Clinicopathological Implications of Maspin, CD8, and PD-L1 Expression in Liposarcomas
Abstract
1. Introduction
2. Materials and Methods
2.1. Case Selection
2.2. Immunohistochemistry Analysis and Interpretation
2.3. Statistical Analysis
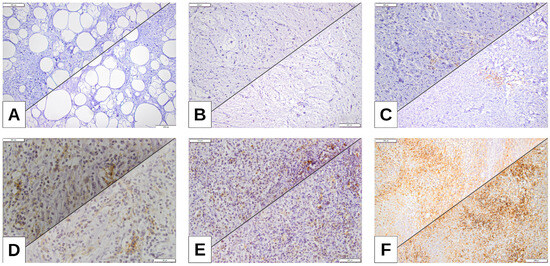
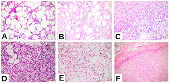
3. Results
3.1. Clinicopathological Characteristics of the Study Cohort
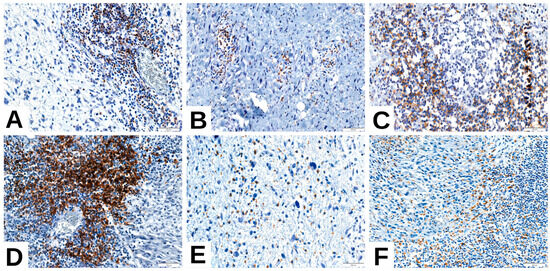
3.2. PD-L1 Expression Using DAKO 22C3 and 28-8 Clones
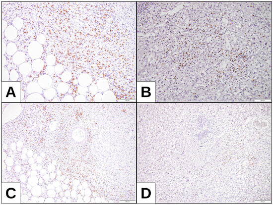
3.3. Correlation Between PD-L1 Expression and CD8+ Tumor-Infiltrating Lymphocytes
3.4. PD-L1 Expression in Tumor and Inflammatory Cells
3.5. Association of PD-L1 Expression with Tumor Differentiation
3.6. Correlation Between PD-L1 and Maspin Expression
3.7. Exploratory Immune Profiling
3.8. Survival Analysis
4. Discussion
4.1. PD-L1 Expression and Its Clinical Significance in Sarcomas
4.2. CD8+ Tumor-Infiltrating Lymphocytes and the PD-L1/PD-1 Axis
4.3. Biological Interplay Between Maspin and PD-L1 in Liposarcomas
4.4. Prognostic and Predictive Value of PD-L1 as a Biomarker
4.5. Limitations of the Study
5. Conclusions
Author Contributions
Funding
Institutional Review Board Statement
Informed Consent Statement
Data Availability Statement
Conflicts of Interest
Abbreviations
| ALT | Atypical lipomatous tumor |
| WDLS | Well-differentiated liposarcoma |
| DDLPS | Dedifferentiated liposarcoma |
| MLS | Myxoid liposarcoma |
| PLPS | Pleomorphic liposarcoma |
| MPLS | Myxoid pleomorphic liposarcoma |
| PD-1 | Programmed cell death receptor-1 |
| PD-L1 | Programmed death ligand 1 |
| IHC | Immunohistochemistry |
| IC | Immune cell score |
| H-score | Histochemical score |
| TPS | Tumor proportion score |
| TC | Tumor cell score |
| TIL | Tumor-infiltrating lymphocyte |
| FNCLCC | Fédération Nationale des Centres de Lutte Contre le Cancer |
References
- Haddox, C.L.; Riedel, R.F. Recent advances in the understanding and management of liposarcoma. Fac. Rev. 2021, 10, 1. [Google Scholar] [CrossRef] [PubMed] [PubMed Central]
- Bill, K.L.; Casadei, L.; Prudner, B.C.; Iwenofu, H.; Strohecker, A.M.; Pollock, R.E. Liposarcoma: Molecular targets and therapeutic implications. Cell Mol. Life Sci. 2016, 73, 3711–3718. [Google Scholar] [CrossRef] [PubMed] [PubMed Central]
- Song, Z.; Lu, L.; Gao, Z.; Zhou, Q.; Wang, Z.; Sun, L.; Zhou, Y. Immunotherapy for liposarcoma: Emerging opportunities and challenges. Future Oncol. 2022, 18, 3449–3461. [Google Scholar] [CrossRef] [PubMed]
- Sbaraglia, M.; Bellan, E.; Dei Tos, A.P. The 2020 WHO Classification of Soft Tissue Tumours: News and perspectives. Pathologica 2021, 113, 70–84. [Google Scholar] [CrossRef] [PubMed] [PubMed Central]
- Patrichi, A.; Gurzu, S. Pathogenetic and molecular classifications of soft tissue and bone tumors: A 2024 update. Pathol. Res. Pract. 2024, 260, 155406. [Google Scholar] [CrossRef] [PubMed]
- Xie, M.; Huang, X.; Ye, X.; Qian, W. Prognostic and clinicopathological significance of PD-1/PD-L1 expression in the tumor microenvironment and neoplastic cells for lymphoma. Int. Immunopharmacol. 2019, 77, 105999. [Google Scholar] [CrossRef] [PubMed]
- Pardoll, D.M. The blockade of immune checkpoints in cancer immunotherapy. Nat. Rev. Cancer 2012, 12, 252–264. [Google Scholar] [CrossRef] [PubMed] [PubMed Central]
- D’Angelo, S.P.; Shoushtari, A.N.; Agaram, N.P.; Kuk, D.; Qin, L.X.; Carvajal, R.D.; Dickson, M.A.; Gounder, M.; Keohan, M.L.; Schwartz, G.K.; et al. Prevalence of tumor-infiltrating lymphocytes and PD-L1 expression in the soft tissue sarcoma microenvironment. Hum. Pathol. 2015, 46, 357–365. [Google Scholar] [CrossRef] [PubMed] [PubMed Central]
- Rusakiewicz, S.; Semeraro, M.; Sarabi, M.; Desbois, M.; Locher, C.; Mendez, R.; Vimond, N.; Concha, A.; Garrido, F.; Isambert, N.; et al. Immune infiltrates are prognostic factors in localized gastrointestinal stromal tumors. Cancer Res. 2013, 73, 3499–3510. [Google Scholar] [CrossRef] [PubMed]
- Berghuis, D.; Santos, S.J.; Baelde, H.J.; Taminiau, A.H.; Egeler, R.M.; Schilham, M.W.; Hogendoorn, P.C.; Lankester, A.C. Pro-inflammatory chemokine-chemokine receptor interactions within the Ewing sarcoma microenvironment determine CD8(+) T-lymphocyte infiltration and affect tumour progression. J. Pathol. 2011, 223, 347–357. [Google Scholar] [CrossRef] [PubMed]
- Ravetch, J.V.; Lanier, L.L. Immune inhibitory receptors. Science 2000, 290, 84–89. [Google Scholar] [CrossRef] [PubMed]
- Kim, J.R.; Moon, Y.J.; Kwon, K.S.; Bae, J.S.; Wagle, S.; Kim, K.M.; Park, H.S.; Lee, H.; Moon, W.S.; Chung, M.J.; et al. Tumor infiltrating PD1-positive lymphocytes and the expression of PD-L1 predict poor prognosis of soft tissue sarcomas. PLoS ONE 2013, 8, e82870. [Google Scholar] [CrossRef] [PubMed] [PubMed Central]
- Konishi, J.; Yamazaki, K.; Azuma, M.; Kinoshita, I.; Dosaka-Akita, H.; Nishimura, M. B7-H1 expression on non-small cell lung cancer cells and its relationship with tumor-infiltrating lymphocytes and their PD-1 expression. Clin. Cancer Res. 2004, 10, 5094–5100. [Google Scholar] [CrossRef] [PubMed]
- Strome, S.E.; Dong, H.; Tamura, H.; Voss, S.G.; Flies, D.B.; Tamada, K.; Salomao, D.; Cheville, J.; Hirano, F.; Lin, W.; et al. B7-H1 blockade augments adoptive T-cell immunotherapy for squamous cell carcinoma. Cancer Res. 2003, 63, 6501–6505. [Google Scholar] [PubMed]
- Thompson, R.H.; Kuntz, S.M.; Leibovich, B.C.; Dong, H.; Lohse, C.M.; Webster, W.S.; Sengupta, S.; Frank, I.; Parker, A.S.; Zincke, H.; et al. Tumor B7-H1 is associated with poor prognosis in renal cell carcinoma patients with long-term follow-up. Cancer Res. 2006, 66, 3381–3385. [Google Scholar] [CrossRef] [PubMed]
- Wintterle, S.; Schreiner, B.; Mitsdoerffer, M.; Schneider, D.; Chen, L.; Meyermann, R.; Weller, M.; Wiendl, H. Expression of the B7-related molecule B7-H1 by glioma cells: A potential mechanism of immune paralysis. Cancer Res. 2003, 63, 7462–7467. [Google Scholar] [PubMed]
- Que, Y.; Xiao, W.; Guan, Y.X.; Liang, Y.; Yan, S.M.; Chen, H.Y.; Li, Q.Q.; Xu, B.S.; Zhou, Z.W.; Zhang, X. PD-L1 Expression Is Associated with FOXP3+ Regulatory T-Cell Infiltration of Soft Tissue Sarcoma and Poor Patient Prognosis. J. Cancer 2017, 8, 2018–2025. [Google Scholar] [CrossRef] [PubMed] [PubMed Central]
- Park, H.J.; Kusnadi, A.; Lee, E.J.; Kim, W.W.; Cho, B.C.; Lee, I.J.; Seong, J.; Ha, S.J. Tumor-infiltrating regulatory T cells delineated by upregulation of PD-1 and inhibitory receptors. Cell Immunol. 2012, 278, 76–83. [Google Scholar] [CrossRef] [PubMed]
- Ahmadzadeh, M.; Johnson, L.A.; Heemskerk, B.; Wunderlich, J.R.; Dudley, M.E.; White, D.E.; Rosenberg, S.A. Tumor antigen-specific CD8 T cells infiltrating the tumor express high levels of PD-1 and are functionally impaired. Blood J. Am. Soc. Hematol. 2009, 114, 1537–1544. [Google Scholar] [CrossRef] [PubMed] [PubMed Central]
- Blank, C.; Kuball, J.; Voelkl, S.; Wiendl, H.; Becker, B.; Walter, B.; Majdic, O.; Gajewski, T.F.; Theobald, M.; Andreesen, R.; et al. Blockade of PD-L1 (B7-H1) augments human tumor-specific T cell responses in vitro. Int. J. Cancer 2006, 119, 317–327. [Google Scholar] [CrossRef] [PubMed]
- Marletta, S.; Fusco, N.; Munari, E.; Luchini, C.; Cimadamore, A.; Brunelli, M.; Querzoli, G.; Martini, M.; Vigliar, E.; Colombari, R.; et al. Atlas of PD-L1 for Pathologists: Indications, Scores, Diagnostic Platforms and Reporting Systems. J. Pers. Med. 2022, 12, 1073. [Google Scholar] [CrossRef] [PubMed] [PubMed Central]
- Sukari, A.; Nagasaka, M.; Al-Hadidi, A.; Lum, L.G. Cancer Immunology and Immunotherapy. Anticancer Res. 2016, 36, 5593–5606. [Google Scholar] [CrossRef]
- Wang, F.; Yu, T.; Ma, C.; Yuan, H.; Zhang, H.; Zhang, Z. Prognostic Value of Programmed Cell Death 1 Ligand-1 in Patients with Bone and Soft Tissue Sarcomas: A Systemic and Comprehensive Meta-Analysis Based on 3680 Patients. Front. Oncol. 2020, 10, 749. [Google Scholar] [CrossRef] [PubMed] [PubMed Central]
- FDA Expands Pembrolizumab Indication for First-Line Treatment of NSCLC (TPS ≥ 1%). Available online: https://www.fda.gov/drugs/fda-expands-pembrolizumab-indication-first-line-treatment-nsclc-tps-1 (accessed on 13 June 2022).
- Palmer, C.; Diehn, M.; Alizadeh, A.A.; Brown, P.O. Cell-type specific gene expression profiles of leukocytes in human peripheral blood. BMC Genom. 2006, 7, 115. [Google Scholar] [CrossRef] [PubMed]
- Bindea, G.; Mlecnik, B.; Tosolini, M.; Kirilovsky, A.; Waldner, M.; Obenauf, A.C.; Angell, H.; Fredriksen, T.; Lafontaine, L.; Berger, A.; et al. Spatiotemporal dynamics of intratumoral immune cells reveal the immune landscape in human cancer. Immunity 2013, 39, 782–795. [Google Scholar] [CrossRef] [PubMed]
- Bertucci, F.; Finetti, P.; Perrot, D.; Leroux, A.; Collin, F.; Le Cesne, A.; Coindre, J.M.; Blay, J.Y.; Birnbaum, D.; Mamessier, E. PDL1 expression is a poor-prognosis factor in soft-tissue sarcomas. Oncoimmunology 2017, 6, e1278100. [Google Scholar] [CrossRef] [PubMed] [PubMed Central]
- Gurzu, S.; Kadar, Z.; Sugimura, H.; Bara, T.; Bara Tjr Halmaciu, I.; Jung, I. Gastric cancer in young versus old Romanian patients: Immunoprofile with emphasis on maspin and mena protein reactivity. APMIS 2015, 123, 223–233. [Google Scholar] [CrossRef]
- Banias, L.; Jung, I.; Chiciudean, R.; Gurzu, S. From Dukes-MAC staging system to molecular classification: Evolving concepts in colorectal cancer. Int. J. Mol. Sci. 2022, 23, 9455. [Google Scholar] [CrossRef]
- Takeda, C.; Takagi, Y.; Shiomi, T.; Nosaka, K.; Yamashita, H.; Osaki, M.; Endo, K.; Minamizaki, T.; Teshima, R.; Nagashima, H.; et al. Cytoplasmic maspin expression predicts poor prognosis of patients with soft tissue sarcomas. Diagn. Pathol. 2014, 9, 205. [Google Scholar] [CrossRef] [PubMed] [PubMed Central][Green Version]
- Kim, S.M.; Myoung, H.; Choung, P.H.; Kim, M.J.; Lee, S.K.; Lee, J.H. Metastatic leiomyosarcoma in the oral cavity: Case report with protein expression profiles. J. Craniomaxillofac. Surg. 2009, 37, 454–460. [Google Scholar] [CrossRef] [PubMed]
- Fitzgerald, M.P.; Gourronc, F.; Teoh, M.L.T.; Provenzano, M.J.; Case, A.J.; Martin, J.A.; Domann, F.E. Human chondrosarcoma cells acquire an epithelial-like gene expression pattern via an epigenetic switch: Evidence for mesenchymal-epithelial transition during sarcomagenesis. Sarcoma 2011, 2011, 598218. [Google Scholar] [CrossRef] [PubMed]
- Pedeutour, F.; Montgomery, E.A. WHO Classification of Tumours Editorial Board, Soft Tissue and Bone Tumours, 5th ed.; IARC Press: Lyon, France, 2020; pp. 6–47. ISBN -13-978-92-832-4502-5. [Google Scholar]
- Gurzu, S.; Jung, I.; Sugimura, H.; Stefan-van Staden, R.I.; Yamada, H.; Natsume, H.; Iwashita, Y.; Szodorai, R.; Szederjesi, J. Maspin subcellular expression in wild-type and mutant TP53 gastric cancers. World J. Gastrointest. Oncol. 2020, 12, 741–755. [Google Scholar] [CrossRef] [PubMed]
- Banias, L.; Jung, I.; Bara, T.; Fulop, Z.; Simu, P.; Simu, I.; Satala, C.; Gurzu, S. Immunohistochemical-based molecular subtyping of colorectal carcinomas, using Maspin and markers of epithelial-mesenchymal transition. Oncol. Lett. 2020, 19, 1487–1495. [Google Scholar] [CrossRef]
- Jung, I.; Gurzu, S.; Turdean, S.; Ciortea, D.; Sahlean, D.I.; Golea, M.; Bara, T. Relationship of endothelial area with VEGF-A, COX-2, maspin, c-KIT, and DOG-1 immunoreactivity in liposarcomas versus non-lipomatous soft tissue tumors. Int. J. Clin. Exp. Pathol. 2015, 8, 1776–1782. [Google Scholar] [PubMed] [PubMed Central]
- FDA List of Cleared or Approved Companion Diagnostic Devices (in vitro and Imaging Tools). 2022. Available online: https://www.fda.gov/medical-devices/in-vitro-diagnostics/list-cleared-or-approved-companion-diagnostic-devices-in-vitro-and-imaging-tools (accessed on 5 September 2025).
- Maule, J.G.; Clinton, L.K.; Graf, R.P.; Xiao, J.; Oxnard, G.R.; Ross, J.S.; Huang, R.S.P. Comparison of PD-L1 tumor cell expression with 22C3, 28–8, and SP142 IHC assays across multiple tumor types. J. Immunother. Cancer 2022, 10, e005573. [Google Scholar] [CrossRef] [PubMed] [PubMed Central]
- Romano, E.; Romero, P. The therapeutic promise of disrupting the PD-1/PD-L1 immune checkpoint in cancer: Unleashing the CD8 T cell mediated anti-tumor activity results in significant, unprecedented clinical efficacy in various solid tumors. J. Immunother. Cancer 2015, 3, 15. [Google Scholar] [CrossRef]
- Chawla, S.P.; van Tine, B.A.; Pollack, S.; Ganjoo, K.N.; Elias, A.D.; Riedel, R.F.; Attia, S.; Choy, E.; Okuno, S.H.; Agulnik, M.; et al. A phase II randomized study of CMB305 and atezolizumab versus atezolizumab in NY-ESO-1+ soft tissue sarcoma: Analysis of immunogenicity, tumor control, and patient survival. J. Clin. Oncol. 2019, 37, 11011. [Google Scholar] [CrossRef]
- Dancsok, A.R.; Setsu, N.; Gao, D.; Blay, J.Y.; Thomas, D.; Maki, R.G.; Nielsen, T.O.; Demicco, E.G. Expression of lymphocyte immunoregulatory biomarkers in bone and soft-tissue sarcomas. Mod. Pathol. 2019, 32, 1772–1785. [Google Scholar] [CrossRef] [PubMed]
- Zhu, Z.; Jin, Z.; Zhang, M.; Tang, Y.; Yang, G.; Yuan, X.; Yao, J.; Sun, D. Prognostic value of programmed death-ligand 1 in sarcoma: A meta-analysis. Oncotarget 2017, 8, 59570–59580. [Google Scholar] [CrossRef] [PubMed]
- Huang, W.; Ran, R.; Shao, B.; Li, H. Prognostic and clinicopathological value of PD-L1 expression in primary breast cancer: A meta-analysis. Breast Cancer Res Treat. 2019, 178, 17–33. [Google Scholar] [CrossRef] [PubMed]
- Kelly, C.M.; Antonescu, C.R.; Bowler, T.; Munhoz, R.; Chi, P.; Dickson, M.A.; Gounder, M.M.; Keohan, M.L.; Movva, S.; Dholakia, R.; et al. Objective response rate among patients with locally advanced or metastatic sarcoma treated with talimogene laherparepvec in combination with pembrolizumab: A phase 2 clinical trial. JAMA Oncol. 2020, 6, 402–408. [Google Scholar] [CrossRef] [PubMed]
- Iwai, Y.; Ishida, M.; Tanaka, Y.; Okazaki, T.; Honjo, T.; Minato, N. Involvement of PD-L1 on tumor cells in the escape from host immune system and tumor immunotherapy by PD-L1 blockade. Proc. Natl. Acad. Sci. USA 2002, 99, 12293–12307. [Google Scholar] [CrossRef]
- Meng, X.; Huang, Z.; Teng, F.; Xing, L.; Yu, J. Predictive biomarkers in PD-1/PD-L1 checkpoint blockade immunotherapy. Cancer Treat. Rev. 2015, 41, 868–876. [Google Scholar] [CrossRef]
- Schutz, F.; Stefanovic, S.; Mayer, L.; von Au, A.; Domschke, C.; Sohn, C. PD-1/PD-L1 pathway in breast cancer. Oncol. Res. Treat. 2017, 40, 294–297. [Google Scholar] [CrossRef]
- Torres, M.B.; Leung, C.H.; Zoghbi, M.; Lazcano, R.; Ingram, D.; Wani, K.; Keung, E.Z.; Zarzour, M.A.; Scally, C.P.; Hunt, K.K.; et al. Dedifferentiated liposarcomas treated with immune checkpoint blockade: The MD Anderson experience. Front. Immunol. 2025, 16, 1567736. [Google Scholar] [CrossRef] [PubMed] [PubMed Central]
- Huang, H.; Fan, Y.; Zhang, S.; Bai, X.; Wang, X.; Shan, F. Emerging immunotherapy and tumor microenvironment for advanced sarcoma: A comprehensive review. Front. Immunol. 2025, 16, 1507870. [Google Scholar] [CrossRef] [PubMed] [PubMed Central]
- Roulleaux Dugage, M.; Nassif, E.F.; Italiano, A.; Bahleda, R. Improving Immunotherapy Efficacy in Soft-Tissue Sarcomas: A Biomarker Driven and Histotype Tailored Review. Front. Immunol. 2021, 12, 775761. [Google Scholar] [CrossRef] [PubMed] [PubMed Central]
- Italiano, A.; Bellera, C.; D’Angelo, S. PD1/PD-L1 targeting in advanced soft-tissue sarcomas: A pooled analysis of phase II trials. J. Hematol. Oncol. 2020, 13, 55. [Google Scholar] [CrossRef] [PubMed] [PubMed Central]
- Hall, F.; Villalobos, V.; Wilky, B. Future directions in soft tissue sarcoma treatment. Curr. Probl. Cancer 2019, 43, 300–307. [Google Scholar] [CrossRef] [PubMed]
- Thanindratarn, P.; Dean, D.C.; Nelson, S.D.; Hornicek, F.J.; Duan, Z. Advances in immune checkpoint inhibitors for bone sarcoma therapy. J. Bone Oncol. 2019, 15, 100221. [Google Scholar] [CrossRef]
- Petitprez, F.; de Reyniès, A.; Keung, E.Z.; Chen, T.W.; Sun, C.M.; Calderaro, J.; Jeng, Y.M.; Hsiao, L.P.; Lacroix, L.; Bougoüin, A.; et al. B cells are associated with survival and immunotherapy response in sarcoma. Nature 2020, 577, 556–560. [Google Scholar] [CrossRef] [PubMed]
- Birkness-Gartman, J.E.; Thomas, D.L.; Engle, L.L.; Voltaggio, L.; Thompson, E.D. Immune microenvironment of intimal sarcomas: Adaptive immune resistance with potential therapeutic implications. Am. J. Clin. Pathol. 2024, 161, 256–263. [Google Scholar] [CrossRef] [PubMed]
- Gurzu, S.; Jung, I. Subcellular Expression of Maspin in Colorectal Cancer: Friend or Foe. Cancers 2021, 13, 366. [Google Scholar] [CrossRef] [PubMed] [PubMed Central]
- Antonangeli, F.; Natalini, A.; Garassino, M.C.; Sica, A.; Santoni, A.; Di Rosa, F. Regulation of PD-L1 Expression by NF-κB in Cancer. Front. Immunol. 2020, 11, 584626. [Google Scholar] [CrossRef] [PubMed] [PubMed Central]
- Zerdes, I.; Matikas, A.; Bergh, J.; Rassidakis, G.Z.; Foukakis, T. Genetic, transcriptional and post-translational regulation of the programmed death protein ligand 1 in cancer: Biology and clinical correlations. Oncogene 2018, 37, 4639–4661. [Google Scholar] [CrossRef] [PubMed]
- Sakabe, T.; Wakahara, M.; Shiota, G.; Umekita, Y. Role of cytoplasmic localization of maspin in promoting cell invasion in breast cancer with aggressive phenotype. Sci. Rep. 2021, 11, 11321. [Google Scholar] [CrossRef] [PubMed] [PubMed Central]
- Mu, C.Y.; Huang, J.A.; Chen, Y.; Chen, C.; Zhang, X.G. High expression of PD-L1 in lung cancer may contribute to poor prognosis and tumor cells immune escape through suppressing tumor infiltrating dendritic cells maturation. Med. Oncol. 2011, 28, 682–688. [Google Scholar] [CrossRef] [PubMed]
- Kim, J.W.; Nam, K.H.; Ahn, S.H.; Park, D.J.; Kim, H.H.; Kim, S.H.; Chang, H.; Lee, J.O.; Kim, Y.J.; Lee, H.S.; et al. Prognostic implications of immunosuppressive protein expression in tumors as well as immune cell infiltration within the tumor microenvironment in gastric cancer. Gastric Cancer 2016, 19, 42–52. [Google Scholar] [CrossRef]
- Bang, Y.-J.; Chung, H.-C.; Shankaran, V.; Geva, R.; Virgil, D.; Catenacci, T.; Gupta, S.; Eder, J.P.; Berger, R.; Gonzalez, E.J.; et al. Relationship between PD-L1 expression and clinical outcomes in patients with advanced gastric cancer treated with the anti-PD-1 monoclonal antibody pembrolizumab (MK-3475) in KEYNOTE-012. ASCO Annu. Meet. Proc. 2015, 33 (Suppl. S3), 4001. [Google Scholar] [CrossRef]
- Herbst, R.S.; Soria, J.C.; Kowanetz, M.; Fine, G.D.; Hamid, O.; Gordon, M.S.; Sosman, J.A.; McDermott, D.F.; Powderly, J.D.; Gettinger, S.N.; et al. Predictive correlates of response to the anti-PD-L1 antibody MPDL3280A in cancer patients. Nature 2014, 515, 563–567. [Google Scholar] [CrossRef]
- Sheffield, B.S.; Fulton, R.; Kalloger, S.E.; Milne, K.; Geller, G.; Jones, M.; Jacquemont, C.; Zachara, S.; Zhao, E.; Pleasance, E.; et al. Investigation of PD-L1 biomarker testing methods for PD-1 axis inhibition in non-squamous non-small cell lung cancer. J. Histochem. Cytochem. 2016, 64, 587–600. [Google Scholar] [CrossRef] [PubMed]
- Ilie, M.; Hofman, V.; Dietel, M.; Soria, J.C.; Hofman, P. Assessment of the PD-L1 status by immunohistochemistry: Challenges and perspectives for therapeutic strategies in lung cancer patients. Virchows Arch. 2016, 468, 511–525. [Google Scholar] [CrossRef] [PubMed]





| Parameter Median Age (Years) | Values (n = 42) 61 ± 1.82 (%) | |
|---|---|---|
| Gender | Male Female | 25 (59.5) 17 (40.5) |
| Tumor location | Head and neck Trunk Retroperitoneum Extremities | 4 (9.5) 7 (16.5) 16 (38) 15 (36) |
| Histological subtype and grade of differentiation (G) | ALT/WDLP (G1) Myxoid LPS (G2) Pleomorphic/DDLPS/poorly differentiated LPS (G3) | 18 (42.8) 10 (23.8) 14 (33.4) |
| Depth of invasion (pT stage) | pT1 pT2 pT3 pT4 | 6 (15.2) 13 (30.1) 9 (21.4) 14 (33.3) |
| TPS | PD-L1 DAKO 22C3 | TC | PD-L1 DAKO 28-8 |
|---|---|---|---|
| <10% | 38 (90.5) | <10% | 37 (88.1) |
| ≥10% | 4 (9.5) | ≥10% | 5 (11.9) |
| Clone | TPS/TC | H-Score < 10% (%) | H-Score > 10% (%) | p Value |
|---|---|---|---|---|
| 22C3 (N = 42) | Low TPS | 38 (90) | 0 (0) | p = 0.007 |
| High TPS | 2 (5) | 2 (5) | ||
| 28-8 (N = 42) | Low TC | 36 (85) | 1 (2.5) | p = 0.0331 |
| High TC | 3 (7.5) | 2 (2.5) |
| PD-L1 Clone | H-Score | T/INFL | p Value | |||
|---|---|---|---|---|---|---|
| A (%) | B (%) | C (%) | D (%) | |||
| 28-8 | <10% | 2 (5) | 0 | 2 (5) | 36 (85) | p = 0.0105 |
| ≥10% | 0 | 1 (2.5) | 1 (2.5) | 0 | ||
| 22C3 | <10% | 0 | 0 | 2 (5) | 37 (87.5) | p = 0.0009 |
| ≥10% | 0 | 1 (2.5) | 2 (5) | 0 | ||
| PD-L1 TPS/TC | Tumor Differentiation Grade | p Value | |||
|---|---|---|---|---|---|
| G1 (%) | G2 (%) | G3 (%) | |||
| 22C3 | <10% | 18 | 10 | 11 | p = 0.0422 |
| ≥10% | 0 | 0 | 3 | ||
| 28-8 | <10% | 17 | 10 | 11 | p = 0.2 |
| ≥10% | 1 | 0 | 3 | ||
| PD-L1 TPS/TC | Maspin | p Value | ||
|---|---|---|---|---|
| Positive | Negative | |||
| 22C3 | <10% | 4 | 35 | p = 0.003 |
| ≥10% | 3 | 0 | ||
| 28-8 | <10% | 4 | 34 | p = 0.0113 |
| ≥10% | 3 | 1 | ||
| Marker | Category | PD-L1 < 10% | PD-L1 ≥ 10% | p-Value | CD8 Low | CD8 High | p-Value |
|---|---|---|---|---|---|---|---|
| CD4 | Negative | 35 | 2 | 0.022 | 30 | 7 | 0.12 |
| Positive | 1 | 2 | 1 | 2 | |||
| CD20 | Negative | 33 | 0 | 0.009 | 30 | 3 | 0.0085 |
| Positive | 3 | 4 | 1 | 3 | |||
| CD68 | Negative | 32 | 0 | 0.00076 | 28 | 4 | 0.0079 |
| Positive | 4 | 4 | 3 | 5 |
Disclaimer/Publisher’s Note: The statements, opinions and data contained in all publications are solely those of the individual author(s) and contributor(s) and not of MDPI and/or the editor(s). MDPI and/or the editor(s) disclaim responsibility for any injury to people or property resulting from any ideas, methods, instructions or products referred to in the content. |
© 2025 by the authors. Licensee MDPI, Basel, Switzerland. This article is an open access article distributed under the terms and conditions of the Creative Commons Attribution (CC BY) license (https://creativecommons.org/licenses/by/4.0/).
Share and Cite
Patrichi, A.-I.; Jung, I.; Gurzu, S. Clinicopathological Implications of Maspin, CD8, and PD-L1 Expression in Liposarcomas. Curr. Issues Mol. Biol. 2025, 47, 935. https://doi.org/10.3390/cimb47110935
Patrichi A-I, Jung I, Gurzu S. Clinicopathological Implications of Maspin, CD8, and PD-L1 Expression in Liposarcomas. Current Issues in Molecular Biology. 2025; 47(11):935. https://doi.org/10.3390/cimb47110935
Chicago/Turabian StylePatrichi, Andrei-Ionuț, Ioan Jung, and Simona Gurzu. 2025. "Clinicopathological Implications of Maspin, CD8, and PD-L1 Expression in Liposarcomas" Current Issues in Molecular Biology 47, no. 11: 935. https://doi.org/10.3390/cimb47110935
APA StylePatrichi, A.-I., Jung, I., & Gurzu, S. (2025). Clinicopathological Implications of Maspin, CD8, and PD-L1 Expression in Liposarcomas. Current Issues in Molecular Biology, 47(11), 935. https://doi.org/10.3390/cimb47110935

