Double-Negative T-Cell Reaction in a Case of Listeria Meningitis
Abstract
1. Introduction
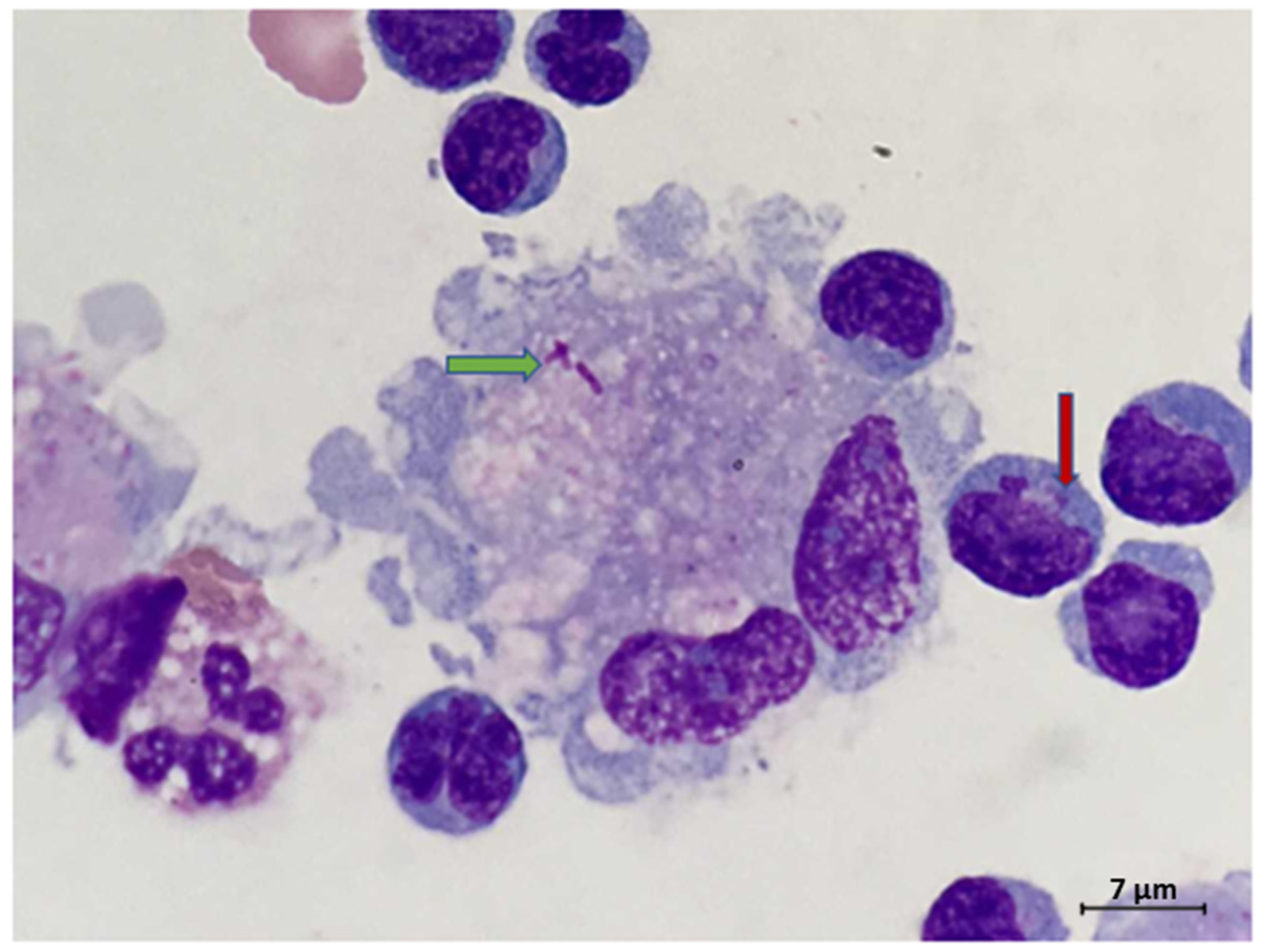
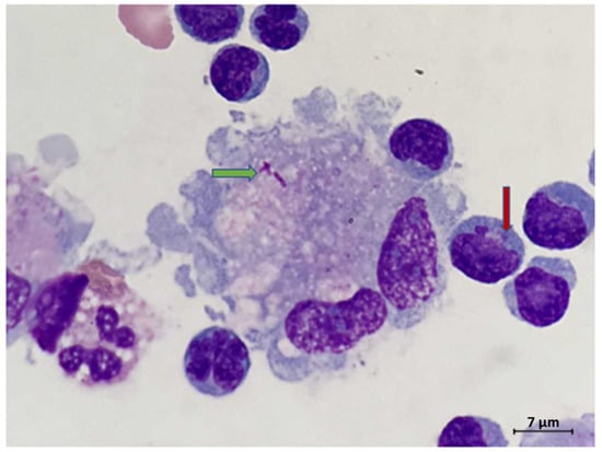
2. Case Report
3. Discussion
4. Conclusions
Author Contributions
Funding
Institutional Review Board Statement
Informed Consent Statement
Data Availability Statement
Conflicts of Interest
References
- Munk, M.E.; Elser, C.; Kaufmann, S.H. Human gamma/delta T-cell response to Listeria monocytogenes protein components in vitro. Immunology 1996, 87, 230–235. [Google Scholar] [CrossRef] [PubMed]
- Zhu, Y.; Wang, H.; Xu, Y.; Hu, Y.; Chen, H.; Cui, L.; Zhang, J.; He, W. Human γδ T cells augment antigen presentation in Listeria Monocytogenes infection. Mol. Med. 2016, 22, 737–746. [Google Scholar] [CrossRef] [PubMed]
- Wei, P.; Bao, R.; Fan, Y. Brainstem Encephalitis Caused by Listeria monocytogenes. Pathogens 2020, 9, 715. [Google Scholar] [CrossRef] [PubMed]
- Nakamura, F.; Nasu, R. Listeria monocytogenes septicemia and meningoencephalitis associated with relapsed and refractory follicular lymphoma. J. Infect. Chemother. 2020, 26, 619–621. [Google Scholar] [CrossRef] [PubMed]
- Carrique-Mas, J.J.; Hökeberg, I.; Andersson, Y.; Arneborn, M.; Tham, W.; Danielsson-Tham, M.L.; Osterman, B.; Leffler, M.; Steen, M.; Eriksson, E.; et al. Febrile gastroenteritis after eating on-farm manufactured fresh cheese—An outbreak of listeriosis? Epidemiol Infect. 2003, 130, 79–86. [Google Scholar] [CrossRef] [PubMed]
- Koopmans, M.M.; Bijlsma, M.W.; Brouwer, M.C.; van de Beek, D.; van der Ende, A. Listeria monocytogenes meningitis in the Netherlands, 1985-2014: A nationwide surveillance study. J. Infect. 2017, 75, 12–19. [Google Scholar] [CrossRef] [PubMed]
- Pagliano, P.; Ascione, T.; Boccia, G.; De Caro, F.; Esposito, S. Listeria monocytogenes meningitis in the elderly: Epidemiological, clinical and therapeutic findings. Infez Med. 2016, 24, 105–111. [Google Scholar] [PubMed]
- Gelfand, M.S. Clinical Manifestations and Diagnosis of Listeria monocytogenes Infection. UpToDate (en Línea) (Consultado el 30/03/2016). 2007. Available online: www.uptodate.com/contents/clinical-Manifestations-and-diagnosis-of-listeria-monocytogenes-infection (accessed on 12 April 2021).
- Ooi, S.T.; Lorber, B. Gastroenteritis due to Listeria monocytogenes. Clin. Infect. Dis. 2005, 40, 1327–1332. [Google Scholar] [CrossRef] [PubMed]
- Matereke, L.T.; Okoh, A.I. Listeria monocytogenes Virulence, Antimicrobial Resistance and Environmental Persistence: A Review. Pathogens 2020, 9, 528. [Google Scholar] [CrossRef]
- Matsuzaki, G.; Hiromatsu, K.; Yoshikai, Y.; Muramori, K.; Nomoto, K. Characterization of T-cell receptor gamma delta T cells appearing at the early phase of murine Listeria monocytogenes infection. Immunology 1993, 78, 22–27. [Google Scholar] [PubMed]
- Skeen, M.J.; Rix, E.P.; Freeman, M.M.; Ziegler, H.K. Exaggerated proinflammatory and Th1 responses in the absence of gamma/delta T cells after infection with Listeria monocytogenes. Infect. Immun. 2001, 69, 7213–7223. [Google Scholar] [CrossRef]
- Brouwer, M.C.; van de Beek, D.; Heckenberg, S.G.; Spanjaard, L.; de Gans, J. Community-acquired Listeria monocytogenes meningitis in adults. Clin. Infect. Dis. 2006, 43, 1233–1238. [Google Scholar] [CrossRef] [PubMed]
- Bazooyar, B. Rhombencephalitis by Listeria monocytogens in Two Diabetic Patients. Arch. Iran. Med. 2015, 18, 613–615. [Google Scholar] [PubMed]
- Uldry, P.A.; Kuntzer, T.; Bogousslavsky, J.; Regli, F.; Miklossy, J.; Bille, J.; Francioli, P.; Janzer, R. Early symptoms and outcome of Listeria monocytogenes rhombencephalitis: 14 adult cases. J. Neurol. 1993, 240, 235–242. [Google Scholar] [CrossRef] [PubMed]
- Nieman, R.E.; Lorber, B. Listeriosis in adults: A changing pattern. Report of eight cases and review of the literature, 1968–1978. Rev. Infect. Dis. 1980, 2, 207–227. [Google Scholar] [CrossRef] [PubMed]
- Jubelt, B.; Mihai, C.; Li, T.M.; Veerapaneni, P. Rhombencephalitis / brainstem encephalitis. Curr. Neurol. Neurosci. Rep. 2011, 11, 543–552. [Google Scholar] [CrossRef] [PubMed]
- Belles, C.; Kuhl, A.K.; Donoghue, A.J.; Sano, Y.; O’Brien, R.L.; Born, W.; Bottomly, K.; Carding, S.R. Bias in the gamma delta T cell response to Listeria monocytogenes. V delta 6.3+ cells are a major component of the gamma delta T cell response to Listeria monocytogenes. J. Immunol. 1996, 156, 4280–4289. [Google Scholar] [PubMed]
- Vantourout, P.; Hayday, A. Six-of-the-best: Unique contributions of γδ T cells to immunology. Nat. Rev. Immunol. 2013, 13, 88–100. [Google Scholar] [CrossRef] [PubMed]
- Guo, Y.; Ziegler, H.K.; Safley, S.A.; Niesel, D.W.; Vaidya, S.; Klimpel, G.R. Human T-cell recognition of Listeria monocytogenes: Recognition of listeriolysin O by TcR alpha beta + and TcR gamma delta + T cells. Infect. Immun. 1995, 63, 2288–2294. [Google Scholar] [CrossRef] [PubMed]



Publisher’s Note: MDPI stays neutral with regard to jurisdictional claims in published maps and institutional affiliations. |
© 2021 by the authors. Licensee MDPI, Basel, Switzerland. This article is an open access article distributed under the terms and conditions of the Creative Commons Attribution (CC BY) license (https://creativecommons.org/licenses/by/4.0/).
Share and Cite
Ullah, A.; Patterson, G.T.; Mattox, S.N.; Cotter, T.; Patel, N.G.; Savage, N.M. Double-Negative T-Cell Reaction in a Case of Listeria Meningitis. Int. J. Environ. Res. Public Health 2021, 18, 6486. https://doi.org/10.3390/ijerph18126486
Ullah A, Patterson GT, Mattox SN, Cotter T, Patel NG, Savage NM. Double-Negative T-Cell Reaction in a Case of Listeria Meningitis. International Journal of Environmental Research and Public Health. 2021; 18(12):6486. https://doi.org/10.3390/ijerph18126486
Chicago/Turabian StyleUllah, Asad, G. Taylor Patterson, Samantha N. Mattox, Thomas Cotter, Nikhil G. Patel, and Natasha M. Savage. 2021. "Double-Negative T-Cell Reaction in a Case of Listeria Meningitis" International Journal of Environmental Research and Public Health 18, no. 12: 6486. https://doi.org/10.3390/ijerph18126486
APA StyleUllah, A., Patterson, G. T., Mattox, S. N., Cotter, T., Patel, N. G., & Savage, N. M. (2021). Double-Negative T-Cell Reaction in a Case of Listeria Meningitis. International Journal of Environmental Research and Public Health, 18(12), 6486. https://doi.org/10.3390/ijerph18126486

