Digital Smile Designed Computer-Aided Surgery versus Traditional Workflow in “All on Four” Rehabilitations: A Randomized Clinical Trial with 4-Years Follow-Up
Abstract
1. Introduction
- Marginal bone level values (at 12, 24, 36 and 48 months) by radiographic evaluation;
- Implant and prosthetic complications and failures;
- Appreciation by the patient of the procedures used;
- Evaluation of operative and post-operative pain.
2. Materials and Methods
2.1. Patients Selection
2.2. Clinical Procedure
2.2.1. First Appointment
2.2.2. Second Appointment
2.2.3. Third Appointment (Traditional Protocol)
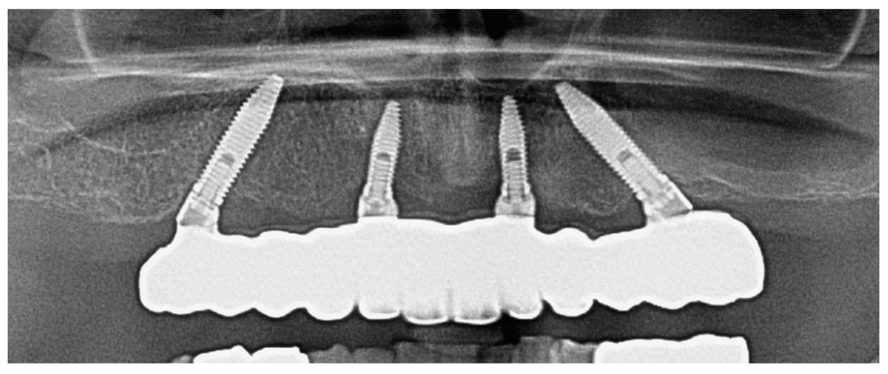
2.2.4. Fourth Appointment (Traditional Protocol): Surgical Phase and Immediate Loading Prosthesis
2.2.5. Third Appointment (Digital Protocol)
2.2.6. Fourth Appointment (Digital Protocol)
2.2.7. Fifth Appointment (Digital Protocol): Surgical Phase and Immediate Loading Prosthesis
2.2.8. Final Prosthesis
2.3. Follow-Up
2.4. Statistical Analysis
3. Results
3.1. Implant Failure and Complications
3.2. Marginal Bone Level
3.3. Patients’ Appreciation
4. Discussion
- A potential damage to the bone due to insufficient irrigation;
- The inability to visualize the surgical anatomical landmarks;
- The increased risk of error in implant positioning with increasing degrees of maxillary bone atrophy;
- A disparity between the virtual plan and the actual position of the implant in the oral cavity at the end of the surgery;
- Difficulty in positioning the surgical template both during the CBCT Scan and during the surgical procedures.
5. Conclusions
Author Contributions
Funding
Institutional Review Board Statement
Informed Consent Statement
Data Availability Statement
Conflicts of Interest
Appendix A




Appendix B

References
- Brånemark, P.I.; Hansson, B.O.; Adell, R.; Breine, U.; Lindström, J.; Hallén, O.; Ohman, A. Osseointegrated implants in the treatment of the edentulous jaw. Experience from a 10-year period. Scand. J. Plast. Reconstr. Surg. Suppl. 1977, 16, 1–132. [Google Scholar]
- Duyck, J.; Van Oosterwyck, H.; Sloten, J.V.; De Cooman, M.; Puers, R.; Naert, I. Magnitude and distribution of occlusal forces on oral implants supporting fixed prostheses: An in vivo study. Clin. Oral Implant. Res. 2000, 11, 465–475. [Google Scholar] [CrossRef] [PubMed]
- Capelli, M.; Zuffetti, F.; Del Fabbro, M.; Testori, T. Immediate rehabilitation of the completely edentulous jaw with fixed prostheses supported by either upright or tilted implants: A multicenter clinical study. Int. J. Oral Maxillofac. Implant. 2007, 22, 639–644. [Google Scholar]
- Hinze, M.; Thalmair, T.; Bolz, W.; Wachtel, H. Immediate loading of fixed provisional prostheses using four implants for the rehabilitation of the edentulous arch: A prospective clinical study. Int. J. Oral Maxillofac. Implant. 2010, 25, 1011–1018. [Google Scholar]
- Malo, P.; Rangert, B.; Nobre, M. “All-on-Four” immediate function concept with Brånemark system implants for completely edentulous mandibles: A retrospective clinical study. Clin. Implant Dent. Res. 2003, 5 (Suppl. 1), 2–9. [Google Scholar] [CrossRef]
- Schnitman, P.A.; Wohrle, P.S.; Rubenstein, J.E.; DaSilva, J.D.; Wang, N.H. Ten-year results for Brånemark implants immediately loaded with fixed prostheses at implant placement. Int. J. Oral Maxillofac. Implant. 1997, 12, 495–503. [Google Scholar]
- Crespi, R.; Vinci, R.; Capparé, P.; Romanos, G.E.; Gherlone, E. A clinical study of edentulous patients rehabilitated according to the “all on four” immediate function protocol. Int. J. Oral Maxillofac. Implant. 2012, 27, 428–434. [Google Scholar]
- Engstrand, P.; Grondahl, K.; Öhrnell, L.-O.; Nilsson, P.; Nannmark, U.; Branemark, P.-I. Prospective Follow-Up Study of 95 Patients with Edentulous Mandibles Treated According to the Branemark Novum Concept. Clin. Implant. Dent. Relat. Res. 2003, 5, 3–10. [Google Scholar] [CrossRef] [PubMed]
- Makkad, R.S.; Hamdani, S.; Agrawal, A. Cone Beam Computed Tomography in Dentistry: Principle, Application & Diagnosis; Lap Lambert Academic Publishing: Saarbrücken, Germany, 2012. [Google Scholar]
- Jung, R.E.; Schneider, D.; Ganeles, J.; Wismeijer, D.; Zwahlen, M.; Hämmerle, C.H.F.; Tahmaseb, A. Computer technology applications in surgical implant dentistry: A systematic review. Int. J. Oral Maxillofac. Implant. 2009, 24, 92–109. [Google Scholar]
- Joda, T.; Bragger, U. Complete digital workflow for the production of implant-supported single-unit monolithic crowns. Clin. Oral Implant. Res. 2013, 25, 1304–1306. [Google Scholar] [CrossRef] [PubMed]
- Coachman, C.; Calamita, M.A.; Coachman, F.G.; Coachman, R.G.; Sesma, N. Facially generated and cephalometric guided 3D digital design for complete mouth implant rehabilitation: A clinical report. J. Prosthet. Dent. 2017, 117, 577–586. [Google Scholar] [CrossRef]
- Gastaldi, G.; Gherlone, E.; Manacorda, M.; Ferrini, F.; Bova, F.; Vinci, R.; Cattoni, F. A 3-D CAD/CAM technique in full-arch implant supported rehabilitations: The Virtual Implant-Prosthetic Procedure (VIPP Technique). A prospective longitudinal study. J. Osseointegr. 2018, 10, 2–10. [Google Scholar]
- Marradi, F.; Staderini, E.; Zimbalatti, M.A.; Rossi, A.; Grippaudo, C.; Gallenzi, P. How to Obtain an Orthodontic Virtual Patient through Superimposition of Three-Dimensional Data: A Systematic Review. Appl. Sci. 2020, 10, 5354. [Google Scholar] [CrossRef]
- Capparé, P.; Teté, G.; Romanos, G.E.; Nagni, M.; Sannino, G.; Gherlone, E.F. The ’All-on-four’ protocol in HIV-positive patients: A prospective, longitudinal 7-year clinical study. Int. J. Oral Implantol. 2019, 12, 501–510. [Google Scholar]
- Gherlone, E.F.; Capparé, P.; Tecco, S.; Polizzi, E.; Pantaleo, G.; Gastaldi, G.; Grusovin, M.G. A Prospective Longitudinal Study on Implant Prosthetic Rehabilitation in Controlled HIV-Positive Patients with 1-Year Follow-Up: The Role of CD4+ Level, Smoking Habits, and Oral Hygiene. Clin. Implant. Dent. Relat. Res. 2015, 18, 955–964. [Google Scholar] [CrossRef]
- Gherlone, E.F.; Capparé, P.; Tecco, S.; Polizzi, E.; Pantaleo, G.; Gastaldi, G.; Grusovin, M.G. Implant Prosthetic Rehabilitation in Controlled HIV-Positive Patients: A Prospective Longitudinal Study with 1-Year Follow-Up. Clin. Implant. Dent. Relat. Res. 2016, 18, 725–734. [Google Scholar] [CrossRef] [PubMed]
- Coachman, C.; Calamita, M.; Sesma, N. Dynamic Documentation of the Smile and the 2D/3D Digital Smile Design Process. Int. J. Periodontics Restor. Dent. 2017, 37, 183–193. [Google Scholar] [CrossRef]
- Cattoni, F.; Mastrangelo, F.; Gherlone, E.F.; Gastaldi, G. A New Total Digital Smile Planning Technique (3D-DSP) to Fabricate CAD-CAM Mockups for Esthetic Crowns and Veneers. Int. J. Dent. 2016, 2016, 1–5. [Google Scholar] [CrossRef] [PubMed]
- Cattoni, F.; Tetè, G.; Uccioli, R.; Manazza, F.; Gastaldi, G.; Perani, D. An fMRI Study on Self-Perception of Patients after Aesthetic Implant-Prosthetic Rehabilitation. Int. J. Environ. Res. Public Health 2020, 17, 588. [Google Scholar] [CrossRef] [PubMed]
- Kapos, T.; Evans, C. CAD/CAM Technology for Implant Abutments, Crowns, and Superstructures. Int. J. Oral Maxillofac. Implant. 2014, 29, 117–136. [Google Scholar] [CrossRef]
- Lee, C.Y.; Ganz, S.D.; Wong, N.; Suzuki, J.B. Use of cone beam computed tomography and a laser intraoral scanner in virtual dental implant surgery: Part 1. Implant Dent. 2012, 21, 265–271. [Google Scholar] [CrossRef] [PubMed]
- Joda, T.; Bragger, U.; Gallucci, G. Systematic Literature Review of Digital Three-Dimensional Superimposition Techniques to Create Virtual Dental Patients. Int. J. Oral Maxillofac. Implant. 2015, 30, 330–337. [Google Scholar] [CrossRef]
- Schneider, D.; Marquardt, P.; Zwahlen, M.; Jung, R.E. A systematic review on the accuracy and the clinical outcome of computer-guided template-based implant dentistry. Clin. Oral Implant. Res. 2009, 20, 73–86. [Google Scholar] [CrossRef]
- Vinci, R.; Manacorda, M.; Abundo, R.; Lucchina, A.; Scarano, A.; Crocetta, C.; Muzio, L.L.; Gherlone, E.; Mastrangelo, F. Accuracy of Edentulous Computer-Aided Implant Surgery as Compared to Virtual Planning: A Retrospective Multicenter Study. J. Clin. Med. 2020, 9, 774. [Google Scholar] [CrossRef]
- Hammerle, C.F.; Cordaro, L.; Van Assche, N.; Benic, G.I.; Bornstein, M.; Gamper, F. Digital technologies to support planning, treatment and fabrication processes and outcome assessments in implant dentistry. summary and consensus statements. The 4th EAO consensus conference, 2015. Clin. Oral Implant. Res. 2015, 26, 97–101. [Google Scholar]
- Meloni, S.M.; De Riu, G.; Pisano, M.; Cattina, G.; Tullio, A. Implant treatment software planning and guided flapless surgery with immediate provisional prosthesis delivery in the fully edentulous maxilla. A retrospective analysis of 15 consecutively treated patients. Eur. J. Oral Implantol. 2010, 3, 245–251. [Google Scholar] [PubMed]
- Komiyama, A.; Klinge, B.; Hultin, M. Treatment outcome of immediately loaded implants installed in edentulous jaws following computer-assisted virtual treatment planning and flapless surgery. Clin. Oral Implant. Res. 2008, 19, 677–685. [Google Scholar] [CrossRef]
- Gallardo, Y.N.R.; Da Silva-Olivio, I.R.T.; Mukai, E.; Morimoto, S.; Sesma, N.; Cordaro, L. Accuracy comparison of guided surgery for dental implants according to the tissue of support: A systematic review and meta-analysis. Clin. Oral Implant. Res. 2017, 28, 602–612. [Google Scholar] [CrossRef]
- Fortin, T.; Bosson, J.L.; Isidori, M.; Blanchet, E. Effect of flapless surgery on pain experienced in implant placement using an image-guided system. Int. J. Oral Maxillofac. Implant. 2006, 21, 298–304. [Google Scholar]
- Yamada, J.; Kori, H.; Tsukiyama, Y.; Matsushita, Y.; Kamo, M.; Koyano, K. Immediate Loading of Complete-Arch Fixed Prostheses for Edentulous Maxillae After Flapless Guided Implant Placement: A 1-Year Prospective Clinical Study. Int. J. Oral Maxillofac. Implant. 2015, 30, 184–193. [Google Scholar] [CrossRef] [PubMed][Green Version]
- Hultin, M.; Svensson, K.G.; Trulsson, M. Clinical advantages of computer-guided implant placement: A systematic review. Clin. Oral Implant. Res. 2012, 23 (Suppl. 6), 124–135. [Google Scholar] [CrossRef]
- D’Haese, J.; Van De Velde, T.; Elaut, L.; De Bruyn, H. A Prospective Study on the Accuracy of Mucosally Supported Stereolithographic Surgical Guides in Fully Edentulous Maxillae. Clin. Implant. Dent. Relat. Res. 2009, 14, 293–303. [Google Scholar] [CrossRef] [PubMed]
- Malo, P.; Nobre, M.D.A.; Lopes, A. The use of computer-guided flapless implant surgery and four implants placed in immediate function to support a fixed denture: Preliminary results after a mean follow-up period of thirteen months. J. Prosthet. Dent. 2007, 97 (Suppl. 6), S26–S34. [Google Scholar] [CrossRef]
- Cappare, P.; Sannino, G.; Minoli, M.; Montemezzi, P.; Ferrini, F. Conventional versus Digital Impressions for Full Arch Screw-Retained Maxillary Rehabilitations: A Randomized Clinical Trial. Int. J. Environ. Res. Public Health 2019, 16, 829. [Google Scholar] [CrossRef] [PubMed]
- Gherlone, E.F.; Ferrini, F.; Crespi, R.; Gastaldi, G.; Capparé, P. Digital Impressions for Fabrication of Definitive “All-on-Four” Restorations. Implant. Dent. 2015, 24, 125–129. [Google Scholar] [CrossRef] [PubMed]
- Krekmanov, L.; Kahn, M.; Rangert, B.; Lindstrom, H. Tilting of posterior mandibular and maxillary implants of improbe prosthesis support. Int. J. Oral Maxillofac. Implant. 2000, 15, 405–414. [Google Scholar]













| L 11 mm | L 13 mm | L 15 mm | |||
|---|---|---|---|---|---|
| Traditional protocol (n = 100) | Upper maxilla (n = 60) | D 3.3 | 0 | 16 | 0 |
| D 3.8 | 0 | 27 | 17 | ||
| Lower maxilla (n = 40) | D 3.3 | 0 | 12 | 0 | |
| D 3.8 | 0 | 19 | 9 | ||
| Digital protocol (n = 100) | Upper maxilla (n = 68) | D 3.3 | 6 | 14 | 0 |
| D 3.8 | 12 | 32 | 6 | ||
| Lower maxilla (n = 32) | D 3.3 | 0 | 6 | 0 | |
| D 3.8 | 4 | 22 | 0 | ||
| Implants Positioned | Failed Implants | Implant Survival (%) | ||
|---|---|---|---|---|
| Traditional Protocol | ||||
| Upper maxilla (n = 60) | Axial | 30 | 0 | 100% |
| Tilted | 30 | 1 | 96.67% | |
| Lower maxilla (n = 40) | Axial | 20 | 0 | 100% |
| Tilted | 20 | 1 | 95.00% | |
| Digital protocol | ||||
| Upper maxilla (n = 68) | Axial | 34 | 0 | 100% |
| Tilted | 34 | 0 | 100% | |
| Lower maxilla (n = 32) | Axial | 16 | 0 | 100% |
| Tilted | 16 | 0 | 100% | |
| Traditional Protocol | Digital Protocol | |||||||||||||||
|---|---|---|---|---|---|---|---|---|---|---|---|---|---|---|---|---|
| Months | 12 | 24 | 36 | 48 | 12 | 24 | 36 | 48 | ||||||||
| n | % | n | % | n | % | n | % | n | % | n | % | n | % | n | % | |
| Implant failures | 2 | 2% | 0 | 0 | 0 | 0 | 0 | 0 | 0 | 0 | 0 | 0 | 0 | 0 | 0 | 0 |
| Peri-implantitis | 1 | 1% | 0 | 0 | 0 | 0 | 0 | 0 | 0 | 0 | 0 | 0 | 0 | 0 | 0 | 0 |
| Fixture fractures | 0 | 0 | 0 | 0 | 0 | 0 | 0 | 0 | 0 | 0 | 0 | 0 | 0 | 0 | 0 | 0 |
| Unscrewing | 3 | 3% | 1 | 1% | 0 | 0 | 1 | 1% | 2 | 2% | 1 | 1% | 1 | 1% | 1 | 1% |
| Provisional prosthetic fractures | 2 | n.a | / | / | / | 2 | n.a | / | / | / | ||||||
| Definitive prosthetic Chipping | 1 | n.a | 0 | 0 | 0 | 0 | 0 | 0 | 0 | 0 | 1 | n.a | 0 | 0 | 0 | 0 |
| Pus | 1 | n.a | 0 | 0 | 0 | 0 | 0 | 0 | 0 | 0 | 0 | 0 | 0 | 0 | 0 | 0 |
| Pain | 1 | n.a | 0 | 0 | 0 | 0 | 0 | 0 | 0 | 0 | 0 | 0 | 0 | 0 | 0 | 0 |
| Paresthesia | 0 | 0 | 0 | 0 | 0 | 0 | 0 | 0 | 0 | 0 | 0 | 0 | 0 | 0 | 0 | 0 |
| 12 Months | 24 Months | 36 Months | 48 Months | ||
|---|---|---|---|---|---|
| Traditional protocol | |||||
| mm | mm | mm | mm | ||
| Upper maxilla | Axial (n = 30) | 1.02 ± 0.33 | 1.08 ± 0.34 | 1.10 ± 0.32 | 1.11 ± 0.32 |
| Tilted (n = 30) | 1.05 ± 0.27 | 1.08 ± 0.26 | 1.11 ± 0.25 | 1.13 ± 0.24 | |
| Lower maxilla | Axial (n = 20) | 1.04 ± 0.28 | 1.05 ± 0.26 | 1.06 ± 0.26 | 1.08 ± 0.25 |
| Tilted (n = 20) | 1.05 ± 0.29 | 1.09 ± 0.25 | 1.12 ± 0.23 | 1.13 ± 0.23 | |
| Total | n = 100 | 1.04 ± 0.29 | 1.08 ± 0.28 | 1.10 ± 0.27 | 1.12 ± 0.26 |
| Digital protocol | |||||
| Upper maxilla | Axial (n = 34) | 0.65 ± 0.10 | 0.72 ± 0.13 | 0.76 ± 0.11 | 0.8 ± 0.10 |
| Tilted (n = 34) | 0.69 ± 0.11 | 0.78 ± 0.11 | 0.81 ± 0.11 | 0.85 ± 0.10 | |
| Lower maxilla | Axial (n = 16) | 0.69 ± 0.19 | 0.73 ± 0.16 | 0.79 ± 0.14 | 0.82 ± 0.15 |
| Tilted (n = 16) | 0.71 ± 0.14 | 0.77 ± 0.11 | 0.80 ± 0.10 | 0.84 ± 0.10 | |
| Total | n = 100 | 0.68 ± 0.13 | 0.75 ± 0.13 | 0.79 ± 0.11 * | 0.83 ± 0.11 * |
| p value (Total Traditional vs. Total Digital) | <0.0001 | <0.0001 | <0.0001 | <0.0001 | |
| Very Effective | Effective | Ineffective | |
|---|---|---|---|
| Traditional protocol | |||
| Mock-up test | 45% | 37% | 18% |
| Traditional surgery | 71% | 29% | 0% |
| Immediate loading | 95% | 5% | 0% |
| Digital protocol | |||
| Digital smile previsualization | 93% | 7% | 0% |
| Mock-up test | 98% | 2% | 0% |
| Guided surgery | 94% | 6% | 0% |
| Immediate loading | 92% | 8% | 0% |
Publisher’s Note: MDPI stays neutral with regard to jurisdictional claims in published maps and institutional affiliations. |
© 2021 by the authors. Licensee MDPI, Basel, Switzerland. This article is an open access article distributed under the terms and conditions of the Creative Commons Attribution (CC BY) license (http://creativecommons.org/licenses/by/4.0/).
Share and Cite
Cattoni, F.; Chirico, L.; Merlone, A.; Manacorda, M.; Vinci, R.; Gherlone, E.F. Digital Smile Designed Computer-Aided Surgery versus Traditional Workflow in “All on Four” Rehabilitations: A Randomized Clinical Trial with 4-Years Follow-Up. Int. J. Environ. Res. Public Health 2021, 18, 3449. https://doi.org/10.3390/ijerph18073449
Cattoni F, Chirico L, Merlone A, Manacorda M, Vinci R, Gherlone EF. Digital Smile Designed Computer-Aided Surgery versus Traditional Workflow in “All on Four” Rehabilitations: A Randomized Clinical Trial with 4-Years Follow-Up. International Journal of Environmental Research and Public Health. 2021; 18(7):3449. https://doi.org/10.3390/ijerph18073449
Chicago/Turabian StyleCattoni, Francesca, Luca Chirico, Alberto Merlone, Michele Manacorda, Raffaele Vinci, and Enrico Felice Gherlone. 2021. "Digital Smile Designed Computer-Aided Surgery versus Traditional Workflow in “All on Four” Rehabilitations: A Randomized Clinical Trial with 4-Years Follow-Up" International Journal of Environmental Research and Public Health 18, no. 7: 3449. https://doi.org/10.3390/ijerph18073449
APA StyleCattoni, F., Chirico, L., Merlone, A., Manacorda, M., Vinci, R., & Gherlone, E. F. (2021). Digital Smile Designed Computer-Aided Surgery versus Traditional Workflow in “All on Four” Rehabilitations: A Randomized Clinical Trial with 4-Years Follow-Up. International Journal of Environmental Research and Public Health, 18(7), 3449. https://doi.org/10.3390/ijerph18073449

