A Case of Silicone and Sarcoid Granulomas in a Patient with “Highly Cohesive” Silicone Breast Implants: A Histopathologic and Laser Raman Microprobe Analysis
Abstract
1. Introduction
Case Report
2. Materials and Methods
2.1. Histology
2.2. Chemical Microspectroscopy
3. Results
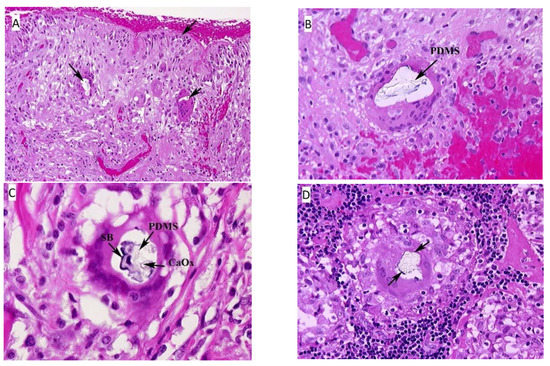
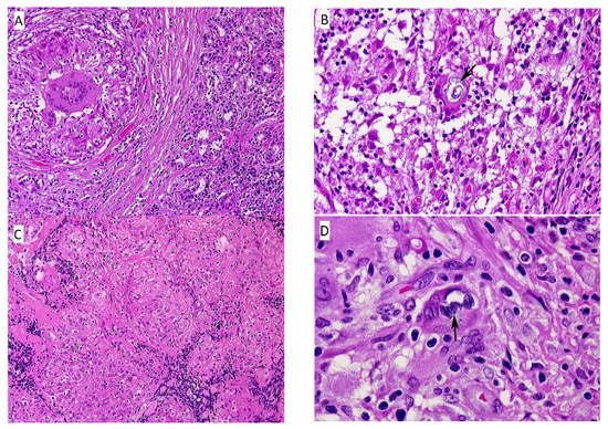
3.1. Histology
3.1.1. Capsule Surrounding the Implant, Bilateral
3.1.2. Axillary Lymph Node, Left
3.1.3. Eyelid Nodule
3.1.4. Leg Nodule
3.2. Confocal Laser Raman Microscopy
4. Discussion
5. Conclusions
Author Contributions
Funding
Institutional Review Board Statement
Informed Consent Statement
Data Availability Statement
Conflicts of Interest
References
- Perry, D.; Frame, J. The History and Development of Breast Implants. Ann. R. Coll. Surg. Engl. 2020, 102, 478–482. [Google Scholar] [CrossRef]
- Sun, H.H.; Sachanandani, N.S.; Jordan, B.; Myckatyn, T.M. Sarcoidosis of the Breasts Following Silicone Implant Placement. Plast. Reconstr. Surg. 2013, 131, 939e–940e. [Google Scholar] [CrossRef]
- Cuellar, M.L.; Gluck, O.; Molina, J.F.; Gutierrez, S.; Garcia, C.; Espinoza, R. Silicone Breast Implant—Associated Musculoskeletal Manifestations. Clin. Rheumatol. 1995, 14, 667–672. [Google Scholar] [CrossRef] [PubMed]
- Gabriel, S.E.; O’fallon, W.M.; Kurland, L.T.; Beard, C.M.; Woods, J.E.; Melton, L.J. Risk of Connective-Tissue Diseases and Other Disorders after Breast Implantation. N. Engl. J. Med. 1994, 330, 1697–1702. [Google Scholar] [CrossRef] [PubMed]
- Spiera, H. Scleroderma after Silicone Augmentation Mammoplasty. J. Am. Med. Assoc. 1988, 260, 236–238. [Google Scholar] [CrossRef]
- Nunen, S.A.V.; Gatenby, P.A.; Basten, A. Post-Mammoplasty Connective Tissue Disease. Arthritis Rheum. 1982, 25, 694–697. [Google Scholar] [CrossRef]
- Beekman, W.H.; Feitz, R.; van Diest, P.J.; Hage, J.J. Migration of Silicone Through the Fibrous Capsules of Mammary Prostheses. Ann. Plast. Surg. 1997, 38, 441–445. [Google Scholar] [CrossRef]
- Muñiz, F.G.; Hermoso, F.A.; Cano, M.A. Lung Siliconoma, a Rare Complication of Breast Prosthesis Rupture. Arch. Bronconeumol. 2018, 54, 580–581. [Google Scholar] [CrossRef]
- Dragu, A.; Theegarten, D.; Bach, A.D.; Polykandriotis, E.; Arkudas, A.; Kneser, U.; Horch, R.E.; Ingianni, G. Intrapulmonary and Cutaneous Siliconomas after Silent Silicone Breast Implant Failure. Breast J. 2009, 15, 496–499. [Google Scholar] [CrossRef] [PubMed]
- Brown, S.L. Epidemiology of Silicone-Gel Breast Implants. Epidemiology 2002, 13, S34–S39. [Google Scholar] [CrossRef]
- Handel, N.; Garcia, M.E.; Wixtrom, R. Breast Implant Rupture: Causes, Incidence, Clinical Impact, and Management. Plast. Reconstr. Surg. 2013, 132, 1128–1137. [Google Scholar] [CrossRef]
- Zambacos, G.J.; Molnar, C.; Mandrekas, A.D. Silicone Lymphadenopathy after Breast Augmentation: Case Reports, Review of the Literature, and Current Thoughts. Aesthet. Plast. Surg. 2013, 37, 278–289. [Google Scholar] [CrossRef]
- Kappel, R.M.; Klunder, A.J.; Pruijn, G.J. Silicon Chemistry and Silicone Breast Implants. Eur. J. Plast. Surg. 2014, 37, 123–128. [Google Scholar] [CrossRef]
- Kivity, S.; Katz, M.; Langevitz, P.; Eshed, I.; Olchovski, D.; Barzilai, A. Autoimmune Syndrome Induced by Adjuvants (ASIA) in the Middle East: Morphea Following Silicone Implantation. Lupus 2012, 21, 136–139. [Google Scholar] [CrossRef]
- Maijers, M.C.; de Blok, C.J.M.; Niessen, F.B.; van der Veldt, A.A.M.; Ritt, M.J.P.F.; Winters, H.A.H.; Kramer, M.H.H.; Nanayakkara, P.W.B. Women with Silicone Breast Implants and Unexplained Systemic Symptoms: A Descriptive Cohort Study. Neth. J. Med. 2013, 71, 534–540. [Google Scholar]
- DeBoer, M.; Colaris, M.; Van Der Hulst, R.R.W.J.; Tervaert, J.W.C. Is Explanation of Silicone Breast Implants Useful in Patients with Complaints? Immunol. Res. 2017, 65, 25–36. [Google Scholar] [CrossRef]
- Marshall, T.G.; Marshall, F.E. Sarcoidosis succumbs to antibiotics—Implications for autoimmune disease. Autoimmun. Rev. 2004, 3, 295–300. [Google Scholar] [CrossRef]
- Katzin, W.E.; Centeno, J.A.; Feng, L.-J.; Kiley, M.; Mullick, F.G. Pathology of Lymph Nodes from Patients with Breast Implants: A Histologic and Spectroscopic Evaluation. Am. J. Surg. Pathol. 2005, 29, 506–511. [Google Scholar] [CrossRef] [PubMed]
- Centeno, J.A.; Mullick, F.G.; Panos, R.G.; Miller, F.W.; Valenzuela-Espinoza, A. Laser-Raman Microprobe Identification of Inclusions in Capsules Associated with Silicone Gel Breast Implants. Mod. Pathol. 1999, 12, 714–721. [Google Scholar] [PubMed]
- Luke, J.L.; Kalasinsky, V.F.; Turnicky, R.P.; Centeno, J.A.; Johnson, F.B.; Mullick, F.G. Pathological and Biophysical Findings Associated with Silicone Breast Implants: A Study of Capsular Tissues from 86 Cases. Plast. Reconstr. Surg. 1997, 100, 1558–1565. [Google Scholar] [CrossRef] [PubMed]
- Keizers, P.H.; Vredenbregt, M.J.; Bakker, F.; de Kaste, D.; Venhuis, B.J. Chemical Fingerprinting of Silicone-Based Breast Implants. J. Pharm. Biomed. Anal. 2015, 102, 340–345. [Google Scholar] [CrossRef]
- Kneipp, K.; Kneipp, H.; Itzkan, I.; Dasari, R.R.; Feld, M.S. Surface-Enhanced Raman Scattering and Biophysics. J. Phys. Condens. Matter 2002, 14, R597–R624. [Google Scholar] [CrossRef]
- Hamada, K.; Fujita, K.; Smith, N.I.; Kobayashi, M.; Inouye, Y.; Kawata, S. Raman Microscopy for Dynamic Molecular Imaging of Living Cells. J. Biomed. Opt. 2008, 13, 044027. [Google Scholar] [CrossRef]
- Spiro, T.G.; Gaber, B.P. Laser Raman Scattering as a Probe of Protein Structure. Annu. Rev. Biochem. 1977, 46, 553–570. [Google Scholar] [CrossRef] [PubMed]
- Bachour, Y.; Heinze, Z.; van Selms, G.; Ritt, M.; Niessen, F.; Keizers, P. Poly Implant Prothèse Silicone Breast Explants: Chemical Analysis of Silicone Gel and Implant Shell. Plast. Reconstr. Surg. Glob. Open 2019, 7, 1–6. [Google Scholar] [CrossRef] [PubMed]
- Pestaner, J.P.; Mullick, F.G.; Johnson, F.B.; Centeno, J.A. Calcium Oxalate Crystals in Human Pathology—Molecular Analysis with the Laser Raman Microprobe. Arch. Pathol. Lab. Med. 1996, 120, 537–540. [Google Scholar]
- Calzolari, A.; Pavan, B.; Curtarolo, S.; Nardelli, M.B.; Fornari, M. Vibrational Spectral Fingerprinting for Chemical Recognition of Biominerals. ChemPhysChem 2020, 21, 770–778. [Google Scholar] [CrossRef] [PubMed]
- Hedén, P.; Boné, B.; Murphy, D.K.; Slicton, A.; Walker, P.S. Style 410 Cohesive Silicone Breast Implants: Safety and Effectiveness at 5 to 9 Years after Implantation. Plast. Reconstr. Surg. 2006, 118, 1281–1287. [Google Scholar] [CrossRef] [PubMed]
- Hedén, P.; Bronz, G.; Elberg, J.J.; Deraemaecker, R.; Murphy, D.K.; Slicton, A.; Brenner, R.J.; Svarvar, C.; van Tetering, J.; van der Weij, L.P. Long-Term Safety and Effectiveness of Style 410 Highly Cohesive Silicone Breast Implants. Aesthet. Plast. Surg. 2009, 33, 430–436. [Google Scholar] [CrossRef]
- Van Diest, P.J.; Beekman, W.H.; Hage, J.J. Pathology of Silicone Leakage from Breast Implants. J. Clin. Pathol. 1998, 51, 493–497. [Google Scholar] [CrossRef] [PubMed]
- Suzuki, K.; Aoki, M.; Kawana, S.; Hyakusoku, H.; Miyazawa, S. Metastatic Silicone Granuloma Lupus Miliaris Disseminatus Faciei–like Facial Nodules and Sicca Complex in a Silicone Breast Implant Recipient. Arch. Dermatol. 2002, 138, 537–538. [Google Scholar] [CrossRef] [PubMed]
- Rapaport, M.J.; Vinnik, C.; Zarem, H. Injectable Silicone: Cause of Facial Nodules, Cellulitis, Ulceration, and Migration. Aesthet. Plast. Surg. 1996, 20, 267–276. [Google Scholar] [CrossRef] [PubMed]
- Tebbetts, J. Failure of a “Highly Cohesive Implant”: What Does It Really Mean? Plast. Reconstr. Surg. 2009, 124, 323–325. [Google Scholar] [CrossRef] [PubMed]
- Accurso, A.; Rocco, N.; Feleppa, C.; Palumbo, A.; D’Andrea, F. Spread of Silicone to Axillary Lymph Nodes after High Cohesive Gel Silicone Implant Rupture. Plast. Reconstr. Surg. 2008, 122, 221e–222e. [Google Scholar] [CrossRef] [PubMed]
- Shaaban, H.; Jmor, S.; Alvi, R. Leakage and Silicone Lymphadenopathy with Cohesive Breast Implant. Br. J. Plast. Surg. 2003, 56, 518–519. [Google Scholar] [CrossRef]
- Lahiri, A.; Waters, R. Locoregional Silicone Spread after High Cohesive Gel Silicone Implant Rupture. J. Plast. Reconstr. Aesthet. Surg. 2006, 59, 885–886. [Google Scholar] [CrossRef]
- Kappel, R.; Boer, L.L.; Dijkman, H. Gel Bleed and Rupture of Silicone Breast Implants Investigated by Light-, Electron Microscopy and Energy Dispersive X-Ray Analysis of Internal Organs and Nervous Tissue. Clin. Med. Rev. Case Rep. 2016, 3, 3–9. [Google Scholar] [CrossRef]
- Fitzgibbons, P.L.; Smiley, D.F.; Kern, W.H. Sarcoidosis Presenting Initially as Breast Mass: Report of Two Cases. Hum. Pathol. 1985, 16, 851–852. [Google Scholar] [CrossRef]
- Gansler, T.; Wheeler, J. Mammary Sarcoidosis. Two Cases and Literature Review. Arch. Pathol. Lab. Med. 1984, 108, 673–675. [Google Scholar]
- Banik, S.; Bishop, P.W.; Ormerod, L.P.; O’Brien, T.E. Sarcoidosis of the Breast. J. Clin. Pathol. 1986, 39, 446–448. [Google Scholar] [CrossRef]
- McPherson, J., 3rd; Yeoh, C.B. Rare Manifestations of Sarcoidosis. J. Natl. Med. Assoc. 1993, 85, 869–872. [Google Scholar]
- Donaldson, B.A.; Polynice, A. Sarcoidosis of the Breast: Case Report and Chart Review. Am. Surg. 1995, 61, 778–780. [Google Scholar] [PubMed]
- Ojeda, H.; Sardi, A.; Totoonchie, A. Sarcoidosis of the Breast: Implications for the General Surgeon. Am. Surg. 2000, 66, 1144–1148. [Google Scholar] [PubMed]
- Takahashi, R.; Shibuya, Y.; Shijubo, N.; Asaishi, K.; Abe, S. Mammary Involvement in a Patient with Sarcoidosis. Intern. Med. 2001, 40, 769–771. [Google Scholar] [CrossRef] [PubMed]
- Lower, E.; Hawkins, H.; Baughman, R. Breast Disease in Sarcoidosis. Sarcoidosis Vasculitis Diffuse Lung Dis. 2001, 18, 301–306. [Google Scholar]
- Riefkohl, R.; Roberts, T., 3rd; McCarty, K.S., Jr. Lack of Adverse Effect of Silicone Implant on Sarcoidosis of the Breast. Plast. Reconstr. Surg. 1985, 76, 296–298. [Google Scholar] [CrossRef] [PubMed]
- Teuber, S.S.; Howell, L.P.; Yoshida, S.H.; Gershwin, E. Remission of Sarcoidosis Following Removal of Silicone Gel Breast Implants. Int. Arch. Allergy Immunol. 1994, 105, 404–407. [Google Scholar] [CrossRef] [PubMed]
- Yoshida, T.; Tanaka, M.; Okamoto, K.; Hirai, S. Neurosarcoidosis Following Augmentation Mammoplasty with Silicone. Neurol. Res. 1996, 18, 319–320. [Google Scholar] [CrossRef]
- Watad, A.; Rosenberg, V.; Tiosano, S.; Cohen Tervaert, J.W.; Yavne, Y.; Shoenfeld, Y.; Shalev, V.; Chodick, G.; Amital, H. Silicone Breast Implants and the Risk of Autoimmune/Rheumatic Disorders: A Real-World Analysis. Int. J. Epidemiol. 2018, 47, 1846–1854. [Google Scholar] [CrossRef]
- Dilaveri, C.A.; Mac Bride, M.B.; Sandhu, N.P.; Neal, L.; Ghosh, K.; Wahner-Roedler, D.L. Breast Manifestations of Systemic Diseases. Int. J. Women’s Health 2012, 4, 35–43. [Google Scholar] [CrossRef]
- Marcoval, J.; Maná, J.; Moreno, A.; Gallego, I.; Fortuno, Y.; Peyrí, J. Foreign Bodies in Granulomatous Cutaneous Lesions of Patients with Systemic Sarcoidosis. Arch. Dermatol. 2001, 137, 427–430. [Google Scholar] [PubMed]
- Hajdu, S.D.; Agmon-Levin, N.; Shoenfeld, Y. Silicone and Autoimmunity. Eur. J. Clin. Investig. 2011, 41, 203–211. [Google Scholar] [CrossRef] [PubMed]




Publisher’s Note: MDPI stays neutral with regard to jurisdictional claims in published maps and institutional affiliations. |
© 2021 by the authors. Licensee MDPI, Basel, Switzerland. This article is an open access article distributed under the terms and conditions of the Creative Commons Attribution (CC BY) license (https://creativecommons.org/licenses/by/4.0/).
Share and Cite
Todorov, T.I.; de Bakker, E.; Smith, D.; Langenberg, L.C.; Murakata, L.A.; Kramer, M.H.H.; Centeno, J.A.; Nanayakkara, P.W.B. A Case of Silicone and Sarcoid Granulomas in a Patient with “Highly Cohesive” Silicone Breast Implants: A Histopathologic and Laser Raman Microprobe Analysis. Int. J. Environ. Res. Public Health 2021, 18, 4526. https://doi.org/10.3390/ijerph18094526
Todorov TI, de Bakker E, Smith D, Langenberg LC, Murakata LA, Kramer MHH, Centeno JA, Nanayakkara PWB. A Case of Silicone and Sarcoid Granulomas in a Patient with “Highly Cohesive” Silicone Breast Implants: A Histopathologic and Laser Raman Microprobe Analysis. International Journal of Environmental Research and Public Health. 2021; 18(9):4526. https://doi.org/10.3390/ijerph18094526
Chicago/Turabian StyleTodorov, Todor I., Erik de Bakker, Diane Smith, Lisette C. Langenberg, Linda A. Murakata, Mark H. H. Kramer, Jose A. Centeno, and Prabath W. B. Nanayakkara. 2021. "A Case of Silicone and Sarcoid Granulomas in a Patient with “Highly Cohesive” Silicone Breast Implants: A Histopathologic and Laser Raman Microprobe Analysis" International Journal of Environmental Research and Public Health 18, no. 9: 4526. https://doi.org/10.3390/ijerph18094526
APA StyleTodorov, T. I., de Bakker, E., Smith, D., Langenberg, L. C., Murakata, L. A., Kramer, M. H. H., Centeno, J. A., & Nanayakkara, P. W. B. (2021). A Case of Silicone and Sarcoid Granulomas in a Patient with “Highly Cohesive” Silicone Breast Implants: A Histopathologic and Laser Raman Microprobe Analysis. International Journal of Environmental Research and Public Health, 18(9), 4526. https://doi.org/10.3390/ijerph18094526

