Perception of Need for Further Refinement in a Clear Aligner Treatment among Orthodontists, Dentists and Laypeople: A Retrospective Study
Abstract
1. Introduction
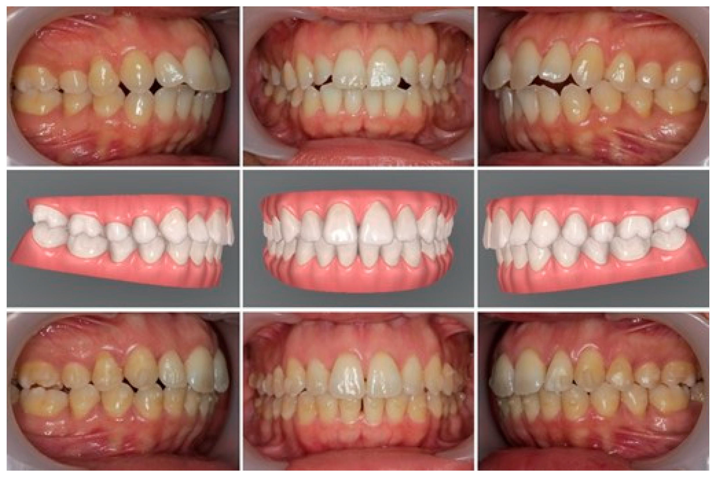
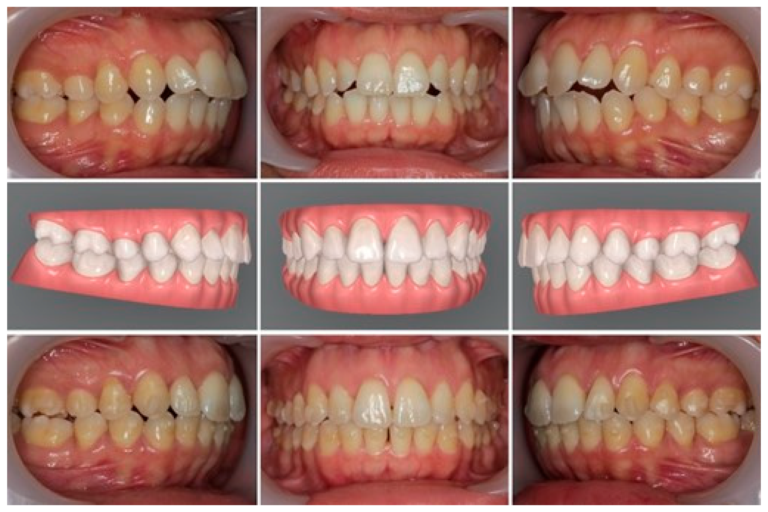
2. Materials and Methods
3. Results
4. Discussion
5. Conclusions
Author Contributions
Funding
Institutional Review Board Statement
Informed Consent Statement
Data Availability Statement
Conflicts of Interest
References
- Kesling, H.D. The philosophy of the tooth positioning appliance. Am. J. Orthod. Oral Surg. 1945, 31, 297–304. [Google Scholar] [CrossRef]
- Charalampakis, O.; Iliadi, A.; Ueno, H.; Oliver, D.R.; Kim, K.B. Accuracy of clear aligners: A retrospective study of patients who needed refinement. Am. J. Orthod. Dentofac. Orthop. 2018, 154, 47–54. [Google Scholar] [CrossRef] [PubMed]
- Chang, M.J.; Chen, C.H.; Chang, C.Y.; Lin, J.S.Y.; Chang, C.H.; Roberts, W.E. Introduction to Invisalign® Smart Technology: Attachments Design, and Recall-Checks. J. Digit. Orthod. 2019, 54, 80–95. [Google Scholar]
- Upadhyay, M.; Arqub, S.A. Biomechanics of clear aligners: Hidden truths & first principles. J. World Fed. Orthod. 2022, 11, 12–21. [Google Scholar]
- Krieger, E.; Seiferth, J.; Saric, I.; Jung, B.A.; Wehrbein, H. Accuracy of invisalign® treatments in the anterior tooth region. J. Orofac. Orthop. 2011, 72, 141–149. [Google Scholar] [CrossRef]
- Krieger, E.; Seiferth, J.; Marinello, I.; Jung, B.A.; Wriedt, S.; Jacobs, C.; Wehrbein, H. Invisalign® treatment in the anterior region. J. Orofac. Orthop. 2012, 73, 365–376. [Google Scholar] [CrossRef]
- Robertson, L.; Kaur, H.; Fagundes, N.C.F.; Romanyk, D.; Major, P.; Flores Mir, C. Effectiveness of clear aligner therapy for orthodontic treatment: A systematic review. Orthod. Craniofacial Res. 2020, 23, 133–142. [Google Scholar] [CrossRef]
- Galan-Lopez, L.; Barcia-Gonzalez, J.; Plasencia, E. A systematic review of the accuracy and efficiency of dental movements with invisalign®. Korean J. Orthod. 2019, 49, 140–149. [Google Scholar] [CrossRef]
- Trang Duong, D.D.S.; Eric Kuo, D.D.S. Finishing with invisalign. Prog. Orthod. 2006, 7, 44–55. [Google Scholar]
- Reitan, K. Tissue rearrangement during retention of orthodontically rotated teeth. Angle Orthod. 1958, 29, 105–113. [Google Scholar]
- Rossini, G.; Parrini, S.; Castroflorio, T.; Deregibus, A.; Debernardi, C.L. Efficacy of clear aligners in controlling orthodontic tooth movement: A systematic review. Angle Orthod. 2015, 85, 881–889. [Google Scholar] [CrossRef] [PubMed]
- Guan, X.; Chang, D.T.; Yan, Y.; Zhang, Y.W.; Zhou, Y.H.; Song, Y. Clinical efficacy of clear aligners in treating bimaxillary protrusion. Zhonghua Kou Qiang Yi Xue Za Zhi 2017, 52, 549–553. (In Chinese) [Google Scholar]
- Jiang, T.; Jiang, Y.-N.; Chu, F.-T.; Lu, P.-J.; Tang, G.-H. A cone-beam computed tomographic study evaluating the efficacy of incisor movement with clear aligners: Assessment of incisor pure tipping, controlled tipping, translation, and torque. Am. J. Orthod. Dentofac. Orthop. 2021, 159, 635–643. [Google Scholar] [CrossRef] [PubMed]
- Mota Junior, S.L.; Hartmann, G.C.; Vitral, R.F.; Tanaka, O.M. Efficacy of incisor movement with clear aligners: What about interval changes for aligners? Am. J. Orthod. Dentofac. Orthop. 2021, 160, 489. [Google Scholar] [CrossRef] [PubMed]
- Kravitz, N.D.; Kusnoto, B.; BeGole, E.; Obrez, A.; Agran, B. How well does Invisalign work? A prospective clinical study evaluating the efficacy of tooth movement with Invisalign. Am. J. Orthod. Dentofac. Orthop. 2009, 135, 27–35. [Google Scholar] [CrossRef]
- Tepedino, M.; Paoloni, V.; Cozza, P.; Chimenti, C. Movement of anterior teeth using clear aligners: A three-dimensional, retrospective evaluation. Prog. Orthod. 2018, 19, 9. [Google Scholar] [CrossRef]
- Lin, E.; Julien, K.; Kesterke, M.; Buschang, P.H. Differences in finished case quality between Invisalign and traditional fixed appliances: A randomized controlled trial. Angle Orthod. 2022, 92, 173–179. [Google Scholar] [CrossRef]
- Best, A.D.; Shroff, B.; Carrico, C.K.; Lindauer, S.J. Treatment management between orthodontists and general practitioners performing clear aligner therapy. Angle Orthod. 2017, 87, 432–439. [Google Scholar] [CrossRef]
- d’Apuzzo, F.; Perillo, L.; Carrico, C.K.; Castroflorio, T.; Grassia, V.; Lindauer, S.J.; Shroff, B. Clear aligner treatment: Different perspectives between orthodontists and general dentists. Prog. Orthod. 2019, 20, 10. [Google Scholar] [CrossRef]
- Smith, R.J. General practitioners and orthodontics. Am. J. Orthod. Dentofac. Orthop. 1987, 92, 169–172. [Google Scholar] [CrossRef]
- Joffe, L. Invisalign: Early experiences. J. Orthod. 2003, 30, 348–352. [Google Scholar] [CrossRef] [PubMed]
- Chhibber, A.; Agarwal, S.; Yadav, S.; Kuo, C.L.; Upadhyay, M. Which orthodontic appliance is best for oral hygiene? A randomized clinical trial. Am. J. Orthod. Dentofac. Orthop. 2018, 153, 175–183. [Google Scholar] [CrossRef] [PubMed]
- Sfondrini, M.; Butera, A.; Di Michele, P.; Luccisano, C.; Ottini, B.; Sangalli, E.; Gallo, S.; Pascadopoli, M.; Gandini, P.; Scribante, A. Microbiological Changes during Orthodontic Aligner Therapy: A Prospective Clinical Trial. Appl. Sci. 2021, 11, 6758. [Google Scholar] [CrossRef]
- Walton, D.K.; Fields, H.W.; Johnston, W.M.; Rosenstiel, S.F.; Firestone, A.R.; Christensen, J.C. Orthodontic appliance preferences of children and adolescents. Am. J. Orthod. Dentofac. Orthop. 2010, 138, 698.e1–698.e12, discussion 698–699. [Google Scholar] [CrossRef]
- Fujiyama, K.; Honjo, T.; Suzuki, M.; Matsuoka, S.; Deguchi, T. Analysis of pain level in cases treated with Invisalign aligner: Comparison with fixed edgewise appliance therapy. Prog. Orthod. 2014, 15, 64. [Google Scholar] [CrossRef]
- Heath, E.M.; English, J.D.; Johnson, C.D.; Swearingen, E.B.; Akyalcin, S. Perceptions of orthodontic case complexity among orthodontists, general practitioners, orthodontic residents, and dental students. Am. J. Orthod. Dentofac. Orthop. 2017, 151, 335–341. [Google Scholar] [CrossRef]
- Christou, T.; Abarca, R.; Christou, V.; Kau, C.H. Smile outcome comparison of Invisalign and traditional fixed-appliance treatment: A case-control study. Am. J. Orthod. Dentofac. Orthop. 2020, 157, 357–364. [Google Scholar] [CrossRef]
- Gu, J.; Tang, J.S.; Skulski, B.; Fields Jr, H.W.; Beck, F.M.; Firestone, A.R.; Kim, D.G.; Deguchi, T. Evaluation of Invisalign treatment effectiveness and efficiency compared with conventional fixed appliances using the Peer Assessment Rating index. Am. J. Orthod. Dentofac. Orthop. 2017, 151, 259–266. [Google Scholar] [CrossRef]
- Cangialosi, T.J.; Riolo, M.L.; Owens, S.E., Jr.; Dykhouse, V.J.; Moffitt, A.H.; Grubb, J.E.; Greco, P.M.; English, J.D.; James, R. The ABO discrepancy index: A measure of case complexity. Am. J. Orthod. Dentofac. Orthop. 2004, 125, 270–278. [Google Scholar] [CrossRef]
- Casko, J.S.; Vaden, J.L.; Kokich, V.G.; Damone, J.; James, R.D.; Cangialosi, T.J.; Riolo, M.L.; Owens, S.E., Jr.; Bills, E.D. Objective grading system for dental casts and panoramic radiographs. Am. J. Orthod. Dentofac. Orthop. 1998, 114, 589–599. [Google Scholar] [CrossRef]
- Little, R.M. The irregularity index: A quantitative score of mandibular anterior alignment. Am. J. Orthod. 1975, 68, 554–563. [Google Scholar] [CrossRef] [PubMed]
- Richmond, S.; Shaw, W.C.; O’Brien, K.; Buchanan, I.B.; Jones, R.; Stephens, C.D.; Roberts, C.T.; Andrews, M. The development of the PAR index (peer assessment rating): Reliability and validity. Eur. J. Orthod. 1992, 14, 125–139. [Google Scholar] [CrossRef]
- Firestone, A.R.; Beck, F.M.; Beglin, F.M.; Vig, K.W. Evaluation of the peer assessment rating (PAR) index as an index of orthodontic treatment need. Am. J. Orthod. Dentofac. Orthop. 2002, 122, 463–469. [Google Scholar] [CrossRef] [PubMed]
- Deguchi, T.; Honjo, T.; Fukunaga, T.; Miyawaki, S.; Roberts, W.E.; Takano-Yamamoto, T. Clinical assessment of orthodontic outcomes with the peer assessment rating, discrepancy index, objective grading system, and comprehensive clinical assessment. Am. J. Orthod. Dentofac. Orthop. 2005, 127, 434–443. [Google Scholar] [CrossRef]
- Dyken, R.A.; Sadowsky, P.L.; Hurst, D. Orthodontic outcomes assessment using the peer assessment rating index. Angle Orthod. 2001, 71, 164–169. [Google Scholar] [PubMed]
- Richmond, S. Personal audit in orthodontics. Br. J. Orthod. 1993, 20, 135–144. [Google Scholar] [CrossRef]
- Hennessy, J.; Al-Awadhi, E.A. Clear aligners generations and orthodontic tooth movement. J. Orthod. 2016, 43, 68–76. [Google Scholar] [CrossRef]
- Cortona, A.; Rossini, G.; Parrini, S.; Deregibus, A.; Castroflorio, T. Clear aligner orthodontic therapy of rotated mandibular round-shaped teeth: A finite element study. Angle Orthod. 2020, 90, 247–254. [Google Scholar] [CrossRef]
- Zhang, X.J.; He, L.; Guo, H.M.; Tian, J.; Bai, Y.X.; Li, S. Integrated three-dimensional digital assessment of accuracy of anterior tooth movement using clear aligners. Korean J. Orthod. 2015, 45, 275–281. [Google Scholar] [CrossRef]
- Kuncio, D.; Maganzini, A.; Shelton, C.; Freeman, K. Invisalign and traditional orthodontic treatment post retention outcomes compared using the American Board of Orthodontics Objective Grading System. Angle Orthod. 2007, 77, 864–869. [Google Scholar] [CrossRef]
- Danz, J.C.; Greuter, C.; Sifakakis, I.; Fayed, M.; Pandis, N.; Katsaros, C. Stability and relapse after orthodontic treatment of deep bite cases—A long-term follow-up study. Eur. J. Orthod. 2014, 36, 522–530. [Google Scholar] [CrossRef] [PubMed]
- Manauta, J.; Salat, A.; Putignano, A.; Devoto, W.; Paolone, G.; Hardan, L.S. Stratification in anterior teeth using one dentine shade and a predefined thickness of enamel: A new concept in composite layering-Part I. Odonto-Stomatol. Trop. 2014, 37, 5–16. [Google Scholar]
- Manauta, J.; Salat, A.; Putignano, A.; Devoto, W.; Paolone, G.; Hardan, L.S. Stratification in anterior teeth using one dentine shade and a predefined thickness of enamel: A new concept in composite layering-Part II. Odonto-Stomatol. Trop. 2014, 37, 5–13. [Google Scholar]
- Parrini, S.; Rossini, G.; Castroflorio, T.; Fortini, A.; Deregibus, A.; Debernardi, C. Laypeople’s perceptions of frontal smile esthetics: A systematic review. Am. J. Orthod. Dentofac. Orthop. 2016, 150, 740–750. [Google Scholar] [CrossRef]
- Kokich, V.O., Jr.; Kiyak, H.A.; Shapiro, P.A. Comparing the perception of dentists and lay people to altered dental esthetics. J. Esthet. Restor. Dent. 1999, 11, 311–324. [Google Scholar] [CrossRef] [PubMed]
- Kokich, V.O.; Kokich, V.G.; Kiyak, H.A. Perceptions of dental professionals and laypersons to altered dental esthetics: Asymmetric and symmetric situations. Am. J. Orthod. Dentofac. Orthop. 2006, 130, 141–151. [Google Scholar] [CrossRef]
- Martin, A.J.; Buschang, P.H.; Boley, J.C.; Taylor, R.W.; McKinney, T.W. The impact of buccal corridors on smile attractiveness. Eur. J. Orthod. 2007, 29, 530–537. [Google Scholar] [CrossRef]
- Flores-Mir, C.; Silva, E.; Barriga, M.I.; Lagravere, M.O.; Major, P.W. Lay person’s perception of smile aesthetics in dental and facial views. J. Orthod. 2004, 31, 204–209. [Google Scholar] [CrossRef]
- Hartshorne, J.; Wertheimer, M. Emerging insights and new developments in clear aligner therapy (CAT)–A review of the literature. AJO-DO Clin. Companion 2022. [Google Scholar] [CrossRef]

| Cases | Initial PAR | After 1st Sequence of Aligners, PAR | Percentage of PAR Index Reduction (%) |
|---|---|---|---|
| 1 | 7 | 1 | 85.7% |
| 2 | 8 | 2 | 75% |
| 3 | 6 | 1 | 83.3% |
| 4 | 3 | 1 | 66.6% |
| 5 | 8 | 2 | 75% |
| 6 | 3 | 1 | 66.6% |
| 7 | 9 | 1 | 88.8% |
| 8 | 4 | 1 | 75% |
| 9 | 5 | 0 | 100% |
| Variables | Orthodontists | Dentists | Laypeople | |
|---|---|---|---|---|
| Number | 37 | 67 | 93 | |
| Age | <30 | 1 | 34 | 46 |
| 30–40 | 9 | 23 | 11 | |
| 41–50 | 12 | 9 | 10 | |
| 51–60 | 11 | 1 | 16 | |
| >61 | 4 | 0 | 10 | |
| Gender | Female | 21 | 50 | 66 |
| Male | 16 | 17 | 27 | |
| Orthodontists | Dentists | Laypeople | ||||
|---|---|---|---|---|---|---|
| Questions | Median (50%) | IQR (25–75%) | Median (50%) | IQR (25–75%) | Median (50%) | IQR (25–75%) |
| 1st | 6 | 5–8 | 7 | 5–8 | 8 | 7–9 |
| 2nd | 9 | 7–10 | 8 | 6–10 | 7 | 4–8 |
| 3rd | 6 | 4–8 | 6 | 4–8 | 8 | 6–9 |
| Orthodontists vs. Dentists | Orthodontists vs. Laypeople | Dentists vs. Laypeople | |
|---|---|---|---|
| Questions | p value | p value | p value |
| 1st | 0.363 | 0.0001 | 0.0001 |
| 2nd | 0.0001 | 0.0001 | 0.0001 |
| 3rd | 0.370 | 0.0001 | 0.0001 |
Publisher’s Note: MDPI stays neutral with regard to jurisdictional claims in published maps and institutional affiliations. |
© 2022 by the authors. Licensee MDPI, Basel, Switzerland. This article is an open access article distributed under the terms and conditions of the Creative Commons Attribution (CC BY) license (https://creativecommons.org/licenses/by/4.0/).
Share and Cite
Oliveira, P.; Bugaighis, I.; Nunes Costa, H.; Mariano Pereira, P. Perception of Need for Further Refinement in a Clear Aligner Treatment among Orthodontists, Dentists and Laypeople: A Retrospective Study. Int. J. Environ. Res. Public Health 2022, 19, 15498. https://doi.org/10.3390/ijerph192315498
Oliveira P, Bugaighis I, Nunes Costa H, Mariano Pereira P. Perception of Need for Further Refinement in a Clear Aligner Treatment among Orthodontists, Dentists and Laypeople: A Retrospective Study. International Journal of Environmental Research and Public Health. 2022; 19(23):15498. https://doi.org/10.3390/ijerph192315498
Chicago/Turabian StyleOliveira, Patrícia, Iman Bugaighis, Hélder Nunes Costa, and Pedro Mariano Pereira. 2022. "Perception of Need for Further Refinement in a Clear Aligner Treatment among Orthodontists, Dentists and Laypeople: A Retrospective Study" International Journal of Environmental Research and Public Health 19, no. 23: 15498. https://doi.org/10.3390/ijerph192315498
APA StyleOliveira, P., Bugaighis, I., Nunes Costa, H., & Mariano Pereira, P. (2022). Perception of Need for Further Refinement in a Clear Aligner Treatment among Orthodontists, Dentists and Laypeople: A Retrospective Study. International Journal of Environmental Research and Public Health, 19(23), 15498. https://doi.org/10.3390/ijerph192315498

