Discovery and Characterization of an Atypical Crustin Antimicrobial Peptide from Pollicipes pollicipes
Abstract
1. Introduction
2. Results
2.1. Sequence and Structure Characterization of PpCrus-SWD1
2.2. Recombinant Expression and Purification
2.3. Liquid Chromatography and Mass Spectrometry (LC-MS) Identification Results
2.4. Antimicrobial Activity of rPpCrus-SWD1
2.5. Results of Molecular Dynamics (MD) Simulations
2.6. Microorganism-Binding Activity of rPpCrus-SWD1
2.7. Pathogen-Associated Molecular Patterns Binding (PAMP) Activity of rPpCrus-SWD1
2.8. Effects of rPpCrus-SWD1 on the Bacterial Morphology
2.9. PI Staining
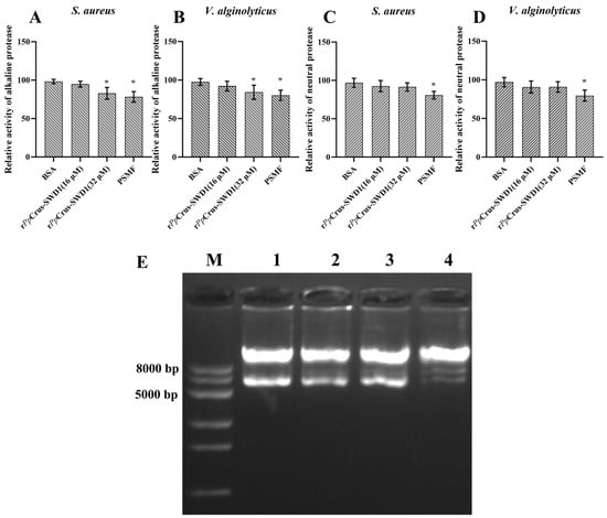
2.10. Protease Inhibition Activity and DNA Binding Activity
2.11. Hemolytic Activity
3. Discussion
4. Materials and Methods
4.1. Bacterial Strains and Culture Conditions
4.2. Prediction and Identification of Crustin Sequences
4.3. Expression and Purification of Recombinant PpCrus-SWD1 (rPpCrus-SWD1)
4.4. Identification of PpCrus-SWD1 by Liquid Chromatograph Mass Spectrometer (LC-MS)
4.5. Antimicrobial Activity of the rPpCrus-SWD1
4.6. Molecular Dynamics (MD) Simulations
4.7. Microorganism-Binding Assay
4.8. Binding Assay for Pathogen-Associated Molecular Patterns
4.9. Electron Microscopy
4.10. PI Staining
4.11. Protease Inhibition Assay
4.12. DNA Binding Assay
4.13. Hemolytic Activity Assay
4.14. Statistical Analysis
Supplementary Materials
Author Contributions
Funding
Institutional Review Board Statement
Informed Consent Statement
Data Availability Statement
Acknowledgments
Conflicts of Interest
References
- Yadav, N.; Chauhan, V.S. Advancements in Peptide-Based Antimicrobials: A Possible Option for Emerging Drug-Resistant Infections. Adv. Colloid Interface Sci. 2024, 333, 103282. [Google Scholar] [CrossRef] [PubMed]
- Khan, R.T.; Rasool, S.; Sharma, V.; Khan, S.S. Prevention and Potential Remedies for Antibiotic Resistance: Current Research and Future Prospects. Front. Microbiol. 2024, 15, 1455759. [Google Scholar] [CrossRef] [PubMed]
- Chen, P.; Ye, T.; Li, C.; Praveen, P.; Hu, Z.; Li, W.; Shang, C. Embracing the Era of Antimicrobial Peptides with Marine Organisms. Nat. Prod. Rep. 2024, 41, 331–346. [Google Scholar] [CrossRef] [PubMed]
- Aisenbrey, C.; Marquette, A.; Bechinger, B. The Mechanisms of Action of Cationic Antimicrobial Peptides Refined by Novel Concepts from Biophysical Investigations. In Antimicrobial Peptides; Springer: Singapore, 2019; pp. 33–64. [Google Scholar]
- Li, W.; Separovic, F.; O’Brien-Simpson, N.M.; Wade, J.D. Chemically Modified and Conjugated Antimicrobial Peptides against Superbugs. Chem. Soc. Rev. 2021, 50, 4932–4973. [Google Scholar] [CrossRef] [PubMed]
- Smith, V.J.; Chisholm, J.R.S. Antimicrobial Proteins in Crustaceans. In Phylogenetic Perspectives on the Vertebrate Immune System; Springer: Boston, MA, USA, 2001; pp. 95–112. [Google Scholar]
- Rosa, R.D.; Barracco, M.A. Antimicrobial Peptides in Crustaceans. Invertebr. Surviv. J. 2010, 7, 262–284. [Google Scholar]
- Matos, G.M.; Rosa, R.D. On the Silver Jubilee of Crustacean Antimicrobial Peptides. Rev. Aquac. 2022, 14, 594–612. [Google Scholar] [CrossRef]
- Tincu, J.A.; Taylor, S.W. Antimicrobial Peptides from Marine Invertebrates. Antimicrob. Agents Chemother. 2004, 48, 3645–3654. [Google Scholar] [CrossRef] [PubMed]
- Guryanova, S.V.; Balandin, S.V.; Belogurova-Ovchinnikova, O.Y.; Ovchinnikova, T.V. Marine Invertebrate Antimicrobial Peptides and Their Potential as Novel Peptide Antibiotics. Mar. Drugs 2023, 21, 503. [Google Scholar] [CrossRef]
- Smith, V.J.; Fernandes, J.M.O.; Kemp, G.D.; Hauton, C. Crustins: Enigmatic WAP Domain-Containing Antibacterial Proteins from Crustaceans. Dev. Comp. Immunol. 2008, 32, 758–772. [Google Scholar] [CrossRef]
- Sperstad, S.V.; Haug, T.; Paulsen, V.; Rode, T.M.; Strandskog, G.; Solem, S.T.; Styrvold, O.B.; Stensvåg, K. Characterization of Crustins from the Hemocytes of the Spider Crab, Hyas Araneus, and the Red King Crab, Paralithodes Camtschaticus. Dev. Comp. Immunol. 2009, 33, 583–591. [Google Scholar] [CrossRef]
- Padhi, A. Adaptive Evolution of Crustin Antimicrobial Peptides in Decapods. Genetica 2012, 140, 197–203. [Google Scholar] [CrossRef] [PubMed]
- Barreto, C.; Matos, G.M.; Rosa, R.D. On the Wave of the Crustin Antimicrobial Peptide Family: From Sequence Diversity to Function. Fish Shellfish. Immunol. Rep. 2022, 3, 100069. [Google Scholar] [CrossRef] [PubMed]
- Li, S.; Lv, X.; Yu, Y.; Zhang, X.; Li, F. Molecular and Functional Diversity of Crustin-like Genes in the Shrimp Litopenaeus vannamei. Mar. Drugs 2020, 18, 361. [Google Scholar] [CrossRef] [PubMed]
- Ni, M.; Zhang, Y.; Zheng, J.; Cui, Z. Inhibitory and Bactericidal Activities Analysis of a Type IIa Crustin from the Swimming Crab, Portunus Trituberculatus. Aquaculture 2023, 563, 739001. [Google Scholar] [CrossRef]
- Wang, H.; Zhang, J.-X.; Wang, Y.; Fang, W.-H.; Wang, Y.; Zhou, J.-F.; Zhao, S.; Li, X.-C. Newly Identified Type II Crustin (SpCrus2) in Scylla Paramamosain Contains a Distinct Cysteine Distribution Pattern Exhibiting Broad Antimicrobial Activity. Dev. Comp. Immunol. 2018, 84, 1–13. [Google Scholar] [CrossRef]
- Yang, L.; Luo, M.; Guo, Z.; Zuo, H.; Weng, S.; He, J.; Xu, X. A Shrimp Gene Encoding a Single WAP Domain (SWD)-Containing Protein Regulated by JAK-STAT and NF-ΚB Pathways. Dev. Comp. Immunol. 2020, 104, 103537. [Google Scholar] [CrossRef]
- Suthianthong, P.; Pulsook, N.; Supungul, P.; Tassanakajon, A.; Rimphanitchayakit, V. A Double WAP Domain-Containing Protein PmDWD from the Black Tiger Shrimp Penaeus Monodon Is Involved in the Controlling of Proteinase Activities in Lymphoid Organ. Fish Shellfish. Immunol. 2011, 30, 783–790. [Google Scholar] [CrossRef]
- Hu, J.; Li, S.; Miao, M.; Li, F. Characterization of the Antibacterial and Opsonic Functions of the Antimicrobial Peptide LvCrustinVI from Litopenaeus vannamei. Dev. Comp. Immunol. 2024, 154, 105146. [Google Scholar] [CrossRef]
- Hu, J.; Li, S.; Lv, Q.; Miao, M.; Li, X.; Li, F. Characterization of the Dual Functions of LvCrustinVII from Litopenaeus vannamei as Antimicrobial Peptide and Opsonin. Mar. Drugs 2022, 20, 157. [Google Scholar] [CrossRef]
- Wang, Y.; Zhang, J.; Sun, Y.; Sun, L. A Crustin from Hydrothermal Vent Shrimp: Antimicrobial Activity and Mechanism. Mar. Drugs 2021, 19, 176. [Google Scholar] [CrossRef]
- Zhang, W.; Xu, X.; Zhang, J.; Ye, T.; Zhou, Q.; Xu, Y.; Li, W.; Hu, Z.; Shang, C. Discovery and Characterization of a New Crustin Antimicrobial Peptide from Amphibalanus amphitrite. Pharmaceutics 2022, 14, 413. [Google Scholar] [CrossRef] [PubMed]
- Cruz, T.; Jacinto, D.; Sousa, A.; Penteado, N.; Pereira, D.; Fernandes, J.N.; Silva, T.; Castro, J.J. The State of the Fishery, Conservation and Management of the Stalked Barnacle Pollicipes Pollicipes in Portugal. Mar. Environ. Res. 2015, 112, 73–80. [Google Scholar] [CrossRef] [PubMed]
- Clements, K.; Giménez, L.; Jones, D.L.; Wilson, J.; Malham, S.K. Epizoic Barnacles Act as Pathogen Reservoirs on Shellfish Beds. J. Shellfish. Res. 2013, 32, 533–538. [Google Scholar] [CrossRef]
- Liu, X.; Jin, H.; Xu, G.; Lai, R.; Wang, A. Bioactive Peptides from Barnacles and Their Potential for Antifouling Development. Mar. Drugs 2023, 21, 480. [Google Scholar] [CrossRef] [PubMed]
- Semreen, M.H.; El-Gamal, M.I.; Abdin, S.; Alkhazraji, H.; Kamal, L.; Hammad, S.; El-Awady, F.; Waleed, D.; Kourbaj, L. Recent Updates of Marine Antimicrobial Peptides. Saudi Pharm. J. 2018, 26, 396–409. [Google Scholar] [CrossRef]
- Zhou, Y.; Song, Q.; Liu, Y.; Sun, Y.; Zhang, J. A Novel Type I Crustin from Exopalaemon Carinicauda: Antimicrobial Ability Related to Conserved Cysteine. Fish Shellfish. Immunol. 2022, 127, 948–955. [Google Scholar] [CrossRef]
- Amparyup, P.; Donpudsa, S.; Tassanakajon, A. Shrimp Single WAP Domain (SWD)-Containing Protein Exhibits Proteinase Inhibitory and Antimicrobial Activities. Dev. Comp. Immunol. 2008, 32, 1497–1509. [Google Scholar] [CrossRef]
- Lv, X.; Li, S.; Yu, Y.; Zhang, X.; Li, F. Characterization of a Gill-Abundant Crustin with Microbiota Modulating Function in Litopenaeus vannamei. Fish Shellfish. Immunol. 2020, 105, 393–404. [Google Scholar] [CrossRef]
- Tassanakajon, A.; Somboonwiwat, K.; Amparyup, P. Sequence Diversity and Evolution of Antimicrobial Peptides in Invertebrates. Dev. Comp. Immunol. 2015, 48, 324–341. [Google Scholar] [CrossRef]
- Mihajlovic, M.; Lazaridis, T. Charge Distribution and Imperfect Amphipathicity Affect Pore Formation by Antimicrobial Peptides. Biochim. Biophys. Acta (BBA)—Biomembr. 2012, 1818, 1274–1283. [Google Scholar] [CrossRef]
- Yang, B.; Yang, H.; Liang, J.; Chen, J.; Wang, C.; Wang, Y.; Wang, J.; Luo, W.; Deng, T.; Guo, J. A Review on the Screening Methods for the Discovery of Natural Antimicrobial Peptides. J. Pharm. Anal. 2024, in press. [CrossRef]
- Kumar, P.; Kizhakkedathu, J.N.; Straus, S.K. Antimicrobial Peptides: Diversity, Mechanism of Action and Strategies to Improve the Activity and Biocompatibility In Vivo. Biomolecules 2018, 8, 4. [Google Scholar] [CrossRef] [PubMed]
- Pasupuleti, M.; Schmidtchen, A.; Malmsten, M. Antimicrobial Peptides: Key Components of the Innate Immune System. Crit. Rev. Biotechnol. 2012, 32, 143–171. [Google Scholar] [CrossRef] [PubMed]
- Wang, Y.-J.; Sun, L. A Type Ib Crustin from Deep-Sea Shrimp Possesses Antimicrobial and Immunomodulatory Activity. Int. J. Mol. Sci. 2022, 23, 6444. [Google Scholar] [CrossRef] [PubMed]
- Smith, V.J. Phylogeny of Whey Acidic Protein (WAP) Four-Disulfide Core Proteins and Their Role in Lower Vertebrates and Invertebrates. Biochem. Soc. Trans. 2011, 39, 1403–1408. [Google Scholar] [CrossRef]
- Chen, N.; Jiang, C. Antimicrobial Peptides: Structure, Mechanism, and Modification. Eur. J. Med. Chem. 2023, 255, 115377. [Google Scholar] [CrossRef]
- Malanovic, N.; Lohner, K. Antimicrobial Peptides Targeting Gram-Positive Bacteria. Pharmaceuticals 2016, 9, 59. [Google Scholar] [CrossRef]
- Koprivnjak, T.; Weidenmaier, C.; Peschel, A.; Weiss, J.P. Wall Teichoic Acid Deficiency in Staphylococcus Aureus Confers Selective Resistance to Mammalian Group IIA Phospholipase A2 and Human β-Defensin 3. Infect. Immun. 2008, 76, 2169–2176. [Google Scholar] [CrossRef]
- Luo, Y.; Song, Y. Mechanism of Antimicrobial Peptides: Antimicrobial, Anti-Inflammatory and Antibiofilm Activities. Int. J. Mol. Sci. 2021, 22, 11401. [Google Scholar] [CrossRef]
- Jiale, Z.; Jian, J.; Xinyi, T.; Haoji, X.; Xueqin, H.; Xiao, W. Design of a Novel Antimicrobial Peptide 1018M Targeted PpGpp to Inhibit MRSA Biofilm Formation. AMB Express 2021, 11, 49. [Google Scholar] [CrossRef]
- Lebrun, I.; Marques-Porto, R.; Pereira, A.S.; Pereira, A.; Perpetuo, E.A. Bacterial Toxins: An Overview on Bacterial Proteases and Their Action as Virulence Factors. Mini Rev. Med. Chem. 2009, 9, 820–828. [Google Scholar] [CrossRef] [PubMed]
- Erickson, J.L.; Schuster, M. Extracellular Proteases from Microbial Plant Pathogens as Virulence Factors. Curr. Opin. Plant Biol. 2024, 82, 102621. [Google Scholar] [CrossRef] [PubMed]
- Moreau, T.; Baranger, K.; Dadé, S.; Dallet-Choisy, S.; Guyot, N.; Zani, M.-L. Multifaceted Roles of Human Elafin and Secretory Leukocyte Proteinase Inhibitor (SLPI), Two Serine Protease Inhibitors of the Chelonianin Family. Biochimie 2008, 90, 284–295. [Google Scholar] [CrossRef] [PubMed]
- Du, Z.-Q.; Yuan, J.-J.; Ren, D.-M. A Novel Single WAP Domain-Containing Protein Isoform with Antibacterial Relevance in Litopenaeus vannamei. Fish Shellfish. Immunol. 2015, 44, 478–484. [Google Scholar] [CrossRef] [PubMed]
- Tough, D.F.; Sun, S.; Sprent, J. T Cell Stimulation in Vivo by Lipopolysaccharide (LPS). J. Exp. Med. 1997, 185, 2089–2094. [Google Scholar] [CrossRef]
- Li, G.; Chen, J.; Li, J.; Shang, C.; Wang, C. Structural Characteristics, Prokaryotic Expression and Activity Analysis of Antimicrobial Peptide ALFPm10 from Penaeus Monodon. Int. J. Pept. Res. Ther. 2021, 28, 25. [Google Scholar] [CrossRef]
- Lei, J.; Sun, L.; Huang, S.; Zhu, C.; Li, P.; He, J.; Mackey, V.; Coy, D.H.; He, Q. The Antimicrobial Peptides and Their Potential Clinical Applications. Am. J. Transl. Res. 2019, 11, 3919. [Google Scholar]
- Scocchi, M.; Mardirossian, M.; Runti, G.; Benincasa, M. Non-Membrane Permeabilizing Modes of Action of Antimicrobial Peptides on Bacteria. Curr. Top. Med. Chem. 2016, 16, 76–88. [Google Scholar] [CrossRef]
- Sivakamavalli, J.; Arthur James, R.; Park, K.; Kwak, I.-S.; Vaseeharan, B. Purification of WAP Domain-Containing Antimicrobial Peptides from Green Tiger Shrimp Peaneaus Semisulcatus. Microb. Pathog. 2020, 140, 103920. [Google Scholar] [CrossRef]
- Yang, S.; Cai, X. Genome-Wide Screening of the Classical Cadherin Gene Family and Cadherin-1 Expression Response Infected with Streptococcus agalactiae in Nile Tilapia (Oreochromis niloticus). Aquac. Rep. 2020, 17, 100393. [Google Scholar] [CrossRef]
- Teufel, F.; Almagro Armenteros, J.J.; Johansen, A.R.; Gíslason, M.H.; Pihl, S.I.; Tsirigos, K.D.; Winther, O.; Brunak, S.; von Heijne, G.; Nielsen, H. SignalP 6.0 Predicts All Five Types of Signal Peptides Using Protein Language Models. Nat. Biotechnol. 2022, 40, 1023–1025. [Google Scholar] [CrossRef] [PubMed]
- Letunic, I.; Bork, P. Interactive Tree of Life (ITOL) v6: Recent Updates to the Phylogenetic Tree Display and Annotation Tool. Nucleic Acids Res. 2024, 52, W78–W82. [Google Scholar] [CrossRef] [PubMed]
- Cramer, P. AlphaFold2 and the Future of Structural Biology. Nat. Struct. Mol. Biol. 2021, 28, 704–705. [Google Scholar] [CrossRef] [PubMed]
- Best, R.B.; Zhu, X.; Shim, J.; Lopes, P.E.M.; Mittal, J.; Feig, M.; MacKerell, A.D., Jr. Optimization of the Additive CHARMM All-Atom Protein Force Field Targeting Improved Sampling of the Backbone ϕ, ψ and Side-Chain Χ1 and Χ2 Dihedral Angles. J. Chem. Theory Comput. 2012, 8, 3257–3273. [Google Scholar] [CrossRef] [PubMed]
- Berendsen, H.J.C.; Postma, J.P.M.; Van Gunsteren, W.F.; DiNola, A.; Haak, J.R. Molecular Dynamics with Coupling to an External Bath. J. Chem. Phys. 1984, 81, 3684–3690. [Google Scholar] [CrossRef]
- Abraham, M.J.; Murtola, T.; Schulz, R.; Páll, S.; Smith, J.C.; Hess, B.; Lindahl, E. GROMACS: High Performance Molecular Simulations through Multi-Level Parallelism from Laptops to Supercomputers. SoftwareX 2015, 1, 19–25. [Google Scholar] [CrossRef]
- Humphrey, W.; Dalke, A.; Schulten, K. VMD: Visual Molecular Dynamics. J. Mol. Graph. 1996, 14, 33–38. [Google Scholar] [CrossRef]
- Essmann, U.; Perera, L.; Berkowitz, M.L.; Darden, T.; Lee, H.; Pedersen, L.G. A Smooth Particle Mesh Ewald Method. J. Chem. Phys. 1995, 103, 8577–8593. [Google Scholar] [CrossRef]
- Darden, T.; York, D. An N·log(N) Method for Ewald Sums in Large Systems. J. Chem. Phys. 1993, 98, 10089–10092. [Google Scholar] [CrossRef]
- Bussi, G.; Donadio, D.; Parrinello, M. Canonical Sampling through Velocity Rescaling. J. Chem. Phys. 2007, 126, 014101. [Google Scholar] [CrossRef]
- Bernetti, M.; Bussi, G. Pressure Control Using Stochastic Cell Rescaling. J. Chem. Phys. 2020, 153, 114107. [Google Scholar] [CrossRef] [PubMed]
- Hess, B.; Bekker, H.; Berendsen, H.J.C.; Fraaije, J.G.E.M. LINCS: A Linear Constraint Solver for Molecular Simulations. J. Comput. Chem. 1997, 18, 1463–1472. [Google Scholar] [CrossRef]
- Yang, Y.; Chen, F.; Chen, H.-Y.; Peng, H.; Hao, H.; Wang, K.-J. A Novel Antimicrobial Peptide Scyreprocin from Mud Crab Scylla Paramamosain Showing Potent Antifungal and Anti-Biofilm Activity. Front. Microbiol. 2020, 11, 1589. [Google Scholar] [CrossRef] [PubMed]
- Park, C.B.; Kim, H.S.; Kim, S.C. Mechanism of Action of the Antimicrobial Peptide Buforin II: Buforin II Kills Microorganisms by Penetrating the Cell Membrane and Inhibiting Cellular Functions. Biochem. Biophys. Res. Commun. 1998, 244, 253–257. [Google Scholar] [CrossRef]
- Li, J.; Shang, L.; Lan, J.; Chou, S.; Feng, X.; Shi, B.; Wang, J.; Lyu, Y.; Shan, A. Targeted and Intracellular Antibacterial Activity against S. Agalactiae of the Chimeric Peptides Based on Pheromone and Cell-Penetrating Peptides. ACS Appl. Mater. Interfaces 2020, 12, 44459–44474. [Google Scholar] [CrossRef]









| Microorganism | Minimum Inhibitory Concentrations (μM) | ||
|---|---|---|---|
| rPpCrus-SWD1 | Ampicillin | ||
| Gram+ | S. aureus | 16 | 1 |
| Bacillus sp. T2 | 16 | - | |
| S. agalactiae | 32 | 4 | |
| Gram− | V. alginolyticus | 32 | - |
| V. anguillarum | 64 | - | |
| E. coli | 32 | 100 | |
| A. hydrophila | 32 | 50 | |
| Acinetobacter sp. L32 | 64 | - | |
| V. parahemolyticus | 32 | - | |
Disclaimer/Publisher’s Note: The statements, opinions and data contained in all publications are solely those of the individual author(s) and contributor(s) and not of MDPI and/or the editor(s). MDPI and/or the editor(s) disclaim responsibility for any injury to people or property resulting from any ideas, methods, instructions or products referred to in the content. |
© 2024 by the authors. Licensee MDPI, Basel, Switzerland. This article is an open access article distributed under the terms and conditions of the Creative Commons Attribution (CC BY) license (https://creativecommons.org/licenses/by/4.0/).
Share and Cite
Zhang, W.; Wei, L.; Chen, P.; Ning, B.; Wang, J.; He, P.; Shang, C.; Yu, D. Discovery and Characterization of an Atypical Crustin Antimicrobial Peptide from Pollicipes pollicipes. Mar. Drugs 2024, 22, 526. https://doi.org/10.3390/md22120526
Zhang W, Wei L, Chen P, Ning B, Wang J, He P, Shang C, Yu D. Discovery and Characterization of an Atypical Crustin Antimicrobial Peptide from Pollicipes pollicipes. Marine Drugs. 2024; 22(12):526. https://doi.org/10.3390/md22120526
Chicago/Turabian StyleZhang, Wei, Liumi Wei, Pengyu Chen, Biao Ning, Junjian Wang, Peng He, Chenjing Shang, and Dahui Yu. 2024. "Discovery and Characterization of an Atypical Crustin Antimicrobial Peptide from Pollicipes pollicipes" Marine Drugs 22, no. 12: 526. https://doi.org/10.3390/md22120526
APA StyleZhang, W., Wei, L., Chen, P., Ning, B., Wang, J., He, P., Shang, C., & Yu, D. (2024). Discovery and Characterization of an Atypical Crustin Antimicrobial Peptide from Pollicipes pollicipes. Marine Drugs, 22(12), 526. https://doi.org/10.3390/md22120526

