Qualitative Analysis by High-Performance Thin-Layer Chromatography–Bioautography of Ecuadorian Chenopodium quinoa Willd. Leaves: Influence of Variety, Phenological Stage, and Place of Cultivation on Free Radical Scavenging and α-Amylase Activity
Abstract
1. Introduction
2. Material and Methods
2.1. Plant Material
2.2. Chemicals and Reagents
2.3. Extraction
2.4. Preparation of Solutions
2.5. High-Performance Thin-Layer Chromatography
Post-Chromatographic Derivatization
3. Results and Discussion
3.1. Polyphenols HPTLC Fingerprinting
3.2. DPPH• Assay
3.3. α-Amylase Inhibitory Activity
3.4. Comparison of HPTLC Fingerprints of Quinoa Leaves Versus Seeds
4. Conclusions
Supplementary Materials
Author Contributions
Funding
Data Availability Statement
Acknowledgments
Conflicts of Interest
References
- Abderrahim, F.; Huanatico, E.; Segura, R.; Arribas, S.; Gonzalez, M.C.; Condezo-Hoyos, L. Physical Features, Phenolic Compounds, Betalains and Total Antioxidant Capacity of Coloured Quinoa Seeds (Chenopodium quinoa Willd.) from Peruvian Altiplano. Food Chem. 2015, 183, 83–90. [Google Scholar] [CrossRef] [PubMed]
- Derbali, W.; Manaa, A.; Spengler, B.; Goussi, R.; Abideen, Z.; Ghezellou, P.; Abdelly, C.; Forreiter, C.; Koyro, H.-W. Comparative Proteomic Approach to Study the Salinity Effect on the Growth of Two Contrasting Quinoa Genotypes. Plant Physiol. Biochem. 2021, 163, 215–229. [Google Scholar] [CrossRef]
- Nowak, V.; Du, J.; Charrondiere, U.R. Assessment of the Nutritional Composition of Quinoa (Chenopodium quinoa Willd.). Food Chem. 2016, 193, 47–54. [Google Scholar] [CrossRef]
- Graf, B.L.; Poulev, A.; Kuhn, P.; Grace, M.H.; Lila, M.A.; Raskin, I. Quinoa Seeds Leach Phytoecdysteroids and Other Compounds with Anti-Diabetic Properties. Food Chem. 2014, 163, 178–185. [Google Scholar] [CrossRef] [PubMed]
- Hemalatha, P.; Bomzan, D.P.; Sathyendra Rao, B.V.; Sreerama, Y.N. Distribution of Phenolic Antioxidants in Whole and Milled Fractions of Quinoa and Their Inhibitory Effects on Alpha-Amylase and Alpha-Glucosidase Activities. Food Chem. 2016, 199, 330–338. [Google Scholar] [CrossRef] [PubMed]
- Lin, H.; Li, W.; Lai, D.; Zhou, L. Quinoa Secondary Metabolites and Their Biological Activities or Functions. Molecules 2019, 24, 2512. [Google Scholar] [CrossRef]
- Vilcacundo, R.; Hernández-Ledesma, B. Nutritional and Biological Value of Quinoa (Chenopodium quinoa Willd.). Curr. Opin. Food Sci. 2017, 14, 1–6. [Google Scholar] [CrossRef]
- Köseoğlu Yılmaz, P.; Ertaş, A.; Akdeniz, M.; Koçyiğit Avcı, M.; Kolak, U. Chemical compositions by LC-MS/MS and GC-MS and biological activities of Chenopodium album subsp. album var. microphyllum. Ind. Crops Prod. 2019, 141, 111755. [Google Scholar] [CrossRef]
- Alandia, G.; Rodriguez, J.P.; Jacobsen, S.-E.; Bazile, D.; Condori, B. Global Expansion of Quinoa and Challenges for the Andean Region. Glob. Food Secur. 2020, 26, 100429. [Google Scholar] [CrossRef]
- Brady, K.; Ho, C.-T.; Rosen, R.T.; Sang, S.; Karwe, M.V. Effects of Processing on the Nutraceutical Profile of Quinoa. Food Chem. 2007, 100, 1209–1216. [Google Scholar] [CrossRef]
- Ruiz, K.B.; Biondi, S.; Oses, R.; Acuña-Rodríguez, I.S.; Antognoni, F.; Martinez-Mosqueira, E.A.; Coulibaly, A.; Canahua-Murillo, A.; Pinto, M.; Zurita-Silva, A.; et al. Quinoa Biodiversity and Sustainability for Food Security under Climate Change. A Review. Agron. Sustain. Dev. 2014, 34, 349–359. [Google Scholar] [CrossRef]
- Andreotti, F.; Bazile, D.; Biaggi, C.; Callo-Concha, D.; Jacquet, J.; Jemal, O.M.; King, O.I.; Mbosso, C.; Padulosi, S.; Speelman, E.N.; et al. When Neglected Species Gain Global Interest: Lessons Learned from Quinoa’s Boom and Bust for Teff and Minor Millet. Glob. Food Secur. 2022, 32, 100613. [Google Scholar] [CrossRef]
- Gawlik-Dziki, U.; Swieca, M.; Sulkowski, M.; Dziki, D.; Baraniak, B.; Czyz, J. Antioxidant and Anti-cancer Activities of Chenopodium quinoa Leaves Extracts-in Vitro Study. Food Chem. Toxicol. 2013, 57, 154–160. [Google Scholar] [CrossRef] [PubMed]
- Buitrago, D.; Buitrago-Villanueva, I.; Barbosa-Cornelio, R.; Coy-Barrera, E. Comparative Examination of Antioxidant Capacity and Fingerprinting of Unfractionated Extracts from Different Plant Parts of Quinoa (Chenopodium quinoa) Grown under Greenhouse Conditions. Antioxidants 2019, 8, 238. [Google Scholar] [CrossRef] [PubMed]
- Brahmi, F.; Hauchard, D.; Guendouze, N.; Madami, K.; Kiendrebeogo, M.; Kamagaju, L.; Stévigny, C.; Chibane, M.; Duez, P. Phenolic Composition, in Vitro Antioxidant Effects and Tyrosinase Inhibitory Activity of Three Algerian Mentha Species. Ind. Crops Prod. 2015, 74, 722–730. [Google Scholar]
- Espin, S.; Gonzalez-Manzano, S.; Taco, V.; Poveda, C.; Ayuda-Duran, B.; Gonzalez-Paramas, A.M.; Santos-Buelga, C. Phenolic Composition and Antioxidant Capacity of Yellow and Purple-Red Ecuadorian Cultivars of Tree Tomato (Solanum betaceum Cav.). Food Chem. 2016, 194, 1073–1080. [Google Scholar] [CrossRef] [PubMed]
- Saso, L.; Firuzi, O. Pharmacological Applications Antioxidants Lights and Shadows. Curr. Drug Targets 2014, 15, 1177–1199. [Google Scholar] [CrossRef]
- Halliwell, B.; Gutteridge, J. Free Radicals in Biology and Medicine, 3rd ed.; Oxford University Press: Oxford, UK, 1999. [Google Scholar]
- Hirose, Y.; Fujita, T.; Ishii, T.; Ueno, N. Antioxidative Properties and Flavonoid Composition of Chenopodium quinoa Seeds Cultivated in Japan. Food Chem. 2010, 119, 1300–1306. [Google Scholar] [CrossRef]
- Bai, L.; Li, X.; He, L.; Zheng, Y.; Lu, H.; Li, J.; Zhong, L.; Tong, R.; Jiang, Z.; Shi, J. Antidiabetic Potential of Flavonoids from Traditional Chinese Medicine. A Review. Am. J. Chin. Med. 2019, 47, 933–957. [Google Scholar] [CrossRef]
- Herrera, T.; Navarro Del Hierro, J.; Fornari, T.; Reglero, G.; Martin, D. Inhibitory Effect of Quinoa and Fenugreek Extracts on Pancreatic Lipase and Alpha-Amylase under in Vitro Traditional Conditions or Intestinal Simulated Conditions. Food Chem. 2019, 270, 509–517. [Google Scholar] [CrossRef] [PubMed]
- Stojkovic, D.; Smiljkovic, M.; Ciric, A.; Glamoclija, J.; Griensven, L.; Ferreira, I.C.F.R.; Sokovic, M. An Insight into Antidiabetic Properties of Six Medicinal and Edible Mushrooms: Inhibition of α-Amylase and α-Glucosidase Linked to Type-2 Diabetes. S. Afr. J. Bot. 2019, 120, 100–103. [Google Scholar] [CrossRef]
- Mahmood, N. A Review of α-Amylase Inhibitors on Weight Loss and Glycemic Control in Pathological State Such as Obesity and Diabetes. Comp. Clin. Pathol. 2016, 25, 1253–1264. [Google Scholar] [CrossRef]
- López-Fernández, M.P.; Burrieza, H.P.; Rizzo, A.J.; Martínez-Tosar, L.J.; Maldonado, S. Cellular and Molecular Aspects of Quinoa Leaf Senescence. Plant Sci. 2015, 238, 178–187. [Google Scholar] [CrossRef] [PubMed]
- Legerska, B.; Chmelova, D.; Ondrejovic, M.; Miertus, S. The TLC-Bioautography as a Tool for Rapid Enzyme Inhibitors Detection—A Review. Crit. Rev. Anal. Chem. 2022, 52, 275–293. [Google Scholar] [CrossRef] [PubMed]
- Simoes-Pires, C.A.; Hmicha, B.; Marston, A.; Hostettmann, K. A TLC Bioautographic Method for the Detection of Alpha- and Beta-Glucosidase Inhibitors in Plant Extracts. Phytochem. Anal. 2009, 20, 511–515. [Google Scholar] [CrossRef] [PubMed]
- Dewanjee, S.; Gangopadhyay, M.; Bhattacharya, N.; Khanra, R.; Dua, T.K. Bioautography and Its Scope in the Field of Natural Product Chemistry. J. Pharm. Anal. 2015, 5, 75–84. [Google Scholar] [CrossRef] [PubMed]
- Taco, V.; Palmieri, C.; Duez, P.; Nachtergael, A. Optimized High-Performance Thin-Layer Chromatography-bioautography Screening of Ecuadorian Chenopodium quinoa Willd. Leaf Extracts for Inhibition of α-Amylase. JPC—J. Planar Chromatogr.—Mod. TLC 2021, 34, 561–567. [Google Scholar] [CrossRef]
- Sosa-Zuniga, V.; Brito, V.; Fuentes, F.; Steinfort, U. Phenological Growth Stages of Quinoa (Chenopodium quinoa Willd) Based on the BBCH Scale. Ann. Appl. Biol. 2017, 171, 117–124. [Google Scholar] [CrossRef]
- Yzarra, W.; López, F.; Dediós, N.; Medina, E.; Gómez, H.; Rosas, R.; Montañez, L.; Escalante, J. Manual de observaciones fenológicas. In Manual-Guía, 4th ed.; Senamhi, Ed.; Servicio Nacional de Meteorología e Hidrología del Perú: Lima, Peru, 2017; p. 27. [Google Scholar]
- Liu, X.; Ahlgren, S.; Korthout, H.; Salome-Abarca, L.F.; Bayona, L.M.; Verpoorte, R.; Choi, Y.H. Broad Range Chemical Profiling of Natural Deep Eutectic Solvent Extracts Using a High Performance Thin Layer Chromatography-Based Method. J. Chromatogr. A 2018, 1532, 198–207. [Google Scholar] [CrossRef] [PubMed]
- Europe, C. High-Performance Thin-Layer Chromatography of Herbal Drugs and Herbal Drug Preparations (2.8.25). In European Pharmacopoeia; Council of Europe: Strasbourg, France, 2019. [Google Scholar]
- Agatonovic-Kustrin, S.; Morton, D.W.; Adam, A.; Mizaton, H.H.; Zakaria, H. High-Performance Thin-Layer Chromatographic Methods in the Evaluation of the Antioxidant and Anti-Hyperglycemic Activity of Myrmecodia Platytyrea as a Promising Opportunity in Diabetes Treatment. J. Chromatogr. A 2017, 1530, 192–196. [Google Scholar] [CrossRef]
- Tang, Y.; Li, X.; Zhang, B.; Chen, P.; Liu, R.; Tsao, R. Characterisation of Phenolics, Betanins and Antioxidant Activities in Seeds of Three Chenopodium quinoa Willd. Genotypes. Food Chem. 2015, 166, 380–388. [Google Scholar] [CrossRef] [PubMed]
- Villacrés, E.; Quelal, M.; Galarza, S.; Iza, D.; Silva, E. Nutritional Value and Bioactive Compounds of Leaves and Grains from Quinoa (Chenopodium quinoa Willd.). Plants 2022, 11, 213. [Google Scholar] [CrossRef]
- Pathan, S.; Siddiqui, R. Nutritional Composition and Bioactive Components in Quinoa (Chenopodium quinoa Willd.) Greens: A Review. Nutrients 2022, 14, 558. [Google Scholar] [CrossRef] [PubMed]
- Hynstova, V.; Sterbova, D.; Klejdus, B.; Hedbavny, J.; Huska, D.; Adam, V. Separation, Identification and Quantification of Carotenoids and Chlorophylls in Dietary Supplements Containing Chlorella Vulgaris and Spirulina Platensis Using High Performance Thin Layer Chromatography. J. Pharm. Biomed. Anal. 2018, 148, 108–118. [Google Scholar] [CrossRef]
- Baldeón, E.; Sánchez-Pizarro, A.; Repo-Carrasco-Valencia, R.; Barat, J.; Grau, R.; Cadenillas-Martínez, A.; Comettant-Rabanal, R. Nutritional Value and Chemical Composition of Quinoa Leaves (Chenopodium quinoa Wild.) at Different Phenological Stages. Manglar 2023, 20, 379–387. [Google Scholar] [CrossRef]
- Stoleru, V.; Vitanescu, M.; Teliban, G.; Cojocaru, A.; Vlase, L.; Gheldiu, A.; Mangalagiu, I.; Amăriucăi-Mantu, D.; Burducea, M.; Zheljazkov, V.; et al. Phytosterol and Polyphenol Contents and Quinoa Leave Yields Variation in Relationships to Variety, Density and Harvesting Date. Agronomy 2022, 12, 2397. [Google Scholar] [CrossRef]
- Hu, L.; Wang, C.; Guo, X.; Chen, D.; Zhou, W.; Chen, X.; Zhang, Q. Flavonoid Levels and Antioxidant Capacity of Mulberry Leaves: Effects of Growth Period and Drying Methods. Front. Plant Sci. 2021, 12, 684974. [Google Scholar] [CrossRef] [PubMed]
- Ming, L.C.; Maia-Almeida, C.I.; Monte Conceição, D.; Yuthi Yuhara, T.; Ortiz Mayo Marques, M.; Mendes Moreschi, S.R.; Leonel, S.; Bonon, A.J.; Castro Tavares, R.; Fidelis, R.R.; et al. Phytomass and Flavonoid Production in Different Organs and Phenological Stages of Passiflora Alata Dryander. J. Med. Plants Res. 2012, 6, 5695–5700. [Google Scholar]
- Saffaryazdi, A.; Ganjeali, A.; Farhoosh, R.; Cheniany, M. Variation in Phenolic Compounds, Alpha-Linolenic Acid and Linoleic Acid Contents and Antioxidant Activity of Purslane (Portulaca oleracea L.) during Phenological Growth Stages. Physiol. Mol. Biol. Plants 2020, 26, 1519–1529. [Google Scholar] [CrossRef]
- Rodrigues, A.S.; Pérez-Gregorio, M.R.; García-Falcón, M.S.; Simal-Gándara, J.; Almeida, D.P.F. Effect of Meteorological Conditions on Antioxidant Flavonoids in Portuguese Cultivars of White and Red Onions. Food Chem. 2011, 124, 303–308. [Google Scholar] [CrossRef]
- Repo-Carrasco-Valencia, R.; Hellström, J.; Pihlava, J.; Mattila, P. Flavonoids and Other Phenolic Compounds in Andean Indigenous Grains: Quinoa (Chenopodium quinoa), kañiwa (Chenopodium pallidicaule) and kiwicha (Amaranthus caudatus). Food Chem. 2010, 120, 128–133. [Google Scholar] [CrossRef]
- Gandarillas, H.; Nieto, C.; Castillo, R. Razas de Quinua en Ecuador; INIAP, Estación Experimental Santa Catalina, Programa de Cultivos Andinos: Quito, Ecuador, 1989. [Google Scholar]
- Abugoch James, L. Chapter 1 Quinoa (Chenopodium quinoa Willd.): Composition, Chemistry, Nutritional, and Functional Properties. Adv. Food Nutr. Res. 2009, 58, 1–31. [Google Scholar] [PubMed]
- Islam, M.K.; Sostaric, T.; Lim, L.Y.; Hammer, K.; Locher, C. Development and Validation of an HPTLC–DPPH Assay and Its Application to the Analysis of Honey. JPC—J. Planar Chromatogr.—Mod. TLC 2020, 33, 301–311. [Google Scholar] [CrossRef]
- Camara, M.A.; Tian, M.; Yang, L.; Wang, S. Application of Thin-Layer Chromatography in Enzyme Activity and Inhibitors Studies of Glucose-6-Phosphate Dehydrogenase. J. Planar Chromatogr. 2015, 28, 333–336. [Google Scholar] [CrossRef]
- Parveen, R.; Khan, N.; Zahiruddin, S.; Ibrahim, M.; Anjum, V.; Parveen, B.; Khan, M.A. TLC-Bioautographic Evaluation for High-Throughput Screening and Identification of Free Radical Scavenging and Antidiabetic Compounds from Traditional Unani Medicinal Plant: Citrullus Colocynthis Schrad. J. AOAC Int. 2020, 103, 669–677. [Google Scholar] [CrossRef]
- Coronado-Olano, J.; Repo-Carrasco-Valencia, R.; Reategui, O.; Toscano, E.; Valdez, E.; Zimic, M.; Best, I. Inhibitory Activity against α-amylase and α-glucosidase by Phenolic Compounds of Quinoa (Chenopodium quinoa Willd.) and Cañihua (Chenopodium pallidicaule Aellen) from the Andean region of Peru. Pharmacogn. J. 2021, 13, 896–901. [Google Scholar] [CrossRef]
- Brahmi, F.; Guedouze, N.; Hauchard, D.; Okusa, P.; Kamagaju, L.; Madani, K.; Duez, P. Phenolic Profile and Biological Activities of Micromeria graeca (L.) Benth. ex Rchb. Int. J. Food Prop. 2017, 20, 2070–2083. [Google Scholar]
- Guendouze-Bouchefa, N.; Madani, K.; Chibane, M.; Boulekbache-Makhlouf, L.; Hauchard, D.; Kiendrebeogo, M.; Stévigny, C.; Ndjolo Okusa, P.; Duez, P. Phenolic Compounds, Antioxidant and Antibacterial Activities of Three Ericaceae from Algeria. Ind. Crops Prod. 2015, 70, 459–466. [Google Scholar] [CrossRef]
- Vilcacundo, R.; Miralles, B.; Carrillo, W.; Hernandez-Ledesma, B. In Vitro Chemopreventive Properties of Peptides Released from Quinoa (Chenopodium quinoa Willd.) Protein under Simulated Gastrointestinal Digestion. Food Res. Int. 2018, 105, 403–411. [Google Scholar] [CrossRef]







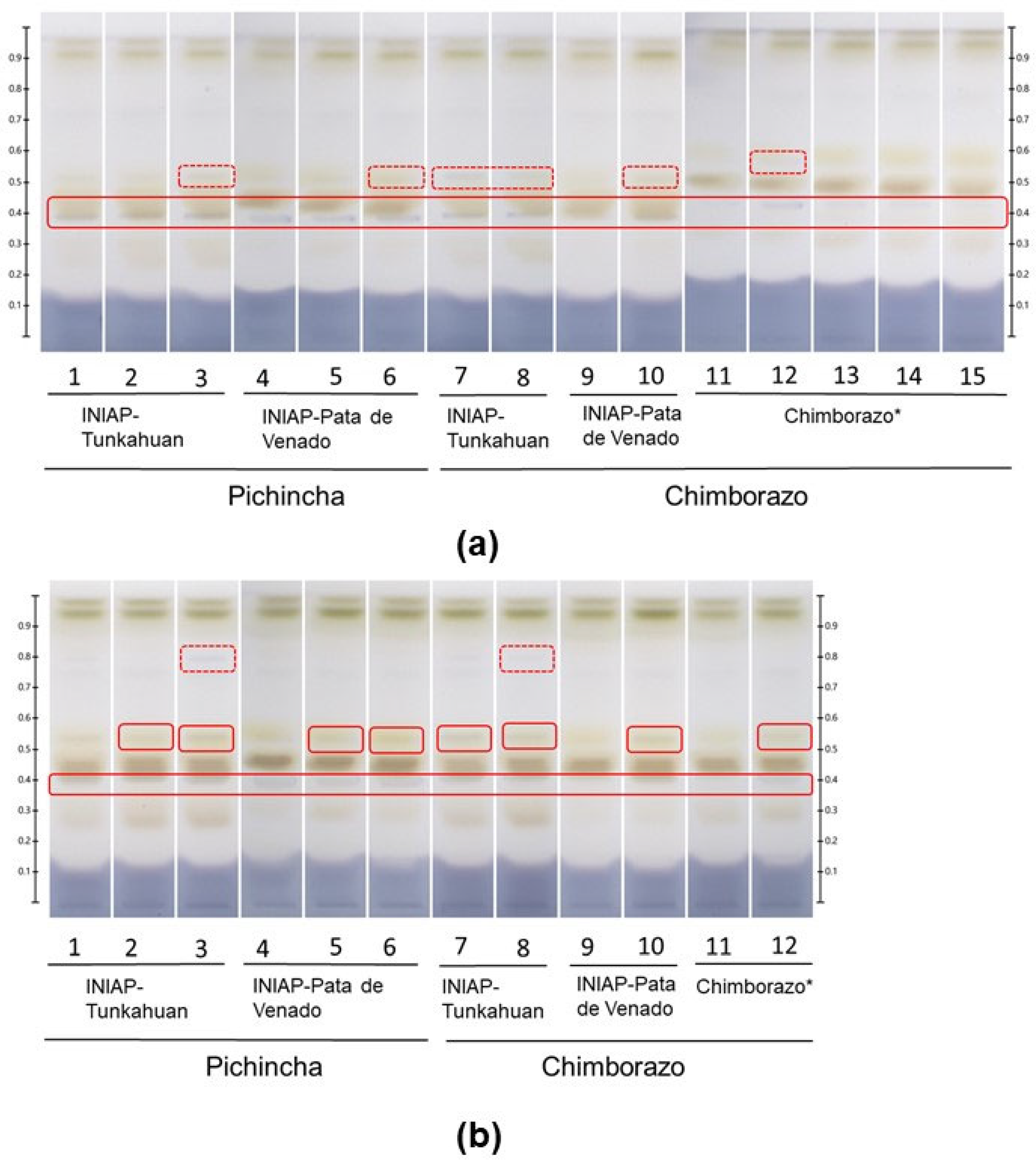
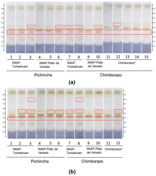
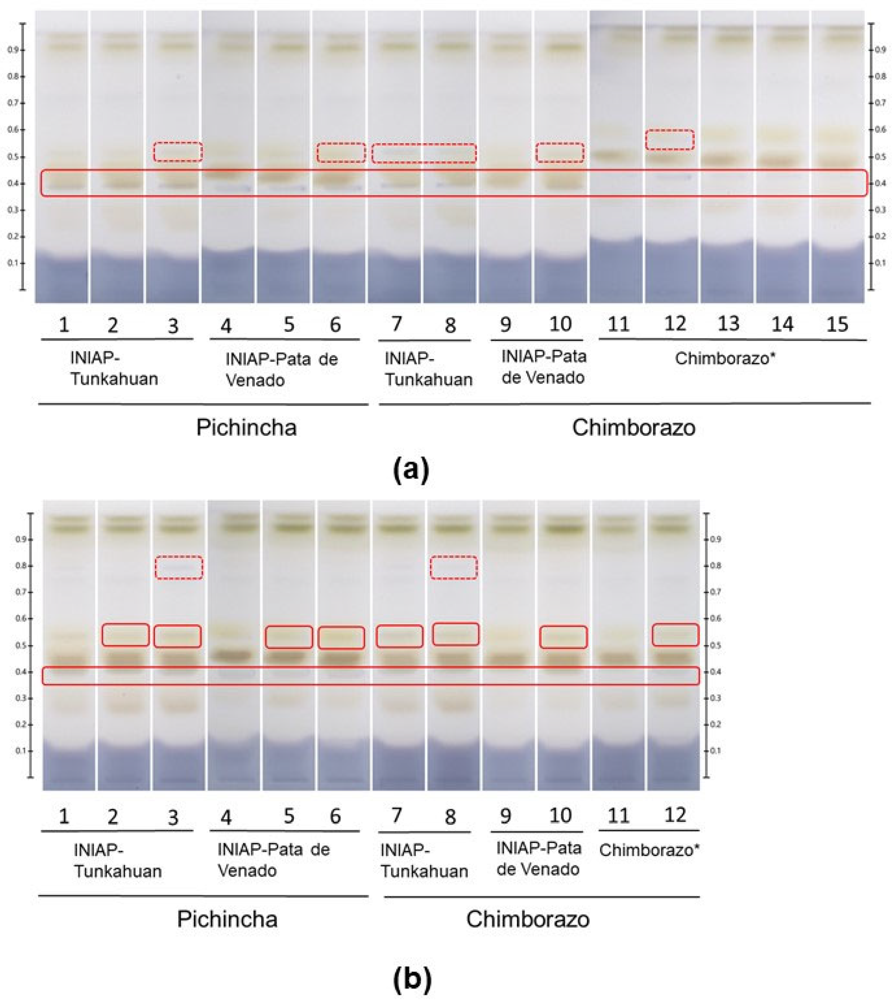
| Quinoa | Description | Place of Cultivation | Variety or Genotype | Characters | Phenological Stage | Track N° in Chromatogram |
|---|---|---|---|---|---|---|
| Sweet | Quinoa leaves (QL) | Pichincha (P) | INIAP-Tunkahuan (IT) | Green leaves | 40 days (a) | 1 |
| 60 days (b) | 2 | |||||
| 80 days (c) | 3 | |||||
| INIAP-Pata de Venado (PV) | Green leaves | 40 days (a) | 4 | |||
| 60 days (b) | 5 | |||||
| 80 days (c) | 6 | |||||
| Chimborazo (C) | INIAP-Tunkahuan (IT) | Green leaves | 60 days (b) | 7 | ||
| 80 days (c) | 8 | |||||
| INIAP-Pata de Venado (PV) | Green leaves | 60 days (b) | 9 | |||
| 80 days (c) | 10 | |||||
| Quinoa seed (QS) | Pichincha (P) | INIAP-Tunkahuan (IT) | White seeds | 6 months | a, b, c | |
| INIAP-Pata de Venado (PV) | White seeds | 5 months | d, e, f | |||
| Bitter | Quinoa leaves (QL) | Chimborazo (C) | Chimborazo (C) | Mix of yellow, green, and red leaves | 60 days (b) | 11 |
| Mix of yellow, green, and red leaves | 80 days (c) | 12 | ||||
| Yellow leaves (y) | 80 days (c) | 13 | ||||
| Green leaves (g) | 80 days (c) | 14 | ||||
| Red leaves (r) | 80 days (c) | 15 |
Disclaimer/Publisher’s Note: The statements, opinions and data contained in all publications are solely those of the individual author(s) and contributor(s) and not of MDPI and/or the editor(s). MDPI and/or the editor(s) disclaim responsibility for any injury to people or property resulting from any ideas, methods, instructions or products referred to in the content. |
© 2024 by the authors. Licensee MDPI, Basel, Switzerland. This article is an open access article distributed under the terms and conditions of the Creative Commons Attribution (CC BY) license (https://creativecommons.org/licenses/by/4.0/).
Share and Cite
Taco, V.; Palmieri, C.; Borja, D.; Villacrés, E.; Duez, P.; Nachtergael, A. Qualitative Analysis by High-Performance Thin-Layer Chromatography–Bioautography of Ecuadorian Chenopodium quinoa Willd. Leaves: Influence of Variety, Phenological Stage, and Place of Cultivation on Free Radical Scavenging and α-Amylase Activity. Nutraceuticals 2025, 5, 1. https://doi.org/10.3390/nutraceuticals5010001
Taco V, Palmieri C, Borja D, Villacrés E, Duez P, Nachtergael A. Qualitative Analysis by High-Performance Thin-Layer Chromatography–Bioautography of Ecuadorian Chenopodium quinoa Willd. Leaves: Influence of Variety, Phenological Stage, and Place of Cultivation on Free Radical Scavenging and α-Amylase Activity. Nutraceuticals. 2025; 5(1):1. https://doi.org/10.3390/nutraceuticals5010001
Chicago/Turabian StyleTaco, Verónica, Claudio Palmieri, Dayana Borja, Elena Villacrés, Pierre Duez, and Amandine Nachtergael. 2025. "Qualitative Analysis by High-Performance Thin-Layer Chromatography–Bioautography of Ecuadorian Chenopodium quinoa Willd. Leaves: Influence of Variety, Phenological Stage, and Place of Cultivation on Free Radical Scavenging and α-Amylase Activity" Nutraceuticals 5, no. 1: 1. https://doi.org/10.3390/nutraceuticals5010001
APA StyleTaco, V., Palmieri, C., Borja, D., Villacrés, E., Duez, P., & Nachtergael, A. (2025). Qualitative Analysis by High-Performance Thin-Layer Chromatography–Bioautography of Ecuadorian Chenopodium quinoa Willd. Leaves: Influence of Variety, Phenological Stage, and Place of Cultivation on Free Radical Scavenging and α-Amylase Activity. Nutraceuticals, 5(1), 1. https://doi.org/10.3390/nutraceuticals5010001

