Chemical Investigation of the Global Regulator veA-Overexpressed Mutant of an Arctic Strain Aspergillus sydowii MNP-2
Abstract
1. Introduction
2. Results and Discussion
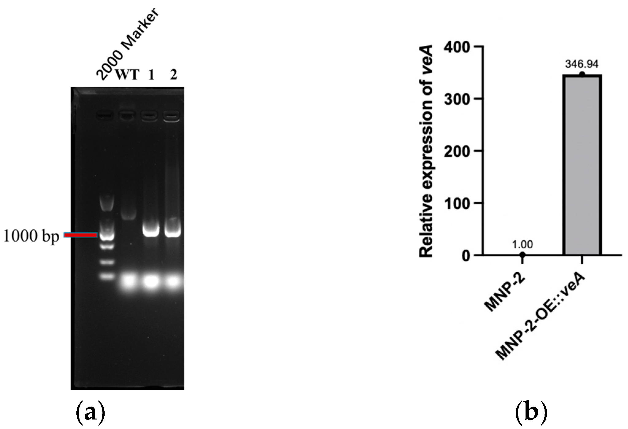
2.1. Construction and Morphological Characterization of the Mutant Strain
2.2. LC-MS/MS Analysis of Mutant-Derived Crude Extracts
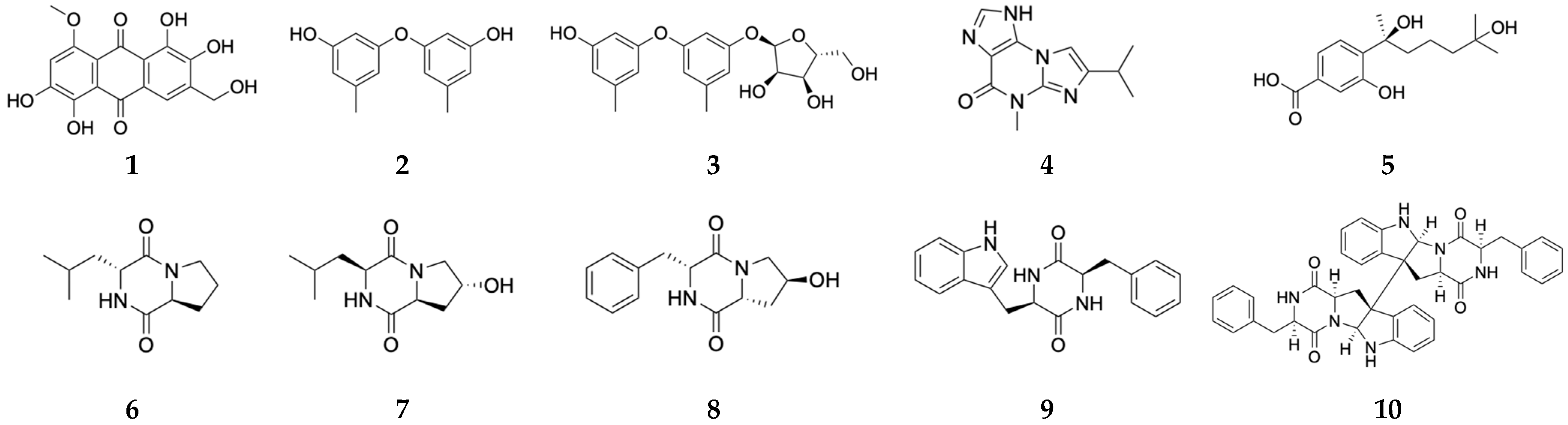
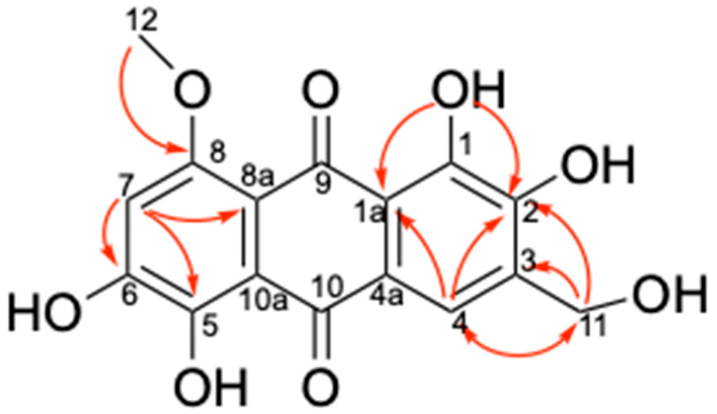
2.3. Isolation and Identification of OE::veA-Derived Secondary Metabolites
2.4. Transcriptomic Analysis
2.5. Biological Activity of SMs
3. Materials and Methods
3.1. Fungal Material and Fermentation
3.2. Construction of Overexpression Mutant
3.3. General Experimental Procedures
3.4. Liquid Chromatography–Mass Spectrometry Analysis
3.5. Extraction and Isolation
3.6. Transcriptomic Analysis
3.7. Bioactivity Assay
4. Conclusions
Supplementary Materials
Author Contributions
Funding
Institutional Review Board Statement
Data Availability Statement
Conflicts of Interest
Abbreviations
| RT-qPCR | real-time quantitative polymerase chain reaction |
| T2PK | type II polyketide |
| GNPS | global natural product social molecular network |
| NRPS | Non-ribosomal peptide synthetase |
| PBSs | phenolic bisabolane sesquiterpenes |
| BGCs | biosynthetic gene clusters |
| PDA | potato dextrose agar medium |
| PDB | potato dextrose broth medium |
| MIC | minimum inhibitory concentration |
| DEG | differential expression gene |
| SMs | secondary metabolites |
| GO | gene ontology |
| OD | optical density |
References
- Song, Z.; Gao, J.; Hu, J.; He, H.; Huang, P.; Zhang, L.; Song, F. One new xanthenone from the marine-derived fungus Aspergillus versicolor MF160003. Nat. Prod. Res. 2020, 34, 2907–2912. [Google Scholar] [CrossRef]
- You, M.; Liao, L.; Hong, S.; Park, W.; Kwon, D.; Lee, J.; Noh, M.; Oh, D.; Oh, K.; Shin, J. Lumazine peptides from the marine-derived fungus Aspergillus terreus. Mar. Drugs 2015, 13, 1290–1303. [Google Scholar] [CrossRef] [PubMed]
- Hwang, J.; Lee, J.; Park, S.; Lee, J.; Oh, D.; Oh, K.; Shin, J. New peptides from the marine-derived fungi Aspergillus allahabadii and Aspergillus ochraceopetaliformis. Mar. Drugs 2019, 17, 488. [Google Scholar] [CrossRef] [PubMed]
- Han, Y.; Zhang, Q.; Xu, W.; Hai, Y.; Chao, R.; Wang, C.; Hou, X.; Wei, M.; Gu, Y.; Wang, C.; et al. Targeted isolation of antitubercular cycloheptapeptides and an unusual pyrroloindoline-containing new analog, asperpyrroindotide A, using LC-MS/MS-based molecular networking. Mar. Life Sci. Technol. 2023, 5, 85–93. [Google Scholar] [CrossRef]
- Andersen, M.; Nielsen, J.; Klitgaard, A.; Petersen, L.; Zachariasen, M.; Hansen, T.; Blicher, L.; Gotfredsen, C.; Larsen, T.; Nielsen, K.; et al. Accurate prediction of secondary metabolite gene clusters in filamentous fungi. Proc. Natl. Acad. Sci. USA 2013, 110, E99–E107. [Google Scholar] [CrossRef]
- Paulus, C.; Rebets, Y.; Tokovenko, B.; Nadmid, S.; Terekhova, L.P.; Myronovskyi, M.; Zotchev, S.B.; Rückert, C.; Braig, S.; Zahler, S.; et al. New natural products identified by combined genomics-metabolomics profiling of marine Streptomyces sp. MP131-18. Sci. Rep. 2017, 7, 42382. [Google Scholar] [CrossRef] [PubMed]
- Bergmann, S.; Schümann, J.; Scherlach, K.; Lange, C.; Brakhage, A.; Hertweck, C. Genomics-driven discovery of PKS-NRPS hybrid metabolites from Aspergillus nidulans. Nat. Chem. Biol. 2007, 3, 213–217. [Google Scholar] [CrossRef] [PubMed]
- Hou, X.; Liu, L.; Xu, D.; Lai, D.; Zhou, L. Involvement of LaeA and Velvet proteins in regulating the production of mycotoxins and other fungal secondary metabolites. J. Fungi 2024, 10, 561. [Google Scholar] [CrossRef]
- Zhang, Y.; Yu, W.; Lu, Y.; Wu, Y.; Ouyang, Z.; Tu, Y.; He, B. Epigenetic regulation of fungal secondary metabolism. J. Fungi 2024, 10, 648. [Google Scholar] [CrossRef]
- Liu, Y.; Tang, Y.; Fu, Z.; Zhu, W.; Wang, H.; Zhang, H. BGC heteroexpression strategy for production of novel microbial secondary metabolites. Metab. Eng. 2025, 91, 1–29. [Google Scholar] [CrossRef]
- Zhao, Y.; Gong, Q.; Zhang, H. Engineering of global transcriptional regulators (GTRs) in Aspergillus for natural product discovery. J. Fungi 2025, 11, 449. [Google Scholar] [CrossRef]
- Bok, J.; Keller, N. LaeA, a regulator of secondary metabolism in Aspergillus spp. Eukaryot. Cell 2004, 3, 527–535. [Google Scholar]
- Kale, S.; Milde, L.; Trpp, M.; Frisvad, J.; Keller, N.; Bok, J. Requirement of LaeA for secondary metabolism and sclerotial production in Aspergillus flavus. Fungal Genet. Biol. 2008, 45, 1422–1429. [Google Scholar] [CrossRef]
- Amaike, S.; Keller, N. Distinct roles for veA and LaeA in development and pathogenesis of Aspergillus flavus. Eukaryot. Cell 2009, 8, 1051–1060. [Google Scholar] [CrossRef] [PubMed]
- Fu, Z.; Gong, X.; Hu, Z.; Wei, B.; Zhang, H. Unveiling biosynthetic potential of an Arctic Marine-derived strain Aspergillus Sydowii MNP-2. BMC Genom. 2024, 25, 603. [Google Scholar] [CrossRef]
- Fu, Z.; Gong, X.; Hu, Z.; Zhao, Y.; Zhang, H. Phenolic bisabolane sesquiterpene derivatives from an Arctic Marine-derived Fungus Aspergillus sydowii MNP-2. Nat. Prod. J. 2024, 14, 10–15. [Google Scholar] [CrossRef]
- Chen, Z.; Debernardi, J.M.; Dubcovsky, J.; Gallavotti, A. Recent advances in crop transformation technologies. Nat. Plants 2022, 8, 1343–1351. [Google Scholar] [CrossRef]
- Dong, Y.H.; Wang, S.T. Agrobacterium tumefaciens-mediated transformation method for Fusarium oxysporum. Methods Mol. Biol. 2022, 2391, 63–73. [Google Scholar] [PubMed]
- Szewczyk, E.; Chiang, Y.M.; Oakley, C.E.; Davidson, A.D.; Wang, C.C.; Oakley, B.R. Identification and characterization of the asperthecin gene cluster of Aspergillus nidulans. Appl. Environ. Microbiol. 2008, 74, 7607–7612. [Google Scholar] [CrossRef]
- Yurchenko, A.N.; Smetanina, O.F.; Kalinovsky, A.I.; Pivkin, M.V.; Dmitrenok, P.S.; Kuznetsova, T.A. A new meroterpenoid from the marine fungus Aspergillus versicolor (Vuill.) Tirab. Russ. Chem. Bull. 2010, 59, 852–856. [Google Scholar] [CrossRef]
- Wang, Y.N.; Mou, Y.H.; Dong, Y.; Wu, Y.; Liu, B.Y.; Bai, J.; Yan, D.J.; Zhang, L.; Feng, D.Q.; Pei, Y.H.; et al. Diphenyl ethers from a marine-derived Aspergillus sydowii. Mar. Drugs 2018, 16, 451. [Google Scholar] [CrossRef]
- Tian, Y.; Qin, X.; Lin, X.; Kaliyaperumal, K.; Zhou, X.; Liu, J.; Ju, Z.; Tu, Z.; Liu, Y. Sydoxanthone C and acremolin B produced by deep-sea-derived fungus Aspergillus sp. SCSIO Ind09F01. J. Antibiot. 2015, 68, 703–706. [Google Scholar] [CrossRef]
- Li, X.D.; Li, X.M.; Yin, X.L.; Li, X.; Wang, B.G. Antimicrobial Sesquiterpenoid Derivatives and Monoterpenoids from the Deep-Sea Sediment-Derived Fungus Aspergillus versicolor SD-330. Mar. Drugs 2019, 17, 563. [Google Scholar] [CrossRef]
- Kim, J.; Hwang, S.J.; Lee, G.S.; Lee, J.R.; An, H.I.; Im, H.S.; Kim, M.; Lee, S.S.; Lee, H.J.; Kim, C.S. Collagenase and Tyrosinase Inhibitory Compounds from Fish Gut Bacteria Ruegeria atlantica and Pseudoalteromonas neustonica. ACS Omega 2024, 9, 34259–34267. [Google Scholar] [CrossRef] [PubMed]
- Lv, J.; Zhou, H.; Dong, L.; Wang, H.; Yang, L.; Yu, H.; Luo, B. Three new furanones from endophytic fungus Hypoxylon vinosopulvinatum DYR-1-7 from Cinnamomum cassia with their antifungal activity. Nat. Prod. Res. 2023, 38, 3165–3172. [Google Scholar] [CrossRef]
- Ding, W.; Li, Y.; Tian, X.; Xiao, Z.; Li, R.; Zhang, S.; Yin, H. Investigation on Metabolites in Structure and Biosynthesis from the Deep-Sea Sediment-Derived Actinomycete Janibacter sp. SCSIO 52865. Molecules 2023, 28, 2133. [Google Scholar] [CrossRef] [PubMed]
- Kimura, Y.; Tani, K.; Kojima, A.; Sotoma, G.; Okada, K.; Shimada, A. Cyclo-(l-tryptophyl-l-phenylalanyl), a plant growth regulator produced by the fungus Penicillium sp. Phytochemistry 1996, 41, 665–669. [Google Scholar] [CrossRef]
- Sedlock, D.M.; Barrow, C.J.; Brownell, J.E.; Hong, A.; Gillum, A.M.; Houck, D.R. WIN-64821, a novel neurokinin antagonist produced by an Aspergillus sp. II. Biological activity. J. Antibiot. 1994, 47, 391–398. [Google Scholar] [CrossRef]
- Sanchez, J.F.; Entwistle, R.; Hung, J.H.; Yaegashi, J.; Jain, S.; Chiang, Y.M.; Wang, C.C.; Oakley, B.R. Genome-based deletion analysis reveals the prenyl xanthone biosynthesis pathway in Aspergillus nidulans. J. Am. Chem. Soc. 2011, 133, 4010–4017. [Google Scholar] [CrossRef]
- Saruwatari, T.; Yagishita, F.; Mino, T.; Noguchi, H.; Hotta, K.; Watanabe, K. Cytochrome P450 as dimerization catalyst in diketopiperazine alkaloid biosynthesis. Chembiochem 2014, 15, 656–659. [Google Scholar] [CrossRef]
- Livak, K.J.; Schmittgen, T.D. Analysis of relative gene expression data using real-time quantitative PCR and the 2(-Delta Delta C(T)) Method. Methods 2001, 25, 402–408. [Google Scholar] [CrossRef] [PubMed]
- Balouiri, M.; Sadiki, M.; Ibnsouda, S.K. Methods for in vitro evaluating antimicrobial activity: A review. J. Pharm. Anal. 2016, 6, 71–79. [Google Scholar] [CrossRef] [PubMed]
- Lan, W.; Cai, J.; Yan, L.; Wu, X.; Zhang, L.; Chen, C.; Liu, Z.; Zhou, X.; Tang, L. Discovery of a hepatoprotective trinor-sesterterpenoid from the marine fungus Talaromyces sp. against hepatic ischemia-reperfusion Injury. Mar. Drugs 2025, 23, 329. [Google Scholar] [CrossRef] [PubMed]







| Name | Sample CT Medium | Control | Control CT Medium | ΔCt | ΔΔCt |
|---|---|---|---|---|---|
| MNP-2 | 29.6012 | β-actin | 21.9699 | 7.63 | / |
| OE::veA | 22.5559 | β-actin | 23.3631 | −0.81 | −8.44 |
| Position | δH (J in Hz) | δC | Position | δH (J in Hz) | δC |
|---|---|---|---|---|---|
| 1 | - | 149.3 | 1a | - | 115.6 |
| 2 | - | 149.4 | 4a | - | 114.9 |
| 3 | - | 134.5 | 8a | - | 108.7 |
| 4 | 7.88 (1H, s) | 117.6 | 10a | - | 121.9 |
| 5 | - | 147.6 | 8-OCH3 | 3.90 (3H, s) | 56.1 |
| 6 | - | 155.5 | 1-OH | 13.97 (1H, brs) | - |
| 7 | 6.99 (1H, s) | 106.3 | 2-OH | 11.28 (1H, brs) | - |
| 8 | - | 157.1 | 5-OH | 13.87 (1H, brs) | - |
| 9 | - | 185.4 | 6-OH | 10.51 (1H, brs) | - |
| 10 | - | 187.2 | 11-OH | 5.37 (1H, brs) | - |
| 11 | 4.58 (2H, s) | 57.6 | 4a | - | 114.9 |
Disclaimer/Publisher’s Note: The statements, opinions and data contained in all publications are solely those of the individual author(s) and contributor(s) and not of MDPI and/or the editor(s). MDPI and/or the editor(s) disclaim responsibility for any injury to people or property resulting from any ideas, methods, instructions or products referred to in the content. |
© 2026 by the authors. Licensee MDPI, Basel, Switzerland. This article is an open access article distributed under the terms and conditions of the Creative Commons Attribution (CC BY) license.
Share and Cite
Gong, Q.; Wang, W.; Zhao, Y.; Wang, X.; Bai, X.; Zhang, H. Chemical Investigation of the Global Regulator veA-Overexpressed Mutant of an Arctic Strain Aspergillus sydowii MNP-2. Mar. Drugs 2026, 24, 34. https://doi.org/10.3390/md24010034
Gong Q, Wang W, Zhao Y, Wang X, Bai X, Zhang H. Chemical Investigation of the Global Regulator veA-Overexpressed Mutant of an Arctic Strain Aspergillus sydowii MNP-2. Marine Drugs. 2026; 24(1):34. https://doi.org/10.3390/md24010034
Chicago/Turabian StyleGong, Qing, Wei Wang, Yujie Zhao, Xiaoying Wang, Xuelian Bai, and Huawei Zhang. 2026. "Chemical Investigation of the Global Regulator veA-Overexpressed Mutant of an Arctic Strain Aspergillus sydowii MNP-2" Marine Drugs 24, no. 1: 34. https://doi.org/10.3390/md24010034
APA StyleGong, Q., Wang, W., Zhao, Y., Wang, X., Bai, X., & Zhang, H. (2026). Chemical Investigation of the Global Regulator veA-Overexpressed Mutant of an Arctic Strain Aspergillus sydowii MNP-2. Marine Drugs, 24(1), 34. https://doi.org/10.3390/md24010034

