Multimodal Imaging in Susac Syndrome: A Case Report and Literature Review
Abstract
1. Introduction
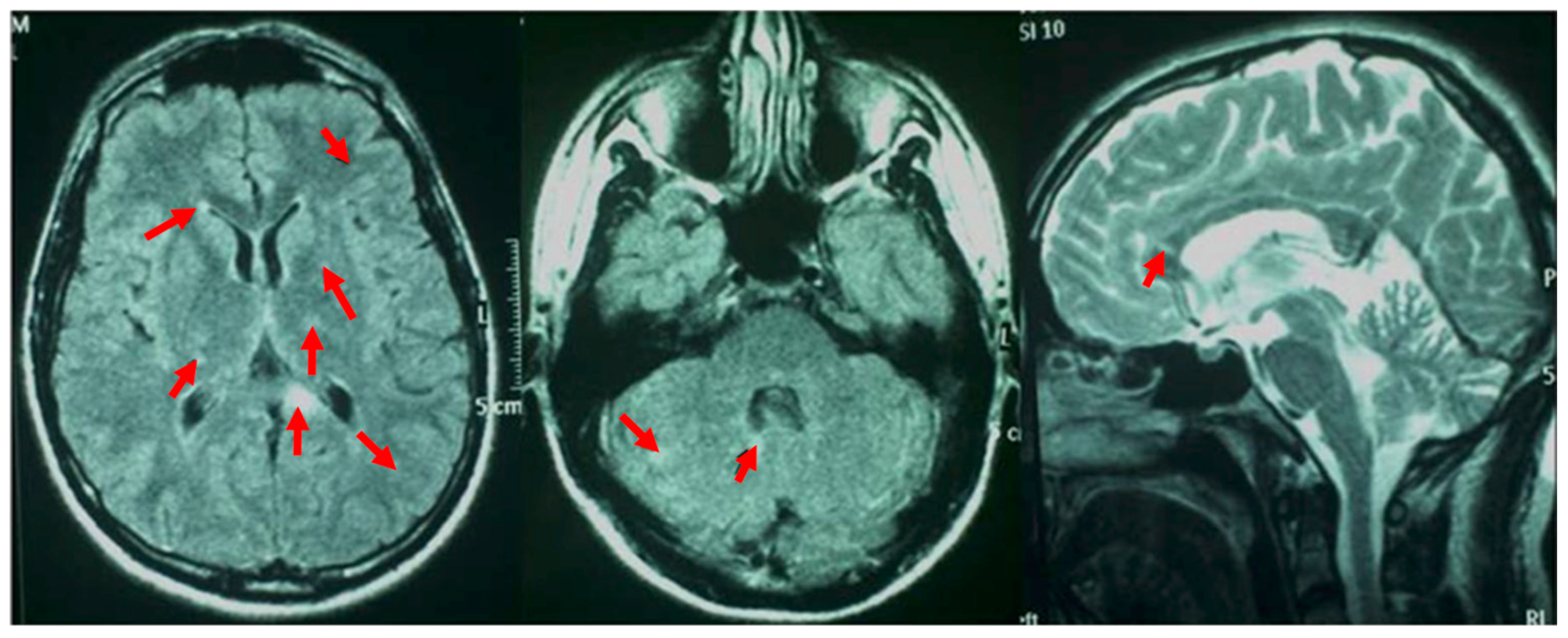
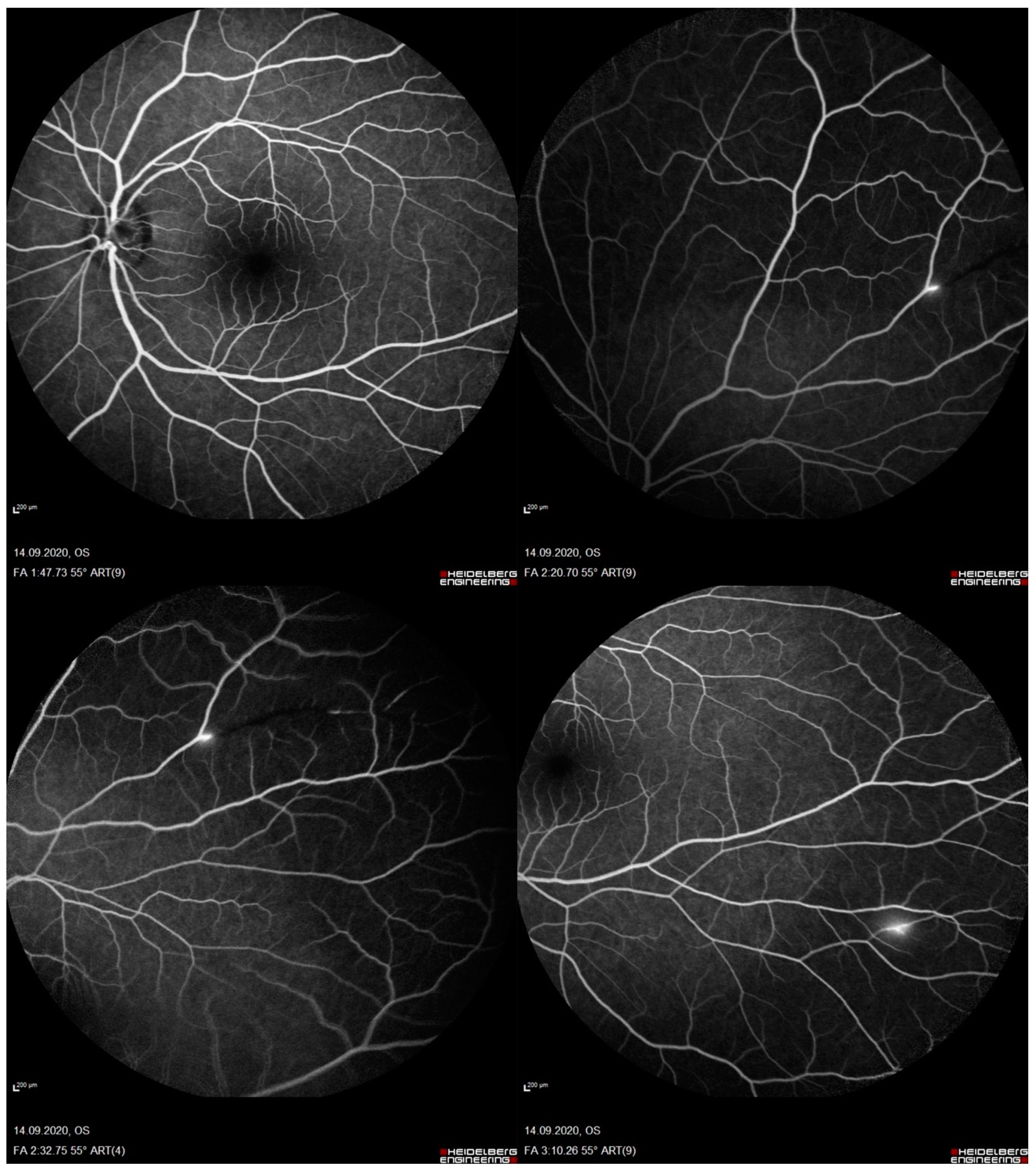
2. Case Report
3. Discussion
4. Conclusions
Author Contributions
Funding
Institutional Review Board Statement
Informed Consent Statement
Data Availability Statement
Conflicts of Interest
References
- Susac, J.O.; Hardman, J.M.; Selhorst, J.B. Microangiopathy of the brain and retina. Neurology 1979, 29, 313–316. [Google Scholar] [CrossRef]
- Do, T.H.; Fisch, C.; Evoy, F. Susac Syndrome: Report of four cases and review of the literature. Am. J. Neuroradiol. 2004, 25, 382–383. [Google Scholar] [PubMed]
- Eluvathingal Muttikkal, T.J.; Vattoth, S.; Keluth Chavan, V.N. Susac syndrome in a young child. Pediatr. Radiol. 2007, 37, 710–713. [Google Scholar] [CrossRef] [PubMed]
- Martinet, N.; Fardeau, C.; Adam, R.; Bodaghi, B.; Papo, T.; Piette, J.C.; Lehoang, P. Fluorescein and indocyanine green angiographies in Susac syndrome. Retina 2007, 27, 1238–1242. [Google Scholar] [CrossRef] [PubMed]
- Catarsi, E.; Pelliccia, V.; Pizzanelli, C.; Pesaresi, I.; Cosottini, M.; Migliorini, P.; Tavoni, A. Cyclophosphamide and methotrexate in Susac’s Syndrome: A successful sequential therapy in a case with involvement of the cerebellum. Clin. Rheumatol. 2015, 34, 1149–1152. [Google Scholar] [CrossRef]
- Agarwal, A.; Soliman, M.; Sarwar, S.; Sadiq, M.A.; Do, D.V.; Nguyen, Q.D.; Sepah, Y.J. Spectral-domain optical coherence tomography evaluation of retinal structure in patients with susacs syndrome. Retin. Cases Brief Rep. 2017, 11, 123–125. [Google Scholar] [CrossRef] [PubMed]
- Ceravolo, I.; Oliverio, G.W.; Alibrandi, A.; Bhatti, A.; Trombetta, L.; Rejdak, R.; Toro, M.D.; Trombetta, C.J. The Application of Structural Retinal Biomarkers to Evaluate the Effect of Intravitreal Ranibizumab and Dexamethasone Intravitreal Implant on Treatment of Diabetic Macular Edema. Diagnostics (Basel) 2020, 10, 413. [Google Scholar] [CrossRef]
- Grenga, P.L.; Fragiotta, S.; Cutini, A.; Meduri, A.; Vingolo, E.M. Enhanced depth imaging optical coherence tomography in adult-onset foveomacular vitelliform dystrophy. Eur. J. Ophthalmol. 2016, 26, 145–151. [Google Scholar] [CrossRef] [PubMed]
- Spaide, R.F.; Klancnik, J.M., Jr.; Cooney, M.J. Retinal vascular layers imaged by fluorescein angiography and optical coherence tomography angiography. JAMA Ophthalmol. 2015, 133, 45–50. [Google Scholar] [CrossRef]
- Mastropasqua, R.; Toto, L.; Senatore, A.; D’Uffizi, A.; Neri, P.; Mariotti, C.; Maccarone, M.T.; Di Antonio, L. Optical coherence tomography angiography findings in Susac’s syndrome: A case report. Int. Ophthalmol. 2018, 38, 1803–1808. [Google Scholar] [CrossRef]
- Salvanos, P.; Moe, M.C.; Utheim, T.P.; Bragadóttir, R.; Kerty, E. Ultra-wide-field fundus imaging in the diagnosis and follow-up of susac syndrome. Retin. Cases Brief Rep. 2018, 12, 234–239. [Google Scholar] [CrossRef] [PubMed]
- Giuffrè, C.; Miserocchi, E.; Marchese, A.; Cicinelli, M.V.; Bruschi, E.; Querques, G.; Bandello, F.M.; Modorati, G.M. Widefield OCT angiography and ultra-widefield multimodal imaging of Susac syndrome. Eur. J. Ophthalmol. 2019, 10, 1120672119843281. [Google Scholar] [CrossRef] [PubMed]
- Galletti, F.; Cammaroto, G.; Galletti, B.; Quartuccio, N.; Di Mauro, F.; Baldari, S. Technetium-99m (⁹⁹mTc)-labelled sulesomab in the management of malignant external otitis: Is there any role? Eur. Arch. Otorhinolaryngol. 2015, 272, 1377–1382. [Google Scholar] [CrossRef]
- Galletti, F.; Freni, F.; Gazia, F.; Galletti, B. Endomeatal approach in cochlear implant surgery in a patient with small mastoid cavity and procident lateral sinus. BMJ Case Rep. 2019, 6, 12. [Google Scholar] [CrossRef] [PubMed]
- Freni, F.; Gazia, F.; Slavutsky, V.; Scherdel, E.P.; Nicenboim, L.; Posada, R.; Portelli, D.; Galletti, B.; Galletti, F. Cochlear Implant Surgery: Endomeatal Approach versus Posterior Tympanotomy. Int. J. Environ. Res. Public Health 2020, 12, 4187. [Google Scholar] [CrossRef] [PubMed]
- Ciodaro, F.; Freni, F.; Mannella, V.K.; Gazia, F.; Maceri, A.; Bruno, R.; Galletti, B.; Galletti, F. Use of 3D Volume Rendering Based on High-Resolution Computed Tomography Temporal Bone in Patients with Cochlear Implants. Am. J. Case Rep. 2019, 12, 184–188. [Google Scholar] [CrossRef]
- Flores-Orozco, E.I.; Tiznado-Orozco, G.E.; Díaz-Peña, R.; Orozco, E.I.F.; Galletti, C.; Gazia, F.; Galletti, F. Effect of a Mandibular Advancement Device on the Upper Airway in a Patient With Obstructive Sleep Apnea. J. Craniofac. Surg. 2019, 31, e31–e35. [Google Scholar] [CrossRef]
- Kleffner, I.; Dörr, J.; Ringelstein, M.; Gross, C.C.; Böckenfeld, Y.; Schwindt, W.; Sundermann, B.; Lohmann, H.; Wersching, H.; Promesberger, J.; et al. Diagnostic criteria for Susac syndrome. J. Neurol. Neurosurg. Psychiatry 2016, 87, 1287–1295. [Google Scholar] [CrossRef]
- Vishnevskia-Dai, V.; Chapman, J.; Sheinfeld, R.; Sharon, T.; Huna-Baron, R.; Manor, R.S.; Shoenfeld, Y.; Zloto, O. Susac syndrome: Clinical characteristics, clinical classification, and long-term prognosis. Medicine (Baltimore) 2016, 95, e5223. [Google Scholar] [CrossRef]
- Brandt, A.U.; Oberwahrenbrock, T.; Costello, F.; Fielden, M.; Gertz, K.; Kleffner, I.; Paul, F.; Bergholz, R.; Dörr, J. Retinal lesion evolution in susac syndrome. Retina 2016, 36, 366–374. [Google Scholar] [CrossRef]
- Zigiotti, G.L.; Cavarretta, S.; Morara, M.; Nam, S.M.; Ranno, S.; Pichi, F.; Lembo, A.; Lupo, S.; Nucci, P.; Meduri, A. Standard enucleation with aluminium oxide implant (bioceramic) covered with patient’s sclera. Sci. World J. 2012, 2012, 481584. [Google Scholar] [CrossRef] [PubMed]
- Agarwal, A.; Brubaker, J.W.; Mamalis, N.; Kumar, D.A.; Jacob, S.; Chinnamuthu, S.; Nair, V.; Prakash, G.; Meduri, A.; Agarwal, A. Femtosecond-assisted lamellar keratoplasty in atypical Avellino corneal dystrophy of Indian origin. Eye Contact Lens 2009, 35, 272–274. [Google Scholar] [CrossRef] [PubMed]
- Sauma, J.; Rivera, D.; Wu, A.; Donate-Lopez, J.; Gallego-Pinazo, R.; Chilov, M.; Wu, M.; Wu, L. Susac’s syndrome: An update. Br. J. Ophthalmol. 2020, 104, 1190–1195. [Google Scholar] [CrossRef] [PubMed]
- Oliverio, G.W.; Ceravolo, I.; Bhatti, A.; Trombetta, C.J. Foveal avascular zone analysis by optical coherence tomography angiography in patients with type 1 and 2 diabetes and without clinical signs of diabetic retinopathy. Int. Ophthalmol. 2021, 41, 649–658. [Google Scholar] [CrossRef]
- Heng, L.Z.; Bailey, C.; Lee, R.; Dick, A.; Ross, A. A review and update on the ophthalmic implications of Susac syndrome. Surv. Ophthalmol. 2019, 64, 477–485. [Google Scholar] [CrossRef]




Publisher’s Note: MDPI stays neutral with regard to jurisdictional claims in published maps and institutional affiliations. |
© 2021 by the authors. Licensee MDPI, Basel, Switzerland. This article is an open access article distributed under the terms and conditions of the Creative Commons Attribution (CC BY) license (http://creativecommons.org/licenses/by/4.0/).
Share and Cite
Bagaglia, S.A.; Passani, F.; Oliverio, G.W.; Inferrera, L.; Menna, F.; Meduri, A.; Mazzotta, C. Multimodal Imaging in Susac Syndrome: A Case Report and Literature Review. Int. J. Environ. Res. Public Health 2021, 18, 3435. https://doi.org/10.3390/ijerph18073435
Bagaglia SA, Passani F, Oliverio GW, Inferrera L, Menna F, Meduri A, Mazzotta C. Multimodal Imaging in Susac Syndrome: A Case Report and Literature Review. International Journal of Environmental Research and Public Health. 2021; 18(7):3435. https://doi.org/10.3390/ijerph18073435
Chicago/Turabian StyleBagaglia, Simone Alex, Franco Passani, Giovanni William Oliverio, Leandro Inferrera, Feliciana Menna, Alessandro Meduri, and Cosimo Mazzotta. 2021. "Multimodal Imaging in Susac Syndrome: A Case Report and Literature Review" International Journal of Environmental Research and Public Health 18, no. 7: 3435. https://doi.org/10.3390/ijerph18073435
APA StyleBagaglia, S. A., Passani, F., Oliverio, G. W., Inferrera, L., Menna, F., Meduri, A., & Mazzotta, C. (2021). Multimodal Imaging in Susac Syndrome: A Case Report and Literature Review. International Journal of Environmental Research and Public Health, 18(7), 3435. https://doi.org/10.3390/ijerph18073435
