease due to extensive atrial fibrosis: Impact on dual chamber pacemaker implantation. Europace. 2016, 18, 238–245. [Google Scholar] [CrossRef] [PubMed]
  5. Fuenmayor, A.A.J.; Rodríguez, S.Y.A. Atrial standstill. Int J Cardiol. 2013, 165, e47–e48. [Google Scholar] [CrossRef] [PubMed]
  6. Nakazato, Y.; Nakata, Y.; Hisaoka, T.; Sumiyoshi, M.; Ogura, S.; Yamaguchi, H. Clinical and electrophysiological characteristics of atrial standstill. Pacing Clin Electrophysiol 1995, 18, 1244–1254. [Google Scholar] [CrossRef] [PubMed]
  7. Castro, A.; Loricchio, M.L.; Turreni, F.; Perna, S.; Altamura, G. Role of electroanatomic mapping in assessing the extent of atrial standstill: Diagnostic and therapeutic implications. J Cardiovasc Med. 2009, 10, 787–791. [Google Scholar] [CrossRef] [PubMed]
  8. Fazelifar, A.F.; Arya, A.; Haghjoo, M.; Sadr-Ameli, M.A. Familial atrial standstill in association with dilated cardiomyopathy. Pacing Clin Electrophysiol. 2005, 28, 1005–1008. [Google Scholar] [CrossRef] [PubMed]
  9. Park, S.R.; Kwak, C.H.; Kang, Y.R.; Seo, M.K.; Kang, M.K.; Cho, J.H.; et al. Implantable cardioverter-defibrillator implantation in a patient with atrial standstill. Yonsei Med J. 2009, 50, 156–159. [Google Scholar] [CrossRef] [PubMed]
  10. Rosen, K.M.; Rahimtoola, S.H.; Gunnar, R.M.; Lev, M. Transient and persistent atrial standstill with His bundle lesions: Electrophysiologic and pathologic correlations. Circulation. 1971, 44, 220–236. [Google Scholar] [CrossRef] [PubMed]
  11. Groenewegen, W.A.; Firouzi, M.; Bezzina, C.R.; Vliex, S.; van Langen, I.M.; Sandkuijl, L.; et al. A cardiac sodium channel mutation cosegregates with a rare connexin40 genotype in familial atrial standstill. Circ Res. 2003, 92, 14–22. [Google Scholar] [CrossRef] [PubMed]
  12. Prabhu, M.A.; Srinivas Prasad, B.V.; Thajudeen, A.; Namboodiri, N. Persistent Atrial Standstill in Acute Myocarditis. Indian Pediatr. 2016, 53, 162–164. [Google Scholar] [CrossRef] [PubMed]
  13. Remme, C.; Wilde, A.; Bezzina, C. Cardiac sodium channel overlap syndromes: Different faces of SCN5A mutations. Trends Cardiovasc. Med. 2008, 18, 78–87. [Google Scholar] [CrossRef] [PubMed]
  14. Makita, N.; Sasaki, K.; Groenewegen, A.; Yokota, T.; Yogoshiki, H.; Murakami, T.; et al. Congenital atrial standstill associated with coinheritance of a novel SCN5A mutation and connexion 40 polymorphism. Heart Rhythm. 2005, 2, 1128–1134. [Google Scholar] [CrossRef] [PubMed]
  15. Arimoto, T.; Sukekawa, H.; Takayama, S.; Ikeno, E.; Takeishi, Y.; Kubota, I. Electroanatomical mapping in partial atrial standstill for visualization of atrial viability and a suitable pacing site. Pacing Clin Electrophysiol. 2008, 31, 509–512. [Google Scholar] [CrossRef] [PubMed]
  16. Seino, Y.; Shimai, S.; Ibuki, C.; Itoh, K.; Takano, T.; Hayakawa, F. Disturbed secretion of atrial natriuretic peptide in patients with persistent atrial standstill: Endocrinologic silence. J Am Coll Cardiol. 1991, 18, 459–463. [Google Scholar] [CrossRef] [PubMed][Green Version]
  17. Suguta, M.; Hara, K.; Nakano, A.; Amano, A.; Hasegawa, A.; Kurabayashi, M. Serum atrial natriuretic peptide concentration is a useful predictor of atrial standstill in patients with heart failure. Jpn Circ J. 2000, 64, 537–540. [Google Scholar] [CrossRef] [PubMed][Green Version]
  18. Marini, M.; Arbustini, E.; Disertori, M. Atrial standstill: A paralysis of cardiological relevance. Ital Heart J Suppl. 2004, 5, 681–686. [Google Scholar] [PubMed][Green Version]
  19. Brignole, M.; Auricchio, A.; Baron-Esquivias, G.; Bordachar, P.; Boriani, G.; Breithard, O.-A.; et al. 2013 ESC Guidelines on cardiac pacing and cardiac resynchronisation therapy. Eur Heart J. 2013, 34, 2281–2329. [Google Scholar] [PubMed][Green Version]
  20. Kirchhof, P.; Benussi, S.; Kotecha, D.; Ahlsson, A.; Atar, D.; Casadei, B.; et al. 2016 ESC Guidelines for the management of atrial fibrillation developed in collaboration with EACTS. Eur Heart J. 2016, 37, 2893–2962. [Google Scholar] [CrossRef] [PubMed]
Figure 1. Resting ECG showing a junctional rhythm at 35 bpm with complete right bundle-branch block. Note the absence of atrial electrical activity.
Figure 1. Resting ECG showing a junctional rhythm at 35 bpm with complete right bundle-branch block. Note the absence of atrial electrical activity.
Cardiovascmed 20 00498 g001
Figure 2. Three-channel continuous ECG tracing during Holter monitoring showing the maximal pause of 10.5 seconds. Note the irregular junctional rhythm and the absence of atrial electrical activity.
Figure 2. Three-channel continuous ECG tracing during Holter monitoring showing the maximal pause of 10.5 seconds. Note the irregular junctional rhythm and the absence of atrial electrical activity.
Cardiovascmed 20 00498 g002
Figure 3. ECG at the maximum of effort showing a junctional rhythm at 88 bpm.
Figure 3. ECG at the maximum of effort showing a junctional rhythm at 88 bpm.
Cardiovascmed 20 00498 g003
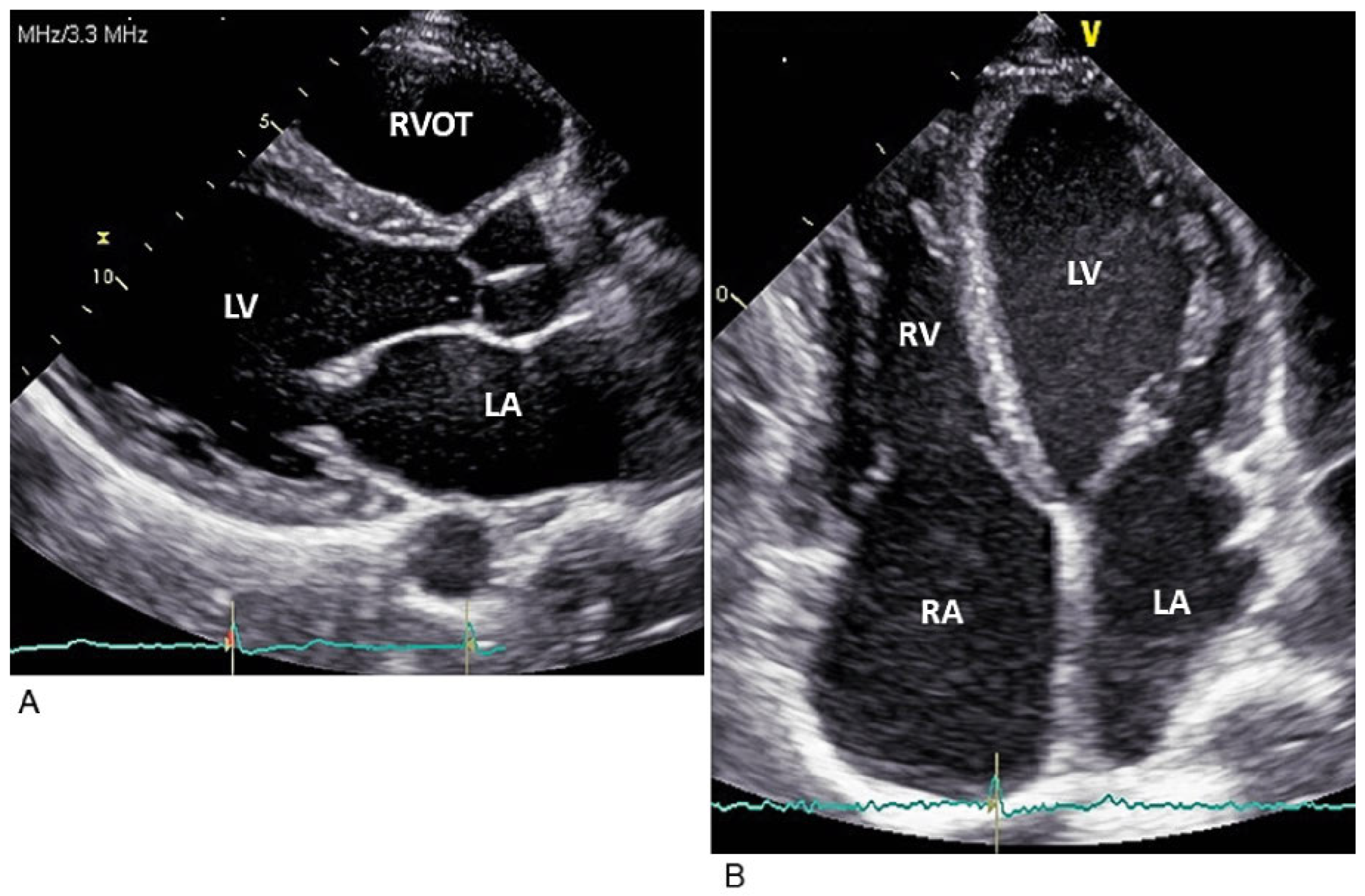
Figure 4. Parasternal long axis (A) and apical four chamber (B) echocardiogram views showing a moderate dilatation of all cardiac chambers (left ventricular end-diastolic diameter of 64 mm, right ventricular end-diastolic basal diameter of 50 mm, left atrial antero-posterior diameter of 52 mm). LV = left ventricle; RV = right ventricle; LA = left atrium; RA = right atrium; RVOT = right ventricular outflow tract.
Figure 4. Parasternal long axis (A) and apical four chamber (B) echocardiogram views showing a moderate dilatation of all cardiac chambers (left ventricular end-diastolic diameter of 64 mm, right ventricular end-diastolic basal diameter of 50 mm, left atrial antero-posterior diameter of 52 mm). LV = left ventricle; RV = right ventricle; LA = left atrium; RA = right atrium; RVOT = right ventricular outflow tract.
Cardiovascmed 20 00498 g004
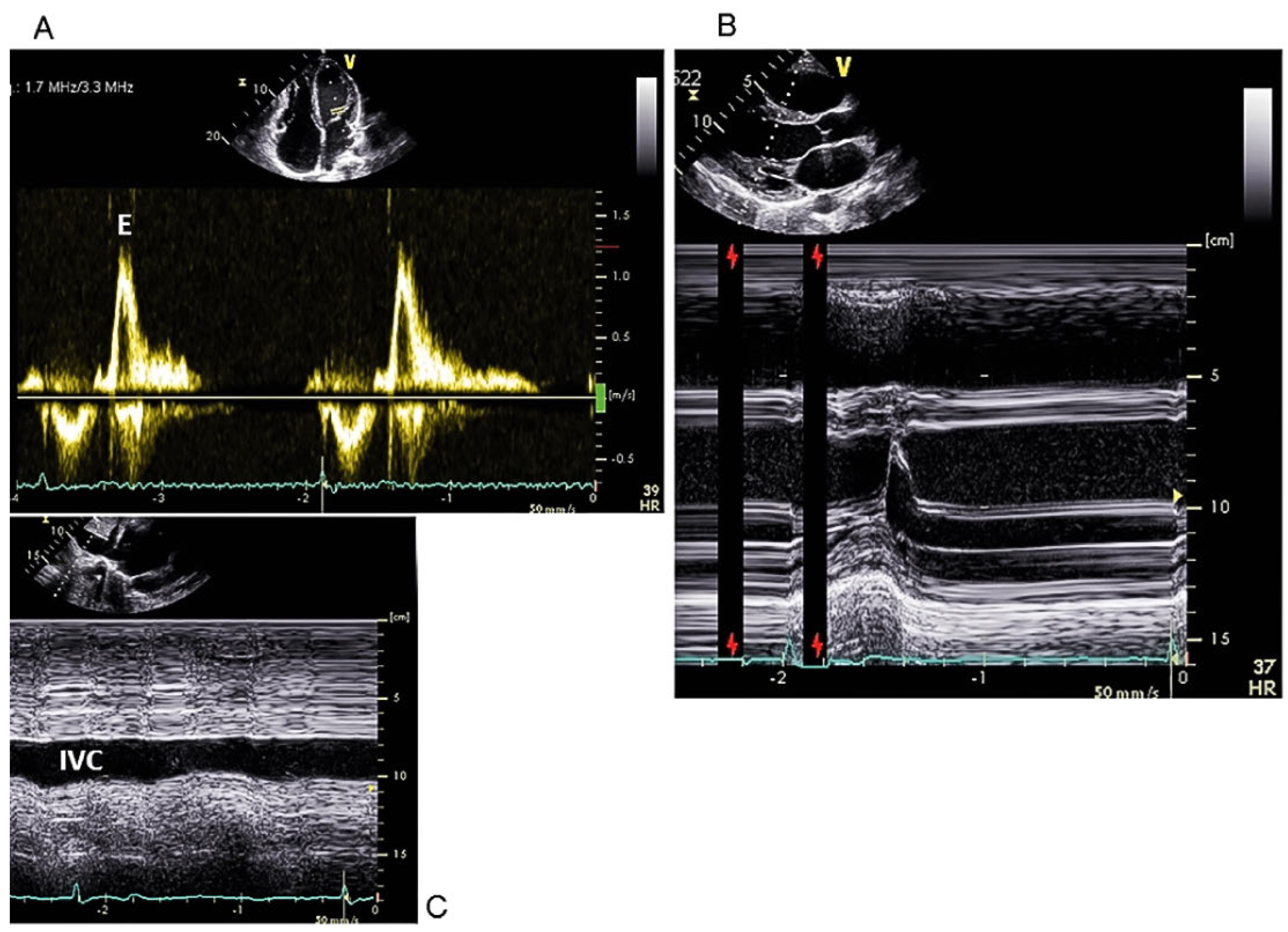
Figure 5. Transmitral pulse Doppler imaging (A) showing the absence of A waves and parasternal M-mode at the level of the mitral valve (B) showing the absence of the telediastolic opening of the mitral valve, demonstrating the absence of the mechanical activity of the left atrium. M-mode imaging of the inferior vena cava (C) showing systemic congestion. E = E-wave; IVC = inferior vena cava.
Figure 5. Transmitral pulse Doppler imaging (A) showing the absence of A waves and parasternal M-mode at the level of the mitral valve (B) showing the absence of the telediastolic opening of the mitral valve, demonstrating the absence of the mechanical activity of the left atrium. M-mode imaging of the inferior vena cava (C) showing systemic congestion. E = E-wave; IVC = inferior vena cava.
Cardiovascmed 20 00498 g005

Share and Cite

MDPI and ACS Style

Duchini, M.; Di Valentino, M.; Menafoglio, A. Atrial Standstill. Cardiovasc. Med. 2017, 20, 0498. https://doi.org/10.4414/cvm.2017.00498

AMA Style

Duchini M, Di Valentino M, Menafoglio A. Atrial Standstill. Cardiovascular Medicine. 2017; 20(7-8):0498. https://doi.org/10.4414/cvm.2017.00498

Chicago/Turabian Style

Duchini, Mattia, Marcello Di Valentino, and Andrea Menafoglio. 2017. "Atrial Standstill" Cardiovascular Medicine 20, no. 7-8: 0498. https://doi.org/10.4414/cvm.2017.00498

APA Style

Duchini, M., Di Valentino, M., & Menafoglio, A. (2017). Atrial Standstill. Cardiovascular Medicine, 20(7-8), 0498. https://doi.org/10.4414/cvm.2017.00498

Article Metrics

Back to TopTop