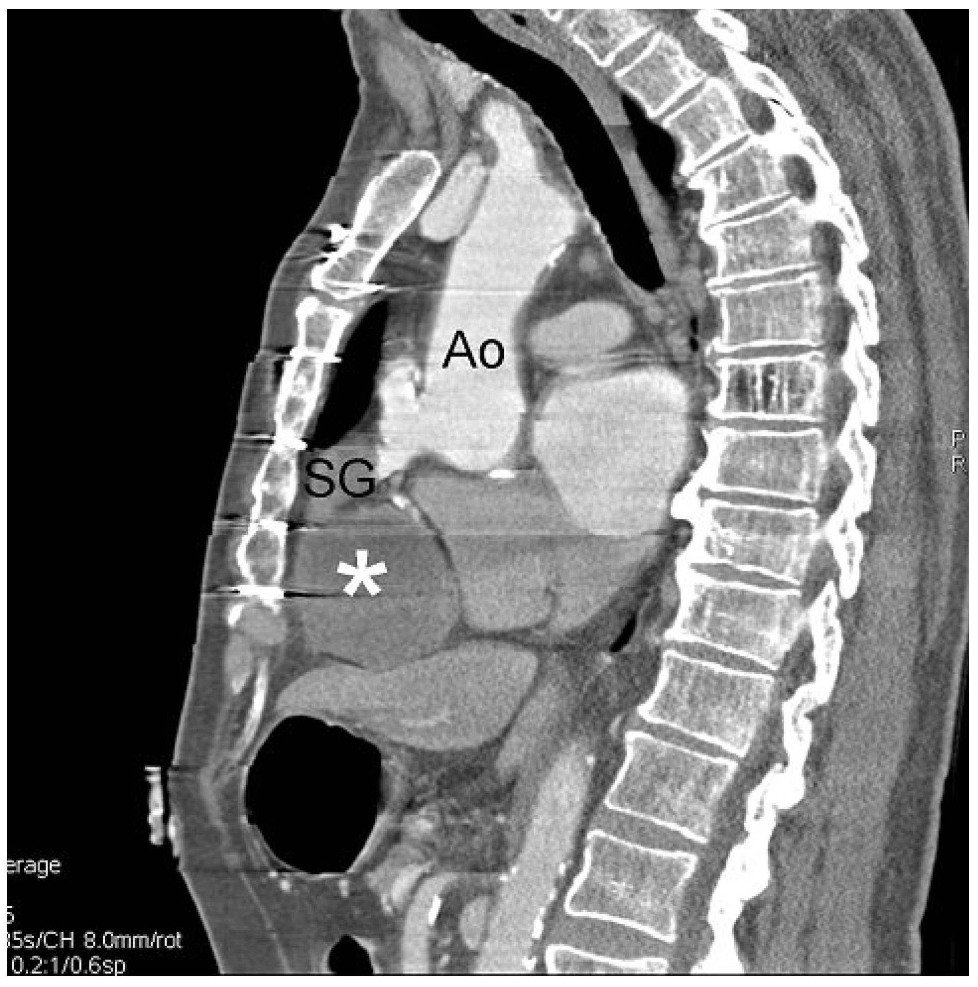
A Giant Saphenous Vein Graft Aneurysm Compressing the Right Cavities
Case report
Conflicts of Interest
References
- Memon, A.Q.; Huang, R.I.; Marcus, F.; Lyndon, X.; Alpert, J. Saphenous vein graft aneurysm. Case report and Review. Cardiol Rev. 2003, 11, 26–34. [Google Scholar] [CrossRef] [PubMed]
- Roth, M.; Sprengel, U.; Kraus, B.; Klövekorn, W.P.; Bauer, E.P. Symptomatic aneurysm of a saphenous vein graft with compression of the right atrium. Heart Surg Forum. 1999, 2, 338–340. [Google Scholar]
- Nishimura, K.; Nakamura, Y.; Harada, S.; Saiki, M.; Marumoto, A.; Kanaoka, Y.; Nishimura, M. Saphenous vein graft aneurysm after coronary artery bypass grafting. Ann Thorac Cardiovasc Surg. 2009, 15, 61–63. [Google Scholar]
- Panetta, C.J.; Schneider, W.; Boller, M.A. Percutaneous management of a long saphenous vein graft aneurysm: a case report and a review of the literature. Cardiol Res Pract. 981292 Epub. 2009. [Google Scholar] [CrossRef] [PubMed]
- Chevallier, S.; Cook, S.; Goy, J.J. How should I treat coronary aneurysm. Accepted for publication in Euro Intervention.



© 2011 by the author. Attribution - Non-Commercial - NoDerivatives 4.0.
Share and Cite
Chevallier, S.; Monnard, E.; Goy, J.-J. A Giant Saphenous Vein Graft Aneurysm Compressing the Right Cavities. Cardiovasc. Med. 2011, 14, 69. https://doi.org/10.4414/cvm.2011.01567
Chevallier S, Monnard E, Goy J-J. A Giant Saphenous Vein Graft Aneurysm Compressing the Right Cavities. Cardiovascular Medicine. 2011; 14(2):69. https://doi.org/10.4414/cvm.2011.01567
Chicago/Turabian StyleChevallier, Stéphane, Etienne Monnard, and Jean-Jacques Goy. 2011. "A Giant Saphenous Vein Graft Aneurysm Compressing the Right Cavities" Cardiovascular Medicine 14, no. 2: 69. https://doi.org/10.4414/cvm.2011.01567
APA StyleChevallier, S., Monnard, E., & Goy, J.-J. (2011). A Giant Saphenous Vein Graft Aneurysm Compressing the Right Cavities. Cardiovascular Medicine, 14(2), 69. https://doi.org/10.4414/cvm.2011.01567
