Metastatic Endometrioid Carcinoma Mimicking a Subungual Melanoma
Abstract
1. Introduction
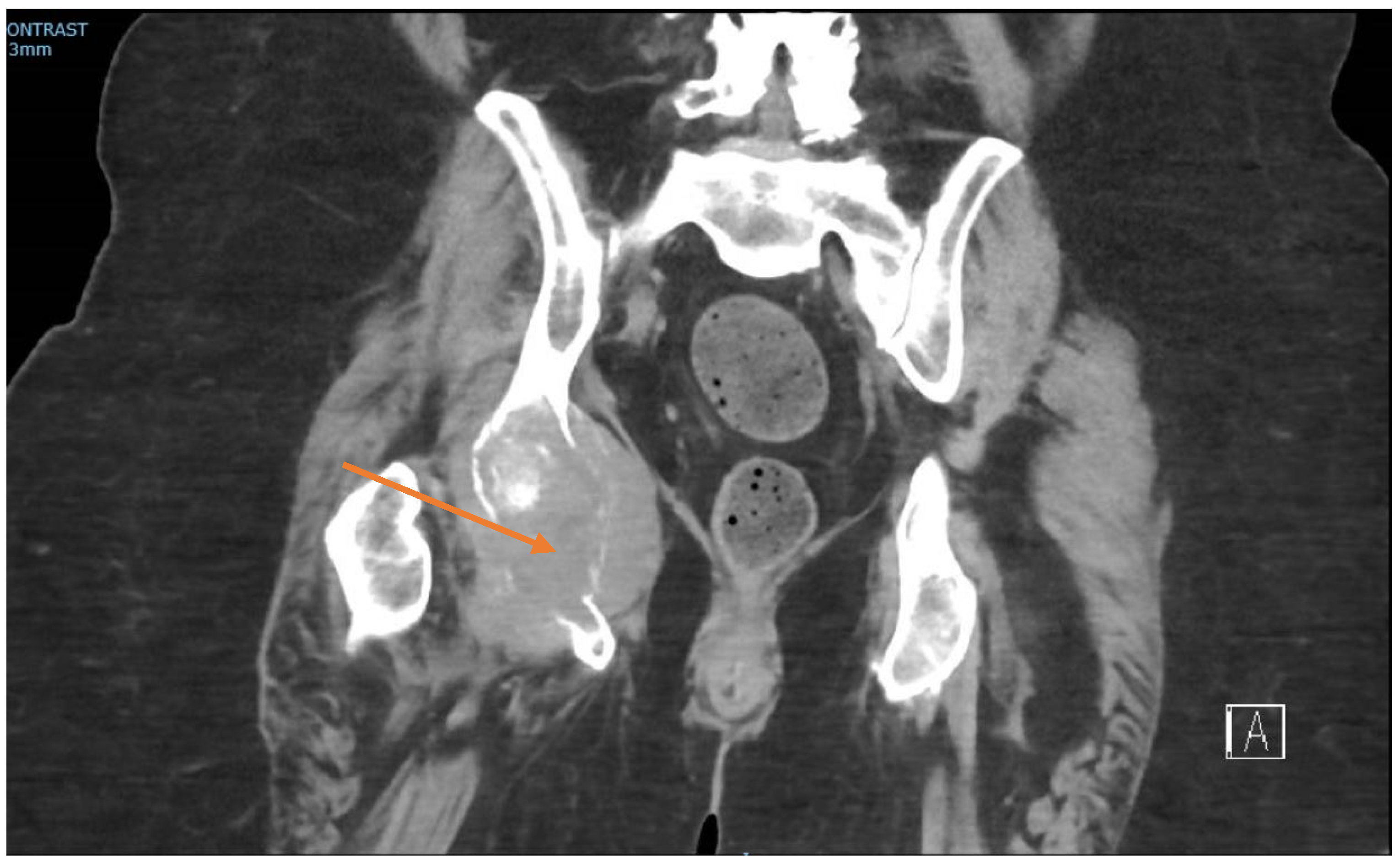
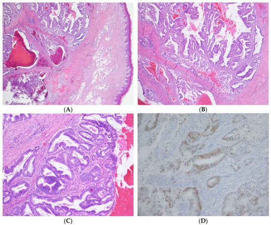
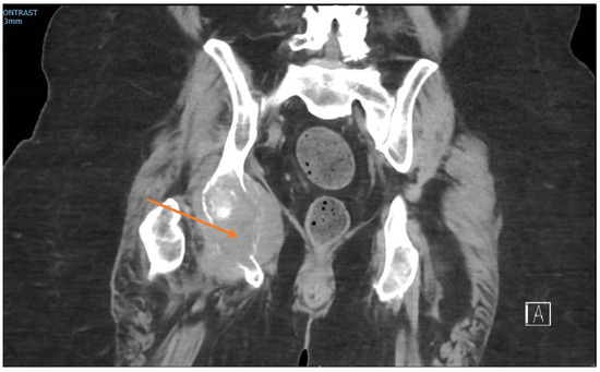
2. Case
3. Discussion
4. Conclusions
Author Contributions
Funding
Institutional Review Board Statement
Informed Consent Statement
Data Availability Statement
Conflicts of Interest
Disclosure
References
- Epidemiology of Endometrial Cancer Consortium (E2C2). Available online: https://epi.grants.cancer.gov/eecc/ (accessed on 15 July 2020).
- Siegel, R.L.; Miller, K.D. CA: A Cancer Journal for Clinicians. Cancer Stat. 2019, 69, 7–34. [Google Scholar] [CrossRef]
- Lewin, S.N.; Wright, J.D. Comparative performance of the 2009 International Federation of Gynecology and obstetrics’ staging system for uterine corpus cancer. Obstet. Gynecol. 2011, 117, 1226. [Google Scholar] [CrossRef]
- Sasada, S.; Yunokawa, M.; Takehara, Y.; Ishikawa, M.; Ikeda, S.; Kato, T.; Tamura, K. Baseline risk of recurrence in stage I–II endometrial carcinoma. J. Gynecol. Oncol. 2018, 29, e9. [Google Scholar] [CrossRef] [PubMed]
- Chan, J.K.; Kapp, D.S.; Cheung, M.K.; Shin, J.Y.; Stieglitz, D.; Husain, A.; Teng, N.N.; Berek, J.S.; Osann, K.; Guo, H. Prognostic factors and risk of extrauterine metastases in 3867 women with grade 1 endometrioid corpus cancer. Am. J. Obs. Gynecol. 2008, 198, 216e.1–216e.5. [Google Scholar] [CrossRef]
- Francis, S.R.; Ager, B.J.; Do, O.A.; Huang, Y.-H.J.; Soisson, A.P.; Dodson, M.K.; Werner, T.L.; Sausee, W.T.; Grant, J.D.; Gaffney, D.K. Recurrent early stage endometrial cancer: Patterns of recurrence and results of salvage therapy. Gynecol. Oncol. 2019, 154, 38–44. [Google Scholar] [CrossRef]
- Uccella, S.; Morris, J.M.; Bakkum-Gamez, J.; Keeney, G.L.; Podratz, K.C.; Mariani, A. Bone metastases in endometrial cancer report on 19 pateints and review of the medical literature. Gynecol. Oncol. 2013, 130, 474–482. [Google Scholar] [CrossRef] [PubMed]
- Kehoe, S.M.; Zivanovic, O.; Ferguson, S.E.; Barakat, R.R.; Soslow, R.A. Gynecologic Oncology Clinicopathologic features of bone metastases and outcomes in patients with primary endometrial cancer. Gynecol. Oncol. 2020, 117, 229–233. [Google Scholar] [CrossRef]
- Yoon, A.; Choi, C.H.; Kim, T.-H.; Choi, J.-K.; Park, J.-Y.; Lee, Y.-Y.; Kim, T.J.; Lee, J.-W.; Bae, D.-S.; Kim, B.-G. Bone Metastasis in Primary Endometrial Carcinoma. Int. J. Gynecol. Cancer 2014, 24, 107–112. [Google Scholar] [CrossRef]
- Myriokefalitaki, E.; D’Costa, D.; Smith, M.; Ahmed, A.S. Primary bone metastasis as initial presentation of endometrial cancer (stage IVb). Arch. Gynecol. Obs. 2013, 288, 739–746. [Google Scholar] [CrossRef]
- Creutzberg, C. GOG-99: Ending the controversy regarding pelvic radiotherapy for endometrial carcinoma? Gynecol. Oncol. 2004, 92, 740–743. [Google Scholar] [CrossRef]
- Makris, G.-M.; Mene, J.; Battista, M.-J.; Chrelias, G.; Sergentanis, T.N.; Psyrri, A.; Chrelias, C. Endometrial carcinoma with tibial bone metastasis a case report and literature review. J. Obstet. Gynaecol. 2018, 38, 1039–1047. [Google Scholar] [CrossRef] [PubMed]
- Sahinler, I.; Erkal, H.; Akyazici, E. Endometrial Carcinoma and an Unusual Presentation of Bone Metastasis: A Case Report 1. Gynecol. Oncol. 2001, 218, 216–218. [Google Scholar] [CrossRef] [PubMed]
- Mariani, A.; Webb, M.J.; Keeney, G.L.; Calori, G.; Podratz, K.C. Hematogenous Dissemination in Corpus Cancer. Gynecol. Oncol. 2001, 238, 233–238. [Google Scholar] [CrossRef] [PubMed]
- Takeshita, S.; Todo, Y.; Matsumiya, H.; Okamoto, K.; Yamashiro, K.; Kato, H. A prediction model of survival for patients with bone metastasis from uterine corpus cancer. Jpn. J. Clin. Oncol. 2016, 46, 973–978. [Google Scholar] [CrossRef] [PubMed]
- Kerin, R. Metastatic Tumors of the Hand. JBJS 1983, 65, 1331–1335. [Google Scholar] [CrossRef]
- Chakera, A.H.; Quinn, M.J.; Lo, S.; MBiostat, M.D.; Haydu, L.E.; Bond, J.S.; Stretch, J.R.; Saw, R.P.M.; Lee, K.J.; McCarthy, W.H.; et al. Subungual Melanoma of the Hand. Ann. Surg. Oncol. 2019, 26, 1035–1043. [Google Scholar] [CrossRef] [PubMed]
- Kaya, A.; Olmezoglu, A.; Suat Eren, C.; Bayol, U.; Altay, T.; Karapinar, L.; Ozturk, H.; Oztekin, D.; Guvenli, Y.; Karadogan, I. Solitary bone metastasis in the tibia as a presenting sign of endometrial adenocarcinoma: A case report and the review of the literature. Clin. Exp. Metastasis 2007, 24, 87–92. [Google Scholar] [CrossRef]
- Yu, K.; Ayhan, A.; Dursun, P.; Gu, M. Skeletal carcinomatosis in endometrial clear cell carcinoma at initial presentation: A case report. Int. J. Gynecol. Cancer 2006, 16, 891–895. [Google Scholar]
- Soylemez, M.S.; Kemah, B.; Soylemez, U.P.O.; Kilic, B.; Ozkan, K. International Journal of Surgery Case Reports Endometrial adenocarcinoma recurrence presenting with tibial metastasis: Report of a case CASE REPORT—OPEN ACCESS. Int. J. Surg. Case Rep. 2017, 36, 15–17. [Google Scholar] [CrossRef]
- Carrigan, O.B.; Mhf, W.; Ml, W.; Pavlakis, N.; Goodwin, A. Bisphosphonates and Other Bone Agents for Breast Cancer. Cochrane Database Syst. Rev. 2017. [Google Scholar] [CrossRef]
- Shigemitsu, A.; Furukawa, N.; Koike, N. Endometrial Cancer Diagnosed by the Presence of Bone Metastasis and Treated with Zoledronic Acid: A Case Report. Case Rep. Oncol. 2010, 8522, 471–476. [Google Scholar] [CrossRef] [PubMed]




Publisher’s Note: MDPI stays neutral with regard to jurisdictional claims in published maps and institutional affiliations. |
© 2022 by the authors. Licensee MDPI, Basel, Switzerland. This article is an open access article distributed under the terms and conditions of the Creative Commons Attribution (CC BY) license (https://creativecommons.org/licenses/by/4.0/).
Share and Cite
Glavy, J.C.; Peterson, S.L.; Strain, J.; Byrd, K.; Flint, J.H. Metastatic Endometrioid Carcinoma Mimicking a Subungual Melanoma. Int. J. Environ. Res. Public Health 2022, 19, 14494. https://doi.org/10.3390/ijerph192114494
Glavy JC, Peterson SL, Strain J, Byrd K, Flint JH. Metastatic Endometrioid Carcinoma Mimicking a Subungual Melanoma. International Journal of Environmental Research and Public Health. 2022; 19(21):14494. https://doi.org/10.3390/ijerph192114494
Chicago/Turabian StyleGlavy, Jena C., Shian L. Peterson, Jonathan Strain, Kevin Byrd, and James H. Flint. 2022. "Metastatic Endometrioid Carcinoma Mimicking a Subungual Melanoma" International Journal of Environmental Research and Public Health 19, no. 21: 14494. https://doi.org/10.3390/ijerph192114494
APA StyleGlavy, J. C., Peterson, S. L., Strain, J., Byrd, K., & Flint, J. H. (2022). Metastatic Endometrioid Carcinoma Mimicking a Subungual Melanoma. International Journal of Environmental Research and Public Health, 19(21), 14494. https://doi.org/10.3390/ijerph192114494

