Histologic, Histomorphometric, and Clinical Analysis of the Effects of Growth Factors in a Fibrin Network Used in Maxillary Sinus Augmentation
Abstract
1. Introduction
2. Materials and Methods
2.1. Surgical Procedure
2.2. Preparation of Biomaterials
2.3. Histologic and Histomorphometric Analyses
2.4. Radiographic Analysis
2.5. Statistical Analyses
3. Results
3.1. Clinical Observations
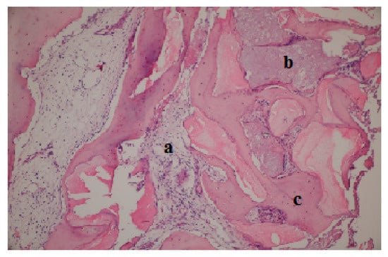
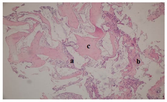
3.2. Histological and Histomorphometric Findings
3.3. Radiographic Findings
4. Discussion
5. Conclusions
Author Contributions
Funding
Conflicts of Interest
References
- Schropp, L.; Wenzel, A.; Kostopoulos, L.; Karring, T. Bone healing and soft tissue contour changes following single-tooth extraction: A clinical and radiographic 12-months prospective study. Int. J. Periodontics Restor. Dent. 2003, 23, 313–323. [Google Scholar]
 - Sharan, A.; Madjar, D. Maxillary sinus pneumatization following extractions: A radiographic study. Int. J. Oral Maxilofac. Implant. 2008, 23, 48–56. [Google Scholar]
 - Chiapasco, M.; Zaniboni, M. Methods to treat the edentulous posterior maxilla: Implants with sinus grafting. J. Oral Maxillofac. Surg. 2009, 67, 867–871. [Google Scholar] [CrossRef]
 - Zijderveld, S.A.; Schulten, E.A.; Aartman, I.H.; ten Bruggenkate, C.M. Long-term changes in graft height after maxillary sinus floor elevation with different grafting materials: Radiographic evaluation with a minimum follow-up of 4.5 years. Clin. Oral Implant. Res. 2009, 20, 691–700. [Google Scholar] [CrossRef]
 - Boyne, P.J.; James, R.A. Grafting of the maxillary sinus floor with autogenous marrow and bone. J. Oral Surg. 1980, 38, 613–616. [Google Scholar]
 - Yildirim, M.; Spiekermann, H.; Handt, S.; Edelhoff, D. Maxillary sinus augmentation with the xenograft Bio-Oss and autogenous intraoral bone for qualitative improvement of the implant site: A histologic and histo-morphometric clinical study in humans. Int. J. Oral Maxillofac. Implant. 2001, 16, 23–33. [Google Scholar]
 - Rickert, D.; Slater, J.J.; Meijer, H.J.; Vissink, A.; Raghoebar, G.M. Maxillary sinus lift with solely autogenous bone compared to a com-bination of autogenous bone and growth factors or (solely) bone substitutes. A sys-tematic review. Int. J. Oral Maxillofac. Surg. 2012, 41, 160–167. [Google Scholar] [CrossRef]
 - Nkenke, E.; Weisbach, V.; Winckler, E.; Kessler, P.; Schultze-Mosgau, S.; Wiltfang, J.; Neukam, F.W. Morbidity of harvesting of bone grafts from the iliac crest for preprosthetic augmentation procedures: A prospective study. Int. J. Oral Maxillofac. Surg. 2004, 33, 157–163. [Google Scholar] [CrossRef]
 - Szabo, G.; Huys, L.; Coulthard, P.; Maiorana, C.; Garagiola, U.; Barabas, J.; Németh, Z.; Hrabák, K.; Suba, Z. A prospective multicenter randomized clinical trial of autogenous bone versus beta-tricalcium phosphate graft alone for bilateral sinus elevation: Histologic and histomorphometric evaluation. Int. J. Oral Maxillofac. Implant. 2005, 20, 371–381. [Google Scholar]
 - Wheeler, S.L.; Holmes, R.E.; Calhoun, C.J. Six-year clinical and histologic study of sinüs lift grafts. Int. J. Oral Maxillofac. Implant. 1996, 11, 26–34. [Google Scholar]
 - Brydone, A.S.; Meek, D.; Maclaine, S. Bone grafting, orthopaedic biomaterials and clinical need for bone engineering. Proc. Inst. Mech Eng. H. 2010, 224, 1329–1343. [Google Scholar] [CrossRef] [PubMed]
 - Tayapongsak, P.; O’Brien, D.A.; Monteiro, C.B.; Arceo-Diaz, L.Y. Autologous fibrin adhesive in mandibular reconstruction with particulate cancellous bone and marrow. J. Oral Maxillofac. Surg. 1994, 52, 161–165, Discussion: 166. [Google Scholar] [CrossRef]
 - Dohan, D.M.; Choukroun, J.; Diss, A.; Dohan, S.L.; Dohan, A.J.; Mouhyi, J. Platelet-rich fibrin (PRF): A second-generation platelet concentrate. Part I: Technological concepts and evolution. Oral Surg. Oral Med. Oral Pathol. Oral Radiol. Endod. 2006, 101, e37–e44. [Google Scholar] [CrossRef] [PubMed]
 - Dohan, D.M.; Choukroun, J.; Diss, A.; Dohan, S.L.; Dohan, A.J.; Mouhyi, J. Platelet-rich fibrin (PRF): A second-generation platelet concentrate. Part II: Platelet-related biologic features. Oral Surg. Oral Med. Oral Pathol. Oral Radiol. Endod. 2006, 101, e45–e50. [Google Scholar] [CrossRef]
 - Dohan, D.M.; Choukroun, J.; Diss, A.; Dohan, S.L.; Dohan, A.J.; Mouhyi, J. Platelet-rich fibrin (PRF): A second-generation platelet concentrate. Part III: Leucocytes activation: A New feature for platelet concentrates? Oral Surg. Oral Med. Oral Pathol. Oral Radiol. Endod 2006, 101, e51–e55. [Google Scholar] [CrossRef]
 - Dohan Ehrenfest, D.M.; Doglioli, P.; Giusseppe, M.P.; Marco, D.C. Choukroun’ s platelet-rich fibrin stimulates in vitro proliferation and differentiation of human oral bone mesenchymal stem cell in a dose-dependent way. Arch. Oral Biol. 2010, 55, 185–194. [Google Scholar] [CrossRef]
 - Szponder, T.; Wessely-Szponder Sobczynska-Rak, A.; Zylinska, B.; Radzki, R.P.; Polkowska, I. Application of Platelet-rich Plasma and Tricalcium Phosphate in the Treatment of Comminuted Fractures in Animals. In Vivo 2018, 32, 1449–1455. [Google Scholar] [CrossRef]
 - Jungbluth, P.; Wild, M.; Grassmann, J.P.; Ar, E.; Sager, M.; Herten, M.; Jager, M.; Becker, J.; Windolf, J.; Hakimi, M. Platelet-Rich Plasma on Calcium Phosphate Granules Promotes Metaphyseal Bone Healing in Mini-Pigs. J. Orthop. Res. 2010, 28, 1448–1455. [Google Scholar] [CrossRef]
 - Amine, K.; Gharibi, A.; Hsaine, A.; Kissa, J. Effect of Bone Regeneration with Mineralized Plasmatic Matrix for Implant Placement in Aesthetic Zone. Case Rep. Hindawi Case Rep. Dent. 2017, 2017, 2639564. [Google Scholar] [CrossRef]
 - Kent, J.N.; Block, M.S. Simultaneous maxillary sinus floor bone grafting and placement of hydroxylapatite-coated implants. J. Oral Maxillofac. Surg. 1989, 47, 238–242. [Google Scholar] [CrossRef]
 - Piattelli, A.; Scarano, A.; Quaranta, M. High-precision, cost-effective cutting system for producing thin sections of oral tissues containing dental implants. Biomaterials 1997, 18, 577–579. [Google Scholar] [CrossRef]
 - Iezzi, G.; Degidi, M.; Piattelli, A.; Mangano, C.; Scarano, A.; Shibli, J.A.; Perrotti, V. Comparative histological results of different biomaterials used in sinus augmentation procedures: A human study at 6 months. Clin. Oral Implant. Res. 2012, 23, 1369–1376. [Google Scholar] [CrossRef] [PubMed]
 - Johansson, B.; Grepe, A.; Wannfors, K.; Hirsch, J.M. A clinical study of changes in the volume of bone grafts in the atrophic maxilla. DentoMaxilloFac. Radiol. 2001, 30, 157–161. [Google Scholar] [CrossRef] [PubMed]
 - Cordaro, L.; Amade, D.S.; Cordaro, M. Clinical results of alveolar ridge augmentation with mandibular block bone grafts in partially edentulous patients prior to implant placement. Clin. Oral Implant. Res. 2002, 13, 103–111. [Google Scholar] [CrossRef]
 - El Moheb, M.; Al-Zarea, B.; Sghaireen, M.G.; Toriya, J.; Mizohata, A.; Patil, S.; Siada, A.; Brad, B.; Kochaji, N.; Alam, M.K.; et al. Mineralized plasmatic matrix to enhance the bone grafting technique. J. Hard Tis Biol. 2017, 26, 289–292. [Google Scholar] [CrossRef]
 - Wiltfang, J.; Schlegel, K.A.; Schultze-Mosgau, S.; Nkenke, E.; Zimmermann, R.; Kessler, P. Sinus floor augmentation with beta-tricalcium phosphate (beta-TCP): Does platelet rich plasma promote its osseous integration and degradation? Clin. Oral Implant. Res. 2003, 14, 213–218. [Google Scholar] [CrossRef]
 - Kim, B.J.; Kwon, T.K.; Baek, H.S.; Hwang, D.S.; Kim, C.H.; Chung, I.K.; Jeong, J.S.; Shin, S.H. A comparative study of the effectiveness of sinus bone grafting with recombinant human bone morphogenetic protein 2-coated tricalcium phosphate and platelet-rich fibrin-mixed tricalcium phosphate in rabbits. Oral Surg. Oral Med. Oral Pathol. Oral Radiol. 2012, 113, 583–592. [Google Scholar] [CrossRef]
 - Liu, R.; Yan, M.; Chen, S.; Huang, W.; Wu, D.; Chen, J. Effectiveness of Platelet-Rich Fibrin as an Adjunctive Material to Bone Graft in Maxillary Sinus Augmentation: A Meta-Analysis of Randomized Controlled Trails. Biomed. Res. Int. 2019, 2019, 7267062. [Google Scholar] [CrossRef]
 - Nizam, N.; Eren, G.; Akcalı, A.; Donos, N. Maxillary sinus augmentation with leukocyte and platelet-rich fibrin and deproteinized bovine bone mineral: A split-mouth histological and histomorphometric study. Clin. Oral Implant. Res. 2018, 29, 67–75. [Google Scholar] [CrossRef]
 - Suba, Z.; Takács, D.; Matusovits, D.; Barabás, J.; Fazekas, A.; Szabó, G. Maxillary sinus floor grafting with b-tricalcium phosphate in humans: Density and microarchitecture of the newly formed bone. Clin. Oral Implant. Res. 2006, 17, 102–108. [Google Scholar] [CrossRef]
 - Zijderveld, S.A.; Zerbo, I.R.; van den Bergh, J.P.; Schulten, E.A.; ten Bruggenkate, C.M. Maxillary sinus floor augmentation using a b-tricalcium phosphate (Cerasorb) alone compared to autogenous bone grafts. Int. J. Oral Maxillofac. Implant. 2005, 20, 432–440. [Google Scholar]
 - Artzi, Z.; Weinreb, M.; Givol, N.; Rohrer, M.D.; Nemcovsky, C.E.; Prasad, H.S.; Tal, H. Biomaterial resorption rate and healing site morphology of inorganic bovine bone and beta-tricalcium phosphate in the canine: A 24-month longitudinal histologic study and morphometric analysis. Int. J. Oral Maxillofac. Implant. 2004, 19, 357–368. [Google Scholar]
 - Yilmaz, D.; Dogan, N.; Ozkan, A.; Sencimen, M.; Ora, B.E.; Mutlu, I. Effect of platelet-rich fibrin and beta tricalcium phospate on bone healing. A histological study in pigs. Acta Cir. Bras. 2014, 29, 59–65. [Google Scholar] [CrossRef] [PubMed]
 - Bolukbasi, N.; Yeniyol, S.; Tekkesin, M.S.; Altunatmaz, K. The use of platelet-rich fibrin in combination with biphasic calcium phosphate in the treatment of bone defects: A histologic and histomorphometric study. Curr. Ther. Res. Exp. 2013, 75, 15–21. [Google Scholar] [CrossRef] [PubMed]
 - Sambhav, J.; Rohit, R.; Ranjana, M.; Shalabh, M. Platelet rich fibrin (Prf) and β-tricalcium phosphate with coronally advanced flap for the management of grade-II furcation defect. Ethiop. J. Health Sci. 2014, 24, 269–272. [Google Scholar] [CrossRef] [PubMed][Green Version]
 - Tözüm, T.F.; Keçeli, H.G. Treatment of peri-implant defect with modified sandwich bone augmentation. Case report and follow-up. N Y State Dent. J. 2008, 74, 52–57. [Google Scholar]
 - Del Fabbro, M.; Bortolin, M.; Tachieri, S.; Weinstein, R. Is platelet concentrate advantegeous for the surgical treatment of periodontal diseases? A systematic review and meta-analysis. J. Periodontol. 2011, 82, 1100–1111. [Google Scholar] [CrossRef]
 - Taschieri, S.; Lolato, A.; Ofer, M.; Testori, T.; Francetti, L.; Fabro, M. Immediate post-extraction implants with or without pure plateletrich plasma: A 5-year follow-up study. Oral Maxillofac. Surg. 2017, 21, 147–157. [Google Scholar] [CrossRef]
 - Choukroun, J.; Diss, A.; Simonpieri, A.; Girard, M.; Schoeffler, C.; Dohan, S. Platelet-rich fibrin (PRF): A second-generation platelet concentrates. part v: Histological evaluations of PRF effects on bone allograft maturation in sinus lift. Oral Surg. Oral Med. Oral Pathol. Oral Radiol. Endod. 2006, 101, 299–303. [Google Scholar] [CrossRef]
 - Jensen, T.; Schou, S.; Svendsen, P.A.; Forman, J.L.; Gundersen, H.J.; Terheyden, H.; Holmstrup, P. Volumetric changes of the graft after maxillary sinus floor augmentation with bio-oss and autogenous bone in different ratios: A radiographic study in minipigs. Clin. Oral Implant. Res. 2012, 23, 902–910. [Google Scholar] [CrossRef]
 - Umanjec-Korac, S.; Wu, G.; Hassan, B.; Liu, Y.; Wismeijer, D. A retrospective analysis of the resorption rate of deproteinized bovine bone as maxillary sinus graft material on cone beam computed tomography. Clin. Oral Implant. Res. 2014, 25, 781–785. [Google Scholar] [CrossRef] [PubMed]
 - Gultekin, B.A.; Cansiz, E.; Borahan, O.; Mangano, C.; Kolerman, R.; Mijiritsky, E.; Yalcin, S. Evaluation of Volumetric Changes of Augmented Maxillary Sinus With Different Bone Grafting Biomaterials. J. Craniofac. Surg. 2016, 27, e144–e148. [Google Scholar] [CrossRef] [PubMed]
 - Ohe, J.Y.; Kim, G.T.; Lee, J.W.; Al Nawas, B.; Jung, J.; Kwon, Y.D. Volume stability of hydroxyapatite and β-tricalcium phosphate biphasic bone graft material in maxillary sinus floor elevation: A radiographic study using 3D cone beam computed tomography. Clin. Oral Implant. Res. 2016, 27, 348–353. [Google Scholar] [CrossRef]
 - Smolka, W.; Eggensperger, N.; Carollo, V.; Ozdoba, C.; Iizuka, T. Changes in thevolume and density of calvarial split bone grafts after alveolar ridge augmentation. Clin. Oral Implant. Res. 2006, 17, 149–155. [Google Scholar] [CrossRef]
 - Sbordone, C.; Toti, P.; Guidetti, F.; Califano, L.; Bufo, P.; Sbordone, L. Volume changes of autogenous bone after sinus lifting and grafting procedures: A 6-year computerized tomographic follow-up. J. Cranio-Maxillo-Facial Surg. 2013, 41, 235–241. [Google Scholar] [CrossRef]
 - Tarnow, D.P.; Wallace, S.S.; Froum, S.J.; Rohrer, M.D.; Sang-Choon, C. Histologic and clinical comparison of bilateral sinus floor elevations with and without barrier membrane placement in 12 patients: Part 3 of an ongoing prospective study. Int. J. Periodont. Restor. Dent. 2000, 20, 117–126. [Google Scholar]
 - Choi, K.; Kan, J.; Boyne, P.J.; Goodacre, C.J.; Lozada, J.L.; Rungcharassaeng, K. The effects of resorbable membrane on human maxillary sinus graft: A pilot study. Int. J. Oral Maxillofac. Implant. 2009, 24, 73. [Google Scholar]
 - Avera, S.P.; Stampley, W.A.; McAllister, B.S. Histologic and clinical observations of resorbable and nonresorbable barrier membranes used in maxillary sinus graft containment. Int. J. Oral Maxillofac. Implant. 1997, 12, 88. [Google Scholar]
 - Kirmeier, R.; Payer, M.; Wehrschuetz, M.; Jakse, N.; Platzer, S.; Lorenzoni, M. Evaluation of three-dimensional changes after sinus floor augmentation with different grafting materials. Clin. Oral Implant. Res. 2008, 19, 366–372. [Google Scholar] [CrossRef]
 - Tosta, M.; Cortes, A.R.; Correa, L.; Pinto, D.D.S., Jr.; Tumenas, I.; Katchburian, E. Histologic and histomorphometric evaluation of a synthetic bone substitute for maxillary sinus grafting in humans. Clin. Oral Implant. Res. 2013, 24, 866–870. [Google Scholar] [CrossRef]
 - Froum, S.J.; Wallace, S.S.; Cho, S.C.; Elian, N.; Tarnow, D.P. Histomorphometric comparison of a biphasic bone ceramic to anorganic bovine bone for sinus augmentation: 6- to 8-month postsurgical assessment of vital bone formation. A pilot study. Int. J. Periodontics Restor. Dent. 2008, 28, 273–281. [Google Scholar]
 - Suk-Arj, P.; Wongchuensoontorn, C.; Taebunpakul, P. Evaluation of bone formation following the osteotome sinus floor elevation technique without grafting using cone beam computed tomography: A preliminary study. Int. J. Implant. Dent. 2019, 5, 27. [Google Scholar] [CrossRef] [PubMed]
 - Elsayyad, A.A.; Osman, R.B. Osseodensification in Implant Dentistry: A Critical Review of the Literature. Implant. Dent. 2019, 28, 306–312. [Google Scholar] [CrossRef] [PubMed]
 - Badwelan, M.; Alkindi, M.; Ramalingam, S.; Nooh, N.; Al Hezaimi, K. The Efficacy of Recombinant Platelet-Derived Growth Factor on Beta-Tricalcium Phosphate to Regenerate Femoral Critical Sized Segmental Defects: Longitudinal In Vivo Micro-CT Study in a Rat Model. J. Investig. Surg. 2018, 15, 1–13. [Google Scholar] [CrossRef] [PubMed]
 - Luvizuto, E.R.; Tangl, S.; Dobsak, T.; Reich, K.; Gruber, R.; Sonoda, C.K.; Okamoto, R. Effect of recombinant PDGF-BB on bone formation in the presence of β-tricalcium phosphate and bovine bone mineral matrix: A pilot study in rat calvarial defects. BMC Oral Health 2016, 16, 52. [Google Scholar] [CrossRef]
 










| Title | MPM (n = 20) | β-TCP (n = 19) | p | 
|---|---|---|---|
| New bone (%) | 35.40 ± 9.09 | 26.92 ± 7.26 | 0.003 ** | 
| Residual graft (%) | 23.13 ± 6.16 | 32.25 ± 8.48 | <0.001 ** | 
| Fibrous tissue (%) | 41.48 ± 8.41 | 40.83 ± 8.86 | 0.817 | 
| Volume (mm3) | MPM (n = 20) | β-TCP (n = 19) | ap | 
|---|---|---|---|
| Post-op 1 week | 2622.78 ± 521.92 | 2670.12 ± 546.85 | 0.845 | 
| Post-op | 2256.78 ± 664.15 | 2240.03 ± 680.85 | 0.956 | 
| Difference (%) | 14.41 ± 12.87 | 17.12 ± 13.55 | 0.675 | 
| bp | 0.017* | 0.002* | 
© 2020 by the authors. Licensee MDPI, Basel, Switzerland. This article is an open access article distributed under the terms and conditions of the Creative Commons Attribution (CC BY) license (http://creativecommons.org/licenses/by/4.0/).
Share and Cite
Cinar, I.C.; Gultekin, B.A.; Saglanmak, A.; Yalcin, S.; Olgac, V.; Mijiritsky, E. Histologic, Histomorphometric, and Clinical Analysis of the Effects of Growth Factors in a Fibrin Network Used in Maxillary Sinus Augmentation. Int. J. Environ. Res. Public Health 2020, 17, 1918. https://doi.org/10.3390/ijerph17061918
Cinar IC, Gultekin BA, Saglanmak A, Yalcin S, Olgac V, Mijiritsky E. Histologic, Histomorphometric, and Clinical Analysis of the Effects of Growth Factors in a Fibrin Network Used in Maxillary Sinus Augmentation. International Journal of Environmental Research and Public Health. 2020; 17(6):1918. https://doi.org/10.3390/ijerph17061918
Chicago/Turabian StyleCinar, Ihsan Caglar, Bahattin Alper Gultekin, Alper Saglanmak, Serdar Yalcin, Vakur Olgac, and Eitan Mijiritsky. 2020. "Histologic, Histomorphometric, and Clinical Analysis of the Effects of Growth Factors in a Fibrin Network Used in Maxillary Sinus Augmentation" International Journal of Environmental Research and Public Health 17, no. 6: 1918. https://doi.org/10.3390/ijerph17061918
APA StyleCinar, I. C., Gultekin, B. A., Saglanmak, A., Yalcin, S., Olgac, V., & Mijiritsky, E. (2020). Histologic, Histomorphometric, and Clinical Analysis of the Effects of Growth Factors in a Fibrin Network Used in Maxillary Sinus Augmentation. International Journal of Environmental Research and Public Health, 17(6), 1918. https://doi.org/10.3390/ijerph17061918
        
