Management for A Depressive Patient with Femoral Neck Fracture by Electroconvulsive Therapy during COVID-19 Pandemic: A Case Report and Literature Review
Abstract
1. Introduction
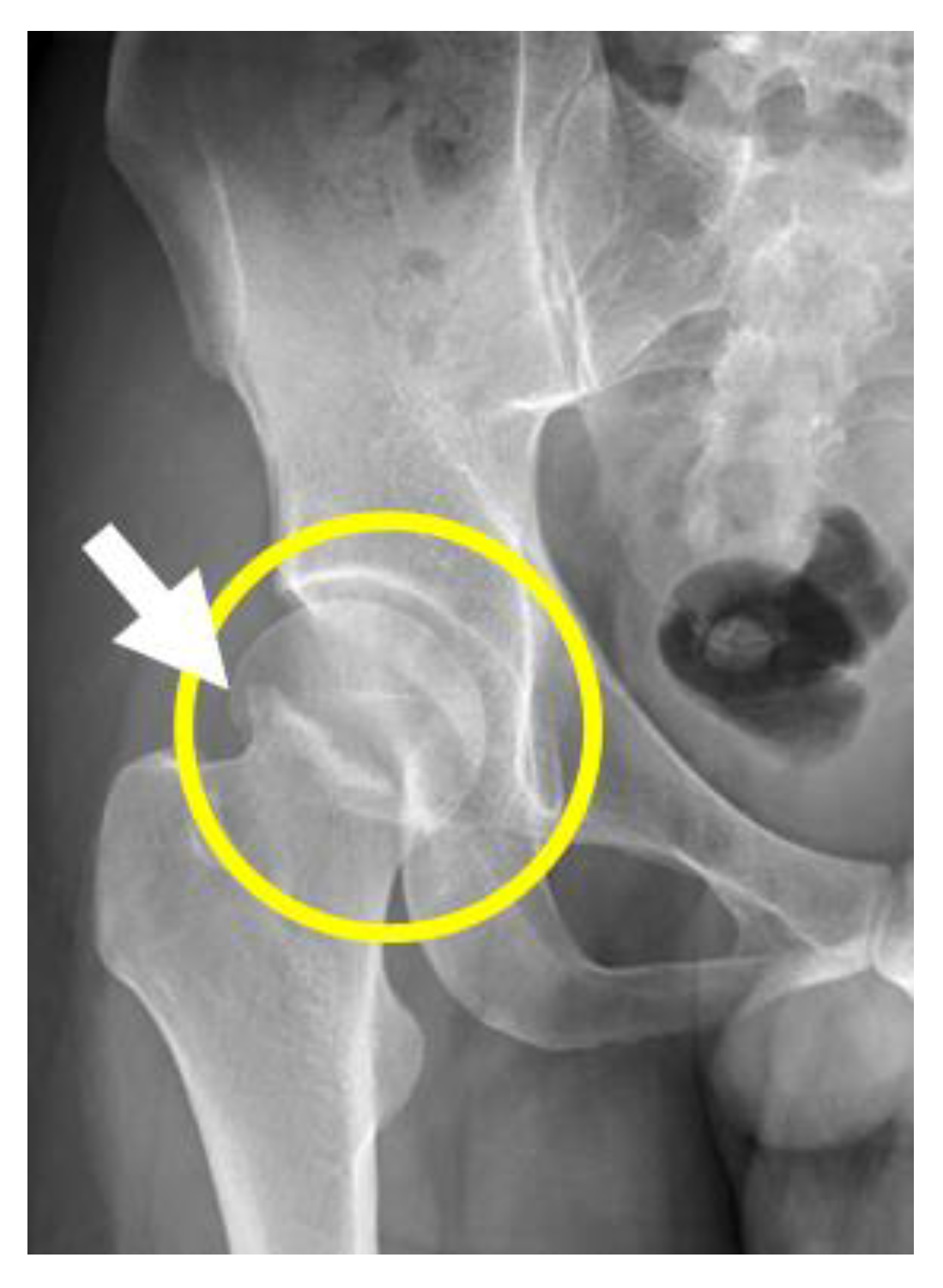
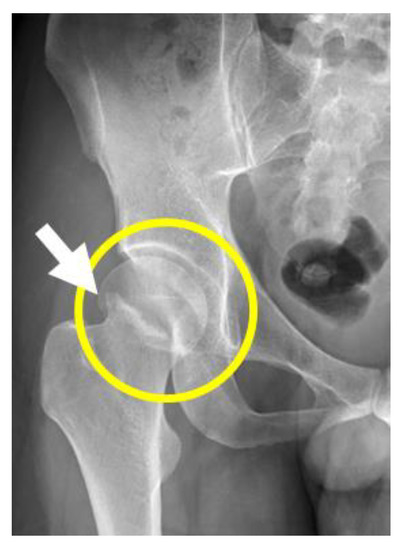
2. Case Presentation
3. Discussion
4. Conclusions
Author Contributions
Funding
Institutional Review Board Statement
Informed Consent Statement
Data Availability Statement
Conflicts of Interest
Abbreviations
References
- Fink, M.; Kellner, C.H.; McCall, W.V. The role of ECT in suicide prevention. J. ECT 2014, 30, 5–9. [Google Scholar] [CrossRef] [PubMed]
- Sienaert, P. Based on a True Story? The Portrayal of ECT in International Movies and Television Programs. Brain Stimul. 2016, 9, 882–891. [Google Scholar] [CrossRef] [PubMed]
- Sadock, B.J.; Sadock, V.A.; Ruiz, P. Kaplan and Sadock’s Synopsis of Psychiatry: Behavioral Sciences/Clinical Psychiatry, 11th ed.; Wolters Kluwer Health: Philadelphia, PA, USA, 2015; pp. 1071–1072. [Google Scholar]
- Zheng, W.; Tong, G.; Ungvari, G.S.; Ng, C.H.; Chiu, H.F.K.; Xiang, Y.Q.; Cao, X.L.; Liu, Z.R.; Meng, L.R.; Gazdag, G.; et al. Memory Impairment Following Electroconvulsive Therapy in Chinese Patients with Schizophrenia: Meta-Analysis of Randomized Controlled Trials. Perspect. Psychiatr. Care 2018, 54, 107–114. [Google Scholar] [CrossRef] [PubMed]
- Drew, B.I.; King, M.L.; Callahan, L. Cryotherapy for treatment of ECT-induced headache. J. Psychosoc. Nurs. Ment. Health Serv. 2005, 43, 32–39. [Google Scholar] [CrossRef]
- Dewald, P.A.; Margolis, N.M.; Weiner, H. Vertebral fractures as a complication of electroconvulsive therapy. J. Am. Med. Assoc. 1954, 154, 981–984. [Google Scholar] [CrossRef]
- Lingley, J.R.; Robbins, L.L. Fractures following electroshock therapy. Radiology 1947, 48, 124–128. [Google Scholar] [CrossRef]
- Meschan, I.; Scruggs, J.B., Jr.; Calhoun, J.D. Convulsive fractures of the dorsal spine following electric-shock therapy. Radiology 1950, 54, 180–193, illust. [Google Scholar] [CrossRef]
- Andrade, C.; Rele, K.; Sutharshan, R.; Nilesh, S. Musculoskeletal morbidity with unmodified ect may be less than earlier believed. Indian J. Psychiatry 2000, 42, 156–162. [Google Scholar]
- Andrade, C. Variations on a theme of unmodified electroconvulsive therapy: Science or heresy? J. ECT 2010, 26, 30–31. [Google Scholar] [CrossRef]
- Blumberger, D.M.; Seitz, D.P.; Herrmann, N.; Kirkham, J.G.; Ng, R.; Reimer, C.; Kurdyak, P.; Gruneir, A.; Rapoport, M.J.; Daskalakis, Z.J.; et al. Low medical morbidity and mortality after acute courses of electroconvulsive therapy in a population-based sample. Acta Psychiatr. Scand. 2017, 136, 583–593. [Google Scholar] [CrossRef]
- Nott, M.R.; Watts, J.S. A fractured hip during electro-convulsive therapy. Eur. J. Anaesthesiol. 1999, 16, 265–267. [Google Scholar] [CrossRef] [PubMed]
- Ebong, W.W. Simultaneous bilateral hip injury: Two cases due to trauma, and one following electroshock therapy. East Afr. Med. J. 1982, 59, 564–568. [Google Scholar] [PubMed]
- Leiknes, K.A.; Jarosh-von Schweder, L.; Hoie, B. Contemporary use and practice of electroconvulsive therapy worldwide. Brain Behav. 2012, 2, 283–344. [Google Scholar] [CrossRef] [PubMed]
- Bennett, A.E. Preventing traumatic complications in convulsive shock therapy by curare. Int. Anesthesiol. Clin. 1968, 6, 618–623. [Google Scholar] [CrossRef]
- Clarke, K.A.; Barnes, M.; Ross, D. I had no other option: Women, electroconvulsive therapy, and informed consent. Int. J. Ment. Health Nurs. 2018, 27, 1077–1085. [Google Scholar] [CrossRef]
- Kwan, E.; Le, B.; Loo, C.K.; Dong, V.; Tor, P.C.; Davidson, D.; Mohan, T.; Waite, S.; Branjerdporn, G.; Sarma, S.; et al. The Impact of COVID-19 on Electroconvulsive Therapy: A Multisite, Retrospective Study from the Clinical Alliance and Research in Electroconvulsive Therapy and Related Treatments Network. J. ECT 2022, 38, 45–51. [Google Scholar] [CrossRef]
- Surve, R.M.; Sinha, P.; Baliga, S.P.; Radhakrishnan, M.; Karan, N.; Anju, J.L.; Arumugham, S.; Thirthalli, J. Electroconvulsive therapy services during COVID-19 pandemic. Asian J. Psychiatry 2021, 59, 102653. [Google Scholar] [CrossRef]
- Tharyan, P.; Saju, P.J.; Datta, S.; John, J.K.; Kuruvilla, K. Physical morbidity with unmodified ect—A decade of experience. Indian J. Psychiatry 1993, 35, 211–214. [Google Scholar]
- Andrade, C.; Shah, N.; Tharyan, P.; Reddy, M.S.; Thirunavukarasu, M.; Kallivayalil, R.A.; Nagpal, R.; Bohra, N.K.; Sharma, A.; Mohandas, E. Position statement and guidelines on unmodified electroconvulsive therapy. Indian J. Psychiatry 2012, 54, 119–133. [Google Scholar] [CrossRef]
- Shah, N.; Mahadeshwar, S.; Bhakta, S.; Bhirud, M.; Fernandes, P.; Andrade, C. The safety and efficacy of benzodiazepine-modified treatments as a special form of unmodified ECT. J. ECT 2010, 26, 23–29. [Google Scholar] [CrossRef]
- Thiruvenkatarajan, V.; Wong, D.T.; Kothandan, H.; Sekhar, V.; Adhikary, S.D.; Currie, J.; Van Wijk, R.M. Airway Management in the Operating Room and Interventional Suites in Known or Suspected COVID-19 Adult Patients: A Practical Review. Anesth. Analg. 2020, 131, 677–689. [Google Scholar] [CrossRef]
- Bellini, H.; Cretaz, E.; Rigonatti, L.F.; Conto, C.D.R.; Melzer-Ribeiro, D.L.; Busatto-Filho, G.; Brunoni, A.R.; Gallucci-Neto, J. Electroconvulsive therapy practice during the COVID-19 pandemic. Clinics 2020, 75, e2056. [Google Scholar] [CrossRef] [PubMed]
- Andrade, C.; Shah, N.; Tharyan, P. The dilemma of unmodified electroconvulsive therapy. J. Clin. Psychiatry 2003, 64, 1147–1152. [Google Scholar] [CrossRef] [PubMed]
- Chanpattana, W.; Kojima, K.; Kramer, B.A.; Intakorn, A.; Sasaki, S.; Kitphati, R. ECT practice in Japan. J. ECT 2005, 21, 139–144. [Google Scholar] [CrossRef] [PubMed]
- Holmberg, G.; Thesleff, S. Succinyl-choline-iodide as a muscular relaxant in electroshock therapy. Am. J. Psychiatry 1952, 108, 842–846. [Google Scholar] [CrossRef]
- Motohashi, N.; Awata, S.; Higuchi, T. A questionnaire survey of ECT practice in university hospitals and national hospitals in Japan. J. ECT 2004, 20, 21–23. [Google Scholar] [CrossRef]
- Ikeji, O.C.; Ohaeri, J.U.; Osahon, R.O.; Agidee, R.O. Naturalistic comparative study of outcome and cognitive effects of unmodified electro-convulsive therapy in schizophrenia, mania and severe depression in Nigeria. East Afr. Med. J. 1999, 76, 644–650. [Google Scholar]
- James, B.O.; Morakinyo, O.; Lawani, A.O.; Omoaregba, J.O.; Olotu, O.S. Unmodified electroconvulsive therapy: The perspective of patients from a developing country. J. ECT 2010, 26, 218–222. [Google Scholar] [CrossRef]
- Farrant, W.; Cox, J.L.; Farhoumand, N. Attitudes of Ugandan medical students toward ‘straight’ and ‘modified’ ECT. Med. Educ. 1979, 13, 17–22. [Google Scholar] [CrossRef]
- Selis, M.A.; Kauye, F.; Leentjens, A.F. The practice of electroconvulsive therapy in Malawi. J. ECT 2008, 24, 137–140. [Google Scholar] [CrossRef]
- ECT at Broadmoor. Lancet 1980, 1, 348–349.
- Tecoult, E.; Nathan, N. Morbidity in electroconvulsive therapy. Eur. J. Anaesthesiol. 2001, 18, 511–518. [Google Scholar] [CrossRef]
- Bertolin-Guillen, J.M.; Peiro-Moreno, S.; Hernandez-de-Pablo, M.E. Patterns of electroconvulsive therapy use in Spain. Eur. Psychiatry 2006, 21, 463–470. [Google Scholar] [CrossRef] [PubMed]
- Nelson, A.I. A national survey of electroconvulsive therapy use in the Russian Federation. J. ECT 2005, 21, 151–157. [Google Scholar] [CrossRef] [PubMed]
- Mukherjee, S.; Debsikdar, V. Unmodified Electroconvulsive Therapy of Acute Mania: A Retrospective Naturalistic Study. J. ECT 1992, 8, 5–11. [Google Scholar]
- Levin, A.J.P.N. Human-rights charges lead Turkey to alter ECT practices. Psychiatr. News 2006, 41, 14. [Google Scholar] [CrossRef]
- Chanpattana, W.; Kramer, B.A. Electroconvulsive therapy practice in Thailand. J. ECT 2004, 20, 94–98. [Google Scholar] [CrossRef] [PubMed]
- Leung, C.M.; Xiang, Y.T.; He, J.L.; Xu, H.L.; Ma, L.; Fok, M.L.; Ungvari, G.S. Modified and unmodified electroconvulsive therapy: A comparison of attitudes between psychiatrists in Beijing and Hong Kong. J. ECT 2009, 25, 80–84. [Google Scholar] [CrossRef]
- Motohashi, N.J.B.S. Present status of ECT in Japan and USA. Brain Sci. 1999, 21, 131–137. [Google Scholar]
- Chanpattana, W.; Kramer, B.A.; Kunigiri, G.; Gangadhar, B.N.; Kitphati, R.; Andrade, C. A survey of the practice of electroconvulsive therapy in Asia. J. ECT 2010, 26, 5–10. [Google Scholar] [CrossRef]
- Seager, C.P. Controlled trial of straight and modified electroplexy. J. Ment. Sci. 1959, 105, 1022–1028. [Google Scholar] [CrossRef] [PubMed]


| Modified ECT | Unmodified ECT | |
|---|---|---|
| Administrative consideration | ||
| Favored location for ECT treatment | In operational rooms | In psychiatric wards † |
| Facilities for anesthesiological practice | More | Less † |
| Participation of qualified anesthesiologist | Every ECT session | Teaching program † |
| Monopoly of anesthesiologists by surgical specialty | Possible | No † |
| Interest of anesthesiologists in minor procedure who are poorly remunerated | Need | No † |
| Infrastructure or equipment | More | Less † |
| Funding or cost (affordability of anesthesiological support) | More | Less † |
| Staffs’ ability to administer anesthesia | More † | Less |
| Medical consideration | ||
| Urgent need for ECT (emergency and convenience) | Need arrangement | Easy † |
| Contraindications for use of anesthesia (e.g., because of cardiorespiratory disorders) | Safer by routine evaluation † | Consultation only for special cases needed |
| Contraindication for use of succinylcholine (e.g., in patients with burns, crush injuries, denervation syndromes, malignant hyperthermia or some neuromuscular disease) | Re-evaluation of muscle relaxants to prevent prolonged apnea [22,23] | No use, no concern † |
| Opinion of being “safer” | Less musculoskeletal complications † | From a survey of Japan report [25] |
| Intra-ECT blood pressure surge | Less possible † | More possible |
| Increased risk of loosened or broken teeth | Anecdotal report † | Maybe increased risk. |
| Increased risk of vertebrae compression fracture | Less possible † | 20~40% in 1947 and 1950 [7,8], 2% in 2000 [9] |
| Increased risk of fractures of nonspinal bones or musculoskeletal injury | Less possible † | 3.5% in the only report in 1954 [6] |
| Increased risk of uncomplicated backache or succinylcholine-induced myalgia | 50% (1.5 to 89%) † | 6.1 to 52% |
| Increased risk of restlessness and postictal confusion | Less † | More |
| Conceptually and visually unaesthetic image during a convulsion | No † | Yes |
Disclaimer/Publisher’s Note: The statements, opinions and data contained in all publications are solely those of the individual author(s) and contributor(s) and not of MDPI and/or the editor(s). MDPI and/or the editor(s) disclaim responsibility for any injury to people or property resulting from any ideas, methods, instructions or products referred to in the content. |
© 2023 by the authors. Licensee MDPI, Basel, Switzerland. This article is an open access article distributed under the terms and conditions of the Creative Commons Attribution (CC BY) license (https://creativecommons.org/licenses/by/4.0/).
Share and Cite
Chiu, N.-M.; Tseng, E.Y.-L. Management for A Depressive Patient with Femoral Neck Fracture by Electroconvulsive Therapy during COVID-19 Pandemic: A Case Report and Literature Review. Int. J. Environ. Res. Public Health 2023, 20, 4004. https://doi.org/10.3390/ijerph20054004
Chiu N-M, Tseng EY-L. Management for A Depressive Patient with Femoral Neck Fracture by Electroconvulsive Therapy during COVID-19 Pandemic: A Case Report and Literature Review. International Journal of Environmental Research and Public Health. 2023; 20(5):4004. https://doi.org/10.3390/ijerph20054004
Chicago/Turabian StyleChiu, Nien-Mu, and Ellen Yu-Lun Tseng. 2023. "Management for A Depressive Patient with Femoral Neck Fracture by Electroconvulsive Therapy during COVID-19 Pandemic: A Case Report and Literature Review" International Journal of Environmental Research and Public Health 20, no. 5: 4004. https://doi.org/10.3390/ijerph20054004
APA StyleChiu, N.-M., & Tseng, E. Y.-L. (2023). Management for A Depressive Patient with Femoral Neck Fracture by Electroconvulsive Therapy during COVID-19 Pandemic: A Case Report and Literature Review. International Journal of Environmental Research and Public Health, 20(5), 4004. https://doi.org/10.3390/ijerph20054004

