Early Treatment of Anterior Crossbite with Eruption Guidance Appliance: A Case Report
Abstract
1. Introduction
2. Materials and Methods
2.1. Case Presentation
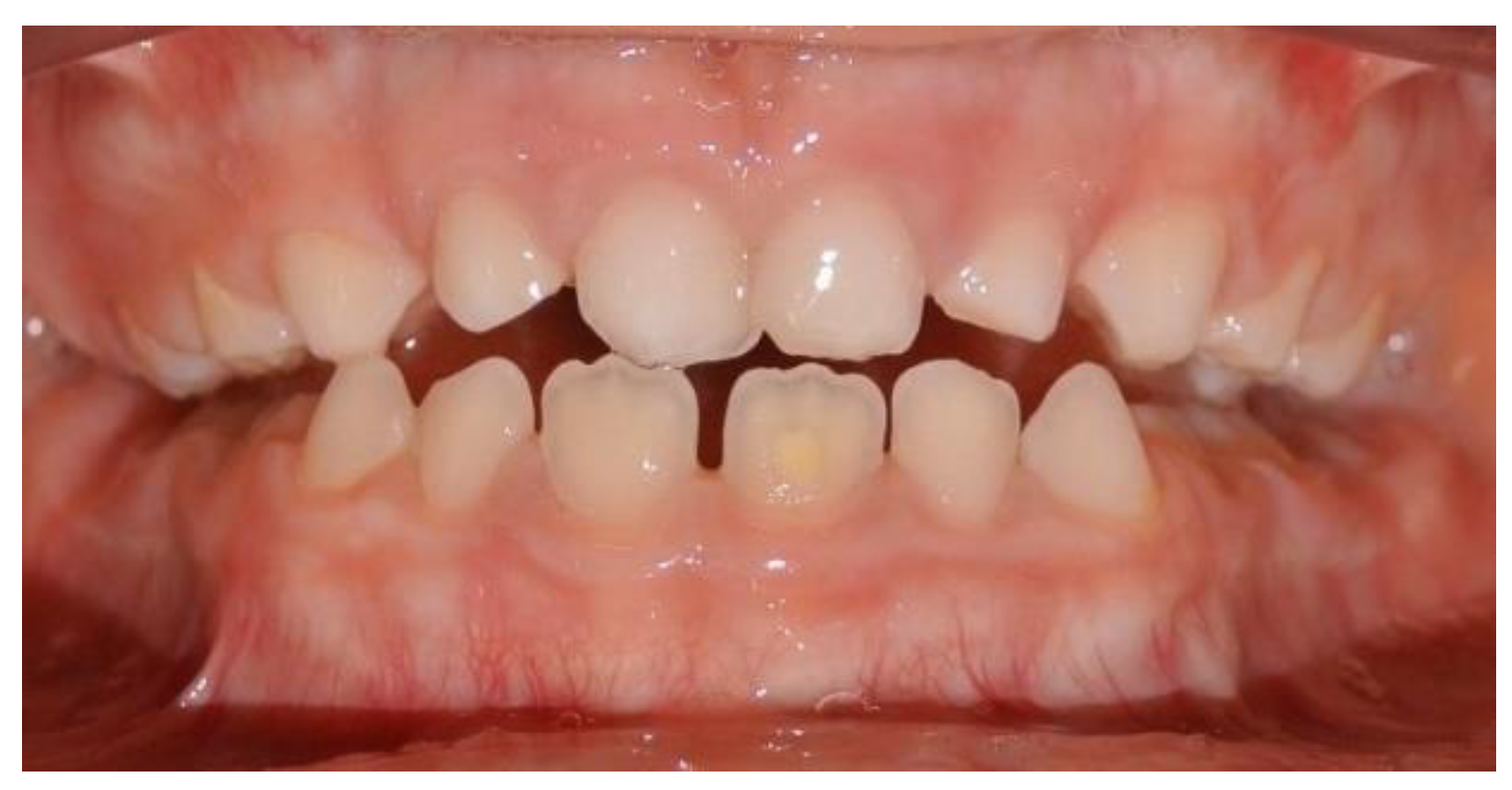
2.2. Clinical Findings
2.3. Diagnostic Assessments
- MBT analysis
- Giannì analysis
- Wits appraisal
- Jarabak and Fizzel polygon.
2.4. Prognosis
2.5. Therapeutic Intervention
3. Results
Follow-Up
4. Discussion
Limits of the Study
5. Conclusions
Author Contributions
Funding
Conflicts of Interest
References
- Bishara, S.E.; Khadivi, P.; Jakobsen, J.R. Changes in tooth size-arch length relationships from the deciduous to the permanent dentition: A longitudinal study. Am. J. Orthod. Dentofac. Orthop. 1995, 108, 607–613. [Google Scholar] [CrossRef]
- Kapust, A.J.; Sinclair, P.M.; Turley, P.K. Cephalometric effects of face mask/expansion therapy in Class III children: A comparison of three age groups. Am. J. Orthod. Dentofac. Orthop. 1998, 113, 204–212. [Google Scholar] [CrossRef]
- Battagel, J.M. The aetiological factors in Class III malocclusion. Eur. J. Orthod. 1993, 15, 347–370. [Google Scholar] [CrossRef]
- Zhou, Z.; Liu, F.; Shen, S.; Shang, L.; Shang, L.; Wang, X. Prevalence of and factors affecting malocclusion in primary dentition among children in Xi’an, China. BMC Oral Health 2016, 16, 91. [Google Scholar] [CrossRef] [PubMed]
- Baccetti, T.; Tollaro, I. A retrospective comparison of functional appliance treatment of Class III malocclusions in the deciduous and mixed dentitions. Eur. J. Orthod. 1998, 20, 309–317. [Google Scholar] [CrossRef] [PubMed]
- Proietti, D.; Barbato, E. Il timing di trattamento delle malocclusioni. Mondo Ortod. 2000, 25, 205–217. [Google Scholar]
- Wolfe, S.M.; Araujo, E.; Behrents, R.G.; Buschang, P.H. Craniofacial growth of Class III subjects six to sixteen years of age. Angle Orthod. 2011, 81, 211–216. [Google Scholar] [CrossRef] [PubMed]
- Baccetti, T.; Reyes, B.C.; McNamara, J.A. Craniofacial changes in Class III malocclusion as related to skeletal and dental maturation. Am. J. Orthod. Dentofac. Orthop. 2007, 132, 171.e1–171.e12. [Google Scholar] [CrossRef]
- Tecco, S.; Nota, A.; Caruso, S.; Primozic, J.; Marzo, G.; Baldini, A.; Gherlone, E.F. Temporomandibular clinical exploration in Italian adolescents. Cranio 2019, 37, 77–84. [Google Scholar] [CrossRef]
- Frankel, R.; Frankel, C. Orofacial Orthopedics with the Function Regulator; John Wiley & Sons: Basel, Switzerland, 1989; ISBN 978-3-8055-4697-3. [Google Scholar]
- Baccetti, T.; McGill, J.S.; Franchi, L.; McNamara, J.A., Jr.; Tollaro, I. Skeletal effects of early treatment of Class III malocclusion with maxillary expansion and face-mask therapy. Am. J. Orthod. Dentofac. Orthop. 1998, 113, 333–343. [Google Scholar] [CrossRef]
- Ferro, A.; Nucci, L.P.; Ferro, F.; Gallo, C. Long-term stability of skeletal Class III patients treated with splints, Class III elastics, and chincup. Am. J. Orthod. Dentofac. Orthop. 2003, 123, 423–434. [Google Scholar] [CrossRef]
- Martina, S.; Martina, R.; Franchi, L.; D’Antò, V.; Valletta, R. A New Appliance for Class III Treatment in Growing Patients: Pushing Splints 3. Available online: https://www.hindawi.com/journals/crid/2019/9597024/ (accessed on 24 April 2020).
- Baccetti, T.; Franchi, L.; McNamara, J.A., Jr. Treatment and posttreatment craniofacial changes after rapid maxillary expansion and facemask therapy. Am. J. Orthod. Dentofac. Orthop. 2000, 118, 404–413. [Google Scholar] [CrossRef] [PubMed]
- De Clerck, H.J.; Cornelis, M.A.; Cevidanes, L.H.; Heymann, G.C.; Tulloch, C.J.F. Orthopedic traction of the maxilla with miniplates: A new perspective for treatment of midface deficiency. J. Oral Maxillofac. Surg. 2009, 67, 2123–2129. [Google Scholar] [CrossRef] [PubMed]
- De Clerck, H.; Cevidanes, L.; Baccetti, T. Dentofacial effects of bone-anchored maxillary protraction: A controlled study of consecutively treated Class III patients. Am. J. Orthod. Dentofac. Orthop. 2010, 138, 577–581. [Google Scholar] [CrossRef] [PubMed]
- Chatzoudi, M.I.; Ioannidou-Marathiotou, I.; Papadopoulos, M.A. Clinical effectiveness of chin cup treatment for the management of Class III malocclusion in pre-pubertal patients: A systematic review and meta-analysis. Prog. Orthod. 2014, 15, 62. [Google Scholar] [CrossRef]
- Sugawara, J.; Mitani, H. Facial growth of skeletal class III malocclusion and the effects, limitations, and long-term dentofacial adaptations to chincap therapy. Semin. Orthod. 1997, 3, 244–254. [Google Scholar] [CrossRef]
- Westwood, P.V.; McNamara, J.A.; Baccetti, T.; Franchi, L.; Sarver, D.M. Long-term effects of Class III treatment with rapid maxillary expansion and facemask therapy followed by fixed appliances. Am. J. Orthod. Dentofac. Orthop. 2003, 123, 306–320. [Google Scholar] [CrossRef]
- Baccetti, T.; Dermaut, L. Interview on functional appliances. Prog. Orthod. 2004, 5, 172–183. [Google Scholar]
- Sato, S. Case report: Developmental characterization of skeletal Class III malocclusion. Angle Orthod. 1994, 64, 105–111. [Google Scholar] [CrossRef]
- Tanaka, E.M.; Sato, S. Longitudinal alteration of the occlusal plane and development of different dentoskeletal frames during growth. Am. J. Orthod. Dentofac. Orthop. 2008, 134, 602.e1–602.e11; discussion 602–603. [Google Scholar] [CrossRef]
- Wang, X.; Zhang, J.J.; Yuan, F.S.; Wang, Y.; Li, C.H.; Varrela, J.E.; Yue, J.; Ge, L.H. Three-dimensional analysis of the early correction of anterior crossbite using eruption guidance appliance. Beijing Da Xue Xue Bao 2018, 50, 532–537. [Google Scholar] [PubMed]
- Petrovic, A. Auxologic categorization and chronobiologic specification for the choice of appropriate orthodontic treatment. Am. J. Orthod. Dentofac. Orthop. 1994, 105, 192–205. [Google Scholar] [CrossRef]
- Petrovic, A.; Lavergne, J.; Stutzmann, J. Tissue-Level Growth and Responsiveness Potential, Growth Rotation, and Treatment Decision (181–223); Vig PS, Ribbens KA: Science and Clinical Judgement in Orthodontics. Monograph 19, Cranio-Facial Growth Series; Center for Human Growth and Development, University of Michigan: Ann Arbor, MI, USA, 1986. [Google Scholar]
- Souki, B.Q.; Nieri, M.; Pavoni, C.; Pavan Barros, H.M.; Junqueira Pereira, T.; Giuntini, V.; Cozza, P.; Franchi, L. Development and validation of a prediction model for long-term unsuccess of early treatment of Class III malocclusion. Eur. J. Orthod. 2020, 42, 200–205. [Google Scholar] [CrossRef] [PubMed]
- Cruz, R.M.; Krieger, H.; Ferreira, R.; Mah, J.; Hartsfield, J.; Oliveira, S. Major gene and multifactorial inheritance of mandibular prognathism. Am. J. Med. Genet. A 2008, 146A, 71–77. [Google Scholar] [CrossRef] [PubMed]
- Litton, S.F.; Ackermann, L.V.; Isaacson, R.J.; Shapiro, B.L. A genetic study of class III malocclusion. Am. J. Orthod. 1970, 58, 565–577. [Google Scholar] [CrossRef]
- Rabie, A.B.; Gu, Y. Diagnostic criteria for pseudo-Class III malocclusion. Am. J. Orthod. Dentofac. Orthop. 2000, 117, 1–9. [Google Scholar] [CrossRef]
- Lippi, D.; Pierleoni, F.; Franchi, L. Retrognathic maxilla in “Habsburg jaw”. Skeletofacial analysis of Joanna of Austria (1547–1578). Angle Orthod. 2012, 82, 387–395. [Google Scholar] [CrossRef]
- Graber, L.W.; Vanarsdall, R.L.; Vig, K.W.L.; Hunag, G.J.H. Orthodontics: Current Principles and Techniques, 6e, 6th ed.; Mosby: St. Louis, MI, USA, 2016; ISBN 978-0-323-37832-1. [Google Scholar]
- Schudy, F.F. The Rotation of the Mandible Resulting from Growth: Its Implications in Orthodontic Treatment. Angle Orthod. 1965, 35, 36–50. [Google Scholar] [CrossRef]
- Keski-Nisula, K.; Keski-Nisula, L.; Salo, H.; Voipio, K.; Varrela, J. Dentofacial changes after orthodontic intervention with eruption guidance appliance in the early mixed dentition. Angle Orthod. 2008, 78, 324–331. [Google Scholar] [CrossRef]
- Delaire, J. Maxillary development revisited: Relevance to the orthopaedic treatment of Class III malocclusions. Eur. J. Orthod. 1997, 19, 289–311. [Google Scholar] [CrossRef]
- Cozza, P.; Baccetti, T.; Mucedero, M.; Pavoni, C.; Franchi, L. Treatment and posttreatment effects of a facial mask combined with a bite-block appliance in Class III malocclusion. Am. J. Orthod. Dentofac. Orthop. 2010, 138, 300–310. [Google Scholar] [CrossRef] [PubMed]
- Vlachakis, M.; Bratu, E. Functional Possibilities of Prevention in Orthodontics. Available online: https://www.semanticscholar.org/paper/Functional-possibilities-of-prevention-in-Vlachakis-Bratu/c0959a98336a849ca747183ddda5165136151ade (accessed on 10 May 2020).
- Bergersen, E.O. Preventive and interceptive orthodontics in the mixed dentition with the myofunctional eruption guidance appliance: Correction of crowding, spacing, rotations, cross-bites, and TMJ. J. Pedod. 1988, 12, 386–414. [Google Scholar] [PubMed]
- Ferrazzano, G.F.; Sangianantoni, G.; Cantile, T.; Ingenito, A. Relationship Between Social and Behavioural Factors and Caries Experience in Schoolchildren in Italy. Oral Health Prev. Dent. 2016, 14, 55–61. [Google Scholar] [CrossRef] [PubMed]
- Kettle, J.E.; Hyde, A.C.; Frawley, T.; Granger, C.; Longstaff, S.J.; Benson, P.E. Managing orthodontic appliances in everyday life: A qualitative study of young people’s experiences with removable functional appliances, fixed appliances and retainers. J. Orthod. 2020, 47, 47–54. [Google Scholar] [CrossRef] [PubMed]
- Berkhout, W.E.R. The ALARA-principle. Backgrounds and enforcement in dental practices. Ned. Tijdschr. Tandheelkd. 2015, 122, 263–270. [Google Scholar] [CrossRef] [PubMed]








| Parameters | Normal Range | Recorded Values |
|---|---|---|
| SNA | 82° ± 2° | 74° |
| SNB | 80° ± 2° | 73° |
| ANB | 2° ± 2° | 1° |
| Wits | −1 ± 2 mm | −6 mm |
| SN^GoGn | 32° ± 2° | 38° |
| SnaSnp^GoGn | 20° ± 5° | 32° |
| FMA | 25° ± 2° | 23° |
| SAr^ArGo | 143° ± 3° | 134° |
| ArGo^GoN | 50° ± 5° | 58° |
| NGo^GoGn | 70° ± 5° | 71° |
| +1^SnaSnp | 110° ± 3° | 76° |
| IMPA | 90° ± 2° | 86° |
| +1^−1 | 130° ± 5° | 166° |
| +1^Occl | 60° ± 2° | 93° |
| −1^Occl | 70° ± 2° | 72° |
| U1/A.Pog | 5 mm ± 2 mm | −1 mm |
| L1/A.Pog | 2 mm ± 2 mm | −5 mm |
| Nas^Lab | 102° ± 8° | 113° |
| SL/Sn-Pog c | −0.5 mm ± 1 mm | −3 mm |
| LL/Sn-Pog c | 0 mm ± 1 mm | +1 mm |
© 2020 by the authors. Licensee MDPI, Basel, Switzerland. This article is an open access article distributed under the terms and conditions of the Creative Commons Attribution (CC BY) license (http://creativecommons.org/licenses/by/4.0/).
Share and Cite
Pellegrino, M.; Caruso, S.; Cantile, T.; Pellegrino, G.; Ferrazzano, G.F. Early Treatment of Anterior Crossbite with Eruption Guidance Appliance: A Case Report. Int. J. Environ. Res. Public Health 2020, 17, 3587. https://doi.org/10.3390/ijerph17103587
Pellegrino M, Caruso S, Cantile T, Pellegrino G, Ferrazzano GF. Early Treatment of Anterior Crossbite with Eruption Guidance Appliance: A Case Report. International Journal of Environmental Research and Public Health. 2020; 17(10):3587. https://doi.org/10.3390/ijerph17103587
Chicago/Turabian StylePellegrino, Marianna, Silvia Caruso, Tiziana Cantile, Gioacchino Pellegrino, and Gianmaria Fabrizio Ferrazzano. 2020. "Early Treatment of Anterior Crossbite with Eruption Guidance Appliance: A Case Report" International Journal of Environmental Research and Public Health 17, no. 10: 3587. https://doi.org/10.3390/ijerph17103587
APA StylePellegrino, M., Caruso, S., Cantile, T., Pellegrino, G., & Ferrazzano, G. F. (2020). Early Treatment of Anterior Crossbite with Eruption Guidance Appliance: A Case Report. International Journal of Environmental Research and Public Health, 17(10), 3587. https://doi.org/10.3390/ijerph17103587

