Screening of Anti-Hair Loss Plant Raw Materials Based on Reverse Network Pharmacology and Experimental Validation
Abstract
1. Introduction
2. Materials and Methods
2.1. Reverse Collection of Active Ingredients from Key Pathway Targets
2.2. Reverse Collection of Targets of Action and Active Ingredients from Key Differential Lipids
2.3. Construction of Key Pathway Targets–Active Ingredients–Plant Raw Materials Network
2.4. Construction of Key Differential Lipids–Targets–Active Ingredients–Plant Raw Materials Network
2.5. Sample Preparation
2.6. Cell Culture
2.7. Cell Viability Assay
2.8. Alkaline Phosphatase (ALP) Staining Assay
2.9. ELISA Assay
2.10. Real-Time Quantitative PCR (RT-qPCR)
2.11. Western Blot Assay
2.12. Statistical Analysis
3. Results
3.1. Reverse Collection of Active Ingredients from Key Pathway Targets
3.2. Reverse Collection of Targets of Action and Active Ingredients from Key Differential Lipids
3.3. Construction of Targets–Active Ingredients–Plant Raw Materials Network
3.3.1. Construction of Key Pathway Targets–Active Ingredients–Plant Materials Network
3.3.2. Construction of Targets–Active Ingredients–Plant Raw Materials Network Based on Key Differential Lipids
3.4. Identification of Key Plant Materials
3.5. Effect of LWE, SMWE, MLWE, EWE and CRWE on the Cell Viability of HDPCs
3.6. LWE, SMWE, MLWE, EWE and CRWE Enhanced the ALP Level in the HDPCs
3.7. Promoting Effect of LWE, SMWE, MLWE, EWE and CRWE on Secretion of VEGF in HDPCs
3.8. Inhibitory Effect of LWE, SMWE, MLWE, EWE and CRWE on Expression of TGF-β1 and IL-6 in HDPCs
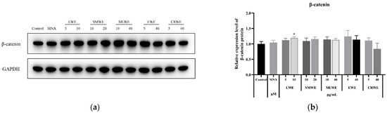
3.9. Promoting Effect of LWE, SMWE, MLWE, EWE and CRWE on Expression of β-Catenin in HDPCs
4. Discussion
Supplementary Materials
Author Contributions
Funding
Institutional Review Board Statement
Informed Consent Statement
Data Availability Statement
Acknowledgments
Conflicts of Interest
Abbreviations
| BMP | Bone morphogenetic proteins |
| VEGF | Vascular endothelial growth factor |
| TGF-β | Transforming growth factor beta |
| TGF-β1 | Transforming growth factor beta 1 |
| TGF-β2 | Transforming growth factor beta 2 |
| IL-6 | Interleukin 6 |
| HDPCs | Human dermal papilla cells |
| ORC | Outer root sheath cells |
| KC | Keratinocytes |
References
- Rushton, D.H.; Norris, M.J.; Dover, R.; Busuttil, N. Causes of hair loss and the developments in hair rejuvenation. Int. J. Cosmet. Sci. 2002, 24, 17–23. [Google Scholar] [CrossRef] [PubMed]
- Nilforoushzadeh, M.A.; Golparvaran, M. An assessment for measuring loneliness, anxiety, and depression in male patients with androgenetic alopecia undergoing hair transplantation surgery: A before-after study. J. Cosmet. Dermatol. 2022, 21, 7013–7017. [Google Scholar] [CrossRef] [PubMed]
- Choi, B.Y. Targeting Wnt/β-Catenin Pathway for Developing Therapies for Hair Loss. Int. J. Mol. Sci. 2020, 21, 4915. [Google Scholar] [CrossRef] [PubMed]
- Zhou, L.J.; Wang, H.; Jing, J.; Yu, L.J.; Wu, X.J.; Lu, Z.F. Morroniside regulates hair growth and cycle transition via activation of the Wnt/β-catenin signaling pathway. Sci. Rep. 2018, 8, 13785. [Google Scholar] [CrossRef]
- Xing, F.; Yi, W.J.; Miao, F.; Su, M.Y.; Lei, T.C. Baicalin increases hair follicle development by increasing canonical Wnt/β-catenin signaling and activating dermal papillar cells in mice. Int. J. Mol. Med. 2018, 41, 2079–2085. [Google Scholar] [CrossRef] [PubMed]
- Wang, X.X.; Liu, Y.H.; He, J.; Wang, J.R.; Chen, X.D.; Yang, R.H. Regulation of signaling pathways in hair follicle stem cells. Burns Trauma 2022, 10, tkac022. [Google Scholar] [CrossRef] [PubMed]
- Wu, X.C.; Du, Y.Z. Nanodrug Delivery Strategies to Signaling Pathways in Alopecia. Mol. Pharm. 2023, 20, 5396–5415. [Google Scholar] [CrossRef] [PubMed]
- Hwang, I.; Choi, K.A.; Park, H.S.; Jeong, H.; Kim, J.O.; Seol, K.C.; Kwon, H.J.; Park, I.H.; Hong, S. Neural Stem Cells Restore Hair Growth Through Activation of the Hair Follicle Niche. Cell Transplant. 2016, 25, 1439–1451. [Google Scholar] [CrossRef] [PubMed]
- Hong, G.L.; Lee, H.J.; Kim, Y.J.; Kim, K.H.; Jung, J.Y. Stauntonia hexaphylla Extract Ameliorates Androgenic Alopecia by Inhibiting Androgen Signaling in Testosterone-induced Alopecia Mice. Iran. Ran. J. Pharm. Res. 2022, 21, e133333. [Google Scholar] [CrossRef] [PubMed]
- Wu, P.; Zhang, Y.M.; Xing, Y.Z.; Xu, W.; Guo, H.Y.; Deng, F.; Ma, X.G.; Li, Y.H. The balance of Bmp6 and Wnt10b regulates the telogen-anagen transition of hair follicles. Cell Commun. Signal. 2020, 17, 16. [Google Scholar] [CrossRef] [PubMed]
- Lee, W.S. Integral hair lipid in human hair follicle. J. Dermatol. Sci. 2011, 64, 153–158. [Google Scholar] [CrossRef]
- Bernard, B.A. The hair follicle enigma. Exp. Dermatol. 2017, 26, 472–477. [Google Scholar] [CrossRef] [PubMed]
- van de Lavoir, M.; da Silva, K.M.; Iturrospe, E.; Robeyns, R.; van Nuijs, A.L.N.; Covaci, A. Untargeted hair lipidomics: Comprehensive evaluation of the hair-specific lipid signature and considerations for retrospective analysis. Anal. Bioanal. Chem. 2023, 415, 5589–5604. [Google Scholar] [CrossRef]
- Yu, X.Q.; He, C.F.; Tian, Y. Study on hair root lipids of female androgenetic alopecia based on UPLC-Q-TOF/MS results. J. Eur. Acad. Dermatol. Venereol. 2023, 37, E593–E596. [Google Scholar] [CrossRef] [PubMed]
- Randolph, M.; Tosti, A. Oral minoxidil treatment for hair loss: A review of efficacy and safety. J. Am. Acad. Dermatol. 2020, 84, 737–746. [Google Scholar] [CrossRef] [PubMed]
- Gupta, A.K.; Venkataraman, M.; Talukder, M.; Bamimore, M.A. Finasteride for hair loss: A review. J. Dermatol. Treat. 2022, 33, 1938–1946. [Google Scholar] [CrossRef] [PubMed]
- Gasmi, A.; Mujawdiya, P.K.; Beley, N.; Shanaida, M.; Lysiuk, R.; Lenchyk, L.; Noor, S.; Muhammad, A.; Strus, O.; Piscopo, S.; et al. Natural Compounds used for Treating Hair Loss. Curr. Pharm. Des. 2023, 29, 1231–1244. [Google Scholar] [CrossRef]
- Shen, Y.L.; Li, X.Q.; Pan, R.R.; Yue, W.; Zhang, L.J.; Zhang, H. Medicinal Plants for the Treatment of Hair Loss and the Suggested Mechanisms. Curr. Pharm. Des. 2018, 24, 3090–3100. [Google Scholar] [CrossRef]
- Boezio, B.; Audouze, K.; Ducrot, P.; Taboureau, O. Network-based Approaches in Pharmacology. Mol. Inform. 2017, 36, 1700048. [Google Scholar] [CrossRef] [PubMed]
- Duan, X.C.; Wang, N.; Peng, D.Y. Application of network pharmacology in synergistic action of Chinese herbal compounds. Theory Biosci. 2024, 143, 195–203. [Google Scholar] [CrossRef]
- Chen, H.B.; Zhang, X.H.; Li, J.Y.; Xu, Z.; Luo, Y.W.; Chai, R.D.; Luo, R.Z.; Bian, Y.H.; Liu, Y.H. Discovering Traditional Chinese Medicine (TCM) Formulas for Complex Diseases Based on a Combination of Reverse Systematic Pharmacology and TCM Meridian Tropism Theory: Taking COVID-19 as an Example. ACS Omega. 2023, 8, 26871–26881. [Google Scholar] [CrossRef] [PubMed]
- Dan, W.; Liu, J.; Guo, X.; Zhang, B.; Qu, Y.; He, Q. Study on Medication Rules of Traditional Chinese Medicine against Antineoplastic Drug-Induced Cardiotoxicity Based on Network Pharmacology and Data Mining. Evid. Based Complement. Alternat. Med. 2020, 2020, 7498525. [Google Scholar] [CrossRef] [PubMed]
- Lee, S.H.; Yoon, J.; Shin, S.H.; Zahoor, M.; Kim, H.J.; Park, P.J.; Park, W.S.; Min, D.S.; Kim, H.Y.; Choi, K.Y. Valproic Acid Induces Hair Regeneration in Murine Model and Activates Alkaline Phosphatase Activity in Human Dermal Papilla Cells. PLoS ONE 2012, 7, e34152. [Google Scholar] [CrossRef] [PubMed]
- Ding, Y.W.; Li, Y.; Zhang, Z.W.; Dao, J.W.; Wei, D.X. Hydrogel forming microneedles loaded with VEGF and Ritlecitinib/polyhydroxyalkanoates nanoparticles for mini-invasive androgenetic alopecia treatment. Bioact. Mater. 2024, 38, 95–108. [Google Scholar] [CrossRef] [PubMed]
- Park, S.M.; He, Y.C.; Gong, C.; Gao, W.; Bae, Y.S.; Si, C.L.; Park, K.H.; Choi, S.E. Effects of taxifolin from enzymatic hydrolysis of Rhododendron mucrotulatum on hair growth promotion. Front. Bioeng. Biotechnol. 2022, 10, 995238. [Google Scholar] [CrossRef] [PubMed]
- Jia, S.J.; Meng, A.M. TGFβ family signaling and development. Development 2021, 148, dev188490. [Google Scholar] [CrossRef] [PubMed]
- Kang, J.I.; Choi, Y.K.; Han, S.C.; Nam, H.; Lee, G.; Kang, J.H.; Koh, Y.S.; Hyun, J.W.; Yoo, E.S.; Kang, H.K. 5-Bromo-3,4-dihydroxybenzaldehyde Promotes Hair Growth through Activation of Wnt/β-Catenin and Autophagy Pathways and Inhibition of TGF-β Pathways in Dermal Papilla Cells. Molecules 2022, 27, 2176. [Google Scholar] [CrossRef] [PubMed]
- Kong, J.; Qiang, W.D.; Jiang, J.Y.; Hu, X.L.; Chen, Y.N.; Guo, Y.X.; Liu, H.X.; Sun, S.M.; Gao, H.T.; Zhang, Y.; et al. Safflower oil body nanoparticles deliver hFGF10 to hair follicles and reduce microinflammation to accelerate hair regeneration in androgenetic alopecia. Int. J. Pharm. 2022, 616, 121537. [Google Scholar] [CrossRef]
- Wisuitiprot, V.; Ingkaninan, K.; Chakkavittumrong, P.; Wisuitiprot, W.; Neungchamnong, N.; Chantakul, R.; Waranuch, N. Effects of Acanthus ebracteatus Vahl. extract and verbascoside on human dermal papilla and murine macrophage. Sci. Rep. 2022, 12, 1491. [Google Scholar] [CrossRef]
- Hagiwara, K.; Kiso, A.; Ono, S.; Kitamura, H.; Yamanishi, H.; Tsunekawa, Y.; Iwabuchi, T. 18-β-Glycyrrhetinic Acid Promotes Hair Growth by Stimulating the Proliferation of Dermal Papilla Cells and Outer Root Sheath Cells, and Extends the Anagen Phase by Inhibiting 5α-Reductase. Biol. Pharm. Bull. 2024, 47, 1392–1395. [Google Scholar] [CrossRef]
- Zhang, B.; Zhang, W.Y.; Luo, J.F.; He, J.; Rong, B.S.; Zheng, X.M.; Zhu, S.Y.; Xu, X.; Ai, Y.; Zhang, L.Y.; et al. Evaluation of Hair Growth Properties of Glycyrrhizic Acid. Pharmacogn. Mag. 2022, 18, 1111–1117. [Google Scholar] [CrossRef]
- Jin, G.R.; Zhang, Y.L.; Yap, J.; Boisvert, W.A.; Lee, B.H. Hair growth potential of Salvia plebeia extract and its associated mechanisms. Pharm. Biol. 2020, 58, 400–409. [Google Scholar] [CrossRef] [PubMed]
- Yeo Kyu, H.; Jin Yeong, C.; Min Hye, C.; Kkotnara, P.; Da-Woon, B.; Soo-Bong, P.; Sun-Shin, C.; Hye Eun, L.; In Hye, L.; Yun Soo, B. Tanshinone, a Natural NADPH Oxidase Inhibitor, Mitigates Testosterone-Induced Hair Loss. Biomol. Ther. 2024, 33, 210. [Google Scholar] [CrossRef]
- Wang, K.X.; Lu, B.P. Mao Dexi′s Experience in Clinical Application of Sangye (Mori Folium). Acta Chin. Med. 2024, 39, 1941–1944. [Google Scholar]
- Fang, M.D.; Tan, L.X. The Application of Matched Pair of Ephedra and Other Medicines to Paediatrics. J. Shaanxi Univ. Chin. Med. 2018, 41, 115–117. [Google Scholar]
- Suzuki, K.; Inoue, M.; Cho, O.; Mizutani, R.; Shimizu, Y.; Nagahama, T.; Sugita, T. Scalp Microbiome and Sebum Composition in Japanese Male Individuals with and without Androgenetic Alopecia. Microorganisms 2021, 9, 2132. [Google Scholar] [CrossRef]
- Chen, Q.S.; He, J.Y.; Meng, X.; Li, Q.; Gong, S.Z. Study on Anti-hair Loss and Anti-dandruff Effect of Active Extract from Three Kinds of Zingiberaceae. Guangdong Chem. Ind. 2021, 48, 70–72+69. [Google Scholar]
- Park, B.; Kim, D.; Zhao, H.R.; Kim, S.; Park, B.C.; Lee, S.; Lee, Y.; Park, H.D.; Lim, D.; Ryu, S.; et al. Glycogen Phosphorylase Inhibitor Promotes Hair Growth via Protecting from Oxidative-Stress and Regulating Glycogen Breakdown in Human Hair follicles. Biomol. Ther. 2024, 32, 640–646. [Google Scholar] [CrossRef] [PubMed]
- Muangsanguan, A.; Ruksiriwanich, W.; Arjin, C.; Jamjod, S.; Prom-u-Thai, C.; Jantrawut, P.; Rachtanapun, P.; Hnorkaew, P.; Satsook, A.; Sainakham, M.; et al. Comparison of In Vitro Hair Growth Promotion and Anti-Hair Loss Potential of Thai Rice By-Product from Oryza sativa L. cv. Buebang 3 CMU and Sanpatong. Plants 2024, 13, 3079. [Google Scholar] [CrossRef]
- Kubanov, A.A.; Gallyamova, Y.A.; Korableva, O.A.; Kalinina, P.A. The Role of the VEGF, KGF, EGF, and TGF-Β1Growth factors in the Pathogenesis of Telogen Effluvium in Women. Biomed. Pharmacol. J. 2017, 10, 191–198. [Google Scholar] [CrossRef]
- Nakamura, T.; Yamamura, H.; Park, K.; Pereira, C.; Uchida, Y.; Horie, N.; Kim, M.; Itami, S. Naturally Occurring Hair Growth Peptide: Water-Soluble Chicken Egg Yolk Peptides Stimulate Hair Growth Through Induction of Vascular Endothelial Growth Factor Production. J. Med. Food 2018, 21, 701–708. [Google Scholar] [CrossRef] [PubMed]
- Lee, C.Y.; Su, C.H.; Chiang, C.Y.; Wu, C.N.; Kuan, Y.H. Observation of the Expression of Vascular Endothelial Growth Factor and the Potential Effect of Promoting Hair Growth Treated with Chinese Herbal BeauTop. Evid. Based Complement. Alternat. Med. 2021, 2021, 6667011. [Google Scholar] [CrossRef] [PubMed]
- Begum, S.; Lee, M.R.; Gu, L.J.; Hossain, J.; Sung, C.K. Exogenous stimulation with Eclipta alba promotes hair matrix keratinocyte proliferation and downregulates TGF-β1 expression in nude mice. Int. J. Mol. Med. 2015, 35, 496–502. [Google Scholar] [CrossRef] [PubMed]
- An, S.Y.; Kim, H.S.; Kim, S.Y.; Van, S.Y.; Kim, H.J.; Lee, J.H.; Han, S.W.; Kwon, I.; Lee, C.K.; Do, S.H.; et al. Keratin-mediated hair growth and its underlying biological mechanism. Commun. Biol. 2022, 5, 1270. [Google Scholar] [CrossRef] [PubMed]
- Qiu, S.T.; Pan, Z.; Jiang, X.; Lv, G.W.; Feng, A.Q.; Chen, H.B. The synergistic effect of phototherapy and active substances on hair growth. J. Photochem. Photobiol. B 2024, 259, 113008. [Google Scholar] [CrossRef] [PubMed]
- Kwack, M.H.; Ahn, J.S.; Kim, M.K.; Kim, J.C.; Sung, Y.K. Dihydrotestosterone-Inducible IL-6 Inhibits Elongation of Human Hair Shafts by Suppressing Matrix Cell Proliferation and Promotes Regression of Hair Follicles in Mice. J. Investig. Dermatol. 2012, 132, 43–49. [Google Scholar] [CrossRef]










| Primer Name | Primer Sequences |
|---|---|
| GAPDH | F: GGAGCGAGATCCCTCCAAAAT |
| R: GGCTGTTGTCATACTTCTCATGG | |
| TGF-β1 | F: GCAACAATTCCTGGCGATACCTC |
| R: CCTCCACGGCTCAACCACTG | |
| IL-6 | F: AGGGCTCTTCGGCAAATGTA |
| R: GAAGGAATGCCCATTAACAACAA |
| Number | HERB ID | Ingredient | Degree | PumChem ID | MW | Log P | H Bond Donor | H Bond Acceptor | Rotbonds |
|---|---|---|---|---|---|---|---|---|---|
| 1 | HBIN001991 | 17-beta-estradiol | 13 | 5757 | 272.4 | 4 | 2 | 2 | 0 |
| 2 | HBIN046831 | trans-resveratrol | 11 | 445154 | 228.24 | 3.1 | 3 | 3 | 2 |
| 3 | HBIN028102 | glycerin | 9 | 753 | 92.09 | −1.8 | 3 | 3 | 2 |
| 4 | HBIN020984 | citric acid | 8 | 311 | 192.12 | −1.7 | 4 | 7 | 5 |
| 5 | HBIN041721 | quercetin | 6 | 5280343 | 302.23 | 1.5 | 5 | 7 | 1 |
| 6 | HBIN040799 | progesterone | 5 | 5994 | 314.5 | 3.9 | 0 | 2 | 1 |
| 7 | HBIN029342 | hexose | 4 | 439357 | 180.16 | −2.6 | 5 | 6 | 1 |
| 8 | HBIN001987 | 17alpha-estradiol | 4 | 68570 | 272.4 | 4 | 2 | 2 | 0 |
| Number | HERB ID | Ingredient | Degree | PumChem ID | MW | Log P | H Bond Donor | H Bond Acceptor | Rotbonds |
|---|---|---|---|---|---|---|---|---|---|
| 1 | HBIN028102 | glycerin | 26 | 753 | 92.09 | −1.8 | 3 | 3 | 2 |
| 2 | HBIN001991 | 17-beta-estradiol | 25 | 5757 | 272.4 | 4 | 2 | 2 | 0 |
| 3 | HBIN041721 | quercetin | 19 | 5280343 | 302.23 | 1.5 | 5 | 7 | 1 |
| 4 | HBIN029342 | hexose | 18 | 439357 | 180.16 | −2.6 | 5 | 6 | 1 |
| 5 | HBIN046831 | trans-resveratrol | 17 | 445154 | 228.24 | 3.1 | 3 | 3 | 2 |
| 6 | HBIN025875 | ethyl aldehyde | 13 | 177 | 44.05 | −0.3 | 0 | 1 | 0 |
| 7 | HBIN001987 | 17alpha-estradiol | 12 | 68570 | 272.4 | 4 | 2 | 2 | 0 |
| 8 | HBIN020389 | cholalic acid | 11 | 221493 | 408.6 | 3.6 | 4 | 5 | 4 |
| Number | Herb | Degree |
|---|---|---|
| 1 | Licorice | 66 |
| 2 | Corydalis yanhusuo | 51 |
| 3 | Salvia miltiorrhiza | 49 |
| 4 | Scutellaria pycnoclada | 39 |
| 5 | Lignum dalbergiae odoriferae | 33 |
| 6 | Mulberry leaf | 30 |
| 7 | Artemisia annua | 30 |
| 8 | Meadowrue root and rhizome | 29 |
| 9 | Celandine | 28 |
| 10 | Peucedanum pastinacifolium | 27 |
| 11 | Amur cork-tree bark | 27 |
| 12 | Ephedra | 27 |
| 13 | Millettia pseudoracemosa | 27 |
| 14 | Suberect spatholobus stem | 26 |
| 15 | Galangal | 26 |
| 16 | Rosewood heart wood | 25 |
| 17 | Curcumae radix | 25 |
| Number | Herb | Degree |
|---|---|---|
| 1 | Ephedra | 157 |
| 2 | Commiphora myrrh | 146 |
| 3 | Perilla frutescens | 138 |
| 4 | Ginger | 137 |
| 5 | Chrysanthemum | 126 |
| 6 | Salvia miltiorrhiza | 124 |
| 7 | Radix Bupleuri | 124 |
| 8 | Coriandrum sativum | 120 |
| 9 | Mulberry leaf | 117 |
| 10 | Curcumae radix | 116 |
| 11 | Licorice | 110 |
| 12 | Cinnamomi ramulus | 108 |
| 13 | Notopterygium incisum | 107 |
| 14 | Villous amomum fruit | 107 |
| 15 | Magnoliae flos | 105 |
| 16 | Manchurian wild ginger | 105 |
| 17 | Peppermint | 102 |
Disclaimer/Publisher’s Note: The statements, opinions and data contained in all publications are solely those of the individual author(s) and contributor(s) and not of MDPI and/or the editor(s). MDPI and/or the editor(s) disclaim responsibility for any injury to people or property resulting from any ideas, methods, instructions or products referred to in the content. |
© 2025 by the authors. Licensee MDPI, Basel, Switzerland. This article is an open access article distributed under the terms and conditions of the Creative Commons Attribution (CC BY) license (https://creativecommons.org/licenses/by/4.0/).
Share and Cite
Xu, J.; He, C.; Tian, R. Screening of Anti-Hair Loss Plant Raw Materials Based on Reverse Network Pharmacology and Experimental Validation. Curr. Issues Mol. Biol. 2025, 47, 68. https://doi.org/10.3390/cimb47010068
Xu J, He C, Tian R. Screening of Anti-Hair Loss Plant Raw Materials Based on Reverse Network Pharmacology and Experimental Validation. Current Issues in Molecular Biology. 2025; 47(1):68. https://doi.org/10.3390/cimb47010068
Chicago/Turabian StyleXu, Jiajia, Congfen He, and Rui Tian. 2025. "Screening of Anti-Hair Loss Plant Raw Materials Based on Reverse Network Pharmacology and Experimental Validation" Current Issues in Molecular Biology 47, no. 1: 68. https://doi.org/10.3390/cimb47010068
APA StyleXu, J., He, C., & Tian, R. (2025). Screening of Anti-Hair Loss Plant Raw Materials Based on Reverse Network Pharmacology and Experimental Validation. Current Issues in Molecular Biology, 47(1), 68. https://doi.org/10.3390/cimb47010068
