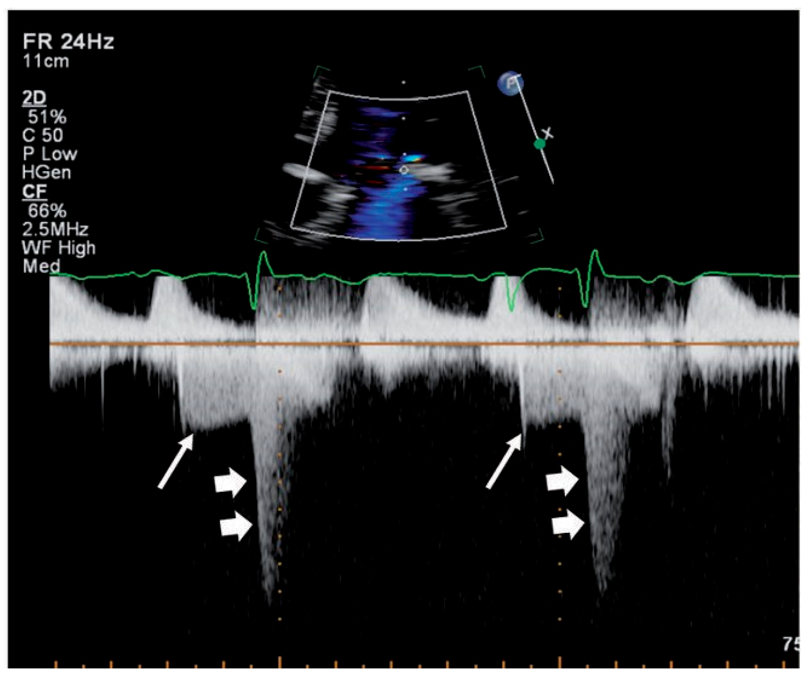
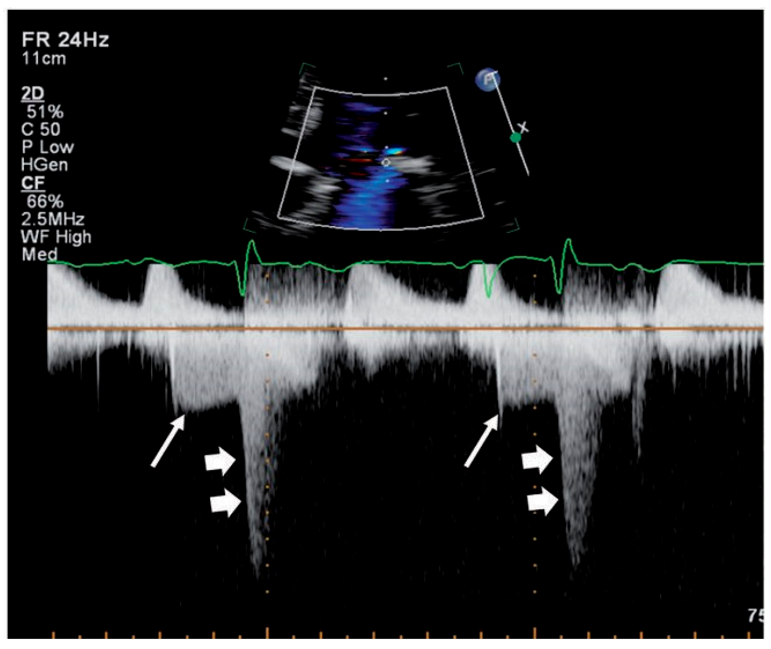
Diastolic Mitral Regurgitation in Complete Atrioventricular Block
Case report
Funding/potential competing interests:
References
- Margulescu, A.D.; Vinereanu, D.; Cinteza, M. Diastolic mitral regurgitation in 2:1 atrioventricular block. Echocardiography. 2009, 26, 228–229. [Google Scholar] [CrossRef] [PubMed]
- Berger, R.L.; Katz, E.; Tunick, P.; Kronzon, I. The “A-dip” of diastolic mitral regurgitation: an unusual Doppler flow pattern in a patient with severe aortic insufficiency and complete heart block. Eur J Echocardiogr. 2008, 9, 69–71. [Google Scholar] [CrossRef] [PubMed]
- Ishikawa, T.; Sumita, S.; Kimura, K.; Kikuchi, M.; Kosuge, M.; Kuji, N.; et al. Prediction of optimal atrioventricular delay in patients with implanted DDD pacemakers. Pacing Clin Electrophysiol. 1999, 22, 1365–1371. [Google Scholar] [CrossRef] [PubMed]
- Hatle, L.K.; Appleton, C.P.; Popp, R.L. Differentiation of constrictive pericarditis and restrictive cardiomyopathy by Doppler echocardiography. Circulation. 1989, 79, 357–70. [Google Scholar] [CrossRef] [PubMed]



© 2011 by the author. Attribution - Non-Commercial - NoDerivatives 4.0.
Share and Cite
Breitenstein, A.; Herzog, B.; Biaggi, P. Diastolic Mitral Regurgitation in Complete Atrioventricular Block. Cardiovasc. Med. 2011, 14, 163. https://doi.org/10.4414/cvm.2011.01586
Breitenstein A, Herzog B, Biaggi P. Diastolic Mitral Regurgitation in Complete Atrioventricular Block. Cardiovascular Medicine. 2011; 14(5):163. https://doi.org/10.4414/cvm.2011.01586
Chicago/Turabian StyleBreitenstein, Alexander, Bernhard Herzog, and Patric Biaggi. 2011. "Diastolic Mitral Regurgitation in Complete Atrioventricular Block" Cardiovascular Medicine 14, no. 5: 163. https://doi.org/10.4414/cvm.2011.01586
APA StyleBreitenstein, A., Herzog, B., & Biaggi, P. (2011). Diastolic Mitral Regurgitation in Complete Atrioventricular Block. Cardiovascular Medicine, 14(5), 163. https://doi.org/10.4414/cvm.2011.01586
