From Sea to Science: Coral Aquaculture for Sustainable Anticancer Drug Development
Abstract
1. Introduction
2. Results
2.1. Effects of Different Crude Extracts on the Cell Growth of Leukemia and Prostate Cancer Cells
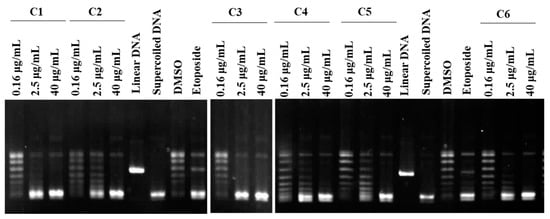
2.2. Effects of the Different Crude Extracts on the Function of Topoisomerase II
2.3. Effects of Different Crude Extracts on HDAC Activity
2.4. Effects of Different Crude Extracts on the Activity of tubulin Polymerization
2.5. Effect of C5 Extract (LCE) on Cell Growth, Colony Formation, and Apoptosis in Prostate Cancer Cells
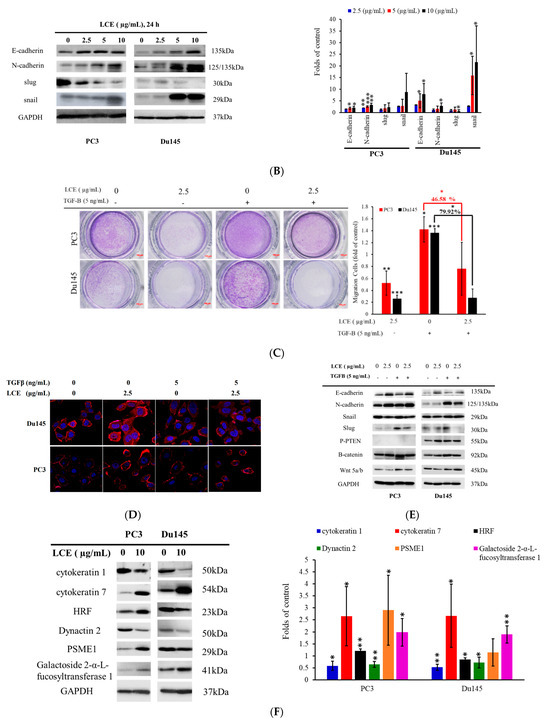
2.6. Effect of LCE on Cancer Cellular Invasion Induced with TGFβ
2.7. Effect of LCE on Gene Profiling
2.8. 13-Acetoxysarcocrassolide
2.9. Effect of LCE on Tumor Growth in Xenograft Human PC3 and Du145 Model
3. Discussion
4. Materials and Methods
4.1. Cell Lines, Chemicals, and Biological Materials
4.2. Preparation of Coral Extracts
4.3. In Vitro Proliferation Assay
4.4. Western Blotting Assay
4.5. Network Pharmacology with RNASeq Analysis
4.6. Activities of HDAC, Topoisomerase II, and Tubulin Polymerization in Cell-Free System
4.6.1. Assay of HDAC Activity in Cell-Free System
4.6.2. Assay of Topoisomerase II Activity in Cell-Free System
4.6.3. Assay of Tubulin Polymerization in Cell-Free System
4.7. Two-Dimensional Electrophoresis
4.8. Plasmid and siRNA Transfection
4.9. Immunostaining Confocal Examination
4.10. Molecular Docking and Interaction Analysis
4.11. Antitumor Examination of LCE with Xenograft Human Prostate Cancers
4.12. Statistical Analysis
5. Conclusions
Author Contributions
Funding
Institutional Review Board Statement
Data Availability Statement
Acknowledgments
Conflicts of Interest
References
- Jimenez, P.C.; Wilke, D.V.; Branco, P.C.; Bauermeister, A.; Rezende-Teixeira, P.; Gaudencio, S.P.; Costa-Lotufo, L.V. Enriching cancer pharmacology with drugs of marine origin. Br. J. Pharmacol. 2020, 177, 3–27. [Google Scholar] [CrossRef]
- Chao, C.H.; Wen, Z.H.; Wu, Y.C.; Yeh, H.C.; Sheu, J.H. Cytotoxic and anti-inflammatory cembranoids from the soft coral Lobophytum crassum. J. Nat. Prod. 2008, 71, 1819–1824. [Google Scholar] [CrossRef]
- Hong, J.Y.; Boo, H.J.; Kang, J.I.; Kim, M.K.; Yoo, E.S.; Hyun, J.W.; Koh, Y.S.; Kim, G.Y.; Maeng, Y.H.; Hyun, C.L.; et al. (1S,2S,3E,7E,11E)-3,7,11,15-Cembratetraen-17,2-olide, a cembrenolide diterpene from soft coral Lobophytum sp. inhibits growth and induces apoptosis in human colon cancer cells through reactive oxygen species generation. Biol. Pharm. Bull. 2012, 35, 1054–1063. [Google Scholar] [CrossRef] [PubMed]
- Kulbicki, M.; Parravicini, V.; Bellwood, D.R.; Arias-Gonzalez, E.; Chabanet, P.; Floeter, S.R.; Friedlander, A.; McPherson, J.; Myers, R.E.; Vigliola, L.; et al. Global biogeography of reef fishes: A hierarchical quantitative delineation of regions. PLoS ONE 2013, 8, e81847. [Google Scholar] [CrossRef] [PubMed]
- Liang, X.; Wu, Q.; Luan, S.; Yin, Z.; He, C.; Yin, L.; Zou, Y.; Yuan, Z.; Li, L.; Song, X.; et al. A comprehensive review of topoisomerase inhibitors as anticancer agents in the past decade. Eur. J. Med. Chem. 2019, 171, 129–168. [Google Scholar] [CrossRef]
- Swedan, H.K.; Kassab, A.E.; Gedawy, E.M.; Elmeligie, S.E. Topoisomerase II inhibitors design: Early studies and new perspectives. Bioorg. Chem. 2023, 136, 106548. [Google Scholar] [CrossRef] [PubMed]
- Di Micco, S.; Masullo, M.; Bandak, A.F.; Berger, J.M.; Riccio, R.; Piacente, S.; Bifulco, G. Garcinol and Related Polyisoprenylated Benzophenones as Topoisomerase II Inhibitors: Biochemical and Molecular Modeling Studies. J. Nat. Prod. 2019, 82, 2768–2779. [Google Scholar] [CrossRef]
- Zidar, N.; Secci, D.; Tomasic, T.; Masic, L.P.; Kikelj, D.; Passarella, D.; Argaez, A.N.G.; Hyeraci, M.; Dalla Via, L. Synthesis, Antiproliferative Effect, and Topoisomerase II Inhibitory Activity of 3-Methyl-2-phenyl-1H-indoles. ACS Med. Chem. Lett. 2020, 11, 691–697. [Google Scholar] [CrossRef]
- Jeon, K.H.; Park, S.; Shin, J.H.; Jung, A.R.; Hwang, S.Y.; Seo, S.H.; Jo, H.; Na, Y.; Kwon, Y. Synthesis and evaluation of 7-(3-aminopropyloxy)-substituted flavone analogue as a topoisomerase IIalpha catalytic inhibitor and its sensitizing effect to enzalutamide in castration-resistant prostate cancer cells. Eur. J. Med. Chem. 2023, 246, 114999. [Google Scholar] [CrossRef]
- Alsherbiny, M.A.; Bhuyan, D.J.; Low, M.N.; Chang, D.; Li, C.G. Synergistic Interactions of Cannabidiol with Chemotherapeutic Drugs in MCF7 Cells: Mode of Interaction and Proteomics Analysis of Mechanisms. Int. J. Mol. Sci. 2021, 22, 10103. [Google Scholar] [CrossRef]
- Luan, S.; Gao, Y.; Liang, X.; Zhang, L.; Yin, L.; He, C.; Liu, S.; Yin, Z.; Yue, G.; Zou, Y.; et al. Synthesis and structure-activity relationship of lipo-diterpenoid alkaloids with potential target of topoisomerase IIalpha for breast cancer treatment. Bioorg. Chem. 2021, 109, 104699. [Google Scholar] [CrossRef] [PubMed]
- Emam, S.H.; Hassan, R.A.; Osman, E.O.; Hamed, M.I.A.; Abdou, A.M.; Kandil, M.M.; Elbaz, E.M.; Mikhail, D.S. Coumarin derivatives with potential anticancer and antibacterial activity: Design, synthesis, VEGFR-2 and DNA gyrase inhibition, and in silico studies. Drug Dev. Res. 2023, 84, 433–457. [Google Scholar] [CrossRef] [PubMed]
- Zala, A.R.; Rajani, D.P.; Kumari, P. Synthesis, molecular docking, ADME study, and antimicrobial potency of piperazine based cinnamic acid bearing coumarin moieties as a DNA gyrase inhibitor. J. Biochem. Mol. Toxicol. 2023, 37, e23231. [Google Scholar] [CrossRef] [PubMed]
- Chin, H.K.; Lu, M.C.; Hsu, K.C.; El-Shazly, M.; Tsai, T.N.; Lin, T.Y.; Shih, S.P.; Lin, T.E.; Wen, Z.H.; Yang, Y.S.H.; et al. Exploration of anti-leukemic effect of soft coral-derived 13-acetoxysarcocrassolide: Induction of apoptosis via oxidative stress as a potent inhibitor of heat shock protein 90 and topoisomerase II. Kaohsiung J. Med. Sci. 2023, 39, 718–731. [Google Scholar] [CrossRef] [PubMed]
- Shih, S.P.; Lee, M.G.; El-Shazly, M.; Juan, Y.S.; Wen, Z.H.; Du, Y.C.; Su, J.H.; Sung, P.J.; Chen, Y.C.; Yang, J.C.; et al. Tackling the Cytotoxic Effect of a Marine Polycyclic Quinone-Type Metabolite: Halenaquinone Induces Molt 4 Cells Apoptosis via Oxidative Stress Combined with the Inhibition of HDAC and Topoisomerase Activities. Mar. Drugs 2015, 13, 3132–3153. [Google Scholar] [CrossRef] [PubMed]
- Wang, K.C.; Lu, M.C.; Hsu, K.C.; El-Shazly, M.; Shih, S.P.; Lien, S.T.; Kuo, F.W.; Yang, S.C.; Chen, C.L.; Yang, Y.S.H. The Antileukemic Effect of Xestoquinone, A Marine-Derived Polycyclic Quinone-Type Metabolite, Is Mediated through ROS-Induced Inhibition of HSP-90. Molecules 2021, 26, 7037. [Google Scholar] [CrossRef] [PubMed]
- Lee, M.G.; Liu, Y.C.; Lee, Y.L.; El-Shazly, M.; Lai, K.H.; Shih, S.P.; Ke, S.C.; Hong, M.C.; Du, Y.C.; Yang, J.C.; et al. Heteronemin, a Marine Sesterterpenoid-Type Metabolite, Induces Apoptosis in Prostate LNcap Cells via Oxidative and ER Stress Combined with the Inhibition of Topoisomerase II and Hsp90. Mar. Drugs 2018, 16, 204. [Google Scholar] [CrossRef]
- Lai, K.H.; Liu, Y.C.; Su, J.H.; El-Shazly, M.; Wu, C.F.; Du, Y.C.; Hsu, Y.M.; Yang, J.C.; Weng, M.K.; Chou, C.H.; et al. Antileukemic Scalarane Sesterterpenoids and Meroditerpenoid from Carteriospongia (Phyllospongia) sp. Induce Apoptosis via Dual Inhibitory Effects on Topoisomerase II and Hsp90. Sci. Rep. 2016, 6, 36170. [Google Scholar] [CrossRef]
- Peerzada, M.N.; Dar, M.S.; Verma, S. Development of tubulin polymerization inhibitors as anticancer agents. Expert. Opin. Ther. Pat. 2023, 33, 797–820. [Google Scholar] [CrossRef]
- Naaz, F.; Haider, M.R.; Shafi, S.; Yar, M.S. Anti-tubulin agents of natural origin: Targeting taxol, vinca, and colchicine binding domains. Eur. J. Med. Chem. 2019, 171, 310–331. [Google Scholar] [CrossRef]
- Bass, A.K.A.; El-Zoghbi, M.S.; Nageeb, E.M.; Mohamed, M.F.A.; Badr, M.; Abuo-Rahma, G.E.A. Comprehensive review for anticancer hybridized multitargeting HDAC inhibitors. Eur. J. Med. Chem. 2021, 209, 112904. [Google Scholar] [CrossRef] [PubMed]
- Ribatti, D.; Tamma, R.; Annese, T. Epithelial-Mesenchymal Transition in Cancer: A Historical Overview. Transl. Oncol. 2020, 13, 100773. [Google Scholar] [CrossRef] [PubMed]
- Kalluri, R.; Weinberg, R.A. The basics of epithelial-mesenchymal transition. J. Clin. Invest. 2009, 119, 1420–1428. [Google Scholar] [CrossRef] [PubMed]
- Lambert, A.W.; Pattabiraman, D.R.; Weinberg, R.A. Emerging Biological Principles of Metastasis. Cell 2017, 168, 670–691. [Google Scholar] [CrossRef]
- Mehlen, P.; Puisieux, A. Metastasis: A question of life or death. Nat. Rev. Cancer 2006, 6, 449–458. [Google Scholar] [CrossRef] [PubMed]
- Sharma, N.K.; Bahot, A.; Sekar, G.; Bansode, M.; Khunteta, K.; Sonar, P.V.; Hebale, A.; Salokhe, V.; Sinha, B.K. Understanding Cancer’s Defense against Topoisomerase-Active Drugs: A Comprehensive Review. Cancers 2024, 16, 680. [Google Scholar] [CrossRef] [PubMed]
- Das Mukherjee, D.; Kumar, N.M.; Tantak, M.P.; Datta, S.; Ghosh Dastidar, D.; Kumar, D.; Chakrabarti, G. NMK-BH2, a novel microtubule-depolymerising bis (indolyl)-hydrazide-hydrazone, induces apoptotic and autophagic cell death in cervical cancer cells by binding to tubulin at colchicine - site. Biochim. Biophys. Acta Mol. Cell Res. 2020, 1867, 118762. [Google Scholar] [CrossRef] [PubMed]
- Zhang, K.; Bangma, C.H.; Roobol, M.J. Prostate cancer screening in Europe and Asia. Asian J. Urol. 2017, 4, 86–95. [Google Scholar] [CrossRef] [PubMed]
- Liu, L.; Feng, Y.; Xiang, X.; Xu, M.; Tang, G. Biological effect of ETV4 and the underlying mechanism of its regulatory effect on epithelial-mesenchymal transition in intrahepatic cholangiocarcinoma cells. Oncol. Lett. 2024, 28, 346. [Google Scholar] [CrossRef]
- Serrano-Gomez, S.J.; Maziveyi, M.; Alahari, S.K. Regulation of epithelial-mesenchymal transition through epigenetic and post-translational modifications. Mol. Cancer 2016, 15, 18. [Google Scholar] [CrossRef]
- Kim, B.N.; Ahn, D.H.; Kang, N.; Yeo, C.D.; Kim, Y.K.; Lee, K.Y.; Kim, T.J.; Lee, S.H.; Park, M.S.; Yim, H.W.; et al. TGF-beta induced EMT and stemness characteristics are associated with epigenetic regulation in lung cancer. Sci. Rep. 2020, 10, 10597. [Google Scholar] [CrossRef]
- Chen, Q.; Gu, M.; Cai, Z.K.; Zhao, H.; Sun, S.C.; Liu, C.; Zhan, M.; Chen, Y.B.; Wang, Z. TGF-beta1 promotes epithelial-to-mesenchymal transition and stemness of prostate cancer cells by inducing PCBP1 degradation and alternative splicing of CD44. Cell Mol. Life Sci. 2021, 78, 949–962. [Google Scholar] [CrossRef]
- Roy, S.; Mukhopadhyay, A. A randomized optimal k-mer indexing approach for efficient parallel genome sequence compression. Gene 2024, 907, 148235. [Google Scholar] [CrossRef]
- Peng, B.R.; Lu, M.C.; El-Shazly, M.; Wu, S.L.; Lai, K.H.; Su, J.H. Aquaculture Soft Coral Lobophytum crassum as a Producer of Anti-Proliferative Cembranoids. Mar. Drugs 2018, 16, 15. [Google Scholar] [CrossRef] [PubMed]
- Daina, A.; Michielin, O.; Zoete, V. SwissADME: A free web tool to evaluate pharmacokinetics, drug-likeness and medicinal chemistry friendliness of small molecules. Sci. Rep. 2017, 7, 42717. [Google Scholar] [CrossRef] [PubMed]
- Daina, A.; Zoete, V. A BOILED-Egg To Predict Gastrointestinal Absorption and Brain Penetration of Small Molecules. ChemMedChem 2016, 11, 1117–1121. [Google Scholar] [CrossRef] [PubMed]
- Teague, S.J.; Davis, A.M.; Leeson, P.D.; Oprea, T. The Design of Leadlike Combinatorial Libraries. Angew. Chem. Int. Ed. Engl. 1999, 38, 3743–3748. [Google Scholar] [CrossRef]
- van Waterschoot, R.A.; Schinkel, A.H. A critical analysis of the interplay between cytochrome P450 3A and P-glycoprotein: Recent insights from knockout and transgenic mice. Pharmacol. Rev. 2011, 63, 390–410. [Google Scholar] [CrossRef]
- Mrozik, K.M.; Blaschuk, O.W.; Cheong, C.M.; Zannettino, A.C.W.; Vandyke, K. N-cadherin in cancer metastasis, its emerging role in haematological malignancies and potential as a therapeutic target in cancer. BMC Cancer 2018, 18, 939. [Google Scholar] [CrossRef]
- Zhu, G.J.; Song, P.P.; Zhou, H.; Shen, X.H.; Wang, J.G.; Ma, X.F.; Gu, Y.J.; Liu, D.D.; Feng, A.N.; Qian, X.Y.; et al. Role of epithelial-mesenchymal transition markers E-cadherin, N-cadherin, beta-catenin and ZEB2 in laryngeal squamous cell carcinoma. Oncol. Lett. 2018, 15, 3472–3481. [Google Scholar]
- Seyfried, T.N.; Huysentruyt, L.C. On the origin of cancer metastasis. Crit. Rev. Oncog. 2013, 18, 43–73. [Google Scholar] [CrossRef] [PubMed]
- Naderi, R.; Gholizadeh-Ghaleh Aziz, S.; Haghigi-Asl, A.S. Evaluating the effect of Alantolactone on the expression of N-cadherin and Vimentin genes effective in epithelial-mesenchymal transition (EMT) in breast cancer cell line (MDA-MB-231). Ann. Med. Surg. 2022, 73, 103240. [Google Scholar] [CrossRef] [PubMed]
- Sisto, M.; Ribatti, D.; Lisi, S. E-Cadherin Signaling in Salivary Gland Development and Autoimmunity. J. Clin. Med. 2022, 11, 2241. [Google Scholar] [CrossRef] [PubMed]
- Debnath, P.; Huirem, R.S.; Bhowmick, A.; Ghosh, A.; Ghosh, D.; Dutta, P.; Maity, D.; Palchaudhuri, S. Epithelial mesenchymal transition induced nuclear localization of the extracellular matrix protein Fibronectin. Biochimie 2024, 219, 142–145. [Google Scholar] [CrossRef] [PubMed]
- Salmena, L.; Carracedo, A.; Pandolfi, P.P. Tenets of PTEN tumor suppression. Cell 2008, 133, 403–414. [Google Scholar] [CrossRef]
- Dubrovska, A.; Kim, S.; Salamone, R.J.; Walker, J.R.; Maira, S.M.; Garcia-Echeverria, C.; Schultz, P.G.; Reddy, V.A. The role of PTEN/Akt/PI3K signaling in the maintenance and viability of prostate cancer stem-like cell populations. Proc. Natl. Acad. Sci. USA 2009, 106, 268–273. [Google Scholar] [CrossRef]
- Cao, C.; Subhawong, T.; Albert, J.M.; Kim, K.W.; Geng, L.; Sekhar, K.R.; Gi, Y.J.; Lu, B. Inhibition of mammalian target of rapamycin or apoptotic pathway induces autophagy and radiosensitizes PTEN null prostate cancer cells. Cancer Res. 2006, 66, 10040–10047. [Google Scholar] [CrossRef] [PubMed]
- Walker, L.; Millena, A.C.; Strong, N.; Khan, S.A. Expression of TGFbeta3 and its effects on migratory and invasive behavior of prostate cancer cells: Involvement of PI3-kinase/AKT signaling pathway. Clin. Exp. Metastasis 2013, 30, 13–23. [Google Scholar] [CrossRef] [PubMed]
- Chu, P.G.; Weiss, L.M. Keratin expression in human tissues and neoplasms. Histopathology 2002, 40, 403–439. [Google Scholar] [CrossRef]
- Hendrix, M.J.; Seftor, E.A.; Seftor, R.E.; Trevor, K.T. Experimental co-expression of vimentin and keratin intermediate filaments in human breast cancer cells results in phenotypic interconversion and increased invasive behavior. Am. J. Pathol. 1997, 150, 483–495. [Google Scholar]
- Aubert, M.; Panicot, L.; Crotte, C.; Gibier, P.; Lombardo, D.; Sadoulet, M.O.; Mas, E. Restoration of alpha(1,2) fucosyltransferase activity decreases adhesive and metastatic properties of human pancreatic cancer cells. Cancer Res. 2000, 60, 1449–1456. [Google Scholar]
- Echeverri, C.J.; Paschal, B.M.; Vaughan, K.T.; Vallee, R.B. Molecular characterization of the 50-kD subunit of dynactin reveals function for the complex in chromosome alignment and spindle organization during mitosis. J. Cell Biol. 1996, 132, 617–633. [Google Scholar] [CrossRef]
- Korbecki, J.; Bosiacki, M.; Barczak, K.; Lagocka, R.; Chlubek, D.; Baranowska-Bosiacka, I. The Clinical Significance and Role of CXCL1 Chemokine in Gastrointestinal Cancers. Cells 2023, 12, 1406. [Google Scholar] [CrossRef]
- Kaneko, T.; Zhang, Z.; Mantellini, M.G.; Karl, E.; Zeitlin, B.; Verhaegen, M.; Soengas, M.S.; Lingen, M.; Strieter, R.M.; Nunez, G.; et al. Bcl-2 orchestrates a cross-talk between endothelial and tumor cells that promotes tumor growth. Cancer Res. 2007, 67, 9685–9693. [Google Scholar] [CrossRef]
- Ancrile, B.B.; O’Hayer, K.M.; Counter, C.M. Oncogenic ras-induced expression of cytokines: A new target of anti-cancer therapeutics. Mol. Interv. 2008, 8, 22–27. [Google Scholar] [CrossRef] [PubMed]
- Deng, Y.I.; Verron, E.; Rohanizadeh, R. Molecular Mechanisms of Anti-metastatic Activity of Curcumin. Anticancer Res. 2016, 36, 5639–5647. [Google Scholar] [CrossRef]
- Chiang, S.K.; Chen, S.E.; Chang, L.C. A Dual Role of Heme Oxygenase-1 in Cancer Cells. Int. J. Mol. Sci. 2018, 20, 39. [Google Scholar] [CrossRef]
- Gueron, G.; De Siervi, A.; Ferrando, M.; Salierno, M.; De Luca, P.; Elguero, B.; Meiss, R.; Navone, N.; Vazquez, E.S. Critical role of endogenous heme oxygenase 1 as a tuner of the invasive potential of prostate cancer cells. Mol. Cancer Res. 2009, 7, 1745–1755. [Google Scholar] [CrossRef] [PubMed]
- Alaoui-Jamali, M.A.; Bismar, T.A.; Gupta, A.; Szarek, W.A.; Su, J.; Song, W.; Xu, Y.; Xu, B.; Liu, G.; Vlahakis, J.Z.; et al. A novel experimental heme oxygenase-1-targeted therapy for hormone-refractory prostate cancer. Cancer Res 2009, 69, 8017–8024. [Google Scholar] [CrossRef] [PubMed]
- Li, Y.; Su, J.; DingZhang, X.; Zhang, J.; Yoshimoto, M.; Liu, S.; Bijian, K.; Gupta, A.; Squire, J.A.; Alaoui Jamali, M.A.; et al. PTEN deletion and heme oxygenase-1 overexpression cooperate in prostate cancer progression and are associated with adverse clinical outcome. J. Pathol. 2011, 224, 90–100. [Google Scholar] [CrossRef]
- Wu, Q.; Ma, X.; Jin, Z.; Ni, R.; Pan, Y.; Yang, G. Zhuidu Formula suppresses the migratory and invasive properties of triple-negative breast cancer cells via dual signaling pathways of RhoA/ROCK and CDC42/MRCK. J. Ethnopharmacol. 2023, 315, 116644. [Google Scholar] [CrossRef] [PubMed]
- Fife, C.M.; Sagnella, S.M.; Teo, W.S.; Po’uha, S.T.; Byrne, F.L.; Yeap, Y.Y.; Ng, D.C.; Davis, T.P.; McCarroll, J.A.; Kavallaris, M. Stathmin mediates neuroblastoma metastasis in a tubulin-independent manner via RhoA/ROCK signaling and enhanced transendothelial migration. Oncogene 2017, 36, 501–511. [Google Scholar] [CrossRef] [PubMed]
- Abel, A.C.; Muhlethaler, T.; Dessin, C.; Schachtsiek, T.; Sammet, B.; Sharpe, T.; Steinmetz, M.O.; Sewald, N.; Prota, A.E. Bridging the maytansine and vinca sites: Cryptophycins target beta-tubulin’s T5-loop. J. Biol. Chem. 2024, 300, 107363. [Google Scholar] [CrossRef] [PubMed]
- Kita, K.; Burdowski, A. Recent clinical trials and optical control as a potential strategy to develop microtubule-targeting drugs in colorectal cancer management. World J. Gastroenterol. 2024, 30, 1780–1790. [Google Scholar] [CrossRef] [PubMed]
- Chen, S.; Zhou, Y.; Chen, Y.; Gu, J. fastp: An ultra-fast all-in-one FASTQ preprocessor. Bioinformatics 2018, 34, i884–i890. [Google Scholar] [CrossRef] [PubMed]
- Kopylova, E.; Noe, L.; Touzet, H. SortMeRNA: Fast and accurate filtering of ribosomal RNAs in metatranscriptomic data. Bioinformatics 2012, 28, 3211–3217. [Google Scholar] [CrossRef] [PubMed]
- Kim, D.; Paggi, J.M.; Park, C.; Bennett, C.; Salzberg, S.L. Graph-based genome alignment and genotyping with HISAT2 and HISAT-genotype. Nat. Biotechnol. 2019, 37, 907–915. [Google Scholar] [CrossRef] [PubMed]
- Liao, Y.; Smyth, G.K.; Shi, W. featureCounts: An efficient general purpose program for assigning sequence reads to genomic features. Bioinformatics 2014, 30, 923–930. [Google Scholar] [CrossRef] [PubMed]
- Jost, W.H. ‘Similar to’ is not ‘identical with’, and ‘identical with’ is not ‘the same as’. Drugs R D 2015, 15, 11–12. [Google Scholar] [CrossRef][Green Version]
- Friesner, R.A.; Murphy, R.B.; Repasky, M.P.; Frye, L.L.; Greenwood, J.R.; Halgren, T.A.; Sanschagrin, P.C.; Mainz, D.T. Extra precision glide: Docking and scoring incorporating a model of hydrophobic enclosure for protein-ligand complexes. J. Med. Chem. 2006, 49, 6177–6196. [Google Scholar] [CrossRef]
- Bouysset, C.; Fiorucci, S. ProLIF: A library to encode molecular interactions as fingerprints. J. Cheminform. 2021, 13, 72. [Google Scholar] [CrossRef] [PubMed]










| IC50 (μg/ mL), 72 h | ||||
|---|---|---|---|---|
| Leukemia Cell | Prostate Cancer | |||
| Crude Extracts | Molt 4 | K562 | Du145 | LNCaP |
| C1 | 4.11 ± 0.99 | 4.58 ± 0.15 | 12.39 ± 2.11 | 17.37 ± 3.86 |
| C2 | <0.16 | 0.33 ± 0.05 | 14.66 ± 0.79 | 15.49 ± 4.56 |
| C3 | 1.87 ± 0.36 | 6.11 ± 2.28 | 11.44 ± 4.26 | 36.18 ± 0.69 |
| C4 | 0.66 ± 0.084 | 2.65 ± 0.44 | 36.9 ± 2.8 | 37.88 ± 0.21 |
| C5 | 1.5 ± 0.7 | 2.29 ± 0.17 | 4.96± 0.04 | 2.76 ± 0.34 |
| C6 | 1.57 ± 0.57 | 2.27 ± 0.12 | 5.88 ± 0.48 | 9.17 ± 0.07 |
| Prostate Cencer | Fibroblast | |||
|---|---|---|---|---|
| LNcap | PC-3 | Du145 | CCD966SK | |
| 24 h | 5.70 ± 1.37 | 4.14 ± 0.48 | 5.27 ± 2.19 | >20 |
| 72 h | 2.76 ± 0.34 | 1.92 ± 0.09 | 4.96 ± 0.04 | 8.21 ± 1.14 |
| Du145 | PC3 | |||
|---|---|---|---|---|
| Protein | DMSO | LCE | DMSO | LCE |
| Keratin, type II cytoskeletal 7 | 0.06 | 0.30 | 0.53 | 1.92 |
| Dynactin subunit 2 isoform 1 | 1.76 | 1.37 | 0.53 | 0.34 |
| Keratin 1 | 0.61 | 0.18 | 1.78 | 1.44 |
| Proteasome activator complex subunit 1 isoform 1 | 1.82 | 1.14 | 0.60 | 0.44 |
| Galactoside α-(1,2)-fucosyltransferase 1 | 0.10 | 0.66 | 1.21 | 2.03 |
| Translationally-controlled 1 | 0.62 | 0.49 | 1.85 | 1.04 |
| PC3 (LCE/DMSO) | Du145 (LCE/DMSO) | ||||
|---|---|---|---|---|---|
| Symbol | Log2 Fold Change | padj | Symbol | Log2 Fold Change | padj |
| HMOX1 | 5.56 | 0 | HMOX1 | 7.46 | 0 |
| CXCL1 | −5.35 | 0 | HSPA1A | 5.58 | 0 |
| DDIT3 | 5.46 | 0 | HSPA1B | 5.50 | 0 |
| HSPA1A | 5.10 | 0 | HSPA6 | 6.53 | 0 |
| ATF3 | 5.41 | 0 | CXCL1 | −4.30 | 0 |
| ULBP1 | 5.52 | 0 | DUSP1 | 4.04 | 0 |
| HSPA1B | 4.34 | 0 | BAG3 | 3.79 | 0 |
| OSGIN1 | 5.34 | 0 | DNAJB4 | 3.76 | 0 |
| SESN0 | 4.69 | 0 | DNAJB1 | 3.54 | 0 |
| CHAC1 | 5.7 | 0 | TXNIP | −3.79 | 0 |
| MW | Water Solubility | GIA | BBB | Log Kp | Bioavailability Score | PAINS#alerts | Synthetic Accessibility | |
|---|---|---|---|---|---|---|---|---|
| Vinblastine | 810.97 | Poorly | Low | No | −8.49 | 0.17 | 0 | 9.65 |
| 13-AC | 374.47 | Soluble | High | Yes | −6.39 | 0.55 | 0 | 5.66 |
Disclaimer/Publisher’s Note: The statements, opinions and data contained in all publications are solely those of the individual author(s) and contributor(s) and not of MDPI and/or the editor(s). MDPI and/or the editor(s) disclaim responsibility for any injury to people or property resulting from any ideas, methods, instructions or products referred to in the content. |
© 2024 by the authors. Licensee MDPI, Basel, Switzerland. This article is an open access article distributed under the terms and conditions of the Creative Commons Attribution (CC BY) license (https://creativecommons.org/licenses/by/4.0/).
Share and Cite
Lin, H.-Y.; Tsai, T.-N.; Hsu, K.-C.; Hsu, Y.-M.; Chiang, L.-C.; El-Shazly, M.; Chang, K.-M.; Lin, Y.-H.; Tu, S.-Y.; Lin, T.E.; et al. From Sea to Science: Coral Aquaculture for Sustainable Anticancer Drug Development. Mar. Drugs 2024, 22, 323. https://doi.org/10.3390/md22070323
Lin H-Y, Tsai T-N, Hsu K-C, Hsu Y-M, Chiang L-C, El-Shazly M, Chang K-M, Lin Y-H, Tu S-Y, Lin TE, et al. From Sea to Science: Coral Aquaculture for Sustainable Anticancer Drug Development. Marine Drugs. 2024; 22(7):323. https://doi.org/10.3390/md22070323
Chicago/Turabian StyleLin, Hung-Yu, Tsen-Ni Tsai, Kai-Cheng Hsu, Yu-Ming Hsu, Lin-Chien Chiang, Mohamed El-Shazly, Ken-Ming Chang, Yu-Hsuan Lin, Shang-Yi Tu, Tony Eight Lin, and et al. 2024. "From Sea to Science: Coral Aquaculture for Sustainable Anticancer Drug Development" Marine Drugs 22, no. 7: 323. https://doi.org/10.3390/md22070323
APA StyleLin, H.-Y., Tsai, T.-N., Hsu, K.-C., Hsu, Y.-M., Chiang, L.-C., El-Shazly, M., Chang, K.-M., Lin, Y.-H., Tu, S.-Y., Lin, T. E., Du, Y.-C., Liu, Y.-C., & Lu, M.-C. (2024). From Sea to Science: Coral Aquaculture for Sustainable Anticancer Drug Development. Marine Drugs, 22(7), 323. https://doi.org/10.3390/md22070323

