Echocardiography and Newer Imaging Techniques in Diagnosis and Long-Term Follow-Up of Primary Heart Tumors in Children
Abstract
1. Introduction
2. Material and Methods
3. Results
3.1. The General Characteristics of the Population
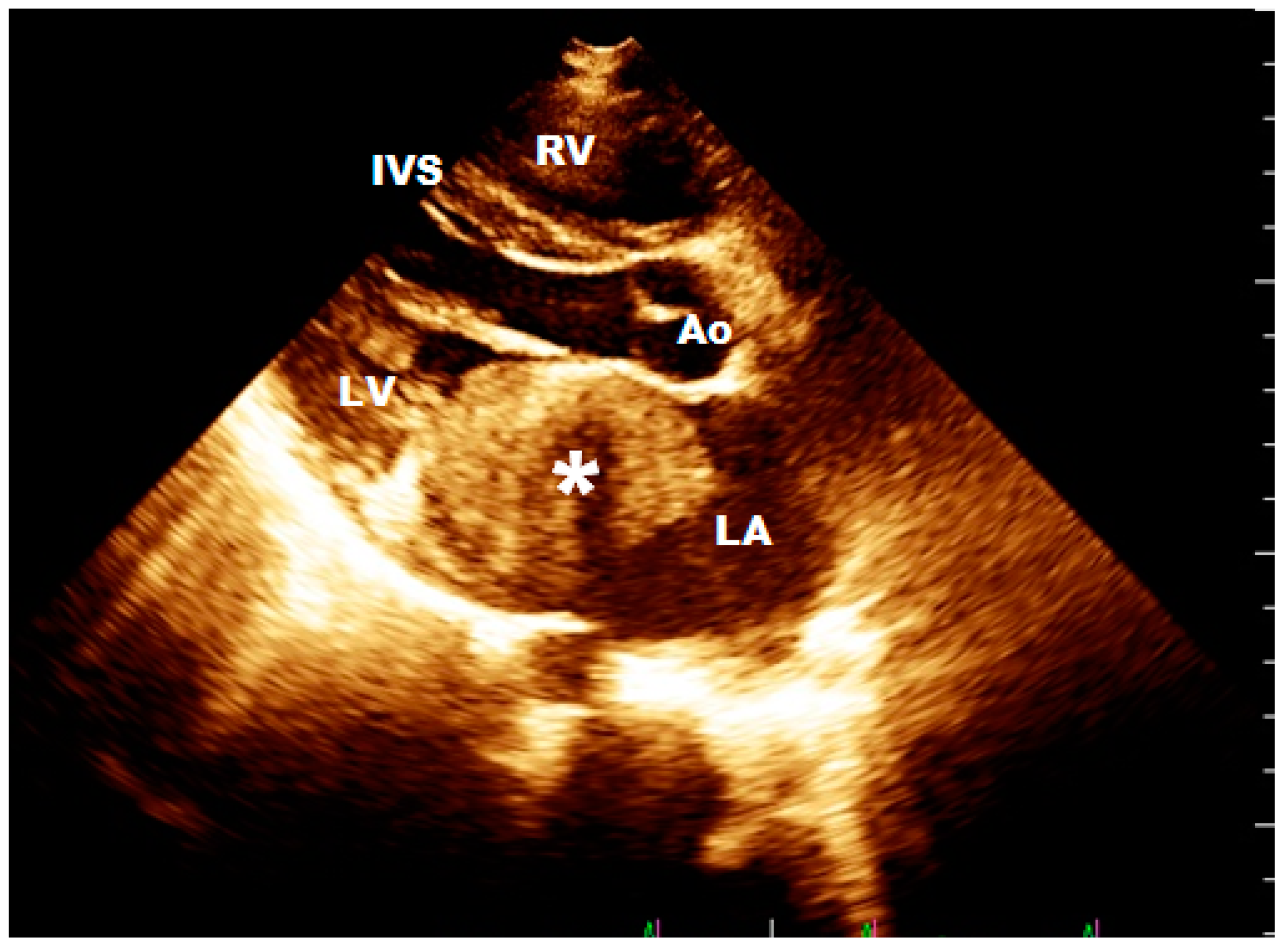
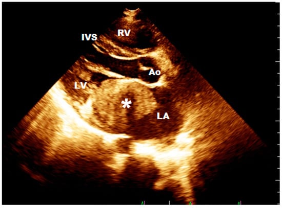
3.2. Types of Tumors
3.3. Tumor Location
3.4. Number of Tumors
3.5. Diagnostic Methods
3.6. Treatment
4. Discussion
Limitations
5. Conclusions
Author Contributions
Funding
Conflicts of Interest
References
- Uzun, O.; Wilson, D.G.; Vujanic, G.M.; Parsons, J.M.; De Giovanni, J.V. Cardiac tumours in children. Orphanet J. Rare Dis. 2007, 2, 11. [Google Scholar]
- McAllister, H.A., Jr. Primary tumors of the heart and pericardium. Pathol. Annu. 1979, 14, 325–355. [Google Scholar]
- Holley, D.G.; Martin, G.R.; Brenner, J.I.; Fyfe, D.A.; Huhta, J.C.; Kleinman, C.S.; Ritter, S.B.; Silverman, N.H. Diagnosis and management of fetal cardiac tumors: A multicenter experience and review of published reports. J. Am. Coll. Cardiol. 1995, 26, 516–520. [Google Scholar]
- Pipitone, S.; Mongiovì, M.; Grillo, R.; Gagliano, S.; Sperandeo, V. Cardiac rhabdomyoma in intrauterine life: Clinical features and natural history. A case series and review of published reports. Ital. Heart J. 2002, 3, 48–52. [Google Scholar]
- Nield, L.E.; Mendelson, M.; Ahmad, N.; Manlhiot, C.; Jaeggi, E.T.; McCrindle, B.W. Clinical review of obstructive primary cardiac tumors in childhood. Congenit. Heart Dis. 2014, 9, 244–251. [Google Scholar] [CrossRef]
- Becker, A.E. A review of salient pathologic features relevant for clinicians. Pediatr. Cardiol. 2000, 21, 317–323. [Google Scholar]
- Careddu, L.; OppidoL, G.; Petridis, F.D.; Liberi, R.; Ragni, L.; Pacini, D.; Napoleone, C.P.; Angeli, E.; Gargiulo, G. Primary cardiac tumours in the paediatric population. Multimed. Man. Cardiothorac. Surg. 2013, 13. [Google Scholar] [CrossRef]
- Furlow, B. Computed Tomography of Cardiac Malignancies. Radiol. Technol. 2016, 87, 529–545. [Google Scholar]
- Chao, A.S.; Chao, A.; Wang, T.H.; Chang, Y.C.; Chang, Y.L.; Hsieh, C.C.; Lien, R.; Su, W.J. Outcome of antenatally diagnosed cardiac rhabdomyoma: Case series and a meta-analysis. Ultrasound Obs. Gynecol. 2008, 31, 289–295. [Google Scholar] [CrossRef]
- Degueldre, S.C.; Chockalingam, P.; Mivelaz, Y.; Di Bernardo, S.; Pfammatter, J.P.; Barrea, C.; Sekarski, N.; Jeannet, P.Y.; Fouron, J.C.; Vial, Y.; et al. Considerations for prenatal counselling of patients with cardiac rhabdomyomas based on theircardiac and neurologic outcomes. Cardiol. Young 2010, 20, 18–24. [Google Scholar] [CrossRef]
- Hinton, R.B.; Prakash, A.; Romp, R.L.; Krueger, D.A.; Knilans, T.K. International Tuberous Sclerosis Consensus Group. Cardiovascular manifestations of tuberous sclerosis complex and summary of the revised diagnostic criteria and surveillance and management recommendations from the International Tuberous Sclerosis Consensus Group. J. Am. Heart Assoc. 2014, 3, 1493. [Google Scholar] [CrossRef]
- Hutchinson, J.C.; Ashworth, M.T.; Sebire, N.J.; Arthurs, O.J. Multiple Cardiac Rhabdomyomas Visualised Using Micro-CT in a Case of Tuberous Sclerosis. Fetal. Diagn. Ther. 2017, 41, 157–160. [Google Scholar] [CrossRef]
- Kohut, J.; Krzystolik-Ładzińska, J.; Szydłowski, L.; Smoleńska-Petelenz, J.; Giec-Fuglewicz, G.; Pajak, J. The diagnosis, clinical course and follow-up of children with cardiac tumours–A single-centre experience. Kardiol. Pol. 2010, 68, 304–309. [Google Scholar]
- Kwiatkowska, J.; Wałdoch, A.; Meyer-Szary, J.; Potaż, P.; Grzybiak, M. Cardiac tumors in children: A 20-year review of clinical presentation, diagnostics and treatment. Adv. Clin. Exp. Med. 2017, 26, 319–326. [Google Scholar]
- Penha, J.G.; Zorzanelli, L.; Barbosa-Lopes, A.A.; Aiello, V.D.; Carvalho, V.O.; Caneo, L.F.; Riso, A.A.; Tanamati, C.; Atik, E.; Jatene, M.B. Heart neoplasms in children: Retrospective analysis. Arq. Bras. Cardiol. 2013, 100, 120–126. [Google Scholar]
- Delmo Walter, E.M.; Javier, M.F.; Sander, F.; Hartmann, B.; Ekkernkamp, A.; Hetzer, R. Primary Cardiac Tumors in Infants and Children: Surgical Strategy and Long-Term Outcome. Ann. Thorac. Surg. 2016, 102, 2062–2069. [Google Scholar] [CrossRef]
- Shi, L.; Wu, L.; Fang, H.; Han, B.; Yang, J.; Ma, X.; Liu, F.; Zhang, Y.; Xiao, T.; Huang, M.; et al. Identification and clinical course of 166 pediatric cardiac tumors. Eur. J. Pediatr. 2017, 176, 253–260. [Google Scholar] [CrossRef]
- Yin, L.; He, D.; Shen, H.; Ling, X.; Li, W.; Xue, Q.; Wang, Z. Surgical treatment of cardiac tumors: A 5-year experience from a single cardiac center. J. Thorac. Dis. 2016, 8, 911–919. [Google Scholar] [CrossRef]
- Ostrowski, S.; Marcinkiewicz, A.; Kośmider, A.; Jaszewski, R. Sarcomas of the heart as a difficult interdisciplinary problem. Arch. Med. Sci. 2014, 10, 135–148. [Google Scholar] [CrossRef]
- Sabzi, F.; Faraji, R. Preoperative Emboli in a Pregnant Woman with Myxoma. Iran. J. Med. Sci. 2016, 41, 345–349. [Google Scholar]
- Padalino, M.A.; Basso, C.; Milanesi, O.; Vida, V.L.; Moreolo, G.S.; Thiene, G.; Stellin, G. Surgically treated primary cardiac tumors in early infancy and childhood. J. Thorac. Cardiovasc Surg. 2005, 129, 1358–1363. [Google Scholar]
- Black, M.D.; Kadletz, M.; Smallhorn, J.F.; Freedom, R.M. Cardiac rhabdomyomas and obstructive left heart disease: Histologically but not functionally benign. Ann. Thorac. Surg. 1998, 65, 1388–1390. [Google Scholar]
- Lee, K.A.; Won, H.S.; Shim, J.Y.; Lee, P.R.; Kim, A. Molecular genetic, cardiac and neurodevelopmental findings in cases of prenatally diagnosed rhabdomyoma associated with tuberous sclerosis complex. Ultrasound Obstet. Gynecol. 2013, 41, 306–311. [Google Scholar] [CrossRef]
- Chang, J.S.; Chiou, P.Y.; Yao, S.H.; Chou, I.C.; Lin, C.Y. Regression of Neonatal Cardiac Rhabdomyoma in Two Months Through Low-Dose Everolimus Therapy: A Report of Three Cases. Pediatr. Cardiol. 2017, 38, 1478–1484. [Google Scholar] [CrossRef]
- Domańska-Pakieła, D.; Kaczorowska, M.; Jurkiewicz, E.; Kotulska, K.; Dunin-Wąsowicz, D.; Jóźwiak, S. EEG abnormalities preceding the epilepsy onset in tuberous sclerosis complex patients-a prospective study of 5 patients. Eur. J. Paediatr. Neurol. 2014, 18, 458–468. [Google Scholar] [CrossRef]
- Józwiak, S.; Schwartz, R.A.; Janniger, C.K.; Bielicka-Cymerman, J. Usefulness of diagnostic criteria of tuberous sclerosis complex in pediatric patients. J. Child. Neurol. 2000, 15, 652–659. [Google Scholar]
- Northrup, H.; Krueger, D.A. International Tuberous Sclerosis Complex Consensus Group. Tuberous sclerosis complex diagnostic criteria update: Recommendations of the 2012 International Tuberous Sclerosis Complex Consensus Conference. Pediatr. Neurol. 2013, 49, 243–254. [Google Scholar]
- Tao, T.Y.; Yahyavi-Firouz-Abadi, N.; Gautam KSingh, G.K.; Bhalla, S. Pediatric Cardiac Tumors: Clinical and Imaging Features. Radiographics 2014, 34, 1031–1046. [Google Scholar] [CrossRef]
- Weryński, P.; Januś, D.; Dudyńska, M.; Drabik, G.; Starzk, J.B.; Skalski, J.; Rudziński, A. Atypical Cardiac Myxoma in the Course of Carney Complex in the Child. Case Report. Neuroendocrinol. Lett. 2015, 36, 236. [Google Scholar]
- Pacini, D.; Careddu, L.; Pantaleo, A.; Berretta, P.; Leone, O.; Marinelli, G.; Gargiuloc, G.; Di Bartolomeoa, R. Primary benign cardiac tumours: Long-term results. Eur. J. Cardio-Thorac. Surg. 2012, 41, 812–819. [Google Scholar] [CrossRef]
- Isambert, N.; Ray-Coquard, I.; Italiano, A.; Rios, M.; Kerbrat, P.; Gauthier, M.; Blouet, A.; Chaigneau, L.; Duffaud, F.; Piperno-Neumann, S.; et al. Primary cardiac sarcomas: A retrospective study of the French Sarcoma Group. Eur. J. Cancer 2014, 50, 128–136. [Google Scholar] [CrossRef]
- Padalino, M.A.; Vida, V.L.; Boccuzzo, G.; Tonello, M.; Sarris, G.E.; Berggren, H.; Comas, J.V.; Di Carlo, D.; Di Donato, R.M.; Ebels, T.; et al. Surgery for primary cardiac tumors in children: Early and late results in a multicenter European Congenital Heart Surgeons Association study. Circulation 2012, 126, 22–30. [Google Scholar] [CrossRef]
- Ujihira, K.; Yamada, A.; Nishioka, N.; Iba, Y.; Maruyama, R.; Nakanishi, K.; Shimizu, A.; Hatanaka, K.C.; Mitsuhashi, T.; Shinohara, T.; et al. A case report of primary cardiac myxofibrosarcoma presenting with severe congestive heart failure. J. Cardio-Thorac. Surg. 2016, 11, 95. [Google Scholar] [CrossRef]
- Chow, E.J.; Leger, K.J.; Bhatt, N.S.; Mulrooney, D.A.; Ross, C.J.; Sanjeev Aggarwal, S.; Bansal, N.; Ehrhardt, M.J.; Armenian, S.H.; Scott, J.M.; et al. Paediatric cardio-oncology: Epidemiology, screening, prevention, and treatment. Cardiovasc. Res. 2019, 115, 922–934. [Google Scholar] [CrossRef]
- Ying, L.; Lin, R.; Gao, Z.; Qi, J.; Zhang, Z.; Gu, W. Primary cardiac tumors in children: A center’s experience. J. Cardio-Thorac. Surg. 2016, 11, 52. [Google Scholar] [CrossRef]


| Prenatal Period n = 16 (26.2%) | After Birth n = 45 (73.8%) | Total n = 61 | |
|---|---|---|---|
| Gender | M-6 | M-21 | 27 |
| F-10 | F-24 | 34 | |
| Age at diagnosis | 22–35 weeks | 1/365–17.5 year | |
| Observation time | 2–12 weeks | 4.3 ± 5.2 years (2 weeks 17,5 years) | |
| Number of operated patients | 0 | 26 (42.6%) | |
| Tumor resection | 0 | total–16 partial–10 | 26 |
| Diseases involving other organs n = 27 (44.2%) | |||
| Tumor in the CNS (ST) | 2 | 14 | 16 |
| Adrenal hyperplasia | 2 | 2 | |
| Bleeding into the CNS | 2 | 2 | |
| Pleural effusion | 1 | 1 | 2 |
| Bilateral hydronephrosis | 1 | 1 | |
| Respiratory failure | 3 | 3 | |
| Carney’s syndrome | 1 | 1 | |
| heart defects coexisting with a heart tumor n = 2 (3.3%) | |||
| CoAo | 1 | 1 | |
| VSD, ASD II | 1 | 1 | |
| Fetal Periodn = 16 (26.2%) | |
| Cardiac symptoms | 1 (1.6%)—tamponade |
| 1 (1.6%)—SVT | |
| 2 (3.3%)—CHD | |
| After Birth n = 45 (73.8%) | |
| Neurological diagnosis of ST; Suspected rhabdomyoma | 5 (8.2%) |
| Significant cardiac symptoms (i.e., arrhythmias, fainting, reduced exercise tolerance, organic murmur, tamponade) | 30 (49.2%) |
| Insignificant cardiac symptoms (i.e., innocent murmur) | 22 (36.1%) |
| Type of Tumor | Total (%) | M | F | Mean Age at Diagnosis (month) | Post-Operation Follow-Up | |||
|---|---|---|---|---|---|---|---|---|
| Not Operated n = 35 (55.3%) | Operated n = 26 (42.7%) | |||||||
| Mean Time of f-up | Mean Time of f-up | |||||||
| 4.3 Years | 17 Months | |||||||
| Improvement/Stable | Death | Improvement/Stable | Death | |||||
| Rhabdomyoma | 37 (60.7) | 17 | 20 | 6.7 | 27 | 1 | 8 | 1 |
| Fibroma | 13 (21.3) | 5 | 8 | 13.2 | 5 | 1 | 7 | |
| Teratoma | 5 (8.2) | 1 | 4 | 1.7 | 1 | 4 | ||
| Myxoma | 3 (4.9) | 2 | 1 | 124 | 3 | |||
| Mesothelioma | 2 (3.3) | 1 | 1 | 167 | 2 | |||
| Rhabdomyosarcoma * | 1 (1.6) | 1 | 0 | 192 | 1 | |||
| Total(%) | 61 (100.0) | 27 | 34 | 84.1 | 32 (91.4) | 3 (8.6) | 22 (84.6) | 4 (15.4) |
| Location | Number (%) | Number | |
|---|---|---|---|
| Ventricle | 30 (49.1) | left | 11 |
| right | 8 | ||
| both | 11 | ||
| Interventricular Septum | 9 (14.9) | ||
| Atria of the Heart | 6 (9.8) | left | 3 |
| right | 3 | ||
| Pericardium | 8 (13.1) | teratoma mesothelioma rhabdomyosarcoma | 5 2 1 |
| Various Locations | 8 (13.1) | ||
| Total | 61 (100,0) |
| Number | Total n = 61 (100%) | ST n = 19 (100%) |
|---|---|---|
| Single | 43 (70.5) | 4 (9.3) |
| 2–3 | 7 (11.5) | 5 (71.4) |
| >3 | 11 (18.0) | 10 (90.9) |
| Age | Localization | Operation | Diagnosis Hist-Path | f-up | Death | Clinical Course | |
|---|---|---|---|---|---|---|---|
| Prenatal | |||||||
| 1 | 20 weeks | LV, RV | no | rhabdomyoma | 4 weeks | yes | massive progression |
| 2 | 28 weeks | impression on RA and SVC | no | teratoma | 6 weeks | yes | massive progression |
| Newborn | |||||||
| 3 | 1 day | LA, RVOTO | yes | rhabdomyoma | 7/days | yes | massive progression |
| 4 | 3 weeks | IVS, RV, LV | no | fibroma | 14 years | yes | massive progression, VT |
| Adolescent | |||||||
| 5 | 10 years | pericardium | yes | mesothelioma | 2 years | yes | tamponade, massive metastases to mediastinum |
| 6 | 17 years | pericardium | yes | mesothelioma | 2 months | yes | tamponade, massive metastases to mediastinum |
| 7 | 16 years | LA | yes | rhabdomyosarcoama | 1 year | yes | metastases to lung and liver |
© 2020 by the authors. Licensee MDPI, Basel, Switzerland. This article is an open access article distributed under the terms and conditions of the Creative Commons Attribution (CC BY) license (http://creativecommons.org/licenses/by/4.0/).
Share and Cite
Morka, A.; Kohut, J.; Radzymińska-Chruściel, B.; Mroczek, T.; Gładki, M.; Weryński, P.; Rudziński, A.; Skalski, J.; Szydłowski, L. Echocardiography and Newer Imaging Techniques in Diagnosis and Long-Term Follow-Up of Primary Heart Tumors in Children. Int. J. Environ. Res. Public Health 2020, 17, 5471. https://doi.org/10.3390/ijerph17155471
Morka A, Kohut J, Radzymińska-Chruściel B, Mroczek T, Gładki M, Weryński P, Rudziński A, Skalski J, Szydłowski L. Echocardiography and Newer Imaging Techniques in Diagnosis and Long-Term Follow-Up of Primary Heart Tumors in Children. International Journal of Environmental Research and Public Health. 2020; 17(15):5471. https://doi.org/10.3390/ijerph17155471
Chicago/Turabian StyleMorka, Aleksandra, Joanna Kohut, Beata Radzymińska-Chruściel, Tomasz Mroczek, Marcin Gładki, Piotr Weryński, Andrzej Rudziński, Janusz Skalski, and Lesław Szydłowski. 2020. "Echocardiography and Newer Imaging Techniques in Diagnosis and Long-Term Follow-Up of Primary Heart Tumors in Children" International Journal of Environmental Research and Public Health 17, no. 15: 5471. https://doi.org/10.3390/ijerph17155471
APA StyleMorka, A., Kohut, J., Radzymińska-Chruściel, B., Mroczek, T., Gładki, M., Weryński, P., Rudziński, A., Skalski, J., & Szydłowski, L. (2020). Echocardiography and Newer Imaging Techniques in Diagnosis and Long-Term Follow-Up of Primary Heart Tumors in Children. International Journal of Environmental Research and Public Health, 17(15), 5471. https://doi.org/10.3390/ijerph17155471

