Mechanism of Sudden Cardiac Death in Coronary Artery Disease
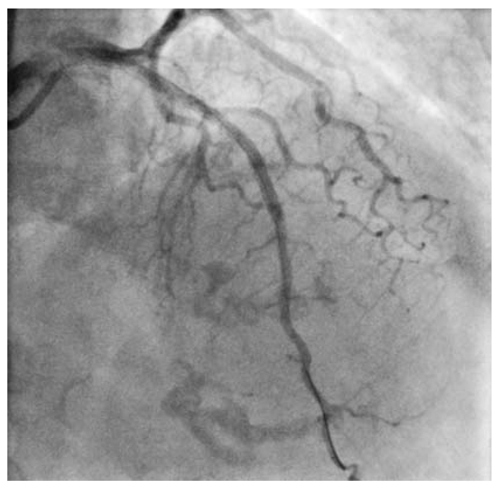
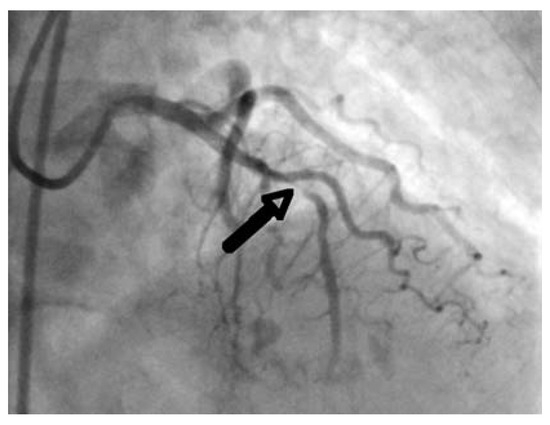
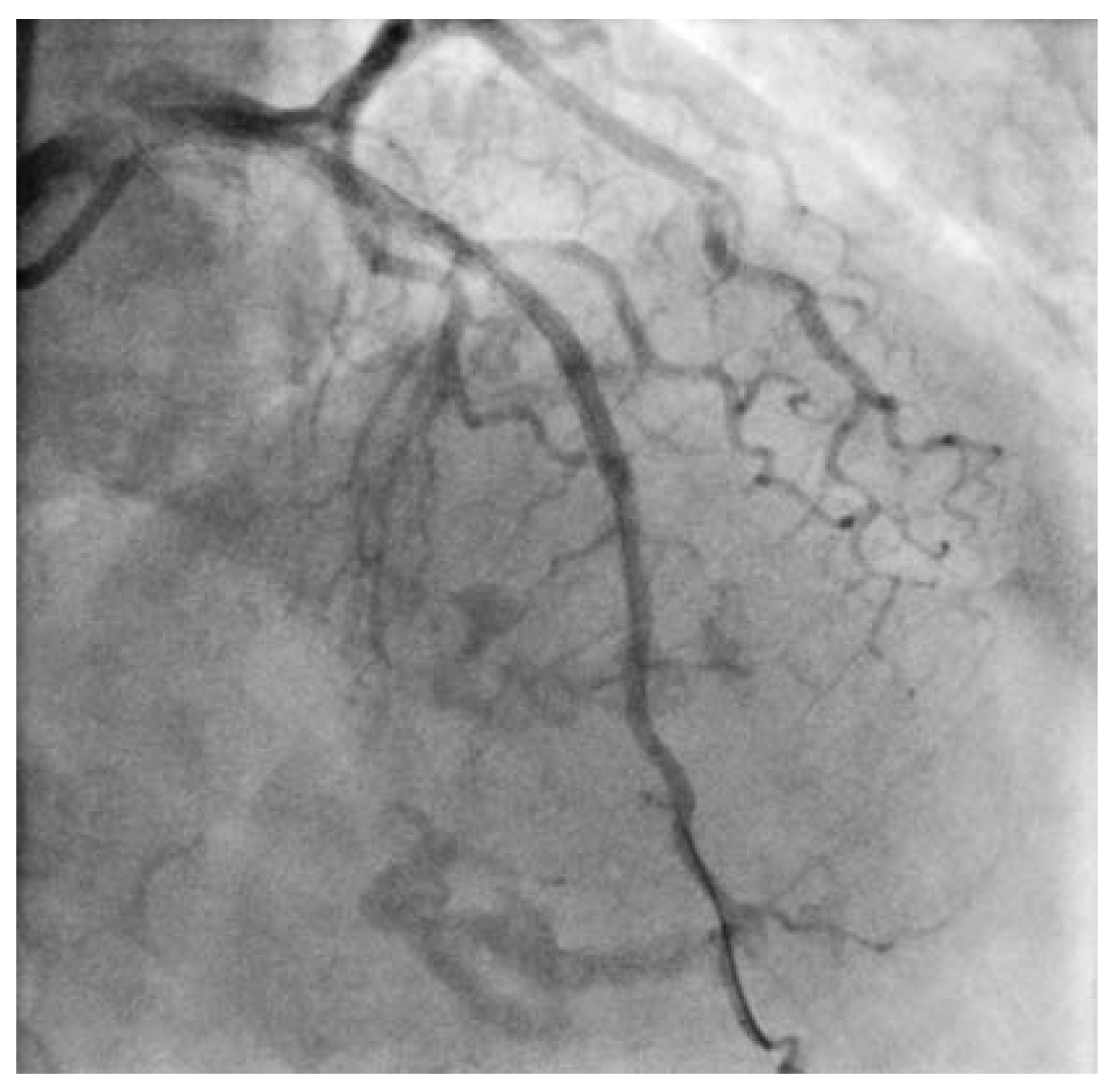
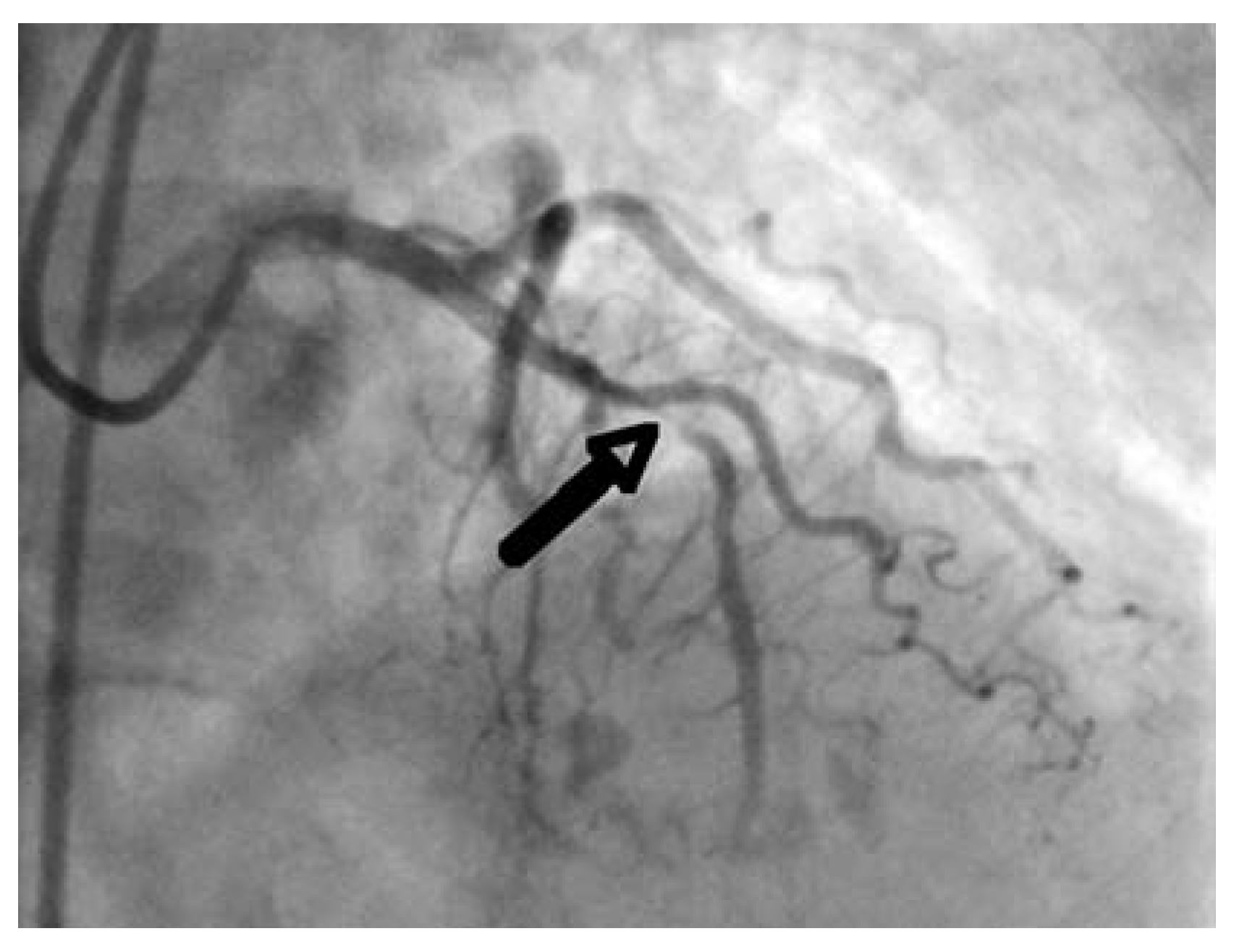
Case report
Discussion
Conflicts of Interest
References
- Albert, C.M.; Chae, C.U.; Grodstein, F.; Rose, L.M.; Rexrode, K.M.; Ruskin, J.N.; et al. Prospective study of sudden cardiac death among women in the United States. Circulation 2003, 107, 2096–2101. [Google Scholar] [CrossRef] [PubMed]
- Engel, T.R.; Meister, S.G.; Frankl, W.S. The “R-on-T” phenomenon: an update and critical review. Ann. Intern. Med. 1978, 88, 221–225. [Google Scholar] [CrossRef] [PubMed]
- Turitto, G.; Dini, P.; Prati, P.L. The R on T phenomenon during transient myocardial ischemia. Am. J. Cardiol. 1989, 63, 1520–1522. [Google Scholar] [CrossRef] [PubMed]




© 2008 by the authors. Attribution - Non-Commercial - NoDerivatives 4.0.
Share and Cite
Schaer, B.; Christ, M. Mechanism of Sudden Cardiac Death in Coronary Artery Disease. Cardiovasc. Med. 2008, 11, 97. https://doi.org/10.4414/cvm.2008.01317
Schaer B, Christ M. Mechanism of Sudden Cardiac Death in Coronary Artery Disease. Cardiovascular Medicine. 2008; 11(3):97. https://doi.org/10.4414/cvm.2008.01317
Chicago/Turabian StyleSchaer, Beat, and Michael Christ. 2008. "Mechanism of Sudden Cardiac Death in Coronary Artery Disease" Cardiovascular Medicine 11, no. 3: 97. https://doi.org/10.4414/cvm.2008.01317
APA StyleSchaer, B., & Christ, M. (2008). Mechanism of Sudden Cardiac Death in Coronary Artery Disease. Cardiovascular Medicine, 11(3), 97. https://doi.org/10.4414/cvm.2008.01317
