Next Article in Journal
Pulmonary Hypertension
Previous Article in Journal
Chronic Total Occlusion: Current Methods of Revascularisation
 
 
Cardiovascular Medicine is published by MDPI from Volume 28 Issue 1 (2025). Previous articles were published by another publisher in Open Access under a CC-BY (or CC-BY-NC-ND) licence, and they are hosted by MDPI on mdpi.com as a courtesy and upon agreement with Editores Medicorum Helveticorum (EMH).
Font Type:
Arial Georgia Verdana
Font Size:
Aa Aa Aa
Line Spacing:
Column Width:
Background:
Interesting Images

MitraClip™: What Should Not Be Done?

by
Yann Coattrenec
1,
Hugo Vanermen
2,
Gregory Khatchatourov
3 and
Jean-Jacques Goy
1,*
1
Division de Cardiologie, Hôpital Cantonal, CH-1700 Fribourg, Switzerland
2
Centre de Cardiologie, Aalst, Belgium
3
Clinique Cecil, Lausanne, Switzerland
*
Author to whom correspondence should be addressed.
Cardiovasc. Med. 2014, 17(12), 371; https://doi.org/10.4414/cvm.2014.00282
Submission received: 17 September 2014 / Revised: 17 October 2014 / Accepted: 17 November 2014 / Published: 17 December 2014

Introduction

We report the case of a patient with mitral regurgitation in whom MitraClip™ failed after initial surgical mitral repair. A second surgical intervention was needed to cure the patient definitively.
Treatment of mitral regurgitation remains challenging. Recently percutaneous treatment using the MitraClip™ has been proposed as an alternative to surgery with encouraging results [1]. However, MitraClip™ seems to be reserved for nonoperable patients as pointed out by recent data [2].

Case Report

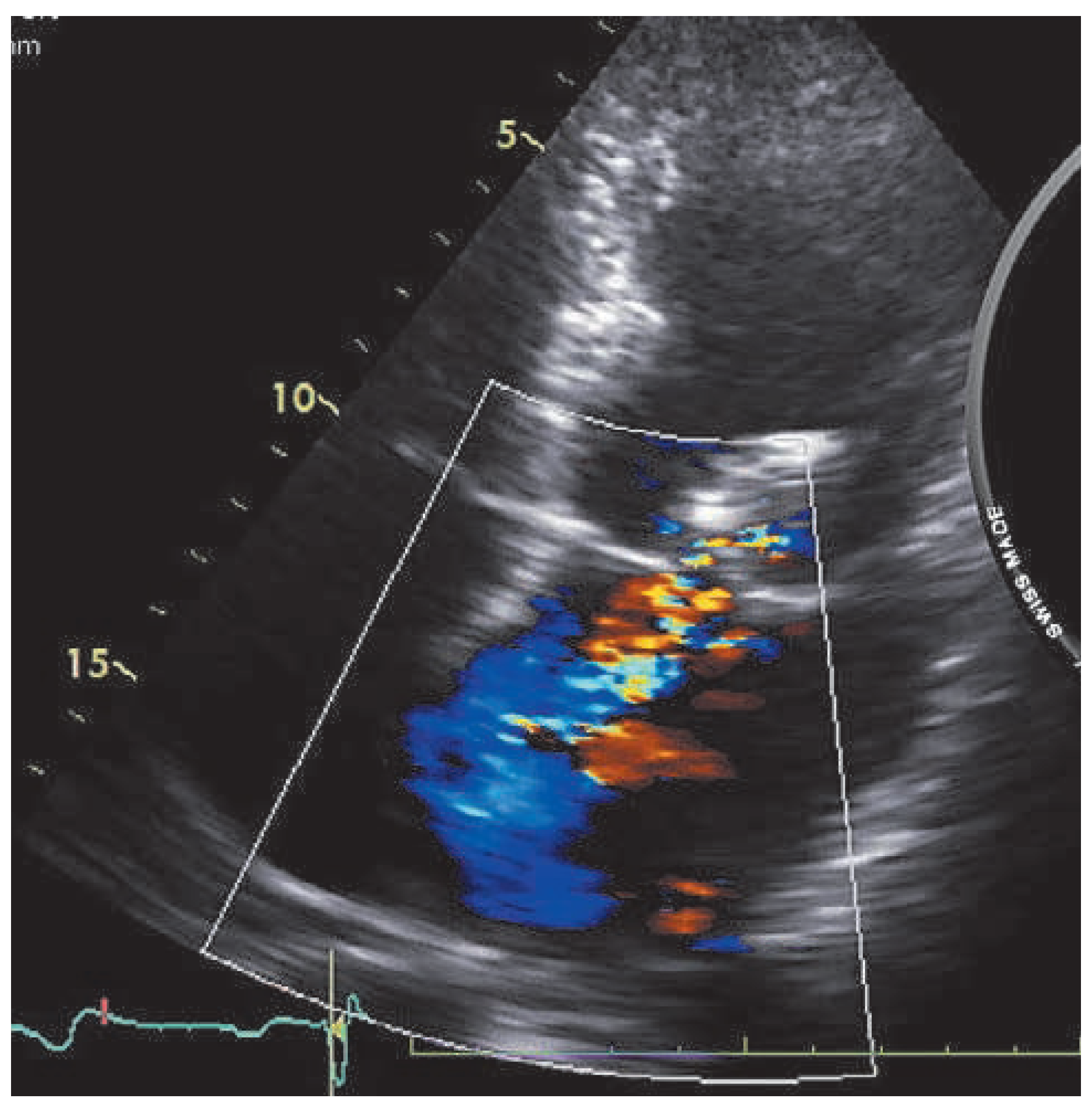
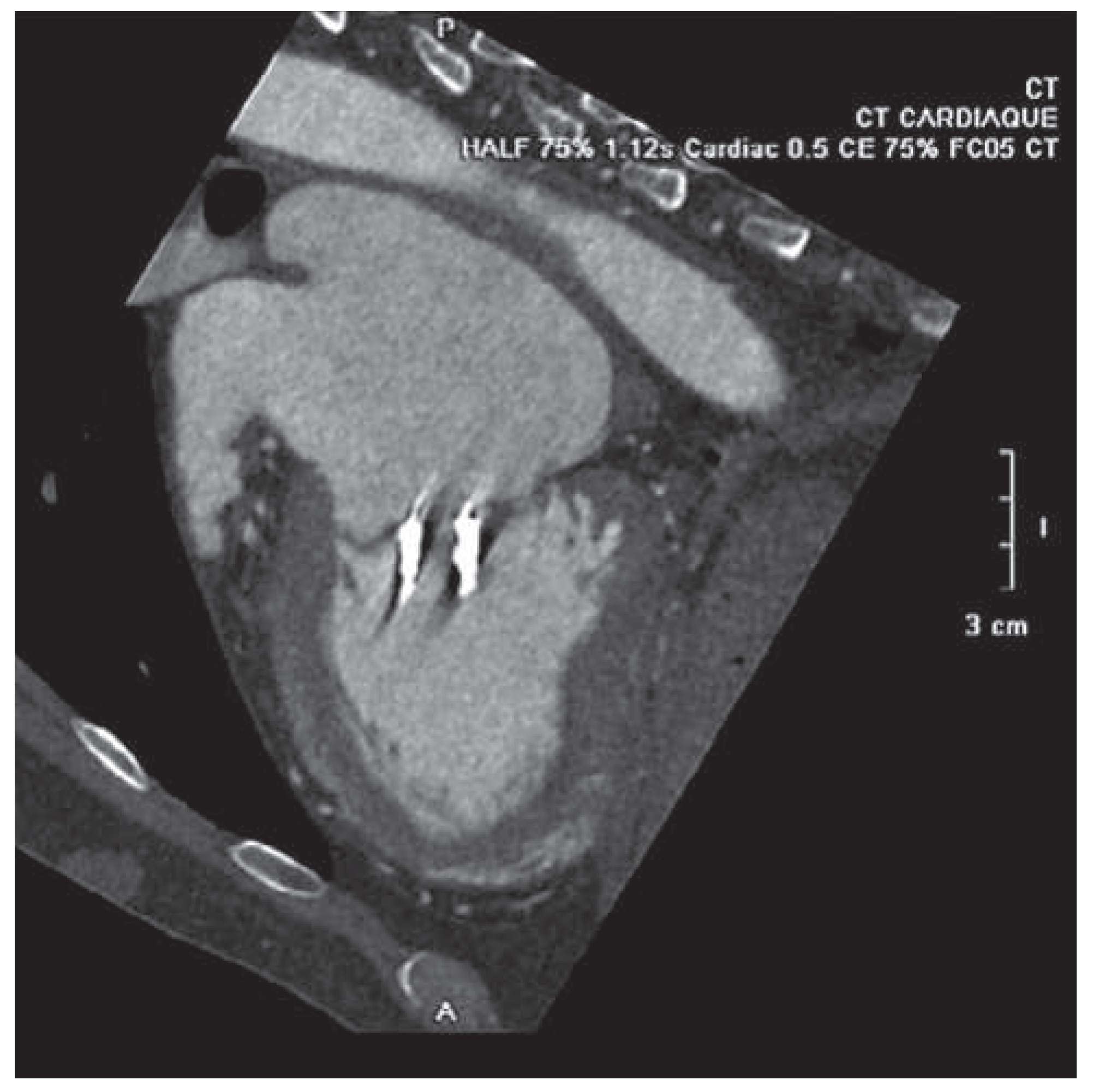
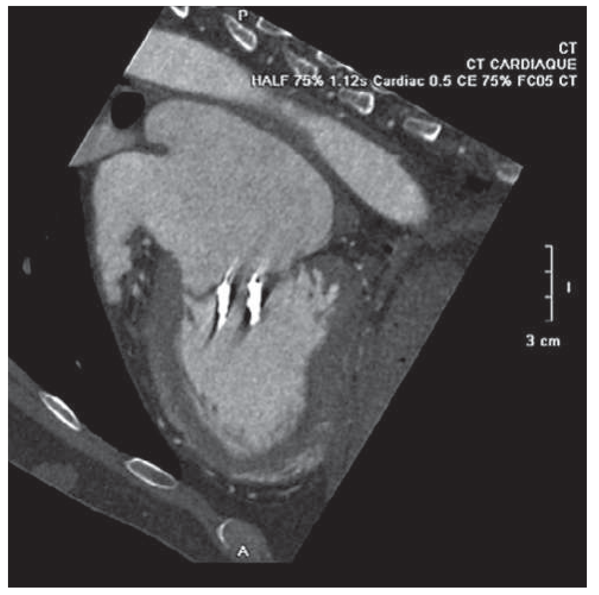
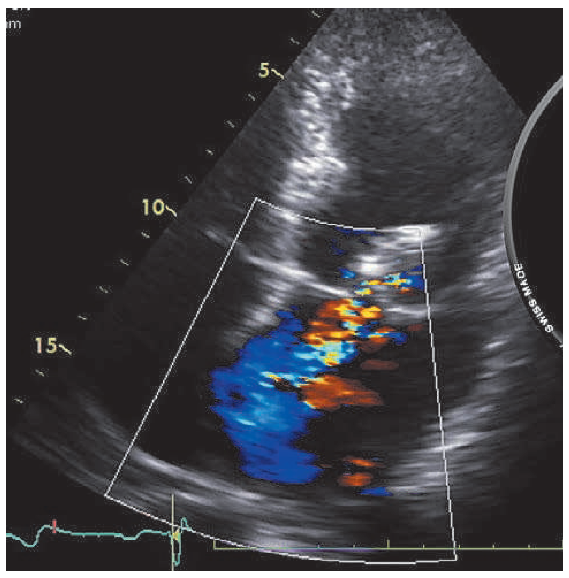
A 59-year-old man was referred to our institution for dyspnea. He had a history of mitral valve regurgitation with posterior leaflet valve prolapse. In 2006 he underwent mitral repair without annuloplasty ring implantation. In April 2012 dyspnea, NYHA II–III, recurred. Echocardiography showed grade III to IV mitral regurgitation. He was referred to another hospital, where percutaneous treatment with MitraClip™ implantation was proposed to the patient. Two MitraClips™ were implanted. Shortly after the intervention the patient complained about shortness of breath. He was seen at our hospital. Transthoracic echocardiography (Figure 1) and cardiac computed tomography (Figure 2) confirmed the clinical impression of both mitral stenosis and regurgitation with significant gradient and a valve surface of 1.7 cm2. M-mode echocardiography showed typical patterns of mitral stenosis (Figure 3). Mitral valve repair with annuloplasty could be performed with neocordals, reinforcement of the posterior leaflet and ring implantation (Figure 4 and Figure 5). Six months later, the mitral valve is fully functional and the patient is asymptomatic. This case is remarkable for a few points: firstly, mitral annuloplasty with ring implantation should be performed instead of simple repair. Secondly, equivalence of surgery with MitraClip™ implantation has been proven in some trials. However patients included in these studies were older and sicker than our patient. There are more arguments to suggest that MitraClip™ should be reserved for nonoperable patients or to patients refusing surgery. In our patient, revision surgery was probably a better option than a percutaneous approach. Valve dysfunction requiring a second intervention is almost 10 times more frequent after MitraClip™ implantation than after conventional surgery. Thirdly, even though trials about MitraClip™ are still ongoing, indications should not be lifted to younger patients, until we have clear evidence regarding the comparison of the 2 techniques. Finally, mitral valve repair with annuloplasty and ring implantation is possible after MitraClip™ implantation.

Funding/Potential Competing Interests

No financial support and no other potential conflict of interest relevant to this article were reported.

References

  1. Mauri, L.; Foster, E.; Glower, D.D.; Apruzzese, P.; Massaro, J.M.; Herrmann, H.C.; EVEREST II Investigators; et al. Surgery for severe ischemic mitral regurgitation. 4-year results of a randomized controlled trial of percutaneous repair versus surgery for mitral regurgitation. J Am Coll Cardiol. 2013, 62, 317–328. [Google Scholar] [CrossRef] [PubMed]
  2. Glower, D.D.; Kar, S.; Trento, A.; Lim, D.S.; Bajwa, T.; Quesada, R.; et al. Percutaneous mitral valve repair for mitral regurgitation in high-risk patients: results of the EVEREST II Study. J Am Coll Cardiol. 2014, 64, 1721–1781. [Google Scholar] [CrossRef] [PubMed]
Figure 1. 2D echocardiography showing mitral regurgitation.
Figure 1. 2D echocardiography showing mitral regurgitation.
Cardiovascmed 17 00371 g001
Figure 2. CT scan showing the 2 MitraClips with limitation of the opening of the valve.
Figure 2. CT scan showing the 2 MitraClips with limitation of the opening of the valve.
Cardiovascmed 17 00371 g002
Figure 3. M-mode image with typical patterns of mitral stenoses.
Figure 3. M-mode image with typical patterns of mitral stenoses.
Cardiovascmed 17 00371 g003
Figure 4. Perioperative stenosis with mitral valve ballooning. The MitraClip is visible on both leaflets.
Figure 4. Perioperative stenosis with mitral valve ballooning. The MitraClip is visible on both leaflets.
Cardiovascmed 17 00371 g004
Figure 5. Final result after mitral valve repair and ring implantation.
Figure 5. Final result after mitral valve repair and ring implantation.
Cardiovascmed 17 00371 g005

Share and Cite

MDPI and ACS Style

Coattrenec, Y.; Vanermen, H.; Khatchatourov, G.; Goy, J.-J. MitraClip™: What Should Not Be Done? Cardiovasc. Med. 2014, 17, 371. https://doi.org/10.4414/cvm.2014.00282

AMA Style

Coattrenec Y, Vanermen H, Khatchatourov G, Goy J-J. MitraClip™: What Should Not Be Done? Cardiovascular Medicine. 2014; 17(12):371. https://doi.org/10.4414/cvm.2014.00282

Chicago/Turabian Style

Coattrenec, Yann, Hugo Vanermen, Gregory Khatchatourov, and Jean-Jacques Goy. 2014. "MitraClip™: What Should Not Be Done?" Cardiovascular Medicine 17, no. 12: 371. https://doi.org/10.4414/cvm.2014.00282

APA Style

Coattrenec, Y., Vanermen, H., Khatchatourov, G., & Goy, J.-J. (2014). MitraClip™: What Should Not Be Done? Cardiovascular Medicine, 17(12), 371. https://doi.org/10.4414/cvm.2014.00282

Article Metrics

Back to TopTop