Next Article in Journal
Neue Antikoagulantien – «Confused at a Higher Level»?
Previous Article in Journal
Dispositifs D’Assistance Cardiaque Mécanique
 
 
Cardiovascular Medicine is published by MDPI from Volume 28 Issue 1 (2025). Previous articles were published by another publisher in Open Access under a CC-BY (or CC-BY-NC-ND) licence, and they are hosted by MDPI on mdpi.com as a courtesy and upon agreement with Editores Medicorum Helveticorum (EMH).
Font Type:
Arial Georgia Verdana
Font Size:
Aa Aa Aa
Line Spacing:
Column Width:
Background:
Interesting Images

An Illustrative Case of Constrictive Pericarditis

by
Elena Rizzo
1,*,
Alain Delabays
2 and
Xavier Jeanrenaud
2
1
Department of Radiology, CHUV, CH-101 Lausanne, Switzerland
2
Department of Cardiology, CHUV, CH-1011 Lausanne, Switzerland
*
Author to whom correspondence should be addressed.
Cardiovasc. Med. 2008, 11(11), 363; https://doi.org/10.4414/cvm.2008.01365
Submission received: 21 August 2008 / Revised: 21 September 2008 / Accepted: 21 October 2008 / Published: 21 November 2008
A 72-year-old man, treated for hypertension and type II diabetes, presented with a few months history of inferior limbs oedema, legs ulcerations, weight gain (4–5 kg in the last 2 months), nycturia, abdominal tension, and gradually increasing dyspnea.
Clinical examination demonstrates prominent jugular veins, hepato-jugular reflux, oedema and ulcerations of inferior limbs and signs of bilateral pleural effusions. The cardiac auscultation was normal.
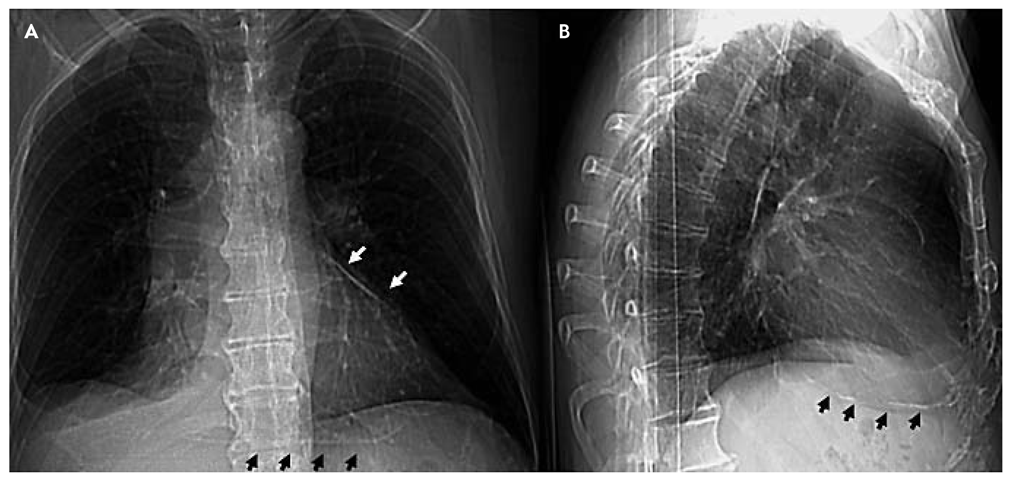
Chest X-ray (Figure 1A,B) shows diffuse pericardial calcifications and right pleural effusion. Thoracic CT scan confirms pleural effusion and circumferential pericardial thick-ening (6 mm) with calcifications (fig. 2A) together with dilatation of the inferior vena cava, hepatomegaly and ascites. 3-dimensional reconstruction (Figure 2B) nicely delineates the spatial extension of pericardial calcifications.
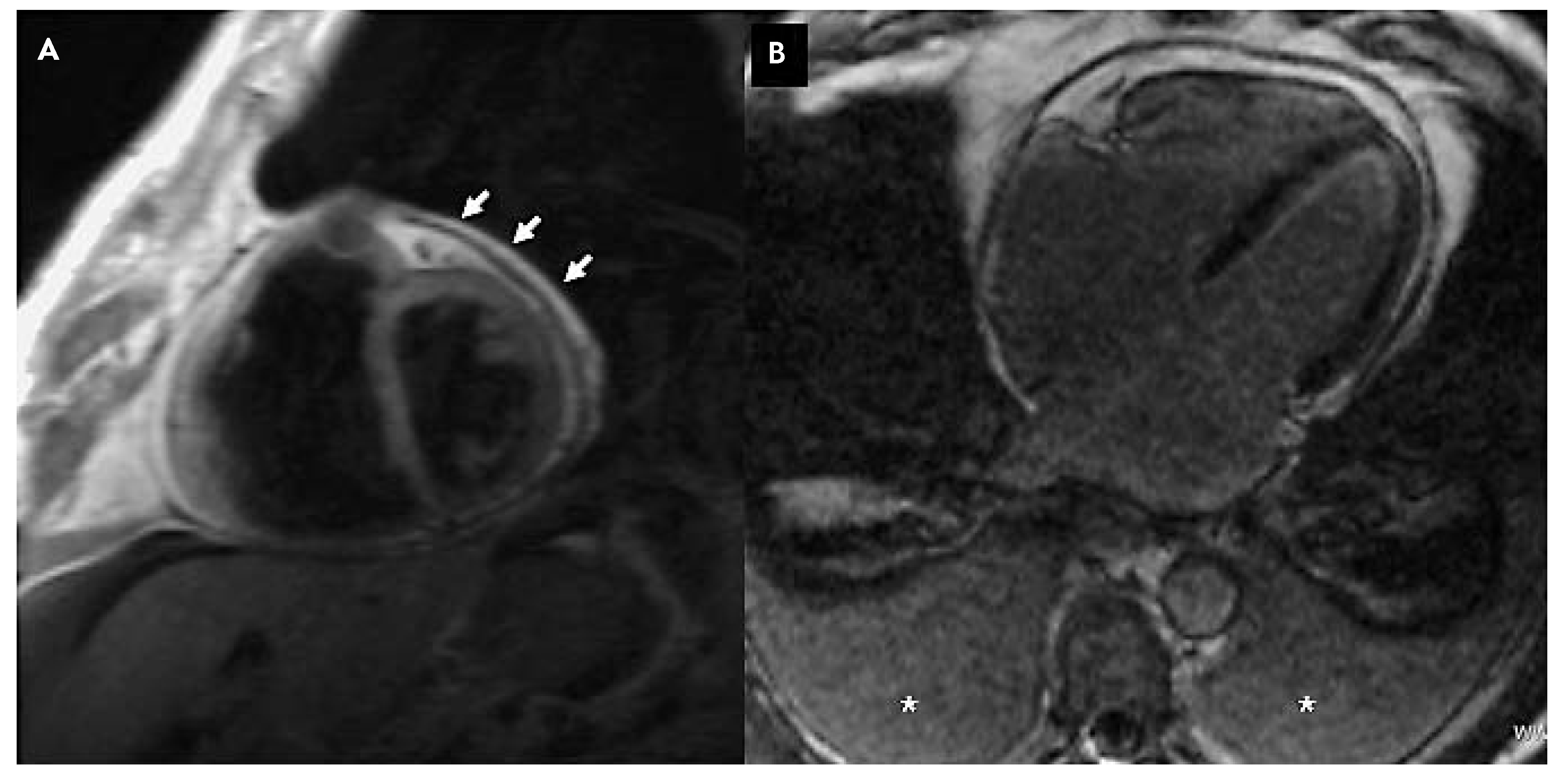
Due to poor echogenecity of the patient, cardiac MRI is performed and demonstrates: important pericardial thickening (6–7 mm) (Figure 3A), normal left ventricular function, interventricular interference during inspirium and a protodiastolic “septal bounce” (cine-MRI images). No late pericardium or myocardium enhancement is observed after Gadolinium injection (Figure 3B).
Simultaneous right- and left-heart catheterisation demonstrates rapid filling (“dip and plateau” pattern) and elevation and equalisation of LV and RV end-diastolic pressures at a value of 20 mm Hg. During inspirium, a discordant pattern of RV and LV systolic pressure changes diagnostic of pericardial constriction (Figure 4) is observed.
In summary, careful examination of chest X-ray raised the suspicion of calcific constrictive pericarditis in this patient with overt right heart failure. Standard chest CT-scan allows a nice anatomic delineation of the pericardium and its calcifications. Cardiac MRI provides systolic function of both ventricles as well as signs of diastolic interaction like “septal bounce”. Respiratory variations in chambers filling can be observed using “real-time” cine sequences [1]. The definitive diagnosis relies on a careful haemodynamic evaluation by right and left heart catheterisation including respiratory recordings of RV and LV pressure changes [2].

References

  1. Wang, Z.J.; Reddy, J.P.; Gotway, M.B.; Yeh, B.M.; Hetts, S.W.; Higgins, C.B. CT and MR imaging of pericardial disease. Radiographics 2003, 23, S167–S180. [Google Scholar] [CrossRef] [PubMed]
  2. Talraja, D.R.; Nishimura, R.A.; Holmes, D.R. Constrictive pericarditis in the modern era novel criteria for diagnostis in the cardiac catheterization laboratory. JACC 2007, 51, 315–319. [Google Scholar] [CrossRef] [PubMed]
Figure 1. Chest X-ray (antero-posterior and lateral view): pericardial calcifications (black and white arrows) and right pleural effusion.
Figure 1. Chest X-ray (antero-posterior and lateral view): pericardial calcifications (black and white arrows) and right pleural effusion.
Cardiovascmed 11 00363 g001
Figure 2. Standard chest CT scan after contrast media injection. A transverse section (1.2 mm thickness) at the aortic root level showing circumferential pericardial calcification (arrow) and right pleural effusion (*). B 3D reconstruction of the heart and great vessels (anterior view) demonstrating calcifications of the pericardium (in yellow) covering most of the antero-lateral wall of the left ventricle.
Figure 2. Standard chest CT scan after contrast media injection. A transverse section (1.2 mm thickness) at the aortic root level showing circumferential pericardial calcification (arrow) and right pleural effusion (*). B 3D reconstruction of the heart and great vessels (anterior view) demonstrating calcifications of the pericardium (in yellow) covering most of the antero-lateral wall of the left ventricle.
Cardiovascmed 11 00363 g002
Figure 3. Cardiac MRI before and after gadolinium injection with late enhancement study. A T1 weighted sequences, short axis view, exhibiting flattening of the interventricular septum and pericardial thickening (arrows). B Late enhancement study after gadolinium injection showing absence of myocardial or pericardial enhancement confirming chronic pericarditis without acute inflammatory process (* denotes pleural effusions).
Figure 3. Cardiac MRI before and after gadolinium injection with late enhancement study. A T1 weighted sequences, short axis view, exhibiting flattening of the interventricular septum and pericardial thickening (arrows). B Late enhancement study after gadolinium injection showing absence of myocardial or pericardial enhancement confirming chronic pericarditis without acute inflammatory process (* denotes pleural effusions).
Cardiovascmed 11 00363 g003
Figure 4. RV and LV curves show equalisation of diastolic pressures with a typical “dip-and-plateau” pattern. During inspiration, there is an increase in peak systolic RV pressure and a decrease in peak systolic LV pressure, classically described in constrictive pericarditis.
Figure 4. RV and LV curves show equalisation of diastolic pressures with a typical “dip-and-plateau” pattern. During inspiration, there is an increase in peak systolic RV pressure and a decrease in peak systolic LV pressure, classically described in constrictive pericarditis.
Cardiovascmed 11 00363 g004

Share and Cite

MDPI and ACS Style

Rizzo, E.; Delabays, A.; Jeanrenaud, X. An Illustrative Case of Constrictive Pericarditis. Cardiovasc. Med. 2008, 11, 363. https://doi.org/10.4414/cvm.2008.01365

AMA Style

Rizzo E, Delabays A, Jeanrenaud X. An Illustrative Case of Constrictive Pericarditis. Cardiovascular Medicine. 2008; 11(11):363. https://doi.org/10.4414/cvm.2008.01365

Chicago/Turabian Style

Rizzo, Elena, Alain Delabays, and Xavier Jeanrenaud. 2008. "An Illustrative Case of Constrictive Pericarditis" Cardiovascular Medicine 11, no. 11: 363. https://doi.org/10.4414/cvm.2008.01365

APA Style

Rizzo, E., Delabays, A., & Jeanrenaud, X. (2008). An Illustrative Case of Constrictive Pericarditis. Cardiovascular Medicine, 11(11), 363. https://doi.org/10.4414/cvm.2008.01365

Article Metrics

Back to TopTop