Purification and Properties of a Plasmin-like Marine Protease from Clamworm (Perinereis aibuhitensis)
Abstract
1. Introduction
2. Results
2.1. Isolation and Purification of FELP with Activity Monitoring
2.2. SDS-PAGE
2.3. Biochemical Properties of the Purified Fibrinolytic Enzyme
2.3.1. Effect of Inhibitors
2.3.2. Effect of Temperature and Thermal Stability of FELP
2.3.3. Effect of pH and Stability of FELP
2.4. Analysis of Amino Acid Residue Sequences of FELP
2.5. Fibrinolytic Activity
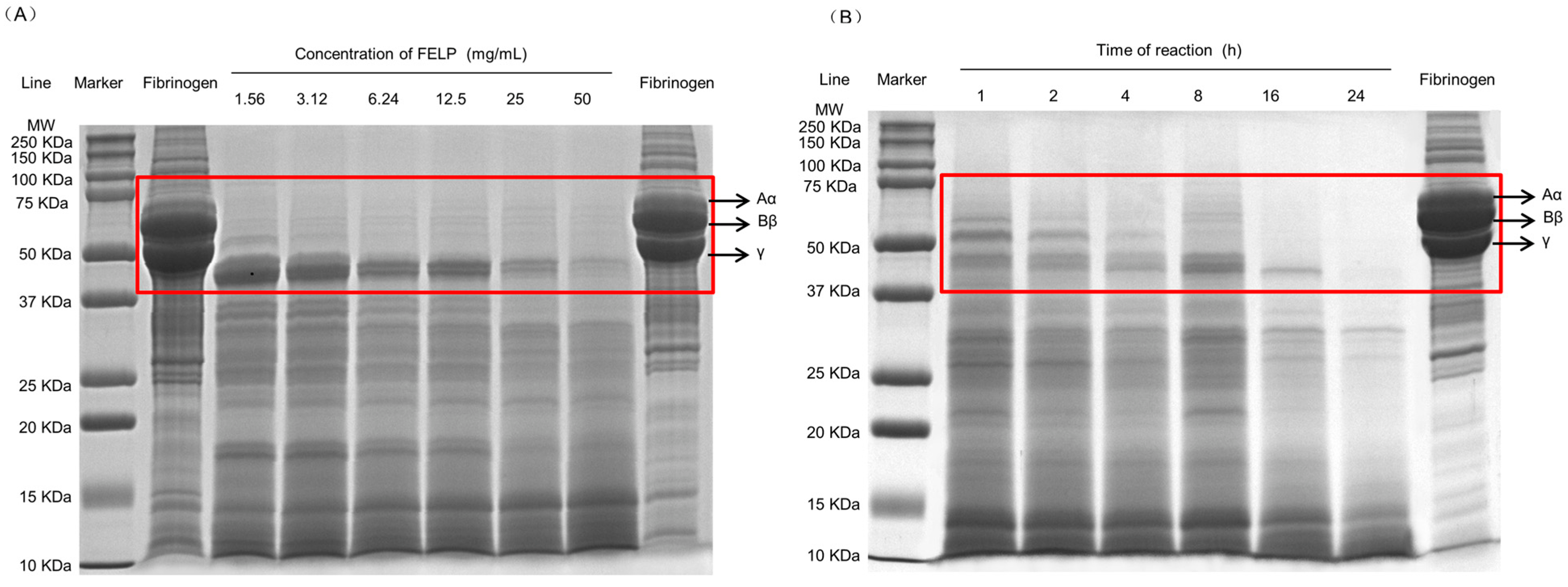
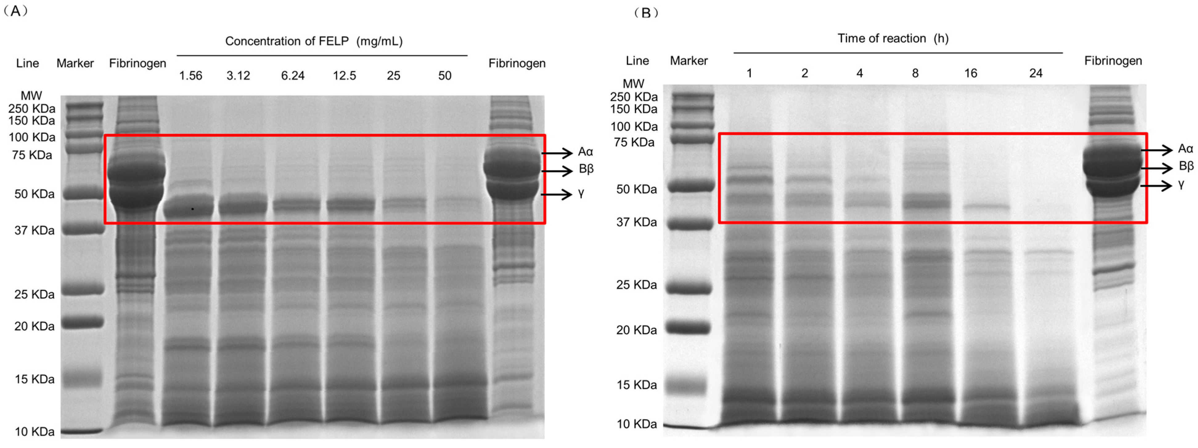
2.6. Degradation of Fibrinogen In Vitro
3. Discussion
4. Materials and Methods
4.1. Chemicals and Reagents
4.2. Preparation of Crude Extracts of FELP from P. aibuhitensis
4.3. The Fibrin-Plate Method
4.4. Protein Concentration
4.5. Enzyme Purification
4.6. SDS-PAGE
4.7. Analysis of FELP from P. aibuhitensis
4.8. Effect of Protease Inhibitors on Fibrinolytic Activity
4.9. Effect of Temperature on Fibrinolytic Activity and Thermal Stability
4.10. Effect of pH on Fibrinolytic Activity and pH Stability of FELP
4.11. Degradation of Fibrinogen In Vitro
4.11.1. Dose-Effect Evaluation
4.11.2. Time-Effect Evaluation
4.12. Statistic Analysis
5. Conclusions
Author Contributions
Funding
Institutional Review Board Statement
Data Availability Statement
Acknowledgments
Conflicts of Interest
References
- Figueiredo Sena Macedo, M.W.; da Cunha, N.B.; Carneiro, J.A.; da Costa, R.A.; de Alencar, S.A.; Cardoso, M.H.; Franco, O.L.; Dias, S.C. Marine Organisms as a Rich Source of Biologically Active Peptides. Front. Mar. Sci. 2021, 8, 667764. [Google Scholar] [CrossRef]
- Karthikeyan, A.; Joseph, A.; Nair, B.G. Promising bioactive compounds from the marine environment and their potential effects on various diseases. J. Genet. Eng. Biotechnol. 2022, 20, 14. [Google Scholar] [CrossRef]
- Peters, M.K.; Astafyeva, Y.; Han, Y.; Macdonald, J.F.H.; Indenbirken, D.; Nakel, J.; Virdi, S.; Westhoff, G.; Streit, W.R.; Krohn, I. Novel marine metalloprotease-new approaches for inhibition of biofilm formation of Stenotrophomonas maltophilia. Appl. Microbiol. Biotechnol. 2023, 107, 7119–7134. [Google Scholar] [CrossRef]
- Sharma, C.; Osmolovskiy, A.; Singh, R. Microbial Fibrinolytic Enzymes as Anti-Thrombotics: Production, Characterisation and Prodigious Biopharmaceutical Applications. Pharmaceutics 2021, 13, 1880. [Google Scholar] [CrossRef] [PubMed]
- Daniotti, S.; Re, I. Marine Biotechnology: Challenges and Development Market Trends for the Enhancement of Biotic Resources in Industrial Pharmaceutical and Food Applications. A Statistical Analysis of Scientific Literature and Business Models. Mar. Drugs 2021, 19, 61. [Google Scholar] [CrossRef] [PubMed]
- Guo, S.; Zhang, Z.; Xu, X.; Cai, J.; Wang, W.; Guo, L. Antagonistic activity and mode of action of trypacidin from marine-derived Aspergillus fumigatus against Vibrio parahaemolyticus. 3 Biotech 2022, 12, 131. [Google Scholar] [CrossRef] [PubMed]
- Syhapanha, K.S.; Russo, D.A.; Deng, Y.; Meyer, N.; Poulin, R.X.; Pohnert, G. Transcriptomics-guided identification of an algicidal protease of the marine bacterium Kordia algicida OT-1. MicrobiologyOpen 2023, 12, e1387. [Google Scholar] [CrossRef] [PubMed]
- Barzkar, N. Marine microbial alkaline protease: An efficient and essential tool for various industrial applications. Int. J. Biol. Macromol. 2020, 161, 1216–1229. [Google Scholar] [CrossRef] [PubMed]
- Zhang, H.; Li, H.; Liu, H.; Lang, D.A.; Xu, H.; Zhu, H. The application of a halotolerant metalloprotease from marine bacterium Vibrio sp. LA-05 in liquid detergent formulations. Int. Biodeterior. Biodegrad. 2019, 142, 18–25. [Google Scholar] [CrossRef]
- Wang, Y.; Liu, B.-X.; Cheng, J.-H.; Su, H.-N.; Sun, H.-M.; Li, C.-Y.; Yang, L.; Shen, Q.-T.; Zhang, Y.-Z.; Zhang, X.; et al. Characterization of a New M4 Metalloprotease with Collagen-Swelling Ability from Marine Vibrio pomeroyi Strain 12613. Front. Microbiol. 2020, 11, 1868. [Google Scholar] [CrossRef]
- Nguyen, T.N.T.; Chataway, T.; Araujo, R.; Puri, M.; Franco, C.M.M. Purification and Characterization of a Novel Alginate Lyase from a Marine Streptomyces Species Isolated from Seaweed. Mar. Drugs 2021, 19, 590. [Google Scholar] [CrossRef] [PubMed]
- Barzkar, N.; Sohail, M. An overview on marine cellulolytic enzymes and their potential applications. Appl. Microbiol. Biotechnol. 2020, 104, 6873–6892. [Google Scholar] [CrossRef] [PubMed]
- Perera, E.; Rodriguez-Viera, L.; Montero-Alejo, V.; Perdomo-Morales, R. Crustacean Proteases and Their Application in Debridement. Trop. Life Sci. Res. 2020, 31, 187–209. [Google Scholar] [CrossRef]
- Leite, A.H.P.; da Silva, I.H.A.; Pastrana, L.; Nascimento, T.P.; da Silva Telles, A.M.; Porto, A.L.F. Purification, biochemical characterization and fibrinolytic potential of proteases produced by bacteria of the genus Bacillus: A systematic literature review. Arch. Microbiol. 2022, 204, 503. [Google Scholar] [CrossRef] [PubMed]
- Syahbanu, F.; Giriwono, P.E.; Tjandrawinata, R.R.; Suhartono, M.T. Molecular analysis of a fibrin-degrading enzyme from Bacillus subtilis K2 isolated from the Indonesian soybean-based fermented food moromi. Mol. Biol. Rep. 2020, 47, 8553–8563. [Google Scholar] [CrossRef] [PubMed]
- Popova, E.A.; Kreyer, V.G.; Komarevtsev, S.K.; Shabunin, S.V.; Osmolovskiy, A.A. Properties of Extracellular Proteinase of the Micromycete Aspergillus ustus 1 and Its High Activity during Fibrillary-Proteins Hydrolysis. Appl. Biochem. Microbiol. 2021, 57, 200–205. [Google Scholar] [CrossRef]
- Zhao, L.; Lin, X.; Fu, J.; Zhang, J.; Tang, W.; He, Z. A Novel Bi-Functional Fibrinolytic Enzyme with Anticoagulant and Thrombolytic Activities from a Marine-Derived Fungus Aspergillus versicolor ZLH-1. Mar. Drugs 2022, 20, 356. [Google Scholar] [CrossRef]
- Chimbekujwo, K.I.; Ja’afaru, M.I.; Adeyemo, O.M. Purification, characterization and optimization conditions of protease produced by Aspergillus brasiliensis strain BCW2. Sci. Afr. 2020, 8, e00398. [Google Scholar] [CrossRef]
- Che, Z.; Cao, X.; Chen, G.; Liang, Z. An effective combination of codon optimization, gene dosage, and process optimization for high-level production of fibrinolytic enzyme in Komagataella phaffii (Pichia pastoris). BMC Biotechnol. 2020, 20, 63. [Google Scholar] [CrossRef]
- Bi, Q.; Chu, J.; Feng, Y.; Jiang, Z.; Han, B.; Liu, W. Purification and Characterization of a New Serine Protease with Fibrinolytic Activity from the Marine Invertebrate, Urechis unicinctus. Appl. Biochem. Biotechnol. 2013, 170, 525–540. [Google Scholar] [CrossRef]
- Ge, Y.-H.; Chen, Y.-Y.; Zhou, G.-S.; Liu, X.; Tang, Y.-P.; Liu, R.; Liu, P.; Li, N.; Yang, J.; Wang, J.; et al. A Novel Antithrombotic Protease from Marine Worm Sipunculus Nudus. Int. J. Mol. Sci. 2018, 19, 3023. [Google Scholar] [CrossRef]
- Yang, M.; Zeng, C.; Xia, J.; Liu, Q.; Fang, J.; Zhang, Q. Disinfection of Perinereis aibuhitensis eggs with peroxymonosulfate to eliminate covert mortality nodavirus (CMNV). Aquaculture 2023, 572, 739539. [Google Scholar] [CrossRef]
- Cong, Y.; Lou, Y.; Zhao, H.; Li, Z.; Zhang, M.; Jin, F.; Wang, Y.; Wang, J. Polystyrene microplastics alter bioaccumulation, and physiological and histopathological toxicities of cadmium in the polychaete Perinereis aibuhitensis. Front. Mar. Sci. 2022, 9, 939530. [Google Scholar] [CrossRef]
- Yang, L.; Jing, L.; Tianhong, L.; Ying, W.; Zhongzheng, Z.; Feng, C.; Chao, F.; Xiaojie, C.; Hongjun, L.; Xiguang, C. Preparation and antithrombotic activity identification of Perinereis aibuhitensis extract: A high temperature and wide pH range stable biological agent. Food Funct. 2017, 8, 3533–3541. [Google Scholar] [CrossRef]
- Moula Ali, M.; Bindu Bavisetty, S.C. Purification, physicochemical properties, and statistical optimization of fibrinolytic enzymes especially from fermented foods: A comprehensive review. Int. J. Biol. Macromol. 2020, 163, 1498–1517. [Google Scholar] [CrossRef]
- Yang, H.R.; Hwang, D.H.; Prakash, R.L.M.; Kim, J.-H.; Hong, I.-H.; Kim, S.; Kim, E.; Kang, C. Exploring the Fibrin(ogen)olytic, Anticoagulant, and Antithrombotic Activities of Natural Cysteine Protease (Ficin) with the κ-Carrageenan-Induced Rat Tail Thrombosis Model. Nutrients 2022, 14, 3552. [Google Scholar] [CrossRef] [PubMed]
- Liu, H.; Yang, J.; Li, Y.; Ma, Y.; Wang, W.; Zhong, W.; Li, P.; Du, S. A Novel Fibrinolytic Protein from Pheretima vulgaris: Purification, Identification, Antithrombotic Evaluation, and Mechanisms Investigation. Front. Mol. Biosci. 2022, 8, 772419. [Google Scholar] [CrossRef] [PubMed]
- Wu, Y.; Hu, S.; Ma, Y.; Zhao, B.; Yang, W.; Lu, Y.; Li, P.; Du, S. Novel Pheretima guillelmi-derived antithrombotic protein DPf3: Identification, characterization, in vitro evaluation and antithrombotic mechanisms investigation. Int. J. Biol. Macromol. 2020, 154, 545–556. [Google Scholar] [CrossRef] [PubMed]
- Zhao, J.; Li, L.; Wu, C.; He, R.Q. Hydrolysis of fibrinogen and plasminogen by immobilized earthworm fibrinolytic enzyme II from Eisenia fetida. Int. J. Biol. Macromol. 2003, 32, 165–171. [Google Scholar] [CrossRef] [PubMed]
- Deng, Y.; Liu, X.; Katrolia, P.; Kopparapu, N.K.; Zheng, X. A dual-function chymotrypsin-like serine protease with plasminogen activation and fibrinolytic activities from the GRAS fungus, Neurospora sitophila. Int. J. Biol. Macromol. 2018, 109, 1338–1343. [Google Scholar] [CrossRef] [PubMed]
- Zhang, Y.; Yang, R.; Wang, L.; Li, Y.; Han, J.; Yang, Y.; Zheng, H.; Lu, M.; Shen, Y.; Yang, H. Purification and characterization of a novel thermostable anticoagulant protein from medicinal leech Whitmania pigra Whitman. J. Ethnopharmacol. 2022, 288, 114990. [Google Scholar] [CrossRef] [PubMed]
- Sanchez, E.F.; Richardson, M.; Gremski, L.H.; Veiga, S.S.; Yarleque, A.; Niland, S.; Lima, A.M.; Estevao-Costa, M.I.; Eble, J.A. A novel fibrinolytic metalloproteinase, barnettlysin-I from Bothrops barnetti (Barnett’s pitviper) snake venom with anti-platelet properties. Biochim. Biophys. Acta Gen. Subj. 2016, 1860, 542–556. [Google Scholar] [CrossRef]
- Sekar, V.; Hageman, J.H. Specificity of the serine protease inhibitor, phenylmethylsulfonyl fluoride. Biochem. Biophys. Res. Commun. 1979, 89, 474–478. [Google Scholar] [CrossRef] [PubMed]
- Gold, A.M.; Fahrney, D. Sulfonyl Fluorides as Inhibitors of Esterases. II. Formation and Reactions of Phenylmethanesulfonyl alpha-chymotrypsin. Biochemistry 1964, 3, 783–791. [Google Scholar] [CrossRef]
- Deng, Z.; Wang, S.; Li, Q.; Ji, X.; Zhang, L.; Hong, M. Purification and characterization of a novel fibrinolytic enzyme from the polychaete, Neanthes japonica (Iznka). Bioresour. Technol. 2010, 101, 1954–1960. [Google Scholar] [CrossRef] [PubMed]
- Wang, S.; Deng, Z.; Li, Q.; Ge, X.; Bo, Q.; Liu, J.; Cui, J.; Jiang, X.; Liu, J.; Zhang, L.; et al. A novel alkaline serine protease with fibrinolytic activity from the polychaete, Neanthes japonica. Comp. Biochem. Physiol. B Biochem. Mol. Biol. 2011, 159, 18–25. [Google Scholar] [CrossRef]
- Kim, H.J.; Shim, K.H.; Yeon, S.J.; Shin, H.S. A Novel Thrombolytic and Anticoagulant Serine Protease from Polychaeta, Diopatra sugokai. J. Microbiol. Biotechnol. 2018, 28, 275–283. [Google Scholar] [CrossRef]
- Wu, J.; Lan, G.; He, N.; He, L.; Li, C.; Wang, X.; Zeng, X. Purification of fibrinolytic enzyme from Bacillus amyloliquefaciens GUTU06 and properties of the enzyme. Food Chem. X 2023, 20, 100896. [Google Scholar] [CrossRef]
- Chu, F.; Wang, X.; Sun, Q.; Liang, H.; Wang, S.; An, D.; Cui, C.; Chai, Y.; Li, S.; Song, S.; et al. Purification and characterization of a novel fibrinolytic enzyme from Whitmania pigra Whitman. Clin. Exp. Hypertens. 2016, 38, 594–601. [Google Scholar] [CrossRef]
- Ge, B.; Hou, C.; Bao, B.; Pan, Z.; Mate Sanchez de Val, J.E.; Elango, J.; Wu, W. Comparison of Physicochemical and Structural Properties of Acid-Soluble and Pepsin-Soluble Collagens from Blacktip Reef Shark Skin. Mar. Drugs 2022, 20, 376. [Google Scholar] [CrossRef]
- Astrup, T.; Mullertz, S. The fibrin plate method for estimating fibrinolytic activity. Arch. Biochem. Biophys. 1952, 40, 346–351. [Google Scholar] [CrossRef] [PubMed]
- Laemmli, U.K. Cleavage of structural proteins during the assembly of the head of bacteriophage T4. Nature 1970, 227, 680–685. [Google Scholar] [CrossRef] [PubMed]








| Purification Steps | Purification Media | Activity (U) 1 | Protein (μg) 2 | Specific Activity (U/μg) | Purification Folds |
|---|---|---|---|---|---|
| Crude isolation | Ammonium sulphate precipitation | 7894.06 | 170.21 | 46.38 | 1.00 |
| Ion-exchange chromatography | DEAE- Sepharose FF | 677.42 | 4.52 | 150.00 | 3.23 |
| Gel-filtration chromatography | Sephadex G-50 | 1398.14 | 2.84 | 492.30 | 10.61 |
| Sequence | Proteins | Missed Cleavages | Ions Score |
|---|---|---|---|
| [R].NWIMTAAHCTAGDSASDLYLMVGEHDR.[S] | 1 | 0 | 58 |
| [R].IVGGQESRPNEFPWQVSMQSSFGSHYCGAIIINR.[N] | 1 | 0 | 51 |
| [R].LSTDACQGDSGGPLVVK.[D] | 1 | 0 | 94 |
| [R].VSTYMNWIGL.[-] | 1 | 0 | 9 |
| [R].SGGPCCPQILQYVQVPVISNNECNTIDYPGDITDGMICAGNR.[L] | 1 | 0 | 49 |
| [R].TAVVSGWGTLR.[S] | 1 | 0 | 58 |
Disclaimer/Publisher’s Note: The statements, opinions and data contained in all publications are solely those of the individual author(s) and contributor(s) and not of MDPI and/or the editor(s). MDPI and/or the editor(s) disclaim responsibility for any injury to people or property resulting from any ideas, methods, instructions or products referred to in the content. |
© 2024 by the authors. Licensee MDPI, Basel, Switzerland. This article is an open access article distributed under the terms and conditions of the Creative Commons Attribution (CC BY) license (https://creativecommons.org/licenses/by/4.0/).
Share and Cite
Jiang, T.; Zhang, B.; Zhang, H.; Wei, M.; Su, Y.; Song, T.; Ye, S.; Zhu, Y.; Wu, W. Purification and Properties of a Plasmin-like Marine Protease from Clamworm (Perinereis aibuhitensis). Mar. Drugs 2024, 22, 68. https://doi.org/10.3390/md22020068
Jiang T, Zhang B, Zhang H, Wei M, Su Y, Song T, Ye S, Zhu Y, Wu W. Purification and Properties of a Plasmin-like Marine Protease from Clamworm (Perinereis aibuhitensis). Marine Drugs. 2024; 22(2):68. https://doi.org/10.3390/md22020068
Chicago/Turabian StyleJiang, Tingting, Bing Zhang, Haixing Zhang, Mingjun Wei, Yue Su, Tuo Song, Shijia Ye, Yuping Zhu, and Wenhui Wu. 2024. "Purification and Properties of a Plasmin-like Marine Protease from Clamworm (Perinereis aibuhitensis)" Marine Drugs 22, no. 2: 68. https://doi.org/10.3390/md22020068
APA StyleJiang, T., Zhang, B., Zhang, H., Wei, M., Su, Y., Song, T., Ye, S., Zhu, Y., & Wu, W. (2024). Purification and Properties of a Plasmin-like Marine Protease from Clamworm (Perinereis aibuhitensis). Marine Drugs, 22(2), 68. https://doi.org/10.3390/md22020068

