Verrucarin A Inhibition of MAP Kinase Activation in a PMA-stimulated Promyelocytic Leukemia Cell Line
Abstract
:Introduction
Materials and Methods
Material
Cell lines and culture conditions
NK assay
Detection of human IL-8 by ELISA
Determination of cytotoxicity
Western blot analysis
Plasmid construction, cell transfection and luciferase assay
Results
The effects of marine-derived fungal products on human NK activity
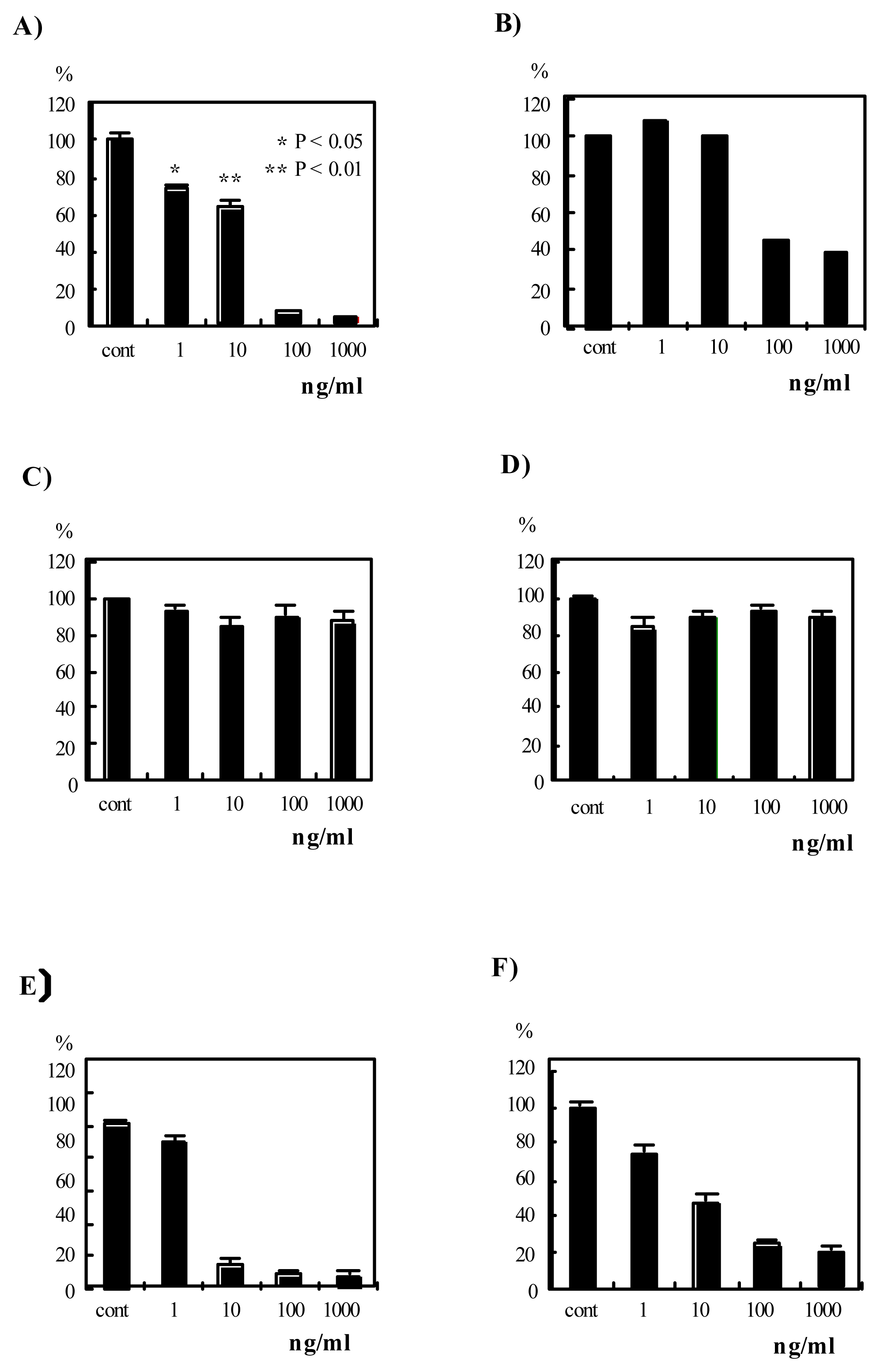
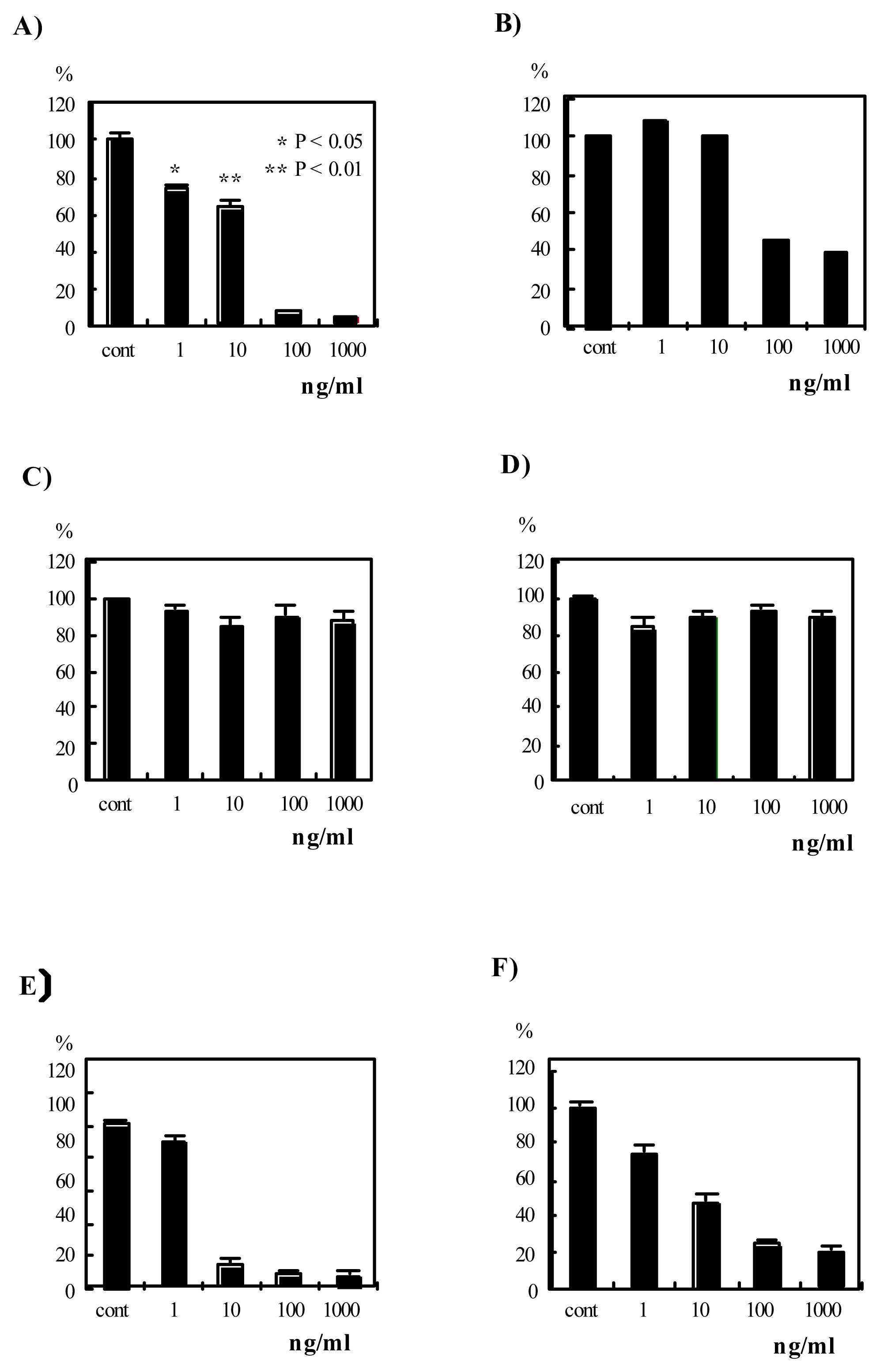
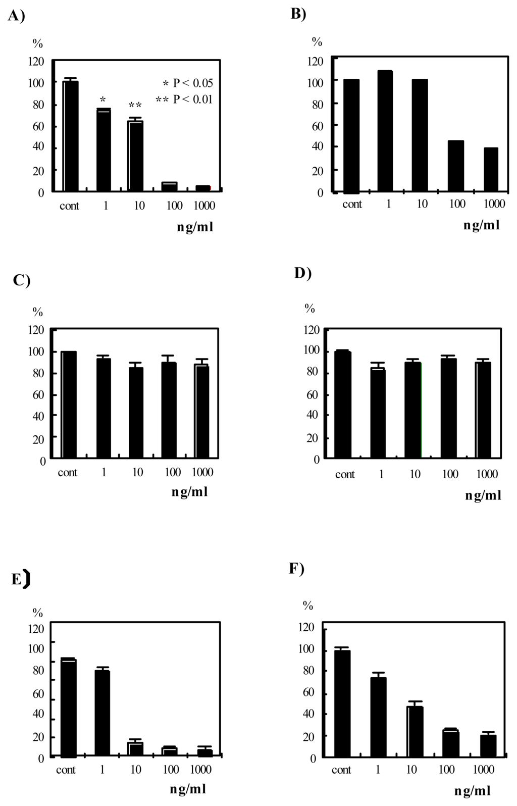
The effects of roridin E, verrucarin A and verrucarin J on IL-8 production by PMA-stimulated HL-60 cells
Inhibitory mechanism of verrucarin A for PMA-stimulated IL-8 production
Discussion




| Broth No. | Relative activity (%) | |
|---|---|---|
| IL-2 added | IL-2 not added | |
| Control | 100 | 100 |
| 9 | 7 | 0 |
| 42 | 0 | 154 |
| 57 | 32 | 58 |
| 61 | 34 | 38 |
| 74 | 1 | 17 |
| 75 | 4 | 0 |
| 93 | 43 | 0 |
| 94 | 24 | 24 |
- Sample availability: Not available.
References
- Faulkner, D.J. Marine natural products. Nat. Prod. Rep 2002, 19, 1–48. [Google Scholar]
- Jensen, P.R.; Fenical, W. Secondary metabolites from marine fungi. In Fungi In Marine Environments; Hyde, K.D., Ed.; Fungal Diversity Research Series; Volume 7, Fungal Diversity Press: Hong Kong, 2002; pp. 293–315. [Google Scholar]
- Liberra, K.; Lindequist, U. Marine fungi – a prolific resource of biologically active natural products? Pharmazie 1995, 50, 583–588. [Google Scholar]
- Kelecom, A. Secondary metabolites from marine microorganisms. Annals Brazil. Acad. Sci 2002, 74, 151–170. [Google Scholar]
- Proksch, P.; Edrada, R.A.; Ebel, R. Drugs from the seas - current status and microbiological implications. Appl. Microbiol. Biotechnol 2002, 59, 125–134. [Google Scholar]
- Jensen, P.R.; Fenical, W. In Drugs from the Sea; Fusetani, N., Ed.; Karger: Basel, 2000; pp. 6–29. [Google Scholar]
- Faulkner, D.J.; Harper, M.K.; Haygood, M.G.; Salomon, C.E.; Schmidt, E.W. Symbiotic bacteria in sponges: sources of bioactive substances. In Drugs from the Sea; Fusetani, N., Ed.; Karger: Basel, 2000; pp. 107–119. [Google Scholar]
- Pietra, F. Secondary metabolites from marine microorganisms: bacteria, protozoa, algae and fungi. Achievements and prospects. Nat. Prod. Rep 1997, 14, 453–464. [Google Scholar]
- Davidson, B.S. New dimensions in natural products research: cultured marine microorganisms. Curr. Opin. Biotechnol 1995, 6, 284–291. [Google Scholar]
- Namikoshi, M.; Akano, K.; Kasuga, I.; Mine, Y.; Takahashi, T.; Kobayashi, H. A new macrocyclic trichothecene, 12,13-deoxyroridin E, produced by the marine-derived fungus Myrothecium roridum collected in Palau. J. Nat. Prod 2001, 64, 396–398. [Google Scholar]
- Domzig, W.; Stadler, B.M.; Herberman, R.B. Interleukin 2 dependence of human natural killer (NK) cell activity. J. Immunol 1983, 130, 1970–1973. [Google Scholar]
- Kasahara, T.; Oda, T.; Hatake, K.; Akiyama, M.; Mukaida, N.; Matsushima, K. Interleukin-8 and monocyte chemotactic protein-1 production by a human glioblastoma cell line, T98G in coculture with monocytes: involvement of monocyte-derived interleukin-1alpha. Eur. Cytokine Netw 1998, 9, 47–55. [Google Scholar]
- Shimizu, S.; Nomoto, M.; Naito, S.; Yamamoto, T.; Momose, K. Stimulation of nitric oxide synthase during oxidative endothelial cell injury. Biochem. Pharmacol 1998, 55, 77–83. [Google Scholar]
- Carmichael, J.; DeGraff, W.G.; Gazdar, A.F.; Minna, J.D.; Mitchell, J.B. Evaluation of a tetrazolium-based semiautomated colorimetric assay: assessment of chemosensitivity testing. Cancer Res 1987, 47, 939–942. [Google Scholar]
- Hiramoto, M.; Shimizu, N.; Sugimoto, K.; Tang, J.; Kawakami, Y.; Ito, M.; Aizawa, S.; Tanaka, H.; Makino, I.; Handa, H. Nuclear targeted suppression of NF-kappa B activity by the novel quinone derivative E3330. J. Immunol 1998, 160, 810–819. [Google Scholar]
- Oda, T.; So, Y.; Sato, Y.; Shimizu, N.; Hand, H.; Yasukochi, Y.; Kasahara, T. Inhibition by (±)-indenestrol A of interferon gamma-stimulated nitric oxide formation in murine macrophge RAW 264.7 cells. Mut. Res 2003, 534, 187–195. [Google Scholar]
- Mukaida, N.; Morita, M.; Ishikawa, Y.; Rice, N.; Okamoto, S.; Kasahara, T.; Matsushima, K. Effects of satratoxins and other macrocyclic trichothecenes on IL-2 production and viability of EL-4 thymoma cells. J. Biol. Chem 1994, 269, 13289–13295. [Google Scholar]
- Lee, M.; Li, S.; Jarvis, B.B.; Pestka, J.J. J. Toxicol. Environ. Health A 1999, 57, 459–474.
- Li, G.; Bishop, K.J.; Hall, T.C. J. Biol. Chem. 2001, 276, 2062–2068.
© 2005 by MDPI Reproduction is permitted for noncommercial purposes.
Share and Cite
Oda, T.; Namikoshi, M.; Akano, K.; Kobayashi, H.; Honma, Y.; Kasahara, T. Verrucarin A Inhibition of MAP Kinase Activation in a PMA-stimulated Promyelocytic Leukemia Cell Line. Mar. Drugs 2005, 3, 64-73. https://doi.org/10.3390/md302064
Oda T, Namikoshi M, Akano K, Kobayashi H, Honma Y, Kasahara T. Verrucarin A Inhibition of MAP Kinase Activation in a PMA-stimulated Promyelocytic Leukemia Cell Line. Marine Drugs. 2005; 3(2):64-73. https://doi.org/10.3390/md302064
Chicago/Turabian StyleOda, Taiko, Michio Namikoshi, Kyoko Akano, Hisayoshi Kobayashi, Yoshio Honma, and Tadashi Kasahara. 2005. "Verrucarin A Inhibition of MAP Kinase Activation in a PMA-stimulated Promyelocytic Leukemia Cell Line" Marine Drugs 3, no. 2: 64-73. https://doi.org/10.3390/md302064
APA StyleOda, T., Namikoshi, M., Akano, K., Kobayashi, H., Honma, Y., & Kasahara, T. (2005). Verrucarin A Inhibition of MAP Kinase Activation in a PMA-stimulated Promyelocytic Leukemia Cell Line. Marine Drugs, 3(2), 64-73. https://doi.org/10.3390/md302064
