Salmon Nasal Cartilage-Derived Proteoglycans Alleviate Monosodium Iodoacetate-Induced Osteoarthritis in Rats
Abstract
1. Introduction
2. Results
2.1. Oral Administration of Salmon Nasal Cartilage-Derived Proteoglycans Ameliorates Histological and Mineralization Impairments and Improves Exercise Ability in MIA-Injected Rats
2.2. Oral Administration of Salmon Nasal Cartilage-Derived Proteoglycans Suppresses MIA-Induced Inflammation in the Cartilage Tissue of Rats
2.3. Oral Administration of Salmon Nasal Cartilage-Derived Proteoglycans Suppresses MIA-Induced Cartilage Degradation Pathways in Rats
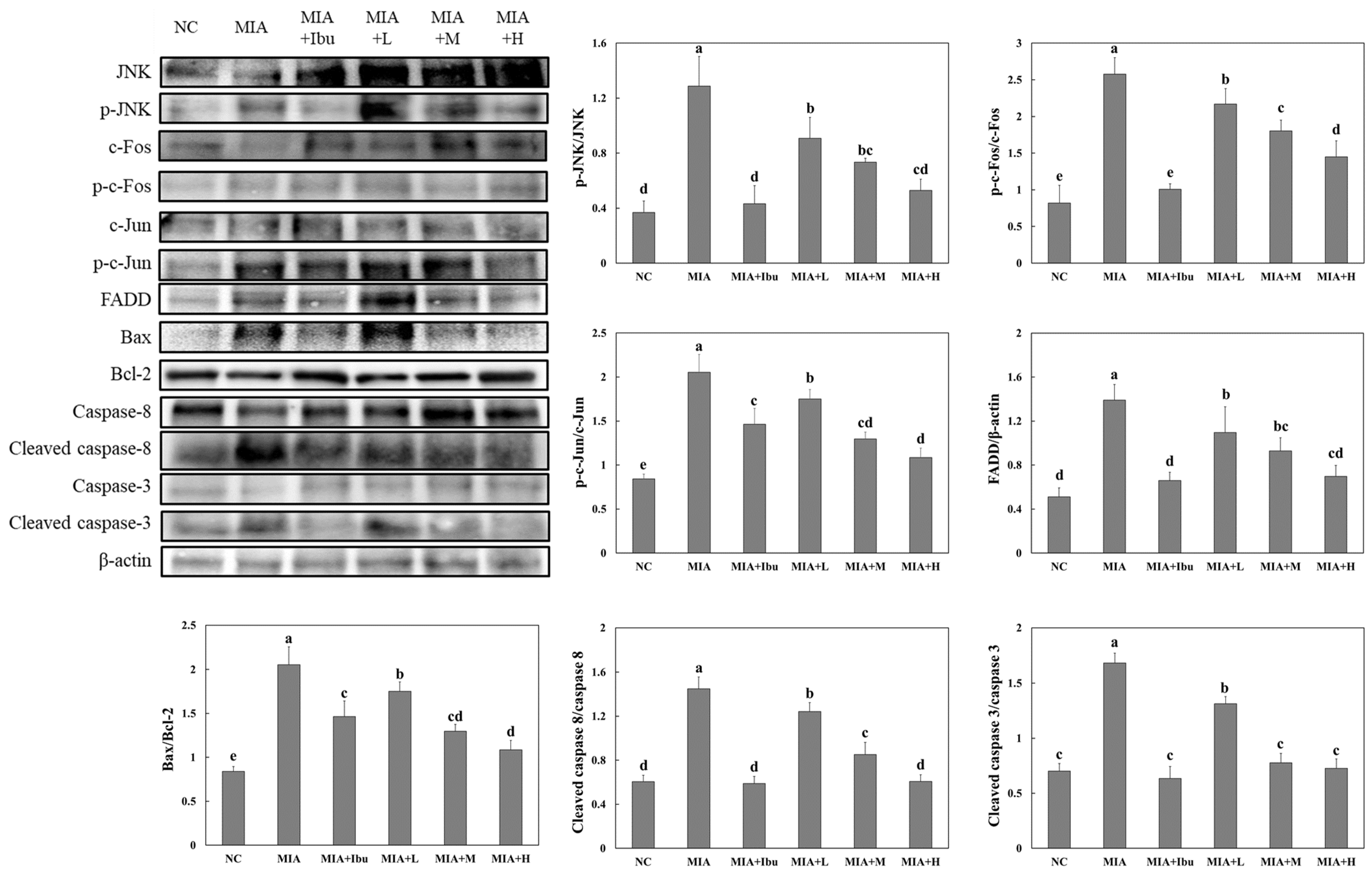
2.4. Oral Administration of Salmon Nasal Cartilage-Derived Proteoglycans Suppresses MIA-Induced Apoptosis in the Articular Cartilage of Rats
3. Discussion
4. Materials and Methods
4.1. Preparation of Salmon Nasal Cartilage-Derived Proteoglycans
4.2. Animal Model and Treatment
4.3. Assessment of Exercise Ability
4.4. Histological Observation
4.5. Micro-Computed Tomography
4.6. Serum Assays
4.7. Total RNA Isolation and Real-Time PCR
4.8. Protein Extraction and Western Blot Analysis
4.9. Statistical Analysis
5. Conclusions
Author Contributions
Funding
Institutional Review Board Statement
Data Availability Statement
Conflicts of Interest
References
- Reginster, J.Y. The prevalence and burden of arthritis. Rheumatology 2002, 41, 3–6. [Google Scholar] [CrossRef] [PubMed]
- Jafarzadeh, S.R.; Felson, D.T. Updated estimates suggest a much higher prevalence of arthritis in United States adults than previous ones. Arthritis Rheumatol. 2018, 70, 185–192. [Google Scholar] [CrossRef] [PubMed]
- Mohammed, A.; Alshamarri, T.; Adeyeye, T.; Lazariu, V.; McNutt, L.A.; Carpenter, D.O. A comparison of risk factors for osteo- and rheumatoid arthritis using NHANES data. Prev. Med. Rep. 2020, 20, 101242. [Google Scholar] [CrossRef] [PubMed]
- Chen, D.; Shen, J.; Zhao, W.; Wang, T.; Han, L.; Hamilton, J.L.; Im, H.J. Osteoarthritis: Toward a comprehensive understanding of pathological mechanism. Bone Res. 2017, 17, 16044. [Google Scholar] [CrossRef] [PubMed]
- Romão, V.C.; Fonseca, J.E. Etiology and risk factors for rheumatoid arthritis: A state-of-the-art review. Front. Med. 2021, 26, 689698. [Google Scholar] [CrossRef]
- Mow, V.C.; Gu, W.Y.; Chen, F.H. Basic Orthopaedic Biomechanics and Mechano-Biology, 3rd ed.; Lippincott Williams & Wilkins: Philadelphia, PA, USA, 2005; p. 182. [Google Scholar]
- Asanbaeva, A.; Masuda, K.; Thonar, E.J.; Klisch, S.M.; Sah, R.L. Cartilage growth and remodeling: Modulation of balance between proteoglycan and collagen network in vitro with beta-aminopropionitrile. Osteoarthr. Cartil. 2008, 16, 1–11. [Google Scholar] [CrossRef][Green Version]
- Krakowski, P.; Rejniak, A.; Sobczyk, J.; Karpiński, R. Cartilage integrity: A review of mechanical and frictional properties and repair approaches in osteoarthritis. Healthcare 2024, 12, 1648. [Google Scholar] [CrossRef]
- Lee, Y.T.; Mohd Yunus, M.H.; Yazid, M.D.; Ugusman, A. Unraveling the path to osteoarthritis management: Targeting chondrocyte apoptosis for therapeutic intervention. Front. Cell Dev. Biol. 2024, 12, 1347126. [Google Scholar] [CrossRef]
- Lee, A.S.; Ellman, M.B.; Yan, D.; Kroin, J.S.; Cole, B.J.; van Wijnen, A.J.; Im, H.J. A current review of molecular mechanisms regarding osteoarthritis and pain. Gene 2013, 527, 440–447. [Google Scholar] [CrossRef]
- Goggs, R.; Carter, S.D.; Schulze-Tanzil, G.; Shakibaei, M.; Mobasheri, A. Apoptosis and the loss of chondrocyte survival signals contribute to articular cartilage degradation in osteoarthritis. Vet. J. 2003, 166, 140–158. [Google Scholar] [CrossRef]
- Alcaide-Ruggiero, L.; Cugat, R.; Domínguez, J.M. Proteoglycans in articular cartilage and their contribution to chondral injury and repair mechanisms. Int. J. Mol. Sci. 2023, 24, 10824. [Google Scholar] [CrossRef] [PubMed]
- Tomonaga, A.; Takahashi, T.; Tanaka, Y.T.; Tsuboi, M.; Ito, K.; Nagaoka, I. Evaluation of the effect of salmon nasal proteoglycan on biomarkers for cartilage metabolism in individuals with knee joint discomfort: A randomized double-blind placebo-controlled clinical study. Exp. Ther. Med. 2017, 14, 115–126. [Google Scholar] [CrossRef] [PubMed]
- Le, T.D.; Vu, H.T.T.; Arunasiri, I.; Ito, K.; Makise, T.; Le, H.T.; Nguyen, T.H.; Nguyen, L.T.H.; Nguyen, A.T.; Pham, B.Q.; et al. Oral administration of salmon cartilage proteoglycan attenuates osteoarthritis in a monosodium iodoacetate-induced rat model. Nat. Prod. Commun. 2020, 15, 1–6. [Google Scholar] [CrossRef]
- Tatara, Y.; Suto, S.; Sasaki, Y.; Endo, M. Preparation of proteoglycan from salmon nasal cartilage under nondenaturing conditions. Biosci. Biotechnol. Biochem. 2015, 79, 1615–1618. [Google Scholar] [CrossRef]
- Kakizaki, I.; Tatara, Y.; Majima, M.; Kato, Y.; Endo, M. Identification of proteoglycan from salmon nasal cartilage. Arch. Biochem. Biophys. 2011, 506, 58–65. [Google Scholar] [CrossRef]
- Xie, C.; Schaefer, L.; Iozzo, R.V. Global impact of proteoglycan science on human diseases. iScience 2023, 26, 108095. [Google Scholar] [CrossRef]
- Bao, Z.; Chen, M.; Li, C.; Shan, Q.; Wang, Y.; Yang, W. Monosodium iodoacetate-induced subchondral bone microstructure and inflammatory changes in an animal model of osteoarthritis. Open Life Sci. 2022, 17, 781–793. [Google Scholar] [CrossRef]
- Lee, T.H.; Song, H.K.; Jang, J.Y.; Kim, D.Y.; Park, H.K.; Choi, E.A.; Han, B.S. Anti-inflammatory effect of egg white-chalcanthite and purple bamboo salts mixture on arthritis induced by monosodium iodoacetate in Sprague-Dawley rats. Lab. Anim. Res. 2016, 32, 91–98. [Google Scholar] [CrossRef]
- Choi, Y.J.; Jung, J.I.; Bae, J.; Lee, J.K.; Kim, E.J. Evaluating the anti-osteoarthritis potential of standardized boswellia serrata gum resin extract in alleviating knee joint pathology and inflammation in osteoarthritis-induced models. Int. J. Mol. Sci. 2024, 25, 3218. [Google Scholar] [CrossRef]
- Troeberg, L.; Nagase, H. Proteases involved in cartilage matrix degradation in osteoarthritis. Biochim. Biophys. Acta 2012, 1824, 133–145. [Google Scholar] [CrossRef]
- Akkiraju, H.; Nohe, A. Role of chondrocytes in cartilage formation, progression of osteoarthritis and cartilage regeneration. J. Dev. Biol. 2015, 3, 177–192. [Google Scholar] [CrossRef] [PubMed]
- Bryk, M.; Chwastek, J.; Mlost, J.; Kostrzewa, M.; Starowicz, K. Sodium monoiodoacetate dose-dependent changes in matrix metalloproteinases and inflammatory components as prognostic factors for the progression of osteoarthritis. Front. Pharmacol. 2021, 12, 643605. [Google Scholar] [CrossRef] [PubMed]
- Gargiulo, S.; Gamba, P.; Poli, G.; Leonarduzzi, G. Metalloproteinases and metalloproteinase inhibitors in age-related diseases. Curr. Pharm. Des. 2014, 20, 2993–3018. [Google Scholar] [CrossRef] [PubMed]
- Magni, A.; Agostoni, P.; Bonezzi, C.; Massazza, G.; Menè, P.; Savarino, V.; Fornasari, D. Management of Osteoarthritis: Expert Opinion on NSAIDs. Pain Ther. 2021, 10, 783–808. [Google Scholar] [CrossRef]
- Cho, W.; Park, J.; Kim, J.; Lee, M.; Park, S.J.; Kim, K.S.; Jun, W.; Kim, O.K.; Lee, J. Low-molecular-weight fish collagen peptide (valine-glycine-proline-hydroxyproline-glycine-proline-alanine-glycine) prevents osteoarthritis symptoms in chondrocytes and monoiodoacetate-injected rats. Mar. Drugs 2023, 21, 608. [Google Scholar] [CrossRef]






| Measurements | NC | MIA | MIA+Ibu | MIA+L | MIA+M | MIA+H |
|---|---|---|---|---|---|---|
| Bone marrow density (mg/cc) | 323.29 ± 16.30 a | 236.10 ± 29.57 e | 304.15 ± 11.11 ab | 259.57 ± 32.67 de | 275.75 ± 7.75 cd | 286.63 ± 8.14 bc |
| Bone volume/ Total tissue volume | 0.38 ± 0.02 a | 0.15 ± 0.03 d | 0.33 ± 0.06 b | 0.19 ± 0.04 d | 0.24 ± 0.02 c | 0.27 ± 0.01 c |
| Trabecular number | 1.15 ± 0.09 a | 1.04 ± 0.06 e | 1.41 ± 0.07 b | 1.08 ± 0.04 d | 1.13 ± 0.07 d | 1.24 ± 0.09 c |
| Trabecular thickness (mm) | 0.28 ± 0.02 a | 0.13 ± 0.0 e | 0.25 ± 0.03 b | 0.19 ± 0.03 d | 0.21 ± 0.01 cd | 0.22 ± 0.01 c |
| Trabecular separation (mm) | 0.46 ± 0.03 d | 0.64 ± 0.04 a | 0.49 ± 0.03 cd | 0.57 ± 0.05 b | 0.57 ± 0.04 b | 0.53 ± 0.03 bc |
Disclaimer/Publisher’s Note: The statements, opinions and data contained in all publications are solely those of the individual author(s) and contributor(s) and not of MDPI and/or the editor(s). MDPI and/or the editor(s) disclaim responsibility for any injury to people or property resulting from any ideas, methods, instructions or products referred to in the content. |
© 2024 by the authors. Licensee MDPI, Basel, Switzerland. This article is an open access article distributed under the terms and conditions of the Creative Commons Attribution (CC BY) license (https://creativecommons.org/licenses/by/4.0/).
Share and Cite
Jeong, I.; Park, J.; Park, S.; Wada, T.; Lim, D.S.; Kim, O.-K. Salmon Nasal Cartilage-Derived Proteoglycans Alleviate Monosodium Iodoacetate-Induced Osteoarthritis in Rats. Mar. Drugs 2024, 22, 507. https://doi.org/10.3390/md22110507
Jeong I, Park J, Park S, Wada T, Lim DS, Kim O-K. Salmon Nasal Cartilage-Derived Proteoglycans Alleviate Monosodium Iodoacetate-Induced Osteoarthritis in Rats. Marine Drugs. 2024; 22(11):507. https://doi.org/10.3390/md22110507
Chicago/Turabian StyleJeong, Inae, Jinbum Park, Shinjung Park, Tatuya Wada, Dae Soo Lim, and Ok-Kyung Kim. 2024. "Salmon Nasal Cartilage-Derived Proteoglycans Alleviate Monosodium Iodoacetate-Induced Osteoarthritis in Rats" Marine Drugs 22, no. 11: 507. https://doi.org/10.3390/md22110507
APA StyleJeong, I., Park, J., Park, S., Wada, T., Lim, D. S., & Kim, O.-K. (2024). Salmon Nasal Cartilage-Derived Proteoglycans Alleviate Monosodium Iodoacetate-Induced Osteoarthritis in Rats. Marine Drugs, 22(11), 507. https://doi.org/10.3390/md22110507

