Nanoformulation of Seaweed Eisenia bicyclis in Albumin Nanoparticles Targeting Cardiovascular Diseases: In Vitro and In Vivo Evaluation
Abstract
1. Introduction
2. Results
2.1. Preparation and Characterization of the E. bicyclis Extract (EEB)
2.2. Preparation and Characterization of the EEB-Loaded BSA NPs
2.3. Biological Activities of E. bicyclis Extract (EEB) in the Free Form and after Encapsulation in BSA NPs (EEB NPs)
2.3.1. DPPH Radical Scavenging Assay
2.3.2. Inhibition of Acetylcholinesterase (AChE) Enzyme Activity
2.3.3. Effects against Hypercholesterolemia—HMGR Inhibition and Reduction of Cholesterol Permeation
2.4. Bioactive Compound Bioavailability in Intestinal Lining Model Caco-2 Cells
2.5. In Vitro Safety Assay
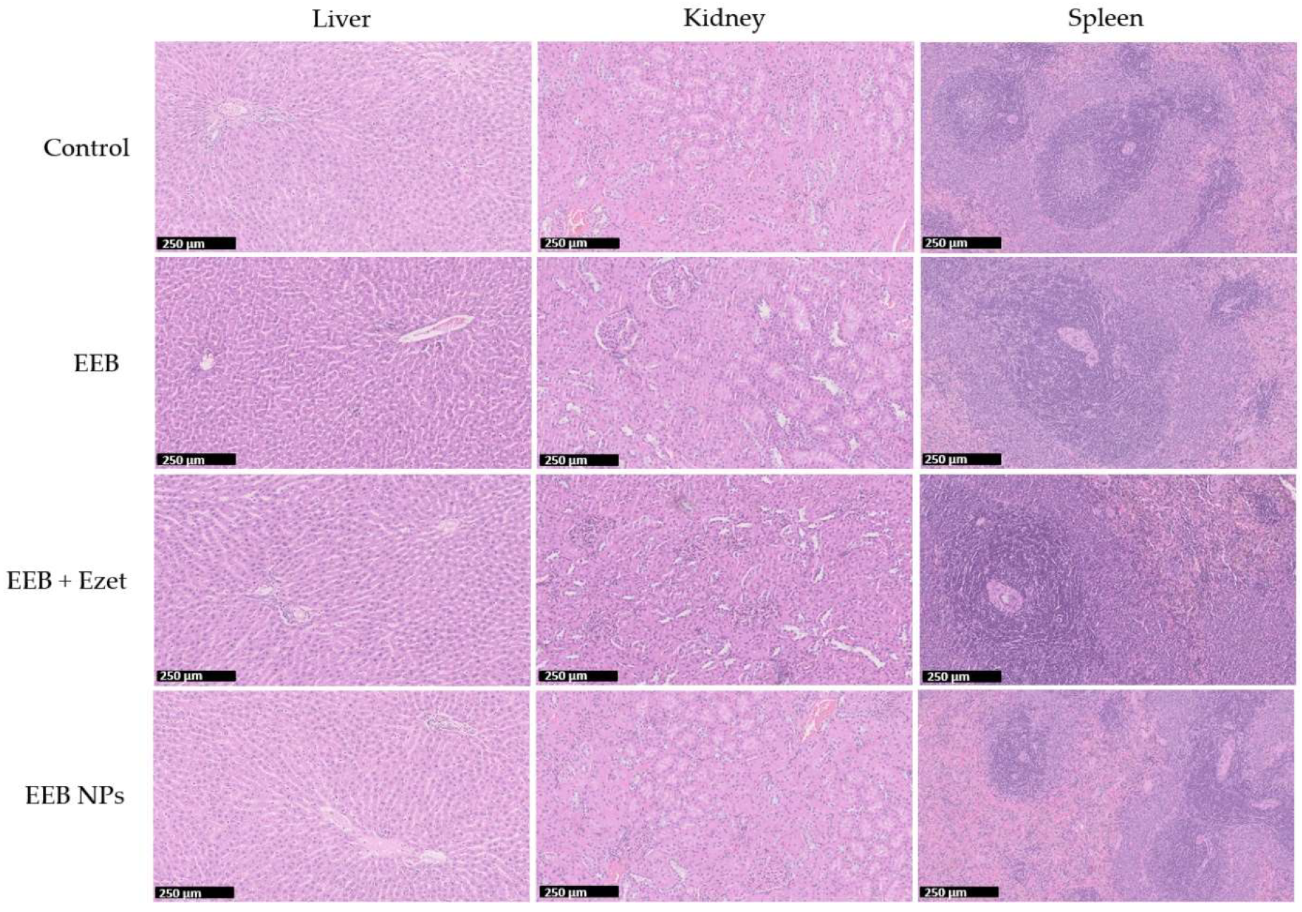
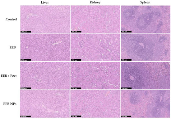
2.6. In Vivo Efficacy and Safety Assay
2.6.1. First Set of the In Vivo Assay: Eisenia bicyclis Free Extract (EEB)
2.6.2. Second Set of the In Vivo Assay: Free EEB versus EEB-Loaded BSA NPs
2.7. Preliminary In Vivo Metabolic Effects Assessed via LC-QTOF-MS
3. Discussion
4. Materials and Methods
4.1. Chemicals
4.2. Algae Material
4.3. Aqueous Eisenia bicyclis Extract (EEB) Preparation
4.4. Chemical Analysis with the HPLC-DAD
4.5. Quantification of Total Phenols
4.6. Quantification of Total Polysaccharides
4.7. Quantification of Total Proteins
4.8. Preparation of EEB-Loaded BSA NPs
4.9. Production Yield (%)
4.10. Morphology of BSA NPs
4.11. Biological Properties of EEB and EEB-Loaded BSA NPs
4.11.1. DPPH Radical Scavenging Assay
4.11.2. Inhibition of Acetylcholinesterase Activity
4.11.3. Inhibition of 3-Hidroxi-3-metilglutaril-CoA Reductase Activity
4.11.4. Reduction of Cholesterol Permeation Assay
4.11.5. Bioactive Compound Analysis
4.11.6. In Vitro Safety Assay
4.11.7. In Vivo Efficacy and Safety Assay
4.11.8. Serum Analysis via LC-QTOF-MS
4.12. Statistical Analysis
5. Conclusions
Supplementary Materials
Author Contributions
Funding
Institutional Review Board Statement
Conflicts of Interest
References
- World Health Organization Cardiovascular Diseases. Available online: https://www.who.int/en/news-room/fact-sheets/detail/cardiovascular-diseases-(cvds) (accessed on 20 August 2022).
- Casas, R.; Castro-Barquero, S.; Estruch, R.; Sacanella, E. Molecular Sciences Nutrition and Cardiovascular Health. Int. J. Mol. Sci. 2018, 19, 3988. [Google Scholar] [CrossRef] [PubMed]
- Gómez-Guzmán, M.; Rodríguez-Nogales, A.; Algieri, F.; Gálvez, J. Potential Role of Seaweed Polyphenols in Cardiovascular-Associated Disorders. Mar. Drugs 2018, 16, 250. [Google Scholar] [CrossRef] [PubMed]
- Camerino, G.M.; Musumeci, O.; Conte, E.; Musaraj, K.; Fonzino, A.; Barca, E.; Marino, M.; Rodolico, C.; Tricarico, D.; Camerino, C.; et al. Risk of Myopathy in Patients in Therapy with Statins: Identification of Biological Markers in a Pilot Study. Front. Pharmacol. 2017, 8, 500. [Google Scholar] [CrossRef] [PubMed]
- Simard, C.; Poirier, P. Ezetimibe-Associated Myopathy in Monotherapy and in Combination with a 3-Hydroxy-3-Methylglutaryl Coenzyme A Reductase Inhibitor. Can. J. Cardiol. 2006, 22, 141–144. [Google Scholar] [CrossRef]
- Stolk, M.F.J.; Becx, M.C.J.M.; Kuypers, K.C.; Seldenrijk, C.A. Severe Hepatic Side Effects of Ezetimibe. Clin. Gastroenterol. Hepatol. 2006, 4, 908–911. [Google Scholar] [CrossRef] [PubMed]
- Hans, N.; Malik, A.; Naik, S. Antiviral Activity of Sulfated Polysaccharides from Marine Algae and Its Application in Combating COVID-19: Mini Review. Bioresour. Technol. Rep. 2021, 13, 100623. [Google Scholar] [CrossRef] [PubMed]
- Ryu, B.; Kim, Y.-S.; Jeon, Y.-J. Seaweeds and Their Natural Products for Preventing Cardiovascular Associated Dysfunction. Mar. Drugs 2021, 19, 507. [Google Scholar] [CrossRef]
- Peñalver, R.; Lorenzo, J.M.; Ros, G.; Amarowicz, R.; Pateiro, M.; Nieto, G. Seaweeds as a Functional Ingredient for a Healthy Diet. Mar. Drugs 2020, 18, 301. [Google Scholar] [CrossRef]
- Jung, H.A.; Islam, M.N.; Lee, C.M.; Jeong, H.O.; Chung, H.Y.; Woo, H.C.; Choi, J.S. Promising Antidiabetic Potential of Fucoxanthin Isolated from the Edible Brown Algae Eisenia Bicyclis and Undaria Pinnatifida. Fish. Sci. 2012, 78, 1321–1329. [Google Scholar] [CrossRef]
- Nisizawa, K.; Noda, H.; Kikuchi, R.; Watanabe, T. The Main Seaweed Foods in Japan. Hydrobiologia 1987, 151–152, 5–29. [Google Scholar] [CrossRef]
- Collins, K.G.; Fitzgerald, G.F.; Stanton, C.; Ross, R.P. Looking Beyond the Terrestrial: The Potential of Seaweed Derived Bioactives to Treat Non-Communicable Diseases. Mar. Drugs 2016, 14, 60. [Google Scholar] [CrossRef]
- Choi, S.-I.; Han, H.-S.; Kim, J.-M.; Park, G.; Jang, Y.-P.; Shin, Y.-K.; Ahn, H.-S.; Lee, S.-H.; Lee, K.-T. Eisenia Bicyclis Extract Repairs UVB-Induced Skin Photoaging In Vitro and In Vivo: Photoprotective Effects. Mar. Drugs 2021, 19, 693. [Google Scholar] [CrossRef]
- Jung, H.A.; Roy, A.; Jung, J.H.; Choi, J.S. Evaluation of the Inhibitory Effects of Eckol and Dieckol Isolated from Edible Brown Alga Eisenia Bicyclis on Human Monoamine Oxidases A and B. Arch. Pharm. Res. 2017, 40, 480–491. [Google Scholar] [CrossRef]
- Imbs, T.I.; Zvyagintseva, T.N. Phlorotannins Are Polyphenolic Metabolites of Brown Algae. Russ. J. Mar. Biol. 2018, 44, 263–273. [Google Scholar] [CrossRef]
- Pereira, L. Biological and Therapeutic Properties of the Seaweed Polysaccharides. Int. Biol. Rev. 2018, 2, 1–50. [Google Scholar] [CrossRef]
- Lee, S.-H.; Eom, S.-H.; Yoon, N.-Y.; Kim, M.-M.; Li, Y.-X.; Ha, S.K.; Kim, S.-K. Fucofuroeckol-A from Eisenia Bicyclis Inhibits Inflammation in Lipopolysaccharide-Induced Mouse Macrophages via Downregulation of the MAPK/NF-KB Signaling Pathway. J. Chem. 2016, 2016, 6509212. [Google Scholar] [CrossRef]
- Yeung, A.W.K.; Souto, E.; Durazzo, A.; Lucarini, M.; Novellino, E.; Tewari, D.; Wang, D.; Atanasov, A.G.; Santini, A. Big impact of nanoparticles: Analysis of the most cited nanopharmaceuticals and nanonutraceuticals research. Curr. Res. Biotechnol. 2020, 2, 53–63. [Google Scholar] [CrossRef]
- Roque, L.; Castro, P.; Molpeceres, J.; Viana, A.S.; Roberto, A.; Reis, C.; Rijo, P.; Tho, I.; Sarmento, B.; Reis, C. Bioadhesive Polymeric Nanoparticles as Strategy to Improve the Treatment of Yeast Infections in Oral Cavity: In-Vitro and Ex-Vivo Studies. Eur. Polym. J. 2018, 104, 19–31. [Google Scholar] [CrossRef]
- Reis, C.P.; Roque, L.V.; Baptista, M.; Rijo, P. Innovative Formulation of Nystatin Particulate Systems in Toothpaste for Candidiasis Treatment. Pharm. Dev. Technol. 2016, 21, 282–287. [Google Scholar] [CrossRef]
- Mota, A.H.; Duarte, N.; Serra, A.T.; Ferreira, A.; Bronze, M.R.; Custódio, L.; Gaspar, M.M.; Simões, S.; Rijo, P.; Ascensão, L.; et al. Further Evidence of Possible Therapeutic Uses of Sambucus Nigra L. Extracts by the Assessment of the In Vitro and In Vivo Anti-Inflammatory Properties of Its PLGA and PCL-Based Nanoformulations. Pharmaceutics 2020, 12, 1181. [Google Scholar] [CrossRef]
- Zaman, M.; Ahmad, E.; Qadeer, A.; Rabbani, G.; Khan, R.H. Nanoparticles in Relation to Peptide and Protein Aggregation. Int. J. Nanomed. 2014, 9, 899–912. [Google Scholar]
- Verma, D.; Gulati, N.; Kaul, S.; Mukherjee, S.; Nagaich, U. Protein Based Nanostructures for Drug Delivery. J. Pharm. 2018, 2018, 9285854. [Google Scholar] [CrossRef]
- Santos-Rebelo, A.; Kumar, P.; Pillay, V.; Choonara, Y.E.; Eleutério, C.; Figueira, M.; Viana, A.S.; Ascensão, L.; Molpeceres, J.; Rijo, P.; et al. Development and Mechanistic Insight into the Enhanced Cytotoxic Potential of Parvifloron D Albumin Nanoparticles in EGFR-Overexpressing Pancreatic Cancer Cells. Cancers 2019, 11, 1733. [Google Scholar] [CrossRef]
- Howell, N.K.; Taylor, C. Effect of Ascorbic Acid on the Foaming and Gelling of Globular Proteins. Int. J. Food Sci. Technol. 1995, 30, 321–334. [Google Scholar] [CrossRef]
- Yu, X.; Zhu, W.; Di, Y.; Gu, J.; Guo, Z.; Li, H.; Fu, D.; Jin, C. Triple-Functional Albumin-Based Nanoparticles for Combined Chemotherapy and Photodynamic Therapy of Pancreatic Cancer with Lymphatic Metastases. Int. J. Nanomed. 2017, 12, 6771–6785. [Google Scholar] [CrossRef]
- Galisteo-González, F.; Molina-Bolívar, J.A. Systematic Study on the Preparation of BSA Nanoparticles. Colloids Surf. B Biointerfaces 2014, 123, 286–292. [Google Scholar] [CrossRef]
- Ahmed, T.A.; Alay, A.M.S.; Okbazghi, S.Z.; Alhakamy, N.A. Two-Step Optimization to Develop a Transdermal Film Loaded with Dapoxetine Nanoparticles: A Promising Technique to Improve Drug Skin Permeation. Dose-Response Int. J. 2020, 18, 1559325820923859. [Google Scholar] [CrossRef]
- Zhao, Y.; Zhou, Y.; Yang, D.; Gao, X.; Wen, T.; Fu, J.; Wen, X.; Quan, G.; Pan, X.; Wu, C. Intelligent and Spatiotemporal Drug Release Based on Multifunctional Nanoparticle-Integrated Dissolving Microneedle System for Synergetic Chemo-Photothermal Therapy to Eradicate Melanoma. Acta Biomater. 2021, 135, 164–178. [Google Scholar] [CrossRef]
- Chaudhary, R.; Nawaz, K.; Khan, A.K.; Hano, C.; Abbasi, B.H.; Anjum, S. An Overview of the Algae-Mediated Biosynthesis of Nanoparticles and Their Biomedical Applications. Biomolecules 2020, 10, 1498. [Google Scholar] [CrossRef]
- Santos-Rebelo, A.; Garcia, C.; Eleutério, C.; Bastos, A.; Coelho, S.C.; Coelho, M.A.N.; Molpeceres, J.; Viana, A.S.; Ascensão, L.; Pinto, J.F.; et al. Development of Parvifloron D-Loaded Smart Nanoparticles to Target Pancreatic Cancer. Pharmaceutics 2018, 10, 216. [Google Scholar] [CrossRef]
- Brito, E.; Silva, A.; Falé, P.L.V.; Pacheco, R.; Serralheiro, A.; Haris, P.I.; Ascensão, L.; Serralheiro, M.L. Serum Albumin Modulates the Bioactivity of Rosmarinic Acid. J. Med. Food 2018, 21, 801–807. [Google Scholar] [CrossRef] [PubMed]
- Tini, G.; Scagliola, R.; Monacelli, F.; La Malfa, G.; Porto, I.; Brunelli, C.; Rosa, G.M. Alzheimer’s Disease and Cardiovascular Disease: A Particular Association. Cardiol. Res. Pract. 2020, 2020, 2617970. [Google Scholar] [CrossRef] [PubMed]
- Tublin, J.M.; Adelstein, J.M.; del Monte, F.; Combs, C.K.; Wold, L.E. Getting to the Heart of Alzheimer Disease. Circ. Res. 2019, 124, 142–149. [Google Scholar] [CrossRef] [PubMed]
- Vecchio, I.; Sorrentino, L.; Paoletti, A.; Marra, R.; Arbitrio, M. The State of The Art on Acetylcholinesterase Inhibitors in the Treatment of Alzheimer’s Disease. J. Cent. Nerv. Syst. Dis. 2021, 13, 11795735211029113. [Google Scholar] [CrossRef]
- Jarvie, E.M.; Cellek, S.; Sanger, G.J. Potentiation by cholinesterase inhibitors of cholinergic activity in rat isolated stomach and colon. Pharmacol. Res. 2008, 58, 5–6. [Google Scholar] [CrossRef]
- Martinez-Hervas, S.; Ascaso, J.F. Hypercholesterolemia. Encycl. Endocr. Dis. 2018, 1, 1–7. [Google Scholar]
- Yuan, L.; Zhang, F.; Jia, S.; Xie, J.; Shen, M. Differences between Phytosterols with Different Structures in Regulating Cholesterol Synthesis, Transport and Metabolism in Caco-2 Cells. J. Funct. Foods 2020, 65, 103715. [Google Scholar] [CrossRef]
- André, R.; Guedes, L.; Melo, R.; Ascensão, L.; Pacheco, R.; Vaz, P.D.; Serralheiro, M.L. Effect of Food Preparations on In Vitro Bioactivities and Chemical Components of Fucus Vesiculosus. Foods 2020, 9, 955. [Google Scholar] [CrossRef]
- Kim, Y.M.; Han, C.K.; Bang, S.J.; Park, J.H. Effects of Laminaran from Eisenia Bicyclis on Serum Lipids in Rats Fed High Cholesterol Diet. J. Korean Soc. Food Sci. Nutr. 2006, 35, 841–846. [Google Scholar]
- Maares, M.; Haase, H. A Guide to Human Zinc Absorption: General Overview and Recent Advances of In Vitro Intestinal Models. Nutrients 2020, 12, 762. [Google Scholar] [CrossRef]
- Nutescu, E.A.; Shapiro, N.L. Ezetimibe: A Selective Cholesterol Absorption Inhibitor. Pharmacotherapy 2003, 23, 1463–1474. [Google Scholar] [CrossRef]
- Lomartire, S.; Marques, J.C.; Gonçalves, A.M.M. An Overview to the Health Benefits of Seaweeds Consumption. Mar. Drugs 2021, 19, 341. [Google Scholar] [CrossRef]
- Boik, J.C. Natural Compounds in Cancer Therapy, 1st ed.; Farnell, S., Ed.; Oregon Medical Press: Princeton, MN, USA, 2001. [Google Scholar]
- Ganesan, A.R.; Subramani, K.; Balasubramanian, B.; Liu, W.C.; Arasu, M.V.; Al-Dhabi, N.A.; Duraipandiyan, V. Evaluation of in Vivo Sub-Chronic and Heavy Metal Toxicity of under-Exploited Seaweeds for Food Application. J. King Saud. Univ. Sci. 2020, 32, 1088–1095. [Google Scholar] [CrossRef]
- Mišurcová, L.; Ambrožová, J.; Samek, D. Seaweed Lipids as Nutraceuticals. In Advances in Food and Nutrition Research; Academic Press: Cambridge, MA, USA, 2011; Volume 64, pp. 339–355. [Google Scholar]
- Nakamura, A.; Sato, K.; Kanazawa, M.; Kondo, M.; Endo, H.; Takahashi, T.; Nozaki, E. Impact of Decreased Insulin Resistance by Ezetimibe on Postprandial Lipid Profiles and Endothelial Functions in Obese, Non-Diabetic-Metabolic Syndrome Patients with Coronary Artery Disease. Heart Vessel. 2019, 34, 916–925. [Google Scholar] [CrossRef]
- Nurhidajah; Astuti, R.; Nurrahman. Black Rice Potential in HDL and LDL Profile in Sprague Dawley Rat with High Cholesterol Diet. IOP Conf. Ser. Earth Environ. Sci. 2019, 292, 012019. [Google Scholar] [CrossRef]
- Lima, C.M.; Lima, A.K.; Melo, M.G.D.; Dória, G.A.A.; Leite, B.L.S.; Serafim, M.R.; Albuquerque-Júnior, R.L.C.; Araújo, A.A.S. Valores de Referência Hematológicos e Bioquímicos de Ratos (Rattus Novergicus Linhagem Wistar) Provenientes Do Biotério Da Universidade Tiradentes. Sci. Plena 2014, 10, 1–9. [Google Scholar]
- Yitshak-Sade, M.; Mendelson, N.; Novack, V.; Codish, S.; Liberty, I.F. The Association between an Increase in Glucose Levels and Armed Conflict-Related Stress: A Population-Based Study. Sci. Rep. 2020, 10, 1710–1716. [Google Scholar] [CrossRef]
- Bartel, J.; Krumsiek, J.; Theis, F.J. Statistical Methods for the Analysis of High-Throughput Metabolomics Data. Comput. Struct. Biotechnol. J. 2013, 4, e201301009. [Google Scholar] [CrossRef]
- Worley, B.; Powers, R. Multivariate Analysis in Metabolomics. Curr. Metab. 2013, 1, 92–107. [Google Scholar]
- Hamana, K.; Kobayashi, M.; Furuchi, T.; Hayashi, H.; Niitsu, M. Polyamine Analysis of Brown-Algal Seaweeds (Class Phaeophyceae) from Food Markets-Distribution of Diaminohexane, Penta-Amines, and Hexa-Amine. Microb. Resour. Syst. 2017, 33, 3–8. [Google Scholar]
- Jeong, J.-W.; Cha, H.-J.; Han, M.H.; Hwang, S.J.; Lee, D.-S.; Yoo, J.S.; Choi, I.-W.; Kim, S.; Kim, H.-S.; Kim, G.-Y.; et al. Spermidine Protects against Oxidative Stress in Inflammation Models Using Macrophages and Zebrafish. Biomol. Ther. 2018, 26, 146–156. [Google Scholar] [CrossRef]
- Jafarnejad, A.; Bathaie, S.Z.; Nakhjavani, M.; Hassan, M.Z. Effect of Spermine on Lipid Profile and HDL Functionality in the Streptozotocin-Induced Diabetic Rat Model. Life Sci. 2008, 82, 301–307. [Google Scholar] [CrossRef]
- Sattler, K.J.E.; Elbasan, Ş.; Keul, P.; Elter-Schulz, M.; Bode, C.; Gräler, M.H.; Bröcker-Preuss, M.; Budde, T.; Erbel, R.; Heusch, G.; et al. Sphingosine 1-Phosphate Levels in Plasma and HDL Are Altered in Coronary Artery Disease. Basic Res. Cardiol. 2010, 105, 821–832. [Google Scholar] [CrossRef]
- Levkau, B. HDL-S1P: Cardiovascular Functions, Disease-Associated Alterations, and Therapeutic Applications. Front. Pharmacol. 2015, 6, 243. [Google Scholar] [CrossRef]
- Milakfsky, L.; Hare, T.A.; Miller, J.M.; Vogel, W.H. Rat Plasma Levels of Amino Acids and Related Compounds during Stress. Life Sci. 1985, 36, 753–761. [Google Scholar] [CrossRef]
- National Research Council. Protein and amino acids. In Recommended Dietary Allowances; National Academies Press: Washington, DC, USA, 1989; pp. 52–77. [Google Scholar]
- Noto, D.; Fayer, F.; Cefalù, A.B.; Altieri, I.; Palesano, O.; Spina, R.; Valenti, V.; Pitrone, M.; Pizzolanti, G.; Barbagallo, C.M.; et al. Myristic Acid Is Associated to Low Plasma HDL Cholesterol Levels in a Mediterranean Population and Increases HDL Catabolism by Enhancing HDL Particles Trapping to Cell Surface Proteoglycans in a Liver Hepatoma Cell Model. Atherosclerosis 2016, 246, 50–56. [Google Scholar] [CrossRef]
- Afonso, M.S.; Lavrador, M.S.F.; Koike, M.K.; Cintra, D.E.; Ferreira, F.D.; Nunes, V.S.; Castilho, G.; Gioielli, L.A.; Paula Bombo, R.; Catanozi, S.; et al. Dietary Interesterified Fat Enriched with Palmitic Acid Induces Atherosclerosis by Impairing Macrophage Cholesterol Efflux and Eliciting Inflammation. J. Nutr. Biochem. 2016, 32, 91–100. [Google Scholar]
- Rinne, P.; Guillamat-Prats, R.; Rami, M.; Bindila, L.; Ring, L.; Lyytikainen, L.P.; Raitoharju, E.; Oksala, N.; Lehtimaki, T.; Weber, C.; et al. Palmitoylethanolamide Promotes a Proresolving Macrophage Phenotype and Attenuates Atherosclerotic Plaque Formation. Arterioscler. Thromb. Vasc. Biol. 2018, 38, 2562–2575. [Google Scholar]
- Han, A.-R.; Park, H.R.; Kim, G.J.; Kim, B.; Kim, Y.; Park, H.H.; Park, J.; Jin, C.H.; Kim, J.M.; Kwon, S.; et al. 18:0 Lyso PC Derived by Bioactivity-Based Molecular Networking from Lentil Mutant Lines and Its Effects on High-Fat Diet-Induced Obese Mice. Molecules 2021, 26, 7547. [Google Scholar] [CrossRef]
- Wong, T.Y.; Islam, F.M.A.; Klein, R.; Klein, B.E.K.; Cotch, M.F.; Castro, C.; Sharrett, A.R.; Shahar, E. Retinal Vascular Caliber, Cardiovascular Risk Factors, and Inflammation: The Multi-Ethnic Study of Atherosclerosis (MESA). Investig. Ophthalmol. Vis. Sci. 2006, 47, 2341–2350. [Google Scholar] [CrossRef]
- Michelson, G.; Wärntges, S.; Leidig, S.; Lötsch, J.; Geisslinger, G. Nimodipine Plasma Concentration and Retinal Blood Flow in Healthy Subjects. Investig. Ophthalmol. Vis. Sci. 2006, 47, 3479–3486. [Google Scholar] [CrossRef] [PubMed][Green Version]
- Yang, K.; Wang, J.; Xiang, H.; Ding, P.; Wu, T.; Ji, G. LCAT- Targeted Therapies: Progress, Failures and Future. Biomed. Pharmacother. 2022, 147, 112677. [Google Scholar] [CrossRef] [PubMed]
- Duivenvoorden, I.; Voshol, P.J.; Rensen, P.C.; van Duyvenvoorde, W.; Romijn, J.A.; Emeis, J.J.; Havekes, L.M.; Nieuwenhuizen, W.F. Dietary Sphingolipids Lower Plasma Cholesterol and Triacylglycerol and Prevent Liver Steatosis in APOE*3Leiden Mice. Am. J. Clin. Nutr. 2006, 84, 312–321. [Google Scholar] [CrossRef] [PubMed]
- Parri, A.; Fitó, M.; Torres, C.F.; Muñoz-Aguayo, D.; Schröder, H.; Cano, J.F.; Vázquez, L.; Reglero, G.; Covas, M.-I. Alkylglycerols Reduce Serum Complement and Plasma Vascular Endothelial Growth Factor in Obese Individuals. Inflammopharmacology 2016, 24, 127–131. [Google Scholar] [CrossRef][Green Version]
- Reboul, E. Absorption of Vitamin A and Carotenoids by the Enterocyte: Focus on Transport Proteins. Nutrients 2013, 5, 3563–3581. [Google Scholar] [CrossRef]
- Ghenimi, N.; Beauvieux, M.-C.; Biran, M.; Pallet, V.; Higueret, P.; Gallis, J.-L. Vitamin A Deficiency in Rats Induces Anatomic and Metabolic Changes Comparable with Those of Neurodegenerative Disorders. J. Nutr. 2009, 139, 696–702. [Google Scholar] [CrossRef]
- Cacicedo, M.L.; Islan, G.A.; León, I.E.; Álvarez, V.A.; Chourpa, I.; Allard-Vannier, E.; García-Aranda, N.; Díaz-Riascos, Z.V.; Fernández, Y.; Schwartz, S., Jr.; et al. Bacterial Cellulose Hydrogel Loaded with Lipid Nanoparticles for Localized Cancer Treatment. Colloids Surf. B Biointerfaces 2018, 170, 596–608. [Google Scholar] [CrossRef]
- Reis, C.P.; Figueiredo, I.V.; Carvalho, R.A.; Jones, J.; Nunes, P.; Soares, A.F.; Silva, C.F.; Ribeiro, A.J.; Veiga, F.J.; Damgé, C.; et al. Toxicological Assessment of Orally Delivered Nanoparticulate Insulin. Nanotoxicology 2008, 2, 205–217. [Google Scholar] [CrossRef]
- He, C.; Yin, L.; Tang, C.; Yin, C. Size-Dependent Absorption Mechanism of Polymeric Nanoparticles for Oral Delivery of Protein Drugs. Biomaterials 2012, 33, 8569–8578. [Google Scholar] [CrossRef]
- Gao, H.; He, Q. The Interaction of Nanoparticles with Plasma Proteins and the Consequent Influence on Nanoparticles Behavior. Expert Opin. Drug Deliv. 2014, 11, 409–420. [Google Scholar] [CrossRef]
- Ernsting, M.J.; Murakami, M.; Roy, A.; Li, S.-D. Factors Controlling the Pharmacokinetics, Biodistribution and Intratumoral Penetration of Nanoparticles. J. Control. Release 2013, 172, 782–794. [Google Scholar] [CrossRef]
- Swami, A.; Shi, J.; Gadde, S.; Votruba, A.R.; Kolishetti, N.; Farokhzad, O.C. Nanoparticles for Targeted and Temporally Controlled Drug Delivery. In Multifunctional Nanoparticles for Drug Delivery Applications; Svenson, S., Prud’homme, R.K., Eds.; Springer: Boston, MA, USA, 2012; pp. 9–29. [Google Scholar]
- Henriques, J.; Ribeiro, M.J.; Falé, P.L.; Pacheco, R.; Ascensão, L.; Florêncio, M.H.; Serralheiro, M.L.M. Valorization of Kiwifruit Production: Leaves of the Pruning Branches of Actinidia Deliciosa as a Promising Source of Polyphenols. Eur. Food Res. Technol. 2017, 243, 1343–1353. [Google Scholar]
- Karam, I.; Yang, Y.J.; Li, J.Y. Hyperlipidemia Background and Progress. SM Atheroscler. J. 2017, 1, 1–8. [Google Scholar]
- Betters, J.L.; Yu, L. NPC1L1 and Cholesterol Transport. FEBS Lett. 2010, 584, 2740–2747. [Google Scholar] [CrossRef]
- Van Heek, M.; Compton, D.S.; Davis, H.R. The Cholesterol Absorption Inhibitor, Ezetimibe, Decreases Diet-Induced Hypercholesterolemia in Monkeys. Eur. J. Pharmacol. 2001, 415, 79–84. [Google Scholar] [CrossRef]
- André, R.; Pacheco, R.; Bourbon, M.; Serralheiro, M.L. Brown Algae Potential as a Functional Food against Hypercholesterolemia: Review. Foods 2021, 10, 234. [Google Scholar] [CrossRef]
- Piao, Y.; Liu, Y.; Xie, X. Change Trends of Organ Weight Background Data in Sprague Dawley Rats at Different Ages. J. Toxicol. Pathol. 2013, 26, 29–34. [Google Scholar] [CrossRef]
- Oktay, M.; Gülçin, I.; Küfrevioǧlu, Ö.I. Determination of in Vitro Antioxidant Activity of Fennel (Foeniculum vulgare) Seed Extracts. LWT-Food Sci. Technol. 2003, 36, 263–271. [Google Scholar] [CrossRef]
- Masuko, T.; Minami, A.; Iwasaki, N.; Majima, T.; Nishimura, S.I.; Lee, Y.C. Carbohydrate Analysis by a Phenol-Sulfuric Acid Method in Microplate Format. Anal. Biochem. 2005, 339, 69–72. [Google Scholar] [CrossRef]
- Gorg, A. 2-D Electrophoresis. Principles and Methods. GE Healthc. 2004, 80-6429-60 AD, 38–40. [Google Scholar]
- Falé, P.L.; Ferreira, C.; Rodrigues, A.M.; Cleto, P.; Madeira, P.J.A.; Florêncio, M.H.; Frazão, F.N.; Serralheiro, M.L.M. Antioxidant and Anti-Acetylcholinesterase Activity of Commercially Available Medicinal Infusions after In Vitro Gastrointestinal Digestion. J. Med. Plants Res. 2013, 7, 1370–1378. [Google Scholar]
- Sigma-Aldrich HMG-CoA Reductase (HMGR) Assay Kit. Available online: https://www.sigmaaldrich.com/deepweb/assets/sigmaaldrich/product/documents/411/854/cs1090bul.pdf (accessed on 20 August 2022).
- Arantes, A.A.; Falé, P.L.; Costa, L.C.B.; Pacheco, R.; Ascensão, L.; Serralheiro, M.L. Inhibition of HMG-CoA Reductase Activity and Cholesterol Permeation through Caco-2 Cells by Caffeoylquinic Acids from Vernonia Condensata Leaves. Rev. Bras. Farmacogn. 2016, 26, 738–743. [Google Scholar] [CrossRef]
- Mosmann, T. Rapid Colorimetric Assay for Cellular Growth and Survival: Application to Proliferation and Cytotoxicity Assays. J. Immunol. Methods 1983, 65, 55–63. [Google Scholar] [CrossRef]











| Samples | Mean Size (nm) | Polydispersity Index | Zeta Potential (mV) | EE (%) |
|---|---|---|---|---|
| Empty BSA NPs | 104 ± 8 | 0.285 ± 0.028 | −12.3 ± 2.1 | ---- |
| EEB-loaded BSA NPs (10 mg of EEB) | 226 ± 21 | 0.471 ± 0.101 | −13.0 ± 1.2 | 96 |
| EEB-loaded BSA NPs (25 mg of EEB) | 71 ± 4 | 0.631 ± 0.181 | −11.6 ± 1.2 | 87 |
| EEB-loaded BSA NPs (50 mg of EEB) | 85 ± 7 | 0.713 ± 0.080 | −15.8 ± 4.4 | 71 |
| Samples | Week 0 | Week 1 | Week 2 | Week 3 | Week 4 | Week 5 |
|---|---|---|---|---|---|---|
| Control | 375 ± 18 | 377 ± 12 (101 ± 2) | 394 ± 4 (105 ± 3) | 415 ± 6 (111 ± 3) | 400 ± 2 (107 ± 4) | 432 ± 3 (116 ± 5) |
| EEB | 409 ± 8 | 418 ± 7 (102 ± 1) | 427 ± 6 (104 ± 1) | 434± 6 (106 ± 2) | 435 ± 10 (107 ± 2) | 453 ± 8 (111 ± 3) |
| Ezet | 384 ± 12 | 391 ± 9 (102 ±1) | 402 ± 10 (105 ± 1) | 412 ± 10 (108 ± 1) | 419 ± 9 (109 ± 1) | 440 ± 10 (115 ± 2) |
| EEB + Ezet | 393 ± 6 | 402 ± 6 (102 ± 0) | 412 ± 5 (105 ± 1) | 425 ± 5 (108 ± 1) | 426 ± 3 (109 ± 1) | 447 ± 8 (114 ± 0) |
| Samples | Week 1 | Week 2 | Week 3 | Week 4 | Week 5 |
|---|---|---|---|---|---|
| Control | 194 ± 1 | 184 ± 2 (95 ± 1) | 187 ± 1 (96 ± 0) | 182 ± 3 (94 ± 1) | 187 ± 0 (96 ± 1) |
| EEB | 202 ± 4 | 186 ± 5 (92 ± 2) | 177 ± 3 (88 ± 1) | 182 ± 5 (90 ± 1) | 181 ± 5 (90 ± 2) |
| Ezet | 189 ± 4 | 176 ± 6 (93 ± 2) | 177 ± 3 (94 ± 1) | 182 ± 6 (96 ± 2) | 181 ± 5 (96 ± 1) |
| EEB + Ezet | 194 ± 1 | 179 ± 4 (92 ± 2) | 177 ± 3 (92 ± 1) | 176 ± 3 (91 ± 1) | 173 ± 4 (89 ± 1) |
| Samples | Week 0 | Week 1 | Week 2 | Week 3 | Week 4 | Week 5 |
|---|---|---|---|---|---|---|
| Control | 139 ± 2 | 159 ± 1 (115 ± 1) | 178 ± 2 (129 ± 1) | 164 ± 9 (118 ± 4) | 143 ± 11 (103 ± 6) | 209 ± 6 (151 ± 2) |
| EEB | 147 ± 1 | 161 ± 4 (110 ± 2) | 172 ± 8 (117 ± 5) | 150 ± 5 (103 ± 3) | 158 ± 10 (108 ± 7) | 174 ± 3 (119 ± 1) |
| Ezet | 149 ± 4 | 152 ± 4 (102 ± 3) | 163 ± 2 (109 ± 4) | 143 ± 5 (96 ± 3) | 142 ± 2 (96 ± 2) | 215 ± 19 (144 ± 14) |
| EEB + Ezet | 147 ± 6 | 158 ± 5 (107 ± 4) | 164 ± 1 (112 ± 4) | 156 ± 6 (106 ± 4) | 148 ± 3 (101 ± 2) | 231 ± 10 (158 ± 12) |
| Samples | Week 0 | Week 1 | Week 2 | Week 3 | Week 4 |
|---|---|---|---|---|---|
| Control | 405 ± 7 | 435 ± 8 (107 ± 1) | 427 ± 12 (105 ± 1) | 434 ± 12 (107 ± 1) | 445 ± 14 (110 ± 2) |
| EEB | 392 ± 18 | 399 ± 18 (102 ± 1) | 400 ± 15 (102 ± 2) | 408 ± 15 (104 ± 2) | 417 ± 15 (107 ± 1) |
| EEB + Ezet | 428 ± 13 | 444 ± 14 (104 ± 1) | 446 ± 13 (104 ± 0) | 456 ± 13 (107 ± 1) | 465 ± 13 (109 ± 0) |
| EEB NPs | 411 ± 8 | 425 ± 7 (106 ± 4) | 430 ± 8 (105 ± 0) | 437 ± 8 (106 ± 0) | 450 ± 8 (110 ± 0) |
| Samples | Week 1 | Week 2 | Week 3 | Week 4 |
|---|---|---|---|---|
| Control | 801 | 728 (91) | 801 (100) | 802 (100) |
| EEB | 862 | 827 (96) | 861 (100) | 824 (96) |
| EEB + Ezet | 845 | 921 (109) | 911 (108) | 888 (105) |
| EEB NPs | 712 | 899 (126) | 851 (120) | 914 (128) |
| Samples | Week 0 | Week 1 | Week 2 | Week 3 | Week 4 |
|---|---|---|---|---|---|
| Control | 76 ± 2 | 95 ± 9 (125 ± 9) | 82 ± 6 (109 ± 7) | 94 ± 8 (123 ± 7) | 102 ± 7 (138 ± 7) |
| EEB | 76 ± 1 | 87 ± 3 (115 ± 2) | 93 ± 3 (122 ± 3) | 88 ± 2 (117 ± 5) | 135 ± 16 (179 ± 22) |
| EEB + Ezet | 81 ± 3 | 87 ± 2 (107 ± 3) | 79 ± 2 (97 ± 4) | 95 ± 4 (118 ± 6) | 128 ± 8 (158 ± 13) |
| EEB NPs | 82 ± 4 | 84 ± 3 (96 ± 14) | 80 ± 8 (97 ± 9) | 97 ± 1 (118 ± 6) | 115 ± 5 (140 ± 1) |
| Tissue Index | |||
|---|---|---|---|
| Group | Liver | Kidney | Spleen |
| Control | 17.53 ± 0.29 | 5.70 ± 0.08 | 4.27 ± 0.08 |
| EEB | 16.65 ± 0.23 | 5.53 ± 0.04 | 4.01 ± 0.13 |
| EEB + Ezet | 16.47 ± 0.37 | 5.61 ± 0.10 | 4.01 ± 0.04 |
| EEB NPs | 16.92 ± 0.37 | 5.42 ± 0.11 | 4.36 ± 0.15 |
| Time (min) | % Water + 0.1% Formic Acid | % Acetonitrile + 0.1% Formic Acid |
|---|---|---|
| 0.0 | 95 | 5 |
| 1.5 | 95 | 5 |
| 13.5 | 25 | 75 |
| 18.5 | 0 | 100 |
| 21.5 | 0 | 100 |
| 23.5 | 95 | 5 |
| 30.0 | 95 | 5 |
Publisher’s Note: MDPI stays neutral with regard to jurisdictional claims in published maps and institutional affiliations. |
© 2022 by the authors. Licensee MDPI, Basel, Switzerland. This article is an open access article distributed under the terms and conditions of the Creative Commons Attribution (CC BY) license (https://creativecommons.org/licenses/by/4.0/).
Share and Cite
Pinto, S.; Gaspar, M.M.; Ascensão, L.; Faísca, P.; Reis, C.P.; Pacheco, R. Nanoformulation of Seaweed Eisenia bicyclis in Albumin Nanoparticles Targeting Cardiovascular Diseases: In Vitro and In Vivo Evaluation. Mar. Drugs 2022, 20, 608. https://doi.org/10.3390/md20100608
Pinto S, Gaspar MM, Ascensão L, Faísca P, Reis CP, Pacheco R. Nanoformulation of Seaweed Eisenia bicyclis in Albumin Nanoparticles Targeting Cardiovascular Diseases: In Vitro and In Vivo Evaluation. Marine Drugs. 2022; 20(10):608. https://doi.org/10.3390/md20100608
Chicago/Turabian StylePinto, Sofia, Maria Manuela Gaspar, Lia Ascensão, Pedro Faísca, Catarina Pinto Reis, and Rita Pacheco. 2022. "Nanoformulation of Seaweed Eisenia bicyclis in Albumin Nanoparticles Targeting Cardiovascular Diseases: In Vitro and In Vivo Evaluation" Marine Drugs 20, no. 10: 608. https://doi.org/10.3390/md20100608
APA StylePinto, S., Gaspar, M. M., Ascensão, L., Faísca, P., Reis, C. P., & Pacheco, R. (2022). Nanoformulation of Seaweed Eisenia bicyclis in Albumin Nanoparticles Targeting Cardiovascular Diseases: In Vitro and In Vivo Evaluation. Marine Drugs, 20(10), 608. https://doi.org/10.3390/md20100608

