Next Article in Journal
A Rare Cause of Pacemaker-Related Endocarditis
Previous Article in Journal
Postural Changes in T Waves
 
 
Cardiovascular Medicine is published by MDPI from Volume 28 Issue 1 (2025). Previous articles were published by another publisher in Open Access under a CC-BY (or CC-BY-NC-ND) licence, and they are hosted by MDPI on mdpi.com as a courtesy and upon agreement with Editores Medicorum Helveticorum (EMH).
Font Type:
Arial Georgia Verdana
Font Size:
Aa Aa Aa
Line Spacing:
Column Width:
Background:
Case Report

SoloPath® Sheath for Transfemoral Transcatheter Aortic Valve Replacement. Strength and Limitations and Report of a Failure Due to a Kink in Tortuous Access

by
Stéphane Noble
1,2,*,
Nils Perrin
1,
Anne-Lise Hachulla
3 and
Marco Roffi
1
1
Cardiology Division, University Hospital of Geneva, CH-1211 Geneva, Switzerland
2
Interventional Cardiology Unit, University Hospital of Geneva, CH-1211 Geneva, Switzerland
3
Department of Radiology, University Hospital of Geneva, CH-1211 Geneva, Switzerland
*
Author to whom correspondence should be addressed.
Cardiovasc. Med. 2014, 17(10), 296; https://doi.org/10.4414/cvm.2014.00280
Submission received: 22 July 2014 / Revised: 22 August 2014 / Accepted: 22 September 2014 / Published: 22 October 2014

Abstract

We share a case of unsuccessful use of the SoloPath® balloon-expandable sheath (Onset Medical, a subdivision of Terumo Medical Corporation, Irvine, CA) in a transfemoral transcatheter aortic valve replacement due to kinking in a patient with large diameter iliofemoral access and moderate vessel tortuosity. Subsequently, we discuss the advantages and disadvantages of this new technology that may further expand the transfemoral option in transcatheter aortic valve replacement, especially with borderline diameter and/or non-circumferential calcification, but we believe that particular caution should be paid in the presence of significant tortuosity.

Introduction

The transfemoral retrograde approach is the most commonly used access for transcatheter aortic valve replacement (TAVR). Detailed vascular screening remains essential in order to avoid vascular complications. Particular attention should be paid to ilio-femoral tortuosity, calcification, as well as minimal lumen diameter: a minimal lumen diameter of at least 6 mm is required for a safe transfemoral procedure using an 18-French (F) sheath. Recently, the SoloPath® balloonexpandable sheath (Onset Medical, a subdivision of Terumo Medical Corporation, Irvine, CA) became available and has been approved by the Food and Drug Administration in the United States since 2011 [1]. The underlying interesting concept c onsists of a balloon-expandable sheath with a reduced profile when folded (outer diameter of 13 F) allowing facilitated vessel entry and device advancement. The sheath is subsequently inflated by means of an incorporated balloon, up to an inner diameter of between 18 F and 21 F according to the. SoloPath® model selected (Figure 1). At the end of the procedure, it is designed to collapse upon withdrawal [2,3]. Herein we share a case of unsuccessful use of this expandable sheath and discuss the advantages and disadvantages of this new technology.

Case report

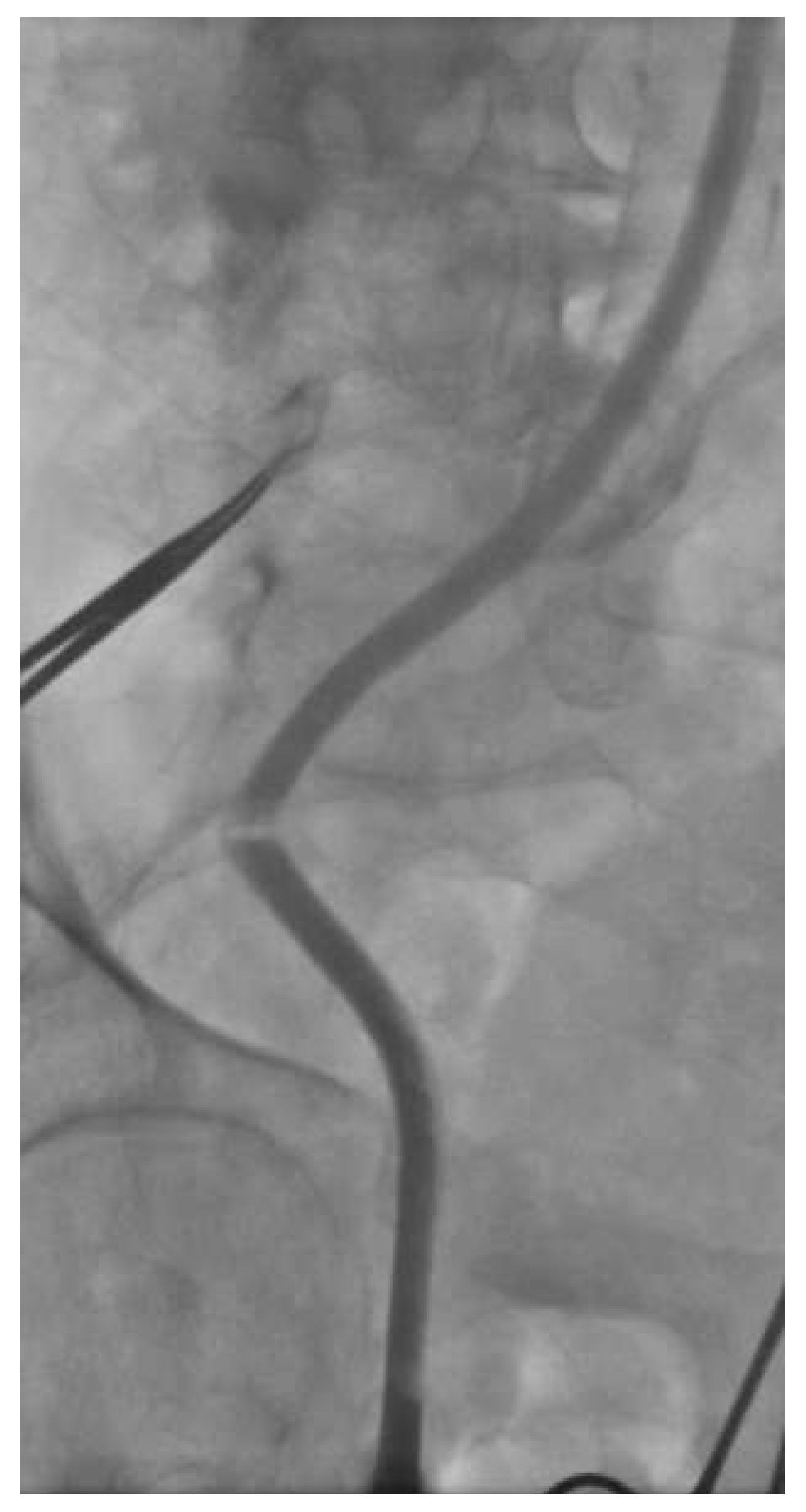
A 91-year-old active patient, who had been followed for several years for critical aortic stenosis (mean gradient of 60 mm Hg, normal left ventricular ejection fraction, valve area of 0.6 cm2) with mild symptoms, was admitted for overt heart failure. The coronary angiogram did not show any significant coronary artery lesions while the left–right heart catheterisation confirmed the severity of the aortic stenosis. The logistic EuroSCORE and the STS (Society of Thoracic Surgeons) scores were 11.4 and 4.4% risk of mortality, respectively. Considering the frailty of this nonagenarian, the heart team decision was to propose transfemoral TAVR since the ilio-femoral vascular access was considered suitable. Indeed, the minimum diameter at ilio-femoral angiography was around 8 mm, while moderate vessel tortuosities were present (Figure 2).
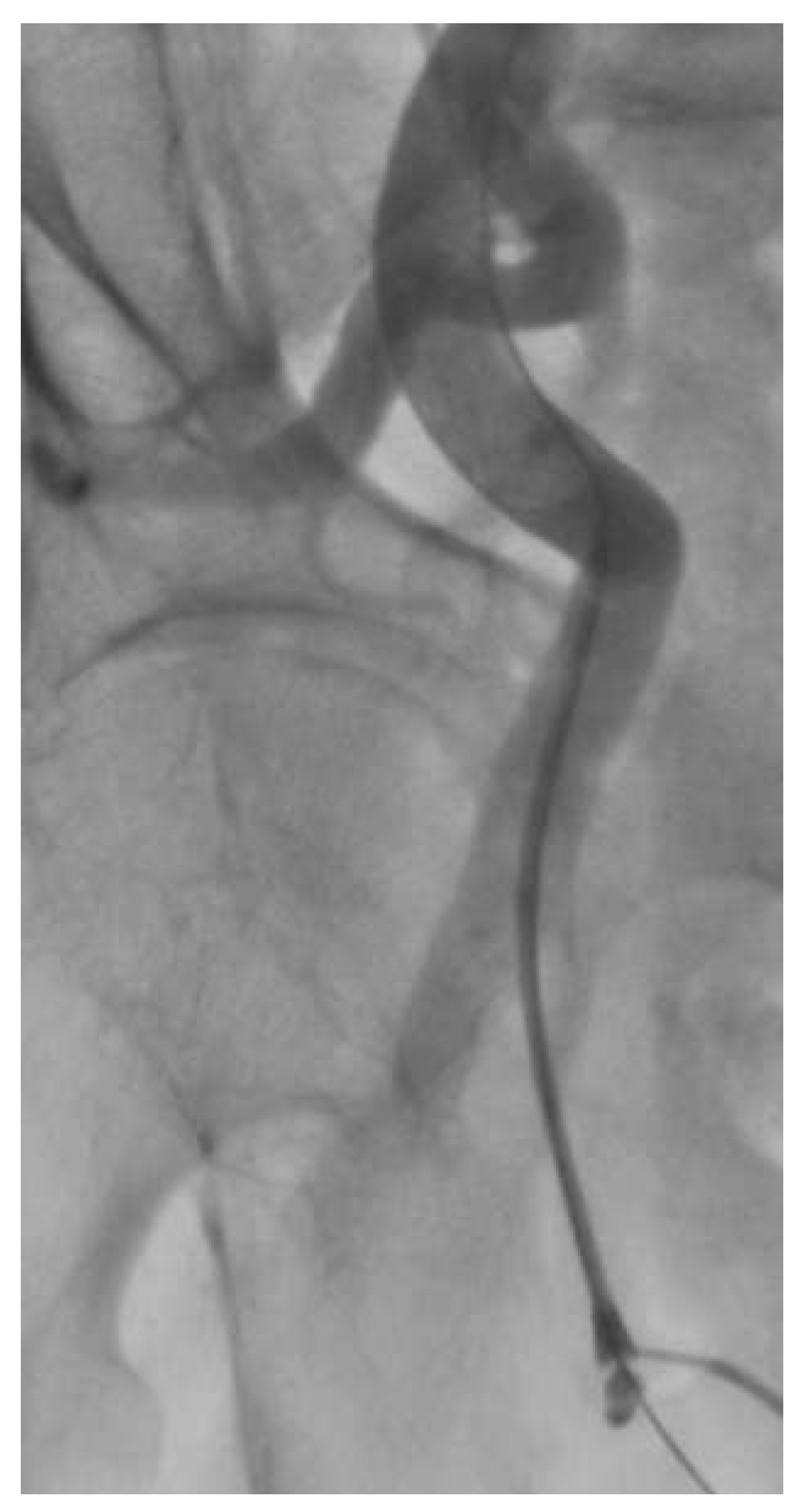
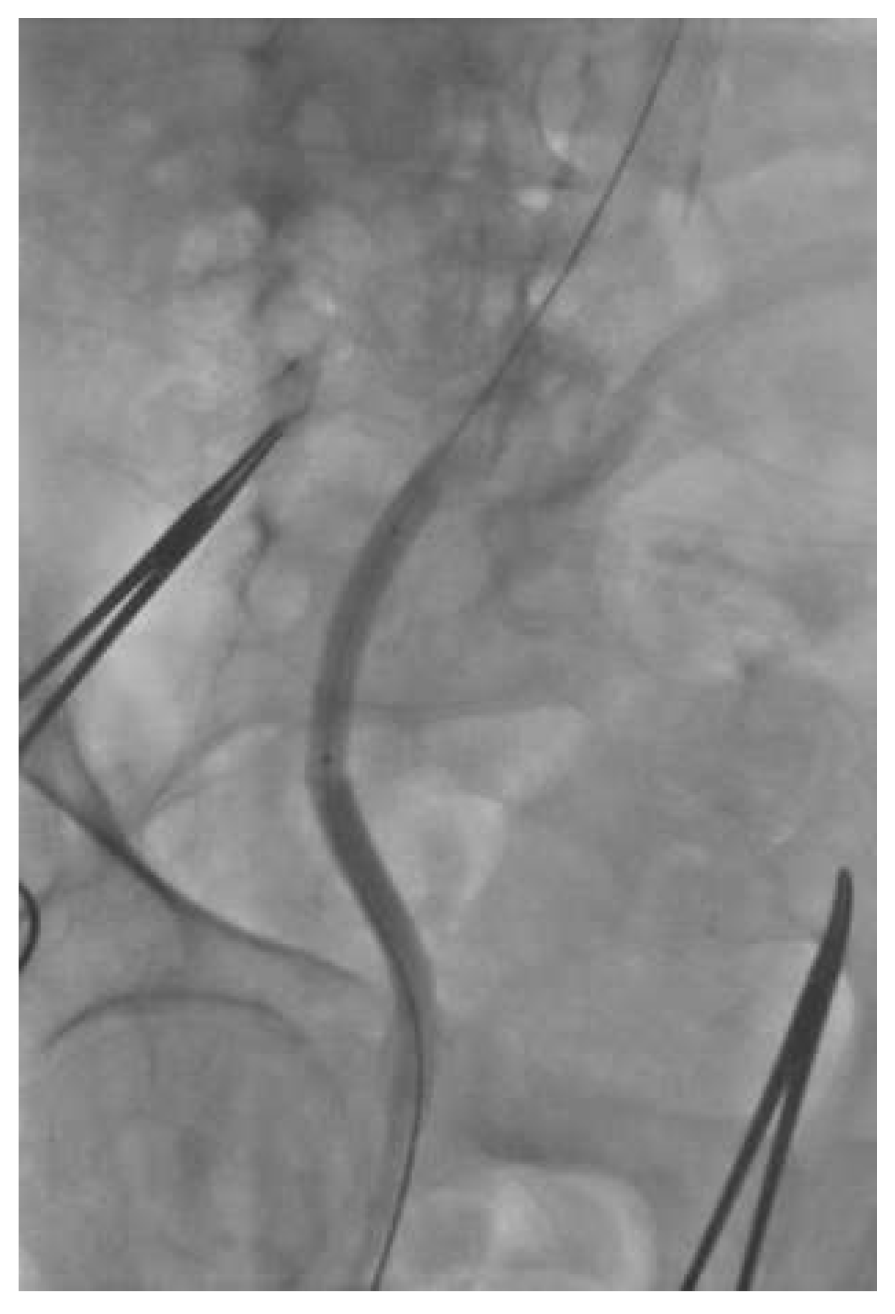
Under local anaesthesia and conscious sedation, we punctured the common femoral artery and performed the pre-closure technique using the Prostar® XL10 (Abbott Vascular, Reedwood City, CA). Over a Super Stiff ST-1 wire (Boston Scientific, Maple Grove, MN, USA) we inserted a folded 19-French SoloPath® sheath without any difficulties. As recommended by the instructions for use, once the sheath was full inserted we inflated the sheath balloon at 20 atmospheres for one minute. As we commonly did with other large-bore sheaths, the stiff wire was retrieved simultaneously with the dilator. At this time we noticed a kink in the sheath at the level of the iliac tortuosity (Figure 3), this kink was overcome with some difficulty by advancing a 0.035” wire. Subsequently, the kinked portion of the sheath was dilated with a peripheral balloon catheter (Admiral Xtreme 7 × 40 mm; Medtronic, MN, USA) (Figure 4). However, since we were not satisfied with that aspect of the sheath and we feared difficulties in advancement or retrieval of equipment during the procedure, we preferred to exchange the SoloPath® sheath for an 18-F Cook sheath (Cook Medical, Bloomington, IN, USA), which completely straightened the vessel (Figure 5). The procedure was then completed by pre-dilatation and successful implantation of a 29 Medtronic CoreValve®. The final ilio-femoral angiography from the contralateral femoral access showed no vascular complication or bleeding.

Discussion

We report the unsuccessful use of a SoloPath® sheath in a transfemoral TAVR due to kinking in a patient with large diameter ilio-femoral access and moderate vessel tortuosity. Only a limited number of reports are available addressing this interesting new technology [2,3,4] which may potentially expand the indication for transfemoral TAVR. The device provides enhanced manoeuvrability, utilises the natural elasticity of vessels and thus enables delivery through challenging iliofemoral anatomies. This expandable sheath provides a clear advantage in the case of borderline vessel diameter or potentially in vessels where advancing an 18-F sheath would be difficult in the presence of calcification. However, particular attention should be paid to vessel tortuosity because kink resistance of the SoloPath® sheath may be inferior to other introducer sheaths. In the case reported, the fact that we retrieved the stiff wire at the time of introducer retrieval likely contributed to the worsening of the kink. However, since in our practice we separate the “access phase” from the “valve phase” (i.e., the native valve crossing, balloon valvuloplasty and prosthetic valve placement), we do not always have a stiff wire in place.
In our experience of 10 cases (Table 1, Figure 6), we were confronted with two CoreValve® embolisations with successful extraction of the valve through the SoloPath® sheath. The distal tip of the sheath was strong enough to allow recapture. One additional downside of the technology is that the haemostatic valve leaks once a stiff wire is in place. We obviate this limitation by inserting a 9-F sheath into the SoloPath® during the procedure phase of native valve crossing and baseline hemodynamic assessment. Finally, when advancing the folded sheath, it should be deeply advanced quite rapidly to avoid significant blood leakage through the folded portion and its W-shaped channel.
Of note, the first experience with the second generation SoloPath® balloon-expandable and re-collapsible transfemoral access system has been reported by Sedaghat et al. [5]. This second generation can be actively deflated by injection of sterile saline into an additional port. This new technology may allow safer retrieval of the sheath and further decrease major vascular complications. However, kink as well as longitudinal resistances still need to be evaluated.
In conclusion we believe that the SoloPath® sheath is an interesting technology that may further expand the transfemoral option, especially with borderline diameter and/or non-circumferential calcification, but particular caution should be paid in the presence of significant tortuosity.

Funding/potential competing interests:

S. Noble, MD, is a trainer for Medtronic CoreValve®. Medtronic had no role in the design, subject recruitment or preparation of this case report.

References

  1. Available online:. Available online: http://www.accessdata.fda.gov (accessed on 20 February 2011).
  2. Dimitriadis, Z.; Scholtz, W.; Faber, L.; Borgermann, J.; Kleikamp, G.; Horstkotte, D.; et al. Balloon expandable sheath for transfemoral aortic valve implantation: a viable option for patients with challenging access. J Interv Cardiol. 2013, 26, 84–89. [Google Scholar] [CrossRef] [PubMed]
  3. Eggebrecht, H.K.P.; Thielmann, M.; Plicht, B.; Erbel, R. Usefulness of a novel balloon-expandable vascular sheath for facilitated large-bore arterial access for transcatheter aortic valve implantation. Euro Intervention 2011, 6, 893–894. [Google Scholar] [CrossRef] [PubMed]
  4. Fusari, M.B.V.; Biglioli, P. Case series of bail-out procedures with a balloon-expandable sheath after unsuccessful introduction of the NovaFlex device. Innovations 2010, 7, 45–51. [Google Scholar] [CrossRef] [PubMed]
  5. Sedaghat, A.; Sinning, J.M.; Werner, N. First experience with a new balloon-expandable and re-collapsible vascular sheath in transfemoral percutaneous aortic valve replacement. Catheter Cardiovasc Interv. 2013, 82, E613–E616. [Google Scholar] [CrossRef] [PubMed]
Figure 1. SoloPath® characteristics and different sizes. The left hand side picture shows the folded SoloPath® sheath whereas the right hand side picture shows the expanded version. The sheath is available in different sizes: inner diameter from 14 F to 21 F with two different lengths: 25 and 35 cm. For TAVI usually the 35-mm long sheath is used. The diameter tip for all models is 5.3 F. The sheath usually used for CoreValve® is the STFI-1935. The STFI-1835 can be used but there is more friction while advancing the CoreValve® system through the sheath since the end of the delivery system (the capsule) is 18 F. (The upper part of the figure was provided by Terumo Medical.) F = French.
Figure 1. SoloPath® characteristics and different sizes. The left hand side picture shows the folded SoloPath® sheath whereas the right hand side picture shows the expanded version. The sheath is available in different sizes: inner diameter from 14 F to 21 F with two different lengths: 25 and 35 cm. For TAVI usually the 35-mm long sheath is used. The diameter tip for all models is 5.3 F. The sheath usually used for CoreValve® is the STFI-1935. The STFI-1835 can be used but there is more friction while advancing the CoreValve® system through the sheath since the end of the delivery system (the capsule) is 18 F. (The upper part of the figure was provided by Terumo Medical.) F = French.
Cardiovascmed 17 00296 g001
Figure 2. Right ilio-femoral access before large sheath insertion with moderate tortuosity and mild calcification.
Figure 2. Right ilio-femoral access before large sheath insertion with moderate tortuosity and mild calcification.
Cardiovascmed 17 00296 g002
Figure 3. 19-F SoloPath® sheath (Onset Medical) with a kink.
Figure 3. 19-F SoloPath® sheath (Onset Medical) with a kink.
Cardiovascmed 17 00296 g003
Figure 4. Admiral Xtreme 7 × 40 mm (Medtronic) balloon inflated in the SoloPath® sheath.
Figure 4. Admiral Xtreme 7 × 40 mm (Medtronic) balloon inflated in the SoloPath® sheath.
Cardiovascmed 17 00296 g004
Figure 5. 18-F Cook sheath (Cook Medical) which straightened the ilio-femoral access.
Figure 5. 18-F Cook sheath (Cook Medical) which straightened the ilio-femoral access.
Cardiovascmed 17 00296 g005
Figure 6. Successful case of SoloPath® use in a borderline anatomy (patient 9). A CT scan assessment using MIP (Maximum Intensity Projection) showing the bilateral ilio-femoral axis with calcification at the level of the common iliac arteries. B Reconstruction of the right ilio-femoral axis with the smallest diameter measured at 5.9 mm. C SoloPath® 19-F sheath inflated. D Final angiographic control.
Figure 6. Successful case of SoloPath® use in a borderline anatomy (patient 9). A CT scan assessment using MIP (Maximum Intensity Projection) showing the bilateral ilio-femoral axis with calcification at the level of the common iliac arteries. B Reconstruction of the right ilio-femoral axis with the smallest diameter measured at 5.9 mm. C SoloPath® 19-F sheath inflated. D Final angiographic control.
Cardiovascmed 17 00296 g006
Table 1.
Cardiovascmed 17 00296 i001

Share and Cite

MDPI and ACS Style

Noble, S.; Perrin, N.; Hachulla, A.-L.; Roffi, M. SoloPath® Sheath for Transfemoral Transcatheter Aortic Valve Replacement. Strength and Limitations and Report of a Failure Due to a Kink in Tortuous Access. Cardiovasc. Med. 2014, 17, 296. https://doi.org/10.4414/cvm.2014.00280

AMA Style

Noble S, Perrin N, Hachulla A-L, Roffi M. SoloPath® Sheath for Transfemoral Transcatheter Aortic Valve Replacement. Strength and Limitations and Report of a Failure Due to a Kink in Tortuous Access. Cardiovascular Medicine. 2014; 17(10):296. https://doi.org/10.4414/cvm.2014.00280

Chicago/Turabian Style

Noble, Stéphane, Nils Perrin, Anne-Lise Hachulla, and Marco Roffi. 2014. "SoloPath® Sheath for Transfemoral Transcatheter Aortic Valve Replacement. Strength and Limitations and Report of a Failure Due to a Kink in Tortuous Access" Cardiovascular Medicine 17, no. 10: 296. https://doi.org/10.4414/cvm.2014.00280

APA Style

Noble, S., Perrin, N., Hachulla, A.-L., & Roffi, M. (2014). SoloPath® Sheath for Transfemoral Transcatheter Aortic Valve Replacement. Strength and Limitations and Report of a Failure Due to a Kink in Tortuous Access. Cardiovascular Medicine, 17(10), 296. https://doi.org/10.4414/cvm.2014.00280

Article Metrics

Back to TopTop