Childhood Asymmetry Labium Majus Enlargement (CALME): Description of Two Cases
Abstract
:1. Background
2. Case Presentation
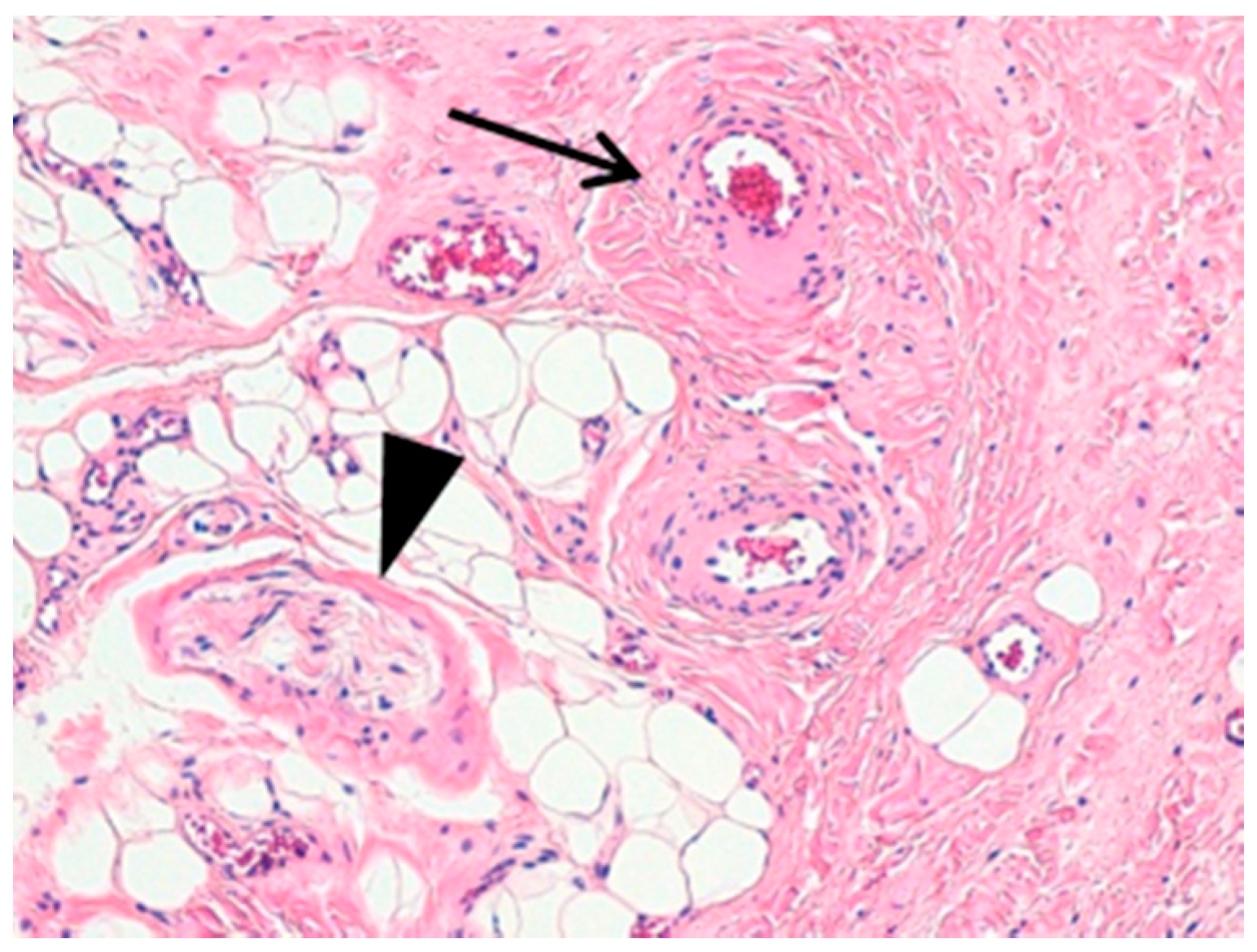
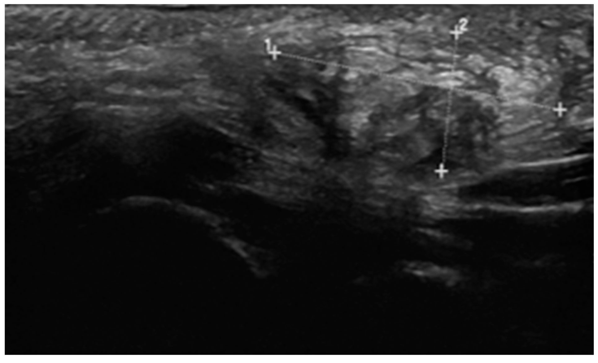
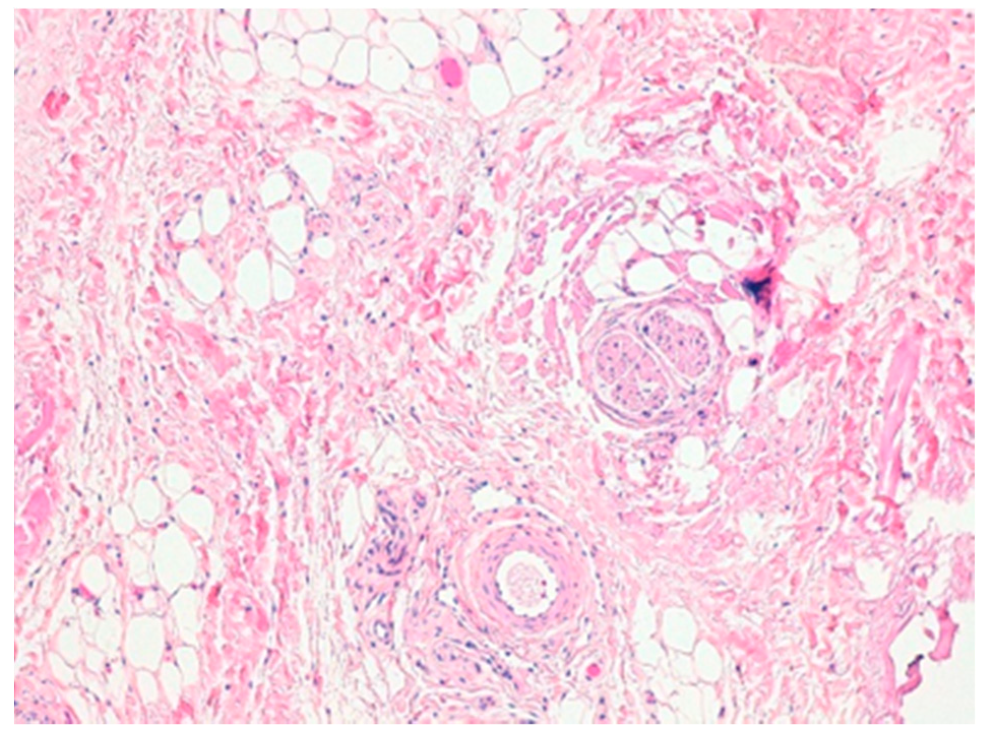
2.1. Case 1
2.2. Case 2
3. Discussion
4. Conclusions
Author Contributions
Funding
Conflicts of Interest
References
- Vargas, S.O.; Kozakewich, H.P.; Boyd, T.K.; Ecklund, K.; Fishman, S.J.; Laufer, M.R.; Perez-Atayde, A.R. Childhood asymmetric labium majus enlargement: Mimicking a neoplasm. Am. J. Surg. Pathol. 2005, 29, 1007–1016. [Google Scholar] [PubMed]
- Gokli, A.; Neuman, J.; Lukse, R.; Koshy, J.; Kong, F.; Laor, T. Childhood asymmetrical labium majus enlargement sonographic and MR imaging appearances. Pediatr. Radiol. 2016, 46, 674–679. [Google Scholar] [CrossRef] [PubMed]
- Gu, M.J.; Kim, S.Y. Childhood asymmetry labium majus enlargement. Korean J. Pathol. 2011, 45, 529–531. [Google Scholar] [CrossRef]
- Lowry, D.L.; Guido, R.S. The vulvar mass in the prepubertal child. J. Pediatr. Adolesc. Gynecol. 2000, 13, 75–78. [Google Scholar] [CrossRef]
- Iwasa, Y.; Fletcher, C.D. Distinctive prepubertal vulval fibroma: A hitherto unrecognized mesenchymal tumor of prepubertal girls: Analysis of 11 cases. Am. J. Surg. Pathol. 2004, 28, 1601–1608. [Google Scholar] [CrossRef] [PubMed]
- Altchek, A.; Deligdisch, L.; Norton, K.; Gordon, R.; Greco, M.A.; Magid, M.S. Prepubertal unilateral fibrous hyperplasia of the labium majus: Report of eight cases and review of the literature. Obstet. Gynecol. 2007, 110, 103–108. [Google Scholar] [CrossRef] [PubMed]
- Oh, J.T.; Choi, S.H.; Ahn, S.G.; Kim, M.J.; Yang, W.I.; Han, S.J. Vulvar lipomas in children: An analysis of 7 cases. J. Pediatr. Surg. 2009, 44, 1920–1923. [Google Scholar] [CrossRef] [PubMed]
- Farage, M.; Maibach, H. Lifetime changes in the vulva and vagina. Arch. Gynecol. Obstet. 2006, 273, 195–202. [Google Scholar] [CrossRef] [PubMed]
- Méndez Ribas, J.M. Breast problems and diseases in puberty. Best Pract. Res. Clin. Obstet. Gynaecol. 2010, 24, 223–242. [Google Scholar] [CrossRef] [PubMed]
- Robinson, A.; Light, D.; Nice, C. Meta-analysis of sonography in the diagnosis of inguinal hernias. J. Ultrasound Med. 2013, 32, 339–346. [Google Scholar] [CrossRef] [PubMed]
- Flors, L.; Leiva-Salinas, C.; Maged, I.M.; Norton, P.T.; Matsumoto, A.H.; Angle, J.F.; Hugo Bonatti, M.D.; Park, A.W.; Ahmad, E.A.; Bozlar, U.; et al. MR imaging of soft-tissue vascular malformations: Diagnosis, classification, and therapy follow-up. Radiographics 2011, 31, 1321–1340. [Google Scholar] [CrossRef] [PubMed]
- Kuwano, Y.; Ishizaki, K.; Watanabe, R.; Nanko, H. Efficacy of diagnostic ultrasonography of lipomas, epidermal cysts, and ganglions. Arch. Dermatol. 2009, 145, 761–764. [Google Scholar] [CrossRef] [PubMed]
- Chavarría, J.F.; Faingezicht, I. Bartholin’s gland abscess in a neonate. Pediatr. Infect. Dis. J. 1989, 8, 334–335. [Google Scholar] [PubMed]
- Soyer, T.; Hançerlioğullari, O.; Pelin Cil, A.; Evliyaoğlu, O.; Cakmak, M. Childhood asymmetric labium majus enlargement: Is a conservative approach available? J. Pediatr. Adolesc. Gynecol. 2009, 22, e9–e11. [Google Scholar] [CrossRef] [PubMed]




© 2018 by the authors. Licensee MDPI, Basel, Switzerland. This article is an open access article distributed under the terms and conditions of the Creative Commons Attribution (CC BY) license (http://creativecommons.org/licenses/by/4.0/).
Share and Cite
Salvatori, C.; Testa, I.; Prestipino, M.; Laurenti, M.E.; Riccioni, S.; Di Cara, G.; Principi, N.; Esposito, S.; Bertozzi, M. Childhood Asymmetry Labium Majus Enlargement (CALME): Description of Two Cases. Int. J. Environ. Res. Public Health 2018, 15, 1525. https://doi.org/10.3390/ijerph15071525
Salvatori C, Testa I, Prestipino M, Laurenti ME, Riccioni S, Di Cara G, Principi N, Esposito S, Bertozzi M. Childhood Asymmetry Labium Majus Enlargement (CALME): Description of Two Cases. International Journal of Environmental Research and Public Health. 2018; 15(7):1525. https://doi.org/10.3390/ijerph15071525
Chicago/Turabian StyleSalvatori, Cristina, Ilaria Testa, Marco Prestipino, Maria Elena Laurenti, Sara Riccioni, Giuseppe Di Cara, Nicola Principi, Susanna Esposito, and Mirko Bertozzi. 2018. "Childhood Asymmetry Labium Majus Enlargement (CALME): Description of Two Cases" International Journal of Environmental Research and Public Health 15, no. 7: 1525. https://doi.org/10.3390/ijerph15071525
APA StyleSalvatori, C., Testa, I., Prestipino, M., Laurenti, M. E., Riccioni, S., Di Cara, G., Principi, N., Esposito, S., & Bertozzi, M. (2018). Childhood Asymmetry Labium Majus Enlargement (CALME): Description of Two Cases. International Journal of Environmental Research and Public Health, 15(7), 1525. https://doi.org/10.3390/ijerph15071525

