Severe Pneumonia Caused by Influenza A (H1N1) Virus Successfully Managed with Extracorporeal Life Support in a Comorbid Former Preterm Infant
Abstract
:1. Introduction
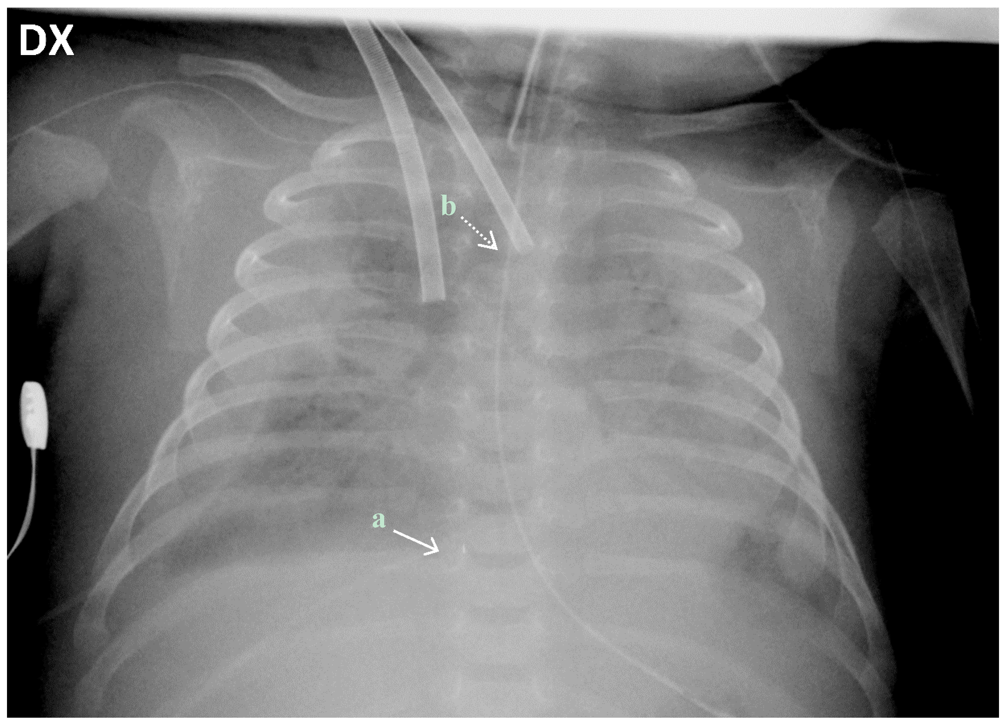
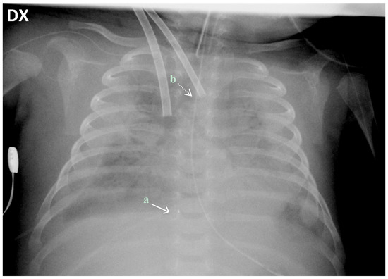
2. Case Report
3. Discussion
4. Conclusions
Acknowledgments
Author Contributions
Conflicts of Interest
References
- Buchan, S.A.; Hottes, T.S.; Rosella, L.C.; Crowcroft, N.S.; Tran, D.; Kwong, J.C. Contribution of Influenza Viruses to Medically-Attended Acute Respiratory Illnesses in Children in High-Income Countries: A Meta-Analysis. Influenza Other Respir. Viruses 2016, 10, 444–454. [Google Scholar] [CrossRef] [PubMed]
- Launes, C.; García-García, J.-J.; Jordán, I.; Martínez-Planas, A.; Selva, L.; Muñoz-Almagro, C. 2009 Influenza A H1N1 Infections: Delays in Starting Treatment with Oseltamivir Were Associated with a More Severe Disease. Pediatr. Infect. Dis. J. 2011, 30, 622–625. [Google Scholar] [CrossRef] [PubMed]
- Lopez-Medina, E.; Ardura, M.I.; Siegel, J.D.; Brock, E.; Sánchez, P.J. 2009 influenza A in infants hospitalized at younger than 6 months. J. Pediatr. 2012, 160, 626–631. [Google Scholar] [CrossRef] [PubMed]
- Jefferson, T.; Jones, M.A.; Doshi, P.; DelMar, C.B.; Hama, R.; Thompson, M.J.; Spencer, E.A.; Onakpoya, I.J.; Mahtani, K.R.; Nunan, D.; et al. Neuraminidase inhibitors for preventing and treating influenza in adults and children. Cochrane Database Syst. Rev. 2014. [Google Scholar] [CrossRef]
- Jefferson, T.; Jones, M.A.; Doshi, P.; Spencer, E.A.; Onakpoya, I.J.; Heneghan, C.J. Oseltamivir for influenza in adults and children: Systematic review of clinical study reports and summary of regulatory comments. Open Access BMJ 2014, 348, 2545. [Google Scholar] [CrossRef] [PubMed]
- Committee on Infectious Diseases. Recommendations for Prevention and Control of Influenza in Children, 2014–2015. Pediatrics 2014. [Google Scholar] [CrossRef]
- Centers for Disease Control and Prevention (CDC). Available online: https://www.cdc.gov/flu/professionals/antivirals/summary-clinicians.htm (accessed on 18 March 2017).
- Walsh, M.C.; Kliegman, R.M. Necrotizing enterocolitis: Treatment based on staging criteria. Pediatr. Clin. N. Am. 1986, 33, 179–201. [Google Scholar] [CrossRef]
- Davlin, S.L. Influenza Activity—United States, 2015–2016 Season and Composition of the 2016–2017 Influenza Vaccine. MMWR. Morb. Mortal. Wkly. Rep. 2016, 65, 567–575. [Google Scholar] [CrossRef] [PubMed]
- Lister, P.; Reynolds, F.; Parslow, R.; Chan, A.; Cooper, M.; Plunkett, A.; Riphagen, S.; Peters, M. Swine-origin influenza virus H1N1, seasonal influenza virus, and critical illness in children. Lancet 2009, 374, 605–607. [Google Scholar] [CrossRef]
- Rehder, K.J.; Turner, D.A.; Cheifetz, I.M. Extracorporeal membrane oxygenation for neonatal and pediatric respiratory failure: An evidence-based review of the past decade (2002–2012). Pediatr. Crit. Care Med. 2013, 9, 851–861. [Google Scholar] [CrossRef] [PubMed]
- Frenckner, B. Extracorporeal membrane oxygenation: A breakthrough for respiratory failure. J. Intern. Med. 2015, 278, 586–598. [Google Scholar] [CrossRef] [PubMed]
- Bahrami, K.R.; Van Meurs, K.P. ECMO for neonatal respiratory failure. Semin. Perinatol. 2005, 29, 15–23. [Google Scholar] [CrossRef] [PubMed]
- Van Heijst, A.F.; Amerik, C.; IJsselstijn, H. ECMO in neonates: Neuroimaging findings and outcome. Semin. Perinatol. 2014, 38, 104–113. [Google Scholar] [CrossRef] [PubMed]
- Extracorporeal Life Support Organization (ECLS). ECLS Registry Report, International Summary; International Summary (ECLS): Ann Arbor, MI, USA, 2016. [Google Scholar]
- Murphy, D.A.; Hockings, L.E.; Andrews, R.K.; Aubron, C.; Gardiner, E.E.; Pellegrino, V.A.; Davis, A.K. Extracorporeal membrane oxygenation—Hemostatic complications. Transfus. Med. Rev. 2015, 29, 90–101. [Google Scholar] [CrossRef] [PubMed]
- Zwiers, A.J.; de Wildt, S.N.; Hop, W.C.; Dorresteijn, E.M.; Gischler, S.J.; Tibboel, D.; Cransberg, K. Acute kidney injury is a frequent complication in critically ill neonates receiving extracorporeal membrane oxygenation: A 14-year cohort study. Crit. Care 2013, 17, R151. [Google Scholar] [CrossRef] [PubMed]
- IJsselstijn, H.; van Heijst, A.F. Long-term outcome of children treated with neonatal extracorporeal membrane oxygenation: Increasing problems with increasing age. Semin. Perinatol. 2014, 38, 114–121. [Google Scholar] [CrossRef] [PubMed]
- De St. Maurice, A.M.; Bridges, B.C.; Rycus, P.T.; Fonnesbeck, C.J.; Fleming, G.M.; Halasa, N.B. Global Trends in Extracorporeal Membranous Oxygenation Use and Survival of Patients with Influenza-Associated Illness. Pediatr. Crit. Care Med. 2016, 17, 876–883. [Google Scholar]
- The Infectious Diseases Society of America (IDSA) Statement. Available online: http://www.idsociety.org/Influenza_Statement.aspx (accessed on 18 March 2017).
- Tsagris, V.; Nika, A.; Kyriakou, D.; Kapetanakis, I.; Harahousou, E.; Stripeli, F.; Maltezou, H.; Tsolia, M. Influenza A/H1N1/2009 outbreak in a neonatal intensive care unit. J. Hosp. Infect. 2012, 81, 36–40. [Google Scholar] [CrossRef] [PubMed]
- Fiore, A.E.; Fry, A.; Shay, D.; Gubareva, L.; Bresee, J.S.; Uyeki, T.M. Antiviral agents for the treatment and chemoprophylaxis of influenza—Recommendations of the Advisory Committee on Immunization Practices (ACIP). MMWR Surveill. Summ. 2011, 60, 1–24. [Google Scholar]
- Selleri, M.; Piralla, A.; Rozera, G.; Giombini, E.; Bartolini, B.; Abbate, I.; Campanini, G.; Rovida, F.; Dossena, L.; Capobianchi, M.R.; et al. Detection of haemagglutinin D222 polymorphisms in influenza A (H1N1) pdm09-infected patients by ultra-deep pyrosequencing. Clin. Microbiol. Infect. 2013, 19, 668–673. [Google Scholar] [CrossRef] [PubMed]
- Moscona, A. Oseltamivir resistance—Disabling our influenza defenses. N. Engl. J. Med. 2005, 353, 2633–2636. [Google Scholar] [CrossRef] [PubMed]



| ECLS Day | −2 | −1 | 0 | 1 | 2 | 3 | 4 | 5 | 6 | 7 | 8 | 9 | 10 | 11 | 12 | 13 | +1 | +3 |
|---|---|---|---|---|---|---|---|---|---|---|---|---|---|---|---|---|---|---|
| HR mean (range) | 175 (155–185) | 135 (120–170) | 120 (110–145) | |||||||||||||||
| SpO2 mean (range) | 95 | 90–92 | 97 (93–100) | 98 (96–100) | ||||||||||||||
| AP mean (range) | 30 (25–35) | 55 (45–90) | 45 (40–55) | |||||||||||||||
| SvO2 mean (range) | NA | 75 (72–80) | NA | |||||||||||||||
| pH (median ± SD) | 7.24 ± 0.12 | 7.4 ± 0.04; | 7.4 ± 0.06 | |||||||||||||||
| pO2 (median ± SD) | 40 ± 9.25 | 65 ± 11.86 | 63 ± 8.54 | |||||||||||||||
| pCO2 (median ± SD) | 72 ± 15.23 | 47.4 ± 5.71 | 45 ± 7.21 | |||||||||||||||
| Lactate (median ± SD) | 3.5 ± 1.1 | 0.9 ± 0.4 | 0.8 ± 0.5 | |||||||||||||||
| BE (median ± SD) | −1 (±0.5) | 1 ± 1.64 | 1.3 ± 1.2 | |||||||||||||||
| Temperature (median ± SD) | 36.6 ± 0.1 | 36.5 ± 0.2 | 36.5 ± 0.4 | |||||||||||||||
| Respiratory settings | ||||||||||||||||||
| Plan | Deterioration-start ECLS | Lung Rest | ECLS Weaning | Extubation | ||||||||||||||
| Mode | PC/AC | HFO | PC/AC | PC/AC | PC/AC | NIV | ||||||||||||
| FiO2 | 0.8 | 1 | 1 | 0.3 | 0.3 | 0.3 | 0.3 | 0.3 | 0.3 | 0.4 | 0.5 | 0.3 | 0.3 | 0.3 | 0.3 | 0.3 | 0.3 | 0.28 |
| PIP | 34 | NA | NA | 20 | 25 | 25 | 25 | 25 | 25 | 25 | 25 | 25 | 25 | 25 | 25 | 25 | 25 | 9 |
| PEEP | 6 | NA | NA | 10 | 10–13 | 10 | 10 | 10 | 10 | 10 | 10 | 7–10 | 7–9 | 6–8 | 8 | 8 | 9 | 5.5 |
| Paw | 12 | 18 | 20 | 12 | 14 | 12 | 12 | 12 | 12 | 12 | 12 | 10 | 10 | 9 | 10 | 10 | 12 | 6.5 |
| RR/Hz | 40 | 8 | 8 | 15 | 15 | 15 | 20 | 20 | 15 | 15 | 20 | 25 | 25 | 25 | 25 | 25 | 25 | 25 |
| Ti/I:E | 0.36 | 1:2 | 1:2 | 0.4 | 0.4 | 0.6 | 0.4 | 0.4 | 0.6 | 0.6 | 0.6 | 0.6 | 0.4 | 0.4 | 0.4 | 0.4 | 0.4 | 1 |
| Vt (mL/kg) | 4 | 1 | 1.5 | 1.8 | 2.3 | 2.1 | 2.4 | 2.2 | 2.4 | 2.3 | 3.2 | 3.5 | 4 | 4.6 | 4.8 | 4.5 | 4.7 | NA |
| Compliance C20:C | NA | NA | NA | 0.7 | 0.7 | 0.8 | 0.8 | 0.6 | 0.8 | 0.8 | 1 | 1 | 1 | 1.2 | 1.1 | 1.4 | 1.4 | NA |
| Dynamic Compliance (Cdyn) (mL/cmH2O) | NA | NA | NA | 0.1 | 0.1 | 0.2 | 0.2 | 0.1 | 0.1 | 0.1 | 0.3 | 0.4 | 0.6 | 0.8 | 0.8 | 1 | 1 | NA |
| OI | 13 (12–15) | 28 (25–35) | 40 (35–48) | NA | NA | |||||||||||||
| Surfactant BAL | X | |||||||||||||||||
| Dexamethasone | X | X | X | X | X | |||||||||||||
| Circulatory settings | ||||||||||||||||||
| Plan | Deterioration-start ECLS | Circuit change | ||||||||||||||||
| LPM pre-UF | NA | 0.6 | 0.6 | 0.6 | 0.6 | 0.57 | 0.65 | 0.54 | 0.54 | 0.56 | 0.5 | 0.6 | 0.5 | 0.4 | 0.35 | NA | NA | |
| LPM post-UF | NA | 0.6 | 0.6 | 0.45 | 0.45 | 0.47 | 0.52 | 0.44 | 0.44 | 0.45 | 0.5 | 0.44 | 0.40 | 0.35 | 0.25 | NA | NA | |
| RPM | NA | 2600 | 2610 | 2610 | 2610 | 2845 | 2615 | 2615 | 2795 | 2915 | 2915 | 2280 | 2220 | 2025 | 1800 | NA | NA | |
| FiO2 | NA | 0.5 | 0.5 | 0.5 | 0.5 | 0.7 | 0.9 | 0.5 | 0.5 | 0.6 | 0.3 | 0.3 | 0.3 | 0.3 | 0.2 | NA | NA | |
| Sweep gas | NA | 0.45 | 0.45 | 0.54 | 0.54 | 0.55 | 0.60 | 0.55 | 0.60 | 0.55 | 0.40 | 0.40 | 0.40 | 0.40 | 0.40 | NA | NA | |
| P ven | NA | −15 | −15 | −15 | −15 | −15 | −16 | −29 | −20 | −30 | −30 | −15 | −15 | −15 | −15 | NA | NA | |
| P int | NA | 180 | 180 | 180 | 180 | 180 | 169 | 190 | 170 | 174 | 180 | 180 | 180 | 180 | 180 | NA | NA | |
| P art | NA | 165 | 165 | 165 | 165 | 165 | 155 | 175 | 156 | 160 | 165 | 165 | 166 | 166 | 165 | NA | NA | |
| Delta P | NA | 15 | 15 | 15 | 15 | 15 | 14 | 15 | 14 | 14 | 15 | 15 | 14 | 14 | 15 | NA | NA | |
| Dopamine (µg/kg/min) | 5 | 10 | 10 | stop | no | |||||||||||||
| Hydrocortisone (mg/kg/h) | no | 0.1 | 0.2 | stop | no | |||||||||||||
| Fluid management | ||||||||||||||||||
| Fluid overload (%) * | +3 | +0.5 | 0 | +0.5 | +1.5 | +1 | −0.5 | −1.5 | 0 | −2.5 | +1 | 0 | +0.5 | +0.3 | 0 | −1 | −1 | −1.5 |
| Weight (g) | Entry weight: 3310 g | NA | Weight post ECLS: 3420 g | |||||||||||||||
| Urine output (cc/kg/h) | 2 | 1.5 | 2.5 | 3 | 6 | 4.5 | 5.7 | 3.9 | 5 | 4 | 5 | 4.5 | 4.2 | 7.3 | 5 | 4.5 | 3.5 | 3.5 |
| Ultrafiltration | NA | NA | off | on | off | NA | NA | |||||||||||
| Furosemide (mg/kg/24 h) | no | 4 | 3 | 2 | no | |||||||||||||
| Fenoldopam (μg/kg/min) | no | 0.2 | no | |||||||||||||||
| Albumine (g/kg/24 h) | no | 0.5 | no | 0.5 | no | |||||||||||||
| Nitroprussiate (μg/kg/min) | no | 0.1–0.3 | stop | |||||||||||||||
© 2017 by the authors. Licensee MDPI, Basel, Switzerland. This article is an open access article distributed under the terms and conditions of the Creative Commons Attribution (CC BY) license (http://creativecommons.org/licenses/by/4.0/).
Share and Cite
Raffaeli, G.; Cavallaro, G.; Pugni, L.; Leva, E.; Artoni, A.; Neri, S.; Baracetti, C.; Cotza, M.; Gentilino, V.; Terranova, L.; et al. Severe Pneumonia Caused by Influenza A (H1N1) Virus Successfully Managed with Extracorporeal Life Support in a Comorbid Former Preterm Infant. Int. J. Environ. Res. Public Health 2017, 14, 360. https://doi.org/10.3390/ijerph14040360
Raffaeli G, Cavallaro G, Pugni L, Leva E, Artoni A, Neri S, Baracetti C, Cotza M, Gentilino V, Terranova L, et al. Severe Pneumonia Caused by Influenza A (H1N1) Virus Successfully Managed with Extracorporeal Life Support in a Comorbid Former Preterm Infant. International Journal of Environmental Research and Public Health. 2017; 14(4):360. https://doi.org/10.3390/ijerph14040360
Chicago/Turabian StyleRaffaeli, Genny, Giacomo Cavallaro, Lorenza Pugni, Ernesto Leva, Andrea Artoni, Simona Neri, Chiara Baracetti, Mauro Cotza, Valerio Gentilino, Leonardo Terranova, and et al. 2017. "Severe Pneumonia Caused by Influenza A (H1N1) Virus Successfully Managed with Extracorporeal Life Support in a Comorbid Former Preterm Infant" International Journal of Environmental Research and Public Health 14, no. 4: 360. https://doi.org/10.3390/ijerph14040360
APA StyleRaffaeli, G., Cavallaro, G., Pugni, L., Leva, E., Artoni, A., Neri, S., Baracetti, C., Cotza, M., Gentilino, V., Terranova, L., Esposito, S., & Mosca, F. (2017). Severe Pneumonia Caused by Influenza A (H1N1) Virus Successfully Managed with Extracorporeal Life Support in a Comorbid Former Preterm Infant. International Journal of Environmental Research and Public Health, 14(4), 360. https://doi.org/10.3390/ijerph14040360

