Right Knee—The Weakest Point of the Best Ultramarathon Runners of the World? A Case Study
Abstract
1. Introduction
2. Materials and Methods
2.1. Sports Biography and Main Achievements
2.2. Anamnesis and Information from Other Competitors
2.3. Methods
2.3.1. Study Protocol—MRI
2.3.2. Ethical Approval
3. Results
3.1. Data Related to 24-h UM Run
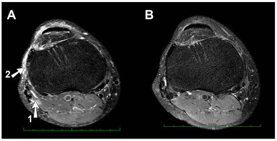
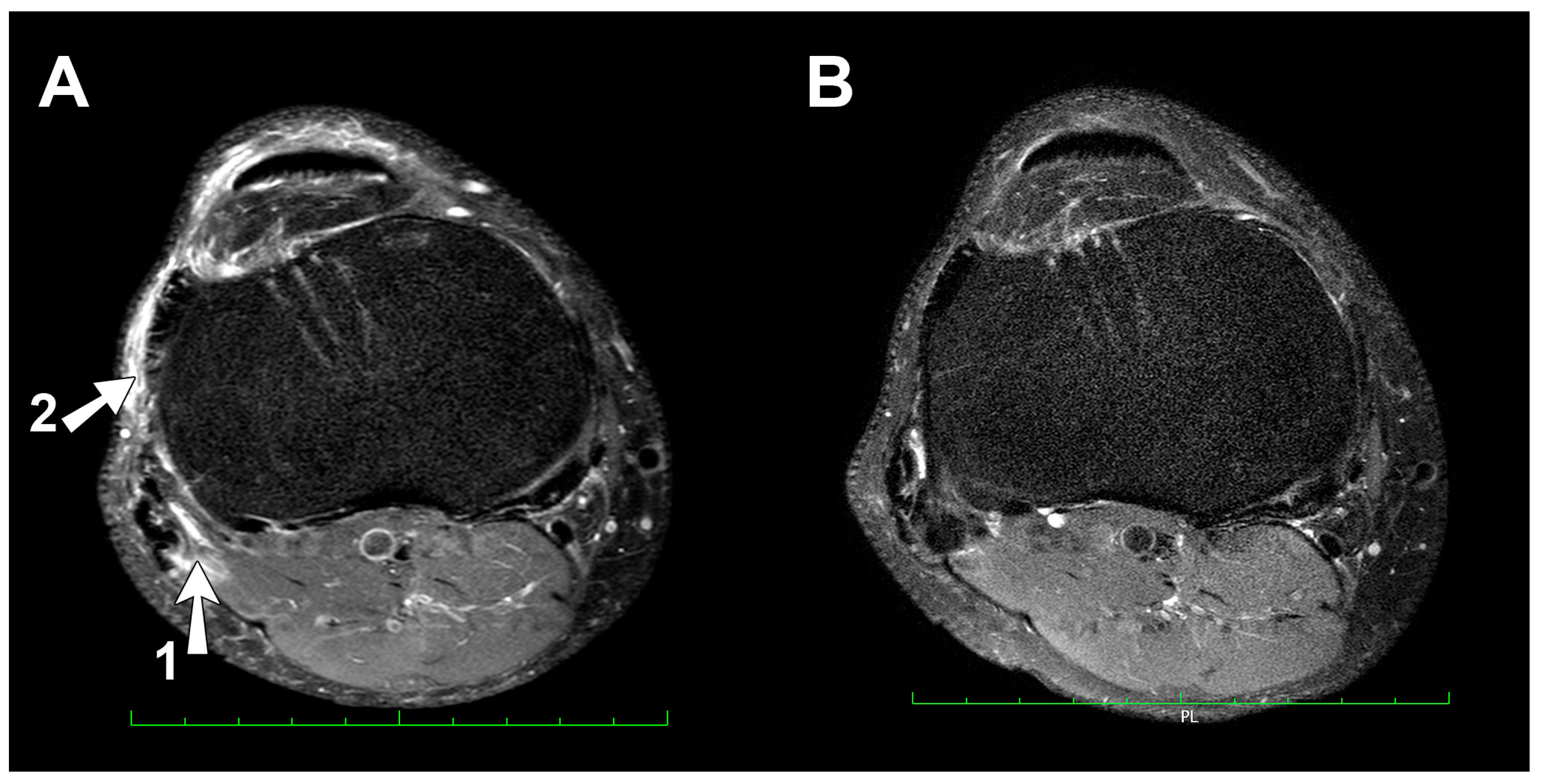
3.2. MRI Was Performed Twice: 1 Day after the 24-h UM Run and Exactly 3 Years Later
- (a)
- Right knee MRI: One day after 24-h UM run
- (b)
- Right knee MRI: three years later
3.3. Interview Regarding Pain, Preferred Running Direction, Shape, and Loop Length for 24-h UM Run
4. Discussion
4.1. Discussion of the Results
4.2. Knee Overload Injuries in UM Runners
4.3. Why Do Athletes Run Around the Track Counterclockwise?—A Lot of Gossip and Poor Scientific Evidence
“In 1896, the First Modern Olympic Games was held in Athens, Greece. During this event the athletes were required to run clockwise during the track events. This was met with much complaint from the athletes. It was because of these complaints that the IOC then gathered in 1913 and set the current anticlockwise rule. We run counterclockwise because everything in nature tends towards counterclockwise motion. An spectator will perceive the runners as moving left to right, the same direction our eyes move when we read. The human body is slightly heavier on the left than the right because of the heart and when running anticlockwise, the body would tend to very slightly incline towards the left, which could be an advantage while running anticlockwise. Because most people are right hand/leg dominant, moving counterclockwise we have a better control and move faster.”[18]
4.4. Limitation
4.5. Perspectives
5. Conclusions
Author Contributions
Funding
Acknowledgments
Conflicts of Interest
References
- 24-Hour Run. Available online: https://en.wikipedia.org/wiki/24-hour_run (accessed on 24 September 2019).
- 2017 Soochow International Ultramarathon Race Rules. Available online: http://soochow-ultramarathon.scu.edu.tw/2017%20Soochow%20International%20Ultra-marathon%20Race%20Rules.pdf (accessed on 15 June 2020).
- Hohl, R.; Nazário de Rezende, F.; Millet, G.Y.; Ribeiro da Mota, G.; Marocolo, M. Blood cardiac biomarkers responses are associated with 24 h ultramarathon performance. Heliyon 2019, 5, e01913. [Google Scholar] [CrossRef] [PubMed]
- Gajda, R.; Biernacka, E.K.; Drygas, W. Are heart rate monitors valuable tools for diagnosing arrhythmias in endurance athletes? Scand. J. Med. Sci. Sports 2018, 28, 496–516. [Google Scholar] [CrossRef] [PubMed]
- Gajda, R. Heart Rate monitor instead of ablation? Atrioventricular nodal re-entrant tachycardia in a leisure-time triathlete: 6-year follow-up. Diagnostics 2020, 10, 391. [Google Scholar] [CrossRef] [PubMed]
- Ultra-Marathon Statistics. Available online: https://statistik.d-u-v.org/getresultperson.php?runner=318458 (accessed on 12 August 2020).
- Past Weather in Lódz, Poland. Available online: https://www.timeanddate.com/weather/poland/lodz/historic?month=4&year=2017 (accessed on 12 August 2020).
- Recondo, J.A.; Salvador, E.; Villanúa, J.A.; Barrerra, M.C.; Gervás, C.; Alústiza, J.M. Lateral stabilizing structures of the knee: Functional anatomy and injuries assessed with MR imaging. Radiographics 2000, 20, S91–S102. [Google Scholar] [CrossRef] [PubMed]
- Terry, G.C.; LaPrade, R.F. The biceps femoris muscle complex at the knee: Its anatomy and injury patterns associated with acute anterolateral-anteromedial rotatory instability. Am. J. Sports Med. 1996, 24, 2–8. [Google Scholar] [CrossRef] [PubMed]
- Knechtle, B.; Nikolaidis, P.T. Physiology and pathophysiology in ultra-marathon running. Front. Physiol. 2018, 9, 634. [Google Scholar] [CrossRef] [PubMed]
- Hoffman, M.D.; Krishnan, E. Health and exercise-related medical issues among 1212 ultramarathon runners: Baseline findings from the Ultrarunners Longitudinal TRAcking (ULTRA) Study. PLoS ONE 2014, 9, e83867. [Google Scholar] [CrossRef] [PubMed]
- Hoffman, M.D.; Fogard, K. Factors related to successful completion of a 161-km ultramarathon. Int. J. Sports Physiol. Perform. 2011, 6, 25–37. [Google Scholar] [CrossRef] [PubMed]
- Schütz, U.H.-M.; Brix, M.; Kiess, A.; Goed, S.; Friedrich, K.; Weber, M.; Messner, A.; Billich, C.; Trattnig, S. Femoropatellar joint reaction detected during a 4486 km ultramarathon with mobile mri. Int. J. Sports Med. 2020, 41, 398–411. [Google Scholar] [CrossRef] [PubMed]
- Schütz, U.; Ehrhardt, M.; Göd, S.; Billich, C.; Beer, M.; Trattnig, S. A mobile MRI field study of the biochemical cartilage reaction of the knee joint during a 4486 km transcontinental multistage ultra-marathon using T2* mapping. Sci. Rep. 2020, 10, 8157. [Google Scholar] [CrossRef] [PubMed]
- Jungmalm, J.; Nielsen, R.Ø.; Desai, P.; Karlsson, J.; Hein, T.; Grau, S. Associations between biomechanical and clinical/anthropometrical factors and running-related injuries among recreational runners: A 52-week prospective cohort study. Inj. Epidemiol. 2020, 7, 10. [Google Scholar] [CrossRef] [PubMed]
- Diermeier, T.; Beitzel, K.; Bachmann, L.; Petersen, W.; Esefeld, K.; Wörtler, K.; Imhoff, A.B.; Achtnich, A. Mountain ultramarathon results in temporary meniscus extrusion in healthy athletes. Knee Surg. Sports Traumatol. Arthrosc. 2019, 27, 2691–2697. [Google Scholar] [CrossRef] [PubMed]
- Hagemann, G.J.; Rijke, A.M.; Corr, P.D. Do knees survive the Comrades Marathon? S. Afr. Med. J. 2008, 98, 873–876. [Google Scholar] [PubMed]
- Tavakkoli, M.H.; Jose, T.P. The reason why do athletes run around the track counter- clockwise? Int. J. Educ. Dev. 2013, 2, 23–30. [Google Scholar]
- Bestaven, E.; Guillaud, E.; Cazalets, J.-R. Is “circling” behavior in humans related to postural asymmetry? PLoS ONE 2015, 7, e43861. [Google Scholar] [CrossRef] [PubMed]
- Why Do Sports Go Anti-Clockwise? Available online: https://www.anythinglefthanded.co.uk/sports-anti-clockwise.html (accessed on 8 May 2014).
- Technical Rules—World Athletics. Available online: https://www.worldathletics.org/download/download?filename=febae412-b673-4523-8321-e1ed092421dc.pdf&urlslug=C2.1%20-%20Technical%20Rules (accessed on 6 June 2020).
- Gajda, R.; Klisiewicz, A.; Matsibora, V.; Piotrowska-Kownacka, D.; Biernacka, E.K. Heart of the world’s top ultramarathon runner-not necessarily much different from normal. Diagnostics 2020, 10, 73. [Google Scholar] [CrossRef] [PubMed]



| Time | Conditions | Comfort | Barometer | Visibility | |||
|---|---|---|---|---|---|---|---|
| Temp | Weather | Wind | Humidity | ||||
| 12:00 | ![]() | 10 °C | Partly sunny | 7 km/h | 71% | 1021 mbar | 20 km |
| 13:00 | ![]() | 12 °C | Partly sunny | 9 km/h | 64% | 1021 mbar | 20 km |
| 14:00 | ![]() | 13 °C | Partly sunny | 9 km/h | 58% | 1021 mbar | 20 km |
| 15:00 | ![]() | 13 °C | Overcast | 9 km/h | 59% | 1021 mbar | 20 km |
| 16:00 | ![]() | 13 °C | Overcast | 7 km/h | 59% | 1021 mbar | 20 km |
| 17:00 | ![]() | 12 °C | Overcast | 7 km/h | 67% | 1022 mbar | 20 km |
| 18:00 | ![]() | 11 °C | Partly sunny | 11 km/h | 74% | 1022 mbar | 16 km |
| 19:00 | ![]() | 10 °C | Partly sunny | 9 km/h | 80% | 1023 mbar | 11 km |
| 20:00 | ![]() | 9 °C | Fog | 7 km/h | 85% | 1024 mbar | 8 km |
| 21:00 | ![]() | 8 °C | Overcast | 6 km/h | 86% | 1025 mbar | 10 km |
| 22:00 | ![]() | 7 °C | Fog | 2 km/h | 90% | 1025 mbar | 7 km |
| 23:00 | ![]() | 6 °C | Fog | 4 km/h | 93% | 1025 mbar | 4 km |
| 00:00 | ![]() | 4 °C | Fog | 2 km/h | 93% | 1026 mbar | 2 km |
| 01:00 | ![]() | 2 °C | Fog | 2 km/h | 96% | 1026 mbar | 1 km |
| 02:00 | ![]() | 2 °C | Fog | No wind | 97% | 1026 mbar | 0 km |
| 03:00 | ![]() | 0 °C | Fog | No wind | 98% | 1026 mbar | 0 km |
| 04:00 | ![]() | 2 °C | Fog | 2 km/h | 99% | 1026 mbar | 0 km |
| 05:00 | ![]() | 3 °C | Fog | 2 km/h | 99% | 1026 mbar | 0 km |
| 06:00 | ![]() | 3 °C | Fog | No wind | 99% | 1027 mbar | 1 km |
| 07:00 | ![]() | 4 °C | Fog | N/A | 100% | 1027 mbar | 1 km |
| 08:00 | ![]() | 5 °C | Fog | N/A | 100% | 1027 mbar | 2 km |
| 09:00 | ![]() | 6 °C | Fog | No wind | 100% | 1027 mbar | 3 km |
| 10:00 | ![]() | 8 °C | Fog | 2 km/h | 96% | 1028 mbar | 8 km |
| 11:00 | ![]() | 8 °C | Overcast | 4 km/h | 87% | 1028 mbar | 11 km |
| Nr. | Distance Run during 24-h UM > 200 km | Sex | Right Leg Pain | Left Leg Pain | Preferred Loop Shape | Preferred Loop Length | Preferred Direction of Running—If Possible to Choose | Preferred Direction of Running—If Only One Way |
|---|---|---|---|---|---|---|---|---|
| 1 | yes | m | Knee | no | athletic stadium-shape | 2000 m | Alternately | Counterclockwise |
| 2 | yes | f | Knee | no | athletic stadium-shape | 2000 m | Alternately | Counterclockwise |
| 3 | yes | m | no | no | athletic stadium-shape | 2500 m | Alternately | Counterclockwise |
| 4 | yes | f | Knee and hip | Achilles pain | athletic stadium-shape | 2500 m | Alternately | Counterclockwise |
| 5 | yes | m | no | no | ∞-shape | 2000 m | Alternately | |
| 6 | no | m | no | ankle joint, calf strain | athletic stadium-shape | 2500 m | Alternately | Counterclockwise |
| 7 | no | f | Iliotibial band issue | no | athletic stadium-shape | 2000 m | Alternately | Counterclockwise |
| 8 | no | m | Knee and Calf strain | no | ∞-shape | 2000 m | Alternately | Counterclockwise |
| 9 | no | f | no | no | ∞-shape | 2500 m | Alternately | Counterclockwise |
| 10 | no | m | Knee and hip | Calf strain | athletic stadium-shape | 1000 m | Alternately | Counterclockwise |
© 2020 by the authors. Licensee MDPI, Basel, Switzerland. This article is an open access article distributed under the terms and conditions of the Creative Commons Attribution (CC BY) license (http://creativecommons.org/licenses/by/4.0/).
Share and Cite
Gajda, R.; Walasek, P.; Jarmuszewski, M. Right Knee—The Weakest Point of the Best Ultramarathon Runners of the World? A Case Study. Int. J. Environ. Res. Public Health 2020, 17, 5955. https://doi.org/10.3390/ijerph17165955
Gajda R, Walasek P, Jarmuszewski M. Right Knee—The Weakest Point of the Best Ultramarathon Runners of the World? A Case Study. International Journal of Environmental Research and Public Health. 2020; 17(16):5955. https://doi.org/10.3390/ijerph17165955
Chicago/Turabian StyleGajda, Robert, Paweł Walasek, and Maciej Jarmuszewski. 2020. "Right Knee—The Weakest Point of the Best Ultramarathon Runners of the World? A Case Study" International Journal of Environmental Research and Public Health 17, no. 16: 5955. https://doi.org/10.3390/ijerph17165955
APA StyleGajda, R., Walasek, P., & Jarmuszewski, M. (2020). Right Knee—The Weakest Point of the Best Ultramarathon Runners of the World? A Case Study. International Journal of Environmental Research and Public Health, 17(16), 5955. https://doi.org/10.3390/ijerph17165955

























