Isolation and Characterization of Polyacrylamide-Degrading Bacteria from Dewatered Sludge
Abstract
:1. Introduction
2. Materials and Methods
2.1. Samples
2.2. Media
2.3. Isolation of Strains
2.4. Identification of Isolates
2.5. Determination of PAM Degradation
2.6. Extracellular Enzyme in PAM Degradation
3. Results and Discussion
3.1. Bacteria Isolation and Identification




3.2. Determination of PAM Degradation





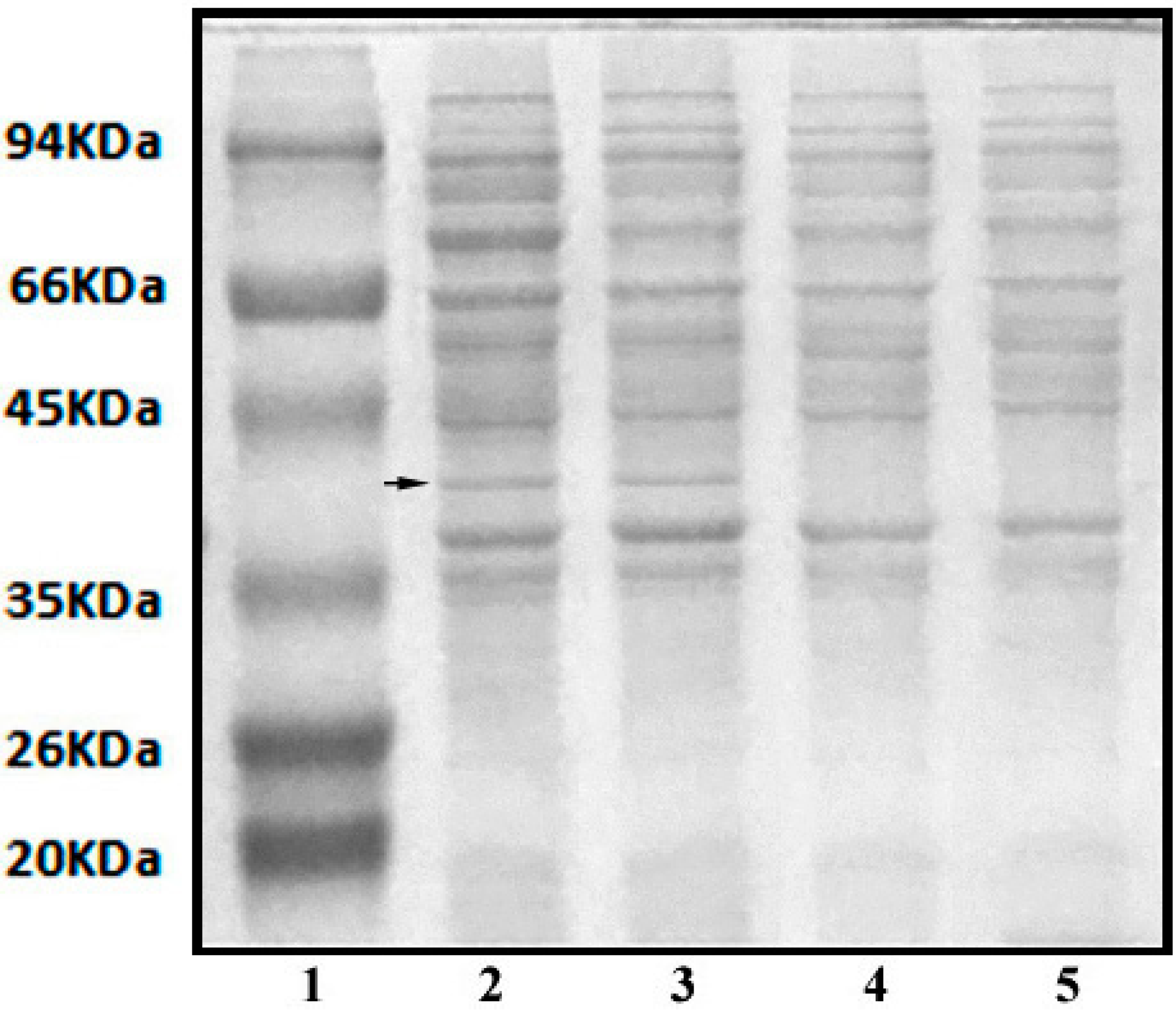
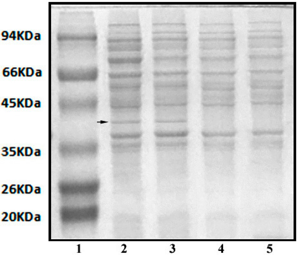
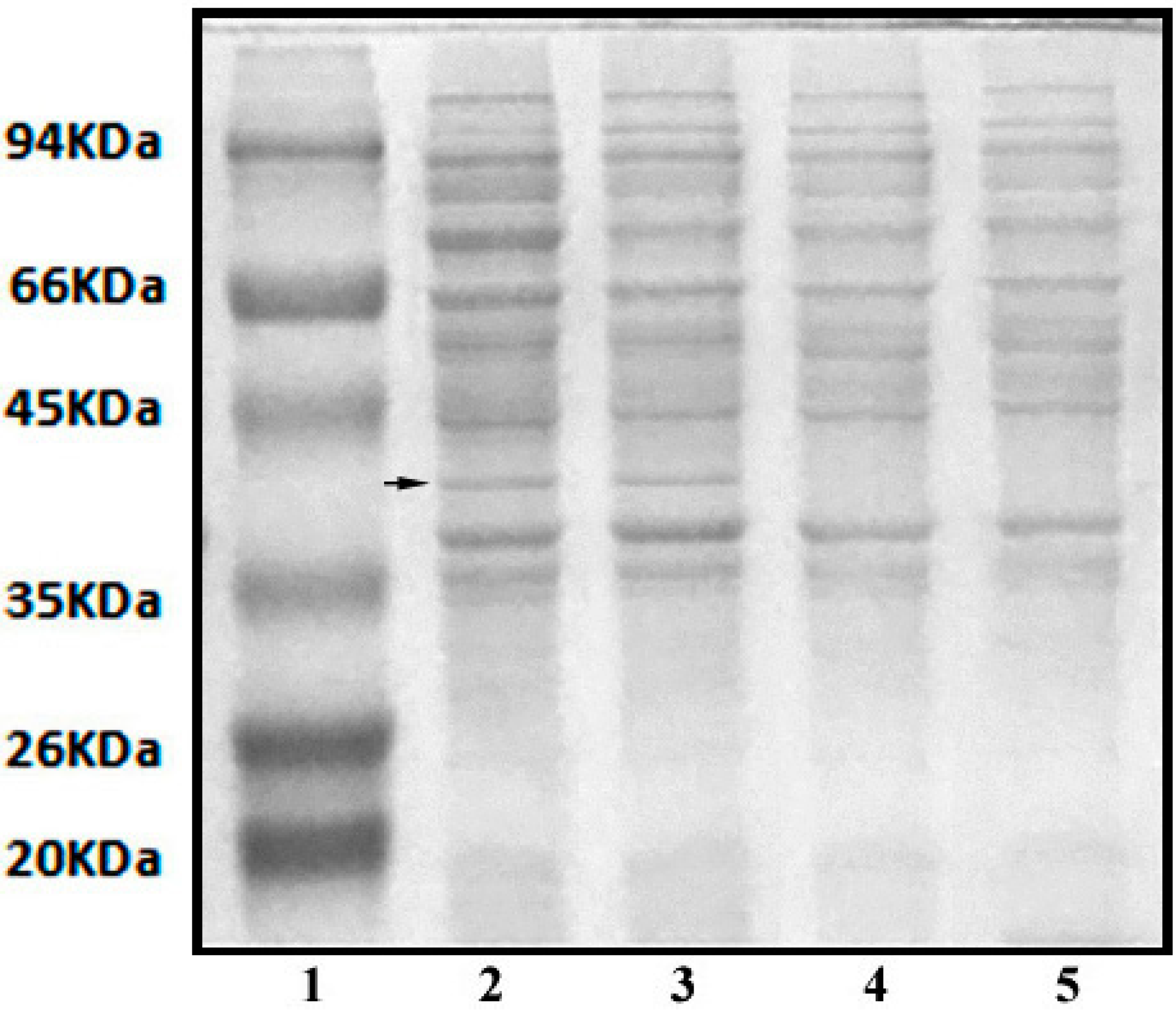
3.3. Determination of the Extracellular Enzyme

4. Conclusions
Acknowledgements
Author Contributions
Appendix
| Test | Representation | Result |
|---|---|---|
| APPA | Ala-Phe-Pro-ARYLAMIDASE | − |
| ADO | ADONITOL | − |
| PyrA | l-Pyrrolydonyl-ARYLAMIDASE | − |
| lARL | l-ARABITOL | − |
| dCEL | d-CELLOBIOSE | − |
| BGAL | β-GALACTOSIDASE | − |
| H2S | H2S PRODUCTION | − |
| BNAG | β-ACETYL-GLUCOSAMINIDASE | − |
| AGLTp | Glutamyl arylamidase pNA | + |
| dGLU | d-GLUCOSE | + |
| GGT | γ-GLUTAMYL-TRANSFERASE | + |
| OFF | FERMENTATION/GLUCOSE | − |
| BGLU | β-GLUCOSIDASE | − |
| dMAL | d-MALTOSE | − |
| dMAN | d-MANNITOL | + |
| dMNE | d-MANNOSE | + |
| BXYL | β-XYLOSIDASE | − |
| BAlap | β-Alanine arylamidase pNA | + |
| ProA | l-Proline ARYLAMIDASE | + |
| LIP | LIPASE | − |
| PLE | PALATINOSE | − |
| TyrA | Tyrosine ARYLAMIDASE | + |
| URE | UREASE | + |
| dSOR | d-SORBITOL | − |
| SAC | SACCHAROSE/SUCROSE | − |
| dTAG | d-TAGATOSE | − |
| dTRE | d-TRHALOSE | − |
| CIT | CITRATE (SODIUM) | + |
| MNT | MALONATE | + |
| 5KG | 5-KETO-d-GLUCONATE | − |
| lLATk | l-LACTATE alkalinisation | + |
| AGLU | α-GLUCOSIDASE | − |
| SUCT | SUCCINATE alkalinisation | + |
| NAGA | BETA-N-NCETYL-GALACTOSAMINIDASE | − |
| AGAL | ALPHA-GALACTOSIDASE | − |
| PHOS | PHOSPHATASE | − |
| GlyA | Glycine ARYLAMIDASE | − |
| ODC | ORNITHINE DECARBOXYLASE | − |
| LDC | LYSINE DECARBOXYLASE | − |
| lHISa | l-HISTIDINE assimilation | − |
| CMT | COUMARATE | + |
| BGUR | β-GLUCORONIDASE | − |
| O129R | O/129 RESISTANCE (comp.vibrio) | + |
| GGAA | Glu-Gyl-Arg-ARYLAMIDASE | + |
| lMLTa | l-MALATE assimilation | + |
| ELLM | ELLMAN | − |
| lLATa | l-LACTATE assimilation | − |
Conflicts of Interest
References
- Dai, X.; Luo, F.; Yi, J.; He, Q.; Dong, B. Biodegradation of polyacrylamide by anaerobic digestion under mesophilic condition and its performance in actual dewatered sludge system. Bioresour. Technol. 2014, 153, 55–61. [Google Scholar] [CrossRef] [PubMed]
- Kurenkov, V.F.; Hartan, H.-G.; Lobanov, F.I. Application of polyacrylamide flocculants for water treatment. Chem. Comput. Simul. Butl. Commun. 2002, 3, 31–40. [Google Scholar]
- Abidin, A.Z.; Puspasari, T.; Nugroho, W.A. Polymers for enhanced oil recovery technology. Procedia Chem. 2012, 4, 11–16. [Google Scholar] [CrossRef]
- Wong, S.S.; Teng, T.T.; Ahmad, A.L.; Zuhairi, A.; Najafpour, G. Treatment of pulp and paper mill wastewater by polyacrylamide (pam) in polymer induced flocculation. J. Hazard. Mater. 2006, 135, 378–388. [Google Scholar] [CrossRef] [PubMed]
- Kornecki, T.; Grigg, B.; Fouss, J.; Southwick, L. Polyacrylamide (pam) application effectiveness in reducing soil erosion from sugarcane fields in southern louisiana. Appl. Eng. Agric. 2005, 21, 189–196. [Google Scholar] [CrossRef]
- Prats, S.A.; Martins, M.A.; Malvar, M.C.; Ben-Hur, M.; Keizer, J.J. Polyacrylamide application versus forest residue mulching for reducing post-fire runoff and soil erosion. Sci. Total Environ. 2014, 468–469, 467–474. [Google Scholar]
- Sojka, R.E.; Bjorneberg, D.L.; Entry, J.A.; Lentz, R.D.; Orts, W.J. Polyacrylamide in agriculture and environmental land management. In Advances in Agronomy; Donald, L.S., Ed.; Elsevier: Melbourne, Australia, 2007; Volume 92, pp. 75–162. [Google Scholar]
- Qian, B. Process Technology and Market Analysis of Polyacrylamide. Available online: http://en.cnki.com.cn/Article_en/CJFDTOTAL-HGJJ2010Z1007.htm (accessed on 9 March 2015).
- Chu, C.P.; Lee, D.J.; Chang, B.V.; Liao, C.S. Effects of polyacrylamide on microbial density levels and biodegradability in waste-activated sludge. J. Chem. Technol. Biotechnol. 2001, 76, 598–602. [Google Scholar] [CrossRef]
- Woodrow, J.E.; Seiber, J.N.; Miller, G.C. Acrylamide release resulting from sunlight irradiation of aqueous polyacrylamide/iron mixtures. J. Agric. Food Chem. 2008, 56, 2773–2779. [Google Scholar] [CrossRef] [PubMed]
- Caulfield, M.J.; Hao, X.; Qiao, G.G.; Solomon, D.H. Degradation on polyacrylamides. Part I. Linear polyacrylamide. Polymer 2003, 44, 1331–1337. [Google Scholar] [CrossRef]
- Buranasilp, K.; Charoenpanich, J. Biodegradation of acrylamide by enterobacter aerogenes isolated from wastewater in thailand. J. Environ. Sci. 2011, 23, 396–403. [Google Scholar] [CrossRef]
- Lentz, R.; Sojka, R. Field results using polyacrylamide to manage furrow erosion and infiltration. Soil Sci. 1994, 158, 274–282. [Google Scholar] [CrossRef]
- Haveroen, M.E.; MacKinnon, M.D.; Fedorak, P.M. Polyacrylamide added as a nitrogen source stimulates methanogenesis in consortia from various wastewaters. Water Res. 2005, 39, 3333–3341. [Google Scholar] [CrossRef] [PubMed]
- Kay-Shoemake, J.L.; Watwood, M.E.; Sojka, R.E.; Lentz, R.D. Polyacrylamide as a substrate for microbial amidase in culture and soil. Soil Biol. Biochem. 1998, 30, 1647–1654. [Google Scholar] [CrossRef]
- Nakamiya, K.; Kinoshita, S. Isolation of polyacrylamide-degrading bacteria. J. Ferment. Bioeng. 1995, 80, 418–420. [Google Scholar] [CrossRef]
- Matsuoka, H.; Ishimura, F.; Takeda, T.; Hikuma, M. Isolation of polyacrylamide-degrading microorganisms from soil. Biotechnol. Bioprocess Eng. 2002, 7, 327–330. [Google Scholar] [CrossRef]
- Bao, M.; Chen, Q.; Li, Y.; Jiang, G. Biodegradation of partially hydrolyzed polyacrylamide by bacteria isolated from production water after polymer flooding in an oil field. J. Hazard. Mater. 2010, 184, 105–110. [Google Scholar] [CrossRef] [PubMed]
- Wen, Q.; Chen, Z.; Zhao, Y.; Zhang, H.; Feng, Y. Biodegradation of polyacrylamide by bacteria isolated from activated sludge and oil-contaminated soil. J. Hazard. Mater. 2010, 175, 955–959. [Google Scholar] [CrossRef] [PubMed]
- Weissenfels, W.D.; Beyer, M.; Klein, J. Degradation of phenanthrene, fluorene and fluoranthene by pure bacterial cultures. Appl. Microbiol. Biotechnol. 1990, 32, 479–484. [Google Scholar] [CrossRef] [PubMed]
- Wang, W.; Zhang, X.; Yang, Z.; Wang, X.; Ding, Z.; Li, Y. Determination of Polyacrylamide Applyed with Starch-Cadmium Iodide Method for Low Oil Pollnted Water. Available online: http://en.cnki.com.cn/Article_en/CJFDTotal-ZSJS201005010.htm (accessed on 9March 2015).
- Lowe, P.; Haswell, H.; Lewis, K. Use of various common isolation media to evaluate the new vitek 2 colorimetric gn card for identification of burkholderia pseudomallei. J. Clin. Microbiol. 2006, 44, 854–856. [Google Scholar] [CrossRef] [PubMed]
- Hayes, L.; Lovley, D. Specific 16S RDNA sequences associated with naphthalene degradation under sulfate-reducing conditions in harbor sediments. Microb. Ecol. 2002, 43, 134–145. [Google Scholar] [CrossRef] [PubMed]
- Ver Vers, L.M. Determination of acrylamide monomer in polyacrylamide degradation studies by high-performance liquid chromatography. J. Chromatogr. Sci. 1999, 37, 486–494. [Google Scholar]
- Jiang, L.; He, L.; Fountoulakis, M. Comparison of protein precipitation methods for sample preparation prior to proteomic analysis. J. Chromatogr. A 2004, 1023, 317–320. [Google Scholar] [CrossRef] [PubMed]
- Bradford, M.M. A rapid and sensitive method for the quantitation of microgram quantities of protein utilizing the principle of protein-dye binding. Anal. Biochem. 1976, 72, 248–254. [Google Scholar] [CrossRef] [PubMed]
- Komatsu, S. Western Blotting/Edman Sequencing Using PVDF membrane. Methods Mol. Biol. 2009, 536, 163–171. [Google Scholar] [PubMed]
- Nwachukwu, S.U. Bioremediation of sterile agricultural soils polluted with crude petroleum by application of the soil bacterium, pseudomonas putida, with inorganic nutrient supplementations. Curr. Microbiol. 2001, 42, 231–236. [Google Scholar] [PubMed]
- Li, M.; Yi, P.; Liu, Q.; Pan, Y.; Qian, G. Biodegradation of benzoate by protoplast fusant via intergeneric protoplast fusion between pseudomonas putida and bacillus subtili. Int. Biodeterior. Biodegrad. 2013, 85, 577–582. [Google Scholar] [CrossRef]
- Farrell, A.; Quilty, B. Substrate-dependent autoaggregation of pseudomonas putida cp1 during the degradation of mono-chlorophenols and phenol. J. Ind. Microbiol. Biotechnol. 2002, 28, 316–324. [Google Scholar] [CrossRef] [PubMed]
- Yu, H.; Tang, H.; Wang, L.; Yao, Y.; Wu, G.; Xu, P. Complete genome sequence of the nicotine-degrading pseudomonas putida strain s16. J. Bacteriol. 2011, 193, 5541–5542. [Google Scholar] [CrossRef] [PubMed]
- Wackett, L.P.; Gibson, D.T. Degradation of trichloroethylene by toluene dioxygenase in whole-cell studies with pseudomonas putida f1. Appl. Environ. Microbiol. 1988, 54, 1703–1708. [Google Scholar] [PubMed]
- Torres, A.; Li, S.M.; Roussos, S.; Vert, M. Degradation of l- and dl-lactic acid oligomers in the presence offusarium moniliforme and pseudomonas putida. J. Environ. Polym. Degrad. 1996, 4, 213–223. [Google Scholar] [CrossRef]
- Grula, M.M.; Huang, M.-L.; Sewell, G. Interactions of certain polyacrylamides with soil bacteria. Soil Sci. 1994, 158, 291–300. [Google Scholar] [CrossRef]
- Skouloubris, S.; Labigne, A.; de Reuse, H. The amie aliphatic amidase and amif formamidase of helicobacter pylori: Natural evolution of two enzyme paralogues. Mol. Microbiol. 2001, 40, 596–609. [Google Scholar] [CrossRef] [PubMed]
- Nawaz, M.S.; Khan, A.A.; Seng, J.E.; Leakey, J.E.; Siitonen, P.H.; Cerniglia, C.E. Purification and characterization of an amidase from an acrylamide-degrading rhodococcus sp. Appl. Environ. Microbiol. 1994, 60, 3343–3348. [Google Scholar] [PubMed]
- Syed, M.A.; Ahmad, S.A.; Kusnin, N.; Shukor, M.Y.A. Purification and characterization of amidase from acrylamide-degrading bacterium burkholderia sp. Strain dr. Y27. Afr. J. Biotechnol. 2014, 11, 329–336. [Google Scholar]
- Skouloubris, S.; Labigne, A.; de Reuse, H. Identification and characterization of an aliphatic amidase in helicobacter pylori. Mol. Microbiol. 1997, 25, 989–998. [Google Scholar] [CrossRef] [PubMed]
© 2015 by the authors; licensee MDPI, Basel, Switzerland. This article is an open access article distributed under the terms and conditions of the Creative Commons Attribution license (http://creativecommons.org/licenses/by/4.0/).
Share and Cite
Yu, F.; Fu, R.; Xie, Y.; Chen, W. Isolation and Characterization of Polyacrylamide-Degrading Bacteria from Dewatered Sludge. Int. J. Environ. Res. Public Health 2015, 12, 4214-4230. https://doi.org/10.3390/ijerph120404214
Yu F, Fu R, Xie Y, Chen W. Isolation and Characterization of Polyacrylamide-Degrading Bacteria from Dewatered Sludge. International Journal of Environmental Research and Public Health. 2015; 12(4):4214-4230. https://doi.org/10.3390/ijerph120404214
Chicago/Turabian StyleYu, Feng, Ruimin Fu, Yun Xie, and Wuling Chen. 2015. "Isolation and Characterization of Polyacrylamide-Degrading Bacteria from Dewatered Sludge" International Journal of Environmental Research and Public Health 12, no. 4: 4214-4230. https://doi.org/10.3390/ijerph120404214
APA StyleYu, F., Fu, R., Xie, Y., & Chen, W. (2015). Isolation and Characterization of Polyacrylamide-Degrading Bacteria from Dewatered Sludge. International Journal of Environmental Research and Public Health, 12(4), 4214-4230. https://doi.org/10.3390/ijerph120404214
